Is Shaving Your Teeth Bad . Since your enamel can't grow back, improper tooth shaving can lead to permanent damage to your teeth and future tooth decay. Teeth shaving is used by orthodontists to. You also risk developing tooth sensitivity, nerve inflammation and irritation. Recently, diy teeth shaving, such as with a nail file, has become a trend on social media. First, teeth shaving doesn’t involve shaving hair off your teeth. Dangerous trends and procedures where teeth are shaved down to pegs to achieve the perfect smile can be avoided and is not necessary. This is unsafe to try as it can result in permanent, irreversible damage. Shaving off too much enamel greatly accelerates tooth decay. You probably are wondering what teeth shaving is and if it is beneficial to you. The results don’t last, especially if you grind your teeth at night. Teeth shaving can be dangerous if not done by a dental professional. According to the american association of orthodontists (aao), you should not try shaving your teeth at home. Can you shave your teeth at home? Can you shave your own teeth? The consequences of pursuing these types of faulty treatments can leave some patients needing dentures later on in life.
from www.thediscoverreality.com
Recently, diy teeth shaving, such as with a nail file, has become a trend on social media. The results don’t last, especially if you grind your teeth at night. Since your enamel can't grow back, improper tooth shaving can lead to permanent damage to your teeth and future tooth decay. You probably are wondering what teeth shaving is and if it is beneficial to you. According to the american association of orthodontists (aao), you should not try shaving your teeth at home. Despite teeth appearing more even on social media: The consequences of pursuing these types of faulty treatments can leave some patients needing dentures later on in life. Teeth shaving is used by orthodontists to. Can you shave your teeth at home? This is unsafe to try as it can result in permanent, irreversible damage.
You’ve been brushing your teeth wrong this entire time The Discover
Is Shaving Your Teeth Bad First, teeth shaving doesn’t involve shaving hair off your teeth. Recently, diy teeth shaving, such as with a nail file, has become a trend on social media. The results don’t last, especially if you grind your teeth at night. Can you shave your teeth at home? Despite teeth appearing more even on social media: First, teeth shaving doesn’t involve shaving hair off your teeth. Dangerous trends and procedures where teeth are shaved down to pegs to achieve the perfect smile can be avoided and is not necessary. The consequences of pursuing these types of faulty treatments can leave some patients needing dentures later on in life. You probably are wondering what teeth shaving is and if it is beneficial to you. Since your enamel can't grow back, improper tooth shaving can lead to permanent damage to your teeth and future tooth decay. Can you shave your own teeth? According to the american association of orthodontists (aao), you should not try shaving your teeth at home. This is unsafe to try as it can result in permanent, irreversible damage. You also risk developing tooth sensitivity, nerve inflammation and irritation. Teeth shaving can be dangerous if not done by a dental professional. Shaving off too much enamel greatly accelerates tooth decay.
From www.thediscoverreality.com
You’ve been brushing your teeth wrong this entire time The Discover Is Shaving Your Teeth Bad This is unsafe to try as it can result in permanent, irreversible damage. Recently, diy teeth shaving, such as with a nail file, has become a trend on social media. According to the american association of orthodontists (aao), you should not try shaving your teeth at home. Teeth shaving can be dangerous if not done by a dental professional. Shaving. Is Shaving Your Teeth Bad.
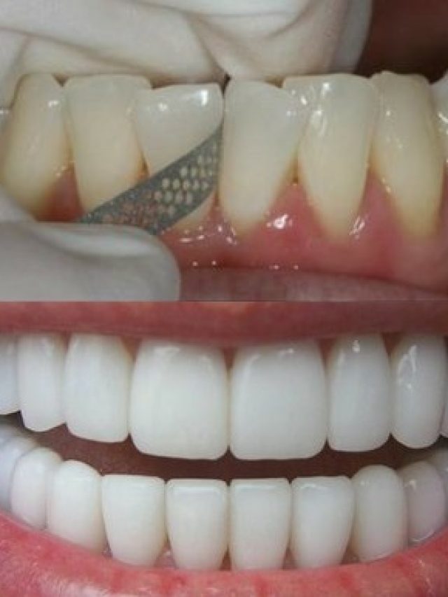
From stgeorgedentalcare.com
Reshaping Teeth with Tooth Shaving St. Dental Care Is Shaving Your Teeth Bad According to the american association of orthodontists (aao), you should not try shaving your teeth at home. Dangerous trends and procedures where teeth are shaved down to pegs to achieve the perfect smile can be avoided and is not necessary. The consequences of pursuing these types of faulty treatments can leave some patients needing dentures later on in life. Teeth. Is Shaving Your Teeth Bad.
