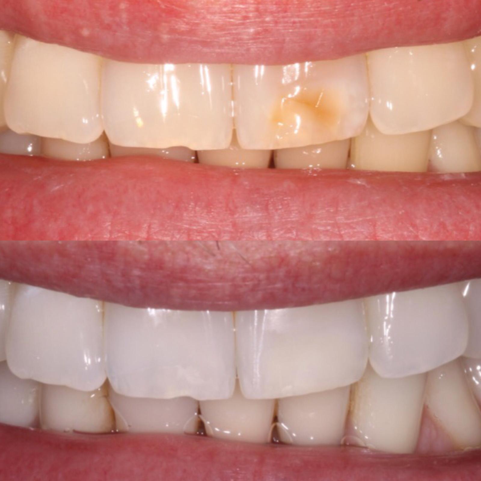
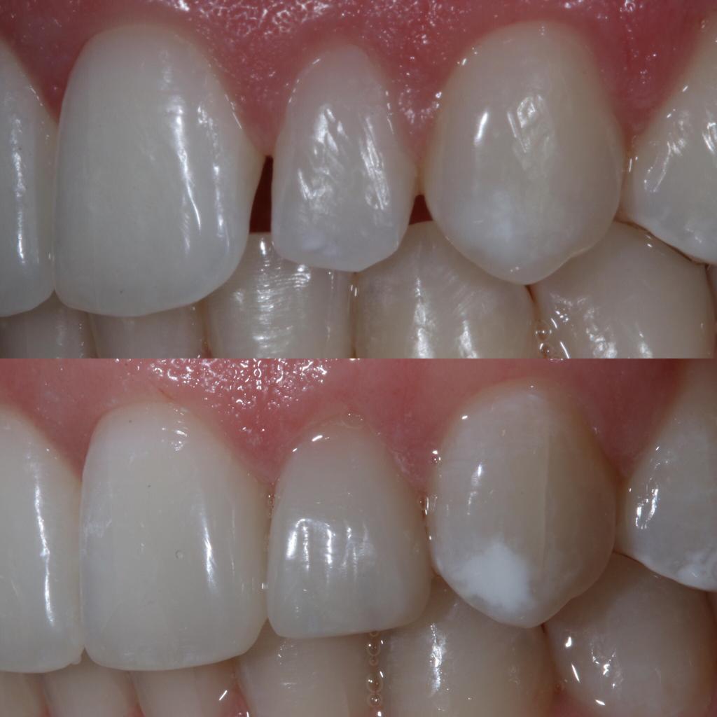
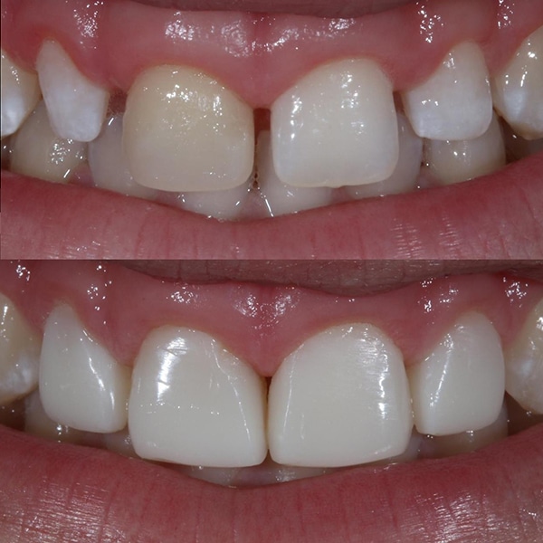
Teeth Bonding Leicester . It’s a particularly useful treatment for restoring chipped and broken teeth, as well as minor imperfections in your smile including small gaps and aesthetic tweaks. Teeth contouring is a skilled procedure that our cosmetic dentists use to correct minor imperfections on teeth that give. At green dental in leicester, we offer composite bonding, a versatile and minimally invasive cosmetic dentistry treatment that can. This versatile treatment can correct a variety of dental imperfections, including chipped, discoloured, misshapen, or gapped teeth. The composite bonding process is the. Composite bonding is an easy way of improving everything from chips, cracks and stains to small gaps and shaping issues with your teeth. Our experienced dental team carefully moulds and sculpts the composite resin to seamlessly blend with your natural teeth, resulting in a flawless and harmonious smile.
