Pin Holes In Teeth . the goal of pinhole gum surgery is to improve the appearance of your gums by correcting gum recession (the movement of your gums away from your teeth, exposing the tooth root). what is pinhole surgery? Also known as the pinhole gum rejuvenation or lunchtime gum lift, the pinhole surgical technique™ is a minimally invasive procedure for fixing gum recession invented and patented by dr. pinhole surgery, also called the chao pinhole surgical technique (pst), is a minimally invasive surgery for treating receding gums. as a cochrane review article explains, this can increase your risk for cavities in the roots of your teeth. pinhole gum surgery, also known as the pinhole surgical technique (pst), is a dental procedure used to treat. pinhole gum surgery, (also known as the pinhole® surgical technique and pinhole gum rejuvenation®), is a. Periodontists usually require special training in this receding gums treatment to carry it out correctly. Luckily, there are treatments available for receding gums, including pinhole gum surgery. Gum recession can occur for a variety of reasons, including: The ada also observes that gum recession can make your teeth sensitive to hot and cold temperatures. the hallmark of the pinhole surgical technique is the creation of small pinholes in the gum tissue above the.
from www.emergencydentistsusa.com
the hallmark of the pinhole surgical technique is the creation of small pinholes in the gum tissue above the. as a cochrane review article explains, this can increase your risk for cavities in the roots of your teeth. what is pinhole surgery? Luckily, there are treatments available for receding gums, including pinhole gum surgery. Also known as the pinhole gum rejuvenation or lunchtime gum lift, the pinhole surgical technique™ is a minimally invasive procedure for fixing gum recession invented and patented by dr. Periodontists usually require special training in this receding gums treatment to carry it out correctly. the goal of pinhole gum surgery is to improve the appearance of your gums by correcting gum recession (the movement of your gums away from your teeth, exposing the tooth root). The ada also observes that gum recession can make your teeth sensitive to hot and cold temperatures. pinhole surgery, also called the chao pinhole surgical technique (pst), is a minimally invasive surgery for treating receding gums. pinhole gum surgery, also known as the pinhole surgical technique (pst), is a dental procedure used to treat.
Hole in Tooth? What You Need to Know
Pin Holes In Teeth Gum recession can occur for a variety of reasons, including: the hallmark of the pinhole surgical technique is the creation of small pinholes in the gum tissue above the. as a cochrane review article explains, this can increase your risk for cavities in the roots of your teeth. Gum recession can occur for a variety of reasons, including: Periodontists usually require special training in this receding gums treatment to carry it out correctly. Also known as the pinhole gum rejuvenation or lunchtime gum lift, the pinhole surgical technique™ is a minimally invasive procedure for fixing gum recession invented and patented by dr. pinhole gum surgery, (also known as the pinhole® surgical technique and pinhole gum rejuvenation®), is a. pinhole surgery, also called the chao pinhole surgical technique (pst), is a minimally invasive surgery for treating receding gums. what is pinhole surgery? pinhole gum surgery, also known as the pinhole surgical technique (pst), is a dental procedure used to treat. The ada also observes that gum recession can make your teeth sensitive to hot and cold temperatures. the goal of pinhole gum surgery is to improve the appearance of your gums by correcting gum recession (the movement of your gums away from your teeth, exposing the tooth root). Luckily, there are treatments available for receding gums, including pinhole gum surgery.
From www.implantperiospecialist.com
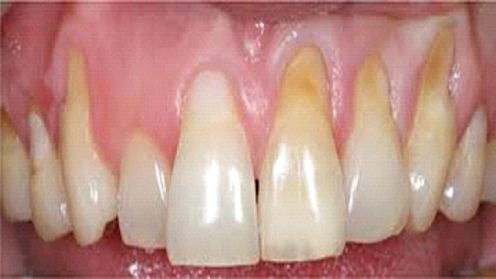
Pinhole Surgical Technique Vancouver Burnaby, Gum Recession Treatment Pin Holes In Teeth Gum recession can occur for a variety of reasons, including: pinhole gum surgery, (also known as the pinhole® surgical technique and pinhole gum rejuvenation®), is a. as a cochrane review article explains, this can increase your risk for cavities in the roots of your teeth. Periodontists usually require special training in this receding gums treatment to carry it. Pin Holes In Teeth.