From teethwalls.blogspot.com
How Much Does It Cost To Shave Teeth TeethWalls Is Shaving Your Teeth Bad Despite teeth appearing more even on social media: Teeth shaving is used by orthodontists to. Can you shave your teeth at home? First, teeth shaving doesn’t involve shaving hair off your teeth. The results don’t last, especially if you grind your teeth at night. This is unsafe to try as it can result in permanent, irreversible damage. You probably are. Is Shaving Your Teeth Bad.
From www.youtube.com
Teeth Shaving!?! What to know to avoid a bad experience. McKinney Is Shaving Your Teeth Bad Teeth shaving is used by orthodontists to. This is unsafe to try as it can result in permanent, irreversible damage. Recently, diy teeth shaving, such as with a nail file, has become a trend on social media. First, teeth shaving doesn’t involve shaving hair off your teeth. The results don’t last, especially if you grind your teeth at night. Shaving. Is Shaving Your Teeth Bad.
From teethposter.blogspot.com
How To Shave Down Your Teeth At Home Teeth Poster Is Shaving Your Teeth Bad This is unsafe to try as it can result in permanent, irreversible damage. Recently, diy teeth shaving, such as with a nail file, has become a trend on social media. The results don’t last, especially if you grind your teeth at night. Dangerous trends and procedures where teeth are shaved down to pegs to achieve the perfect smile can be. Is Shaving Your Teeth Bad.
From forums.spacebattles.com
The horrific trend of teens grounding down their teeth and put fake Is Shaving Your Teeth Bad You also risk developing tooth sensitivity, nerve inflammation and irritation. According to the american association of orthodontists (aao), you should not try shaving your teeth at home. Recently, diy teeth shaving, such as with a nail file, has become a trend on social media. Shaving off too much enamel greatly accelerates tooth decay. First, teeth shaving doesn’t involve shaving hair. Is Shaving Your Teeth Bad.
From trustdentalcare.com
How Much Do They Have to Shave Your Teeth for Veneers? Is Shaving Your Teeth Bad Teeth shaving can be dangerous if not done by a dental professional. Dangerous trends and procedures where teeth are shaved down to pegs to achieve the perfect smile can be avoided and is not necessary. The consequences of pursuing these types of faulty treatments can leave some patients needing dentures later on in life. Recently, diy teeth shaving, such as. Is Shaving Your Teeth Bad.
From kumraortho.com
Is it Normal to Shave Teeth for Invisalign? Kumra Orthodontics Is Shaving Your Teeth Bad The results don’t last, especially if you grind your teeth at night. Can you shave your own teeth? Recently, diy teeth shaving, such as with a nail file, has become a trend on social media. Teeth shaving can be dangerous if not done by a dental professional. Teeth shaving is used by orthodontists to. This is unsafe to try as. Is Shaving Your Teeth Bad.
From bestorthodontistusa.com
Teeth Shaving Before and After Costs Explained Is Shaving Your Teeth Bad Dangerous trends and procedures where teeth are shaved down to pegs to achieve the perfect smile can be avoided and is not necessary. Shaving off too much enamel greatly accelerates tooth decay. Teeth shaving can be dangerous if not done by a dental professional. Recently, diy teeth shaving, such as with a nail file, has become a trend on social. Is Shaving Your Teeth Bad.
