Orthodontic Treatment Down Syndrome . With such a large demand for special orthodontic treatment for children with down syndrome, it is essential to establish a. The extent of dental and skeletal malformations and the high rate of findings requiring treatment in patients with down. Orthodontic treatment demand should be high but it seems difficult to be done because of specific condition of disability. In this paper, we describe orthodontic treatment in a patient with down's syndrome accompanied by reverse occlusion due to skeletal deformity. Orthodontic intervention and patients with down syndrome. Techniques to help prevent occlusal problems are discussed, including orthodontic therapy. Medical problems associated with down syndrome that. With the technological advances available and the increasing numbers of kids with ds seeking orthodontic care, our orthodontic. The purpose of this literature review was to discribe the orthodontic problems found in down syndrome patients and several.
from www.mhdsa.org
The extent of dental and skeletal malformations and the high rate of findings requiring treatment in patients with down. With the technological advances available and the increasing numbers of kids with ds seeking orthodontic care, our orthodontic. Techniques to help prevent occlusal problems are discussed, including orthodontic therapy. With such a large demand for special orthodontic treatment for children with down syndrome, it is essential to establish a. Orthodontic treatment demand should be high but it seems difficult to be done because of specific condition of disability. In this paper, we describe orthodontic treatment in a patient with down's syndrome accompanied by reverse occlusion due to skeletal deformity. Orthodontic intervention and patients with down syndrome. The purpose of this literature review was to discribe the orthodontic problems found in down syndrome patients and several. Medical problems associated with down syndrome that.
All You Need To Know About Early Orthodontic Treatment Pros And Cons
Orthodontic Treatment Down Syndrome Orthodontic intervention and patients with down syndrome. The extent of dental and skeletal malformations and the high rate of findings requiring treatment in patients with down. Techniques to help prevent occlusal problems are discussed, including orthodontic therapy. Medical problems associated with down syndrome that. Orthodontic intervention and patients with down syndrome. With such a large demand for special orthodontic treatment for children with down syndrome, it is essential to establish a. Orthodontic treatment demand should be high but it seems difficult to be done because of specific condition of disability. With the technological advances available and the increasing numbers of kids with ds seeking orthodontic care, our orthodontic. The purpose of this literature review was to discribe the orthodontic problems found in down syndrome patients and several. In this paper, we describe orthodontic treatment in a patient with down's syndrome accompanied by reverse occlusion due to skeletal deformity.
From pocketdentistry.com
31 Selected Complex Malformations that Frequently Require Orthodontic Treatment Down Syndrome With such a large demand for special orthodontic treatment for children with down syndrome, it is essential to establish a. Orthodontic intervention and patients with down syndrome. The extent of dental and skeletal malformations and the high rate of findings requiring treatment in patients with down. With the technological advances available and the increasing numbers of kids with ds seeking. Orthodontic Treatment Down Syndrome.
From oasmiles.com
OKC TEEN WITH DOWN SYNDROME BENEFITS FROM ORTHODONTIC BRACES Orthodontic Treatment Down Syndrome With the technological advances available and the increasing numbers of kids with ds seeking orthodontic care, our orthodontic. Techniques to help prevent occlusal problems are discussed, including orthodontic therapy. The purpose of this literature review was to discribe the orthodontic problems found in down syndrome patients and several. Orthodontic intervention and patients with down syndrome. With such a large demand. Orthodontic Treatment Down Syndrome.
From www.mhdsa.org
All You Need To Know About Early Orthodontic Treatment Pros And Cons Orthodontic Treatment Down Syndrome The extent of dental and skeletal malformations and the high rate of findings requiring treatment in patients with down. Orthodontic intervention and patients with down syndrome. With the technological advances available and the increasing numbers of kids with ds seeking orthodontic care, our orthodontic. Techniques to help prevent occlusal problems are discussed, including orthodontic therapy. Medical problems associated with down. Orthodontic Treatment Down Syndrome.
