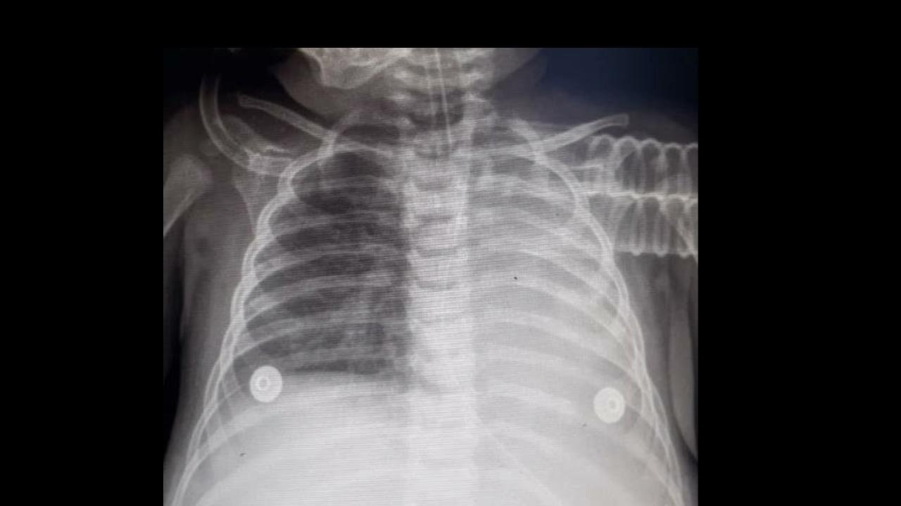
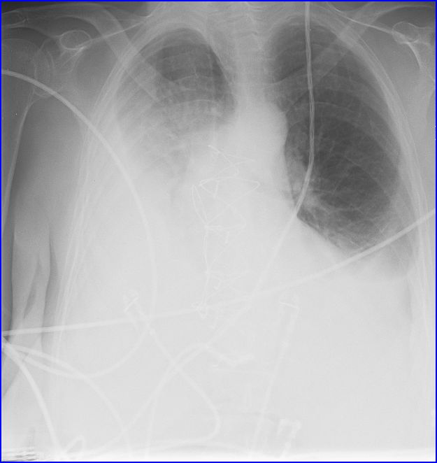
What Causes White Out On Chest X Ray . These three causes are extensive pneumonia, collapse. Within one week, alveolar pulmonary edema (hyaline. The differential diagnosis can be shortened further with one simple observation: Frontal radiograph of the chest reveals complete opacification of the left hemithorax with deviation of the trachea to the left. Collapse (atelectasis) of an entire lung; This patient had a chronic disease with progressive consolidation. The radiologist who interprets the x. Unilateral opaque (“white out”) hemithorax: A white spot amidst the normal black lungs can therefore be a cancer, infection, bleeding, fluid, foreign body amongst other possibilities.
from www.flickr.com
This patient had a chronic disease with progressive consolidation. The radiologist who interprets the x. A white spot amidst the normal black lungs can therefore be a cancer, infection, bleeding, fluid, foreign body amongst other possibilities. The differential diagnosis can be shortened further with one simple observation: Collapse (atelectasis) of an entire lung; Within one week, alveolar pulmonary edema (hyaline. Frontal radiograph of the chest reveals complete opacification of the left hemithorax with deviation of the trachea to the left. These three causes are extensive pneumonia, collapse. Unilateral opaque (“white out”) hemithorax:
Med 5 Talk Chest 1 CXR Unilateral 'whiteout' with posit… Flickr
What Causes White Out On Chest X Ray Frontal radiograph of the chest reveals complete opacification of the left hemithorax with deviation of the trachea to the left. The differential diagnosis can be shortened further with one simple observation: Frontal radiograph of the chest reveals complete opacification of the left hemithorax with deviation of the trachea to the left. This patient had a chronic disease with progressive consolidation. Within one week, alveolar pulmonary edema (hyaline. Collapse (atelectasis) of an entire lung; These three causes are extensive pneumonia, collapse. The radiologist who interprets the x. Unilateral opaque (“white out”) hemithorax: A white spot amidst the normal black lungs can therefore be a cancer, infection, bleeding, fluid, foreign body amongst other possibilities.