from www.knightondental.co.uk
Our experienced dental team carefully moulds and sculpts the composite resin to seamlessly blend with your natural teeth, resulting in a flawless and harmonious smile. It’s a particularly useful treatment for restoring chipped and broken teeth, as well as minor imperfections in your smile including small gaps and aesthetic tweaks. This versatile treatment can correct a variety of dental imperfections, including chipped, discoloured, misshapen, or gapped teeth. At green dental in leicester, we offer composite bonding, a versatile and minimally invasive cosmetic dentistry treatment that can. Composite bonding is an easy way of improving everything from chips, cracks and stains to small gaps and shaping issues with your teeth. The composite bonding process is the. Teeth contouring is a skilled procedure that our cosmetic dentists use to correct minor imperfections on teeth that give.
Teeth bonding Knighton Dental Practice Dentist in Leicester, England
Teeth Bonding Leicester This versatile treatment can correct a variety of dental imperfections, including chipped, discoloured, misshapen, or gapped teeth. Composite bonding is an easy way of improving everything from chips, cracks and stains to small gaps and shaping issues with your teeth. This versatile treatment can correct a variety of dental imperfections, including chipped, discoloured, misshapen, or gapped teeth. At green dental in leicester, we offer composite bonding, a versatile and minimally invasive cosmetic dentistry treatment that can. Our experienced dental team carefully moulds and sculpts the composite resin to seamlessly blend with your natural teeth, resulting in a flawless and harmonious smile. It’s a particularly useful treatment for restoring chipped and broken teeth, as well as minor imperfections in your smile including small gaps and aesthetic tweaks. The composite bonding process is the. Teeth contouring is a skilled procedure that our cosmetic dentists use to correct minor imperfections on teeth that give.
From www.hallcrossdental.co.uk
Composite Bonding Leicester Tooth Bonding Wigston Teeth Bonding Leicester This versatile treatment can correct a variety of dental imperfections, including chipped, discoloured, misshapen, or gapped teeth. Our experienced dental team carefully moulds and sculpts the composite resin to seamlessly blend with your natural teeth, resulting in a flawless and harmonious smile. Composite bonding is an easy way of improving everything from chips, cracks and stains to small gaps and. Teeth Bonding Leicester.
From airdriedentalcare.co.uk
Composite Bonding Airdrie Dental Care Teeth Bonding Leicester The composite bonding process is the. At green dental in leicester, we offer composite bonding, a versatile and minimally invasive cosmetic dentistry treatment that can. Teeth contouring is a skilled procedure that our cosmetic dentists use to correct minor imperfections on teeth that give. Our experienced dental team carefully moulds and sculpts the composite resin to seamlessly blend with your. Teeth Bonding Leicester.
From www.oakdaledental.co.uk
Teeth Bonding Leicester Contouring Leicester Quick Teeth Repair Teeth Bonding Leicester Our experienced dental team carefully moulds and sculpts the composite resin to seamlessly blend with your natural teeth, resulting in a flawless and harmonious smile. Teeth contouring is a skilled procedure that our cosmetic dentists use to correct minor imperfections on teeth that give. The composite bonding process is the. At green dental in leicester, we offer composite bonding, a. Teeth Bonding Leicester.
From healthjade.com
Teeth bonding or dental bonding pros and cons, how long dental bonding last Teeth Bonding Leicester Our experienced dental team carefully moulds and sculpts the composite resin to seamlessly blend with your natural teeth, resulting in a flawless and harmonious smile. Teeth contouring is a skilled procedure that our cosmetic dentists use to correct minor imperfections on teeth that give. Composite bonding is an easy way of improving everything from chips, cracks and stains to small. Teeth Bonding Leicester.
