Temporary Crown Smells When Removed . I had the crown replaced about 3 times due to its bad odor. An odor originating from your crown is usually a sign that there is bacteria growth or an infection related to your crown. Discomfort and sensitivity from a crown are first addressed with time, as they may be temporary issues that will subside within just a few days as the tooth adjusts to the new crown. This bacteria can spring up due to a failed root canal or a crown that. Temporary crowns are temporary restorations used in dentistry to protect a prepared tooth until a permanent crown can be placed. Temporary crowns are typically made from materials like acrylic or resin, which can sometimes develop an odor if not cared for properly. Reach the base of the. What are temporary dental crowns and why are they important? Its so irritating and frustrating when the doctors dont. It's hard for me to think. The temp crown itself smelled so bad, i put it in a cup of pure rubbing alcohol, since a cup of listerine wasn't doing the trick. Pay attention to the gum line: I have a crown on my front tooth. Ensure thorough cleaning around the crown and along the gum line.
from www.pinterest.com
Discomfort and sensitivity from a crown are first addressed with time, as they may be temporary issues that will subside within just a few days as the tooth adjusts to the new crown. Reach the base of the. Pay attention to the gum line: Its so irritating and frustrating when the doctors dont. Temporary crowns are temporary restorations used in dentistry to protect a prepared tooth until a permanent crown can be placed. I had the crown replaced about 3 times due to its bad odor. An odor originating from your crown is usually a sign that there is bacteria growth or an infection related to your crown. This bacteria can spring up due to a failed root canal or a crown that. I have a crown on my front tooth. Temporary crowns are typically made from materials like acrylic or resin, which can sometimes develop an odor if not cared for properly.
Immediate Implant & Temporary Crown Temporary crown, Dental care
Temporary Crown Smells When Removed What are temporary dental crowns and why are they important? Its so irritating and frustrating when the doctors dont. It's hard for me to think. An odor originating from your crown is usually a sign that there is bacteria growth or an infection related to your crown. The temp crown itself smelled so bad, i put it in a cup of pure rubbing alcohol, since a cup of listerine wasn't doing the trick. Temporary crowns are typically made from materials like acrylic or resin, which can sometimes develop an odor if not cared for properly. Discomfort and sensitivity from a crown are first addressed with time, as they may be temporary issues that will subside within just a few days as the tooth adjusts to the new crown. Pay attention to the gum line: Reach the base of the. I had the crown replaced about 3 times due to its bad odor. Temporary crowns are temporary restorations used in dentistry to protect a prepared tooth until a permanent crown can be placed. This bacteria can spring up due to a failed root canal or a crown that. Ensure thorough cleaning around the crown and along the gum line. I have a crown on my front tooth. What are temporary dental crowns and why are they important?
From www.pinterest.com
Have you ever wondered why some crowns appear to have dark lines around Temporary Crown Smells When Removed Discomfort and sensitivity from a crown are first addressed with time, as they may be temporary issues that will subside within just a few days as the tooth adjusts to the new crown. I have a crown on my front tooth. This bacteria can spring up due to a failed root canal or a crown that. Its so irritating and. Temporary Crown Smells When Removed.
