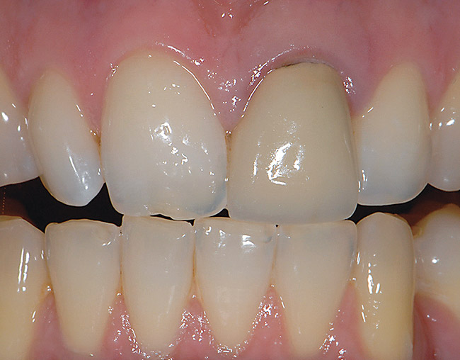
Metal Porcelain Vs Zirconia . Choosing between zirconia crowns and porcelain fused to metal crowns ultimately depends on your individual dental needs and preferences. The debate between using monolithic zirconia crowns or pfm (porcelain fused to metal) crowns has become less contentious in recent years, now that monolithic zirconia has been used for tens of millions of patients and has shown excellent performance qualities. This article will dissect the material battle that could directly impact your dental health and even your lifestyle choices. When caught in the zirconia crown vs porcelain crown debate, there isn't a clear winner. Porcelain may have been the main material used for crowns for years, but zirconia is quickly becoming the gold standard for strength and aesthetics. Zirconia contains no metal lining at the gingival margin. Zirconia crowns are an excellent choice for.
from www.katebraymandds.com
The debate between using monolithic zirconia crowns or pfm (porcelain fused to metal) crowns has become less contentious in recent years, now that monolithic zirconia has been used for tens of millions of patients and has shown excellent performance qualities. Zirconia contains no metal lining at the gingival margin. When caught in the zirconia crown vs porcelain crown debate, there isn't a clear winner. This article will dissect the material battle that could directly impact your dental health and even your lifestyle choices. Zirconia crowns are an excellent choice for. Choosing between zirconia crowns and porcelain fused to metal crowns ultimately depends on your individual dental needs and preferences. Porcelain may have been the main material used for crowns for years, but zirconia is quickly becoming the gold standard for strength and aesthetics.
Difference Between Zirconia Crowns vs Porcelain Crowns Kate Brayman DDS
Metal Porcelain Vs Zirconia This article will dissect the material battle that could directly impact your dental health and even your lifestyle choices. Porcelain may have been the main material used for crowns for years, but zirconia is quickly becoming the gold standard for strength and aesthetics. Choosing between zirconia crowns and porcelain fused to metal crowns ultimately depends on your individual dental needs and preferences. Zirconia contains no metal lining at the gingival margin. Zirconia crowns are an excellent choice for. The debate between using monolithic zirconia crowns or pfm (porcelain fused to metal) crowns has become less contentious in recent years, now that monolithic zirconia has been used for tens of millions of patients and has shown excellent performance qualities. When caught in the zirconia crown vs porcelain crown debate, there isn't a clear winner. This article will dissect the material battle that could directly impact your dental health and even your lifestyle choices.
From mavidenta.com
Zirconia Crowns Vs Porcelain Fused To Metal Which Is Right? Metal Porcelain Vs Zirconia Zirconia contains no metal lining at the gingival margin. This article will dissect the material battle that could directly impact your dental health and even your lifestyle choices. Zirconia crowns are an excellent choice for. The debate between using monolithic zirconia crowns or pfm (porcelain fused to metal) crowns has become less contentious in recent years, now that monolithic zirconia. Metal Porcelain Vs Zirconia.
From ar.inspiredpencil.com
Zirconia Crown Vs Porcelain Fused To Metal Metal Porcelain Vs Zirconia Porcelain may have been the main material used for crowns for years, but zirconia is quickly becoming the gold standard for strength and aesthetics. The debate between using monolithic zirconia crowns or pfm (porcelain fused to metal) crowns has become less contentious in recent years, now that monolithic zirconia has been used for tens of millions of patients and has. Metal Porcelain Vs Zirconia.
