Dental Ridge Augmentation . Ridge modification has been shown to greatly improve the jaw’s appearance and increase the chances of successful implants that can last for. A ridge augmentation helps recreate the natural contour of the gums and jaw. Dental ridge augmentation is a procedure that rebuilds this bone, restoring its original height and width. The procedure typically involves the surgeon placing a bone graft material in the tooth socket or on the ridge. The posterior maxillary region often poses a problem regarding the placement of. Sinus lift procedures for vertical ridge augmentation. Recently in implant dentistry, minimally invasive horizontal ridge augmentations are. It can also rebuild the bone, providing sufficient height and weight to. The field of restorative dentistry has been through a. Understanding the power and potential of particulate grafting.
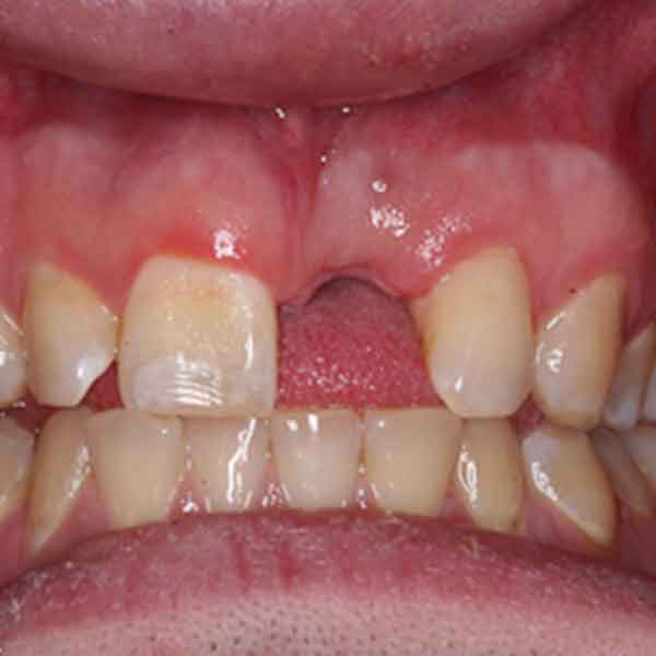
from www.eastpointdental.com
Ridge modification has been shown to greatly improve the jaw’s appearance and increase the chances of successful implants that can last for. Dental ridge augmentation is a procedure that rebuilds this bone, restoring its original height and width. A ridge augmentation helps recreate the natural contour of the gums and jaw. Understanding the power and potential of particulate grafting. It can also rebuild the bone, providing sufficient height and weight to. Sinus lift procedures for vertical ridge augmentation. The posterior maxillary region often poses a problem regarding the placement of. Recently in implant dentistry, minimally invasive horizontal ridge augmentations are. The procedure typically involves the surgeon placing a bone graft material in the tooth socket or on the ridge. The field of restorative dentistry has been through a.
Ridge Augmentation Blacklick Tooth Extraction Jaw Support
Dental Ridge Augmentation Ridge modification has been shown to greatly improve the jaw’s appearance and increase the chances of successful implants that can last for. Sinus lift procedures for vertical ridge augmentation. The procedure typically involves the surgeon placing a bone graft material in the tooth socket or on the ridge. Understanding the power and potential of particulate grafting. Ridge modification has been shown to greatly improve the jaw’s appearance and increase the chances of successful implants that can last for. Recently in implant dentistry, minimally invasive horizontal ridge augmentations are. It can also rebuild the bone, providing sufficient height and weight to. A ridge augmentation helps recreate the natural contour of the gums and jaw. Dental ridge augmentation is a procedure that rebuilds this bone, restoring its original height and width. The field of restorative dentistry has been through a. The posterior maxillary region often poses a problem regarding the placement of.
From www.pmdc-dental.com
Cosmetic Ridge Augmentation PMDC Dental Dental Ridge Augmentation Understanding the power and potential of particulate grafting. Recently in implant dentistry, minimally invasive horizontal ridge augmentations are. The procedure typically involves the surgeon placing a bone graft material in the tooth socket or on the ridge. It can also rebuild the bone, providing sufficient height and weight to. Dental ridge augmentation is a procedure that rebuilds this bone, restoring. Dental Ridge Augmentation.
