Hip Fracture Nclex Questions Quizlet . Fractures occur when significant force is applied to the bone, causing it to break. Study with quizlet and memorize flashcards containing terms like a client fell off a ladder and the healthcare provider suspects a fracture of. A patient with a hip fracture has petechiae on their chest, dyspnea, and a decrease in oxygen saturation. We want to make sure the bone gets realigned because displaced. This is a quiz that contains nclex review questions for bone fractures. Take a look at our interactive learning quiz about exemplar 13.2: The elderly client is admitted to the emergency room. This nursing test bank includes 70 questions about musculoskeletal disorders and its related concepts such as: What fracture complication do you. Which symptom is the client with a fractured hip most likely to exhibit? As a nurse providing care to a patient with fractures, it is important to know the signs and symptoms, nursing management for casts and traction, complications, patient education, and treatment for this condition. Fractures, or create your own quiz using our free cloud based quiz maker. Anatomy and physiology of the musculoskeletal system, nursing care management of patients with osteoporosis, rheumatoid arthritis, gout, osteoarthritis, and more.
from quizlet.com
The elderly client is admitted to the emergency room. Fractures occur when significant force is applied to the bone, causing it to break. Fractures, or create your own quiz using our free cloud based quiz maker. Which symptom is the client with a fractured hip most likely to exhibit? What fracture complication do you. This nursing test bank includes 70 questions about musculoskeletal disorders and its related concepts such as: This is a quiz that contains nclex review questions for bone fractures. Anatomy and physiology of the musculoskeletal system, nursing care management of patients with osteoporosis, rheumatoid arthritis, gout, osteoarthritis, and more. We want to make sure the bone gets realigned because displaced. As a nurse providing care to a patient with fractures, it is important to know the signs and symptoms, nursing management for casts and traction, complications, patient education, and treatment for this condition.
Right Hip Bone Lateral View Diagram Quizlet
Hip Fracture Nclex Questions Quizlet What fracture complication do you. Study with quizlet and memorize flashcards containing terms like a client fell off a ladder and the healthcare provider suspects a fracture of. Which symptom is the client with a fractured hip most likely to exhibit? We want to make sure the bone gets realigned because displaced. Anatomy and physiology of the musculoskeletal system, nursing care management of patients with osteoporosis, rheumatoid arthritis, gout, osteoarthritis, and more. Take a look at our interactive learning quiz about exemplar 13.2: A patient with a hip fracture has petechiae on their chest, dyspnea, and a decrease in oxygen saturation. This nursing test bank includes 70 questions about musculoskeletal disorders and its related concepts such as: This is a quiz that contains nclex review questions for bone fractures. As a nurse providing care to a patient with fractures, it is important to know the signs and symptoms, nursing management for casts and traction, complications, patient education, and treatment for this condition. Fractures, or create your own quiz using our free cloud based quiz maker. Fractures occur when significant force is applied to the bone, causing it to break. The elderly client is admitted to the emergency room. What fracture complication do you.
From orthopaedicprinciples.com
Hip Fractures History, Exam and Evaluation of Patients Hip Fracture Nclex Questions Quizlet Anatomy and physiology of the musculoskeletal system, nursing care management of patients with osteoporosis, rheumatoid arthritis, gout, osteoarthritis, and more. What fracture complication do you. Fractures occur when significant force is applied to the bone, causing it to break. We want to make sure the bone gets realigned because displaced. A patient with a hip fracture has petechiae on their. Hip Fracture Nclex Questions Quizlet.
From www.pinterest.fr
Hip Fracture Nursing Mnemonics and Tips Nursing mnemonics, Medical Hip Fracture Nclex Questions Quizlet Which symptom is the client with a fractured hip most likely to exhibit? The elderly client is admitted to the emergency room. This is a quiz that contains nclex review questions for bone fractures. Fractures, or create your own quiz using our free cloud based quiz maker. We want to make sure the bone gets realigned because displaced. This nursing. Hip Fracture Nclex Questions Quizlet.
