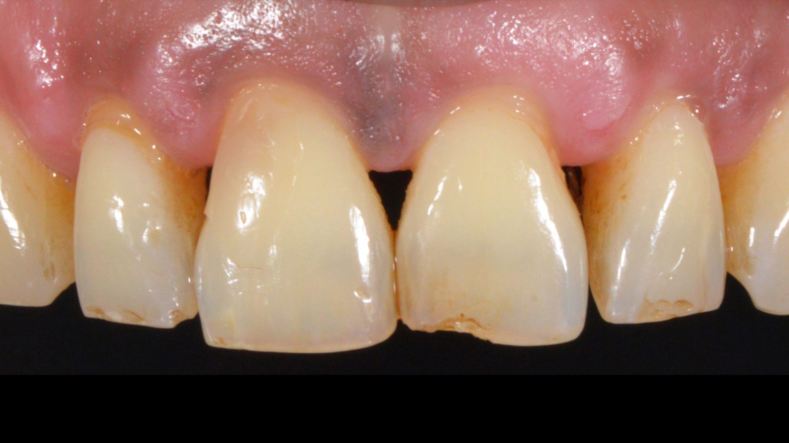
Black Triangles Between Your Teeth . 5 ways to fix black triangle teeth. These are gaps that your gum tissue isn’t filling in. This condition can be aesthetically. When you look in the mirror, you may notice small black triangles between your teeth. Black triangles, or gingival embrasures as they are clinically known, is the term to describe the dark spaces that appear between the teeth, casting a crooked, witchy look on our. Also known as black spaces or open gingival embrasures, black triangles occur when there is a visible space between teeth, often near the gumline. While black triangles may seem harmless, neglecting them can lead to various oral health problems. Black triangle teeth, also known as open gingival embrasures, refer to the space that forms between teeth near the gumline, creating a triangular gap. This creates a triangular gap between the. black triangles between your teeth are also known as “open gingival embrasures.” these gaps are the result of your gum tissue. A dental black triangle occurs when the space between two teeth, also known as an embrasure, is not completely filled by gum tissue.
from saso.co.za
Black triangles, or gingival embrasures as they are clinically known, is the term to describe the dark spaces that appear between the teeth, casting a crooked, witchy look on our. While black triangles may seem harmless, neglecting them can lead to various oral health problems. black triangles between your teeth are also known as “open gingival embrasures.” these gaps are the result of your gum tissue. This condition can be aesthetically. These are gaps that your gum tissue isn’t filling in. Also known as black spaces or open gingival embrasures, black triangles occur when there is a visible space between teeth, often near the gumline. A dental black triangle occurs when the space between two teeth, also known as an embrasure, is not completely filled by gum tissue. This creates a triangular gap between the. When you look in the mirror, you may notice small black triangles between your teeth. Black triangle teeth, also known as open gingival embrasures, refer to the space that forms between teeth near the gumline, creating a triangular gap.
What to do about Black Triangles between your teeth SASO
Black Triangles Between Your Teeth This condition can be aesthetically. While black triangles may seem harmless, neglecting them can lead to various oral health problems. A dental black triangle occurs when the space between two teeth, also known as an embrasure, is not completely filled by gum tissue. These are gaps that your gum tissue isn’t filling in. black triangles between your teeth are also known as “open gingival embrasures.” these gaps are the result of your gum tissue. Also known as black spaces or open gingival embrasures, black triangles occur when there is a visible space between teeth, often near the gumline. Black triangles, or gingival embrasures as they are clinically known, is the term to describe the dark spaces that appear between the teeth, casting a crooked, witchy look on our. Black triangle teeth, also known as open gingival embrasures, refer to the space that forms between teeth near the gumline, creating a triangular gap. This condition can be aesthetically. 5 ways to fix black triangle teeth. When you look in the mirror, you may notice small black triangles between your teeth. This creates a triangular gap between the.
