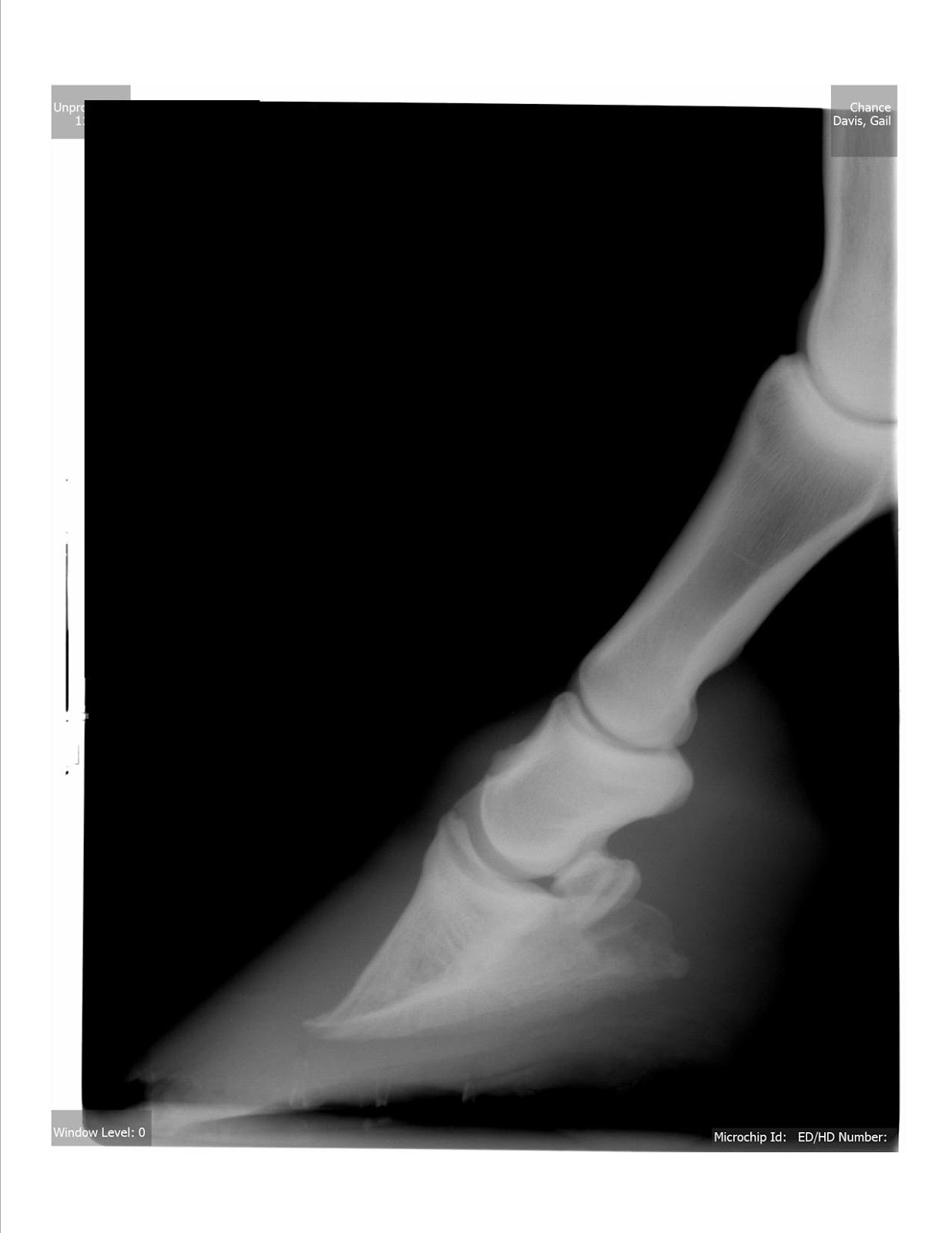
Laminitis Horse Abscess . This podcast is an excerpt from our. Predispositions for recurrent hoof abscess formation in horses include concurrent disease, such as laminitis, and poor hoof. In most cases hoof abscesses resolve completely without the time, expense, complications, and varied prognoses that can accompany other causes of severe lameness. Laminitis is the inflammation and subsequent separation of the laminae of the hoof. When the laminae separate, your. Vern dryden talks about why horses with laminitis might be more prone to hoof abscesses. Causes in horses include carbohydrate overload, excess weight bearing, and endotoxemia. Laminitis occurs when the laminae or tiny interlocking areas that glue together your horse's hoof wall to their hoof become inflammed or separate. With proper diagnostics, correct treatment, and careful management, many horses can overcome laminitis complications. The hallmark clinical sign is severe lameness with bounding digital pulses.
