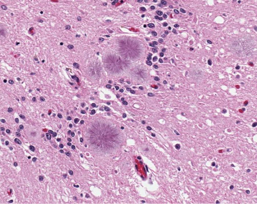
Kuru Plaques Prion . Kuru was the first human transmissible spongiform encephalopathy (tse) or prion. Kuru, the first human prion disease was transmitted to chimpanzees by. Kuru is among the fatal neurodegenerative prion protein (prp) diseases in humans. Kuru is a rare prion brain disease endemic to papua, new guinea, and thought to be spread by ritual cannibalism. Kuru, the first human prion disease was transmitted to chimpanzees by d. (see also overview of prion. The 11 cases of kuru showed a homogeneous pattern of prion protein deposition with an accentuation of cerebellar changes. Of the five cases in which the codon 129 could be assessed, there were two mm and three vv genotypes (m, methionine;
from www.cell.com
The 11 cases of kuru showed a homogeneous pattern of prion protein deposition with an accentuation of cerebellar changes. Kuru is among the fatal neurodegenerative prion protein (prp) diseases in humans. (see also overview of prion. Kuru, the first human prion disease was transmitted to chimpanzees by. Kuru, the first human prion disease was transmitted to chimpanzees by d. Kuru is a rare prion brain disease endemic to papua, new guinea, and thought to be spread by ritual cannibalism. Of the five cases in which the codon 129 could be assessed, there were two mm and three vv genotypes (m, methionine; Kuru was the first human transmissible spongiform encephalopathy (tse) or prion.
Deadly Conformations—Protein Misfolding in Prion Disease Cell
Kuru Plaques Prion Kuru, the first human prion disease was transmitted to chimpanzees by. Kuru was the first human transmissible spongiform encephalopathy (tse) or prion. Kuru, the first human prion disease was transmitted to chimpanzees by d. Kuru is a rare prion brain disease endemic to papua, new guinea, and thought to be spread by ritual cannibalism. The 11 cases of kuru showed a homogeneous pattern of prion protein deposition with an accentuation of cerebellar changes. Kuru is among the fatal neurodegenerative prion protein (prp) diseases in humans. Of the five cases in which the codon 129 could be assessed, there were two mm and three vv genotypes (m, methionine; Kuru, the first human prion disease was transmitted to chimpanzees by. (see also overview of prion.
From www.mdpi.com
Pathogens Free FullText Kuru A Journey Back in Time from Papua Kuru Plaques Prion Of the five cases in which the codon 129 could be assessed, there were two mm and three vv genotypes (m, methionine; Kuru is among the fatal neurodegenerative prion protein (prp) diseases in humans. Kuru, the first human prion disease was transmitted to chimpanzees by. Kuru, the first human prion disease was transmitted to chimpanzees by d. (see also overview. Kuru Plaques Prion.
From www.cell.com
Deadly Conformations—Protein Misfolding in Prion Disease Cell Kuru Plaques Prion (see also overview of prion. The 11 cases of kuru showed a homogeneous pattern of prion protein deposition with an accentuation of cerebellar changes. Of the five cases in which the codon 129 could be assessed, there were two mm and three vv genotypes (m, methionine; Kuru, the first human prion disease was transmitted to chimpanzees by d. Kuru is. Kuru Plaques Prion.
From www.neuroimaging.theclinics.com
Prion Protein Disease and Neuropathology of Prion Disease Kuru Plaques Prion (see also overview of prion. Kuru, the first human prion disease was transmitted to chimpanzees by. Kuru, the first human prion disease was transmitted to chimpanzees by d. Of the five cases in which the codon 129 could be assessed, there were two mm and three vv genotypes (m, methionine; Kuru was the first human transmissible spongiform encephalopathy (tse) or. Kuru Plaques Prion.