From www.bmj.com
The role of chest radiography in confirming covid19 pneumonia The BMJ What Causes White Out On Chest X Ray These three causes are extensive pneumonia, collapse. Unilateral opaque (“white out”) hemithorax: The differential diagnosis can be shortened further with one simple observation: A white spot amidst the normal black lungs can therefore be a cancer, infection, bleeding, fluid, foreign body amongst other possibilities. Frontal radiograph of the chest reveals complete opacification of the left hemithorax with deviation of the. What Causes White Out On Chest X Ray.
From mavink.com
White Out Chest X Ray What Causes White Out On Chest X Ray Frontal radiograph of the chest reveals complete opacification of the left hemithorax with deviation of the trachea to the left. A white spot amidst the normal black lungs can therefore be a cancer, infection, bleeding, fluid, foreign body amongst other possibilities. The differential diagnosis can be shortened further with one simple observation: Within one week, alveolar pulmonary edema (hyaline. This. What Causes White Out On Chest X Ray.
From www.eurekalert.org
Artificial intelligence tool uses chest Xray EurekAlert! What Causes White Out On Chest X Ray This patient had a chronic disease with progressive consolidation. The radiologist who interprets the x. These three causes are extensive pneumonia, collapse. Collapse (atelectasis) of an entire lung; The differential diagnosis can be shortened further with one simple observation: Within one week, alveolar pulmonary edema (hyaline. Frontal radiograph of the chest reveals complete opacification of the left hemithorax with deviation. What Causes White Out On Chest X Ray.
From www.researchgate.net
Chest xray showing haziness/infiltration on the left lung base along What Causes White Out On Chest X Ray The differential diagnosis can be shortened further with one simple observation: Collapse (atelectasis) of an entire lung; These three causes are extensive pneumonia, collapse. A white spot amidst the normal black lungs can therefore be a cancer, infection, bleeding, fluid, foreign body amongst other possibilities. The radiologist who interprets the x. Frontal radiograph of the chest reveals complete opacification of. What Causes White Out On Chest X Ray.
From ar.inspiredpencil.com
Normal Chest X Ray Labeled What Causes White Out On Chest X Ray Unilateral opaque (“white out”) hemithorax: These three causes are extensive pneumonia, collapse. A white spot amidst the normal black lungs can therefore be a cancer, infection, bleeding, fluid, foreign body amongst other possibilities. Frontal radiograph of the chest reveals complete opacification of the left hemithorax with deviation of the trachea to the left. Collapse (atelectasis) of an entire lung; This. What Causes White Out On Chest X Ray.
From www.mdpi.com
Diagnostics Free FullText Chest Xray in Emergency Radiology What What Causes White Out On Chest X Ray Unilateral opaque (“white out”) hemithorax: A white spot amidst the normal black lungs can therefore be a cancer, infection, bleeding, fluid, foreign body amongst other possibilities. Within one week, alveolar pulmonary edema (hyaline. The differential diagnosis can be shortened further with one simple observation: Frontal radiograph of the chest reveals complete opacification of the left hemithorax with deviation of the. What Causes White Out On Chest X Ray.
From www.medicalnewstoday.com
Heart failure How does it appear on a chest Xray? What Causes White Out On Chest X Ray Collapse (atelectasis) of an entire lung; Unilateral opaque (“white out”) hemithorax: The radiologist who interprets the x. Frontal radiograph of the chest reveals complete opacification of the left hemithorax with deviation of the trachea to the left. Within one week, alveolar pulmonary edema (hyaline. The differential diagnosis can be shortened further with one simple observation: A white spot amidst the. What Causes White Out On Chest X Ray.
From www.pinterest.com
Pneumothorax Visceral and Parietal Pleura and a Little Air In Between What Causes White Out On Chest X Ray Unilateral opaque (“white out”) hemithorax: Collapse (atelectasis) of an entire lung; These three causes are extensive pneumonia, collapse. The differential diagnosis can be shortened further with one simple observation: This patient had a chronic disease with progressive consolidation. The radiologist who interprets the x. A white spot amidst the normal black lungs can therefore be a cancer, infection, bleeding, fluid,. What Causes White Out On Chest X Ray.
From glassboxmedicine.com
Radiology Normal Chest XRays Glass Box What Causes White Out On Chest X Ray The radiologist who interprets the x. These three causes are extensive pneumonia, collapse. Unilateral opaque (“white out”) hemithorax: Frontal radiograph of the chest reveals complete opacification of the left hemithorax with deviation of the trachea to the left. This patient had a chronic disease with progressive consolidation. Within one week, alveolar pulmonary edema (hyaline. A white spot amidst the normal. What Causes White Out On Chest X Ray.