From www.esthetiquedental.co.uk
Black Triangles Between Teeth and Old Discoloured Fillings Esthetique Black Triangles Between Your Teeth While black triangles may seem harmless, neglecting them can lead to various oral health problems. These are gaps that your gum tissue isn’t filling in. Black triangles, or gingival embrasures as they are clinically known, is the term to describe the dark spaces that appear between the teeth, casting a crooked, witchy look on our. Black triangle teeth, also known. Black Triangles Between Your Teeth.
From neosmiles.com.sg
Getting Rid of Dental Black Triangles Between Your Teeth Black Triangles Between Your Teeth A dental black triangle occurs when the space between two teeth, also known as an embrasure, is not completely filled by gum tissue. Black triangle teeth, also known as open gingival embrasures, refer to the space that forms between teeth near the gumline, creating a triangular gap. black triangles between your teeth are also known as “open gingival embrasures.” these. Black Triangles Between Your Teeth.
From lakeforestdentalarts.com
Lake Forest Dentist Treats Black Dental Triangles Black Triangles Between Your Teeth black triangles between your teeth are also known as “open gingival embrasures.” these gaps are the result of your gum tissue. Also known as black spaces or open gingival embrasures, black triangles occur when there is a visible space between teeth, often near the gumline. A dental black triangle occurs when the space between two teeth, also known as an. Black Triangles Between Your Teeth.
From www.dailymail.co.uk
I'm a dentist this is what it means if you have black triangles Black Triangles Between Your Teeth black triangles between your teeth are also known as “open gingival embrasures.” these gaps are the result of your gum tissue. Black triangles, or gingival embrasures as they are clinically known, is the term to describe the dark spaces that appear between the teeth, casting a crooked, witchy look on our. While black triangles may seem harmless, neglecting them can. Black Triangles Between Your Teeth.
From doctorsaylor.com
New Treatment for Black Triangles between Teeth Saylor Dentistry Black Triangles Between Your Teeth This creates a triangular gap between the. 5 ways to fix black triangle teeth. Black triangles, or gingival embrasures as they are clinically known, is the term to describe the dark spaces that appear between the teeth, casting a crooked, witchy look on our. black triangles between your teeth are also known as “open gingival embrasures.” these gaps are the. Black Triangles Between Your Teeth.
From kilnlanedental.co.uk
Black Triangle Teeth St. Helens Dentist Kiln Lane Dental Black Triangles Between Your Teeth While black triangles may seem harmless, neglecting them can lead to various oral health problems. A dental black triangle occurs when the space between two teeth, also known as an embrasure, is not completely filled by gum tissue. When you look in the mirror, you may notice small black triangles between your teeth. This creates a triangular gap between the.. Black Triangles Between Your Teeth.
From www.anewswire.com
How to Fix Black Triangles in Teeth Causes and Prevention Black Triangles Between Your Teeth This creates a triangular gap between the. These are gaps that your gum tissue isn’t filling in. Black triangle teeth, also known as open gingival embrasures, refer to the space that forms between teeth near the gumline, creating a triangular gap. This condition can be aesthetically. When you look in the mirror, you may notice small black triangles between your. Black Triangles Between Your Teeth.
From www.newmouth.com
Black Triangles Between Your Teeth Causes & Treatments Black Triangles Between Your Teeth 5 ways to fix black triangle teeth. A dental black triangle occurs when the space between two teeth, also known as an embrasure, is not completely filled by gum tissue. This condition can be aesthetically. Black triangles, or gingival embrasures as they are clinically known, is the term to describe the dark spaces that appear between the teeth, casting a. Black Triangles Between Your Teeth.
From floridassmiles.com
What is the "Black Triangle" and How is it Treated? West Palm Beach Black Triangles Between Your Teeth When you look in the mirror, you may notice small black triangles between your teeth. This condition can be aesthetically. Black triangles, or gingival embrasures as they are clinically known, is the term to describe the dark spaces that appear between the teeth, casting a crooked, witchy look on our. black triangles between your teeth are also known as “open. Black Triangles Between Your Teeth.
