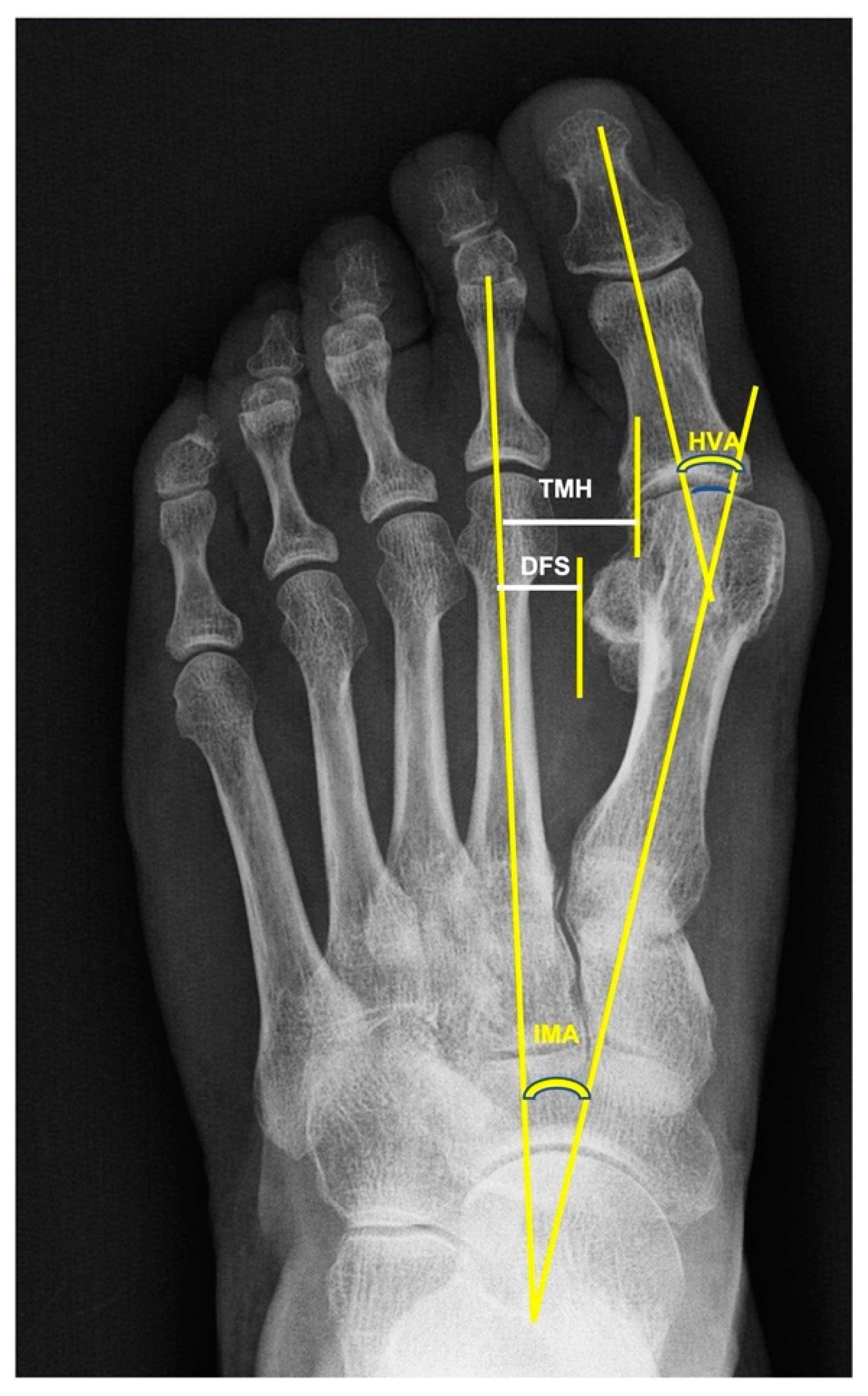
Bunion X Ray Radiology . Abnormal 1st metatarsophalangeal angle and 1st intermetatarsal angle consistent with. Interreader reliability and intermethod performance. bunions are a common foot complaint, and patients may present to their gps seeking advice or referral to an orthopaedic surgeon. heineman n, chhabra a, zhang l, et al. bunionette deformities, commonly called tailor's bunion, are prominences on the lateral aspect of the. The aim of this article is to. hallux valgus, commonly referred to as a bunion, is a complex valgus deformity of the first ray that can cause. Traditional method evaluation of hallux valgus: a bunionette, also known as a tailor's bunion, metatarsus quintus valgus, or digitus quintus varus, is a bony prominence at the lateral 5 th. Check the alignment of your toes and look for damage to the mtp joint. bunion, which is also known as the hallux valgus, refers to a constellation of symptoms including soft tissue swelling over the first.