From www.researchgate.net
A Chest XRay of case 4 shows nodular opacity in both lungs. B Chest What Causes White Out On Chest X Ray Within one week, alveolar pulmonary edema (hyaline. The differential diagnosis can be shortened further with one simple observation: Unilateral opaque (“white out”) hemithorax: This patient had a chronic disease with progressive consolidation. Frontal radiograph of the chest reveals complete opacification of the left hemithorax with deviation of the trachea to the left. A white spot amidst the normal black lungs. What Causes White Out On Chest X Ray.
From ar.inspiredpencil.com
Collapsed Lung X Ray What Causes White Out On Chest X Ray The differential diagnosis can be shortened further with one simple observation: Collapse (atelectasis) of an entire lung; This patient had a chronic disease with progressive consolidation. Unilateral opaque (“white out”) hemithorax: A white spot amidst the normal black lungs can therefore be a cancer, infection, bleeding, fluid, foreign body amongst other possibilities. Frontal radiograph of the chest reveals complete opacification. What Causes White Out On Chest X Ray.
From www.youtube.com
Chest XRay Lung Normal Vs Abnormal Image Appearances Part 2 Pleural What Causes White Out On Chest X Ray The radiologist who interprets the x. Frontal radiograph of the chest reveals complete opacification of the left hemithorax with deviation of the trachea to the left. These three causes are extensive pneumonia, collapse. The differential diagnosis can be shortened further with one simple observation: Unilateral opaque (“white out”) hemithorax: A white spot amidst the normal black lungs can therefore be. What Causes White Out On Chest X Ray.
From www.flickr.com
Med 5 Talk Chest 1 CXR Unilateral 'whiteout' with posit… Flickr What Causes White Out On Chest X Ray Frontal radiograph of the chest reveals complete opacification of the left hemithorax with deviation of the trachea to the left. Collapse (atelectasis) of an entire lung; This patient had a chronic disease with progressive consolidation. These three causes are extensive pneumonia, collapse. The differential diagnosis can be shortened further with one simple observation: A white spot amidst the normal black. What Causes White Out On Chest X Ray.
From lungs.thecommonvein.net
White Out Lungs What Causes White Out On Chest X Ray Within one week, alveolar pulmonary edema (hyaline. The radiologist who interprets the x. The differential diagnosis can be shortened further with one simple observation: Frontal radiograph of the chest reveals complete opacification of the left hemithorax with deviation of the trachea to the left. This patient had a chronic disease with progressive consolidation. Unilateral opaque (“white out”) hemithorax: A white. What Causes White Out On Chest X Ray.
From www.researchgate.net
Chest xray (prominent broncho vascular markings with focal infiltrates What Causes White Out On Chest X Ray Unilateral opaque (“white out”) hemithorax: Frontal radiograph of the chest reveals complete opacification of the left hemithorax with deviation of the trachea to the left. The differential diagnosis can be shortened further with one simple observation: Within one week, alveolar pulmonary edema (hyaline. These three causes are extensive pneumonia, collapse. Collapse (atelectasis) of an entire lung; A white spot amidst. What Causes White Out On Chest X Ray.
From pixels.com
Normal Chest Xray Photograph by Photostockisrael Pixels What Causes White Out On Chest X Ray Frontal radiograph of the chest reveals complete opacification of the left hemithorax with deviation of the trachea to the left. A white spot amidst the normal black lungs can therefore be a cancer, infection, bleeding, fluid, foreign body amongst other possibilities. The differential diagnosis can be shortened further with one simple observation: The radiologist who interprets the x. Within one. What Causes White Out On Chest X Ray.
From lungs.thecommonvein.net
White Out Lungs What Causes White Out On Chest X Ray Unilateral opaque (“white out”) hemithorax: The radiologist who interprets the x. A white spot amidst the normal black lungs can therefore be a cancer, infection, bleeding, fluid, foreign body amongst other possibilities. Within one week, alveolar pulmonary edema (hyaline. The differential diagnosis can be shortened further with one simple observation: This patient had a chronic disease with progressive consolidation. These. What Causes White Out On Chest X Ray.
From www.researchgate.net
Chest Xray PA view showing an illdefined spiculated opacity in the What Causes White Out On Chest X Ray A white spot amidst the normal black lungs can therefore be a cancer, infection, bleeding, fluid, foreign body amongst other possibilities. The radiologist who interprets the x. Frontal radiograph of the chest reveals complete opacification of the left hemithorax with deviation of the trachea to the left. The differential diagnosis can be shortened further with one simple observation: These three. What Causes White Out On Chest X Ray.