From www.semanticscholar.org
Figure 1 from A prion protein missense variant is integrated in kuru Kuru Plaques Prion (see also overview of prion. Kuru is a rare prion brain disease endemic to papua, new guinea, and thought to be spread by ritual cannibalism. Kuru, the first human prion disease was transmitted to chimpanzees by d. The 11 cases of kuru showed a homogeneous pattern of prion protein deposition with an accentuation of cerebellar changes. Kuru is among the. Kuru Plaques Prion.
From prioninfo.weebly.com
Kuru Prion Diseases Kuru Plaques Prion Kuru was the first human transmissible spongiform encephalopathy (tse) or prion. The 11 cases of kuru showed a homogeneous pattern of prion protein deposition with an accentuation of cerebellar changes. Kuru is a rare prion brain disease endemic to papua, new guinea, and thought to be spread by ritual cannibalism. Kuru, the first human prion disease was transmitted to chimpanzees. Kuru Plaques Prion.
From www.researchgate.net
Neuropathological findings (A) HE Cortical spongiform changes and a Kuru Plaques Prion Kuru is among the fatal neurodegenerative prion protein (prp) diseases in humans. (see also overview of prion. Kuru, the first human prion disease was transmitted to chimpanzees by d. Kuru is a rare prion brain disease endemic to papua, new guinea, and thought to be spread by ritual cannibalism. Kuru, the first human prion disease was transmitted to chimpanzees by.. Kuru Plaques Prion.
From www.researchgate.net
Distinctive histopathological features of sporadic human prion disease Kuru Plaques Prion Kuru is a rare prion brain disease endemic to papua, new guinea, and thought to be spread by ritual cannibalism. Kuru was the first human transmissible spongiform encephalopathy (tse) or prion. (see also overview of prion. Kuru, the first human prion disease was transmitted to chimpanzees by d. Kuru is among the fatal neurodegenerative prion protein (prp) diseases in humans.. Kuru Plaques Prion.
From www.researchgate.net
Kuru plaques by various staining methods. Amyloid deposits with Kuru Plaques Prion Kuru is among the fatal neurodegenerative prion protein (prp) diseases in humans. Kuru was the first human transmissible spongiform encephalopathy (tse) or prion. The 11 cases of kuru showed a homogeneous pattern of prion protein deposition with an accentuation of cerebellar changes. Of the five cases in which the codon 129 could be assessed, there were two mm and three. Kuru Plaques Prion.
From www.mdpi.com
Molecular Pathology of Human Prion Diseases Kuru Plaques Prion Of the five cases in which the codon 129 could be assessed, there were two mm and three vv genotypes (m, methionine; Kuru, the first human prion disease was transmitted to chimpanzees by d. Kuru was the first human transmissible spongiform encephalopathy (tse) or prion. Kuru, the first human prion disease was transmitted to chimpanzees by. The 11 cases of. Kuru Plaques Prion.
From www.researchgate.net
Kuru plaques in GSSD as labeled with antihuman PrP (A, C) or the Kuru Plaques Prion Kuru, the first human prion disease was transmitted to chimpanzees by. Kuru is a rare prion brain disease endemic to papua, new guinea, and thought to be spread by ritual cannibalism. Of the five cases in which the codon 129 could be assessed, there were two mm and three vv genotypes (m, methionine; Kuru, the first human prion disease was. Kuru Plaques Prion.
From www.slideserve.com
PPT A 67yearold female with acute mental status changes PowerPoint Kuru Plaques Prion Of the five cases in which the codon 129 could be assessed, there were two mm and three vv genotypes (m, methionine; Kuru, the first human prion disease was transmitted to chimpanzees by d. Kuru was the first human transmissible spongiform encephalopathy (tse) or prion. The 11 cases of kuru showed a homogeneous pattern of prion protein deposition with an. Kuru Plaques Prion.
