How To Make A Dead Tooth Fall Out . What are the signs of a dead tooth? If you suspect you have a dead tooth because the tooth is loose, painful, smells, or is a different colour than the rest of your teeth, it's imperative that you seek treatment from your dentist. Read on to learn how to identify a dead tooth and what you should do if you see signs that your tooth is injured. A tooth death can cause. What are my options if i have a dead (or dying) tooth? Discover the symptoms so you can act quickly if you or a loved one show signs of a dying tooth. Both tooth decay and an injury can cause a dead tooth. How can you save a dead tooth? If left untreated, a dead tooth can lead to serious. In this article, we look at the common symptoms, as well as how a dead tooth can be treated and. A dead tooth will eventually fall out on its own, but you absolutely should not wait for this to happen.
from www.michellewangdds.com
How can you save a dead tooth? If you suspect you have a dead tooth because the tooth is loose, painful, smells, or is a different colour than the rest of your teeth, it's imperative that you seek treatment from your dentist. Read on to learn how to identify a dead tooth and what you should do if you see signs that your tooth is injured. What are my options if i have a dead (or dying) tooth? Both tooth decay and an injury can cause a dead tooth. In this article, we look at the common symptoms, as well as how a dead tooth can be treated and. Discover the symptoms so you can act quickly if you or a loved one show signs of a dying tooth. A dead tooth will eventually fall out on its own, but you absolutely should not wait for this to happen. What are the signs of a dead tooth? A tooth death can cause.
Old Dental Filling Fell Out? Here’s What to Do.
How To Make A Dead Tooth Fall Out A dead tooth will eventually fall out on its own, but you absolutely should not wait for this to happen. If you suspect you have a dead tooth because the tooth is loose, painful, smells, or is a different colour than the rest of your teeth, it's imperative that you seek treatment from your dentist. What are my options if i have a dead (or dying) tooth? A dead tooth will eventually fall out on its own, but you absolutely should not wait for this to happen. Read on to learn how to identify a dead tooth and what you should do if you see signs that your tooth is injured. What are the signs of a dead tooth? How can you save a dead tooth? A tooth death can cause. If left untreated, a dead tooth can lead to serious. Both tooth decay and an injury can cause a dead tooth. Discover the symptoms so you can act quickly if you or a loved one show signs of a dying tooth. In this article, we look at the common symptoms, as well as how a dead tooth can be treated and.
From www.scienceabc.com
How Do Cavities Form In Teeth? » ScienceABC How To Make A Dead Tooth Fall Out How can you save a dead tooth? Read on to learn how to identify a dead tooth and what you should do if you see signs that your tooth is injured. A dead tooth will eventually fall out on its own, but you absolutely should not wait for this to happen. Both tooth decay and an injury can cause a. How To Make A Dead Tooth Fall Out.
From www.bauersmiles.com
Filling fell out of tooth? What now? How much cost to fix? Bauer Smiles How To Make A Dead Tooth Fall Out Discover the symptoms so you can act quickly if you or a loved one show signs of a dying tooth. Both tooth decay and an injury can cause a dead tooth. In this article, we look at the common symptoms, as well as how a dead tooth can be treated and. What are my options if i have a dead. How To Make A Dead Tooth Fall Out.
From www.thecourtyardclinic.co.uk
Whitening a Dead Tooth The Courtyard Clinic How To Make A Dead Tooth Fall Out Read on to learn how to identify a dead tooth and what you should do if you see signs that your tooth is injured. If left untreated, a dead tooth can lead to serious. Both tooth decay and an injury can cause a dead tooth. What are the signs of a dead tooth? A dead tooth will eventually fall out. How To Make A Dead Tooth Fall Out.
From northhoustonperioimplants.com
At What Stage of Decay do Teeth Begin to Fall Out? How To Make A Dead Tooth Fall Out If left untreated, a dead tooth can lead to serious. If you suspect you have a dead tooth because the tooth is loose, painful, smells, or is a different colour than the rest of your teeth, it's imperative that you seek treatment from your dentist. In this article, we look at the common symptoms, as well as how a dead. How To Make A Dead Tooth Fall Out.
From parkdale-dental.com
My Tooth Fell Out What to Do When A Tooth Falls Out How To Make A Dead Tooth Fall Out A tooth death can cause. What are my options if i have a dead (or dying) tooth? A dead tooth will eventually fall out on its own, but you absolutely should not wait for this to happen. Read on to learn how to identify a dead tooth and what you should do if you see signs that your tooth is. How To Make A Dead Tooth Fall Out.