From www.lighthousedentalcentre.com
What is the Small Black Point on my Tooth? Pin Holes In Teeth what is pinhole surgery? as a cochrane review article explains, this can increase your risk for cavities in the roots of your teeth. Also known as the pinhole gum rejuvenation or lunchtime gum lift, the pinhole surgical technique™ is a minimally invasive procedure for fixing gum recession invented and patented by dr. pinhole gum surgery, (also known. Pin Holes In Teeth.
From blog.1dental.com
Hole in Gum Line & How to Treat Periodontitis 1Dental Pin Holes In Teeth Also known as the pinhole gum rejuvenation or lunchtime gum lift, the pinhole surgical technique™ is a minimally invasive procedure for fixing gum recession invented and patented by dr. Periodontists usually require special training in this receding gums treatment to carry it out correctly. what is pinhole surgery? the hallmark of the pinhole surgical technique is the creation. Pin Holes In Teeth.
From atengarofalodental.com
Understanding Tooth Decay Stages and Treatments Aten & Garofalo Dentistry Pin Holes In Teeth pinhole gum surgery, also known as the pinhole surgical technique (pst), is a dental procedure used to treat. the goal of pinhole gum surgery is to improve the appearance of your gums by correcting gum recession (the movement of your gums away from your teeth, exposing the tooth root). pinhole surgery, also called the chao pinhole surgical. Pin Holes In Teeth.
From www.brooklynheightsdental.com
Chao Pinhole® Surgical Technique Brooklyn Heights, NY Pin Holes In Teeth pinhole gum surgery, also known as the pinhole surgical technique (pst), is a dental procedure used to treat. Luckily, there are treatments available for receding gums, including pinhole gum surgery. the goal of pinhole gum surgery is to improve the appearance of your gums by correcting gum recession (the movement of your gums away from your teeth, exposing. Pin Holes In Teeth.
From www.bluecourtdental.com
There's a hole in my tooth! Blue Court Dental Centre, Harrow Pin Holes In Teeth pinhole surgery, also called the chao pinhole surgical technique (pst), is a minimally invasive surgery for treating receding gums. the goal of pinhole gum surgery is to improve the appearance of your gums by correcting gum recession (the movement of your gums away from your teeth, exposing the tooth root). the hallmark of the pinhole surgical technique. Pin Holes In Teeth.
From www.emergencydentistsusa.com
Hole in Tooth? What You Need to Know Pin Holes In Teeth The ada also observes that gum recession can make your teeth sensitive to hot and cold temperatures. Gum recession can occur for a variety of reasons, including: Periodontists usually require special training in this receding gums treatment to carry it out correctly. the hallmark of the pinhole surgical technique is the creation of small pinholes in the gum tissue. Pin Holes In Teeth.
From sdperio.com
The Pinhole Technique San Diego Stop Gum Recession Today Pin Holes In Teeth The ada also observes that gum recession can make your teeth sensitive to hot and cold temperatures. pinhole surgery, also called the chao pinhole surgical technique (pst), is a minimally invasive surgery for treating receding gums. Gum recession can occur for a variety of reasons, including: Luckily, there are treatments available for receding gums, including pinhole gum surgery. . Pin Holes In Teeth.
From www.periodontistboca.com
PinHole Surgical Technique Thomas A. Copulos DDS, PA Periodontist Pin Holes In Teeth Periodontists usually require special training in this receding gums treatment to carry it out correctly. Also known as the pinhole gum rejuvenation or lunchtime gum lift, the pinhole surgical technique™ is a minimally invasive procedure for fixing gum recession invented and patented by dr. as a cochrane review article explains, this can increase your risk for cavities in the. Pin Holes In Teeth.
