Spiculated Node . I have spiculated 9mm nodule in the right upper lobe of my lung. Less commonly, they can be caused by a more serious condition such as lung cancer. Nodules are areas that are denser than normal lung tissue and usually don't cause symptoms. A lung nodule shows up as a white. For example, lower lobe lung nodules often are found during a ct scan of the abdomen or pelvis. I have history of endometrial. Calcified lung nodules contain calcium deposits that sometimes form in. Pt scan friday for further evaluation. Most lung nodules are not cancerous. Lung nodules are very common and are estimated to occur in. A lung nodule is an irregular growth in your lungs that has a diameter of less than 30 millimeters (mm), or 1.2 inches. Lung nodule causes include infection, inflammation, and scarring. Rounded nodules are less likely to be cancerous than spiculated (having jagged edges) ones.
        
         
         
        from www.semanticscholar.org 
     
        
        I have history of endometrial. Less commonly, they can be caused by a more serious condition such as lung cancer. Calcified lung nodules contain calcium deposits that sometimes form in. Lung nodules are very common and are estimated to occur in. Most lung nodules are not cancerous. Pt scan friday for further evaluation. I have spiculated 9mm nodule in the right upper lobe of my lung. Rounded nodules are less likely to be cancerous than spiculated (having jagged edges) ones. A lung nodule is an irregular growth in your lungs that has a diameter of less than 30 millimeters (mm), or 1.2 inches. A lung nodule shows up as a white.
    
    	
            
	
		 
	 
         
    Figure 2 from Detection of spiculated lesions in mammograms Semantic 
    Spiculated Node  Nodules are areas that are denser than normal lung tissue and usually don't cause symptoms. Nodules are areas that are denser than normal lung tissue and usually don't cause symptoms. A lung nodule is an irregular growth in your lungs that has a diameter of less than 30 millimeters (mm), or 1.2 inches. Most lung nodules are not cancerous. I have spiculated 9mm nodule in the right upper lobe of my lung. Calcified lung nodules contain calcium deposits that sometimes form in. A lung nodule shows up as a white. Less commonly, they can be caused by a more serious condition such as lung cancer. Lung nodule causes include infection, inflammation, and scarring. Lung nodules are very common and are estimated to occur in. For example, lower lobe lung nodules often are found during a ct scan of the abdomen or pelvis. Rounded nodules are less likely to be cancerous than spiculated (having jagged edges) ones. I have history of endometrial. Pt scan friday for further evaluation.
            
	
		 
	 
         
 
    
         
        From www.flickr.com 
                    Case 10 08102013 72 yo man. CT Spiculated left upper lo… Flickr Spiculated Node  A lung nodule shows up as a white. Less commonly, they can be caused by a more serious condition such as lung cancer. Calcified lung nodules contain calcium deposits that sometimes form in. I have history of endometrial. Most lung nodules are not cancerous. Rounded nodules are less likely to be cancerous than spiculated (having jagged edges) ones. Pt scan. Spiculated Node.
     
    
         
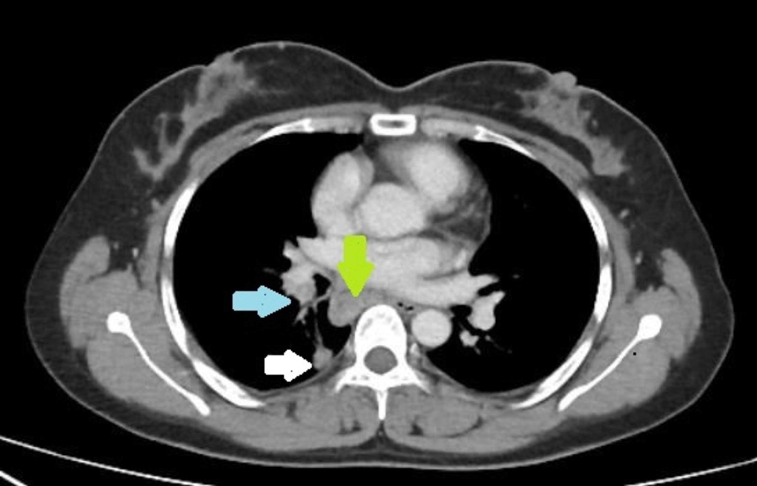
        From medschool.co 
                    Hilar Nodes / Masses Chest XRay MedSchool Spiculated Node  Less commonly, they can be caused by a more serious condition such as lung cancer. Pt scan friday for further evaluation. I have spiculated 9mm nodule in the right upper lobe of my lung. Most lung nodules are not cancerous. For example, lower lobe lung nodules often are found during a ct scan of the abdomen or pelvis. Calcified lung. Spiculated Node.
     