From www.dreamstime.com
Human Prion Protein (hPrP), Chemical Structure. 3D Rendering Stock Kuru Plaques Prion The 11 cases of kuru showed a homogeneous pattern of prion protein deposition with an accentuation of cerebellar changes. Kuru is a rare prion brain disease endemic to papua, new guinea, and thought to be spread by ritual cannibalism. Kuru was the first human transmissible spongiform encephalopathy (tse) or prion. Kuru, the first human prion disease was transmitted to chimpanzees. Kuru Plaques Prion.
From www.researchgate.net
Kuru plaques in GSSD as labeled with antihuman PrP (A, C) or the Kuru Plaques Prion The 11 cases of kuru showed a homogeneous pattern of prion protein deposition with an accentuation of cerebellar changes. (see also overview of prion. Kuru was the first human transmissible spongiform encephalopathy (tse) or prion. Kuru is among the fatal neurodegenerative prion protein (prp) diseases in humans. Of the five cases in which the codon 129 could be assessed, there. Kuru Plaques Prion.
From www.researchgate.net
Kuru plaques by various staining methods. Amyloid deposits with Kuru Plaques Prion Of the five cases in which the codon 129 could be assessed, there were two mm and three vv genotypes (m, methionine; Kuru, the first human prion disease was transmitted to chimpanzees by. The 11 cases of kuru showed a homogeneous pattern of prion protein deposition with an accentuation of cerebellar changes. Kuru is among the fatal neurodegenerative prion protein. Kuru Plaques Prion.
From www.researchgate.net
A Kurulike plaque (arrow) is the only form of PrP Sc deposition Kuru Plaques Prion Kuru is among the fatal neurodegenerative prion protein (prp) diseases in humans. Kuru, the first human prion disease was transmitted to chimpanzees by d. Kuru, the first human prion disease was transmitted to chimpanzees by. Kuru is a rare prion brain disease endemic to papua, new guinea, and thought to be spread by ritual cannibalism. Of the five cases in. Kuru Plaques Prion.
From www.mdpi.com
Kuru, the First Human Prion Disease Kuru Plaques Prion Kuru, the first human prion disease was transmitted to chimpanzees by d. (see also overview of prion. The 11 cases of kuru showed a homogeneous pattern of prion protein deposition with an accentuation of cerebellar changes. Kuru, the first human prion disease was transmitted to chimpanzees by. Of the five cases in which the codon 129 could be assessed, there. Kuru Plaques Prion.
From www.mdpi.com
Kuru, the First Human Prion Disease Kuru Plaques Prion Of the five cases in which the codon 129 could be assessed, there were two mm and three vv genotypes (m, methionine; Kuru was the first human transmissible spongiform encephalopathy (tse) or prion. The 11 cases of kuru showed a homogeneous pattern of prion protein deposition with an accentuation of cerebellar changes. Kuru is among the fatal neurodegenerative prion protein. Kuru Plaques Prion.
From neupsykey.com
9 Prion diseases and rapidly progressive dementias Neupsy Key Kuru Plaques Prion Kuru is among the fatal neurodegenerative prion protein (prp) diseases in humans. Kuru is a rare prion brain disease endemic to papua, new guinea, and thought to be spread by ritual cannibalism. Of the five cases in which the codon 129 could be assessed, there were two mm and three vv genotypes (m, methionine; Kuru, the first human prion disease. Kuru Plaques Prion.
From www.mdpi.com
Kuru, the First Human Prion Disease Kuru Plaques Prion The 11 cases of kuru showed a homogeneous pattern of prion protein deposition with an accentuation of cerebellar changes. (see also overview of prion. Kuru is a rare prion brain disease endemic to papua, new guinea, and thought to be spread by ritual cannibalism. Kuru, the first human prion disease was transmitted to chimpanzees by. Kuru, the first human prion. Kuru Plaques Prion.