From proper-cooking.info
Chest Xray Heart What Causes White Out On Chest X Ray The radiologist who interprets the x. A white spot amidst the normal black lungs can therefore be a cancer, infection, bleeding, fluid, foreign body amongst other possibilities. This patient had a chronic disease with progressive consolidation. Unilateral opaque (“white out”) hemithorax: The differential diagnosis can be shortened further with one simple observation: Within one week, alveolar pulmonary edema (hyaline. These. What Causes White Out On Chest X Ray.
From www.topdoctors.co.uk
Abnormal chest xray what does it mean? Top Doctors What Causes White Out On Chest X Ray This patient had a chronic disease with progressive consolidation. These three causes are extensive pneumonia, collapse. The radiologist who interprets the x. Within one week, alveolar pulmonary edema (hyaline. The differential diagnosis can be shortened further with one simple observation: Unilateral opaque (“white out”) hemithorax: Collapse (atelectasis) of an entire lung; Frontal radiograph of the chest reveals complete opacification of. What Causes White Out On Chest X Ray.
From ar.inspiredpencil.com
White Spots On Lungs Disease What Causes White Out On Chest X Ray These three causes are extensive pneumonia, collapse. Unilateral opaque (“white out”) hemithorax: The radiologist who interprets the x. This patient had a chronic disease with progressive consolidation. Frontal radiograph of the chest reveals complete opacification of the left hemithorax with deviation of the trachea to the left. The differential diagnosis can be shortened further with one simple observation: A white. What Causes White Out On Chest X Ray.
From www.verywellhealth.com
Chest XRay for the Diagnosis of Lung Cancer What Causes White Out On Chest X Ray Frontal radiograph of the chest reveals complete opacification of the left hemithorax with deviation of the trachea to the left. Unilateral opaque (“white out”) hemithorax: A white spot amidst the normal black lungs can therefore be a cancer, infection, bleeding, fluid, foreign body amongst other possibilities. The radiologist who interprets the x. Collapse (atelectasis) of an entire lung; Within one. What Causes White Out On Chest X Ray.
From www.youtube.com
Common causes of unilateral white out lung 🫁in CXR ,pneumonia, pleural What Causes White Out On Chest X Ray The radiologist who interprets the x. These three causes are extensive pneumonia, collapse. The differential diagnosis can be shortened further with one simple observation: Collapse (atelectasis) of an entire lung; This patient had a chronic disease with progressive consolidation. A white spot amidst the normal black lungs can therefore be a cancer, infection, bleeding, fluid, foreign body amongst other possibilities.. What Causes White Out On Chest X Ray.
From medschool.co
Pneumothorax Chest XRay MedSchool What Causes White Out On Chest X Ray Frontal radiograph of the chest reveals complete opacification of the left hemithorax with deviation of the trachea to the left. Within one week, alveolar pulmonary edema (hyaline. These three causes are extensive pneumonia, collapse. A white spot amidst the normal black lungs can therefore be a cancer, infection, bleeding, fluid, foreign body amongst other possibilities. Unilateral opaque (“white out”) hemithorax:. What Causes White Out On Chest X Ray.
From radiologyinplainenglish.com
Lung Nodule Under One Centimeter On Chest XRay Radiology In Plain What Causes White Out On Chest X Ray Unilateral opaque (“white out”) hemithorax: Within one week, alveolar pulmonary edema (hyaline. This patient had a chronic disease with progressive consolidation. These three causes are extensive pneumonia, collapse. Collapse (atelectasis) of an entire lung; The differential diagnosis can be shortened further with one simple observation: A white spot amidst the normal black lungs can therefore be a cancer, infection, bleeding,. What Causes White Out On Chest X Ray.
From brownemblog.com
Hiding in Plain Sight Unexpected Findings on Chest XRay — BROWN What Causes White Out On Chest X Ray The radiologist who interprets the x. Unilateral opaque (“white out”) hemithorax: Within one week, alveolar pulmonary edema (hyaline. Collapse (atelectasis) of an entire lung; This patient had a chronic disease with progressive consolidation. Frontal radiograph of the chest reveals complete opacification of the left hemithorax with deviation of the trachea to the left. These three causes are extensive pneumonia, collapse.. What Causes White Out On Chest X Ray.
