Does Blood Work Show Brain Cancer . It's different from a benign brain tumour, which isn't. A biopsy is a major procedure, and it is the most definitive test for brain tumor diagnosis. a malignant brain tumour is a cancerous growth in the brain. but some types of tumour release certain hormones or chemicals into the blood. Brain tumors originate from abnormal growth in brain cells and the tumor itself. brain tumours can affect people of any age, including children, although they tend to be more common in older adults. no, blood tests cannot confirm or detect the presence of a brain tumor. when brain tumors happen in children, they're likely to be primary brain tumors. Blood tests can also help in assessing some types of brain tumors, and a lumbar puncture may help in diagnosing metastatic (aggressively spreading) tumors in the brain. In adults, brain tumors are more. Brain cancer may develop gradually,. If the tumour is affecting your pituitary gland or. brain cancer can cause a variety of neurological symptoms, as well as systemic (whole body) effects.
from www.sciencephoto.com
brain tumours can affect people of any age, including children, although they tend to be more common in older adults. A biopsy is a major procedure, and it is the most definitive test for brain tumor diagnosis. but some types of tumour release certain hormones or chemicals into the blood. Brain cancer may develop gradually,. If the tumour is affecting your pituitary gland or. a malignant brain tumour is a cancerous growth in the brain. It's different from a benign brain tumour, which isn't. when brain tumors happen in children, they're likely to be primary brain tumors. Blood tests can also help in assessing some types of brain tumors, and a lumbar puncture may help in diagnosing metastatic (aggressively spreading) tumors in the brain. no, blood tests cannot confirm or detect the presence of a brain tumor.
Brain cancer, MRI scan Stock Image M134/0469 Science Photo Library
Does Blood Work Show Brain Cancer A biopsy is a major procedure, and it is the most definitive test for brain tumor diagnosis. Brain tumors originate from abnormal growth in brain cells and the tumor itself. no, blood tests cannot confirm or detect the presence of a brain tumor. If the tumour is affecting your pituitary gland or. brain tumours can affect people of any age, including children, although they tend to be more common in older adults. Brain cancer may develop gradually,. It's different from a benign brain tumour, which isn't. In adults, brain tumors are more. but some types of tumour release certain hormones or chemicals into the blood. Blood tests can also help in assessing some types of brain tumors, and a lumbar puncture may help in diagnosing metastatic (aggressively spreading) tumors in the brain. A biopsy is a major procedure, and it is the most definitive test for brain tumor diagnosis. brain cancer can cause a variety of neurological symptoms, as well as systemic (whole body) effects. a malignant brain tumour is a cancerous growth in the brain. when brain tumors happen in children, they're likely to be primary brain tumors.
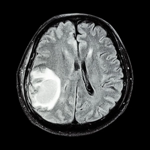
From www.ivybraintumorcenter.org
Brain Tumor Patient and Caregiver Guide Does Blood Work Show Brain Cancer brain tumours can affect people of any age, including children, although they tend to be more common in older adults. Brain tumors originate from abnormal growth in brain cells and the tumor itself. no, blood tests cannot confirm or detect the presence of a brain tumor. a malignant brain tumour is a cancerous growth in the brain.. Does Blood Work Show Brain Cancer.
From www.ivybraintumorcenter.org
Primary Brain Tumor Types, What to Know, and FAQs Does Blood Work Show Brain Cancer but some types of tumour release certain hormones or chemicals into the blood. Blood tests can also help in assessing some types of brain tumors, and a lumbar puncture may help in diagnosing metastatic (aggressively spreading) tumors in the brain. brain tumours can affect people of any age, including children, although they tend to be more common in. Does Blood Work Show Brain Cancer.
From www.healthinfo4us.com
Blood Cancer HEALTH INFORMATION Does Blood Work Show Brain Cancer but some types of tumour release certain hormones or chemicals into the blood. Brain cancer may develop gradually,. no, blood tests cannot confirm or detect the presence of a brain tumor. A biopsy is a major procedure, and it is the most definitive test for brain tumor diagnosis. In adults, brain tumors are more. brain cancer can. Does Blood Work Show Brain Cancer.
From depositphotos.com
MRI brain show brain tumor at right parietal lobe of cerebrum Stock Does Blood Work Show Brain Cancer brain cancer can cause a variety of neurological symptoms, as well as systemic (whole body) effects. no, blood tests cannot confirm or detect the presence of a brain tumor. but some types of tumour release certain hormones or chemicals into the blood. In adults, brain tumors are more. It's different from a benign brain tumour, which isn't.. Does Blood Work Show Brain Cancer.