From issuu.com
Hip Fracture by sauravankur2020 Issuu Hip Fracture Nclex Questions Quizlet What fracture complication do you. A patient with a hip fracture has petechiae on their chest, dyspnea, and a decrease in oxygen saturation. Fractures, or create your own quiz using our free cloud based quiz maker. We want to make sure the bone gets realigned because displaced. Take a look at our interactive learning quiz about exemplar 13.2: Fractures occur. Hip Fracture Nclex Questions Quizlet.
From www.pinterest.com
Hip Fracture Nursing Diagnosis and Care Plan Hip Fracture Nclex Questions Quizlet A patient with a hip fracture has petechiae on their chest, dyspnea, and a decrease in oxygen saturation. Fractures occur when significant force is applied to the bone, causing it to break. Study with quizlet and memorize flashcards containing terms like a client fell off a ladder and the healthcare provider suspects a fracture of. We want to make sure. Hip Fracture Nclex Questions Quizlet.
From www.studocu.com
Fractures Nclex Questions Fractures NCLEX Questions 1. What type of Hip Fracture Nclex Questions Quizlet We want to make sure the bone gets realigned because displaced. Anatomy and physiology of the musculoskeletal system, nursing care management of patients with osteoporosis, rheumatoid arthritis, gout, osteoarthritis, and more. What fracture complication do you. This is a quiz that contains nclex review questions for bone fractures. Fractures, or create your own quiz using our free cloud based quiz. Hip Fracture Nclex Questions Quizlet.
From www.studypk.com
NCLEX Femoral Neck Fracture Practice Questions StudyPK Hip Fracture Nclex Questions Quizlet Anatomy and physiology of the musculoskeletal system, nursing care management of patients with osteoporosis, rheumatoid arthritis, gout, osteoarthritis, and more. This is a quiz that contains nclex review questions for bone fractures. We want to make sure the bone gets realigned because displaced. This nursing test bank includes 70 questions about musculoskeletal disorders and its related concepts such as: Which. Hip Fracture Nclex Questions Quizlet.
From www.pinterest.com
NCLEX Tip Types of Bone Fractures Types of bones, Bone fracture Hip Fracture Nclex Questions Quizlet A patient with a hip fracture has petechiae on their chest, dyspnea, and a decrease in oxygen saturation. This is a quiz that contains nclex review questions for bone fractures. As a nurse providing care to a patient with fractures, it is important to know the signs and symptoms, nursing management for casts and traction, complications, patient education, and treatment. Hip Fracture Nclex Questions Quizlet.
From www.coursehero.com
[Solved] What are the different types of lower extremity fractures with Hip Fracture Nclex Questions Quizlet Fractures occur when significant force is applied to the bone, causing it to break. Take a look at our interactive learning quiz about exemplar 13.2: As a nurse providing care to a patient with fractures, it is important to know the signs and symptoms, nursing management for casts and traction, complications, patient education, and treatment for this condition. What fracture. Hip Fracture Nclex Questions Quizlet.
From quizlet.com
Right Hip Bone Lateral View Diagram Quizlet Hip Fracture Nclex Questions Quizlet Fractures, or create your own quiz using our free cloud based quiz maker. We want to make sure the bone gets realigned because displaced. A patient with a hip fracture has petechiae on their chest, dyspnea, and a decrease in oxygen saturation. Anatomy and physiology of the musculoskeletal system, nursing care management of patients with osteoporosis, rheumatoid arthritis, gout, osteoarthritis,. Hip Fracture Nclex Questions Quizlet.
From em3.org.uk
Lightning Learning Hip Fractures — EM3 East Midlands Emergency Hip Fracture Nclex Questions Quizlet Fractures, or create your own quiz using our free cloud based quiz maker. Take a look at our interactive learning quiz about exemplar 13.2: This nursing test bank includes 70 questions about musculoskeletal disorders and its related concepts such as: What fracture complication do you. We want to make sure the bone gets realigned because displaced. A patient with a. Hip Fracture Nclex Questions Quizlet.
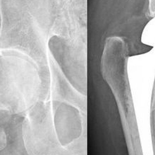
From orthobuzz.jbjs.org
Time to Focus on Muscle in Hip Fracture OrthoBuzz Hip Fracture Nclex Questions Quizlet Fractures occur when significant force is applied to the bone, causing it to break. We want to make sure the bone gets realigned because displaced. Which symptom is the client with a fractured hip most likely to exhibit? This is a quiz that contains nclex review questions for bone fractures. Fractures, or create your own quiz using our free cloud. Hip Fracture Nclex Questions Quizlet.