From www.meetdandy.com
Porcelain fused to metal vs zirconia Dandy Metal Porcelain Vs Zirconia Porcelain may have been the main material used for crowns for years, but zirconia is quickly becoming the gold standard for strength and aesthetics. This article will dissect the material battle that could directly impact your dental health and even your lifestyle choices. The debate between using monolithic zirconia crowns or pfm (porcelain fused to metal) crowns has become less. Metal Porcelain Vs Zirconia.
From ar.inspiredpencil.com
Zirconia Crown Vs Porcelain Fused To Metal Metal Porcelain Vs Zirconia Zirconia crowns are an excellent choice for. Porcelain may have been the main material used for crowns for years, but zirconia is quickly becoming the gold standard for strength and aesthetics. Zirconia contains no metal lining at the gingival margin. Choosing between zirconia crowns and porcelain fused to metal crowns ultimately depends on your individual dental needs and preferences. This. Metal Porcelain Vs Zirconia.
From animalia-life.club
Porcelain Fused To Metal Crown Before And After Metal Porcelain Vs Zirconia Zirconia contains no metal lining at the gingival margin. Choosing between zirconia crowns and porcelain fused to metal crowns ultimately depends on your individual dental needs and preferences. Zirconia crowns are an excellent choice for. The debate between using monolithic zirconia crowns or pfm (porcelain fused to metal) crowns has become less contentious in recent years, now that monolithic zirconia. Metal Porcelain Vs Zirconia.
From www.katebraymandds.com
Difference Between Zirconia Crowns vs Porcelain Crowns Kate Brayman DDS Metal Porcelain Vs Zirconia Zirconia crowns are an excellent choice for. Choosing between zirconia crowns and porcelain fused to metal crowns ultimately depends on your individual dental needs and preferences. This article will dissect the material battle that could directly impact your dental health and even your lifestyle choices. The debate between using monolithic zirconia crowns or pfm (porcelain fused to metal) crowns has. Metal Porcelain Vs Zirconia.
From ar.inspiredpencil.com
Zirconia Crown Vs Porcelain Fused To Metal Metal Porcelain Vs Zirconia The debate between using monolithic zirconia crowns or pfm (porcelain fused to metal) crowns has become less contentious in recent years, now that monolithic zirconia has been used for tens of millions of patients and has shown excellent performance qualities. Choosing between zirconia crowns and porcelain fused to metal crowns ultimately depends on your individual dental needs and preferences. Porcelain. Metal Porcelain Vs Zirconia.
From gnathosdental.in
Zirconia vs. Porcelain A Comparative Analysis for Dental Crowns and Metal Porcelain Vs Zirconia The debate between using monolithic zirconia crowns or pfm (porcelain fused to metal) crowns has become less contentious in recent years, now that monolithic zirconia has been used for tens of millions of patients and has shown excellent performance qualities. Zirconia contains no metal lining at the gingival margin. When caught in the zirconia crown vs porcelain crown debate, there. Metal Porcelain Vs Zirconia.
From ar.inspiredpencil.com
Zirconia Crown Vs Porcelain Fused To Metal Metal Porcelain Vs Zirconia The debate between using monolithic zirconia crowns or pfm (porcelain fused to metal) crowns has become less contentious in recent years, now that monolithic zirconia has been used for tens of millions of patients and has shown excellent performance qualities. Porcelain may have been the main material used for crowns for years, but zirconia is quickly becoming the gold standard. Metal Porcelain Vs Zirconia.
From ar.inspiredpencil.com
Zirconia Crown Vs Porcelain Fused To Metal Metal Porcelain Vs Zirconia Zirconia crowns are an excellent choice for. Zirconia contains no metal lining at the gingival margin. The debate between using monolithic zirconia crowns or pfm (porcelain fused to metal) crowns has become less contentious in recent years, now that monolithic zirconia has been used for tens of millions of patients and has shown excellent performance qualities. When caught in the. Metal Porcelain Vs Zirconia.
From www.meetdandy.com
Porcelain fused to metal vs zirconia Dandy Metal Porcelain Vs Zirconia This article will dissect the material battle that could directly impact your dental health and even your lifestyle choices. Choosing between zirconia crowns and porcelain fused to metal crowns ultimately depends on your individual dental needs and preferences. Porcelain may have been the main material used for crowns for years, but zirconia is quickly becoming the gold standard for strength. Metal Porcelain Vs Zirconia.
