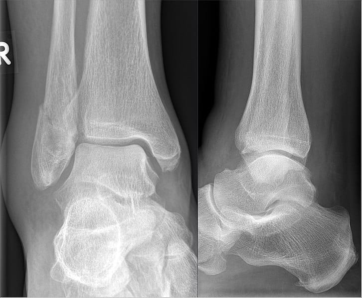
Bimalleolar Fracture X Ray . Bimalleolar fractures are a type of ankle fracture that involve both the lateral and medial malleoli at the distal ends of the fibula and tibia, respectively. Diagnosis is made with plain. Unstable weber b fracture of the right distal fibular and fracture of the medial malleolus (bimalleolar ankle fracture). Ankle fractures account for ~10% of fractures encountered in trauma, preceded only in incidence by proximal femoral fractures in the. These two bones articulate with the. A 'maisonneuve fracture' is a fracture of the proximal fibula associated with injury to the medial side of the ankle and disruption of the distal tibiofibular syndesmosis. Ankle fractures are very common injuries to the ankle which generally occur due to a twisting mechanism. The medial ankle injury may be either a visible medial malleolus fracture or an invisible injury of the medial ligaments.
from www.pinterest.com.au
Diagnosis is made with plain. These two bones articulate with the. Ankle fractures account for ~10% of fractures encountered in trauma, preceded only in incidence by proximal femoral fractures in the. Unstable weber b fracture of the right distal fibular and fracture of the medial malleolus (bimalleolar ankle fracture). A 'maisonneuve fracture' is a fracture of the proximal fibula associated with injury to the medial side of the ankle and disruption of the distal tibiofibular syndesmosis. Bimalleolar fractures are a type of ankle fracture that involve both the lateral and medial malleoli at the distal ends of the fibula and tibia, respectively. Ankle fractures are very common injuries to the ankle which generally occur due to a twisting mechanism. The medial ankle injury may be either a visible medial malleolus fracture or an invisible injury of the medial ligaments.
Malleolar Fractures Ankle fracture, Radiology, Ankle pain
Bimalleolar Fracture X Ray Ankle fractures account for ~10% of fractures encountered in trauma, preceded only in incidence by proximal femoral fractures in the. These two bones articulate with the. Ankle fractures account for ~10% of fractures encountered in trauma, preceded only in incidence by proximal femoral fractures in the. Diagnosis is made with plain. Bimalleolar fractures are a type of ankle fracture that involve both the lateral and medial malleoli at the distal ends of the fibula and tibia, respectively. The medial ankle injury may be either a visible medial malleolus fracture or an invisible injury of the medial ligaments. A 'maisonneuve fracture' is a fracture of the proximal fibula associated with injury to the medial side of the ankle and disruption of the distal tibiofibular syndesmosis. Ankle fractures are very common injuries to the ankle which generally occur due to a twisting mechanism. Unstable weber b fracture of the right distal fibular and fracture of the medial malleolus (bimalleolar ankle fracture).
From meds.queensu.ca
Bimalleolar fracture Bimalleolar Fracture X Ray Ankle fractures account for ~10% of fractures encountered in trauma, preceded only in incidence by proximal femoral fractures in the. The medial ankle injury may be either a visible medial malleolus fracture or an invisible injury of the medial ligaments. Diagnosis is made with plain. Ankle fractures are very common injuries to the ankle which generally occur due to a. Bimalleolar Fracture X Ray.
From www.researchgate.net
TopBimalleolar ankle fracture with talar shift. BottomRadiographs at Bimalleolar Fracture X Ray Unstable weber b fracture of the right distal fibular and fracture of the medial malleolus (bimalleolar ankle fracture). Ankle fractures are very common injuries to the ankle which generally occur due to a twisting mechanism. These two bones articulate with the. Bimalleolar fractures are a type of ankle fracture that involve both the lateral and medial malleoli at the distal. Bimalleolar Fracture X Ray.