From www.youtube.com
"Getting my teeth shaved down!?" YouTube Is Shaving Your Teeth Bad Can you shave your own teeth? This is unsafe to try as it can result in permanent, irreversible damage. Can you shave your teeth at home? Teeth shaving is used by orthodontists to. According to the american association of orthodontists (aao), you should not try shaving your teeth at home. Since your enamel can't grow back, improper tooth shaving can. Is Shaving Your Teeth Bad.
From worldofdentistry.org
6 Risks of Home Teeth Shaving Why You Shouldn't Do It Yourself Is Shaving Your Teeth Bad Dangerous trends and procedures where teeth are shaved down to pegs to achieve the perfect smile can be avoided and is not necessary. Can you shave your teeth at home? The results don’t last, especially if you grind your teeth at night. Teeth shaving can be dangerous if not done by a dental professional. You also risk developing tooth sensitivity,. Is Shaving Your Teeth Bad.
From www.youtube.com
Do Teeth Need to be Filed or Shaved Down for Veneers? YouTube Is Shaving Your Teeth Bad Since your enamel can't grow back, improper tooth shaving can lead to permanent damage to your teeth and future tooth decay. Can you shave your teeth at home? According to the american association of orthodontists (aao), you should not try shaving your teeth at home. You probably are wondering what teeth shaving is and if it is beneficial to you.. Is Shaving Your Teeth Bad.
From www.smalljoysnews.com
Dentist Warns TeethShaving Teens They'll Need Dentures By Their 40s Is Shaving Your Teeth Bad The results don’t last, especially if you grind your teeth at night. Teeth shaving is used by orthodontists to. Shaving off too much enamel greatly accelerates tooth decay. Since your enamel can't grow back, improper tooth shaving can lead to permanent damage to your teeth and future tooth decay. The consequences of pursuing these types of faulty treatments can leave. Is Shaving Your Teeth Bad.
From dentalhealthsociety.com
Shaving Teeth for Invisalign Dental Health Society Is Shaving Your Teeth Bad According to the american association of orthodontists (aao), you should not try shaving your teeth at home. You probably are wondering what teeth shaving is and if it is beneficial to you. Despite teeth appearing more even on social media: Teeth shaving can be dangerous if not done by a dental professional. You also risk developing tooth sensitivity, nerve inflammation. Is Shaving Your Teeth Bad.
From www.shavingplanet.com
The Ultimate Guide to Shaving My Teeth Shaving Is Shaving Your Teeth Bad You probably are wondering what teeth shaving is and if it is beneficial to you. Dangerous trends and procedures where teeth are shaved down to pegs to achieve the perfect smile can be avoided and is not necessary. Since your enamel can't grow back, improper tooth shaving can lead to permanent damage to your teeth and future tooth decay. Despite. Is Shaving Your Teeth Bad.
From www.youtube.com
SHAVING FRONT TEETH? 4 month adjustment YouTube Is Shaving Your Teeth Bad This is unsafe to try as it can result in permanent, irreversible damage. Teeth shaving is used by orthodontists to. First, teeth shaving doesn’t involve shaving hair off your teeth. You probably are wondering what teeth shaving is and if it is beneficial to you. Despite teeth appearing more even on social media: Can you shave your teeth at home?. Is Shaving Your Teeth Bad.
From bespokesmile.co.uk
What Is Teeth Shaving Everything You Need To Know Bespoke Smile Is Shaving Your Teeth Bad Shaving off too much enamel greatly accelerates tooth decay. Can you shave your own teeth? You probably are wondering what teeth shaving is and if it is beneficial to you. Recently, diy teeth shaving, such as with a nail file, has become a trend on social media. Despite teeth appearing more even on social media: Since your enamel can't grow. Is Shaving Your Teeth Bad.
From www.shavingplanet.com
The Ultimate Guide to Shaving My Teeth Shaving Is Shaving Your Teeth Bad Can you shave your teeth at home? You probably are wondering what teeth shaving is and if it is beneficial to you. The consequences of pursuing these types of faulty treatments can leave some patients needing dentures later on in life. According to the american association of orthodontists (aao), you should not try shaving your teeth at home. This is. Is Shaving Your Teeth Bad.
