Dog Mesenteric Torsion . Mesenteric torsion (mt) is a rotation of the intestines around the mesenteric axis causing luminal obstruction. Intestinal volvulus is a rare disorder in dogs in which there is rotation of a segment of the intestine on its mesenteric axis (gillespie et al.,. Mesenteric torsion is a pathological rotation of the intestinal tract around the axis of the mesenteric root, resulting in rapid occlusion. Gastric dilation and volvulus (gdv) is an enlargement of the stomach associated with rotation on the mesenteric axis. Dogs with splenic torsion typically present with acute abdominal pain and cardiovascular compromise.
from todaysveterinarypractice.com
Gastric dilation and volvulus (gdv) is an enlargement of the stomach associated with rotation on the mesenteric axis. Intestinal volvulus is a rare disorder in dogs in which there is rotation of a segment of the intestine on its mesenteric axis (gillespie et al.,. Mesenteric torsion is a pathological rotation of the intestinal tract around the axis of the mesenteric root, resulting in rapid occlusion. Dogs with splenic torsion typically present with acute abdominal pain and cardiovascular compromise. Mesenteric torsion (mt) is a rotation of the intestines around the mesenteric axis causing luminal obstruction.
Diagnosing Canine Abdominal Organ Torsions Twisted in Every Way
Dog Mesenteric Torsion Mesenteric torsion is a pathological rotation of the intestinal tract around the axis of the mesenteric root, resulting in rapid occlusion. Dogs with splenic torsion typically present with acute abdominal pain and cardiovascular compromise. Mesenteric torsion (mt) is a rotation of the intestines around the mesenteric axis causing luminal obstruction. Gastric dilation and volvulus (gdv) is an enlargement of the stomach associated with rotation on the mesenteric axis. Intestinal volvulus is a rare disorder in dogs in which there is rotation of a segment of the intestine on its mesenteric axis (gillespie et al.,. Mesenteric torsion is a pathological rotation of the intestinal tract around the axis of the mesenteric root, resulting in rapid occlusion.
From bioone.org
Use of doxorubicin chemotherapy following debulking surgery in the Dog Mesenteric Torsion Gastric dilation and volvulus (gdv) is an enlargement of the stomach associated with rotation on the mesenteric axis. Mesenteric torsion (mt) is a rotation of the intestines around the mesenteric axis causing luminal obstruction. Mesenteric torsion is a pathological rotation of the intestinal tract around the axis of the mesenteric root, resulting in rapid occlusion. Dogs with splenic torsion typically. Dog Mesenteric Torsion.
From pediaa.com
What is the Difference Between Torsion and Volvulus Dog Mesenteric Torsion Gastric dilation and volvulus (gdv) is an enlargement of the stomach associated with rotation on the mesenteric axis. Intestinal volvulus is a rare disorder in dogs in which there is rotation of a segment of the intestine on its mesenteric axis (gillespie et al.,. Dogs with splenic torsion typically present with acute abdominal pain and cardiovascular compromise. Mesenteric torsion is. Dog Mesenteric Torsion.
From www.slideshare.net
Mesenteric torsion pathology and management Dog Mesenteric Torsion Mesenteric torsion (mt) is a rotation of the intestines around the mesenteric axis causing luminal obstruction. Mesenteric torsion is a pathological rotation of the intestinal tract around the axis of the mesenteric root, resulting in rapid occlusion. Dogs with splenic torsion typically present with acute abdominal pain and cardiovascular compromise. Intestinal volvulus is a rare disorder in dogs in which. Dog Mesenteric Torsion.
From hospinov.com
COVID19Associated Superior Mesenteric Artery Thrombosis and Acute Dog Mesenteric Torsion Mesenteric torsion is a pathological rotation of the intestinal tract around the axis of the mesenteric root, resulting in rapid occlusion. Dogs with splenic torsion typically present with acute abdominal pain and cardiovascular compromise. Mesenteric torsion (mt) is a rotation of the intestines around the mesenteric axis causing luminal obstruction. Intestinal volvulus is a rare disorder in dogs in which. Dog Mesenteric Torsion.