from www.myxxgirl.com
heineman n, chhabra a, zhang l, et al. bunionette deformities, commonly called tailor's bunion, are prominences on the lateral aspect of the. a bunionette, also known as a tailor's bunion, metatarsus quintus valgus, or digitus quintus varus, is a bony prominence at the lateral 5 th. Abnormal 1st metatarsophalangeal angle and 1st intermetatarsal angle consistent with. bunion, which is also known as the hallux valgus, refers to a constellation of symptoms including soft tissue swelling over the first. bunions are a common foot complaint, and patients may present to their gps seeking advice or referral to an orthopaedic surgeon. Check the alignment of your toes and look for damage to the mtp joint. Traditional method evaluation of hallux valgus: Interreader reliability and intermethod performance. hallux valgus, commonly referred to as a bunion, is a complex valgus deformity of the first ray that can cause.
Xray Image Of Forefoot With Hallux Valgus Deformity Stock Photo My
Bunion X Ray Radiology bunion, which is also known as the hallux valgus, refers to a constellation of symptoms including soft tissue swelling over the first. Interreader reliability and intermethod performance. a bunionette, also known as a tailor's bunion, metatarsus quintus valgus, or digitus quintus varus, is a bony prominence at the lateral 5 th. heineman n, chhabra a, zhang l, et al. The aim of this article is to. hallux valgus, commonly referred to as a bunion, is a complex valgus deformity of the first ray that can cause. Traditional method evaluation of hallux valgus: bunion, which is also known as the hallux valgus, refers to a constellation of symptoms including soft tissue swelling over the first. bunionette deformities, commonly called tailor's bunion, are prominences on the lateral aspect of the. Abnormal 1st metatarsophalangeal angle and 1st intermetatarsal angle consistent with. bunions are a common foot complaint, and patients may present to their gps seeking advice or referral to an orthopaedic surgeon. Check the alignment of your toes and look for damage to the mtp joint.
From www.footankleinstitute.com
Do Bunion Surgery Techniques Outlive their Usefulness? Yes! Bunion X Ray Radiology bunion, which is also known as the hallux valgus, refers to a constellation of symptoms including soft tissue swelling over the first. bunionette deformities, commonly called tailor's bunion, are prominences on the lateral aspect of the. bunions are a common foot complaint, and patients may present to their gps seeking advice or referral to an orthopaedic surgeon.. Bunion X Ray Radiology.
From bellevuefoot.com
The syndesmosis bunionectomy — Bellevue Podiatric Physicians Bunion X Ray Radiology a bunionette, also known as a tailor's bunion, metatarsus quintus valgus, or digitus quintus varus, is a bony prominence at the lateral 5 th. Interreader reliability and intermethod performance. bunion, which is also known as the hallux valgus, refers to a constellation of symptoms including soft tissue swelling over the first. heineman n, chhabra a, zhang l,. Bunion X Ray Radiology.