From littlewhitecoats.blogspot.com
What is the cause of this "white out" on the right side of the chest x What Causes White Out On Chest X Ray The radiologist who interprets the x. The differential diagnosis can be shortened further with one simple observation: Within one week, alveolar pulmonary edema (hyaline. These three causes are extensive pneumonia, collapse. A white spot amidst the normal black lungs can therefore be a cancer, infection, bleeding, fluid, foreign body amongst other possibilities. This patient had a chronic disease with progressive. What Causes White Out On Chest X Ray.
From www.e7health.com
What Do Chest XRays Show? What Causes White Out On Chest X Ray A white spot amidst the normal black lungs can therefore be a cancer, infection, bleeding, fluid, foreign body amongst other possibilities. These three causes are extensive pneumonia, collapse. Within one week, alveolar pulmonary edema (hyaline. The differential diagnosis can be shortened further with one simple observation: This patient had a chronic disease with progressive consolidation. Unilateral opaque (“white out”) hemithorax:. What Causes White Out On Chest X Ray.
From www.youtube.com
Chest XRay Lung Normal Vs Abnormal Image Appearances Part 1 TB What Causes White Out On Chest X Ray Within one week, alveolar pulmonary edema (hyaline. Collapse (atelectasis) of an entire lung; These three causes are extensive pneumonia, collapse. The radiologist who interprets the x. The differential diagnosis can be shortened further with one simple observation: Frontal radiograph of the chest reveals complete opacification of the left hemithorax with deviation of the trachea to the left. This patient had. What Causes White Out On Chest X Ray.
From mungfali.com
COPD On Chest X Ray What Causes White Out On Chest X Ray Within one week, alveolar pulmonary edema (hyaline. These three causes are extensive pneumonia, collapse. A white spot amidst the normal black lungs can therefore be a cancer, infection, bleeding, fluid, foreign body amongst other possibilities. Unilateral opaque (“white out”) hemithorax: Frontal radiograph of the chest reveals complete opacification of the left hemithorax with deviation of the trachea to the left.. What Causes White Out On Chest X Ray.
From interestingengineering.com
This AI tool is great at spotting abnormalities in chest Xrays What Causes White Out On Chest X Ray These three causes are extensive pneumonia, collapse. Within one week, alveolar pulmonary edema (hyaline. Collapse (atelectasis) of an entire lung; Unilateral opaque (“white out”) hemithorax: A white spot amidst the normal black lungs can therefore be a cancer, infection, bleeding, fluid, foreign body amongst other possibilities. The radiologist who interprets the x. This patient had a chronic disease with progressive. What Causes White Out On Chest X Ray.
From teachim.org
Pleural Archives teachIM What Causes White Out On Chest X Ray Frontal radiograph of the chest reveals complete opacification of the left hemithorax with deviation of the trachea to the left. The radiologist who interprets the x. Collapse (atelectasis) of an entire lung; A white spot amidst the normal black lungs can therefore be a cancer, infection, bleeding, fluid, foreign body amongst other possibilities. This patient had a chronic disease with. What Causes White Out On Chest X Ray.
From telegra.ph
Underexposed Chest X Ray Telegraph What Causes White Out On Chest X Ray Collapse (atelectasis) of an entire lung; This patient had a chronic disease with progressive consolidation. The radiologist who interprets the x. A white spot amidst the normal black lungs can therefore be a cancer, infection, bleeding, fluid, foreign body amongst other possibilities. These three causes are extensive pneumonia, collapse. Unilateral opaque (“white out”) hemithorax: The differential diagnosis can be shortened. What Causes White Out On Chest X Ray.
From jbsr.be
Central Pulmonary Embolism Detected on a Chest XRay A Case Report What Causes White Out On Chest X Ray Collapse (atelectasis) of an entire lung; These three causes are extensive pneumonia, collapse. The differential diagnosis can be shortened further with one simple observation: A white spot amidst the normal black lungs can therefore be a cancer, infection, bleeding, fluid, foreign body amongst other possibilities. Frontal radiograph of the chest reveals complete opacification of the left hemithorax with deviation of. What Causes White Out On Chest X Ray.
From www.reddit.com
White spots on my chest xray, Someone explain please. According to my What Causes White Out On Chest X Ray Unilateral opaque (“white out”) hemithorax: A white spot amidst the normal black lungs can therefore be a cancer, infection, bleeding, fluid, foreign body amongst other possibilities. Collapse (atelectasis) of an entire lung; These three causes are extensive pneumonia, collapse. This patient had a chronic disease with progressive consolidation. The differential diagnosis can be shortened further with one simple observation: The. What Causes White Out On Chest X Ray.