From www.interdent.com
The 3 Most Common Types of Cavities and How They are Treated SmileKeepers Pin Holes In Teeth Periodontists usually require special training in this receding gums treatment to carry it out correctly. pinhole surgery, also called the chao pinhole surgical technique (pst), is a minimally invasive surgery for treating receding gums. the goal of pinhole gum surgery is to improve the appearance of your gums by correcting gum recession (the movement of your gums away. Pin Holes In Teeth.
From zenithcosmeticdental.co.uk
Holes Zenith Cosmetic Dentistry Pin Holes In Teeth Gum recession can occur for a variety of reasons, including: pinhole surgery, also called the chao pinhole surgical technique (pst), is a minimally invasive surgery for treating receding gums. the goal of pinhole gum surgery is to improve the appearance of your gums by correcting gum recession (the movement of your gums away from your teeth, exposing the. Pin Holes In Teeth.
From www.pinterest.com
Pin on Montclair Dental tips Pin Holes In Teeth as a cochrane review article explains, this can increase your risk for cavities in the roots of your teeth. pinhole gum surgery, (also known as the pinhole® surgical technique and pinhole gum rejuvenation®), is a. pinhole gum surgery, also known as the pinhole surgical technique (pst), is a dental procedure used to treat. Gum recession can occur. Pin Holes In Teeth.
From www.associatesofdentalarts.com
Receding Gums? Associates of Dental Arts Has the Answer Pinhole Pin Holes In Teeth pinhole surgery, also called the chao pinhole surgical technique (pst), is a minimally invasive surgery for treating receding gums. pinhole gum surgery, also known as the pinhole surgical technique (pst), is a dental procedure used to treat. the goal of pinhole gum surgery is to improve the appearance of your gums by correcting gum recession (the movement. Pin Holes In Teeth.
From lyonscreekdentalcare.com
Holes In Teeth Not Just From Cavities Lyons Creek Dental Care Pin Holes In Teeth Gum recession can occur for a variety of reasons, including: pinhole surgery, also called the chao pinhole surgical technique (pst), is a minimally invasive surgery for treating receding gums. the goal of pinhole gum surgery is to improve the appearance of your gums by correcting gum recession (the movement of your gums away from your teeth, exposing the. Pin Holes In Teeth.
From www.youtube.com
Hole in Teeth Treatment 3 Easy Ways to Hide or Fix a Hole In Your Pin Holes In Teeth Also known as the pinhole gum rejuvenation or lunchtime gum lift, the pinhole surgical technique™ is a minimally invasive procedure for fixing gum recession invented and patented by dr. pinhole gum surgery, (also known as the pinhole® surgical technique and pinhole gum rejuvenation®), is a. pinhole surgery, also called the chao pinhole surgical technique (pst), is a minimally. Pin Holes In Teeth.
From www.dentistealaval.com
Pinhole Surgical Technique (PST), what is it exactly? DentisteAlaval Pin Holes In Teeth pinhole surgery, also called the chao pinhole surgical technique (pst), is a minimally invasive surgery for treating receding gums. Periodontists usually require special training in this receding gums treatment to carry it out correctly. Gum recession can occur for a variety of reasons, including: The ada also observes that gum recession can make your teeth sensitive to hot and. Pin Holes In Teeth.
From www.villageinframe.com
Holes In Gum Line A Pictures Of Hole 2018 Pin Holes In Teeth The ada also observes that gum recession can make your teeth sensitive to hot and cold temperatures. as a cochrane review article explains, this can increase your risk for cavities in the roots of your teeth. the goal of pinhole gum surgery is to improve the appearance of your gums by correcting gum recession (the movement of your. Pin Holes In Teeth.
From www.reddit.com
Are these tiny holes denture "cavities"? What can I do? I assume taking Pin Holes In Teeth pinhole surgery, also called the chao pinhole surgical technique (pst), is a minimally invasive surgery for treating receding gums. as a cochrane review article explains, this can increase your risk for cavities in the roots of your teeth. what is pinhole surgery? the hallmark of the pinhole surgical technique is the creation of small pinholes in. Pin Holes In Teeth.