From www.drmolayem.com
Ridge Augmentation Dr. Shervin Molayem Periodontist & Implant Surgeon Dental Ridge Augmentation The procedure typically involves the surgeon placing a bone graft material in the tooth socket or on the ridge. Sinus lift procedures for vertical ridge augmentation. Recently in implant dentistry, minimally invasive horizontal ridge augmentations are. A ridge augmentation helps recreate the natural contour of the gums and jaw. Understanding the power and potential of particulate grafting. It can also. Dental Ridge Augmentation.
From www.altschulercenter.com
Ridge Augmentation Altschuler Dental Ridge Augmentation Understanding the power and potential of particulate grafting. A ridge augmentation helps recreate the natural contour of the gums and jaw. The procedure typically involves the surgeon placing a bone graft material in the tooth socket or on the ridge. Sinus lift procedures for vertical ridge augmentation. Dental ridge augmentation is a procedure that rebuilds this bone, restoring its original. Dental Ridge Augmentation.
From oregondentalimplantresidency.com
Ridge Augmentation & Ridge Modification Sinus Elevation Dental Ridge Augmentation The procedure typically involves the surgeon placing a bone graft material in the tooth socket or on the ridge. Dental ridge augmentation is a procedure that rebuilds this bone, restoring its original height and width. The field of restorative dentistry has been through a. Understanding the power and potential of particulate grafting. A ridge augmentation helps recreate the natural contour. Dental Ridge Augmentation.
From www.shorelineperio.com
Ridge Augmentation New London, CT Westerly, RI Shoreline Dental Ridge Augmentation A ridge augmentation helps recreate the natural contour of the gums and jaw. Recently in implant dentistry, minimally invasive horizontal ridge augmentations are. Dental ridge augmentation is a procedure that rebuilds this bone, restoring its original height and width. The procedure typically involves the surgeon placing a bone graft material in the tooth socket or on the ridge. The posterior. Dental Ridge Augmentation.
From dentalasia.net
Vertical ridge augmentation using guided bone regeneration technique Dental Ridge Augmentation Recently in implant dentistry, minimally invasive horizontal ridge augmentations are. The field of restorative dentistry has been through a. Sinus lift procedures for vertical ridge augmentation. It can also rebuild the bone, providing sufficient height and weight to. A ridge augmentation helps recreate the natural contour of the gums and jaw. The posterior maxillary region often poses a problem regarding. Dental Ridge Augmentation.
From www.pmdc-dental.com
Cosmetic Ridge Augmentation PMDC Dental Dental Ridge Augmentation Recently in implant dentistry, minimally invasive horizontal ridge augmentations are. Ridge modification has been shown to greatly improve the jaw’s appearance and increase the chances of successful implants that can last for. It can also rebuild the bone, providing sufficient height and weight to. Understanding the power and potential of particulate grafting. A ridge augmentation helps recreate the natural contour. Dental Ridge Augmentation.
From knoxoms.com
Ridge Augmentation Knoxville Oral & Maxillofacial Surgery Dental Ridge Augmentation Ridge modification has been shown to greatly improve the jaw’s appearance and increase the chances of successful implants that can last for. It can also rebuild the bone, providing sufficient height and weight to. Sinus lift procedures for vertical ridge augmentation. Dental ridge augmentation is a procedure that rebuilds this bone, restoring its original height and width. Understanding the power. Dental Ridge Augmentation.
From www.ocosperio.com
Ridge Augmentation Procedure In Rancho Santa Margarita, CA Orange Dental Ridge Augmentation Understanding the power and potential of particulate grafting. The posterior maxillary region often poses a problem regarding the placement of. A ridge augmentation helps recreate the natural contour of the gums and jaw. Recently in implant dentistry, minimally invasive horizontal ridge augmentations are. Sinus lift procedures for vertical ridge augmentation. Dental ridge augmentation is a procedure that rebuilds this bone,. Dental Ridge Augmentation.
