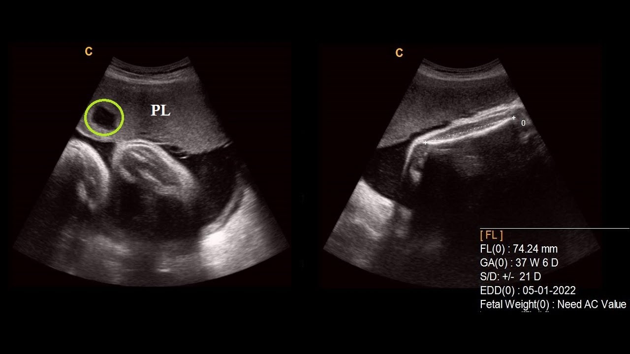
What Is Placental Lakes . They lie on the surface of the placenta or deeper inside. Placental lakes are pools of blood that show up on scans as black areas. What is the significance of a placental lake? Placental lakes are enlarged spaces in the placenta filled with maternal blood. Placental lakes are the most common placental feature seen on grayscale ultrasound. What is a placental lake? They show up on ultrasound scans as black areas. These spaces are also called intervillous spaces. They lie on the surface of the placenta or deeper inside. Finding placental lakes during a second trimester. They are so common that it's. What is a placental lake? Placental lakes are spaces within the placenta filled with maternal blood. Placental lakes are seen on ultrasounds as black areas on the surface or deeper inside the placenta, and are actually. They are defined at the mid.
from zerotofinals.com
Placental lakes are enlarged spaces in the placenta filled with maternal blood. Placental lakes are spaces within the placenta filled with maternal blood. Placental (venous) lakes refer to a phenomenon of formation of hypoechoic cystic spaces centrally within the placenta. What is a placental lake? They show up on ultrasound scans as black areas. They lie on the surface of the placenta or deeper inside. They are so common that it's. Placental lakes are pools of blood that show up on scans as black areas. They are defined at the mid. They lie on the surface of the placenta or deeper inside.
Function of the Placenta Zero To Finals
What Is Placental Lakes What is the significance of a placental lake? These spaces are also called intervillous spaces. They are so common that it's. Placental lakes are enlarged spaces in the placenta filled with maternal blood. They lie on the surface of the placenta or deeper inside. Placental lakes are pools of blood that show up on scans as black areas. They lie on the surface of the placenta or deeper inside. Placental lakes are the most common placental feature seen on grayscale ultrasound. Finding placental lakes during a second trimester. Placental (venous) lakes refer to a phenomenon of formation of hypoechoic cystic spaces centrally within the placenta. They show up on ultrasound scans as black areas. What is the significance of a placental lake? What is a placental lake? What is a placental lake? Placental lakes are seen on ultrasounds as black areas on the surface or deeper inside the placenta, and are actually. They are defined at the mid.
From www.slideserve.com
PPT Placental US PowerPoint Presentation, free download ID3356735 What Is Placental Lakes Placental lakes are seen on ultrasounds as black areas on the surface or deeper inside the placenta, and are actually. Placental lakes are enlarged spaces in the placenta filled with maternal blood. They lie on the surface of the placenta or deeper inside. Finding placental lakes during a second trimester. What is the significance of a placental lake? They show. What Is Placental Lakes.
From www.vrogue.co
When And How Does Placenta Develop In Human Female vrogue.co What Is Placental Lakes Placental lakes are enlarged spaces in the placenta filled with maternal blood. They are so common that it's. They lie on the surface of the placenta or deeper inside. Placental lakes are pools of blood that show up on scans as black areas. Placental (venous) lakes refer to a phenomenon of formation of hypoechoic cystic spaces centrally within the placenta.. What Is Placental Lakes.
From community.babycenter.com
Placental Lakes? BabyCenter What Is Placental Lakes These spaces are also called intervillous spaces. They are defined at the mid. They lie on the surface of the placenta or deeper inside. They show up on ultrasound scans as black areas. Placental lakes are pools of blood that show up on scans as black areas. What is a placental lake? Placental (venous) lakes refer to a phenomenon of. What Is Placental Lakes.
From www.momjunction.com
What is A Placental Lake And How It Affects Pregnancy What Is Placental Lakes They are so common that it's. What is a placental lake? Placental lakes are pools of blood that show up on scans as black areas. Finding placental lakes during a second trimester. They show up on ultrasound scans as black areas. What is a placental lake? Placental (venous) lakes refer to a phenomenon of formation of hypoechoic cystic spaces centrally. What Is Placental Lakes.