From quizlet.com
Fracture types Diagram Quizlet Hip Fracture Nclex Questions Quizlet Which symptom is the client with a fractured hip most likely to exhibit? Anatomy and physiology of the musculoskeletal system, nursing care management of patients with osteoporosis, rheumatoid arthritis, gout, osteoarthritis, and more. What fracture complication do you. This nursing test bank includes 70 questions about musculoskeletal disorders and its related concepts such as: Fractures occur when significant force is. Hip Fracture Nclex Questions Quizlet.
From www.pinterest.com
Fracture Nursing Care Management Study Guide Emt Study, Nurse Study Hip Fracture Nclex Questions Quizlet A patient with a hip fracture has petechiae on their chest, dyspnea, and a decrease in oxygen saturation. This is a quiz that contains nclex review questions for bone fractures. What fracture complication do you. Take a look at our interactive learning quiz about exemplar 13.2: This nursing test bank includes 70 questions about musculoskeletal disorders and its related concepts. Hip Fracture Nclex Questions Quizlet.
From orthocentralcoast.com.au
Hip Fracture Central Coast Dr Simon Hutabarat Hip Fracture Nclex Questions Quizlet Take a look at our interactive learning quiz about exemplar 13.2: The elderly client is admitted to the emergency room. What fracture complication do you. Anatomy and physiology of the musculoskeletal system, nursing care management of patients with osteoporosis, rheumatoid arthritis, gout, osteoarthritis, and more. A patient with a hip fracture has petechiae on their chest, dyspnea, and a decrease. Hip Fracture Nclex Questions Quizlet.
From www.pinterest.es
Nursing Classes, Nursing School Studying, Nursing School Notes, Nursing Hip Fracture Nclex Questions Quizlet The elderly client is admitted to the emergency room. As a nurse providing care to a patient with fractures, it is important to know the signs and symptoms, nursing management for casts and traction, complications, patient education, and treatment for this condition. What fracture complication do you. This nursing test bank includes 70 questions about musculoskeletal disorders and its related. Hip Fracture Nclex Questions Quizlet.
From take.quiz-maker.com
Fractures Quiz ByMohamed Mamdouh Take the Quiz QuizMaker Hip Fracture Nclex Questions Quizlet Anatomy and physiology of the musculoskeletal system, nursing care management of patients with osteoporosis, rheumatoid arthritis, gout, osteoarthritis, and more. Study with quizlet and memorize flashcards containing terms like a client fell off a ladder and the healthcare provider suspects a fracture of. Fractures occur when significant force is applied to the bone, causing it to break. As a nurse. Hip Fracture Nclex Questions Quizlet.
From www.pinterest.com
Post Hip fracture surgery patient teaching Medical university, Hip Hip Fracture Nclex Questions Quizlet Anatomy and physiology of the musculoskeletal system, nursing care management of patients with osteoporosis, rheumatoid arthritis, gout, osteoarthritis, and more. Take a look at our interactive learning quiz about exemplar 13.2: A patient with a hip fracture has petechiae on their chest, dyspnea, and a decrease in oxygen saturation. The elderly client is admitted to the emergency room. Fractures occur. Hip Fracture Nclex Questions Quizlet.
From www.studypk.com
NCLEX Practice Questions Quiz 830 StudyPK Hip Fracture Nclex Questions Quizlet This nursing test bank includes 70 questions about musculoskeletal disorders and its related concepts such as: Fractures, or create your own quiz using our free cloud based quiz maker. Anatomy and physiology of the musculoskeletal system, nursing care management of patients with osteoporosis, rheumatoid arthritis, gout, osteoarthritis, and more. What fracture complication do you. The elderly client is admitted to. Hip Fracture Nclex Questions Quizlet.