From promenade-dentist.com
Ridge Augmentation Promenade Center For Dentistry Dental Ridge Augmentation Ridge modification has been shown to greatly improve the jaw’s appearance and increase the chances of successful implants that can last for. A ridge augmentation helps recreate the natural contour of the gums and jaw. Sinus lift procedures for vertical ridge augmentation. The posterior maxillary region often poses a problem regarding the placement of. Understanding the power and potential of. Dental Ridge Augmentation.
From www.torreypinesoms.com
Ridge Augmentation San Diego CA Dental Bone Graft Del Mar CA Dental Ridge Augmentation Ridge modification has been shown to greatly improve the jaw’s appearance and increase the chances of successful implants that can last for. The posterior maxillary region often poses a problem regarding the placement of. It can also rebuild the bone, providing sufficient height and weight to. The field of restorative dentistry has been through a. Dental ridge augmentation is a. Dental Ridge Augmentation.
From drmiski.com
Bone Grafting For Dental Implant French Dental Services Dubai Dr Dental Ridge Augmentation Sinus lift procedures for vertical ridge augmentation. Dental ridge augmentation is a procedure that rebuilds this bone, restoring its original height and width. Ridge modification has been shown to greatly improve the jaw’s appearance and increase the chances of successful implants that can last for. A ridge augmentation helps recreate the natural contour of the gums and jaw. The posterior. Dental Ridge Augmentation.
From www.pmdc-dental.com
Cosmetic Ridge Augmentation PMDC Dental Dental Ridge Augmentation The field of restorative dentistry has been through a. Ridge modification has been shown to greatly improve the jaw’s appearance and increase the chances of successful implants that can last for. Dental ridge augmentation is a procedure that rebuilds this bone, restoring its original height and width. The posterior maxillary region often poses a problem regarding the placement of. It. Dental Ridge Augmentation.
From www.indication-matrix.de
Horizontal ridge augmentation using cerabone® block, permamem® and Dental Ridge Augmentation The field of restorative dentistry has been through a. Sinus lift procedures for vertical ridge augmentation. It can also rebuild the bone, providing sufficient height and weight to. Dental ridge augmentation is a procedure that rebuilds this bone, restoring its original height and width. Ridge modification has been shown to greatly improve the jaw’s appearance and increase the chances of. Dental Ridge Augmentation.
From www.for.org
Vertical ridge augmentation in posterior mandible Dental Ridge Augmentation Dental ridge augmentation is a procedure that rebuilds this bone, restoring its original height and width. It can also rebuild the bone, providing sufficient height and weight to. Recently in implant dentistry, minimally invasive horizontal ridge augmentations are. The procedure typically involves the surgeon placing a bone graft material in the tooth socket or on the ridge. Sinus lift procedures. Dental Ridge Augmentation.
From modernperio.com
Bone Grafting Dental Implants Jacksonville Dental Ridge Augmentation Recently in implant dentistry, minimally invasive horizontal ridge augmentations are. Dental ridge augmentation is a procedure that rebuilds this bone, restoring its original height and width. A ridge augmentation helps recreate the natural contour of the gums and jaw. Sinus lift procedures for vertical ridge augmentation. Ridge modification has been shown to greatly improve the jaw’s appearance and increase the. Dental Ridge Augmentation.
From integrateddental.com
Ridge Augmentation integratedDENTAL Woodbury, NY Dental Ridge Augmentation A ridge augmentation helps recreate the natural contour of the gums and jaw. The posterior maxillary region often poses a problem regarding the placement of. Understanding the power and potential of particulate grafting. Sinus lift procedures for vertical ridge augmentation. Ridge modification has been shown to greatly improve the jaw’s appearance and increase the chances of successful implants that can. Dental Ridge Augmentation.
From www.indication-matrix.de
Horizontal ridge augmentation using cerabone® block, permamem® and Dental Ridge Augmentation Ridge modification has been shown to greatly improve the jaw’s appearance and increase the chances of successful implants that can last for. It can also rebuild the bone, providing sufficient height and weight to. Dental ridge augmentation is a procedure that rebuilds this bone, restoring its original height and width. A ridge augmentation helps recreate the natural contour of the. Dental Ridge Augmentation.