From www.pinterest.com.au
Malleolar Fractures Ankle fracture, Radiology, Ankle pain Bimalleolar Fracture X Ray The medial ankle injury may be either a visible medial malleolus fracture or an invisible injury of the medial ligaments. Ankle fractures account for ~10% of fractures encountered in trauma, preceded only in incidence by proximal femoral fractures in the. Ankle fractures are very common injuries to the ankle which generally occur due to a twisting mechanism. Diagnosis is made. Bimalleolar Fracture X Ray.
From www.alamy.com
Bimalleolar fracture hires stock photography and images Alamy Bimalleolar Fracture X Ray Diagnosis is made with plain. Ankle fractures account for ~10% of fractures encountered in trauma, preceded only in incidence by proximal femoral fractures in the. Unstable weber b fracture of the right distal fibular and fracture of the medial malleolus (bimalleolar ankle fracture). Ankle fractures are very common injuries to the ankle which generally occur due to a twisting mechanism.. Bimalleolar Fracture X Ray.
From www.orthoracle.com
Ankle fracture Medial malleolar fixation with ASNIS screws Surgical Bimalleolar Fracture X Ray A 'maisonneuve fracture' is a fracture of the proximal fibula associated with injury to the medial side of the ankle and disruption of the distal tibiofibular syndesmosis. Ankle fractures account for ~10% of fractures encountered in trauma, preceded only in incidence by proximal femoral fractures in the. Bimalleolar fractures are a type of ankle fracture that involve both the lateral. Bimalleolar Fracture X Ray.
From www.alamy.com
Ankle fracture. Coloured Xray of the ankle bones of a patient with a Bimalleolar Fracture X Ray Ankle fractures are very common injuries to the ankle which generally occur due to a twisting mechanism. Ankle fractures account for ~10% of fractures encountered in trauma, preceded only in incidence by proximal femoral fractures in the. Bimalleolar fractures are a type of ankle fracture that involve both the lateral and medial malleoli at the distal ends of the fibula. Bimalleolar Fracture X Ray.
From www.researchgate.net
Bimalleolar fracture and right ankle dislocation on Xray... Download Bimalleolar Fracture X Ray Ankle fractures account for ~10% of fractures encountered in trauma, preceded only in incidence by proximal femoral fractures in the. Unstable weber b fracture of the right distal fibular and fracture of the medial malleolus (bimalleolar ankle fracture). These two bones articulate with the. Bimalleolar fractures are a type of ankle fracture that involve both the lateral and medial malleoli. Bimalleolar Fracture X Ray.
From www.lfaclinic.co.uk
Ankle Fracture Types & Treatment The London Foot & Ankle Clinic Bimalleolar Fracture X Ray The medial ankle injury may be either a visible medial malleolus fracture or an invisible injury of the medial ligaments. Ankle fractures account for ~10% of fractures encountered in trauma, preceded only in incidence by proximal femoral fractures in the. Bimalleolar fractures are a type of ankle fracture that involve both the lateral and medial malleoli at the distal ends. Bimalleolar Fracture X Ray.
From radiopaedia.org
Bimalleolar fracture dislocation Image Bimalleolar Fracture X Ray Diagnosis is made with plain. Ankle fractures account for ~10% of fractures encountered in trauma, preceded only in incidence by proximal femoral fractures in the. Ankle fractures are very common injuries to the ankle which generally occur due to a twisting mechanism. Unstable weber b fracture of the right distal fibular and fracture of the medial malleolus (bimalleolar ankle fracture).. Bimalleolar Fracture X Ray.
From www.alamy.com
xray of a bimalleolar ankle fracture showing breaks in both the distal Bimalleolar Fracture X Ray Unstable weber b fracture of the right distal fibular and fracture of the medial malleolus (bimalleolar ankle fracture). A 'maisonneuve fracture' is a fracture of the proximal fibula associated with injury to the medial side of the ankle and disruption of the distal tibiofibular syndesmosis. Ankle fractures account for ~10% of fractures encountered in trauma, preceded only in incidence by. Bimalleolar Fracture X Ray.