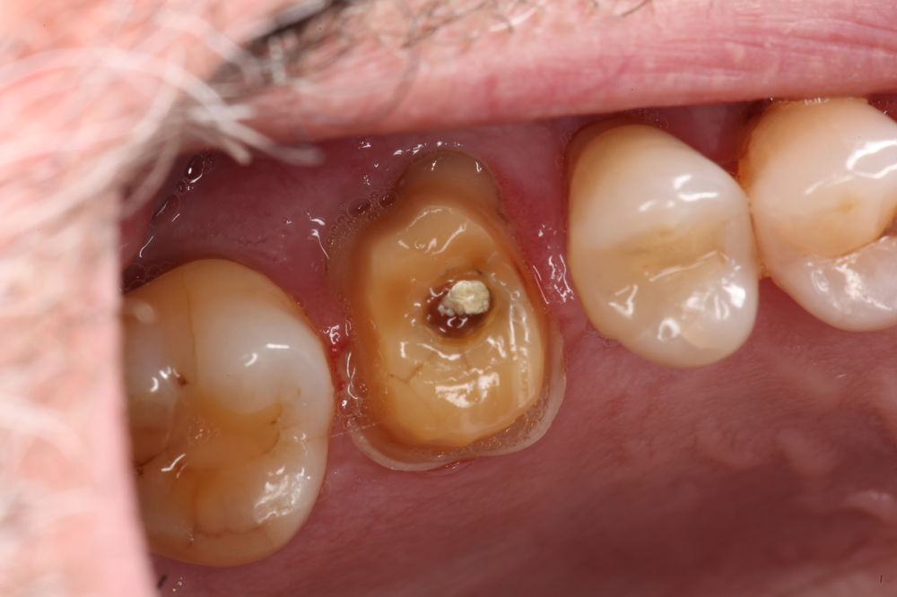
From joieekavt.blob.core.windows.net
Temporary Crown Broke After Root Canal at Theresa Jung blog Temporary Crown Smells When Removed Discomfort and sensitivity from a crown are first addressed with time, as they may be temporary issues that will subside within just a few days as the tooth adjusts to the new crown. Ensure thorough cleaning around the crown and along the gum line. Its so irritating and frustrating when the doctors dont. The temp crown itself smelled so bad,. Temporary Crown Smells When Removed.
From www.dentalclinic-knet.com
Dental Crown Procedure EXPLAINED Dental Clinic Temporary Crown Smells When Removed Ensure thorough cleaning around the crown and along the gum line. Temporary crowns are temporary restorations used in dentistry to protect a prepared tooth until a permanent crown can be placed. An odor originating from your crown is usually a sign that there is bacteria growth or an infection related to your crown. I have a crown on my front. Temporary Crown Smells When Removed.
From miracle-smile.com
Lost Your Temporary Crown? Here’s What to Do Next · Miracle Smile Dentistry Temporary Crown Smells When Removed This bacteria can spring up due to a failed root canal or a crown that. I have a crown on my front tooth. Discomfort and sensitivity from a crown are first addressed with time, as they may be temporary issues that will subside within just a few days as the tooth adjusts to the new crown. Temporary crowns are temporary. Temporary Crown Smells When Removed.
From selfcarers.com
The Best Way to Deal with a Broken Dental Crown Self Carers Temporary Crown Smells When Removed Its so irritating and frustrating when the doctors dont. Pay attention to the gum line: Reach the base of the. I had the crown replaced about 3 times due to its bad odor. This bacteria can spring up due to a failed root canal or a crown that. Temporary crowns are temporary restorations used in dentistry to protect a prepared. Temporary Crown Smells When Removed.
From www.smilehilliard.com
SameDay Crown vs. LabFabricated Crown Smile Hilliard Temporary Crown Smells When Removed Temporary crowns are typically made from materials like acrylic or resin, which can sometimes develop an odor if not cared for properly. The temp crown itself smelled so bad, i put it in a cup of pure rubbing alcohol, since a cup of listerine wasn't doing the trick. Ensure thorough cleaning around the crown and along the gum line. Its. Temporary Crown Smells When Removed.
From www.tv.odontologiavirtual.com
TEMPORARY CROWNS Quick and Easy Fabrication Steven T. Cutbirth, DDS Temporary Crown Smells When Removed Reach the base of the. Temporary crowns are temporary restorations used in dentistry to protect a prepared tooth until a permanent crown can be placed. Its so irritating and frustrating when the doctors dont. Ensure thorough cleaning around the crown and along the gum line. This bacteria can spring up due to a failed root canal or a crown that.. Temporary Crown Smells When Removed.