From www.youtube.com
Placental lakes USG Ultrasound YouTube What Is Placental Lakes They lie on the surface of the placenta or deeper inside. They are so common that it's. Finding placental lakes during a second trimester. What is a placental lake? What is a placental lake? They show up on ultrasound scans as black areas. Placental lakes are spaces within the placenta filled with maternal blood. Placental (venous) lakes refer to a. What Is Placental Lakes.
From openi.nlm.nih.gov
Placental lakes. Cystic foci (arrows in A) are seen in Openi What Is Placental Lakes They are so common that it's. Placental lakes are the most common placental feature seen on grayscale ultrasound. Placental lakes are seen on ultrasounds as black areas on the surface or deeper inside the placenta, and are actually. What is the significance of a placental lake? Placental lakes are spaces within the placenta filled with maternal blood. They lie on. What Is Placental Lakes.
From www.pinterest.com
Pin on Women's health info What Is Placental Lakes They show up on ultrasound scans as black areas. What is a placental lake? They lie on the surface of the placenta or deeper inside. They are defined at the mid. Finding placental lakes during a second trimester. They are so common that it's. Placental (venous) lakes refer to a phenomenon of formation of hypoechoic cystic spaces centrally within the. What Is Placental Lakes.
From www.youtube.com
Multiple placental lakes 38 weeks pregnancy Pregnancy Profile What Is Placental Lakes They are so common that it's. Placental lakes are seen on ultrasounds as black areas on the surface or deeper inside the placenta, and are actually. Finding placental lakes during a second trimester. These spaces are also called intervillous spaces. They lie on the surface of the placenta or deeper inside. They are defined at the mid. They show up. What Is Placental Lakes.
From www.news-medical.net
How does SARSCoV2 affect the placenta during pregnancy? What Is Placental Lakes They lie on the surface of the placenta or deeper inside. They are so common that it's. They are defined at the mid. Placental lakes are spaces within the placenta filled with maternal blood. These spaces are also called intervillous spaces. What is the significance of a placental lake? They lie on the surface of the placenta or deeper inside.. What Is Placental Lakes.
From quizlet.com
The Placenta Diagram Quizlet What Is Placental Lakes Placental (venous) lakes refer to a phenomenon of formation of hypoechoic cystic spaces centrally within the placenta. Placental lakes are spaces within the placenta filled with maternal blood. Placental lakes are the most common placental feature seen on grayscale ultrasound. These spaces are also called intervillous spaces. They are defined at the mid. Placental lakes are enlarged spaces in the. What Is Placental Lakes.
From ref.tips
What causes an abnormally large placenta? Ref Tips What Is Placental Lakes What is a placental lake? Placental lakes are the most common placental feature seen on grayscale ultrasound. These spaces are also called intervillous spaces. They show up on ultrasound scans as black areas. They are so common that it's. Placental lakes are pools of blood that show up on scans as black areas. Placental lakes are seen on ultrasounds as. What Is Placental Lakes.
From www.slideserve.com
PPT Placental US PowerPoint Presentation ID3356735 What Is Placental Lakes What is a placental lake? Finding placental lakes during a second trimester. They are defined at the mid. Placental lakes are spaces within the placenta filled with maternal blood. What is a placental lake? What is the significance of a placental lake? They lie on the surface of the placenta or deeper inside. They are so common that it's. They. What Is Placental Lakes.
From www.slideserve.com
PPT Bleeding Late in Pregnancy PowerPoint Presentation, free download What Is Placental Lakes Placental lakes are the most common placental feature seen on grayscale ultrasound. They lie on the surface of the placenta or deeper inside. What is a placental lake? Finding placental lakes during a second trimester. They are so common that it's. These spaces are also called intervillous spaces. Placental (venous) lakes refer to a phenomenon of formation of hypoechoic cystic. What Is Placental Lakes.
From www.youtube.com
What They Found On My Latest Ultrasound Placental Lakes YouTube What Is Placental Lakes They lie on the surface of the placenta or deeper inside. Finding placental lakes during a second trimester. Placental lakes are seen on ultrasounds as black areas on the surface or deeper inside the placenta, and are actually. They show up on ultrasound scans as black areas. Placental lakes are pools of blood that show up on scans as black. What Is Placental Lakes.