From mavidenta.com
Zirconia Crowns Vs Porcelain Fused To Metal Which Is Right? Metal Porcelain Vs Zirconia When caught in the zirconia crown vs porcelain crown debate, there isn't a clear winner. This article will dissect the material battle that could directly impact your dental health and even your lifestyle choices. Zirconia crowns are an excellent choice for. Zirconia contains no metal lining at the gingival margin. Choosing between zirconia crowns and porcelain fused to metal crowns. Metal Porcelain Vs Zirconia.
From animalia-life.club
Porcelain Fused To Metal Crown Before And After Metal Porcelain Vs Zirconia Porcelain may have been the main material used for crowns for years, but zirconia is quickly becoming the gold standard for strength and aesthetics. Choosing between zirconia crowns and porcelain fused to metal crowns ultimately depends on your individual dental needs and preferences. Zirconia crowns are an excellent choice for. When caught in the zirconia crown vs porcelain crown debate,. Metal Porcelain Vs Zirconia.
From mynjdentist.com
Zirconia vs Porcelain Crowns My New Jersey Dentist Metal Porcelain Vs Zirconia The debate between using monolithic zirconia crowns or pfm (porcelain fused to metal) crowns has become less contentious in recent years, now that monolithic zirconia has been used for tens of millions of patients and has shown excellent performance qualities. When caught in the zirconia crown vs porcelain crown debate, there isn't a clear winner. Zirconia contains no metal lining. Metal Porcelain Vs Zirconia.
From www.pro-craft.com
The Ladder Dental Shade Guide PROCraft Dental Lab Metal Porcelain Vs Zirconia Zirconia contains no metal lining at the gingival margin. When caught in the zirconia crown vs porcelain crown debate, there isn't a clear winner. Porcelain may have been the main material used for crowns for years, but zirconia is quickly becoming the gold standard for strength and aesthetics. Zirconia crowns are an excellent choice for. Choosing between zirconia crowns and. Metal Porcelain Vs Zirconia.
From www.tijuanadentalstudio.com
Metal Porcelain Crowns vs Zirconium Crowns Tijuana Dental Studio Metal Porcelain Vs Zirconia Zirconia contains no metal lining at the gingival margin. Choosing between zirconia crowns and porcelain fused to metal crowns ultimately depends on your individual dental needs and preferences. Zirconia crowns are an excellent choice for. This article will dissect the material battle that could directly impact your dental health and even your lifestyle choices. The debate between using monolithic zirconia. Metal Porcelain Vs Zirconia.
From ar.inspiredpencil.com
Zirconia Crown Vs Porcelain Fused To Metal Metal Porcelain Vs Zirconia This article will dissect the material battle that could directly impact your dental health and even your lifestyle choices. When caught in the zirconia crown vs porcelain crown debate, there isn't a clear winner. Choosing between zirconia crowns and porcelain fused to metal crowns ultimately depends on your individual dental needs and preferences. The debate between using monolithic zirconia crowns. Metal Porcelain Vs Zirconia.
From ar.inspiredpencil.com
Zirconia Crown Vs Porcelain Fused To Metal Metal Porcelain Vs Zirconia The debate between using monolithic zirconia crowns or pfm (porcelain fused to metal) crowns has become less contentious in recent years, now that monolithic zirconia has been used for tens of millions of patients and has shown excellent performance qualities. Choosing between zirconia crowns and porcelain fused to metal crowns ultimately depends on your individual dental needs and preferences. Porcelain. Metal Porcelain Vs Zirconia.
From www.centralavedentalny.com
Zirconia Crowns vs. Porcelain Fused to Metal Crowns Choosing the Right Metal Porcelain Vs Zirconia When caught in the zirconia crown vs porcelain crown debate, there isn't a clear winner. Choosing between zirconia crowns and porcelain fused to metal crowns ultimately depends on your individual dental needs and preferences. This article will dissect the material battle that could directly impact your dental health and even your lifestyle choices. Porcelain may have been the main material. Metal Porcelain Vs Zirconia.