From boneandspine.com
Xrays of Ankle Fractures Bone and Spine Bimalleolar Fracture X Ray Bimalleolar fractures are a type of ankle fracture that involve both the lateral and medial malleoli at the distal ends of the fibula and tibia, respectively. The medial ankle injury may be either a visible medial malleolus fracture or an invisible injury of the medial ligaments. Diagnosis is made with plain. A 'maisonneuve fracture' is a fracture of the proximal. Bimalleolar Fracture X Ray.
From www.reddit.com
Xray 1 month post op (21M bimalleolar fracture) How does it look Bimalleolar Fracture X Ray Ankle fractures are very common injuries to the ankle which generally occur due to a twisting mechanism. These two bones articulate with the. Bimalleolar fractures are a type of ankle fracture that involve both the lateral and medial malleoli at the distal ends of the fibula and tibia, respectively. The medial ankle injury may be either a visible medial malleolus. Bimalleolar Fracture X Ray.
From boneandspine.com
Xrays of Ankle Fractures Bone and Spine Bimalleolar Fracture X Ray Bimalleolar fractures are a type of ankle fracture that involve both the lateral and medial malleoli at the distal ends of the fibula and tibia, respectively. The medial ankle injury may be either a visible medial malleolus fracture or an invisible injury of the medial ligaments. Ankle fractures are very common injuries to the ankle which generally occur due to. Bimalleolar Fracture X Ray.
From www.radiologymasterclass.co.uk
Trauma Xray Lower limb gallery 2 Ankle Trimalleolar fracture Bimalleolar Fracture X Ray Diagnosis is made with plain. The medial ankle injury may be either a visible medial malleolus fracture or an invisible injury of the medial ligaments. Ankle fractures account for ~10% of fractures encountered in trauma, preceded only in incidence by proximal femoral fractures in the. A 'maisonneuve fracture' is a fracture of the proximal fibula associated with injury to the. Bimalleolar Fracture X Ray.
From www.reddit.com
Xray after 1 month (21M bimalleolar fracture) Does it look good, is Bimalleolar Fracture X Ray The medial ankle injury may be either a visible medial malleolus fracture or an invisible injury of the medial ligaments. These two bones articulate with the. Ankle fractures account for ~10% of fractures encountered in trauma, preceded only in incidence by proximal femoral fractures in the. Diagnosis is made with plain. Bimalleolar fractures are a type of ankle fracture that. Bimalleolar Fracture X Ray.
From www.reddit.com
bimalleolar fracture xray and a few questions.. r/brokenbones Bimalleolar Fracture X Ray The medial ankle injury may be either a visible medial malleolus fracture or an invisible injury of the medial ligaments. Ankle fractures are very common injuries to the ankle which generally occur due to a twisting mechanism. These two bones articulate with the. Diagnosis is made with plain. Unstable weber b fracture of the right distal fibular and fracture of. Bimalleolar Fracture X Ray.
From healthjade.net
Bimalleolar fracture causes, symptoms,diagnosis, treatment & recovery Bimalleolar Fracture X Ray The medial ankle injury may be either a visible medial malleolus fracture or an invisible injury of the medial ligaments. Ankle fractures account for ~10% of fractures encountered in trauma, preceded only in incidence by proximal femoral fractures in the. Bimalleolar fractures are a type of ankle fracture that involve both the lateral and medial malleoli at the distal ends. Bimalleolar Fracture X Ray.
From radiopaedia.org
Nondisplaced medial malleolar fracture Image Bimalleolar Fracture X Ray Ankle fractures account for ~10% of fractures encountered in trauma, preceded only in incidence by proximal femoral fractures in the. The medial ankle injury may be either a visible medial malleolus fracture or an invisible injury of the medial ligaments. Bimalleolar fractures are a type of ankle fracture that involve both the lateral and medial malleoli at the distal ends. Bimalleolar Fracture X Ray.
From animalia-life.club
Displaced Trimalleolar Ankle Fracture Bimalleolar Fracture X Ray Ankle fractures account for ~10% of fractures encountered in trauma, preceded only in incidence by proximal femoral fractures in the. Unstable weber b fracture of the right distal fibular and fracture of the medial malleolus (bimalleolar ankle fracture). Ankle fractures are very common injuries to the ankle which generally occur due to a twisting mechanism. Bimalleolar fractures are a type. Bimalleolar Fracture X Ray.