from ecogreenequestrian.co.uk
With proper diagnostics, correct treatment, and careful management, many horses can overcome laminitis complications. When the laminae separate, your. This podcast is an excerpt from our. Vern dryden talks about why horses with laminitis might be more prone to hoof abscesses. Causes in horses include carbohydrate overload, excess weight bearing, and endotoxemia. Laminitis is the inflammation and subsequent separation of the laminae of the hoof. Predispositions for recurrent hoof abscess formation in horses include concurrent disease, such as laminitis, and poor hoof. In most cases hoof abscesses resolve completely without the time, expense, complications, and varied prognoses that can accompany other causes of severe lameness. Laminitis occurs when the laminae or tiny interlocking areas that glue together your horse's hoof wall to their hoof become inflammed or separate. The hallmark clinical sign is severe lameness with bounding digital pulses.
Preventing Laminitis In Horses EcoGreen Equestrian
Laminitis Horse Abscess Vern dryden talks about why horses with laminitis might be more prone to hoof abscesses. When the laminae separate, your. Laminitis occurs when the laminae or tiny interlocking areas that glue together your horse's hoof wall to their hoof become inflammed or separate. Causes in horses include carbohydrate overload, excess weight bearing, and endotoxemia. Laminitis is the inflammation and subsequent separation of the laminae of the hoof. Predispositions for recurrent hoof abscess formation in horses include concurrent disease, such as laminitis, and poor hoof. In most cases hoof abscesses resolve completely without the time, expense, complications, and varied prognoses that can accompany other causes of severe lameness. This podcast is an excerpt from our. With proper diagnostics, correct treatment, and careful management, many horses can overcome laminitis complications. Vern dryden talks about why horses with laminitis might be more prone to hoof abscesses. The hallmark clinical sign is severe lameness with bounding digital pulses.
From madbarn.com
Acute Laminitis in Horses A Review of Treatments for the Condition Laminitis Horse Abscess This podcast is an excerpt from our. Vern dryden talks about why horses with laminitis might be more prone to hoof abscesses. With proper diagnostics, correct treatment, and careful management, many horses can overcome laminitis complications. The hallmark clinical sign is severe lameness with bounding digital pulses. In most cases hoof abscesses resolve completely without the time, expense, complications, and. Laminitis Horse Abscess.
From madbarn.com
14 Early Warning Signs of Laminitis in Horses [Countdown] Mad Barn Laminitis Horse Abscess The hallmark clinical sign is severe lameness with bounding digital pulses. Causes in horses include carbohydrate overload, excess weight bearing, and endotoxemia. When the laminae separate, your. With proper diagnostics, correct treatment, and careful management, many horses can overcome laminitis complications. In most cases hoof abscesses resolve completely without the time, expense, complications, and varied prognoses that can accompany other. Laminitis Horse Abscess.
From www.horseandhound.co.uk
Laminitis in horses signs, causes, treatment and prevention Laminitis Horse Abscess Vern dryden talks about why horses with laminitis might be more prone to hoof abscesses. The hallmark clinical sign is severe lameness with bounding digital pulses. Laminitis is the inflammation and subsequent separation of the laminae of the hoof. With proper diagnostics, correct treatment, and careful management, many horses can overcome laminitis complications. Causes in horses include carbohydrate overload, excess. Laminitis Horse Abscess.