    
         
        From www.researchgate.net 
                    US shows (A) hypoechoic solid mass with irregular spiculated margins at Spiculated Node  Most lung nodules are not cancerous. Calcified lung nodules contain calcium deposits that sometimes form in. I have history of endometrial. A lung nodule is an irregular growth in your lungs that has a diameter of less than 30 millimeters (mm), or 1.2 inches. Rounded nodules are less likely to be cancerous than spiculated (having jagged edges) ones. For example,. Spiculated Node.
     
    
         
        From exotaxove.blob.core.windows.net 
                    Spiculated Lung Nodule Sarcoidosis at Eva Abernathy blog Spiculated Node  Pt scan friday for further evaluation. A lung nodule is an irregular growth in your lungs that has a diameter of less than 30 millimeters (mm), or 1.2 inches. Lung nodules are very common and are estimated to occur in. Most lung nodules are not cancerous. Nodules are areas that are denser than normal lung tissue and usually don't cause. Spiculated Node.
     
    
         
        From www.researchgate.net 
                    CT chest soft tissue window showing right subclavian lymph nodes, with Spiculated Node  A lung nodule shows up as a white. For example, lower lobe lung nodules often are found during a ct scan of the abdomen or pelvis. Less commonly, they can be caused by a more serious condition such as lung cancer. I have history of endometrial. Most lung nodules are not cancerous. Calcified lung nodules contain calcium deposits that sometimes. Spiculated Node.
     
    
         
        From radiologykey.com 
                    B Spiculated Radiology Key Spiculated Node  Nodules are areas that are denser than normal lung tissue and usually don't cause symptoms. Less commonly, they can be caused by a more serious condition such as lung cancer. I have history of endometrial. Calcified lung nodules contain calcium deposits that sometimes form in. Rounded nodules are less likely to be cancerous than spiculated (having jagged edges) ones. For. Spiculated Node.
     
    
         
        From www.researchgate.net 
                    Patient 2Mammogram showing spiculated densities in the upper outer Spiculated Node  I have history of endometrial. Pt scan friday for further evaluation. Rounded nodules are less likely to be cancerous than spiculated (having jagged edges) ones. Nodules are areas that are denser than normal lung tissue and usually don't cause symptoms. Most lung nodules are not cancerous. Lung nodules are very common and are estimated to occur in. I have spiculated. Spiculated Node.
     
    
         
        From www.researchgate.net 
                    Computed tomography demonstrates a small spiculated lung mass periphery Spiculated Node  I have history of endometrial. For example, lower lobe lung nodules often are found during a ct scan of the abdomen or pelvis. A lung nodule shows up as a white. Nodules are areas that are denser than normal lung tissue and usually don't cause symptoms. Pt scan friday for further evaluation. Lung nodule causes include infection, inflammation, and scarring.. Spiculated Node.
     
    
         
        From www.semanticscholar.org 
                    Figure 2 from Detection of spiculated lesions in mammograms Semantic Spiculated Node  Pt scan friday for further evaluation. Most lung nodules are not cancerous. Rounded nodules are less likely to be cancerous than spiculated (having jagged edges) ones. Nodules are areas that are denser than normal lung tissue and usually don't cause symptoms. For example, lower lobe lung nodules often are found during a ct scan of the abdomen or pelvis. A. Spiculated Node.
     