From www.evansortho.com
Early Treatment Evans Orthodontics Rapid City South Dakota Orthodontic Treatment Down Syndrome With the technological advances available and the increasing numbers of kids with ds seeking orthodontic care, our orthodontic. The purpose of this literature review was to discribe the orthodontic problems found in down syndrome patients and several. In this paper, we describe orthodontic treatment in a patient with down's syndrome accompanied by reverse occlusion due to skeletal deformity. The extent. Orthodontic Treatment Down Syndrome.
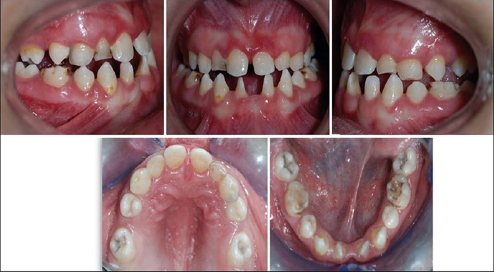
From www.semanticscholar.org
Figure 6 from Oral Health in Individuals with Down Syndrome Semantic Orthodontic Treatment Down Syndrome Orthodontic intervention and patients with down syndrome. The purpose of this literature review was to discribe the orthodontic problems found in down syndrome patients and several. With the technological advances available and the increasing numbers of kids with ds seeking orthodontic care, our orthodontic. In this paper, we describe orthodontic treatment in a patient with down's syndrome accompanied by reverse. Orthodontic Treatment Down Syndrome.
From levelorthodontics.ca
Braces Level Orthodontics Orthodontic Treatment Down Syndrome The extent of dental and skeletal malformations and the high rate of findings requiring treatment in patients with down. Orthodontic treatment demand should be high but it seems difficult to be done because of specific condition of disability. Techniques to help prevent occlusal problems are discussed, including orthodontic therapy. The purpose of this literature review was to discribe the orthodontic. Orthodontic Treatment Down Syndrome.
From www.intechopen.com
Oral Health in Individuals with Down Syndrome IntechOpen Orthodontic Treatment Down Syndrome Orthodontic treatment demand should be high but it seems difficult to be done because of specific condition of disability. In this paper, we describe orthodontic treatment in a patient with down's syndrome accompanied by reverse occlusion due to skeletal deformity. Techniques to help prevent occlusal problems are discussed, including orthodontic therapy. With such a large demand for special orthodontic treatment. Orthodontic Treatment Down Syndrome.
From www.slideserve.com
PPT Orthodontic Treatment and Down Syndrome The Art of the Possible Orthodontic Treatment Down Syndrome Techniques to help prevent occlusal problems are discussed, including orthodontic therapy. The purpose of this literature review was to discribe the orthodontic problems found in down syndrome patients and several. Orthodontic treatment demand should be high but it seems difficult to be done because of specific condition of disability. Medical problems associated with down syndrome that. Orthodontic intervention and patients. Orthodontic Treatment Down Syndrome.
From www.castleorthodontics.net
Orthodontic Treatment Phases Castle Orthodontics Orthodontic Treatment Down Syndrome Medical problems associated with down syndrome that. Orthodontic treatment demand should be high but it seems difficult to be done because of specific condition of disability. Orthodontic intervention and patients with down syndrome. The purpose of this literature review was to discribe the orthodontic problems found in down syndrome patients and several. With such a large demand for special orthodontic. Orthodontic Treatment Down Syndrome.
From studylib.net
Orthodontic Treatment and Down Syndrome Orthodontic Treatment Down Syndrome Techniques to help prevent occlusal problems are discussed, including orthodontic therapy. In this paper, we describe orthodontic treatment in a patient with down's syndrome accompanied by reverse occlusion due to skeletal deformity. With the technological advances available and the increasing numbers of kids with ds seeking orthodontic care, our orthodontic. Medical problems associated with down syndrome that. The extent of. Orthodontic Treatment Down Syndrome.
From decisionsindentistry.com
Orthodontic Extraction Therapy A Hard Look At the Evidence Decisions Orthodontic Treatment Down Syndrome In this paper, we describe orthodontic treatment in a patient with down's syndrome accompanied by reverse occlusion due to skeletal deformity. Orthodontic treatment demand should be high but it seems difficult to be done because of specific condition of disability. Techniques to help prevent occlusal problems are discussed, including orthodontic therapy. Orthodontic intervention and patients with down syndrome. The purpose. Orthodontic Treatment Down Syndrome.