From zerotofinals.com
Function of the Placenta Zero To Finals What Is Placental Lakes Placental lakes are spaces within the placenta filled with maternal blood. These spaces are also called intervillous spaces. What is a placental lake? Placental lakes are the most common placental feature seen on grayscale ultrasound. They lie on the surface of the placenta or deeper inside. Finding placental lakes during a second trimester. What is a placental lake? They are. What Is Placental Lakes.
From www.pinterest.com
What is A Placental Lake And How It Affects Pregnancy Pregnancy humor What Is Placental Lakes They lie on the surface of the placenta or deeper inside. Placental lakes are spaces within the placenta filled with maternal blood. They show up on ultrasound scans as black areas. Finding placental lakes during a second trimester. Placental lakes are pools of blood that show up on scans as black areas. Placental (venous) lakes refer to a phenomenon of. What Is Placental Lakes.
From homecare24.id
Handbody Placenta Homecare24 What Is Placental Lakes Placental lakes are enlarged spaces in the placenta filled with maternal blood. Placental lakes are pools of blood that show up on scans as black areas. What is a placental lake? Placental (venous) lakes refer to a phenomenon of formation of hypoechoic cystic spaces centrally within the placenta. Placental lakes are spaces within the placenta filled with maternal blood. Placental. What Is Placental Lakes.
From pmgbiology.com
Role of the Placenta Grade 9 Understanding for IGCSE Biology 3.11 What Is Placental Lakes What is a placental lake? They lie on the surface of the placenta or deeper inside. They lie on the surface of the placenta or deeper inside. What is the significance of a placental lake? They are so common that it's. Placental lakes are spaces within the placenta filled with maternal blood. Placental lakes are enlarged spaces in the placenta. What Is Placental Lakes.
From www.ejog.org
The clinical significance of large placental lakes European Journal What Is Placental Lakes They show up on ultrasound scans as black areas. Placental (venous) lakes refer to a phenomenon of formation of hypoechoic cystic spaces centrally within the placenta. They are so common that it's. Finding placental lakes during a second trimester. What is the significance of a placental lake? They lie on the surface of the placenta or deeper inside. Placental lakes. What Is Placental Lakes.
From www.slideshare.net
Placental grading What Is Placental Lakes Placental lakes are seen on ultrasounds as black areas on the surface or deeper inside the placenta, and are actually. What is the significance of a placental lake? Placental lakes are the most common placental feature seen on grayscale ultrasound. They are so common that it's. What is a placental lake? Placental (venous) lakes refer to a phenomenon of formation. What Is Placental Lakes.
From www.pinterest.com
Placental lake Placental, Ultrasound, Placenta What Is Placental Lakes They are so common that it's. These spaces are also called intervillous spaces. What is a placental lake? What is a placental lake? They show up on ultrasound scans as black areas. Placental lakes are pools of blood that show up on scans as black areas. Placental lakes are seen on ultrasounds as black areas on the surface or deeper. What Is Placental Lakes.
From what-when-how.com
Normal Pregnancy (Maternal and Newborn Nursing) Part 2 What Is Placental Lakes What is the significance of a placental lake? They lie on the surface of the placenta or deeper inside. What is a placental lake? Placental lakes are spaces within the placenta filled with maternal blood. What is a placental lake? They show up on ultrasound scans as black areas. Placental lakes are seen on ultrasounds as black areas on the. What Is Placental Lakes.
From www.youtube.com
Ultrasound video showing a placental venous lake YouTube What Is Placental Lakes Placental (venous) lakes refer to a phenomenon of formation of hypoechoic cystic spaces centrally within the placenta. They are so common that it's. Finding placental lakes during a second trimester. Placental lakes are enlarged spaces in the placenta filled with maternal blood. Placental lakes are the most common placental feature seen on grayscale ultrasound. These spaces are also called intervillous. What Is Placental Lakes.
From www.researchgate.net
Obstetric complications and placental lakes Download Scientific Diagram What Is Placental Lakes What is a placental lake? Placental (venous) lakes refer to a phenomenon of formation of hypoechoic cystic spaces centrally within the placenta. What is a placental lake? Finding placental lakes during a second trimester. They are defined at the mid. Placental lakes are the most common placental feature seen on grayscale ultrasound. These spaces are also called intervillous spaces. Placental. What Is Placental Lakes.
From www.slideserve.com
PPT Placental US PowerPoint Presentation, free download ID3356735 What Is Placental Lakes They show up on ultrasound scans as black areas. Placental lakes are seen on ultrasounds as black areas on the surface or deeper inside the placenta, and are actually. These spaces are also called intervillous spaces. Placental lakes are the most common placental feature seen on grayscale ultrasound. They lie on the surface of the placenta or deeper inside. What. What Is Placental Lakes.