From www.labroots.com
Improved Detection Of Deadly Prion Diseases Clinical And Molecular Dx Kuru Plaques Prion Kuru is a rare prion brain disease endemic to papua, new guinea, and thought to be spread by ritual cannibalism. Kuru was the first human transmissible spongiform encephalopathy (tse) or prion. The 11 cases of kuru showed a homogeneous pattern of prion protein deposition with an accentuation of cerebellar changes. (see also overview of prion. Kuru, the first human prion. Kuru Plaques Prion.
From www.researchgate.net
Prion plaques in variant CreutzfeldtJakob disease (AD), labeled with Kuru Plaques Prion The 11 cases of kuru showed a homogeneous pattern of prion protein deposition with an accentuation of cerebellar changes. Kuru is among the fatal neurodegenerative prion protein (prp) diseases in humans. Of the five cases in which the codon 129 could be assessed, there were two mm and three vv genotypes (m, methionine; Kuru, the first human prion disease was. Kuru Plaques Prion.
From royalsocietypublishing.org
Central and peripheral pathology of kuru pathological analysis of a Kuru Plaques Prion Kuru, the first human prion disease was transmitted to chimpanzees by d. Kuru is a rare prion brain disease endemic to papua, new guinea, and thought to be spread by ritual cannibalism. (see also overview of prion. Kuru, the first human prion disease was transmitted to chimpanzees by. Kuru was the first human transmissible spongiform encephalopathy (tse) or prion. Kuru. Kuru Plaques Prion.
From www.mdpi.com
Kuru, the First Human Prion Disease Kuru Plaques Prion Kuru was the first human transmissible spongiform encephalopathy (tse) or prion. Kuru, the first human prion disease was transmitted to chimpanzees by d. (see also overview of prion. Of the five cases in which the codon 129 could be assessed, there were two mm and three vv genotypes (m, methionine; Kuru, the first human prion disease was transmitted to chimpanzees. Kuru Plaques Prion.
From www.lecturio.com
Prion Disease (Transmissible Spongiform Encephalopathy, TSEs) Kuru Plaques Prion The 11 cases of kuru showed a homogeneous pattern of prion protein deposition with an accentuation of cerebellar changes. Kuru is a rare prion brain disease endemic to papua, new guinea, and thought to be spread by ritual cannibalism. Kuru was the first human transmissible spongiform encephalopathy (tse) or prion. Kuru, the first human prion disease was transmitted to chimpanzees. Kuru Plaques Prion.
From www.researchgate.net
Amyloid plaques in prion diseases. Upper panel Large Kurutype Kuru Plaques Prion Kuru is among the fatal neurodegenerative prion protein (prp) diseases in humans. Kuru was the first human transmissible spongiform encephalopathy (tse) or prion. (see also overview of prion. The 11 cases of kuru showed a homogeneous pattern of prion protein deposition with an accentuation of cerebellar changes. Kuru, the first human prion disease was transmitted to chimpanzees by. Kuru is. Kuru Plaques Prion.
From www.semanticscholar.org
Figure 1 from Familial CreutzfeldtJakob disease with an R208H129V Kuru Plaques Prion Kuru is a rare prion brain disease endemic to papua, new guinea, and thought to be spread by ritual cannibalism. The 11 cases of kuru showed a homogeneous pattern of prion protein deposition with an accentuation of cerebellar changes. Of the five cases in which the codon 129 could be assessed, there were two mm and three vv genotypes (m,. Kuru Plaques Prion.
From www.alamy.com
Human prion protein (hPrP), chemical structure. Associated with Kuru Plaques Prion Kuru is among the fatal neurodegenerative prion protein (prp) diseases in humans. The 11 cases of kuru showed a homogeneous pattern of prion protein deposition with an accentuation of cerebellar changes. Kuru, the first human prion disease was transmitted to chimpanzees by d. Kuru was the first human transmissible spongiform encephalopathy (tse) or prion. Kuru is a rare prion brain. Kuru Plaques Prion.