From medicalxpress.com
Five questions to ask a doctor about your hip fracture Hip Fracture Nclex Questions Quizlet This nursing test bank includes 70 questions about musculoskeletal disorders and its related concepts such as: What fracture complication do you. The elderly client is admitted to the emergency room. We want to make sure the bone gets realigned because displaced. Anatomy and physiology of the musculoskeletal system, nursing care management of patients with osteoporosis, rheumatoid arthritis, gout, osteoarthritis, and. Hip Fracture Nclex Questions Quizlet.
From www.youtube.com
Hip Fracture NCLEX Quick Tips YouTube Hip Fracture Nclex Questions Quizlet Fractures, or create your own quiz using our free cloud based quiz maker. As a nurse providing care to a patient with fractures, it is important to know the signs and symptoms, nursing management for casts and traction, complications, patient education, and treatment for this condition. A patient with a hip fracture has petechiae on their chest, dyspnea, and a. Hip Fracture Nclex Questions Quizlet.
From www.healthclips.com
Text After a Hip Fracture Common Questions HealthClips Online Hip Fracture Nclex Questions Quizlet Which symptom is the client with a fractured hip most likely to exhibit? Study with quizlet and memorize flashcards containing terms like a client fell off a ladder and the healthcare provider suspects a fracture of. Fractures occur when significant force is applied to the bone, causing it to break. The elderly client is admitted to the emergency room. This. Hip Fracture Nclex Questions Quizlet.
From www.studocu.com
New hesi fun nclex fundamentals An elderly client with a fractured Hip Fracture Nclex Questions Quizlet Which symptom is the client with a fractured hip most likely to exhibit? Anatomy and physiology of the musculoskeletal system, nursing care management of patients with osteoporosis, rheumatoid arthritis, gout, osteoarthritis, and more. Fractures, or create your own quiz using our free cloud based quiz maker. This nursing test bank includes 70 questions about musculoskeletal disorders and its related concepts. Hip Fracture Nclex Questions Quizlet.
From www.youtube.com
Fulcrum Test (for Hip Stress Fractures) YouTube Hip Fracture Nclex Questions Quizlet Take a look at our interactive learning quiz about exemplar 13.2: Fractures occur when significant force is applied to the bone, causing it to break. As a nurse providing care to a patient with fractures, it is important to know the signs and symptoms, nursing management for casts and traction, complications, patient education, and treatment for this condition. Anatomy and. Hip Fracture Nclex Questions Quizlet.
From browsegrades.net
NUR 1024 NCLEX Questions for Hip Fractures Questions and Answers Hip Fracture Nclex Questions Quizlet We want to make sure the bone gets realigned because displaced. This nursing test bank includes 70 questions about musculoskeletal disorders and its related concepts such as: What fracture complication do you. Study with quizlet and memorize flashcards containing terms like a client fell off a ladder and the healthcare provider suspects a fracture of. Fractures occur when significant force. Hip Fracture Nclex Questions Quizlet.
From www.youtube.com
Hip fracture..Bucks traction..Postoperative intervention..NCLEX SPECIAL Hip Fracture Nclex Questions Quizlet Study with quizlet and memorize flashcards containing terms like a client fell off a ladder and the healthcare provider suspects a fracture of. This nursing test bank includes 70 questions about musculoskeletal disorders and its related concepts such as: A patient with a hip fracture has petechiae on their chest, dyspnea, and a decrease in oxygen saturation. We want to. Hip Fracture Nclex Questions Quizlet.
From www.stuvia.com
NCLEX_ Back problems, Fracture_Hip fracture, Osteoarthritis 6th Ed Hip Fracture Nclex Questions Quizlet Anatomy and physiology of the musculoskeletal system, nursing care management of patients with osteoporosis, rheumatoid arthritis, gout, osteoarthritis, and more. Take a look at our interactive learning quiz about exemplar 13.2: A patient with a hip fracture has petechiae on their chest, dyspnea, and a decrease in oxygen saturation. Study with quizlet and memorize flashcards containing terms like a client. Hip Fracture Nclex Questions Quizlet.
From musculoskeletalkey.com
Hip Fracture The Choice of Surgery Musculoskeletal Key Hip Fracture Nclex Questions Quizlet A patient with a hip fracture has petechiae on their chest, dyspnea, and a decrease in oxygen saturation. As a nurse providing care to a patient with fractures, it is important to know the signs and symptoms, nursing management for casts and traction, complications, patient education, and treatment for this condition. Anatomy and physiology of the musculoskeletal system, nursing care. Hip Fracture Nclex Questions Quizlet.