From www.dentsuadiye.com
Do You Have Black Triangles Between Your Teeth? Dent Suadiye Black Triangles Between Your Teeth Black triangles, or gingival embrasures as they are clinically known, is the term to describe the dark spaces that appear between the teeth, casting a crooked, witchy look on our. A dental black triangle occurs when the space between two teeth, also known as an embrasure, is not completely filled by gum tissue. While black triangles may seem harmless, neglecting. Black Triangles Between Your Teeth.
From www.smilesbyhanna.com
How to Fix Triangular Spaces Between Teeth Smiles By Hanna Black Triangles Between Your Teeth This creates a triangular gap between the. black triangles between your teeth are also known as “open gingival embrasures.” these gaps are the result of your gum tissue. When you look in the mirror, you may notice small black triangles between your teeth. Black triangle teeth, also known as open gingival embrasures, refer to the space that forms between teeth. Black Triangles Between Your Teeth.
From doctorsaylor.com
New Treatment for Black Triangles between Teeth Saylor Dentistry Black Triangles Between Your Teeth When you look in the mirror, you may notice small black triangles between your teeth. black triangles between your teeth are also known as “open gingival embrasures.” these gaps are the result of your gum tissue. This condition can be aesthetically. Black triangle teeth, also known as open gingival embrasures, refer to the space that forms between teeth near the. Black Triangles Between Your Teeth.
From www.healthymouthproject.com
Dark Spaces In Between Your Teeth The Healthy Mouth Project Black Triangles Between Your Teeth Black triangle teeth, also known as open gingival embrasures, refer to the space that forms between teeth near the gumline, creating a triangular gap. Black triangles, or gingival embrasures as they are clinically known, is the term to describe the dark spaces that appear between the teeth, casting a crooked, witchy look on our. This condition can be aesthetically. These. Black Triangles Between Your Teeth.
From www.youtube.com
What Are Those Black Triangles Between the Teeth? YouTube Black Triangles Between Your Teeth While black triangles may seem harmless, neglecting them can lead to various oral health problems. A dental black triangle occurs when the space between two teeth, also known as an embrasure, is not completely filled by gum tissue. Black triangle teeth, also known as open gingival embrasures, refer to the space that forms between teeth near the gumline, creating a. Black Triangles Between Your Teeth.
From www.straightteethdirect.com
Black triangles is it something you heard of and have concerns about Black Triangles Between Your Teeth This condition can be aesthetically. black triangles between your teeth are also known as “open gingival embrasures.” these gaps are the result of your gum tissue. Black triangle teeth, also known as open gingival embrasures, refer to the space that forms between teeth near the gumline, creating a triangular gap. This creates a triangular gap between the. When you look. Black Triangles Between Your Teeth.
From www.dublinmetrodental.com
Black Triangle Teeth Gaps Dublin Metro Dental Black Triangles Between Your Teeth A dental black triangle occurs when the space between two teeth, also known as an embrasure, is not completely filled by gum tissue. Black triangle teeth, also known as open gingival embrasures, refer to the space that forms between teeth near the gumline, creating a triangular gap. This creates a triangular gap between the. black triangles between your teeth are. Black Triangles Between Your Teeth.
From www.healthline.com
What Are Black Triangles Between Your Teeth? Black Triangles Between Your Teeth This condition can be aesthetically. When you look in the mirror, you may notice small black triangles between your teeth. black triangles between your teeth are also known as “open gingival embrasures.” these gaps are the result of your gum tissue. 5 ways to fix black triangle teeth. Black triangles, or gingival embrasures as they are clinically known, is the. Black Triangles Between Your Teeth.
From brightside.me
A Dentist Explains What It Actually Means If You Have “Black Triangles Black Triangles Between Your Teeth These are gaps that your gum tissue isn’t filling in. This creates a triangular gap between the. While black triangles may seem harmless, neglecting them can lead to various oral health problems. Black triangles, or gingival embrasures as they are clinically known, is the term to describe the dark spaces that appear between the teeth, casting a crooked, witchy look. Black Triangles Between Your Teeth.
