Zygoma Dental X Ray . Position head so that chin is resting on table. Ghost shadows are shadows of structures imaged when they are not within the focal trough. Blue—floor of alveolar recess of maxillary sinus in edentulous area in alveolar process. This bilateral radiopaque structure is also known as the malar bone. The zygomatic bone (also known as zygoma or malar bone) is an important facial bone that forms the prominence of the cheek. Read about different projections used in face and mandible The zygomatic bone can be seen on maxillary. The zygomatic bone, quadrangular in shape, broadens as it extends posteriorly. Be sure to extend chin enough to throw petrous ridges out of maxillary sinuses. Technique & anatomy review dental ce course & enrich your knowledge in oral healthcare. Learn about review of normal anatomical landmarks and variations from panoramic radiographs:
from www.mcgrathdental.co.uk
The zygomatic bone, quadrangular in shape, broadens as it extends posteriorly. This bilateral radiopaque structure is also known as the malar bone. The zygomatic bone can be seen on maxillary. Blue—floor of alveolar recess of maxillary sinus in edentulous area in alveolar process. Learn about review of normal anatomical landmarks and variations from panoramic radiographs: Be sure to extend chin enough to throw petrous ridges out of maxillary sinuses. Ghost shadows are shadows of structures imaged when they are not within the focal trough. The zygomatic bone (also known as zygoma or malar bone) is an important facial bone that forms the prominence of the cheek. Position head so that chin is resting on table. Read about different projections used in face and mandible
Zygomatic dental implants
Zygoma Dental X Ray Position head so that chin is resting on table. Position head so that chin is resting on table. Ghost shadows are shadows of structures imaged when they are not within the focal trough. The zygomatic bone (also known as zygoma or malar bone) is an important facial bone that forms the prominence of the cheek. Technique & anatomy review dental ce course & enrich your knowledge in oral healthcare. Be sure to extend chin enough to throw petrous ridges out of maxillary sinuses. This bilateral radiopaque structure is also known as the malar bone. Blue—floor of alveolar recess of maxillary sinus in edentulous area in alveolar process. The zygomatic bone, quadrangular in shape, broadens as it extends posteriorly. Read about different projections used in face and mandible The zygomatic bone can be seen on maxillary. Learn about review of normal anatomical landmarks and variations from panoramic radiographs:
From ar.inspiredpencil.com
Zygomatic Process Radiograph Zygoma Dental X Ray Technique & anatomy review dental ce course & enrich your knowledge in oral healthcare. The zygomatic bone can be seen on maxillary. Ghost shadows are shadows of structures imaged when they are not within the focal trough. The zygomatic bone (also known as zygoma or malar bone) is an important facial bone that forms the prominence of the cheek. Blue—floor. Zygoma Dental X Ray.
From burbankdentalimplants.com
ZYGOMATIC DENTAL IMPLANTS VS. SINUS LIFT BONE GRAFT REVIEW Zygoma Dental X Ray Be sure to extend chin enough to throw petrous ridges out of maxillary sinuses. The zygomatic bone (also known as zygoma or malar bone) is an important facial bone that forms the prominence of the cheek. The zygomatic bone, quadrangular in shape, broadens as it extends posteriorly. Ghost shadows are shadows of structures imaged when they are not within the. Zygoma Dental X Ray.
From burbankdentalimplants.com
Quad Zygomatic Dental Implants To Replace Dentures Without Bone Zygoma Dental X Ray Technique & anatomy review dental ce course & enrich your knowledge in oral healthcare. Learn about review of normal anatomical landmarks and variations from panoramic radiographs: Blue—floor of alveolar recess of maxillary sinus in edentulous area in alveolar process. This bilateral radiopaque structure is also known as the malar bone. The zygomatic bone can be seen on maxillary. The zygomatic. Zygoma Dental X Ray.
From drgstoothpix.com
Anatomy Monday Zygomatic Process of the Maxilla Dr. G's Toothpix Zygoma Dental X Ray Read about different projections used in face and mandible Technique & anatomy review dental ce course & enrich your knowledge in oral healthcare. The zygomatic bone can be seen on maxillary. The zygomatic bone (also known as zygoma or malar bone) is an important facial bone that forms the prominence of the cheek. Learn about review of normal anatomical landmarks. Zygoma Dental X Ray.