From www.oakdaledental.co.uk
Teeth Bonding Leicester Contouring Leicester Quick Teeth Repair Teeth Bonding Leicester At green dental in leicester, we offer composite bonding, a versatile and minimally invasive cosmetic dentistry treatment that can. This versatile treatment can correct a variety of dental imperfections, including chipped, discoloured, misshapen, or gapped teeth. It’s a particularly useful treatment for restoring chipped and broken teeth, as well as minor imperfections in your smile including small gaps and aesthetic. Teeth Bonding Leicester.
From preventivedental.com
Tooth Bonding in South West London Preventive Dental Teeth Bonding Leicester This versatile treatment can correct a variety of dental imperfections, including chipped, discoloured, misshapen, or gapped teeth. At green dental in leicester, we offer composite bonding, a versatile and minimally invasive cosmetic dentistry treatment that can. The composite bonding process is the. Composite bonding is an easy way of improving everything from chips, cracks and stains to small gaps and. Teeth Bonding Leicester.
From ruhdental.com
How Composite Bonding can fix crooked teeth Ruh Dental Teeth Bonding Leicester The composite bonding process is the. Composite bonding is an easy way of improving everything from chips, cracks and stains to small gaps and shaping issues with your teeth. At green dental in leicester, we offer composite bonding, a versatile and minimally invasive cosmetic dentistry treatment that can. Our experienced dental team carefully moulds and sculpts the composite resin to. Teeth Bonding Leicester.
From www.knightondental.co.uk
Teeth bonding Knighton Dental Practice Dentist in Leicester, England Teeth Bonding Leicester The composite bonding process is the. This versatile treatment can correct a variety of dental imperfections, including chipped, discoloured, misshapen, or gapped teeth. It’s a particularly useful treatment for restoring chipped and broken teeth, as well as minor imperfections in your smile including small gaps and aesthetic tweaks. At green dental in leicester, we offer composite bonding, a versatile and. Teeth Bonding Leicester.
From winchesteravenuedentalsurgery.co.uk
Composite Bonding in Leicester Topquality dental bonding Teeth Bonding Leicester Teeth contouring is a skilled procedure that our cosmetic dentists use to correct minor imperfections on teeth that give. Our experienced dental team carefully moulds and sculpts the composite resin to seamlessly blend with your natural teeth, resulting in a flawless and harmonious smile. At green dental in leicester, we offer composite bonding, a versatile and minimally invasive cosmetic dentistry. Teeth Bonding Leicester.
From www.hallcrossdental.co.uk
Composite Bonding Leicester Tooth Bonding Wigston Teeth Bonding Leicester The composite bonding process is the. At green dental in leicester, we offer composite bonding, a versatile and minimally invasive cosmetic dentistry treatment that can. Composite bonding is an easy way of improving everything from chips, cracks and stains to small gaps and shaping issues with your teeth. Teeth contouring is a skilled procedure that our cosmetic dentists use to. Teeth Bonding Leicester.
From kingsdentalcare.co.uk
Teeth Bonding Dentist Grinstead Teeth Bonding Leicester Composite bonding is an easy way of improving everything from chips, cracks and stains to small gaps and shaping issues with your teeth. At green dental in leicester, we offer composite bonding, a versatile and minimally invasive cosmetic dentistry treatment that can. Our experienced dental team carefully moulds and sculpts the composite resin to seamlessly blend with your natural teeth,. Teeth Bonding Leicester.
From drhealthylife.com
Dental Bonding How to Restore Your Winning Smile Dr Healthy Life Teeth Bonding Leicester Teeth contouring is a skilled procedure that our cosmetic dentists use to correct minor imperfections on teeth that give. The composite bonding process is the. This versatile treatment can correct a variety of dental imperfections, including chipped, discoloured, misshapen, or gapped teeth. At green dental in leicester, we offer composite bonding, a versatile and minimally invasive cosmetic dentistry treatment that. Teeth Bonding Leicester.