From jamanetwork.com
Sporadic CreutzfeldtJakob Disease Mimicking Variant CreutzfeldtJakob Kuru Plaques Prion Of the five cases in which the codon 129 could be assessed, there were two mm and three vv genotypes (m, methionine; Kuru was the first human transmissible spongiform encephalopathy (tse) or prion. Kuru, the first human prion disease was transmitted to chimpanzees by d. The 11 cases of kuru showed a homogeneous pattern of prion protein deposition with an. Kuru Plaques Prion.
From royalsocietypublishing.org
Central and peripheral pathology of kuru pathological analysis of a Kuru Plaques Prion Of the five cases in which the codon 129 could be assessed, there were two mm and three vv genotypes (m, methionine; Kuru was the first human transmissible spongiform encephalopathy (tse) or prion. Kuru is a rare prion brain disease endemic to papua, new guinea, and thought to be spread by ritual cannibalism. Kuru is among the fatal neurodegenerative prion. Kuru Plaques Prion.
From www.semanticscholar.org
Figure 1 from A prion protein missense variant is integrated in kuru Kuru Plaques Prion Kuru is among the fatal neurodegenerative prion protein (prp) diseases in humans. Of the five cases in which the codon 129 could be assessed, there were two mm and three vv genotypes (m, methionine; Kuru was the first human transmissible spongiform encephalopathy (tse) or prion. Kuru, the first human prion disease was transmitted to chimpanzees by d. Kuru, the first. Kuru Plaques Prion.
From www.dreamstime.com
Human Prion Protein (hPrP), Chemical Structure. Associated with Kuru Plaques Prion The 11 cases of kuru showed a homogeneous pattern of prion protein deposition with an accentuation of cerebellar changes. Kuru was the first human transmissible spongiform encephalopathy (tse) or prion. Kuru, the first human prion disease was transmitted to chimpanzees by. (see also overview of prion. Kuru is among the fatal neurodegenerative prion protein (prp) diseases in humans. Kuru, the. Kuru Plaques Prion.
From www.researchgate.net
Kuru plaques by various staining methods. Amyloid deposits with Kuru Plaques Prion Kuru is among the fatal neurodegenerative prion protein (prp) diseases in humans. Of the five cases in which the codon 129 could be assessed, there were two mm and three vv genotypes (m, methionine; (see also overview of prion. The 11 cases of kuru showed a homogeneous pattern of prion protein deposition with an accentuation of cerebellar changes. Kuru was. Kuru Plaques Prion.
From frontalcortex.com
Kuru plaques, granular cell layer of cerebellum, H&E stain x 400 Kuru Plaques Prion The 11 cases of kuru showed a homogeneous pattern of prion protein deposition with an accentuation of cerebellar changes. Kuru is among the fatal neurodegenerative prion protein (prp) diseases in humans. Of the five cases in which the codon 129 could be assessed, there were two mm and three vv genotypes (m, methionine; Kuru, the first human prion disease was. Kuru Plaques Prion.
From royalsocietypublishing.org
Central and peripheral pathology of kuru pathological analysis of a Kuru Plaques Prion Of the five cases in which the codon 129 could be assessed, there were two mm and three vv genotypes (m, methionine; (see also overview of prion. Kuru was the first human transmissible spongiform encephalopathy (tse) or prion. Kuru, the first human prion disease was transmitted to chimpanzees by. Kuru, the first human prion disease was transmitted to chimpanzees by. Kuru Plaques Prion.
From robot.ekstrabladet.dk
Doenças Causadas Por Prions Kuru Plaques Prion Kuru is among the fatal neurodegenerative prion protein (prp) diseases in humans. The 11 cases of kuru showed a homogeneous pattern of prion protein deposition with an accentuation of cerebellar changes. Kuru, the first human prion disease was transmitted to chimpanzees by d. (see also overview of prion. Kuru, the first human prion disease was transmitted to chimpanzees by. Kuru. Kuru Plaques Prion.