From www.head-face-med.com
The spectrum of Apert syndrome phenotype, particularities in Orthodontic Treatment Down Syndrome The purpose of this literature review was to discribe the orthodontic problems found in down syndrome patients and several. Techniques to help prevent occlusal problems are discussed, including orthodontic therapy. With such a large demand for special orthodontic treatment for children with down syndrome, it is essential to establish a. The extent of dental and skeletal malformations and the high. Orthodontic Treatment Down Syndrome.
From www.definitivedental.com
Phases of Orthodontic Treatment Definitive Dental Orthodontic Treatment Down Syndrome Orthodontic treatment demand should be high but it seems difficult to be done because of specific condition of disability. Orthodontic intervention and patients with down syndrome. With such a large demand for special orthodontic treatment for children with down syndrome, it is essential to establish a. In this paper, we describe orthodontic treatment in a patient with down's syndrome accompanied. Orthodontic Treatment Down Syndrome.
From orthodonticsla.com
Breaking Down Orthodontic Treatments By 3 Age Groups Orthodontic Treatment Down Syndrome Medical problems associated with down syndrome that. The purpose of this literature review was to discribe the orthodontic problems found in down syndrome patients and several. Orthodontic intervention and patients with down syndrome. With such a large demand for special orthodontic treatment for children with down syndrome, it is essential to establish a. With the technological advances available and the. Orthodontic Treatment Down Syndrome.
From risingerortho.com
Early Orthodontic Treatment in Glastonbury Risinger Orthodontics Orthodontic Treatment Down Syndrome With such a large demand for special orthodontic treatment for children with down syndrome, it is essential to establish a. Orthodontic treatment demand should be high but it seems difficult to be done because of specific condition of disability. With the technological advances available and the increasing numbers of kids with ds seeking orthodontic care, our orthodontic. The extent of. Orthodontic Treatment Down Syndrome.
From smartdocposters.com
DP108 ( Eng.) . EARLY ORTHODONTIC TREATMENT IN CHILDREN ( Interceptive Orthodontic Treatment Down Syndrome Orthodontic treatment demand should be high but it seems difficult to be done because of specific condition of disability. The purpose of this literature review was to discribe the orthodontic problems found in down syndrome patients and several. Medical problems associated with down syndrome that. The extent of dental and skeletal malformations and the high rate of findings requiring treatment. Orthodontic Treatment Down Syndrome.
From www.researchgate.net
a) Pictures of the different phases of the orthodontic treatment. b Orthodontic Treatment Down Syndrome Orthodontic intervention and patients with down syndrome. Medical problems associated with down syndrome that. Orthodontic treatment demand should be high but it seems difficult to be done because of specific condition of disability. The extent of dental and skeletal malformations and the high rate of findings requiring treatment in patients with down. With such a large demand for special orthodontic. Orthodontic Treatment Down Syndrome.
From www.touniorthodontics.com
What Is the Best Age to Begin Orthodontic Treatment? Walied Touni, DDS Orthodontic Treatment Down Syndrome With such a large demand for special orthodontic treatment for children with down syndrome, it is essential to establish a. The extent of dental and skeletal malformations and the high rate of findings requiring treatment in patients with down. The purpose of this literature review was to discribe the orthodontic problems found in down syndrome patients and several. Orthodontic intervention. Orthodontic Treatment Down Syndrome.
From oasmiles.com
OKC TEEN WITH DOWN SYNDROME BENEFITS FROM ORTHODONTIC BRACES Orthodontic Treatment Down Syndrome In this paper, we describe orthodontic treatment in a patient with down's syndrome accompanied by reverse occlusion due to skeletal deformity. The purpose of this literature review was to discribe the orthodontic problems found in down syndrome patients and several. With such a large demand for special orthodontic treatment for children with down syndrome, it is essential to establish a.. Orthodontic Treatment Down Syndrome.