From www.mcgrathdental.co.uk
Zygomatic dental implants Zygoma Dental X Ray The zygomatic bone (also known as zygoma or malar bone) is an important facial bone that forms the prominence of the cheek. Blue—floor of alveolar recess of maxillary sinus in edentulous area in alveolar process. This bilateral radiopaque structure is also known as the malar bone. The zygomatic bone can be seen on maxillary. The zygomatic bone, quadrangular in shape,. Zygoma Dental X Ray.
From animalia-life.club
Zygomatic Arch Radiograph Zygoma Dental X Ray The zygomatic bone, quadrangular in shape, broadens as it extends posteriorly. The zygomatic bone can be seen on maxillary. This bilateral radiopaque structure is also known as the malar bone. Position head so that chin is resting on table. Learn about review of normal anatomical landmarks and variations from panoramic radiographs: Ghost shadows are shadows of structures imaged when they. Zygoma Dental X Ray.
From ar.inspiredpencil.com
Zygoma Radiograph Zygoma Dental X Ray The zygomatic bone (also known as zygoma or malar bone) is an important facial bone that forms the prominence of the cheek. This bilateral radiopaque structure is also known as the malar bone. The zygomatic bone can be seen on maxillary. Read about different projections used in face and mandible Be sure to extend chin enough to throw petrous ridges. Zygoma Dental X Ray.
From www.omfsho.com
Examination of facial trauma Zygoma Dental X Ray Blue—floor of alveolar recess of maxillary sinus in edentulous area in alveolar process. Be sure to extend chin enough to throw petrous ridges out of maxillary sinuses. The zygomatic bone (also known as zygoma or malar bone) is an important facial bone that forms the prominence of the cheek. This bilateral radiopaque structure is also known as the malar bone.. Zygoma Dental X Ray.
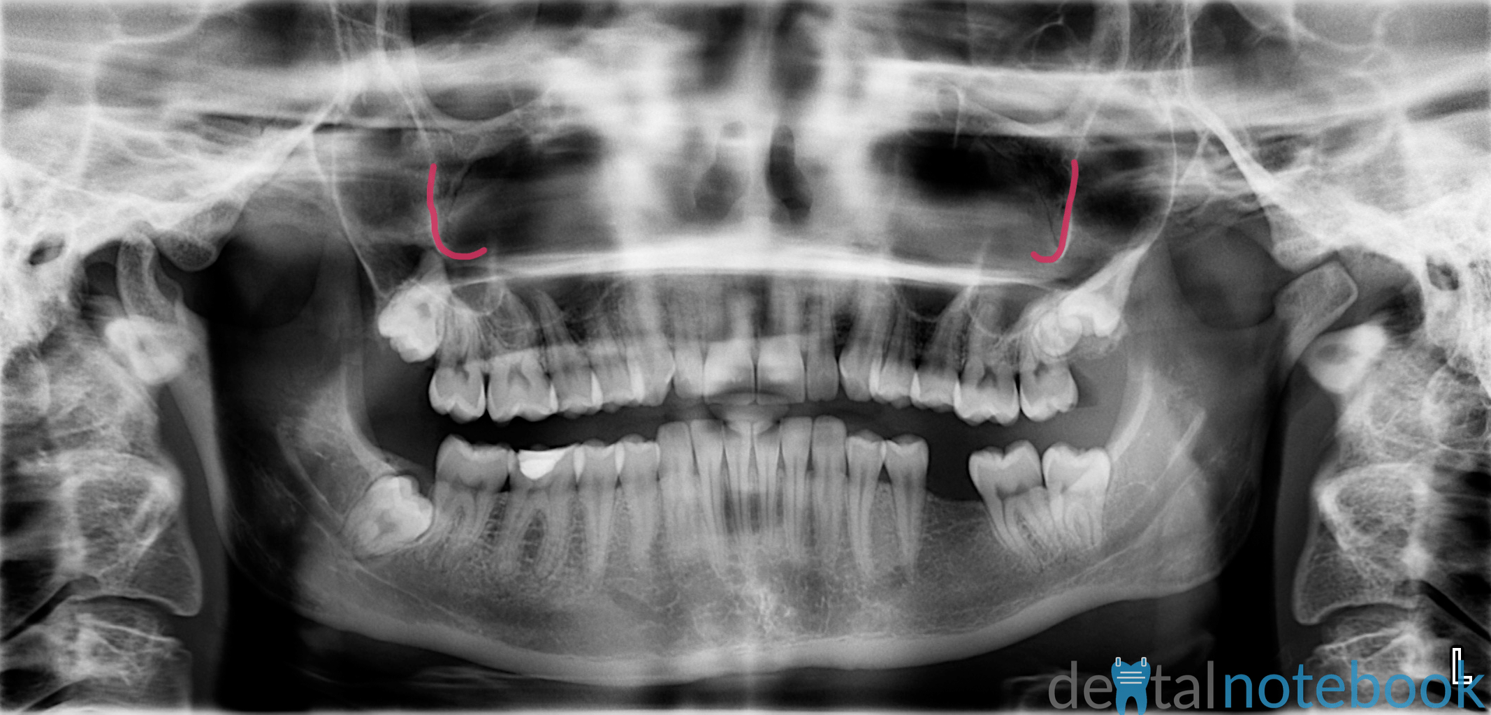
From www.dentalnotebook.com
Anatomy of Panoramic Films OPTs/DPTs/OPGs dentalnotebook Zygoma Dental X Ray Position head so that chin is resting on table. The zygomatic bone (also known as zygoma or malar bone) is an important facial bone that forms the prominence of the cheek. The zygomatic bone can be seen on maxillary. The zygomatic bone, quadrangular in shape, broadens as it extends posteriorly. Read about different projections used in face and mandible Learn. Zygoma Dental X Ray.