From northtexasdentalsurgery.com
Ridge Augmentation and Guided Bone Regeneration North Texas Dental Dental Ridge Augmentation Dental ridge augmentation is a procedure that rebuilds this bone, restoring its original height and width. Understanding the power and potential of particulate grafting. The posterior maxillary region often poses a problem regarding the placement of. It can also rebuild the bone, providing sufficient height and weight to. The procedure typically involves the surgeon placing a bone graft material in. Dental Ridge Augmentation.
From www.sparacinoperio.com
Ridge Augmentation Sparacino Periodontics Dental Ridge Augmentation The procedure typically involves the surgeon placing a bone graft material in the tooth socket or on the ridge. Ridge modification has been shown to greatly improve the jaw’s appearance and increase the chances of successful implants that can last for. The posterior maxillary region often poses a problem regarding the placement of. Recently in implant dentistry, minimally invasive horizontal. Dental Ridge Augmentation.
From knoxoms.com
Ridge Augmentation Knoxville Oral & Maxillofacial Surgery Dental Ridge Augmentation Understanding the power and potential of particulate grafting. A ridge augmentation helps recreate the natural contour of the gums and jaw. The posterior maxillary region often poses a problem regarding the placement of. It can also rebuild the bone, providing sufficient height and weight to. Sinus lift procedures for vertical ridge augmentation. Recently in implant dentistry, minimally invasive horizontal ridge. Dental Ridge Augmentation.
From carsoncityperio.com
Ridge Augmentation • Carson Periodontics And Oral & Maxillofacial Surgery Dental Ridge Augmentation The field of restorative dentistry has been through a. Sinus lift procedures for vertical ridge augmentation. It can also rebuild the bone, providing sufficient height and weight to. A ridge augmentation helps recreate the natural contour of the gums and jaw. The procedure typically involves the surgeon placing a bone graft material in the tooth socket or on the ridge.. Dental Ridge Augmentation.
From www.caredental.academy
Horizontal and Vertical Ridge Augmentation including Soft Tissue Grafts Dental Ridge Augmentation Recently in implant dentistry, minimally invasive horizontal ridge augmentations are. The procedure typically involves the surgeon placing a bone graft material in the tooth socket or on the ridge. It can also rebuild the bone, providing sufficient height and weight to. Understanding the power and potential of particulate grafting. Ridge modification has been shown to greatly improve the jaw’s appearance. Dental Ridge Augmentation.
From northhillsperio.com
Ridge Augmentation North Hills Periodontics Dental Ridge Augmentation Ridge modification has been shown to greatly improve the jaw’s appearance and increase the chances of successful implants that can last for. Recently in implant dentistry, minimally invasive horizontal ridge augmentations are. A ridge augmentation helps recreate the natural contour of the gums and jaw. The posterior maxillary region often poses a problem regarding the placement of. Understanding the power. Dental Ridge Augmentation.
From mosaicpn.com
Ridge Augmentation Milestone Oral Surgery And Implant Center Dental Ridge Augmentation Ridge modification has been shown to greatly improve the jaw’s appearance and increase the chances of successful implants that can last for. The field of restorative dentistry has been through a. Sinus lift procedures for vertical ridge augmentation. Understanding the power and potential of particulate grafting. The posterior maxillary region often poses a problem regarding the placement of. Dental ridge. Dental Ridge Augmentation.
From www.drstuartdexter.com
Preparing Your Dental Ridge for Implants with Grafting Prosthodontist Dental Ridge Augmentation Understanding the power and potential of particulate grafting. Recently in implant dentistry, minimally invasive horizontal ridge augmentations are. Sinus lift procedures for vertical ridge augmentation. A ridge augmentation helps recreate the natural contour of the gums and jaw. It can also rebuild the bone, providing sufficient height and weight to. The posterior maxillary region often poses a problem regarding the. Dental Ridge Augmentation.
From peridotdentalcare.ca
Bone graft surgery dental Peridot Dental Care Dental Ridge Augmentation Understanding the power and potential of particulate grafting. A ridge augmentation helps recreate the natural contour of the gums and jaw. Recently in implant dentistry, minimally invasive horizontal ridge augmentations are. The procedure typically involves the surgeon placing a bone graft material in the tooth socket or on the ridge. Ridge modification has been shown to greatly improve the jaw’s. Dental Ridge Augmentation.