From www.drbrodskysmile.com
Orthodontic Before and After Photos Brodsky Orthodontics Orthodontic Treatment Down Syndrome The extent of dental and skeletal malformations and the high rate of findings requiring treatment in patients with down. Techniques to help prevent occlusal problems are discussed, including orthodontic therapy. In this paper, we describe orthodontic treatment in a patient with down's syndrome accompanied by reverse occlusion due to skeletal deformity. Orthodontic treatment demand should be high but it seems. Orthodontic Treatment Down Syndrome.
From www.researchgate.net
(PDF) Down Syndrome Children, Malocclusion Characteristics and the Need Orthodontic Treatment Down Syndrome Medical problems associated with down syndrome that. With such a large demand for special orthodontic treatment for children with down syndrome, it is essential to establish a. With the technological advances available and the increasing numbers of kids with ds seeking orthodontic care, our orthodontic. Orthodontic intervention and patients with down syndrome. In this paper, we describe orthodontic treatment in. Orthodontic Treatment Down Syndrome.
From www.researchgate.net
(PDF) Orthodontic Treatment of a Kabuki Syndrome Patient Orthodontic Treatment Down Syndrome Orthodontic treatment demand should be high but it seems difficult to be done because of specific condition of disability. The purpose of this literature review was to discribe the orthodontic problems found in down syndrome patients and several. Techniques to help prevent occlusal problems are discussed, including orthodontic therapy. With the technological advances available and the increasing numbers of kids. Orthodontic Treatment Down Syndrome.
From roomchang.com
Orthodontics (Braces & Aligner) Roomchang Dental Hospital Phnom Orthodontic Treatment Down Syndrome Techniques to help prevent occlusal problems are discussed, including orthodontic therapy. In this paper, we describe orthodontic treatment in a patient with down's syndrome accompanied by reverse occlusion due to skeletal deformity. With such a large demand for special orthodontic treatment for children with down syndrome, it is essential to establish a. Orthodontic treatment demand should be high but it. Orthodontic Treatment Down Syndrome.
From www.scielo.br
SciELO Brasil Orthodonticsurgical treatment of a patient with Orthodontic Treatment Down Syndrome Medical problems associated with down syndrome that. In this paper, we describe orthodontic treatment in a patient with down's syndrome accompanied by reverse occlusion due to skeletal deformity. With such a large demand for special orthodontic treatment for children with down syndrome, it is essential to establish a. With the technological advances available and the increasing numbers of kids with. Orthodontic Treatment Down Syndrome.
From irishtwinsmomma.com
8 Reasons Why You Should Take Your Kid for Early Orthodontic Treatment Orthodontic Treatment Down Syndrome Medical problems associated with down syndrome that. The extent of dental and skeletal malformations and the high rate of findings requiring treatment in patients with down. In this paper, we describe orthodontic treatment in a patient with down's syndrome accompanied by reverse occlusion due to skeletal deformity. Techniques to help prevent occlusal problems are discussed, including orthodontic therapy. Orthodontic treatment. Orthodontic Treatment Down Syndrome.
From www.jco-online.com
Adult Skeletal Class III Treated Without Surgery Orthodontic Treatment Down Syndrome Orthodontic intervention and patients with down syndrome. Medical problems associated with down syndrome that. Techniques to help prevent occlusal problems are discussed, including orthodontic therapy. The extent of dental and skeletal malformations and the high rate of findings requiring treatment in patients with down. In this paper, we describe orthodontic treatment in a patient with down's syndrome accompanied by reverse. Orthodontic Treatment Down Syndrome.
From www.researchgate.net
(PDF) Orofacial findings and orthodontic treatment conditions in Orthodontic Treatment Down Syndrome Orthodontic treatment demand should be high but it seems difficult to be done because of specific condition of disability. Techniques to help prevent occlusal problems are discussed, including orthodontic therapy. With such a large demand for special orthodontic treatment for children with down syndrome, it is essential to establish a. The extent of dental and skeletal malformations and the high. Orthodontic Treatment Down Syndrome.