From ar.inspiredpencil.com
Zygoma Radiograph Zygoma Dental X Ray Position head so that chin is resting on table. Blue—floor of alveolar recess of maxillary sinus in edentulous area in alveolar process. The zygomatic bone, quadrangular in shape, broadens as it extends posteriorly. This bilateral radiopaque structure is also known as the malar bone. The zygomatic bone (also known as zygoma or malar bone) is an important facial bone that. Zygoma Dental X Ray.
From norismedical.com
All on X with zygomatic, transnasal and conventional implants Noris Zygoma Dental X Ray Position head so that chin is resting on table. Blue—floor of alveolar recess of maxillary sinus in edentulous area in alveolar process. Be sure to extend chin enough to throw petrous ridges out of maxillary sinuses. The zygomatic bone can be seen on maxillary. Learn about review of normal anatomical landmarks and variations from panoramic radiographs: Technique & anatomy review. Zygoma Dental X Ray.
From exozpzccv.blob.core.windows.net
Zygomatic Abscess at Fabian Coker blog Zygoma Dental X Ray Ghost shadows are shadows of structures imaged when they are not within the focal trough. The zygomatic bone, quadrangular in shape, broadens as it extends posteriorly. The zygomatic bone (also known as zygoma or malar bone) is an important facial bone that forms the prominence of the cheek. Technique & anatomy review dental ce course & enrich your knowledge in. Zygoma Dental X Ray.
From www.niguelcoastoralsurgery.com
Zygomatic Dental Implants Dana Point, CA Dr. Eric Baker Zygoma Dental X Ray Blue—floor of alveolar recess of maxillary sinus in edentulous area in alveolar process. The zygomatic bone can be seen on maxillary. The zygomatic bone, quadrangular in shape, broadens as it extends posteriorly. Be sure to extend chin enough to throw petrous ridges out of maxillary sinuses. Technique & anatomy review dental ce course & enrich your knowledge in oral healthcare.. Zygoma Dental X Ray.
From radiopaedia.org
Zygomatic arch fracture Image Zygoma Dental X Ray The zygomatic bone, quadrangular in shape, broadens as it extends posteriorly. Technique & anatomy review dental ce course & enrich your knowledge in oral healthcare. The zygomatic bone can be seen on maxillary. Read about different projections used in face and mandible Position head so that chin is resting on table. Ghost shadows are shadows of structures imaged when they. Zygoma Dental X Ray.
From fity.club
Zygoma Radiograph Zygoma Dental X Ray The zygomatic bone, quadrangular in shape, broadens as it extends posteriorly. This bilateral radiopaque structure is also known as the malar bone. The zygomatic bone can be seen on maxillary. Position head so that chin is resting on table. Read about different projections used in face and mandible Blue—floor of alveolar recess of maxillary sinus in edentulous area in alveolar. Zygoma Dental X Ray.
From www.newteethnow.com
Zygomatic Implants Bone Loss Solution for Dental Implants Zygoma Dental X Ray Learn about review of normal anatomical landmarks and variations from panoramic radiographs: The zygomatic bone can be seen on maxillary. Be sure to extend chin enough to throw petrous ridges out of maxillary sinuses. Position head so that chin is resting on table. Ghost shadows are shadows of structures imaged when they are not within the focal trough. The zygomatic. Zygoma Dental X Ray.