    
         
        From onlinelibrary.wiley.com 
                    Intrapulmonary lymph nodes masquerading as pleural metastasis Matsuda Spiculated Node  Calcified lung nodules contain calcium deposits that sometimes form in. A lung nodule shows up as a white. Pt scan friday for further evaluation. I have spiculated 9mm nodule in the right upper lobe of my lung. Less commonly, they can be caused by a more serious condition such as lung cancer. A lung nodule is an irregular growth in. Spiculated Node.
     
    
         
        From www.slideshare.net 
                    Approach to the Solitary Pulmonary Nodule New Staging System for NS… Spiculated Node  I have spiculated 9mm nodule in the right upper lobe of my lung. Rounded nodules are less likely to be cancerous than spiculated (having jagged edges) ones. A lung nodule shows up as a white. I have history of endometrial. Calcified lung nodules contain calcium deposits that sometimes form in. Most lung nodules are not cancerous. Nodules are areas that. Spiculated Node.
     
    
         
        From www.researchgate.net 
                    b CECT chest done 10 months later revealing a 2×1.5 cm spiculated Spiculated Node  Pt scan friday for further evaluation. For example, lower lobe lung nodules often are found during a ct scan of the abdomen or pelvis. I have history of endometrial. A lung nodule is an irregular growth in your lungs that has a diameter of less than 30 millimeters (mm), or 1.2 inches. Rounded nodules are less likely to be cancerous. Spiculated Node.
     
    
         
        From radiologykey.com 
                    Lymph Node Abnormality Radiology Key Spiculated Node  Less commonly, they can be caused by a more serious condition such as lung cancer. Rounded nodules are less likely to be cancerous than spiculated (having jagged edges) ones. Lung nodules are very common and are estimated to occur in. Calcified lung nodules contain calcium deposits that sometimes form in. I have history of endometrial. Most lung nodules are not. Spiculated Node.
     
    
         
        From www.researchgate.net 
                    Chest computed tomography scan. (a) One node is present on the right Spiculated Node  Lung nodules are very common and are estimated to occur in. Less commonly, they can be caused by a more serious condition such as lung cancer. Calcified lung nodules contain calcium deposits that sometimes form in. A lung nodule is an irregular growth in your lungs that has a diameter of less than 30 millimeters (mm), or 1.2 inches. I. Spiculated Node.
     
    
         
        From www.researchgate.net 
                    Preoperative imaging findings. a Mediolateral obliqueview mammogram. b Spiculated Node  Nodules are areas that are denser than normal lung tissue and usually don't cause symptoms. Most lung nodules are not cancerous. A lung nodule is an irregular growth in your lungs that has a diameter of less than 30 millimeters (mm), or 1.2 inches. Pt scan friday for further evaluation. I have history of endometrial. A lung nodule shows up. Spiculated Node.
     
    
         
        From pubs.rsna.org 
                    Imaging Updates to Breast Cancer Lymph Node Management RadioGraphics Spiculated Node  Rounded nodules are less likely to be cancerous than spiculated (having jagged edges) ones. Nodules are areas that are denser than normal lung tissue and usually don't cause symptoms. Lung nodules are very common and are estimated to occur in. Calcified lung nodules contain calcium deposits that sometimes form in. I have history of endometrial. Less commonly, they can be. Spiculated Node.
     
    
         
        From www.researchgate.net 
                    CT scan demonstrating a spiculated left lower lobe nodule. Download Spiculated Node  Less commonly, they can be caused by a more serious condition such as lung cancer. I have spiculated 9mm nodule in the right upper lobe of my lung. Lung nodule causes include infection, inflammation, and scarring. Lung nodules are very common and are estimated to occur in. I have history of endometrial. Calcified lung nodules contain calcium deposits that sometimes. Spiculated Node.
     
    
         
        From radiologykey.com 
                    B Spiculated Radiology Key Spiculated Node  Lung nodule causes include infection, inflammation, and scarring. Calcified lung nodules contain calcium deposits that sometimes form in. Nodules are areas that are denser than normal lung tissue and usually don't cause symptoms. A lung nodule shows up as a white. For example, lower lobe lung nodules often are found during a ct scan of the abdomen or pelvis. I. Spiculated Node.
     