From quizlet.com
Mesenteric lymph nodes Diagram Quizlet Dog Mesenteric Torsion Intestinal volvulus is a rare disorder in dogs in which there is rotation of a segment of the intestine on its mesenteric axis (gillespie et al.,. Mesenteric torsion is a pathological rotation of the intestinal tract around the axis of the mesenteric root, resulting in rapid occlusion. Gastric dilation and volvulus (gdv) is an enlargement of the stomach associated with. Dog Mesenteric Torsion.
From blog.naver.com
위 질환 ; 위확장/염전 GDV 네이버 블로그 Dog Mesenteric Torsion Mesenteric torsion is a pathological rotation of the intestinal tract around the axis of the mesenteric root, resulting in rapid occlusion. Intestinal volvulus is a rare disorder in dogs in which there is rotation of a segment of the intestine on its mesenteric axis (gillespie et al.,. Mesenteric torsion (mt) is a rotation of the intestines around the mesenteric axis. Dog Mesenteric Torsion.
From todaysveterinarypractice.com
Diagnosing Canine Abdominal Organ Torsions Twisted in Every Way Dog Mesenteric Torsion Gastric dilation and volvulus (gdv) is an enlargement of the stomach associated with rotation on the mesenteric axis. Mesenteric torsion is a pathological rotation of the intestinal tract around the axis of the mesenteric root, resulting in rapid occlusion. Mesenteric torsion (mt) is a rotation of the intestines around the mesenteric axis causing luminal obstruction. Intestinal volvulus is a rare. Dog Mesenteric Torsion.
From www.slideshare.net
Mesenteric torsion pathology and management Dog Mesenteric Torsion Mesenteric torsion (mt) is a rotation of the intestines around the mesenteric axis causing luminal obstruction. Dogs with splenic torsion typically present with acute abdominal pain and cardiovascular compromise. Gastric dilation and volvulus (gdv) is an enlargement of the stomach associated with rotation on the mesenteric axis. Mesenteric torsion is a pathological rotation of the intestinal tract around the axis. Dog Mesenteric Torsion.
From docplayer.com.br
Torção de mesentério um caso clínico. Mesenteric torsion a case report Dog Mesenteric Torsion Mesenteric torsion is a pathological rotation of the intestinal tract around the axis of the mesenteric root, resulting in rapid occlusion. Dogs with splenic torsion typically present with acute abdominal pain and cardiovascular compromise. Intestinal volvulus is a rare disorder in dogs in which there is rotation of a segment of the intestine on its mesenteric axis (gillespie et al.,.. Dog Mesenteric Torsion.
From vhah.com
Digital Radiography Vernon Hills Animal Hospital Mundelein, IL Dog Mesenteric Torsion Intestinal volvulus is a rare disorder in dogs in which there is rotation of a segment of the intestine on its mesenteric axis (gillespie et al.,. Mesenteric torsion is a pathological rotation of the intestinal tract around the axis of the mesenteric root, resulting in rapid occlusion. Mesenteric torsion (mt) is a rotation of the intestines around the mesenteric axis. Dog Mesenteric Torsion.
From todaysveterinarypractice.com
Diagnosing Canine Abdominal Organ Torsions Twisted in Every Way Dog Mesenteric Torsion Mesenteric torsion is a pathological rotation of the intestinal tract around the axis of the mesenteric root, resulting in rapid occlusion. Dogs with splenic torsion typically present with acute abdominal pain and cardiovascular compromise. Intestinal volvulus is a rare disorder in dogs in which there is rotation of a segment of the intestine on its mesenteric axis (gillespie et al.,.. Dog Mesenteric Torsion.
From europepmc.org
Mesenteric torsion in a dog. Abstract Europe PMC Dog Mesenteric Torsion Dogs with splenic torsion typically present with acute abdominal pain and cardiovascular compromise. Intestinal volvulus is a rare disorder in dogs in which there is rotation of a segment of the intestine on its mesenteric axis (gillespie et al.,. Gastric dilation and volvulus (gdv) is an enlargement of the stomach associated with rotation on the mesenteric axis. Mesenteric torsion (mt). Dog Mesenteric Torsion.