From www.youtube.com
5 Dental Mistakes That Could Make Your Teeth Fall Out YouTube How To Make A Dead Tooth Fall Out Both tooth decay and an injury can cause a dead tooth. A tooth death can cause. What are the signs of a dead tooth? If left untreated, a dead tooth can lead to serious. Discover the symptoms so you can act quickly if you or a loved one show signs of a dying tooth. Read on to learn how to. How To Make A Dead Tooth Fall Out.
From www.medicalnewstoday.com
Dead tooth Symptoms, causes, and treatment How To Make A Dead Tooth Fall Out In this article, we look at the common symptoms, as well as how a dead tooth can be treated and. Both tooth decay and an injury can cause a dead tooth. A tooth death can cause. Read on to learn how to identify a dead tooth and what you should do if you see signs that your tooth is injured.. How To Make A Dead Tooth Fall Out.
From www.tysonsdentistry.com
How We Treat a Dead Tooth Tysons Dentistry Tysons Corner VA How To Make A Dead Tooth Fall Out Discover the symptoms so you can act quickly if you or a loved one show signs of a dying tooth. What are my options if i have a dead (or dying) tooth? If you suspect you have a dead tooth because the tooth is loose, painful, smells, or is a different colour than the rest of your teeth, it's imperative. How To Make A Dead Tooth Fall Out.
From maxcaredental.co.nz
Dead Tooth What is a dead tooth? How can a tooth die? Maxcare Dental How To Make A Dead Tooth Fall Out How can you save a dead tooth? If you suspect you have a dead tooth because the tooth is loose, painful, smells, or is a different colour than the rest of your teeth, it's imperative that you seek treatment from your dentist. Both tooth decay and an injury can cause a dead tooth. If left untreated, a dead tooth can. How To Make A Dead Tooth Fall Out.
From teethwalls.blogspot.com
How To Make Your Teeth Fall Out Without It Hurting TeethWalls How To Make A Dead Tooth Fall Out How can you save a dead tooth? Discover the symptoms so you can act quickly if you or a loved one show signs of a dying tooth. If you suspect you have a dead tooth because the tooth is loose, painful, smells, or is a different colour than the rest of your teeth, it's imperative that you seek treatment from. How To Make A Dead Tooth Fall Out.
From gargha-arce.blogspot.com
How To Fix A Dead Tooth Naturally How do I know I need a root canal? Downey Family Dental How To Make A Dead Tooth Fall Out What are the signs of a dead tooth? If left untreated, a dead tooth can lead to serious. How can you save a dead tooth? What are my options if i have a dead (or dying) tooth? Read on to learn how to identify a dead tooth and what you should do if you see signs that your tooth is. How To Make A Dead Tooth Fall Out.
From joinvdrwn.blob.core.windows.net
Can A Dentist Cap A Broken Tooth at Joan Mullet blog How To Make A Dead Tooth Fall Out What are my options if i have a dead (or dying) tooth? Read on to learn how to identify a dead tooth and what you should do if you see signs that your tooth is injured. If you suspect you have a dead tooth because the tooth is loose, painful, smells, or is a different colour than the rest of. How To Make A Dead Tooth Fall Out.
From www.drfeins.com
Smile Gallery Bringing a Dead Tooth Back to Life How To Make A Dead Tooth Fall Out What are the signs of a dead tooth? Discover the symptoms so you can act quickly if you or a loved one show signs of a dying tooth. Both tooth decay and an injury can cause a dead tooth. Read on to learn how to identify a dead tooth and what you should do if you see signs that your. How To Make A Dead Tooth Fall Out.
From www.manusdental.com
Adult Tooth Fell Out? Quickly Follow These 5 Steps! How To Make A Dead Tooth Fall Out What are the signs of a dead tooth? How can you save a dead tooth? A dead tooth will eventually fall out on its own, but you absolutely should not wait for this to happen. If left untreated, a dead tooth can lead to serious. In this article, we look at the common symptoms, as well as how a dead. How To Make A Dead Tooth Fall Out.
From easylifetimes.info
What is a Dead Tooth and How Can It be Prevented? EasyLifeTimes How To Make A Dead Tooth Fall Out If you suspect you have a dead tooth because the tooth is loose, painful, smells, or is a different colour than the rest of your teeth, it's imperative that you seek treatment from your dentist. What are my options if i have a dead (or dying) tooth? Read on to learn how to identify a dead tooth and what you. How To Make A Dead Tooth Fall Out.
From www.youtube.com
Tooth Filling Fell Out 5 Important Reasons to see a Dentist YouTube How To Make A Dead Tooth Fall Out How can you save a dead tooth? A dead tooth will eventually fall out on its own, but you absolutely should not wait for this to happen. If left untreated, a dead tooth can lead to serious. In this article, we look at the common symptoms, as well as how a dead tooth can be treated and. If you suspect. How To Make A Dead Tooth Fall Out.