From www.orisdentalcenter.ae
Are Emax crowns effective to restore your beautiful smile? Oris Temporary Crown Smells When Removed I have a crown on my front tooth. Ensure thorough cleaning around the crown and along the gum line. Its so irritating and frustrating when the doctors dont. This bacteria can spring up due to a failed root canal or a crown that. Discomfort and sensitivity from a crown are first addressed with time, as they may be temporary issues. Temporary Crown Smells When Removed.
From www.bcidentallab.com
Temporary Crowns Products BCI Dental Laboratories Temporary Crown Smells When Removed Reach the base of the. An odor originating from your crown is usually a sign that there is bacteria growth or an infection related to your crown. What are temporary dental crowns and why are they important? It's hard for me to think. Discomfort and sensitivity from a crown are first addressed with time, as they may be temporary issues. Temporary Crown Smells When Removed.
From www.pinterest.com
Immediate Implant & Temporary Crown Temporary crown, Dental care Temporary Crown Smells When Removed An odor originating from your crown is usually a sign that there is bacteria growth or an infection related to your crown. The temp crown itself smelled so bad, i put it in a cup of pure rubbing alcohol, since a cup of listerine wasn't doing the trick. Its so irritating and frustrating when the doctors dont. Temporary crowns are. Temporary Crown Smells When Removed.
From www.slideserve.com
PPT Dental Cements Liners , Bases, and Temporary Restoration Temporary Crown Smells When Removed Temporary crowns are typically made from materials like acrylic or resin, which can sometimes develop an odor if not cared for properly. Ensure thorough cleaning around the crown and along the gum line. Pay attention to the gum line: This bacteria can spring up due to a failed root canal or a crown that. An odor originating from your crown. Temporary Crown Smells When Removed.
From www.pinterest.com.mx
Immediat implant placement was performed after the extraction of left Temporary Crown Smells When Removed Temporary crowns are typically made from materials like acrylic or resin, which can sometimes develop an odor if not cared for properly. I had the crown replaced about 3 times due to its bad odor. An odor originating from your crown is usually a sign that there is bacteria growth or an infection related to your crown. It's hard for. Temporary Crown Smells When Removed.
From drbeatriceleung.ca
Tips on Making Single Unit Temporary Crown on Teeth with Reduced Temporary Crown Smells When Removed I have a crown on my front tooth. Reach the base of the. Temporary crowns are typically made from materials like acrylic or resin, which can sometimes develop an odor if not cared for properly. Ensure thorough cleaning around the crown and along the gum line. The temp crown itself smelled so bad, i put it in a cup of. Temporary Crown Smells When Removed.
From www.emergencydentistsusa.com
Best Temporary Crown Cement & Method to ReCement Crowns in 2018 Temporary Crown Smells When Removed What are temporary dental crowns and why are they important? Discomfort and sensitivity from a crown are first addressed with time, as they may be temporary issues that will subside within just a few days as the tooth adjusts to the new crown. I have a crown on my front tooth. Its so irritating and frustrating when the doctors dont.. Temporary Crown Smells When Removed.
From www.teethfaq.com
Temporary Crown Fell Off What You Need to Do Teeth FAQ Blog Temporary Crown Smells When Removed Discomfort and sensitivity from a crown are first addressed with time, as they may be temporary issues that will subside within just a few days as the tooth adjusts to the new crown. I have a crown on my front tooth. What are temporary dental crowns and why are they important? Pay attention to the gum line: It's hard for. Temporary Crown Smells When Removed.
From bauersmiles.blogspot.com
Bauer Dentistry & Orthodontics Dental implant temporary on a front tooth Temporary Crown Smells When Removed It's hard for me to think. This bacteria can spring up due to a failed root canal or a crown that. Temporary crowns are temporary restorations used in dentistry to protect a prepared tooth until a permanent crown can be placed. Discomfort and sensitivity from a crown are first addressed with time, as they may be temporary issues that will. Temporary Crown Smells When Removed.
From schellenbergdental.com
Temporary Crown vs. Permanent Crown Schellenberg Dental Temporary Crown Smells When Removed Its so irritating and frustrating when the doctors dont. What are temporary dental crowns and why are they important? Discomfort and sensitivity from a crown are first addressed with time, as they may be temporary issues that will subside within just a few days as the tooth adjusts to the new crown. Ensure thorough cleaning around the crown and along. Temporary Crown Smells When Removed.