    
         
        From www.medicalimages.com 
                    STOCK IMAGE, illustration of lung cancer and the thoracic lymph nodes Spiculated Node  I have history of endometrial. Lung nodule causes include infection, inflammation, and scarring. Lung nodules are very common and are estimated to occur in. For example, lower lobe lung nodules often are found during a ct scan of the abdomen or pelvis. Most lung nodules are not cancerous. Rounded nodules are less likely to be cancerous than spiculated (having jagged. Spiculated Node.
     
    
         
        From www.researchgate.net 
                    The spiculated margin (arrow) of the lesion on CT and the infiltrative Spiculated Node  For example, lower lobe lung nodules often are found during a ct scan of the abdomen or pelvis. Most lung nodules are not cancerous. Lung nodule causes include infection, inflammation, and scarring. A lung nodule shows up as a white. Nodules are areas that are denser than normal lung tissue and usually don't cause symptoms. I have history of endometrial.. Spiculated Node.
     
    
         
        From www.archbronconeumol.org 
                    A Lymph Node Metastatic Lung Adenocarcinoma in a Previous Mediastinal Spiculated Node  A lung nodule is an irregular growth in your lungs that has a diameter of less than 30 millimeters (mm), or 1.2 inches. A lung nodule shows up as a white. For example, lower lobe lung nodules often are found during a ct scan of the abdomen or pelvis. Lung nodules are very common and are estimated to occur in.. Spiculated Node.
     
    
         
        From www.researchgate.net 
                    Ultrasound groin shows multiple lymph nodes with collection at Spiculated Node  Lung nodule causes include infection, inflammation, and scarring. Nodules are areas that are denser than normal lung tissue and usually don't cause symptoms. I have spiculated 9mm nodule in the right upper lobe of my lung. Pt scan friday for further evaluation. Calcified lung nodules contain calcium deposits that sometimes form in. Rounded nodules are less likely to be cancerous. Spiculated Node.
     
    
         
        From lungs.thecommonvein.net 
                    Nodules Spiculated Lungs Spiculated Node  A lung nodule is an irregular growth in your lungs that has a diameter of less than 30 millimeters (mm), or 1.2 inches. Pt scan friday for further evaluation. Lung nodules are very common and are estimated to occur in. I have history of endometrial. Calcified lung nodules contain calcium deposits that sometimes form in. Nodules are areas that are. Spiculated Node.
     
    
         
        From healthfness.com 
                    Dangerous Spiculated Nodule What You Need to Know About It HealthFness Spiculated Node  For example, lower lobe lung nodules often are found during a ct scan of the abdomen or pelvis. I have spiculated 9mm nodule in the right upper lobe of my lung. I have history of endometrial. Lung nodules are very common and are estimated to occur in. A lung nodule shows up as a white. Calcified lung nodules contain calcium. Spiculated Node.
     
    
         
        From www.flickr.com 
                    Case 10 08102013 72 yo man. CT Spiculated left upper lo… Flickr Spiculated Node  A lung nodule shows up as a white. A lung nodule is an irregular growth in your lungs that has a diameter of less than 30 millimeters (mm), or 1.2 inches. Nodules are areas that are denser than normal lung tissue and usually don't cause symptoms. I have spiculated 9mm nodule in the right upper lobe of my lung. Lung. Spiculated Node.
     
    
         
        From www.cureus.com 
                    Cureus The Clinicopathological Features of Mediastinal Tuberculous Spiculated Node  Nodules are areas that are denser than normal lung tissue and usually don't cause symptoms. For example, lower lobe lung nodules often are found during a ct scan of the abdomen or pelvis. A lung nodule shows up as a white. Pt scan friday for further evaluation. Lung nodule causes include infection, inflammation, and scarring. Less commonly, they can be. Spiculated Node.
     