From www.curvolabs.com
Read Hip Fracture Procedure Basics to Bring You Up to Speed Curvo Hip Fracture Nclex Questions Quizlet This is a quiz that contains nclex review questions for bone fractures. As a nurse providing care to a patient with fractures, it is important to know the signs and symptoms, nursing management for casts and traction, complications, patient education, and treatment for this condition. Fractures, or create your own quiz using our free cloud based quiz maker. Take a. Hip Fracture Nclex Questions Quizlet.
From www.researchgate.net
Hip fracture a Time since first diagnosis T1D, OR (95 CI) T2D, OR (95 Hip Fracture Nclex Questions Quizlet Study with quizlet and memorize flashcards containing terms like a client fell off a ladder and the healthcare provider suspects a fracture of. Which symptom is the client with a fractured hip most likely to exhibit? A patient with a hip fracture has petechiae on their chest, dyspnea, and a decrease in oxygen saturation. As a nurse providing care to. Hip Fracture Nclex Questions Quizlet.
From www.studocu.com
Musculoskeletal Disease ATI and Nclex questions Flashcards Quizlet Hip Fracture Nclex Questions Quizlet This is a quiz that contains nclex review questions for bone fractures. We want to make sure the bone gets realigned because displaced. Fractures occur when significant force is applied to the bone, causing it to break. Which symptom is the client with a fractured hip most likely to exhibit? Anatomy and physiology of the musculoskeletal system, nursing care management. Hip Fracture Nclex Questions Quizlet.
From slideplayer.com
Chapter 4—Documentation and Interdisciplinary Communication ppt download Hip Fracture Nclex Questions Quizlet Anatomy and physiology of the musculoskeletal system, nursing care management of patients with osteoporosis, rheumatoid arthritis, gout, osteoarthritis, and more. What fracture complication do you. The elderly client is admitted to the emergency room. Fractures occur when significant force is applied to the bone, causing it to break. Which symptom is the client with a fractured hip most likely to. Hip Fracture Nclex Questions Quizlet.
From journals.sagepub.com
Frailty and ShortTerm in Patients With Hip Fracture Hip Fracture Nclex Questions Quizlet Fractures occur when significant force is applied to the bone, causing it to break. A patient with a hip fracture has petechiae on their chest, dyspnea, and a decrease in oxygen saturation. We want to make sure the bone gets realigned because displaced. This nursing test bank includes 70 questions about musculoskeletal disorders and its related concepts such as: This. Hip Fracture Nclex Questions Quizlet.
From www.pinterest.es
Hip fractures Nursing mnemonics, Surgical nursing, Medical surgical Hip Fracture Nclex Questions Quizlet Fractures, or create your own quiz using our free cloud based quiz maker. Take a look at our interactive learning quiz about exemplar 13.2: We want to make sure the bone gets realigned because displaced. What fracture complication do you. This is a quiz that contains nclex review questions for bone fractures. This nursing test bank includes 70 questions about. Hip Fracture Nclex Questions Quizlet.
From www.dailymotion.com
Fracture Nursing Questions ! NCLEX RN Practice Test Questions video Hip Fracture Nclex Questions Quizlet The elderly client is admitted to the emergency room. Which symptom is the client with a fractured hip most likely to exhibit? A patient with a hip fracture has petechiae on their chest, dyspnea, and a decrease in oxygen saturation. As a nurse providing care to a patient with fractures, it is important to know the signs and symptoms, nursing. Hip Fracture Nclex Questions Quizlet.
From quizlet.com
Hip Fracture Classification Diagram Quizlet Hip Fracture Nclex Questions Quizlet What fracture complication do you. As a nurse providing care to a patient with fractures, it is important to know the signs and symptoms, nursing management for casts and traction, complications, patient education, and treatment for this condition. This is a quiz that contains nclex review questions for bone fractures. Anatomy and physiology of the musculoskeletal system, nursing care management. Hip Fracture Nclex Questions Quizlet.