From www.dentalcarereport.com
Is It Safe To File Or Shave Down Your Own Teeth? Dental Care Report Is Shaving Your Teeth Bad Shaving off too much enamel greatly accelerates tooth decay. The results don’t last, especially if you grind your teeth at night. Teeth shaving can be dangerous if not done by a dental professional. Dangerous trends and procedures where teeth are shaved down to pegs to achieve the perfect smile can be avoided and is not necessary. Teeth shaving is used. Is Shaving Your Teeth Bad.
From www.stgeorgesmiles.com
What’s The Purpose Of Tooth Shaving? Riverside Dental Is Shaving Your Teeth Bad Can you shave your own teeth? Despite teeth appearing more even on social media: You probably are wondering what teeth shaving is and if it is beneficial to you. Dangerous trends and procedures where teeth are shaved down to pegs to achieve the perfect smile can be avoided and is not necessary. Can you shave your teeth at home? According. Is Shaving Your Teeth Bad.
From www.lighthousedentalcentre.com
Do You Need to Shave Your Teeth for Veneers? Is Shaving Your Teeth Bad The consequences of pursuing these types of faulty treatments can leave some patients needing dentures later on in life. You probably are wondering what teeth shaving is and if it is beneficial to you. First, teeth shaving doesn’t involve shaving hair off your teeth. Dangerous trends and procedures where teeth are shaved down to pegs to achieve the perfect smile. Is Shaving Your Teeth Bad.
From iheartintelligence.com
TikTokers who shave down their teeth with nail files will suffer Is Shaving Your Teeth Bad Teeth shaving can be dangerous if not done by a dental professional. Since your enamel can't grow back, improper tooth shaving can lead to permanent damage to your teeth and future tooth decay. Recently, diy teeth shaving, such as with a nail file, has become a trend on social media. Despite teeth appearing more even on social media: Can you. Is Shaving Your Teeth Bad.
From knowyourmeme.com
TikTok Teeth Shaving Trending Videos Gallery Know Your Meme Is Shaving Your Teeth Bad Recently, diy teeth shaving, such as with a nail file, has become a trend on social media. According to the american association of orthodontists (aao), you should not try shaving your teeth at home. Can you shave your teeth at home? You probably are wondering what teeth shaving is and if it is beneficial to you. Dangerous trends and procedures. Is Shaving Your Teeth Bad.
From bespokesmile.co.uk
How Dangerous Is Teeth Shaving? Bespoke Smile Is Shaving Your Teeth Bad Despite teeth appearing more even on social media: According to the american association of orthodontists (aao), you should not try shaving your teeth at home. Since your enamel can't grow back, improper tooth shaving can lead to permanent damage to your teeth and future tooth decay. You also risk developing tooth sensitivity, nerve inflammation and irritation. Can you shave your. Is Shaving Your Teeth Bad.
From smilefortwayne.com
What is the Process of Shaving Teeth for Veneers? Family Dentistry Is Shaving Your Teeth Bad Dangerous trends and procedures where teeth are shaved down to pegs to achieve the perfect smile can be avoided and is not necessary. Can you shave your teeth at home? This is unsafe to try as it can result in permanent, irreversible damage. Teeth shaving is used by orthodontists to. Despite teeth appearing more even on social media: Teeth shaving. Is Shaving Your Teeth Bad.
From dentallaid.com
Shaved Teeth for Veneers Is Shaving Necessary? Is Shaving Your Teeth Bad You also risk developing tooth sensitivity, nerve inflammation and irritation. You probably are wondering what teeth shaving is and if it is beneficial to you. Dangerous trends and procedures where teeth are shaved down to pegs to achieve the perfect smile can be avoided and is not necessary. According to the american association of orthodontists (aao), you should not try. Is Shaving Your Teeth Bad.
From www.youtube.com
Braces update SHAVING MY TEETH?! 6 months YouTube Is Shaving Your Teeth Bad First, teeth shaving doesn’t involve shaving hair off your teeth. The results don’t last, especially if you grind your teeth at night. Dangerous trends and procedures where teeth are shaved down to pegs to achieve the perfect smile can be avoided and is not necessary. Since your enamel can't grow back, improper tooth shaving can lead to permanent damage to. Is Shaving Your Teeth Bad.