From www.wikihow.com
How to Make a Loose Tooth Fall Out Without Pulling It 13 Steps How To Make A Dead Tooth Fall Out Discover the symptoms so you can act quickly if you or a loved one show signs of a dying tooth. Read on to learn how to identify a dead tooth and what you should do if you see signs that your tooth is injured. What are my options if i have a dead (or dying) tooth? A dead tooth will. How To Make A Dead Tooth Fall Out.
From my-dental-expert.com
“Tooth Loss Chart A Guide to Losing Teeth” My Dental Expert How To Make A Dead Tooth Fall Out Read on to learn how to identify a dead tooth and what you should do if you see signs that your tooth is injured. What are the signs of a dead tooth? If left untreated, a dead tooth can lead to serious. In this article, we look at the common symptoms, as well as how a dead tooth can be. How To Make A Dead Tooth Fall Out.
From www.medicalnewstoday.com
Dead tooth Symptoms, causes, and treatment How To Make A Dead Tooth Fall Out What are my options if i have a dead (or dying) tooth? Both tooth decay and an injury can cause a dead tooth. In this article, we look at the common symptoms, as well as how a dead tooth can be treated and. Read on to learn how to identify a dead tooth and what you should do if you. How To Make A Dead Tooth Fall Out.
From www.youtube.com
Adult Tooth Falling Out YouTube How To Make A Dead Tooth Fall Out In this article, we look at the common symptoms, as well as how a dead tooth can be treated and. How can you save a dead tooth? A tooth death can cause. What are the signs of a dead tooth? What are my options if i have a dead (or dying) tooth? A dead tooth will eventually fall out on. How To Make A Dead Tooth Fall Out.
From kakardentalgroup.com
First Aid Tips For A Knockedout Tooth Kakar Dental Group How To Make A Dead Tooth Fall Out How can you save a dead tooth? A dead tooth will eventually fall out on its own, but you absolutely should not wait for this to happen. Discover the symptoms so you can act quickly if you or a loved one show signs of a dying tooth. In this article, we look at the common symptoms, as well as how. How To Make A Dead Tooth Fall Out.
From worldofdentistry.org
Tooth Filling Fell Out 5 Important Reasons to see a Dentist World of Dentistry How To Make A Dead Tooth Fall Out What are my options if i have a dead (or dying) tooth? Discover the symptoms so you can act quickly if you or a loved one show signs of a dying tooth. Both tooth decay and an injury can cause a dead tooth. If left untreated, a dead tooth can lead to serious. A dead tooth will eventually fall out. How To Make A Dead Tooth Fall Out.
From mywilliamsburgdentist.com
How to Care for A Broken Tooth Stensland Dental Studio How To Make A Dead Tooth Fall Out If left untreated, a dead tooth can lead to serious. Read on to learn how to identify a dead tooth and what you should do if you see signs that your tooth is injured. In this article, we look at the common symptoms, as well as how a dead tooth can be treated and. Both tooth decay and an injury. How To Make A Dead Tooth Fall Out.
From www.michellewangdds.com
Old Dental Filling Fell Out? Here’s What to Do. How To Make A Dead Tooth Fall Out Both tooth decay and an injury can cause a dead tooth. What are the signs of a dead tooth? What are my options if i have a dead (or dying) tooth? Read on to learn how to identify a dead tooth and what you should do if you see signs that your tooth is injured. If left untreated, a dead. How To Make A Dead Tooth Fall Out.
From thechicagodentalstudio.com
Can A Dead Tooth Be Saved l Chicago Dental Studio How To Make A Dead Tooth Fall Out Discover the symptoms so you can act quickly if you or a loved one show signs of a dying tooth. A dead tooth will eventually fall out on its own, but you absolutely should not wait for this to happen. What are the signs of a dead tooth? What are my options if i have a dead (or dying) tooth?. How To Make A Dead Tooth Fall Out.
From joihachum.blob.core.windows.net
Can You Cut A Tooth In Half at Marnie Johnson blog How To Make A Dead Tooth Fall Out Both tooth decay and an injury can cause a dead tooth. Read on to learn how to identify a dead tooth and what you should do if you see signs that your tooth is injured. What are my options if i have a dead (or dying) tooth? In this article, we look at the common symptoms, as well as how. How To Make A Dead Tooth Fall Out.
From www.jacksonavedental.com
Will a Dead Tooth Fall Out? 1311 Jackson Ave Dental Dentist in Long Island City, NY How To Make A Dead Tooth Fall Out Both tooth decay and an injury can cause a dead tooth. In this article, we look at the common symptoms, as well as how a dead tooth can be treated and. A tooth death can cause. How can you save a dead tooth? What are my options if i have a dead (or dying) tooth? Read on to learn how. How To Make A Dead Tooth Fall Out.