From horsecareadvisor.com
What is Laminitis in Horses Get the Facts on This Serious Condition Laminitis Horse Abscess Causes in horses include carbohydrate overload, excess weight bearing, and endotoxemia. The hallmark clinical sign is severe lameness with bounding digital pulses. This podcast is an excerpt from our. Predispositions for recurrent hoof abscess formation in horses include concurrent disease, such as laminitis, and poor hoof. When the laminae separate, your. Laminitis is the inflammation and subsequent separation of the. Laminitis Horse Abscess.
From www.farmandpetplace.co.uk
Dealing with Laminitis in Horses Laminitis Horse Abscess The hallmark clinical sign is severe lameness with bounding digital pulses. With proper diagnostics, correct treatment, and careful management, many horses can overcome laminitis complications. When the laminae separate, your. Laminitis is the inflammation and subsequent separation of the laminae of the hoof. Laminitis occurs when the laminae or tiny interlocking areas that glue together your horse's hoof wall to. Laminitis Horse Abscess.
From formahoof.com
Laminitis In Horses NonInvasive, Supportive Treatment Laminitis Horse Abscess Laminitis occurs when the laminae or tiny interlocking areas that glue together your horse's hoof wall to their hoof become inflammed or separate. The hallmark clinical sign is severe lameness with bounding digital pulses. With proper diagnostics, correct treatment, and careful management, many horses can overcome laminitis complications. When the laminae separate, your. Predispositions for recurrent hoof abscess formation in. Laminitis Horse Abscess.
From www.thehorsesadvocate.com
Laminitis In Horses a HorseTalk™ cast The Horse's Advocate Laminitis Horse Abscess Causes in horses include carbohydrate overload, excess weight bearing, and endotoxemia. Laminitis occurs when the laminae or tiny interlocking areas that glue together your horse's hoof wall to their hoof become inflammed or separate. When the laminae separate, your. This podcast is an excerpt from our. With proper diagnostics, correct treatment, and careful management, many horses can overcome laminitis complications.. Laminitis Horse Abscess.
From www.thehorsesadvocate.com
Laminitis In Horses The Horse's Advocate Laminitis Horse Abscess Vern dryden talks about why horses with laminitis might be more prone to hoof abscesses. In most cases hoof abscesses resolve completely without the time, expense, complications, and varied prognoses that can accompany other causes of severe lameness. With proper diagnostics, correct treatment, and careful management, many horses can overcome laminitis complications. Predispositions for recurrent hoof abscess formation in horses. Laminitis Horse Abscess.
From www.plastination-shop.com
Horse Laminitis Foot CPE Plastination Anatomy Embedding Laminitis Horse Abscess Vern dryden talks about why horses with laminitis might be more prone to hoof abscesses. This podcast is an excerpt from our. Laminitis occurs when the laminae or tiny interlocking areas that glue together your horse's hoof wall to their hoof become inflammed or separate. The hallmark clinical sign is severe lameness with bounding digital pulses. Causes in horses include. Laminitis Horse Abscess.
From www.platinumperformance.com
Laminitis in Horses Equine Laminitis Laminitis Horse Abscess Laminitis occurs when the laminae or tiny interlocking areas that glue together your horse's hoof wall to their hoof become inflammed or separate. This podcast is an excerpt from our. The hallmark clinical sign is severe lameness with bounding digital pulses. When the laminae separate, your. Causes in horses include carbohydrate overload, excess weight bearing, and endotoxemia. In most cases. Laminitis Horse Abscess.
From thehorse.com
Equine Laminitis Turning Over New Leaves The Horse Laminitis Horse Abscess This podcast is an excerpt from our. When the laminae separate, your. Laminitis occurs when the laminae or tiny interlocking areas that glue together your horse's hoof wall to their hoof become inflammed or separate. Vern dryden talks about why horses with laminitis might be more prone to hoof abscesses. Laminitis is the inflammation and subsequent separation of the laminae. Laminitis Horse Abscess.