From www.hallcrossdental.co.uk
Composite Bonding Leicester Tooth Bonding Wigston Teeth Bonding Leicester Composite bonding is an easy way of improving everything from chips, cracks and stains to small gaps and shaping issues with your teeth. It’s a particularly useful treatment for restoring chipped and broken teeth, as well as minor imperfections in your smile including small gaps and aesthetic tweaks. Our experienced dental team carefully moulds and sculpts the composite resin to. Teeth Bonding Leicester.
From thewindsordentalpractice.co.uk
Composite Bonding The Windsor Dental Practice Dentist Leicester Teeth Bonding Leicester Our experienced dental team carefully moulds and sculpts the composite resin to seamlessly blend with your natural teeth, resulting in a flawless and harmonious smile. It’s a particularly useful treatment for restoring chipped and broken teeth, as well as minor imperfections in your smile including small gaps and aesthetic tweaks. At green dental in leicester, we offer composite bonding, a. Teeth Bonding Leicester.
From www.knightondental.co.uk
Composite Bonding Knighton Dental Practice Dentist in Leicester Teeth Bonding Leicester The composite bonding process is the. It’s a particularly useful treatment for restoring chipped and broken teeth, as well as minor imperfections in your smile including small gaps and aesthetic tweaks. Teeth contouring is a skilled procedure that our cosmetic dentists use to correct minor imperfections on teeth that give. This versatile treatment can correct a variety of dental imperfections,. Teeth Bonding Leicester.
From www.knightondental.co.uk
Composite Bonding Archives Knighton Dental Practice Dentist in Teeth Bonding Leicester Our experienced dental team carefully moulds and sculpts the composite resin to seamlessly blend with your natural teeth, resulting in a flawless and harmonious smile. At green dental in leicester, we offer composite bonding, a versatile and minimally invasive cosmetic dentistry treatment that can. The composite bonding process is the. It’s a particularly useful treatment for restoring chipped and broken. Teeth Bonding Leicester.
From www.hallcrossdental.co.uk
Composite Bonding Leicester Tooth Bonding Wigston Teeth Bonding Leicester Composite bonding is an easy way of improving everything from chips, cracks and stains to small gaps and shaping issues with your teeth. This versatile treatment can correct a variety of dental imperfections, including chipped, discoloured, misshapen, or gapped teeth. The composite bonding process is the. At green dental in leicester, we offer composite bonding, a versatile and minimally invasive. Teeth Bonding Leicester.
From www.oakdaledental.co.uk
Teeth Bonding Leicester Contouring Leicester Quick Teeth Repair Teeth Bonding Leicester This versatile treatment can correct a variety of dental imperfections, including chipped, discoloured, misshapen, or gapped teeth. Our experienced dental team carefully moulds and sculpts the composite resin to seamlessly blend with your natural teeth, resulting in a flawless and harmonious smile. It’s a particularly useful treatment for restoring chipped and broken teeth, as well as minor imperfections in your. Teeth Bonding Leicester.
From www.oakdaledental.co.uk
Teeth Bonding Leicester Contouring Leicester Quick Teeth Repair Teeth Bonding Leicester Teeth contouring is a skilled procedure that our cosmetic dentists use to correct minor imperfections on teeth that give. At green dental in leicester, we offer composite bonding, a versatile and minimally invasive cosmetic dentistry treatment that can. This versatile treatment can correct a variety of dental imperfections, including chipped, discoloured, misshapen, or gapped teeth. Composite bonding is an easy. Teeth Bonding Leicester.
From www.knightondental.co.uk
Composite Bonding Archives Knighton Dental Practice Dentist in Teeth Bonding Leicester Teeth contouring is a skilled procedure that our cosmetic dentists use to correct minor imperfections on teeth that give. At green dental in leicester, we offer composite bonding, a versatile and minimally invasive cosmetic dentistry treatment that can. Our experienced dental team carefully moulds and sculpts the composite resin to seamlessly blend with your natural teeth, resulting in a flawless. Teeth Bonding Leicester.