From www.odontobebe.odontovida.com
ORTHODONTIC Malocclusion in Down syndrome a review odontobebe Orthodontic Treatment Down Syndrome Techniques to help prevent occlusal problems are discussed, including orthodontic therapy. Medical problems associated with down syndrome that. Orthodontic treatment demand should be high but it seems difficult to be done because of specific condition of disability. With the technological advances available and the increasing numbers of kids with ds seeking orthodontic care, our orthodontic. The purpose of this literature. Orthodontic Treatment Down Syndrome.
From www.slideserve.com
PPT Orthodontic Treatment and Down Syndrome The Art of the Possible Orthodontic Treatment Down Syndrome With the technological advances available and the increasing numbers of kids with ds seeking orthodontic care, our orthodontic. With such a large demand for special orthodontic treatment for children with down syndrome, it is essential to establish a. Medical problems associated with down syndrome that. Orthodontic intervention and patients with down syndrome. Techniques to help prevent occlusal problems are discussed,. Orthodontic Treatment Down Syndrome.
From www.researchgate.net
(PDF) Orthodontic treatment considerations in Down syndrome patients Orthodontic Treatment Down Syndrome Orthodontic treatment demand should be high but it seems difficult to be done because of specific condition of disability. In this paper, we describe orthodontic treatment in a patient with down's syndrome accompanied by reverse occlusion due to skeletal deformity. Techniques to help prevent occlusal problems are discussed, including orthodontic therapy. The extent of dental and skeletal malformations and the. Orthodontic Treatment Down Syndrome.
From designorthodontics.com.au
Early Orthodontic Treatment Types of Appliances Design Orthodontics Orthodontic Treatment Down Syndrome In this paper, we describe orthodontic treatment in a patient with down's syndrome accompanied by reverse occlusion due to skeletal deformity. The purpose of this literature review was to discribe the orthodontic problems found in down syndrome patients and several. With the technological advances available and the increasing numbers of kids with ds seeking orthodontic care, our orthodontic. Techniques to. Orthodontic Treatment Down Syndrome.
From www.slideserve.com
PPT Orthodontic Treatment and Down Syndrome The Art of the Possible Orthodontic Treatment Down Syndrome Techniques to help prevent occlusal problems are discussed, including orthodontic therapy. With such a large demand for special orthodontic treatment for children with down syndrome, it is essential to establish a. In this paper, we describe orthodontic treatment in a patient with down's syndrome accompanied by reverse occlusion due to skeletal deformity. The extent of dental and skeletal malformations and. Orthodontic Treatment Down Syndrome.
From www.iiahp.com
Down Syndrome Treatment Home Plan Available IIAHP Therapy Orthodontic Treatment Down Syndrome Orthodontic intervention and patients with down syndrome. Techniques to help prevent occlusal problems are discussed, including orthodontic therapy. The purpose of this literature review was to discribe the orthodontic problems found in down syndrome patients and several. In this paper, we describe orthodontic treatment in a patient with down's syndrome accompanied by reverse occlusion due to skeletal deformity. The extent. Orthodontic Treatment Down Syndrome.
From blueguyswork.com
Orthodontic Treatment Options Straighten Teeth and Correct Jaws Orthodontic Treatment Down Syndrome With such a large demand for special orthodontic treatment for children with down syndrome, it is essential to establish a. Orthodontic intervention and patients with down syndrome. Techniques to help prevent occlusal problems are discussed, including orthodontic therapy. Orthodontic treatment demand should be high but it seems difficult to be done because of specific condition of disability. Medical problems associated. Orthodontic Treatment Down Syndrome.
From drsmilekolkata.com
Best Orthodontist & Dental Braces Treatment in Kolkata Dr. Smile Orthodontic Treatment Down Syndrome The purpose of this literature review was to discribe the orthodontic problems found in down syndrome patients and several. With the technological advances available and the increasing numbers of kids with ds seeking orthodontic care, our orthodontic. Medical problems associated with down syndrome that. Orthodontic treatment demand should be high but it seems difficult to be done because of specific. Orthodontic Treatment Down Syndrome.