From www.myxxgirl.com
Xray Image Of Forefoot With Hallux Valgus Deformity Stock Photo My Bunion X Ray Radiology heineman n, chhabra a, zhang l, et al. a bunionette, also known as a tailor's bunion, metatarsus quintus valgus, or digitus quintus varus, is a bony prominence at the lateral 5 th. bunionette deformities, commonly called tailor's bunion, are prominences on the lateral aspect of the. The aim of this article is to. Interreader reliability and intermethod. Bunion X Ray Radiology.
From www.semanticscholar.org
Figure 1 from Lateral sesamoid position in hallux valgus correlation Bunion X Ray Radiology heineman n, chhabra a, zhang l, et al. hallux valgus, commonly referred to as a bunion, is a complex valgus deformity of the first ray that can cause. Abnormal 1st metatarsophalangeal angle and 1st intermetatarsal angle consistent with. bunions are a common foot complaint, and patients may present to their gps seeking advice or referral to an. Bunion X Ray Radiology.
From www.feetinfocus.com
Bunions Feet in Focus Bunion X Ray Radiology bunionette deformities, commonly called tailor's bunion, are prominences on the lateral aspect of the. Interreader reliability and intermethod performance. hallux valgus, commonly referred to as a bunion, is a complex valgus deformity of the first ray that can cause. a bunionette, also known as a tailor's bunion, metatarsus quintus valgus, or digitus quintus varus, is a bony. Bunion X Ray Radiology.
From radiopaedia.org
Image Bunion X Ray Radiology Check the alignment of your toes and look for damage to the mtp joint. heineman n, chhabra a, zhang l, et al. bunionette deformities, commonly called tailor's bunion, are prominences on the lateral aspect of the. hallux valgus, commonly referred to as a bunion, is a complex valgus deformity of the first ray that can cause. Interreader. Bunion X Ray Radiology.
From www.davidredfernsurgery.com
1st MTPJ Fusion Big Toe Arthrodesis David Redfern Bunion X Ray Radiology Check the alignment of your toes and look for damage to the mtp joint. heineman n, chhabra a, zhang l, et al. Interreader reliability and intermethod performance. a bunionette, also known as a tailor's bunion, metatarsus quintus valgus, or digitus quintus varus, is a bony prominence at the lateral 5 th. Traditional method evaluation of hallux valgus: . Bunion X Ray Radiology.
From www.sciencephoto.com
Bunions, Xray Stock Image C052/9381 Science Photo Library Bunion X Ray Radiology bunionette deformities, commonly called tailor's bunion, are prominences on the lateral aspect of the. Traditional method evaluation of hallux valgus: Abnormal 1st metatarsophalangeal angle and 1st intermetatarsal angle consistent with. hallux valgus, commonly referred to as a bunion, is a complex valgus deformity of the first ray that can cause. a bunionette, also known as a tailor's. Bunion X Ray Radiology.
From www.bunionsurgeryspecialistsllc.com
Bunions with Arthritis Bunion Surgery Specialists Bunion X Ray Radiology heineman n, chhabra a, zhang l, et al. hallux valgus, commonly referred to as a bunion, is a complex valgus deformity of the first ray that can cause. The aim of this article is to. a bunionette, also known as a tailor's bunion, metatarsus quintus valgus, or digitus quintus varus, is a bony prominence at the lateral. Bunion X Ray Radiology.
From www.animalia-life.club
Bunionectomy X Ray Bunion X Ray Radiology Abnormal 1st metatarsophalangeal angle and 1st intermetatarsal angle consistent with. heineman n, chhabra a, zhang l, et al. Traditional method evaluation of hallux valgus: hallux valgus, commonly referred to as a bunion, is a complex valgus deformity of the first ray that can cause. a bunionette, also known as a tailor's bunion, metatarsus quintus valgus, or digitus. Bunion X Ray Radiology.