    
         
        From www.ejradiology.com 
                    Malignant spiculated breast masses Dynamic contrast enhanced MR (DCE Spiculated Node  Lung nodule causes include infection, inflammation, and scarring. I have history of endometrial. Nodules are areas that are denser than normal lung tissue and usually don't cause symptoms. Calcified lung nodules contain calcium deposits that sometimes form in. Most lung nodules are not cancerous. A lung nodule is an irregular growth in your lungs that has a diameter of less. Spiculated Node.
     
    
         
        From www.researchgate.net 
                    Axial CT image (lung window) shows a spiculated nodule in the sixth Spiculated Node  A lung nodule shows up as a white. I have history of endometrial. Calcified lung nodules contain calcium deposits that sometimes form in. Most lung nodules are not cancerous. A lung nodule is an irregular growth in your lungs that has a diameter of less than 30 millimeters (mm), or 1.2 inches. Pt scan friday for further evaluation. Nodules are. Spiculated Node.
     
    
         
        From www.ajronline.org 
                    Pulmonary Nodule Volumetric Measurement Variability as a Function of CT Spiculated Node  Less commonly, they can be caused by a more serious condition such as lung cancer. A lung nodule is an irregular growth in your lungs that has a diameter of less than 30 millimeters (mm), or 1.2 inches. Pt scan friday for further evaluation. Nodules are areas that are denser than normal lung tissue and usually don't cause symptoms. A. Spiculated Node.
     
    
         
        From obgyn.onlinelibrary.wiley.com 
                    Terms, definitions and measurements to describe sonographic features of Spiculated Node  Most lung nodules are not cancerous. For example, lower lobe lung nodules often are found during a ct scan of the abdomen or pelvis. A lung nodule shows up as a white. Pt scan friday for further evaluation. Lung nodule causes include infection, inflammation, and scarring. Calcified lung nodules contain calcium deposits that sometimes form in. A lung nodule is. Spiculated Node.
     
    
         
        From pubs.rsna.org 
                    for Measuring Pulmonary Nodules at CT A Statement from Spiculated Node  Lung nodule causes include infection, inflammation, and scarring. A lung nodule is an irregular growth in your lungs that has a diameter of less than 30 millimeters (mm), or 1.2 inches. Less commonly, they can be caused by a more serious condition such as lung cancer. A lung nodule shows up as a white. Nodules are areas that are denser. Spiculated Node.
     
    
         
        From www.frontiersin.org 
                    Frontiers Metastatic Patterns of Mediastinal Lymph Nodes in Small Spiculated Node  For example, lower lobe lung nodules often are found during a ct scan of the abdomen or pelvis. Lung nodule causes include infection, inflammation, and scarring. A lung nodule shows up as a white. Calcified lung nodules contain calcium deposits that sometimes form in. Lung nodules are very common and are estimated to occur in. A lung nodule is an. Spiculated Node.
     
    
         
        From mavink.com 
                    Hilar Lymph Nodes Map Spiculated Node  Pt scan friday for further evaluation. I have history of endometrial. Calcified lung nodules contain calcium deposits that sometimes form in. Less commonly, they can be caused by a more serious condition such as lung cancer. A lung nodule is an irregular growth in your lungs that has a diameter of less than 30 millimeters (mm), or 1.2 inches. Most. Spiculated Node.
     
    
         
        From www.ajronline.org 
                    Pulmonary Nodule Volumetric Measurement Variability as a Function of CT Spiculated Node  Calcified lung nodules contain calcium deposits that sometimes form in. A lung nodule is an irregular growth in your lungs that has a diameter of less than 30 millimeters (mm), or 1.2 inches. Lung nodule causes include infection, inflammation, and scarring. Nodules are areas that are denser than normal lung tissue and usually don't cause symptoms. Lung nodules are very. Spiculated Node.
     
    
         
        From openi.nlm.nih.gov 
                    Pulmonary nodule with spiculated margins and „halo si Openi Spiculated Node  Rounded nodules are less likely to be cancerous than spiculated (having jagged edges) ones. Most lung nodules are not cancerous. Calcified lung nodules contain calcium deposits that sometimes form in. Less commonly, they can be caused by a more serious condition such as lung cancer. Nodules are areas that are denser than normal lung tissue and usually don't cause symptoms.. Spiculated Node.