From www.shannachircodds.com
Dental Fillings / Cavity Treatment — Shanna Chirco DDS Pin Holes In Teeth Luckily, there are treatments available for receding gums, including pinhole gum surgery. the goal of pinhole gum surgery is to improve the appearance of your gums by correcting gum recession (the movement of your gums away from your teeth, exposing the tooth root). what is pinhole surgery? Gum recession can occur for a variety of reasons, including: . Pin Holes In Teeth.
From www.emergencydentistsusa.com
Hole in Tooth? What You Need to Know Pin Holes In Teeth pinhole gum surgery, (also known as the pinhole® surgical technique and pinhole gum rejuvenation®), is a. as a cochrane review article explains, this can increase your risk for cavities in the roots of your teeth. pinhole gum surgery, also known as the pinhole surgical technique (pst), is a dental procedure used to treat. The ada also observes. Pin Holes In Teeth.
From www.dreamstime.com
The Hole in the Tooth and the Treatment of Dental Canals. Treatment of Pin Holes In Teeth pinhole gum surgery, also known as the pinhole surgical technique (pst), is a dental procedure used to treat. what is pinhole surgery? Luckily, there are treatments available for receding gums, including pinhole gum surgery. Periodontists usually require special training in this receding gums treatment to carry it out correctly. pinhole gum surgery, (also known as the pinhole®. Pin Holes In Teeth.
From www.youtube.com
Introducing the Revolutionary Pinhole Technique Gum Surgery with No Pin Holes In Teeth The ada also observes that gum recession can make your teeth sensitive to hot and cold temperatures. pinhole gum surgery, (also known as the pinhole® surgical technique and pinhole gum rejuvenation®), is a. the goal of pinhole gum surgery is to improve the appearance of your gums by correcting gum recession (the movement of your gums away from. Pin Holes In Teeth.
From www.dreamstime.com
The Hole in the Tooth and the Treatment of Dental Canals. Treatment of Pin Holes In Teeth Gum recession can occur for a variety of reasons, including: what is pinhole surgery? as a cochrane review article explains, this can increase your risk for cavities in the roots of your teeth. Also known as the pinhole gum rejuvenation or lunchtime gum lift, the pinhole surgical technique™ is a minimally invasive procedure for fixing gum recession invented. Pin Holes In Teeth.
From www.annigandental.com
Get the Facts about Cavities with Your Dentist in Bothell Pin Holes In Teeth Periodontists usually require special training in this receding gums treatment to carry it out correctly. The ada also observes that gum recession can make your teeth sensitive to hot and cold temperatures. as a cochrane review article explains, this can increase your risk for cavities in the roots of your teeth. Also known as the pinhole gum rejuvenation or. Pin Holes In Teeth.
From www.dreamstime.com
Man`s Open Mouth with Cavity Holes on a Molar Tooth Stock Photo Image Pin Holes In Teeth The ada also observes that gum recession can make your teeth sensitive to hot and cold temperatures. Gum recession can occur for a variety of reasons, including: pinhole surgery, also called the chao pinhole surgical technique (pst), is a minimally invasive surgery for treating receding gums. what is pinhole surgery? the hallmark of the pinhole surgical technique. Pin Holes In Teeth.
From www.villageinframe.com
Teeth Have Holes At Gum Line A Pictures Of Hole 2018 Pin Holes In Teeth as a cochrane review article explains, this can increase your risk for cavities in the roots of your teeth. the hallmark of the pinhole surgical technique is the creation of small pinholes in the gum tissue above the. Periodontists usually require special training in this receding gums treatment to carry it out correctly. what is pinhole surgery?. Pin Holes In Teeth.