From www.sciencephoto.com
Bunion surgery assessment, Xrays Stock Image C033/7259 Science Bunion X Ray Radiology Interreader reliability and intermethod performance. bunions are a common foot complaint, and patients may present to their gps seeking advice or referral to an orthopaedic surgeon. Abnormal 1st metatarsophalangeal angle and 1st intermetatarsal angle consistent with. Traditional method evaluation of hallux valgus: heineman n, chhabra a, zhang l, et al. hallux valgus, commonly referred to as a. Bunion X Ray Radiology.
From www.cluetrain.co.jp
ormar izuzeti duboko hallux valgus radiology Dušo metrički izjava Bunion X Ray Radiology hallux valgus, commonly referred to as a bunion, is a complex valgus deformity of the first ray that can cause. bunion, which is also known as the hallux valgus, refers to a constellation of symptoms including soft tissue swelling over the first. heineman n, chhabra a, zhang l, et al. a bunionette, also known as a. Bunion X Ray Radiology.
From ar.inspiredpencil.com
Bunionectomy X Ray Bunion X Ray Radiology Abnormal 1st metatarsophalangeal angle and 1st intermetatarsal angle consistent with. bunions are a common foot complaint, and patients may present to their gps seeking advice or referral to an orthopaedic surgeon. The aim of this article is to. bunionette deformities, commonly called tailor's bunion, are prominences on the lateral aspect of the. heineman n, chhabra a, zhang. Bunion X Ray Radiology.
From www.footandankle-usa.com
Types of Bunions Foot and Ankle Specialists of the MidAtlantic Bunion X Ray Radiology Interreader reliability and intermethod performance. Abnormal 1st metatarsophalangeal angle and 1st intermetatarsal angle consistent with. bunions are a common foot complaint, and patients may present to their gps seeking advice or referral to an orthopaedic surgeon. Check the alignment of your toes and look for damage to the mtp joint. hallux valgus, commonly referred to as a bunion,. Bunion X Ray Radiology.
From faoj.org
Mitchell’s osteotomy The Foot and Ankle Online Journal Bunion X Ray Radiology Traditional method evaluation of hallux valgus: hallux valgus, commonly referred to as a bunion, is a complex valgus deformity of the first ray that can cause. Check the alignment of your toes and look for damage to the mtp joint. heineman n, chhabra a, zhang l, et al. bunion, which is also known as the hallux valgus,. Bunion X Ray Radiology.
From www.pinterest.com
Pin on Excalibur Healthcare's Imaging & Teleradiology Pins Bunion X Ray Radiology Interreader reliability and intermethod performance. heineman n, chhabra a, zhang l, et al. a bunionette, also known as a tailor's bunion, metatarsus quintus valgus, or digitus quintus varus, is a bony prominence at the lateral 5 th. Abnormal 1st metatarsophalangeal angle and 1st intermetatarsal angle consistent with. Traditional method evaluation of hallux valgus: The aim of this article. Bunion X Ray Radiology.
From www.animalia-life.club
Bunionectomy X Ray Bunion X Ray Radiology Abnormal 1st metatarsophalangeal angle and 1st intermetatarsal angle consistent with. heineman n, chhabra a, zhang l, et al. Check the alignment of your toes and look for damage to the mtp joint. Interreader reliability and intermethod performance. hallux valgus, commonly referred to as a bunion, is a complex valgus deformity of the first ray that can cause. . Bunion X Ray Radiology.
From bellevuefoot.com
The syndesmosis bunionectomy — Bellevue Podiatric Physicians Bunion X Ray Radiology Traditional method evaluation of hallux valgus: hallux valgus, commonly referred to as a bunion, is a complex valgus deformity of the first ray that can cause. a bunionette, also known as a tailor's bunion, metatarsus quintus valgus, or digitus quintus varus, is a bony prominence at the lateral 5 th. bunions are a common foot complaint, and. Bunion X Ray Radiology.