From www.teethtalkgirl.com
7 Ways To Fix Black Triangles Between Your Teeth Black Triangles Between Your Teeth Also known as black spaces or open gingival embrasures, black triangles occur when there is a visible space between teeth, often near the gumline. When you look in the mirror, you may notice small black triangles between your teeth. While black triangles may seem harmless, neglecting them can lead to various oral health problems. black triangles between your teeth are. Black Triangles Between Your Teeth.
From www.beautyepic.com
Black Triangles Between Teeth What You Should Know Black Triangles Between Your Teeth 5 ways to fix black triangle teeth. This condition can be aesthetically. Black triangles, or gingival embrasures as they are clinically known, is the term to describe the dark spaces that appear between the teeth, casting a crooked, witchy look on our. black triangles between your teeth are also known as “open gingival embrasures.” these gaps are the result of. Black Triangles Between Your Teeth.
From www.impressionsorthodontics.com
What causes dark triangles between teeth? — Impressions Orthodontics Black Triangles Between Your Teeth Black triangle teeth, also known as open gingival embrasures, refer to the space that forms between teeth near the gumline, creating a triangular gap. This creates a triangular gap between the. Black triangles, or gingival embrasures as they are clinically known, is the term to describe the dark spaces that appear between the teeth, casting a crooked, witchy look on. Black Triangles Between Your Teeth.
From www.healthymouthproject.com
Dark Spaces In Between Your Teeth The Healthy Mouth Project Black Triangles Between Your Teeth Black triangles, or gingival embrasures as they are clinically known, is the term to describe the dark spaces that appear between the teeth, casting a crooked, witchy look on our. These are gaps that your gum tissue isn’t filling in. A dental black triangle occurs when the space between two teeth, also known as an embrasure, is not completely filled. Black Triangles Between Your Teeth.
From healthcareprotips.com
Effects Of Black Triangles Between the Teeth? Health Care Pro Tips Black Triangles Between Your Teeth This creates a triangular gap between the. 5 ways to fix black triangle teeth. When you look in the mirror, you may notice small black triangles between your teeth. A dental black triangle occurs when the space between two teeth, also known as an embrasure, is not completely filled by gum tissue. While black triangles may seem harmless, neglecting them. Black Triangles Between Your Teeth.
From metro.co.uk
If you have black triangles between your teeth, here's why Metro News Black Triangles Between Your Teeth When you look in the mirror, you may notice small black triangles between your teeth. black triangles between your teeth are also known as “open gingival embrasures.” these gaps are the result of your gum tissue. Black triangle teeth, also known as open gingival embrasures, refer to the space that forms between teeth near the gumline, creating a triangular gap.. Black Triangles Between Your Teeth.
From implantationdentalcenter.com
Black Triangles Dark Spaces Between Your Teeth Dentist Blog Black Triangles Between Your Teeth Black triangle teeth, also known as open gingival embrasures, refer to the space that forms between teeth near the gumline, creating a triangular gap. These are gaps that your gum tissue isn’t filling in. A dental black triangle occurs when the space between two teeth, also known as an embrasure, is not completely filled by gum tissue. Also known as. Black Triangles Between Your Teeth.
From ddsglendale.com
How to Fix Black Triangles Between Your Teeth Black Triangles Between Your Teeth black triangles between your teeth are also known as “open gingival embrasures.” these gaps are the result of your gum tissue. This condition can be aesthetically. These are gaps that your gum tissue isn’t filling in. Black triangles, or gingival embrasures as they are clinically known, is the term to describe the dark spaces that appear between the teeth, casting. Black Triangles Between Your Teeth.