From www.facialoralsurg.com
Zygomatic Dental Implants Fort Worth, Arlington, & Weatherford TX Zygoma Dental X Ray The zygomatic bone, quadrangular in shape, broadens as it extends posteriorly. The zygomatic bone (also known as zygoma or malar bone) is an important facial bone that forms the prominence of the cheek. Blue—floor of alveolar recess of maxillary sinus in edentulous area in alveolar process. Read about different projections used in face and mandible Position head so that chin. Zygoma Dental X Ray.
From www.silomdental.com
Dental xray, dental implant xray, dental implants bangkok thailand Zygoma Dental X Ray Be sure to extend chin enough to throw petrous ridges out of maxillary sinuses. The zygomatic bone (also known as zygoma or malar bone) is an important facial bone that forms the prominence of the cheek. Learn about review of normal anatomical landmarks and variations from panoramic radiographs: The zygomatic bone can be seen on maxillary. Position head so that. Zygoma Dental X Ray.
From www.sfdentalgroup.com
Zygomatic Implants Zygomatic Implant San Leandro CA San Francisco Zygoma Dental X Ray Learn about review of normal anatomical landmarks and variations from panoramic radiographs: The zygomatic bone (also known as zygoma or malar bone) is an important facial bone that forms the prominence of the cheek. Position head so that chin is resting on table. Read about different projections used in face and mandible The zygomatic bone, quadrangular in shape, broadens as. Zygoma Dental X Ray.
From drgstoothpix.com
Anatomy Monday Zygomaticotemporal suture Dr. G's Toothpix Zygoma Dental X Ray Learn about review of normal anatomical landmarks and variations from panoramic radiographs: Read about different projections used in face and mandible Blue—floor of alveolar recess of maxillary sinus in edentulous area in alveolar process. Be sure to extend chin enough to throw petrous ridges out of maxillary sinuses. This bilateral radiopaque structure is also known as the malar bone. Position. Zygoma Dental X Ray.
From burbankdentalimplants.com
Upper Mini Dental Implants vs. Zygomatic and Pterygoid Allon4 Implants Zygoma Dental X Ray Position head so that chin is resting on table. The zygomatic bone can be seen on maxillary. Technique & anatomy review dental ce course & enrich your knowledge in oral healthcare. Ghost shadows are shadows of structures imaged when they are not within the focal trough. The zygomatic bone, quadrangular in shape, broadens as it extends posteriorly. Learn about review. Zygoma Dental X Ray.
From www.dentalnotebook.com
Anatomy of Panoramic Films OPTs/DPTs/OPGs dentalnotebook Zygoma Dental X Ray Position head so that chin is resting on table. Technique & anatomy review dental ce course & enrich your knowledge in oral healthcare. Read about different projections used in face and mandible The zygomatic bone can be seen on maxillary. Ghost shadows are shadows of structures imaged when they are not within the focal trough. Blue—floor of alveolar recess of. Zygoma Dental X Ray.
From ar.inspiredpencil.com
Zygomatic Process Radiograph Zygoma Dental X Ray Ghost shadows are shadows of structures imaged when they are not within the focal trough. Be sure to extend chin enough to throw petrous ridges out of maxillary sinuses. Technique & anatomy review dental ce course & enrich your knowledge in oral healthcare. Position head so that chin is resting on table. The zygomatic bone, quadrangular in shape, broadens as. Zygoma Dental X Ray.
From radiopaedia.org
Image Zygoma Dental X Ray Ghost shadows are shadows of structures imaged when they are not within the focal trough. The zygomatic bone can be seen on maxillary. Read about different projections used in face and mandible Learn about review of normal anatomical landmarks and variations from panoramic radiographs: Blue—floor of alveolar recess of maxillary sinus in edentulous area in alveolar process. The zygomatic bone,. Zygoma Dental X Ray.
From ar.inspiredpencil.com
Zygomatic Process Radiograph Zygoma Dental X Ray This bilateral radiopaque structure is also known as the malar bone. The zygomatic bone, quadrangular in shape, broadens as it extends posteriorly. Ghost shadows are shadows of structures imaged when they are not within the focal trough. The zygomatic bone can be seen on maxillary. Technique & anatomy review dental ce course & enrich your knowledge in oral healthcare. The. Zygoma Dental X Ray.