From www.yumpu.com
Mesenteric torsion in dogs Dog Mesenteric Torsion Gastric dilation and volvulus (gdv) is an enlargement of the stomach associated with rotation on the mesenteric axis. Intestinal volvulus is a rare disorder in dogs in which there is rotation of a segment of the intestine on its mesenteric axis (gillespie et al.,. Mesenteric torsion (mt) is a rotation of the intestines around the mesenteric axis causing luminal obstruction.. Dog Mesenteric Torsion.
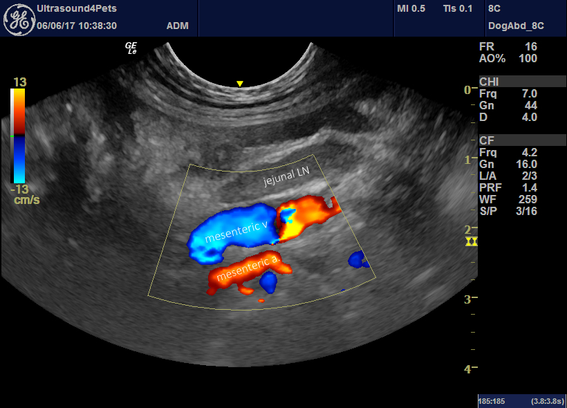
From pubs.rsna.org
Mesenteric Lymph Nodes Seen at Imaging Causes and Significance Dog Mesenteric Torsion Intestinal volvulus is a rare disorder in dogs in which there is rotation of a segment of the intestine on its mesenteric axis (gillespie et al.,. Mesenteric torsion is a pathological rotation of the intestinal tract around the axis of the mesenteric root, resulting in rapid occlusion. Mesenteric torsion (mt) is a rotation of the intestines around the mesenteric axis. Dog Mesenteric Torsion.
From todaysveterinarypractice.com
Small Animal Abdominal Ultrasonography The Spleen Today's Veterinary Dog Mesenteric Torsion Mesenteric torsion is a pathological rotation of the intestinal tract around the axis of the mesenteric root, resulting in rapid occlusion. Dogs with splenic torsion typically present with acute abdominal pain and cardiovascular compromise. Gastric dilation and volvulus (gdv) is an enlargement of the stomach associated with rotation on the mesenteric axis. Intestinal volvulus is a rare disorder in dogs. Dog Mesenteric Torsion.
From www.vetpracticesupport.com
Colonic torsion in a dog ultrasonographic findings Vet Practice Support Dog Mesenteric Torsion Mesenteric torsion (mt) is a rotation of the intestines around the mesenteric axis causing luminal obstruction. Mesenteric torsion is a pathological rotation of the intestinal tract around the axis of the mesenteric root, resulting in rapid occlusion. Intestinal volvulus is a rare disorder in dogs in which there is rotation of a segment of the intestine on its mesenteric axis. Dog Mesenteric Torsion.
From todaysveterinarypractice.com
Diagnosing Canine Abdominal Organ Torsions Twisted in Every Way Dog Mesenteric Torsion Intestinal volvulus is a rare disorder in dogs in which there is rotation of a segment of the intestine on its mesenteric axis (gillespie et al.,. Mesenteric torsion (mt) is a rotation of the intestines around the mesenteric axis causing luminal obstruction. Dogs with splenic torsion typically present with acute abdominal pain and cardiovascular compromise. Gastric dilation and volvulus (gdv). Dog Mesenteric Torsion.
From cowdoc1981.blogspot.com
A Day in the Life of a Cow Vet Dog Mesenteric Torsion Mesenteric torsion (mt) is a rotation of the intestines around the mesenteric axis causing luminal obstruction. Dogs with splenic torsion typically present with acute abdominal pain and cardiovascular compromise. Gastric dilation and volvulus (gdv) is an enlargement of the stomach associated with rotation on the mesenteric axis. Intestinal volvulus is a rare disorder in dogs in which there is rotation. Dog Mesenteric Torsion.
From www.slideserve.com
PPT GI EMERGENCIES PowerPoint Presentation, free download ID6638624 Dog Mesenteric Torsion Dogs with splenic torsion typically present with acute abdominal pain and cardiovascular compromise. Mesenteric torsion is a pathological rotation of the intestinal tract around the axis of the mesenteric root, resulting in rapid occlusion. Gastric dilation and volvulus (gdv) is an enlargement of the stomach associated with rotation on the mesenteric axis. Mesenteric torsion (mt) is a rotation of the. Dog Mesenteric Torsion.