From ar.inspiredpencil.com
Zirconia Crown Vs Porcelain Fused To Metal Metal Porcelain Vs Zirconia The debate between using monolithic zirconia crowns or pfm (porcelain fused to metal) crowns has become less contentious in recent years, now that monolithic zirconia has been used for tens of millions of patients and has shown excellent performance qualities. Zirconia contains no metal lining at the gingival margin. When caught in the zirconia crown vs porcelain crown debate, there. Metal Porcelain Vs Zirconia.
From ar.inspiredpencil.com
Zirconia Crown Vs Porcelain Fused To Metal Metal Porcelain Vs Zirconia Porcelain may have been the main material used for crowns for years, but zirconia is quickly becoming the gold standard for strength and aesthetics. The debate between using monolithic zirconia crowns or pfm (porcelain fused to metal) crowns has become less contentious in recent years, now that monolithic zirconia has been used for tens of millions of patients and has. Metal Porcelain Vs Zirconia.
From cardsdental.com
Amazing Facts About Zirconia Crowns Vs. Porcelain Fused To Metal Crowns Metal Porcelain Vs Zirconia Zirconia contains no metal lining at the gingival margin. The debate between using monolithic zirconia crowns or pfm (porcelain fused to metal) crowns has become less contentious in recent years, now that monolithic zirconia has been used for tens of millions of patients and has shown excellent performance qualities. This article will dissect the material battle that could directly impact. Metal Porcelain Vs Zirconia.
From klavswlvy.blob.core.windows.net
Ceramic Crowns Vs Porcelain Crowns at Samantha Donato blog Metal Porcelain Vs Zirconia Choosing between zirconia crowns and porcelain fused to metal crowns ultimately depends on your individual dental needs and preferences. The debate between using monolithic zirconia crowns or pfm (porcelain fused to metal) crowns has become less contentious in recent years, now that monolithic zirconia has been used for tens of millions of patients and has shown excellent performance qualities. This. Metal Porcelain Vs Zirconia.
From freshdentalkepong.com.my
Porcelain Fused to Metal vs. Zirconia Crown in Malaysia Metal Porcelain Vs Zirconia Choosing between zirconia crowns and porcelain fused to metal crowns ultimately depends on your individual dental needs and preferences. Porcelain may have been the main material used for crowns for years, but zirconia is quickly becoming the gold standard for strength and aesthetics. Zirconia crowns are an excellent choice for. This article will dissect the material battle that could directly. Metal Porcelain Vs Zirconia.
From www.drozlemozcan.com
Zirconia vs Porcelain A Comprehensive Comparison Metal Porcelain Vs Zirconia Choosing between zirconia crowns and porcelain fused to metal crowns ultimately depends on your individual dental needs and preferences. Zirconia crowns are an excellent choice for. Porcelain may have been the main material used for crowns for years, but zirconia is quickly becoming the gold standard for strength and aesthetics. The debate between using monolithic zirconia crowns or pfm (porcelain. Metal Porcelain Vs Zirconia.
From ar.inspiredpencil.com
Zirconia Crown Vs Porcelain Fused To Metal Metal Porcelain Vs Zirconia The debate between using monolithic zirconia crowns or pfm (porcelain fused to metal) crowns has become less contentious in recent years, now that monolithic zirconia has been used for tens of millions of patients and has shown excellent performance qualities. This article will dissect the material battle that could directly impact your dental health and even your lifestyle choices. When. Metal Porcelain Vs Zirconia.
From fity.club
Zirconium Crown Vs Porcelain Fused To Metal Crown Metal Porcelain Vs Zirconia When caught in the zirconia crown vs porcelain crown debate, there isn't a clear winner. Zirconia crowns are an excellent choice for. The debate between using monolithic zirconia crowns or pfm (porcelain fused to metal) crowns has become less contentious in recent years, now that monolithic zirconia has been used for tens of millions of patients and has shown excellent. Metal Porcelain Vs Zirconia.