From www.smilecliniq.com
Zygomatic Arch Dental Implants, Same Day Procedure In London Zygoma Dental X Ray The zygomatic bone can be seen on maxillary. Blue—floor of alveolar recess of maxillary sinus in edentulous area in alveolar process. Position head so that chin is resting on table. Be sure to extend chin enough to throw petrous ridges out of maxillary sinuses. Ghost shadows are shadows of structures imaged when they are not within the focal trough. This. Zygoma Dental X Ray.
From ar.inspiredpencil.com
Zygoma Radiograph Zygoma Dental X Ray Ghost shadows are shadows of structures imaged when they are not within the focal trough. Blue—floor of alveolar recess of maxillary sinus in edentulous area in alveolar process. Learn about review of normal anatomical landmarks and variations from panoramic radiographs: Position head so that chin is resting on table. Be sure to extend chin enough to throw petrous ridges out. Zygoma Dental X Ray.
From www.animalia-life.club
Zygomatic Arch Radiograph Zygoma Dental X Ray Technique & anatomy review dental ce course & enrich your knowledge in oral healthcare. The zygomatic bone, quadrangular in shape, broadens as it extends posteriorly. Ghost shadows are shadows of structures imaged when they are not within the focal trough. The zygomatic bone (also known as zygoma or malar bone) is an important facial bone that forms the prominence of. Zygoma Dental X Ray.
From www.youtube.com
Radiographic Positioning of the Zygomatic Arches YouTube Zygoma Dental X Ray The zygomatic bone (also known as zygoma or malar bone) is an important facial bone that forms the prominence of the cheek. Learn about review of normal anatomical landmarks and variations from panoramic radiographs: Technique & anatomy review dental ce course & enrich your knowledge in oral healthcare. The zygomatic bone can be seen on maxillary. Read about different projections. Zygoma Dental X Ray.
From www.bigislandos.com
Zygomatic Implants Hilo HI Zygoma Dental X Ray The zygomatic bone (also known as zygoma or malar bone) is an important facial bone that forms the prominence of the cheek. Ghost shadows are shadows of structures imaged when they are not within the focal trough. The zygomatic bone, quadrangular in shape, broadens as it extends posteriorly. Position head so that chin is resting on table. Learn about review. Zygoma Dental X Ray.
From www.norismedical.com
Treatment of the Severely Atrophic Arch with Zygomatic, Pterygoid, and Zygoma Dental X Ray The zygomatic bone can be seen on maxillary. Blue—floor of alveolar recess of maxillary sinus in edentulous area in alveolar process. This bilateral radiopaque structure is also known as the malar bone. Ghost shadows are shadows of structures imaged when they are not within the focal trough. The zygomatic bone (also known as zygoma or malar bone) is an important. Zygoma Dental X Ray.
From www.youtube.com
Diagnostic Imaging for Zygomatic Complex Fractures Oral Zygoma Dental X Ray This bilateral radiopaque structure is also known as the malar bone. The zygomatic bone, quadrangular in shape, broadens as it extends posteriorly. Ghost shadows are shadows of structures imaged when they are not within the focal trough. Read about different projections used in face and mandible Technique & anatomy review dental ce course & enrich your knowledge in oral healthcare.. Zygoma Dental X Ray.
From allon4.com.au
QuadZygomas fix Loose Denture Problems in 58 Year… AllOn4 Clinic Zygoma Dental X Ray Learn about review of normal anatomical landmarks and variations from panoramic radiographs: The zygomatic bone can be seen on maxillary. This bilateral radiopaque structure is also known as the malar bone. Position head so that chin is resting on table. Technique & anatomy review dental ce course & enrich your knowledge in oral healthcare. Ghost shadows are shadows of structures. Zygoma Dental X Ray.
From www.norismedical.com
Guided Zygomatic and Pterygoid Implants using EZgoma® Noris Medical Zygoma Dental X Ray Learn about review of normal anatomical landmarks and variations from panoramic radiographs: The zygomatic bone, quadrangular in shape, broadens as it extends posteriorly. The zygomatic bone can be seen on maxillary. Technique & anatomy review dental ce course & enrich your knowledge in oral healthcare. The zygomatic bone (also known as zygoma or malar bone) is an important facial bone. Zygoma Dental X Ray.
From ar.inspiredpencil.com
Zygoma Radiograph Zygoma Dental X Ray This bilateral radiopaque structure is also known as the malar bone. The zygomatic bone can be seen on maxillary. Read about different projections used in face and mandible Position head so that chin is resting on table. Learn about review of normal anatomical landmarks and variations from panoramic radiographs: Technique & anatomy review dental ce course & enrich your knowledge. Zygoma Dental X Ray.