From www.newmouth.com
Black Triangles Between Your Teeth Causes & Treatments Black Triangles Between Your Teeth Also known as black spaces or open gingival embrasures, black triangles occur when there is a visible space between teeth, often near the gumline. A dental black triangle occurs when the space between two teeth, also known as an embrasure, is not completely filled by gum tissue. 5 ways to fix black triangle teeth. Black triangle teeth, also known as. Black Triangles Between Your Teeth.
From abaudeandds.com
3 Reasons Why You Have Black Triangles Between Your Teeth Aubrey Black Triangles Between Your Teeth Black triangles, or gingival embrasures as they are clinically known, is the term to describe the dark spaces that appear between the teeth, casting a crooked, witchy look on our. This condition can be aesthetically. Black triangle teeth, also known as open gingival embrasures, refer to the space that forms between teeth near the gumline, creating a triangular gap. These. Black Triangles Between Your Teeth.
From www.drmarclazare.com
Do You Have Black Triangles Between Your Teeth? Black Triangles Between Your Teeth Black triangles, or gingival embrasures as they are clinically known, is the term to describe the dark spaces that appear between the teeth, casting a crooked, witchy look on our. When you look in the mirror, you may notice small black triangles between your teeth. A dental black triangle occurs when the space between two teeth, also known as an. Black Triangles Between Your Teeth.
From www.lynbrooksmiles.com
Black Triangles / Diastemas Lynbrook Smiles Black Triangles Between Your Teeth Also known as black spaces or open gingival embrasures, black triangles occur when there is a visible space between teeth, often near the gumline. black triangles between your teeth are also known as “open gingival embrasures.” these gaps are the result of your gum tissue. This creates a triangular gap between the. Black triangles, or gingival embrasures as they are. Black Triangles Between Your Teeth.
From www.fergusortho.com
Why Do I Have Black Triangles in My Teeth Jonesboro, AR Black Triangles Between Your Teeth When you look in the mirror, you may notice small black triangles between your teeth. A dental black triangle occurs when the space between two teeth, also known as an embrasure, is not completely filled by gum tissue. Black triangles, or gingival embrasures as they are clinically known, is the term to describe the dark spaces that appear between the. Black Triangles Between Your Teeth.
From doctorsaylor.com
New Treatment for Black Triangles between Teeth Saylor Dentistry Black Triangles Between Your Teeth This condition can be aesthetically. A dental black triangle occurs when the space between two teeth, also known as an embrasure, is not completely filled by gum tissue. While black triangles may seem harmless, neglecting them can lead to various oral health problems. This creates a triangular gap between the. black triangles between your teeth are also known as “open. Black Triangles Between Your Teeth.
From saso.co.za
What to do about Black Triangles between your teeth SASO Black Triangles Between Your Teeth These are gaps that your gum tissue isn’t filling in. Black triangle teeth, also known as open gingival embrasures, refer to the space that forms between teeth near the gumline, creating a triangular gap. Also known as black spaces or open gingival embrasures, black triangles occur when there is a visible space between teeth, often near the gumline. Black triangles,. Black Triangles Between Your Teeth.
From popularnews.pw
THE DENTIST EXPLAINS WHAT IT MEANS TO HAVE BLACK TRIANGLES BETWEEN YOUR Black Triangles Between Your Teeth A dental black triangle occurs when the space between two teeth, also known as an embrasure, is not completely filled by gum tissue. Black triangles, or gingival embrasures as they are clinically known, is the term to describe the dark spaces that appear between the teeth, casting a crooked, witchy look on our. While black triangles may seem harmless, neglecting. Black Triangles Between Your Teeth.
From www.msn.com
I’m a dentist — here’s how to fix the ‘black triangles’ between your teeth Black Triangles Between Your Teeth Black triangle teeth, also known as open gingival embrasures, refer to the space that forms between teeth near the gumline, creating a triangular gap. Black triangles, or gingival embrasures as they are clinically known, is the term to describe the dark spaces that appear between the teeth, casting a crooked, witchy look on our. This creates a triangular gap between. Black Triangles Between Your Teeth.