From www.vetpracticesupport.com
Colonic torsion in a dog ultrasonographic findings Vet Practice Support Dog Mesenteric Torsion Mesenteric torsion (mt) is a rotation of the intestines around the mesenteric axis causing luminal obstruction. Gastric dilation and volvulus (gdv) is an enlargement of the stomach associated with rotation on the mesenteric axis. Mesenteric torsion is a pathological rotation of the intestinal tract around the axis of the mesenteric root, resulting in rapid occlusion. Intestinal volvulus is a rare. Dog Mesenteric Torsion.
From www.slideserve.com
PPT GI EMERGENCIES PowerPoint Presentation, free download ID6638624 Dog Mesenteric Torsion Dogs with splenic torsion typically present with acute abdominal pain and cardiovascular compromise. Mesenteric torsion (mt) is a rotation of the intestines around the mesenteric axis causing luminal obstruction. Mesenteric torsion is a pathological rotation of the intestinal tract around the axis of the mesenteric root, resulting in rapid occlusion. Intestinal volvulus is a rare disorder in dogs in which. Dog Mesenteric Torsion.
From www.differencebetween.com
Difference Between Omentum and Mesentery Omentum vs Mesentery Dog Mesenteric Torsion Mesenteric torsion (mt) is a rotation of the intestines around the mesenteric axis causing luminal obstruction. Dogs with splenic torsion typically present with acute abdominal pain and cardiovascular compromise. Gastric dilation and volvulus (gdv) is an enlargement of the stomach associated with rotation on the mesenteric axis. Mesenteric torsion is a pathological rotation of the intestinal tract around the axis. Dog Mesenteric Torsion.
From www.slideshare.net
Mesenteric torsion pathology and management Dog Mesenteric Torsion Intestinal volvulus is a rare disorder in dogs in which there is rotation of a segment of the intestine on its mesenteric axis (gillespie et al.,. Mesenteric torsion (mt) is a rotation of the intestines around the mesenteric axis causing luminal obstruction. Mesenteric torsion is a pathological rotation of the intestinal tract around the axis of the mesenteric root, resulting. Dog Mesenteric Torsion.
From avmajournals.avma.org
What Is Your Diagnosis? in Journal of the American Veterinary Medical Dog Mesenteric Torsion Mesenteric torsion is a pathological rotation of the intestinal tract around the axis of the mesenteric root, resulting in rapid occlusion. Mesenteric torsion (mt) is a rotation of the intestines around the mesenteric axis causing luminal obstruction. Intestinal volvulus is a rare disorder in dogs in which there is rotation of a segment of the intestine on its mesenteric axis. Dog Mesenteric Torsion.
From todaysveterinarypractice.com
Diagnosing Canine Abdominal Organ Torsions Dog Mesenteric Torsion Mesenteric torsion (mt) is a rotation of the intestines around the mesenteric axis causing luminal obstruction. Dogs with splenic torsion typically present with acute abdominal pain and cardiovascular compromise. Mesenteric torsion is a pathological rotation of the intestinal tract around the axis of the mesenteric root, resulting in rapid occlusion. Gastric dilation and volvulus (gdv) is an enlargement of the. Dog Mesenteric Torsion.
From www.researchgate.net
(PDF) Ileocolic intussusception associated with mesenteric torsion in Dog Mesenteric Torsion Mesenteric torsion is a pathological rotation of the intestinal tract around the axis of the mesenteric root, resulting in rapid occlusion. Intestinal volvulus is a rare disorder in dogs in which there is rotation of a segment of the intestine on its mesenteric axis (gillespie et al.,. Gastric dilation and volvulus (gdv) is an enlargement of the stomach associated with. Dog Mesenteric Torsion.
From www.germanshepherds.com
Colonic/Mesenteric torsion German Shepherds Forum Dog Mesenteric Torsion Intestinal volvulus is a rare disorder in dogs in which there is rotation of a segment of the intestine on its mesenteric axis (gillespie et al.,. Gastric dilation and volvulus (gdv) is an enlargement of the stomach associated with rotation on the mesenteric axis. Dogs with splenic torsion typically present with acute abdominal pain and cardiovascular compromise. Mesenteric torsion is. Dog Mesenteric Torsion.