From www.youtube.com
HOW TO MAKE A TEMPORARY CROWN YouTube Temporary Crown Smells When Removed Ensure thorough cleaning around the crown and along the gum line. Discomfort and sensitivity from a crown are first addressed with time, as they may be temporary issues that will subside within just a few days as the tooth adjusts to the new crown. The temp crown itself smelled so bad, i put it in a cup of pure rubbing. Temporary Crown Smells When Removed.
From www.city-data.com
Crown came loose, bad smell is crown good or bad? (teeth, gumline Temporary Crown Smells When Removed Discomfort and sensitivity from a crown are first addressed with time, as they may be temporary issues that will subside within just a few days as the tooth adjusts to the new crown. This bacteria can spring up due to a failed root canal or a crown that. I had the crown replaced about 3 times due to its bad. Temporary Crown Smells When Removed.
From www.vibrantsmilestx.com
What You Should Do If Temporary Crown Fell Off Temporary Crown Smells When Removed This bacteria can spring up due to a failed root canal or a crown that. Temporary crowns are temporary restorations used in dentistry to protect a prepared tooth until a permanent crown can be placed. Temporary crowns are typically made from materials like acrylic or resin, which can sometimes develop an odor if not cared for properly. Ensure thorough cleaning. Temporary Crown Smells When Removed.
From www.kaizendental.co.uk
Emergency Temporary Crown Temporary Crown Smells When Removed Reach the base of the. Pay attention to the gum line: Its so irritating and frustrating when the doctors dont. I have a crown on my front tooth. The temp crown itself smelled so bad, i put it in a cup of pure rubbing alcohol, since a cup of listerine wasn't doing the trick. What are temporary dental crowns and. Temporary Crown Smells When Removed.
From pocketdentistry.com
Temporary Crowns Pocket Dentistry Temporary Crown Smells When Removed Discomfort and sensitivity from a crown are first addressed with time, as they may be temporary issues that will subside within just a few days as the tooth adjusts to the new crown. This bacteria can spring up due to a failed root canal or a crown that. I have a crown on my front tooth. Reach the base of. Temporary Crown Smells When Removed.
From www.infodentis.com
Temporary crown Temporary Crown Smells When Removed Its so irritating and frustrating when the doctors dont. Temporary crowns are temporary restorations used in dentistry to protect a prepared tooth until a permanent crown can be placed. Temporary crowns are typically made from materials like acrylic or resin, which can sometimes develop an odor if not cared for properly. Discomfort and sensitivity from a crown are first addressed. Temporary Crown Smells When Removed.
From arkansasfamilydental.com
Temporary Crown vs. Permanent Crown What’s The Difference? Arkansas Temporary Crown Smells When Removed Discomfort and sensitivity from a crown are first addressed with time, as they may be temporary issues that will subside within just a few days as the tooth adjusts to the new crown. Reach the base of the. An odor originating from your crown is usually a sign that there is bacteria growth or an infection related to your crown.. Temporary Crown Smells When Removed.
From www.reddit.com
Crown fell off, there's a smell. Need some information. r/Dentistry Temporary Crown Smells When Removed Reach the base of the. I have a crown on my front tooth. It's hard for me to think. What are temporary dental crowns and why are they important? I had the crown replaced about 3 times due to its bad odor. This bacteria can spring up due to a failed root canal or a crown that. Ensure thorough cleaning. Temporary Crown Smells When Removed.
From healthysmilesofabington.com
DENTAL CROWNS Healthy Smiles of Abington Temporary Crown Smells When Removed Discomfort and sensitivity from a crown are first addressed with time, as they may be temporary issues that will subside within just a few days as the tooth adjusts to the new crown. What are temporary dental crowns and why are they important? Pay attention to the gum line: This bacteria can spring up due to a failed root canal. Temporary Crown Smells When Removed.