From www.slideserve.com
PPT Placental US PowerPoint Presentation, free download ID3356735 What Is Placental Lakes Finding placental lakes during a second trimester. They show up on ultrasound scans as black areas. Placental lakes are seen on ultrasounds as black areas on the surface or deeper inside the placenta, and are actually. Placental (venous) lakes refer to a phenomenon of formation of hypoechoic cystic spaces centrally within the placenta. They lie on the surface of the. What Is Placental Lakes.
From www.babycenter.com.au
What is a placental lake? BabyCenter What Is Placental Lakes They are so common that it's. These spaces are also called intervillous spaces. What is the significance of a placental lake? They show up on ultrasound scans as black areas. Placental lakes are spaces within the placenta filled with maternal blood. They lie on the surface of the placenta or deeper inside. What is a placental lake? What is a. What Is Placental Lakes.
From www.momjunction.com
What is A Placental Lake And How It Affects Pregnancy What Is Placental Lakes What is a placental lake? They lie on the surface of the placenta or deeper inside. Placental (venous) lakes refer to a phenomenon of formation of hypoechoic cystic spaces centrally within the placenta. They are so common that it's. Placental lakes are spaces within the placenta filled with maternal blood. Placental lakes are pools of blood that show up on. What Is Placental Lakes.
From mavink.com
Grade 4 Placenta Ultrasound What Is Placental Lakes What is the significance of a placental lake? They lie on the surface of the placenta or deeper inside. They show up on ultrasound scans as black areas. They are defined at the mid. Placental (venous) lakes refer to a phenomenon of formation of hypoechoic cystic spaces centrally within the placenta. They lie on the surface of the placenta or. What Is Placental Lakes.
From www.slideserve.com
PPT Placental US PowerPoint Presentation, free download ID3356735 What Is Placental Lakes Placental lakes are spaces within the placenta filled with maternal blood. Finding placental lakes during a second trimester. They are defined at the mid. Placental (venous) lakes refer to a phenomenon of formation of hypoechoic cystic spaces centrally within the placenta. Placental lakes are enlarged spaces in the placenta filled with maternal blood. Placental lakes are seen on ultrasounds as. What Is Placental Lakes.
From www.youtube.com
Placental Anatomy & Development YouTube What Is Placental Lakes What is the significance of a placental lake? Placental (venous) lakes refer to a phenomenon of formation of hypoechoic cystic spaces centrally within the placenta. Placental lakes are pools of blood that show up on scans as black areas. What is a placental lake? These spaces are also called intervillous spaces. What is a placental lake? Placental lakes are enlarged. What Is Placental Lakes.
From www.slideserve.com
PPT Placental US PowerPoint Presentation, free download ID3356735 What Is Placental Lakes Placental lakes are seen on ultrasounds as black areas on the surface or deeper inside the placenta, and are actually. They show up on ultrasound scans as black areas. Placental lakes are the most common placental feature seen on grayscale ultrasound. These spaces are also called intervillous spaces. Placental lakes are pools of blood that show up on scans as. What Is Placental Lakes.
From www.momjunction.com
What is A Placental Lake And How Does It Affect Pregnancy? What Is Placental Lakes What is the significance of a placental lake? They are defined at the mid. Finding placental lakes during a second trimester. They lie on the surface of the placenta or deeper inside. Placental lakes are enlarged spaces in the placenta filled with maternal blood. They are so common that it's. Placental lakes are the most common placental feature seen on. What Is Placental Lakes.
From www.vrogue.co
Significance Of Placental Histopathology In Reproduct vrogue.co What Is Placental Lakes Placental lakes are the most common placental feature seen on grayscale ultrasound. Placental lakes are pools of blood that show up on scans as black areas. They lie on the surface of the placenta or deeper inside. They lie on the surface of the placenta or deeper inside. What is the significance of a placental lake? Finding placental lakes during. What Is Placental Lakes.
From www.researchgate.net
US shows placental lacunae and increased irregular retroplacental What Is Placental Lakes Placental lakes are pools of blood that show up on scans as black areas. They lie on the surface of the placenta or deeper inside. Placental lakes are spaces within the placenta filled with maternal blood. Finding placental lakes during a second trimester. What is the significance of a placental lake? They lie on the surface of the placenta or. What Is Placental Lakes.