From www.youtube.com
Zirconia crowns vs. Porcelain Metal Crowns PMC YouTube Metal Porcelain Vs Zirconia When caught in the zirconia crown vs porcelain crown debate, there isn't a clear winner. The debate between using monolithic zirconia crowns or pfm (porcelain fused to metal) crowns has become less contentious in recent years, now that monolithic zirconia has been used for tens of millions of patients and has shown excellent performance qualities. Zirconia contains no metal lining. Metal Porcelain Vs Zirconia.
From www.youtube.com
Zirconia ( All Ceramic ) versus Metal Ceramic Dental Crowns Best Metal Porcelain Vs Zirconia Choosing between zirconia crowns and porcelain fused to metal crowns ultimately depends on your individual dental needs and preferences. Porcelain may have been the main material used for crowns for years, but zirconia is quickly becoming the gold standard for strength and aesthetics. Zirconia crowns are an excellent choice for. The debate between using monolithic zirconia crowns or pfm (porcelain. Metal Porcelain Vs Zirconia.
From ar.inspiredpencil.com
Zirconia Crown Vs Porcelain Fused To Metal Metal Porcelain Vs Zirconia When caught in the zirconia crown vs porcelain crown debate, there isn't a clear winner. This article will dissect the material battle that could directly impact your dental health and even your lifestyle choices. Porcelain may have been the main material used for crowns for years, but zirconia is quickly becoming the gold standard for strength and aesthetics. Zirconia contains. Metal Porcelain Vs Zirconia.
From cardsdental.com
Amazing Facts About Zirconia Crowns Vs. Porcelain Fused To Metal Crowns Metal Porcelain Vs Zirconia The debate between using monolithic zirconia crowns or pfm (porcelain fused to metal) crowns has become less contentious in recent years, now that monolithic zirconia has been used for tens of millions of patients and has shown excellent performance qualities. Choosing between zirconia crowns and porcelain fused to metal crowns ultimately depends on your individual dental needs and preferences. Zirconia. Metal Porcelain Vs Zirconia.
From knightdentalgroup.com
BruxZir® Metal Porcelain Vs Zirconia Zirconia contains no metal lining at the gingival margin. Choosing between zirconia crowns and porcelain fused to metal crowns ultimately depends on your individual dental needs and preferences. The debate between using monolithic zirconia crowns or pfm (porcelain fused to metal) crowns has become less contentious in recent years, now that monolithic zirconia has been used for tens of millions. Metal Porcelain Vs Zirconia.
From mavidenta.com
Zirconia Crowns Vs Porcelain Fused To Metal Which Is Right? Metal Porcelain Vs Zirconia When caught in the zirconia crown vs porcelain crown debate, there isn't a clear winner. Zirconia crowns are an excellent choice for. Porcelain may have been the main material used for crowns for years, but zirconia is quickly becoming the gold standard for strength and aesthetics. This article will dissect the material battle that could directly impact your dental health. Metal Porcelain Vs Zirconia.
From dentaltelegraph.com
Zirconia tooth crown VS. Porcelainfusedmetal crown Dental Telegraph Metal Porcelain Vs Zirconia When caught in the zirconia crown vs porcelain crown debate, there isn't a clear winner. Choosing between zirconia crowns and porcelain fused to metal crowns ultimately depends on your individual dental needs and preferences. This article will dissect the material battle that could directly impact your dental health and even your lifestyle choices. Zirconia contains no metal lining at the. Metal Porcelain Vs Zirconia.
From ar.inspiredpencil.com
Zirconia Crown Vs Porcelain Fused To Metal Metal Porcelain Vs Zirconia Porcelain may have been the main material used for crowns for years, but zirconia is quickly becoming the gold standard for strength and aesthetics. This article will dissect the material battle that could directly impact your dental health and even your lifestyle choices. Zirconia crowns are an excellent choice for. Choosing between zirconia crowns and porcelain fused to metal crowns. Metal Porcelain Vs Zirconia.