From tampaperiodontics.com
Ridge Augmentation Bone Grafting Tampa, FL Tampa Bay Periodontics Dental Ridge Augmentation It can also rebuild the bone, providing sufficient height and weight to. A ridge augmentation helps recreate the natural contour of the gums and jaw. Recently in implant dentistry, minimally invasive horizontal ridge augmentations are. Understanding the power and potential of particulate grafting. Ridge modification has been shown to greatly improve the jaw’s appearance and increase the chances of successful. Dental Ridge Augmentation.
From www.pmdc-dental.com
Cosmetic Ridge Augmentation PMDC Dental Dental Ridge Augmentation The procedure typically involves the surgeon placing a bone graft material in the tooth socket or on the ridge. Understanding the power and potential of particulate grafting. A ridge augmentation helps recreate the natural contour of the gums and jaw. Dental ridge augmentation is a procedure that rebuilds this bone, restoring its original height and width. Ridge modification has been. Dental Ridge Augmentation.
From www.kcfacialoralsurgery.com
Ridge Augmentation Lee's Summit MO Dental Bone Graft Dental Ridge Augmentation Recently in implant dentistry, minimally invasive horizontal ridge augmentations are. Understanding the power and potential of particulate grafting. A ridge augmentation helps recreate the natural contour of the gums and jaw. The procedure typically involves the surgeon placing a bone graft material in the tooth socket or on the ridge. Sinus lift procedures for vertical ridge augmentation. The posterior maxillary. Dental Ridge Augmentation.
From northhoustonperioimplants.com
Jaw Bone Grafting North Houston Periodontics & Dental Implants Dental Ridge Augmentation The posterior maxillary region often poses a problem regarding the placement of. It can also rebuild the bone, providing sufficient height and weight to. The procedure typically involves the surgeon placing a bone graft material in the tooth socket or on the ridge. Recently in implant dentistry, minimally invasive horizontal ridge augmentations are. The field of restorative dentistry has been. Dental Ridge Augmentation.
From kissimmeeoralsurgery.com
Ridge Augmentation Raphael A. Ason, DMD, MD Dental Ridge Augmentation Sinus lift procedures for vertical ridge augmentation. Understanding the power and potential of particulate grafting. The procedure typically involves the surgeon placing a bone graft material in the tooth socket or on the ridge. Recently in implant dentistry, minimally invasive horizontal ridge augmentations are. A ridge augmentation helps recreate the natural contour of the gums and jaw. Ridge modification has. Dental Ridge Augmentation.
From www.cottonwoodoralsurgery.com
Ridge Augmentation Cottonwood Oral & Maxillofacial Surgery Dental Ridge Augmentation The posterior maxillary region often poses a problem regarding the placement of. The procedure typically involves the surgeon placing a bone graft material in the tooth socket or on the ridge. Sinus lift procedures for vertical ridge augmentation. Understanding the power and potential of particulate grafting. The field of restorative dentistry has been through a. A ridge augmentation helps recreate. Dental Ridge Augmentation.
From www.westlaimplants.com
Ridge Augmentation in Los Angeles, CA West LA Implants Dental Ridge Augmentation The field of restorative dentistry has been through a. Sinus lift procedures for vertical ridge augmentation. It can also rebuild the bone, providing sufficient height and weight to. Dental ridge augmentation is a procedure that rebuilds this bone, restoring its original height and width. Understanding the power and potential of particulate grafting. The procedure typically involves the surgeon placing a. Dental Ridge Augmentation.
From www.eastpointdental.com
Ridge Augmentation Blacklick Tooth Extraction Jaw Support Dental Ridge Augmentation It can also rebuild the bone, providing sufficient height and weight to. Dental ridge augmentation is a procedure that rebuilds this bone, restoring its original height and width. Understanding the power and potential of particulate grafting. A ridge augmentation helps recreate the natural contour of the gums and jaw. The procedure typically involves the surgeon placing a bone graft material. Dental Ridge Augmentation.