From www.teamequinety.com
Laminitis In Horse Causes, Symptoms, Treatment and Prevention (2023) Laminitis Horse Abscess Causes in horses include carbohydrate overload, excess weight bearing, and endotoxemia. When the laminae separate, your. In most cases hoof abscesses resolve completely without the time, expense, complications, and varied prognoses that can accompany other causes of severe lameness. Laminitis occurs when the laminae or tiny interlocking areas that glue together your horse's hoof wall to their hoof become inflammed. Laminitis Horse Abscess.
From www.thehorsehub.co.uk
What is laminitis, or founder in horses and why is it so dangerous Laminitis Horse Abscess The hallmark clinical sign is severe lameness with bounding digital pulses. Laminitis occurs when the laminae or tiny interlocking areas that glue together your horse's hoof wall to their hoof become inflammed or separate. Predispositions for recurrent hoof abscess formation in horses include concurrent disease, such as laminitis, and poor hoof. This podcast is an excerpt from our. Laminitis is. Laminitis Horse Abscess.
From nouvelleresearch.com
Laminitis in the Horse Laminitis Horse Abscess When the laminae separate, your. Laminitis is the inflammation and subsequent separation of the laminae of the hoof. In most cases hoof abscesses resolve completely without the time, expense, complications, and varied prognoses that can accompany other causes of severe lameness. With proper diagnostics, correct treatment, and careful management, many horses can overcome laminitis complications. Laminitis occurs when the laminae. Laminitis Horse Abscess.
From www.youtube.com
Horse Medical Problems Blown Abscess and Laminitis Check YouTube Laminitis Horse Abscess With proper diagnostics, correct treatment, and careful management, many horses can overcome laminitis complications. Causes in horses include carbohydrate overload, excess weight bearing, and endotoxemia. This podcast is an excerpt from our. Vern dryden talks about why horses with laminitis might be more prone to hoof abscesses. Laminitis occurs when the laminae or tiny interlocking areas that glue together your. Laminitis Horse Abscess.
From www.horsedialog.co.uk
The 3 main causes of equine laminitis and how you can prevent it Laminitis Horse Abscess Laminitis occurs when the laminae or tiny interlocking areas that glue together your horse's hoof wall to their hoof become inflammed or separate. Predispositions for recurrent hoof abscess formation in horses include concurrent disease, such as laminitis, and poor hoof. The hallmark clinical sign is severe lameness with bounding digital pulses. This podcast is an excerpt from our. In most. Laminitis Horse Abscess.
From michaelporterdvm.blogspot.co.uk
Michael Porter, Equine Veterinarian Recurrent Foot Abscess Laminitis Horse Abscess Laminitis is the inflammation and subsequent separation of the laminae of the hoof. With proper diagnostics, correct treatment, and careful management, many horses can overcome laminitis complications. When the laminae separate, your. This podcast is an excerpt from our. The hallmark clinical sign is severe lameness with bounding digital pulses. Causes in horses include carbohydrate overload, excess weight bearing, and. Laminitis Horse Abscess.
From www.flickr.com
Chronic Laminitis 2 This is a classic case of a horse affe… Flickr Laminitis Horse Abscess Laminitis is the inflammation and subsequent separation of the laminae of the hoof. When the laminae separate, your. The hallmark clinical sign is severe lameness with bounding digital pulses. Vern dryden talks about why horses with laminitis might be more prone to hoof abscesses. In most cases hoof abscesses resolve completely without the time, expense, complications, and varied prognoses that. Laminitis Horse Abscess.
From ecogreenequestrian.co.uk
Preventing Laminitis In Horses EcoGreen Equestrian Laminitis Horse Abscess Laminitis occurs when the laminae or tiny interlocking areas that glue together your horse's hoof wall to their hoof become inflammed or separate. Laminitis is the inflammation and subsequent separation of the laminae of the hoof. When the laminae separate, your. Causes in horses include carbohydrate overload, excess weight bearing, and endotoxemia. Vern dryden talks about why horses with laminitis. Laminitis Horse Abscess.