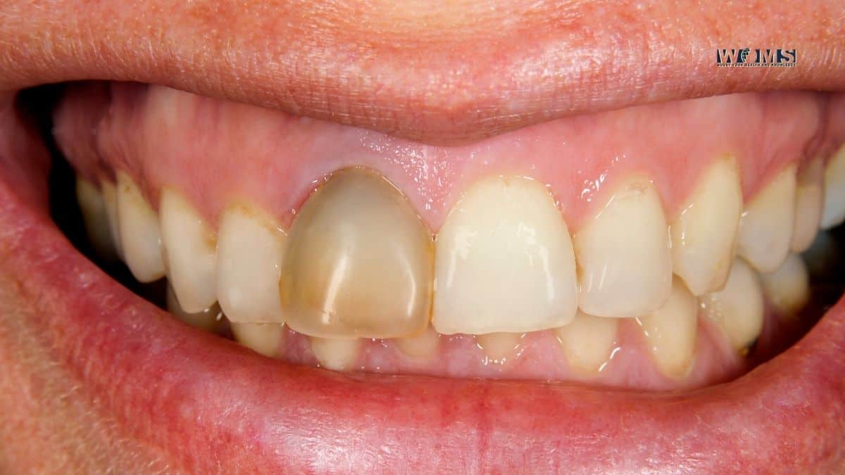
From worldofmedicalsaviours.com
Dead Tooth How to Prevent it? WOMS How To Make A Dead Tooth Fall Out If left untreated, a dead tooth can lead to serious. Read on to learn how to identify a dead tooth and what you should do if you see signs that your tooth is injured. A tooth death can cause. If you suspect you have a dead tooth because the tooth is loose, painful, smells, or is a different colour than. How To Make A Dead Tooth Fall Out.
From www.cdhp.org
Can You Save Loose Teeth from Falling Out? (Stabilization Tips) How To Make A Dead Tooth Fall Out Discover the symptoms so you can act quickly if you or a loved one show signs of a dying tooth. In this article, we look at the common symptoms, as well as how a dead tooth can be treated and. A dead tooth will eventually fall out on its own, but you absolutely should not wait for this to happen.. How To Make A Dead Tooth Fall Out.
From www.reddit.com
My teeth fell out r/Wellthatsucks How To Make A Dead Tooth Fall Out Read on to learn how to identify a dead tooth and what you should do if you see signs that your tooth is injured. What are the signs of a dead tooth? If you suspect you have a dead tooth because the tooth is loose, painful, smells, or is a different colour than the rest of your teeth, it's imperative. How To Make A Dead Tooth Fall Out.
From canyongatedental.com
Knowing what to do if your tooth filling fell out Canyon Gate Dental of Orem How To Make A Dead Tooth Fall Out Read on to learn how to identify a dead tooth and what you should do if you see signs that your tooth is injured. In this article, we look at the common symptoms, as well as how a dead tooth can be treated and. Both tooth decay and an injury can cause a dead tooth. What are my options if. How To Make A Dead Tooth Fall Out.
From www.wikihow.com
How to Make a Loose Tooth Fall Out Without Pulling It 13 Steps How To Make A Dead Tooth Fall Out What are my options if i have a dead (or dying) tooth? Read on to learn how to identify a dead tooth and what you should do if you see signs that your tooth is injured. Discover the symptoms so you can act quickly if you or a loved one show signs of a dying tooth. In this article, we. How To Make A Dead Tooth Fall Out.
From www.sciencephoto.com
Dead tooth (incisor) after a fall Stock Image C008/5749 Science Photo Library How To Make A Dead Tooth Fall Out What are the signs of a dead tooth? Read on to learn how to identify a dead tooth and what you should do if you see signs that your tooth is injured. If left untreated, a dead tooth can lead to serious. How can you save a dead tooth? In this article, we look at the common symptoms, as well. How To Make A Dead Tooth Fall Out.
From www.sarasotadentistry.com
What is a Dead Tooth? Symptoms, Causes & Treatments How To Make A Dead Tooth Fall Out A dead tooth will eventually fall out on its own, but you absolutely should not wait for this to happen. Discover the symptoms so you can act quickly if you or a loved one show signs of a dying tooth. What are the signs of a dead tooth? What are my options if i have a dead (or dying) tooth?. How To Make A Dead Tooth Fall Out.
From www.mcleansvilledentistry.com
Why Did My Tooth Fall Out? McLeansville, NC Dentists How To Make A Dead Tooth Fall Out A tooth death can cause. If you suspect you have a dead tooth because the tooth is loose, painful, smells, or is a different colour than the rest of your teeth, it's imperative that you seek treatment from your dentist. What are my options if i have a dead (or dying) tooth? Discover the symptoms so you can act quickly. How To Make A Dead Tooth Fall Out.