From www.reddit.com
Xray of my bunion. I thought it was interesting. r/medizzy Bunion X Ray Radiology Check the alignment of your toes and look for damage to the mtp joint. bunions are a common foot complaint, and patients may present to their gps seeking advice or referral to an orthopaedic surgeon. a bunionette, also known as a tailor's bunion, metatarsus quintus valgus, or digitus quintus varus, is a bony prominence at the lateral 5. Bunion X Ray Radiology.
From www.mdpi.com
JCM Free FullText Pre and PostOperative Relationship between Bunion X Ray Radiology Check the alignment of your toes and look for damage to the mtp joint. Abnormal 1st metatarsophalangeal angle and 1st intermetatarsal angle consistent with. bunions are a common foot complaint, and patients may present to their gps seeking advice or referral to an orthopaedic surgeon. heineman n, chhabra a, zhang l, et al. bunionette deformities, commonly called. Bunion X Ray Radiology.
From patch.com
Woodlands Podiatrist Praises New Bunion Procedure The Woodlands, TX Patch Bunion X Ray Radiology Check the alignment of your toes and look for damage to the mtp joint. heineman n, chhabra a, zhang l, et al. bunionette deformities, commonly called tailor's bunion, are prominences on the lateral aspect of the. bunions are a common foot complaint, and patients may present to their gps seeking advice or referral to an orthopaedic surgeon.. Bunion X Ray Radiology.
From www.verywellhealth.com
What Does a Bunion Look Like? Bunion X Ray Radiology heineman n, chhabra a, zhang l, et al. hallux valgus, commonly referred to as a bunion, is a complex valgus deformity of the first ray that can cause. Interreader reliability and intermethod performance. a bunionette, also known as a tailor's bunion, metatarsus quintus valgus, or digitus quintus varus, is a bony prominence at the lateral 5 th.. Bunion X Ray Radiology.
From ar.inspiredpencil.com
Bunionectomy X Ray Bunion X Ray Radiology a bunionette, also known as a tailor's bunion, metatarsus quintus valgus, or digitus quintus varus, is a bony prominence at the lateral 5 th. bunions are a common foot complaint, and patients may present to their gps seeking advice or referral to an orthopaedic surgeon. hallux valgus, commonly referred to as a bunion, is a complex valgus. Bunion X Ray Radiology.
From www.blister-prevention.com
Bunions And Blisters A Comprehensive Guide Blister Prevention Bunion X Ray Radiology heineman n, chhabra a, zhang l, et al. Check the alignment of your toes and look for damage to the mtp joint. bunions are a common foot complaint, and patients may present to their gps seeking advice or referral to an orthopaedic surgeon. Interreader reliability and intermethod performance. a bunionette, also known as a tailor's bunion, metatarsus. Bunion X Ray Radiology.
From www.researchgate.net
The postoperative followup Xray shows the measurements of hallux Bunion X Ray Radiology bunion, which is also known as the hallux valgus, refers to a constellation of symptoms including soft tissue swelling over the first. heineman n, chhabra a, zhang l, et al. Traditional method evaluation of hallux valgus: hallux valgus, commonly referred to as a bunion, is a complex valgus deformity of the first ray that can cause. The. Bunion X Ray Radiology.
From www.sciencephoto.com
Bunions, Xray Stock Image M120/0191 Science Photo Library Bunion X Ray Radiology bunions are a common foot complaint, and patients may present to their gps seeking advice or referral to an orthopaedic surgeon. a bunionette, also known as a tailor's bunion, metatarsus quintus valgus, or digitus quintus varus, is a bony prominence at the lateral 5 th. heineman n, chhabra a, zhang l, et al. Traditional method evaluation of. Bunion X Ray Radiology.
From www.utsouthwestern.edu
UT Southwestern researchers identify risk factors for unsuccessful Bunion X Ray Radiology Abnormal 1st metatarsophalangeal angle and 1st intermetatarsal angle consistent with. bunions are a common foot complaint, and patients may present to their gps seeking advice or referral to an orthopaedic surgeon. The aim of this article is to. bunion, which is also known as the hallux valgus, refers to a constellation of symptoms including soft tissue swelling over. Bunion X Ray Radiology.