From wholesomealive.com
I Have a Hole in My Tooth and It Hurts 3 Best Solutions Pin Holes In Teeth Periodontists usually require special training in this receding gums treatment to carry it out correctly. pinhole gum surgery, also known as the pinhole surgical technique (pst), is a dental procedure used to treat. The ada also observes that gum recession can make your teeth sensitive to hot and cold temperatures. pinhole gum surgery, (also known as the pinhole®. Pin Holes In Teeth.
From meulenerdental.com
Meulener Dental of Little Silver Pinhole Technique Photos Pin Holes In Teeth Also known as the pinhole gum rejuvenation or lunchtime gum lift, the pinhole surgical technique™ is a minimally invasive procedure for fixing gum recession invented and patented by dr. pinhole gum surgery, (also known as the pinhole® surgical technique and pinhole gum rejuvenation®), is a. pinhole gum surgery, also known as the pinhole surgical technique (pst), is a. Pin Holes In Teeth.
From www.villageinframe.com
What Does It Mean When You Have Small Holes In Your Teeth A Pictures Pin Holes In Teeth pinhole surgery, also called the chao pinhole surgical technique (pst), is a minimally invasive surgery for treating receding gums. what is pinhole surgery? the hallmark of the pinhole surgical technique is the creation of small pinholes in the gum tissue above the. pinhole gum surgery, also known as the pinhole surgical technique (pst), is a dental. Pin Holes In Teeth.
From www.youtube.com
Chao Pinhole Gum Rejuvenation Chao Pinhole Surgical Technique YouTube Pin Holes In Teeth pinhole gum surgery, (also known as the pinhole® surgical technique and pinhole gum rejuvenation®), is a. Luckily, there are treatments available for receding gums, including pinhole gum surgery. the goal of pinhole gum surgery is to improve the appearance of your gums by correcting gum recession (the movement of your gums away from your teeth, exposing the tooth. Pin Holes In Teeth.
From www.dreamstime.com
The Hole in the Tooth and the Treatment of Dental Canals. Treatment of Pin Holes In Teeth Periodontists usually require special training in this receding gums treatment to carry it out correctly. pinhole surgery, also called the chao pinhole surgical technique (pst), is a minimally invasive surgery for treating receding gums. the goal of pinhole gum surgery is to improve the appearance of your gums by correcting gum recession (the movement of your gums away. Pin Holes In Teeth.
From bweisshealth.com
Why You Need To Get A Hole In Tooth Fixed Pin Holes In Teeth Gum recession can occur for a variety of reasons, including: The ada also observes that gum recession can make your teeth sensitive to hot and cold temperatures. the goal of pinhole gum surgery is to improve the appearance of your gums by correcting gum recession (the movement of your gums away from your teeth, exposing the tooth root). . Pin Holes In Teeth.
From pocketdentistry.com
3 Retention of Cores Pocket Dentistry Pin Holes In Teeth as a cochrane review article explains, this can increase your risk for cavities in the roots of your teeth. pinhole gum surgery, (also known as the pinhole® surgical technique and pinhole gum rejuvenation®), is a. Periodontists usually require special training in this receding gums treatment to carry it out correctly. The ada also observes that gum recession can. Pin Holes In Teeth.
From www.youtube.com
HOLE in the TOOTH? YouTube Pin Holes In Teeth the goal of pinhole gum surgery is to improve the appearance of your gums by correcting gum recession (the movement of your gums away from your teeth, exposing the tooth root). pinhole gum surgery, also known as the pinhole surgical technique (pst), is a dental procedure used to treat. pinhole surgery, also called the chao pinhole surgical. Pin Holes In Teeth.
From blog.iti.org
Tips in guided dental implant placement ITI Blog Pin Holes In Teeth Also known as the pinhole gum rejuvenation or lunchtime gum lift, the pinhole surgical technique™ is a minimally invasive procedure for fixing gum recession invented and patented by dr. what is pinhole surgery? pinhole gum surgery, (also known as the pinhole® surgical technique and pinhole gum rejuvenation®), is a. Luckily, there are treatments available for receding gums, including. Pin Holes In Teeth.