From www.medicalartworks.com
Left ankle bimalleolar fracture with injury xray Medical Art Works Bimalleolar Fracture X Ray A 'maisonneuve fracture' is a fracture of the proximal fibula associated with injury to the medial side of the ankle and disruption of the distal tibiofibular syndesmosis. Ankle fractures are very common injuries to the ankle which generally occur due to a twisting mechanism. These two bones articulate with the. Bimalleolar fractures are a type of ankle fracture that involve. Bimalleolar Fracture X Ray.
From www.researchgate.net
a. Xrays of bimalleolar fracture (+Vohlkmann's fragment) before Bimalleolar Fracture X Ray Ankle fractures account for ~10% of fractures encountered in trauma, preceded only in incidence by proximal femoral fractures in the. Bimalleolar fractures are a type of ankle fracture that involve both the lateral and medial malleoli at the distal ends of the fibula and tibia, respectively. Unstable weber b fracture of the right distal fibular and fracture of the medial. Bimalleolar Fracture X Ray.
From www.researchgate.net
Posterior malleolar fracture treated with plate fixation. A Bimalleolar Fracture X Ray Unstable weber b fracture of the right distal fibular and fracture of the medial malleolus (bimalleolar ankle fracture). Ankle fractures are very common injuries to the ankle which generally occur due to a twisting mechanism. The medial ankle injury may be either a visible medial malleolus fracture or an invisible injury of the medial ligaments. These two bones articulate with. Bimalleolar Fracture X Ray.
From www.alamy.com
Xray showing a bimalleolar ankle fracture in a 50 year old woman Stock Bimalleolar Fracture X Ray Unstable weber b fracture of the right distal fibular and fracture of the medial malleolus (bimalleolar ankle fracture). Bimalleolar fractures are a type of ankle fracture that involve both the lateral and medial malleoli at the distal ends of the fibula and tibia, respectively. Diagnosis is made with plain. Ankle fractures are very common injuries to the ankle which generally. Bimalleolar Fracture X Ray.
From healthjade.net
Bimalleolar fracture causes, symptoms,diagnosis, treatment & recovery Bimalleolar Fracture X Ray These two bones articulate with the. Bimalleolar fractures are a type of ankle fracture that involve both the lateral and medial malleoli at the distal ends of the fibula and tibia, respectively. The medial ankle injury may be either a visible medial malleolus fracture or an invisible injury of the medial ligaments. Diagnosis is made with plain. Ankle fractures account. Bimalleolar Fracture X Ray.
From www.nuemblog.com
bimalleolar fracture — Ortho Teaching Files — NUEM Blog Bimalleolar Fracture X Ray Ankle fractures are very common injuries to the ankle which generally occur due to a twisting mechanism. Ankle fractures account for ~10% of fractures encountered in trauma, preceded only in incidence by proximal femoral fractures in the. A 'maisonneuve fracture' is a fracture of the proximal fibula associated with injury to the medial side of the ankle and disruption of. Bimalleolar Fracture X Ray.
From www.researchgate.net
a Preoperative anteroposterior radiograph of a bimalleolar fracture. b Bimalleolar Fracture X Ray Ankle fractures account for ~10% of fractures encountered in trauma, preceded only in incidence by proximal femoral fractures in the. Ankle fractures are very common injuries to the ankle which generally occur due to a twisting mechanism. A 'maisonneuve fracture' is a fracture of the proximal fibula associated with injury to the medial side of the ankle and disruption of. Bimalleolar Fracture X Ray.
From www.cureus.com
Cureus Safety of Early Weight Bearing Following Fixation of Bimalleolar Fracture X Ray Diagnosis is made with plain. Ankle fractures are very common injuries to the ankle which generally occur due to a twisting mechanism. The medial ankle injury may be either a visible medial malleolus fracture or an invisible injury of the medial ligaments. Unstable weber b fracture of the right distal fibular and fracture of the medial malleolus (bimalleolar ankle fracture).. Bimalleolar Fracture X Ray.