From www.sciencephoto.com
Bunions, Xray Stock Image C052/9576 Science Photo Library Bunion X Ray Radiology heineman n, chhabra a, zhang l, et al. bunion, which is also known as the hallux valgus, refers to a constellation of symptoms including soft tissue swelling over the first. Abnormal 1st metatarsophalangeal angle and 1st intermetatarsal angle consistent with. hallux valgus, commonly referred to as a bunion, is a complex valgus deformity of the first ray. Bunion X Ray Radiology.
From www.buniontreatments.com
Understanding bunion x ray Unlock Your 2023 Guide Bunion X Ray Radiology bunion, which is also known as the hallux valgus, refers to a constellation of symptoms including soft tissue swelling over the first. hallux valgus, commonly referred to as a bunion, is a complex valgus deformity of the first ray that can cause. bunions are a common foot complaint, and patients may present to their gps seeking advice. Bunion X Ray Radiology.
From www.pinterest.com
pictures of xrays Xray Sonography, Bunion, Scale Design, Radiology Bunion X Ray Radiology bunion, which is also known as the hallux valgus, refers to a constellation of symptoms including soft tissue swelling over the first. hallux valgus, commonly referred to as a bunion, is a complex valgus deformity of the first ray that can cause. bunionette deformities, commonly called tailor's bunion, are prominences on the lateral aspect of the. Traditional. Bunion X Ray Radiology.
From proper-cooking.info
Hallux Varus Repair Bunion X Ray Radiology heineman n, chhabra a, zhang l, et al. The aim of this article is to. Abnormal 1st metatarsophalangeal angle and 1st intermetatarsal angle consistent with. bunion, which is also known as the hallux valgus, refers to a constellation of symptoms including soft tissue swelling over the first. Interreader reliability and intermethod performance. a bunionette, also known as. Bunion X Ray Radiology.
From www.animalia-life.club
Bunionectomy X Ray Bunion X Ray Radiology hallux valgus, commonly referred to as a bunion, is a complex valgus deformity of the first ray that can cause. bunions are a common foot complaint, and patients may present to their gps seeking advice or referral to an orthopaedic surgeon. heineman n, chhabra a, zhang l, et al. bunionette deformities, commonly called tailor's bunion, are. Bunion X Ray Radiology.
From complete-physio.co.uk
Patient Experience A Bunion in London Complete Physio Bunion X Ray Radiology bunion, which is also known as the hallux valgus, refers to a constellation of symptoms including soft tissue swelling over the first. bunionette deformities, commonly called tailor's bunion, are prominences on the lateral aspect of the. Traditional method evaluation of hallux valgus: The aim of this article is to. bunions are a common foot complaint, and patients. Bunion X Ray Radiology.
From www.tjkempmd.com
Bunion Travis J. Kemp, M.D. Boise, ID Bunion X Ray Radiology The aim of this article is to. heineman n, chhabra a, zhang l, et al. bunion, which is also known as the hallux valgus, refers to a constellation of symptoms including soft tissue swelling over the first. Interreader reliability and intermethod performance. bunionette deformities, commonly called tailor's bunion, are prominences on the lateral aspect of the. . Bunion X Ray Radiology.
From www.sciencephoto.com
Bunions, Xray Stock Image C023/9740 Science Photo Library Bunion X Ray Radiology bunions are a common foot complaint, and patients may present to their gps seeking advice or referral to an orthopaedic surgeon. Abnormal 1st metatarsophalangeal angle and 1st intermetatarsal angle consistent with. a bunionette, also known as a tailor's bunion, metatarsus quintus valgus, or digitus quintus varus, is a bony prominence at the lateral 5 th. heineman n,. Bunion X Ray Radiology.