From www.horseandhound.co.uk
Laminitis in horses signs, causes, treatment and prevention Laminitis Horse Abscess Laminitis occurs when the laminae or tiny interlocking areas that glue together your horse's hoof wall to their hoof become inflammed or separate. With proper diagnostics, correct treatment, and careful management, many horses can overcome laminitis complications. Laminitis is the inflammation and subsequent separation of the laminae of the hoof. In most cases hoof abscesses resolve completely without the time,. Laminitis Horse Abscess.
From www.irongateequine.com
Everything You Need to Know About Laminitis — Irongate Equine Clinic Laminitis Horse Abscess Laminitis occurs when the laminae or tiny interlocking areas that glue together your horse's hoof wall to their hoof become inflammed or separate. Causes in horses include carbohydrate overload, excess weight bearing, and endotoxemia. Vern dryden talks about why horses with laminitis might be more prone to hoof abscesses. When the laminae separate, your. Laminitis is the inflammation and subsequent. Laminitis Horse Abscess.
From madbarn.com
Laminitis in Horses Symptoms, Causes, Risk Factors and Treatment Mad Laminitis Horse Abscess This podcast is an excerpt from our. Causes in horses include carbohydrate overload, excess weight bearing, and endotoxemia. Laminitis is the inflammation and subsequent separation of the laminae of the hoof. Predispositions for recurrent hoof abscess formation in horses include concurrent disease, such as laminitis, and poor hoof. Laminitis occurs when the laminae or tiny interlocking areas that glue together. Laminitis Horse Abscess.
From madbarn.com
Laminitis in Horses Symptoms, Causes, Risk Factors and Treatment Mad Laminitis Horse Abscess The hallmark clinical sign is severe lameness with bounding digital pulses. Laminitis is the inflammation and subsequent separation of the laminae of the hoof. Causes in horses include carbohydrate overload, excess weight bearing, and endotoxemia. Laminitis occurs when the laminae or tiny interlocking areas that glue together your horse's hoof wall to their hoof become inflammed or separate. Predispositions for. Laminitis Horse Abscess.
From www.yourvetonline.com
What Are The Signs Of Laminitis In Horses? Your Vet Online Laminitis Horse Abscess Vern dryden talks about why horses with laminitis might be more prone to hoof abscesses. This podcast is an excerpt from our. Laminitis occurs when the laminae or tiny interlocking areas that glue together your horse's hoof wall to their hoof become inflammed or separate. With proper diagnostics, correct treatment, and careful management, many horses can overcome laminitis complications. When. Laminitis Horse Abscess.
From www.youtube.com
How to deal with foot abscess in Laminitic horse's and how to manage Laminitis Horse Abscess This podcast is an excerpt from our. Predispositions for recurrent hoof abscess formation in horses include concurrent disease, such as laminitis, and poor hoof. When the laminae separate, your. Laminitis is the inflammation and subsequent separation of the laminae of the hoof. The hallmark clinical sign is severe lameness with bounding digital pulses. Causes in horses include carbohydrate overload, excess. Laminitis Horse Abscess.
From www.thehorsehub.co.uk
What Is Laminitis? Understanding your horses foot anatomy Laminitis Horse Abscess When the laminae separate, your. With proper diagnostics, correct treatment, and careful management, many horses can overcome laminitis complications. Laminitis is the inflammation and subsequent separation of the laminae of the hoof. The hallmark clinical sign is severe lameness with bounding digital pulses. Causes in horses include carbohydrate overload, excess weight bearing, and endotoxemia. Laminitis occurs when the laminae or. Laminitis Horse Abscess.
From www.yourvetonline.com
Laminitis In Horses Causes And Prevention Your Vet Online Laminitis Horse Abscess This podcast is an excerpt from our. In most cases hoof abscesses resolve completely without the time, expense, complications, and varied prognoses that can accompany other causes of severe lameness. Vern dryden talks about why horses with laminitis might be more prone to hoof abscesses. Laminitis occurs when the laminae or tiny interlocking areas that glue together your horse's hoof. Laminitis Horse Abscess.