From www.oakdaledental.co.uk
Teeth Bonding Leicester Contouring Leicester Quick Teeth Repair Teeth Bonding Leicester At green dental in leicester, we offer composite bonding, a versatile and minimally invasive cosmetic dentistry treatment that can. Teeth contouring is a skilled procedure that our cosmetic dentists use to correct minor imperfections on teeth that give. This versatile treatment can correct a variety of dental imperfections, including chipped, discoloured, misshapen, or gapped teeth. Composite bonding is an easy. Teeth Bonding Leicester.
From www.oakdaledental.co.uk
Teeth Bonding Leicester Contouring Leicester Quick Teeth Repair Teeth Bonding Leicester It’s a particularly useful treatment for restoring chipped and broken teeth, as well as minor imperfections in your smile including small gaps and aesthetic tweaks. Teeth contouring is a skilled procedure that our cosmetic dentists use to correct minor imperfections on teeth that give. Composite bonding is an easy way of improving everything from chips, cracks and stains to small. Teeth Bonding Leicester.
From www.oakdaledental.co.uk
Teeth Bonding Leicester Contouring Leicester Quick Teeth Repair Teeth Bonding Leicester This versatile treatment can correct a variety of dental imperfections, including chipped, discoloured, misshapen, or gapped teeth. Our experienced dental team carefully moulds and sculpts the composite resin to seamlessly blend with your natural teeth, resulting in a flawless and harmonious smile. At green dental in leicester, we offer composite bonding, a versatile and minimally invasive cosmetic dentistry treatment that. Teeth Bonding Leicester.
From www.oakdaledental.co.uk
Teeth Bonding Leicester Contouring Leicester Quick Teeth Repair Teeth Bonding Leicester Teeth contouring is a skilled procedure that our cosmetic dentists use to correct minor imperfections on teeth that give. The composite bonding process is the. It’s a particularly useful treatment for restoring chipped and broken teeth, as well as minor imperfections in your smile including small gaps and aesthetic tweaks. This versatile treatment can correct a variety of dental imperfections,. Teeth Bonding Leicester.
From www.oakdaledental.co.uk
Teeth Bonding Leicester Contouring Leicester Quick Teeth Repair Teeth Bonding Leicester This versatile treatment can correct a variety of dental imperfections, including chipped, discoloured, misshapen, or gapped teeth. It’s a particularly useful treatment for restoring chipped and broken teeth, as well as minor imperfections in your smile including small gaps and aesthetic tweaks. At green dental in leicester, we offer composite bonding, a versatile and minimally invasive cosmetic dentistry treatment that. Teeth Bonding Leicester.
From www.beechview.ie
Composite Bonding Dental Bonding Teeth Bonding Beechview Dental Teeth Bonding Leicester Teeth contouring is a skilled procedure that our cosmetic dentists use to correct minor imperfections on teeth that give. At green dental in leicester, we offer composite bonding, a versatile and minimally invasive cosmetic dentistry treatment that can. Composite bonding is an easy way of improving everything from chips, cracks and stains to small gaps and shaping issues with your. Teeth Bonding Leicester.
From www.oakdaledental.co.uk
Before & After Cosmetic Oakdale Dental Teeth Bonding Leicester Our experienced dental team carefully moulds and sculpts the composite resin to seamlessly blend with your natural teeth, resulting in a flawless and harmonious smile. This versatile treatment can correct a variety of dental imperfections, including chipped, discoloured, misshapen, or gapped teeth. Composite bonding is an easy way of improving everything from chips, cracks and stains to small gaps and. Teeth Bonding Leicester.