From www.cureus.com
Cureus Acute Management of Trimalleolar Fracture Bimalleolar Fracture X Ray Unstable weber b fracture of the right distal fibular and fracture of the medial malleolus (bimalleolar ankle fracture). Ankle fractures are very common injuries to the ankle which generally occur due to a twisting mechanism. Bimalleolar fractures are a type of ankle fracture that involve both the lateral and medial malleoli at the distal ends of the fibula and tibia,. Bimalleolar Fracture X Ray.
From buyxraysonline.com
BIMALLEOLAR ANKLE FRACTURE Bimalleolar Fracture X Ray Diagnosis is made with plain. Unstable weber b fracture of the right distal fibular and fracture of the medial malleolus (bimalleolar ankle fracture). A 'maisonneuve fracture' is a fracture of the proximal fibula associated with injury to the medial side of the ankle and disruption of the distal tibiofibular syndesmosis. Ankle fractures are very common injuries to the ankle which. Bimalleolar Fracture X Ray.
From orthoinfo.aaos.org
Ankle Fractures (Broken Ankle) OrthoInfo AAOS Bimalleolar Fracture X Ray The medial ankle injury may be either a visible medial malleolus fracture or an invisible injury of the medial ligaments. Diagnosis is made with plain. A 'maisonneuve fracture' is a fracture of the proximal fibula associated with injury to the medial side of the ankle and disruption of the distal tibiofibular syndesmosis. These two bones articulate with the. Bimalleolar fractures. Bimalleolar Fracture X Ray.
From www.osteosynthesis.org
Pronation Abduction (PAb) er C / Herscovici B bimalleolar ankle fracture Bimalleolar Fracture X Ray Diagnosis is made with plain. These two bones articulate with the. Ankle fractures are very common injuries to the ankle which generally occur due to a twisting mechanism. A 'maisonneuve fracture' is a fracture of the proximal fibula associated with injury to the medial side of the ankle and disruption of the distal tibiofibular syndesmosis. Ankle fractures account for ~10%. Bimalleolar Fracture X Ray.
From www.verywellhealth.com
Medial Malleolus Fracture and Broken Ankle Treatment Bimalleolar Fracture X Ray Diagnosis is made with plain. These two bones articulate with the. Ankle fractures account for ~10% of fractures encountered in trauma, preceded only in incidence by proximal femoral fractures in the. Unstable weber b fracture of the right distal fibular and fracture of the medial malleolus (bimalleolar ankle fracture). A 'maisonneuve fracture' is a fracture of the proximal fibula associated. Bimalleolar Fracture X Ray.
From www.reddit.com
Xray 1 month post op (21M bimalleolar fracture) How does it look Bimalleolar Fracture X Ray These two bones articulate with the. A 'maisonneuve fracture' is a fracture of the proximal fibula associated with injury to the medial side of the ankle and disruption of the distal tibiofibular syndesmosis. The medial ankle injury may be either a visible medial malleolus fracture or an invisible injury of the medial ligaments. Bimalleolar fractures are a type of ankle. Bimalleolar Fracture X Ray.
From radiopaedia.org
Bimalleolar ankle fracture Image Bimalleolar Fracture X Ray Ankle fractures account for ~10% of fractures encountered in trauma, preceded only in incidence by proximal femoral fractures in the. Bimalleolar fractures are a type of ankle fracture that involve both the lateral and medial malleoli at the distal ends of the fibula and tibia, respectively. The medial ankle injury may be either a visible medial malleolus fracture or an. Bimalleolar Fracture X Ray.
From www.verywellhealth.com
Bimalleolar and Trimalleolar Ankle Fractures Bimalleolar Fracture X Ray The medial ankle injury may be either a visible medial malleolus fracture or an invisible injury of the medial ligaments. A 'maisonneuve fracture' is a fracture of the proximal fibula associated with injury to the medial side of the ankle and disruption of the distal tibiofibular syndesmosis. These two bones articulate with the. Diagnosis is made with plain. Ankle fractures. Bimalleolar Fracture X Ray.