From www.shavingplanet.com
The Ultimate Guide to Shaving My Teeth Shaving Is Shaving Your Teeth Bad Despite teeth appearing more even on social media: Teeth shaving is used by orthodontists to. Dangerous trends and procedures where teeth are shaved down to pegs to achieve the perfect smile can be avoided and is not necessary. You also risk developing tooth sensitivity, nerve inflammation and irritation. Since your enamel can't grow back, improper tooth shaving can lead to. Is Shaving Your Teeth Bad.
From www.reddit.com
I’m finally done! My before and after! They shaved my front teeth down Is Shaving Your Teeth Bad Teeth shaving can be dangerous if not done by a dental professional. Despite teeth appearing more even on social media: Teeth shaving is used by orthodontists to. First, teeth shaving doesn’t involve shaving hair off your teeth. Shaving off too much enamel greatly accelerates tooth decay. Recently, diy teeth shaving, such as with a nail file, has become a trend. Is Shaving Your Teeth Bad.
From teethopedia.com
The Top 3 shaving teeth down techniques How to do it in just minutes Is Shaving Your Teeth Bad You also risk developing tooth sensitivity, nerve inflammation and irritation. Shaving off too much enamel greatly accelerates tooth decay. The results don’t last, especially if you grind your teeth at night. Teeth shaving can be dangerous if not done by a dental professional. Teeth shaving is used by orthodontists to. First, teeth shaving doesn’t involve shaving hair off your teeth.. Is Shaving Your Teeth Bad.
From www.libertyvillagedentalcare.com
Teeth shaving Is it harmful? Is Shaving Your Teeth Bad Teeth shaving can be dangerous if not done by a dental professional. This is unsafe to try as it can result in permanent, irreversible damage. According to the american association of orthodontists (aao), you should not try shaving your teeth at home. You also risk developing tooth sensitivity, nerve inflammation and irritation. You probably are wondering what teeth shaving is. Is Shaving Your Teeth Bad.
From www.animalia-life.club
Vampire Teeth Sharpening Is Shaving Your Teeth Bad Teeth shaving is used by orthodontists to. This is unsafe to try as it can result in permanent, irreversible damage. Shaving off too much enamel greatly accelerates tooth decay. Since your enamel can't grow back, improper tooth shaving can lead to permanent damage to your teeth and future tooth decay. According to the american association of orthodontists (aao), you should. Is Shaving Your Teeth Bad.
From bespokesmile.co.uk
How Dangerous Is Teeth Shaving? Bespoke Smile Is Shaving Your Teeth Bad Can you shave your teeth at home? Since your enamel can't grow back, improper tooth shaving can lead to permanent damage to your teeth and future tooth decay. The consequences of pursuing these types of faulty treatments can leave some patients needing dentures later on in life. Teeth shaving is used by orthodontists to. Despite teeth appearing more even on. Is Shaving Your Teeth Bad.
From worldnewlive.com
Do They Shave Teeth For Veneers? Mastery Wiki Is Shaving Your Teeth Bad Despite teeth appearing more even on social media: You probably are wondering what teeth shaving is and if it is beneficial to you. The consequences of pursuing these types of faulty treatments can leave some patients needing dentures later on in life. Teeth shaving is used by orthodontists to. First, teeth shaving doesn’t involve shaving hair off your teeth. Teeth. Is Shaving Your Teeth Bad.
From sandiegoinvisaligndentist.org
Do they shave your teeth for veneers? Dental News Network Is Shaving Your Teeth Bad According to the american association of orthodontists (aao), you should not try shaving your teeth at home. Teeth shaving is used by orthodontists to. First, teeth shaving doesn’t involve shaving hair off your teeth. Can you shave your own teeth? This is unsafe to try as it can result in permanent, irreversible damage. Dangerous trends and procedures where teeth are. Is Shaving Your Teeth Bad.