From chathamdentists.co.uk
Cosmetic Bonding Chatham Teeth Bonding Dental Bonding Medway Teeth Bonding Leicester It’s a particularly useful treatment for restoring chipped and broken teeth, as well as minor imperfections in your smile including small gaps and aesthetic tweaks. Composite bonding is an easy way of improving everything from chips, cracks and stains to small gaps and shaping issues with your teeth. The composite bonding process is the. Our experienced dental team carefully moulds. Teeth Bonding Leicester.
From chathamdentists.co.uk
Cosmetic Bonding Chatham Teeth Bonding Dental Bonding Medway Teeth Bonding Leicester Composite bonding is an easy way of improving everything from chips, cracks and stains to small gaps and shaping issues with your teeth. This versatile treatment can correct a variety of dental imperfections, including chipped, discoloured, misshapen, or gapped teeth. Our experienced dental team carefully moulds and sculpts the composite resin to seamlessly blend with your natural teeth, resulting in. Teeth Bonding Leicester.
From www.90210dentist.net
Filling the Gaps Veneers, Implants and Dental Bonding Dr. Kevin Sands Teeth Bonding Leicester This versatile treatment can correct a variety of dental imperfections, including chipped, discoloured, misshapen, or gapped teeth. At green dental in leicester, we offer composite bonding, a versatile and minimally invasive cosmetic dentistry treatment that can. Our experienced dental team carefully moulds and sculpts the composite resin to seamlessly blend with your natural teeth, resulting in a flawless and harmonious. Teeth Bonding Leicester.
From www.chelmsforddental.com.au
Dental Bonding What is It? & the Pros and Cons Associated Teeth Bonding Leicester Composite bonding is an easy way of improving everything from chips, cracks and stains to small gaps and shaping issues with your teeth. This versatile treatment can correct a variety of dental imperfections, including chipped, discoloured, misshapen, or gapped teeth. Our experienced dental team carefully moulds and sculpts the composite resin to seamlessly blend with your natural teeth, resulting in. Teeth Bonding Leicester.
From www.oakdaledental.co.uk
Teeth Bonding Leicester Contouring Leicester Quick Teeth Repair Teeth Bonding Leicester Teeth contouring is a skilled procedure that our cosmetic dentists use to correct minor imperfections on teeth that give. At green dental in leicester, we offer composite bonding, a versatile and minimally invasive cosmetic dentistry treatment that can. This versatile treatment can correct a variety of dental imperfections, including chipped, discoloured, misshapen, or gapped teeth. It’s a particularly useful treatment. Teeth Bonding Leicester.
From www.knightondental.co.uk
Composite Bonding Knighton Dental Practice Dentist in Leicester Teeth Bonding Leicester This versatile treatment can correct a variety of dental imperfections, including chipped, discoloured, misshapen, or gapped teeth. Our experienced dental team carefully moulds and sculpts the composite resin to seamlessly blend with your natural teeth, resulting in a flawless and harmonious smile. It’s a particularly useful treatment for restoring chipped and broken teeth, as well as minor imperfections in your. Teeth Bonding Leicester.
From www.knightondental.co.uk
Composite Bonding Archives Knighton Dental Practice Dentist in Teeth Bonding Leicester This versatile treatment can correct a variety of dental imperfections, including chipped, discoloured, misshapen, or gapped teeth. At green dental in leicester, we offer composite bonding, a versatile and minimally invasive cosmetic dentistry treatment that can. Our experienced dental team carefully moulds and sculpts the composite resin to seamlessly blend with your natural teeth, resulting in a flawless and harmonious. Teeth Bonding Leicester.
From brushinonbelmont.com
Teeth Bonding 101 Everything You Need to Know About the Procedure Teeth Bonding Leicester The composite bonding process is the. Composite bonding is an easy way of improving everything from chips, cracks and stains to small gaps and shaping issues with your teeth. This versatile treatment can correct a variety of dental imperfections, including chipped, discoloured, misshapen, or gapped teeth. At green dental in leicester, we offer composite bonding, a versatile and minimally invasive. Teeth Bonding Leicester.