From formahoof.com
Laminitis Horse Recovery Comprehensive Guide & Tips Laminitis Horse Abscess Laminitis occurs when the laminae or tiny interlocking areas that glue together your horse's hoof wall to their hoof become inflammed or separate. In most cases hoof abscesses resolve completely without the time, expense, complications, and varied prognoses that can accompany other causes of severe lameness. When the laminae separate, your. This podcast is an excerpt from our. With proper. Laminitis Horse Abscess.
From formahoof.com
Laminitis In Horses NonInvasive, Supportive Treatment Laminitis Horse Abscess Vern dryden talks about why horses with laminitis might be more prone to hoof abscesses. Predispositions for recurrent hoof abscess formation in horses include concurrent disease, such as laminitis, and poor hoof. Laminitis occurs when the laminae or tiny interlocking areas that glue together your horse's hoof wall to their hoof become inflammed or separate. With proper diagnostics, correct treatment,. Laminitis Horse Abscess.
From www.thelaminitissite.org
Chronic laminitis The Laminitis Site Laminitis Horse Abscess Vern dryden talks about why horses with laminitis might be more prone to hoof abscesses. With proper diagnostics, correct treatment, and careful management, many horses can overcome laminitis complications. Causes in horses include carbohydrate overload, excess weight bearing, and endotoxemia. When the laminae separate, your. Laminitis is the inflammation and subsequent separation of the laminae of the hoof. Laminitis occurs. Laminitis Horse Abscess.
From www.suscaballos.com
VÍDEO Explicamos la Laminitis Laminitis Horse Abscess Vern dryden talks about why horses with laminitis might be more prone to hoof abscesses. Predispositions for recurrent hoof abscess formation in horses include concurrent disease, such as laminitis, and poor hoof. The hallmark clinical sign is severe lameness with bounding digital pulses. This podcast is an excerpt from our. In most cases hoof abscesses resolve completely without the time,. Laminitis Horse Abscess.
From www.vetscraft.com
Laminitis in Horses Etiology, Clinical signs, Diagnosis & Treatment Laminitis Horse Abscess Causes in horses include carbohydrate overload, excess weight bearing, and endotoxemia. Laminitis is the inflammation and subsequent separation of the laminae of the hoof. Laminitis occurs when the laminae or tiny interlocking areas that glue together your horse's hoof wall to their hoof become inflammed or separate. With proper diagnostics, correct treatment, and careful management, many horses can overcome laminitis. Laminitis Horse Abscess.
From www.avonvaleequine.co.uk
What is Laminitis in Horses? Avonvale Equine Vets Blog Laminitis Horse Abscess With proper diagnostics, correct treatment, and careful management, many horses can overcome laminitis complications. When the laminae separate, your. In most cases hoof abscesses resolve completely without the time, expense, complications, and varied prognoses that can accompany other causes of severe lameness. Causes in horses include carbohydrate overload, excess weight bearing, and endotoxemia. Laminitis occurs when the laminae or tiny. Laminitis Horse Abscess.
From resources.integricare.ca
Laminitis Horse [Signs, Symptoms, Treatment & Supplements] Laminitis Horse Abscess The hallmark clinical sign is severe lameness with bounding digital pulses. Predispositions for recurrent hoof abscess formation in horses include concurrent disease, such as laminitis, and poor hoof. When the laminae separate, your. Vern dryden talks about why horses with laminitis might be more prone to hoof abscesses. This podcast is an excerpt from our. In most cases hoof abscesses. Laminitis Horse Abscess.
From www.happyhoofpads.net
Laminitis & Abscess pad Mysite Laminitis Horse Abscess With proper diagnostics, correct treatment, and careful management, many horses can overcome laminitis complications. Vern dryden talks about why horses with laminitis might be more prone to hoof abscesses. Predispositions for recurrent hoof abscess formation in horses include concurrent disease, such as laminitis, and poor hoof. Laminitis occurs when the laminae or tiny interlocking areas that glue together your horse's. Laminitis Horse Abscess.