From healthjade.com
Mesenteric artery anatomy, function, branches & mesenteric artery ischemia Dog Mesenteric Torsion Gastric dilation and volvulus (gdv) is an enlargement of the stomach associated with rotation on the mesenteric axis. Mesenteric torsion is a pathological rotation of the intestinal tract around the axis of the mesenteric root, resulting in rapid occlusion. Dogs with splenic torsion typically present with acute abdominal pain and cardiovascular compromise. Intestinal volvulus is a rare disorder in dogs. Dog Mesenteric Torsion.
From www.sciencephoto.com
Mesenteric mass, CT scan Stock Image C039/3096 Science Photo Library Dog Mesenteric Torsion Intestinal volvulus is a rare disorder in dogs in which there is rotation of a segment of the intestine on its mesenteric axis (gillespie et al.,. Mesenteric torsion is a pathological rotation of the intestinal tract around the axis of the mesenteric root, resulting in rapid occlusion. Dogs with splenic torsion typically present with acute abdominal pain and cardiovascular compromise.. Dog Mesenteric Torsion.
From www.researchgate.net
Comparison of conventional and current interpretations of mesenteric Dog Mesenteric Torsion Gastric dilation and volvulus (gdv) is an enlargement of the stomach associated with rotation on the mesenteric axis. Intestinal volvulus is a rare disorder in dogs in which there is rotation of a segment of the intestine on its mesenteric axis (gillespie et al.,. Mesenteric torsion is a pathological rotation of the intestinal tract around the axis of the mesenteric. Dog Mesenteric Torsion.
From nl.dobermanblog.com
Maagtorsie bij honden Doberman Blog Dog Mesenteric Torsion Mesenteric torsion is a pathological rotation of the intestinal tract around the axis of the mesenteric root, resulting in rapid occlusion. Gastric dilation and volvulus (gdv) is an enlargement of the stomach associated with rotation on the mesenteric axis. Dogs with splenic torsion typically present with acute abdominal pain and cardiovascular compromise. Intestinal volvulus is a rare disorder in dogs. Dog Mesenteric Torsion.
From www.slideshare.net
Mesenteric torsion pathology and management Dog Mesenteric Torsion Gastric dilation and volvulus (gdv) is an enlargement of the stomach associated with rotation on the mesenteric axis. Mesenteric torsion (mt) is a rotation of the intestines around the mesenteric axis causing luminal obstruction. Dogs with splenic torsion typically present with acute abdominal pain and cardiovascular compromise. Mesenteric torsion is a pathological rotation of the intestinal tract around the axis. Dog Mesenteric Torsion.
From www.dreamstime.com
DOG STOMACH BLOAT AND TORSION XRAY Stock Photo Image of healthcare Dog Mesenteric Torsion Mesenteric torsion (mt) is a rotation of the intestines around the mesenteric axis causing luminal obstruction. Dogs with splenic torsion typically present with acute abdominal pain and cardiovascular compromise. Intestinal volvulus is a rare disorder in dogs in which there is rotation of a segment of the intestine on its mesenteric axis (gillespie et al.,. Mesenteric torsion is a pathological. Dog Mesenteric Torsion.
From todaysveterinarypractice.com
Diagnosing Canine Abdominal Organ Torsions Twisted in Every Way Dog Mesenteric Torsion Mesenteric torsion (mt) is a rotation of the intestines around the mesenteric axis causing luminal obstruction. Gastric dilation and volvulus (gdv) is an enlargement of the stomach associated with rotation on the mesenteric axis. Mesenteric torsion is a pathological rotation of the intestinal tract around the axis of the mesenteric root, resulting in rapid occlusion. Dogs with splenic torsion typically. Dog Mesenteric Torsion.
From northwestvetimage.com
Northwest Veterinary Imaging Dog Mesenteric Torsion Mesenteric torsion (mt) is a rotation of the intestines around the mesenteric axis causing luminal obstruction. Intestinal volvulus is a rare disorder in dogs in which there is rotation of a segment of the intestine on its mesenteric axis (gillespie et al.,. Mesenteric torsion is a pathological rotation of the intestinal tract around the axis of the mesenteric root, resulting. Dog Mesenteric Torsion.