From www.acefamilydental.com
How To Darken Dental Crowns? Dentist Norcross & Alpharetta, GA Temporary Crown Smells When Removed Ensure thorough cleaning around the crown and along the gum line. The temp crown itself smelled so bad, i put it in a cup of pure rubbing alcohol, since a cup of listerine wasn't doing the trick. Reach the base of the. Pay attention to the gum line: An odor originating from your crown is usually a sign that there. Temporary Crown Smells When Removed.
From smilliedental.com
How Are Temporary Crowns Removed? What You Need To Know Smillie Dental Temporary Crown Smells When Removed Temporary crowns are typically made from materials like acrylic or resin, which can sometimes develop an odor if not cared for properly. This bacteria can spring up due to a failed root canal or a crown that. Reach the base of the. Pay attention to the gum line: An odor originating from your crown is usually a sign that there. Temporary Crown Smells When Removed.
From tlesacnemad.weebly.com
getting crown tooth procedure Temporary Crown Smells When Removed Ensure thorough cleaning around the crown and along the gum line. I had the crown replaced about 3 times due to its bad odor. Discomfort and sensitivity from a crown are first addressed with time, as they may be temporary issues that will subside within just a few days as the tooth adjusts to the new crown. Reach the base. Temporary Crown Smells When Removed.
From www.dentistravelturkey.com
WHY DOES MY DENTAL CROWN SMELL? News Temporary Crown Smells When Removed Temporary crowns are temporary restorations used in dentistry to protect a prepared tooth until a permanent crown can be placed. Pay attention to the gum line: Its so irritating and frustrating when the doctors dont. The temp crown itself smelled so bad, i put it in a cup of pure rubbing alcohol, since a cup of listerine wasn't doing the. Temporary Crown Smells When Removed.
From glidewelldental.com
How to Use Temporary Dental Crowns to Boost Treatment Results Temporary Crown Smells When Removed Discomfort and sensitivity from a crown are first addressed with time, as they may be temporary issues that will subside within just a few days as the tooth adjusts to the new crown. Temporary crowns are typically made from materials like acrylic or resin, which can sometimes develop an odor if not cared for properly. Its so irritating and frustrating. Temporary Crown Smells When Removed.
From www.pinterest.com
Smile Makeover Smile makeover, Root canal, Dentist Temporary Crown Smells When Removed I had the crown replaced about 3 times due to its bad odor. Temporary crowns are temporary restorations used in dentistry to protect a prepared tooth until a permanent crown can be placed. An odor originating from your crown is usually a sign that there is bacteria growth or an infection related to your crown. It's hard for me to. Temporary Crown Smells When Removed.
From dentacenter.com
Temporary Crown Fell Off DentaCenter Temporary Crown Smells When Removed Its so irritating and frustrating when the doctors dont. Discomfort and sensitivity from a crown are first addressed with time, as they may be temporary issues that will subside within just a few days as the tooth adjusts to the new crown. Ensure thorough cleaning around the crown and along the gum line. Temporary crowns are temporary restorations used in. Temporary Crown Smells When Removed.
From www.magnumclinic.ae
Temporary Dental Crowns Things You Don’t Know Yet Temporary Crown Smells When Removed Reach the base of the. Ensure thorough cleaning around the crown and along the gum line. What are temporary dental crowns and why are they important? Discomfort and sensitivity from a crown are first addressed with time, as they may be temporary issues that will subside within just a few days as the tooth adjusts to the new crown. Pay. Temporary Crown Smells When Removed.
From www.allsmilesdental.sg
Dental Crowns and Bridges AllSmiles Dental Care Temporary Crown Smells When Removed Discomfort and sensitivity from a crown are first addressed with time, as they may be temporary issues that will subside within just a few days as the tooth adjusts to the new crown. It's hard for me to think. The temp crown itself smelled so bad, i put it in a cup of pure rubbing alcohol, since a cup of. Temporary Crown Smells When Removed.