From www.youtube.com
Brain Tumor Blood Test से पता चलेगा ब्रेन ट्यूमर 2017 से चल रही थी Does Blood Work Show Brain Cancer when brain tumors happen in children, they're likely to be primary brain tumors. a malignant brain tumour is a cancerous growth in the brain. If the tumour is affecting your pituitary gland or. In adults, brain tumors are more. brain cancer can cause a variety of neurological symptoms, as well as systemic (whole body) effects. Brain tumors. Does Blood Work Show Brain Cancer.
From www.sciencephoto.com
Brain cancer, MRI scan Stock Image M134/0469 Science Photo Library Does Blood Work Show Brain Cancer brain cancer can cause a variety of neurological symptoms, as well as systemic (whole body) effects. brain tumours can affect people of any age, including children, although they tend to be more common in older adults. Brain cancer may develop gradually,. A biopsy is a major procedure, and it is the most definitive test for brain tumor diagnosis.. Does Blood Work Show Brain Cancer.
From www.researchgate.net
Extracted area calculation for brain tumor Download Scientific Diagram Does Blood Work Show Brain Cancer In adults, brain tumors are more. Blood tests can also help in assessing some types of brain tumors, and a lumbar puncture may help in diagnosing metastatic (aggressively spreading) tumors in the brain. brain cancer can cause a variety of neurological symptoms, as well as systemic (whole body) effects. no, blood tests cannot confirm or detect the presence. Does Blood Work Show Brain Cancer.
From onco.com
Brain Tumor Stages TNM Stages and Metastasis Does Blood Work Show Brain Cancer A biopsy is a major procedure, and it is the most definitive test for brain tumor diagnosis. no, blood tests cannot confirm or detect the presence of a brain tumor. but some types of tumour release certain hormones or chemicals into the blood. It's different from a benign brain tumour, which isn't. a malignant brain tumour is. Does Blood Work Show Brain Cancer.
From mavink.com
Brain Cancer Ct Scan Does Blood Work Show Brain Cancer when brain tumors happen in children, they're likely to be primary brain tumors. Brain cancer may develop gradually,. no, blood tests cannot confirm or detect the presence of a brain tumor. Blood tests can also help in assessing some types of brain tumors, and a lumbar puncture may help in diagnosing metastatic (aggressively spreading) tumors in the brain.. Does Blood Work Show Brain Cancer.
From mungfali.com
Blood Cancer Types And Symptoms Does Blood Work Show Brain Cancer A biopsy is a major procedure, and it is the most definitive test for brain tumor diagnosis. a malignant brain tumour is a cancerous growth in the brain. but some types of tumour release certain hormones or chemicals into the blood. no, blood tests cannot confirm or detect the presence of a brain tumor. when brain. Does Blood Work Show Brain Cancer.
From copdstageschart.web.fc2.com
Does Cancer Show Up On Routine Blood Work Does Blood Work Show Brain Cancer Blood tests can also help in assessing some types of brain tumors, and a lumbar puncture may help in diagnosing metastatic (aggressively spreading) tumors in the brain. when brain tumors happen in children, they're likely to be primary brain tumors. If the tumour is affecting your pituitary gland or. Brain cancer may develop gradually,. brain tumours can affect. Does Blood Work Show Brain Cancer.
From www.researchgate.net
CTscan image of brain tumor. Download Scientific Diagram Does Blood Work Show Brain Cancer but some types of tumour release certain hormones or chemicals into the blood. Brain tumors originate from abnormal growth in brain cells and the tumor itself. a malignant brain tumour is a cancerous growth in the brain. In adults, brain tumors are more. brain tumours can affect people of any age, including children, although they tend to. Does Blood Work Show Brain Cancer.
From aqmdi.com
What is Blood Cancer What Blood Test Shows Cancer? Does Blood Work Show Brain Cancer It's different from a benign brain tumour, which isn't. brain tumours can affect people of any age, including children, although they tend to be more common in older adults. A biopsy is a major procedure, and it is the most definitive test for brain tumor diagnosis. Blood tests can also help in assessing some types of brain tumors, and. Does Blood Work Show Brain Cancer.
From neurosciencenews.com
Nano Drug Crosses BloodBrain Tumor Barrier, Targets Brain Tumor Cells Does Blood Work Show Brain Cancer a malignant brain tumour is a cancerous growth in the brain. It's different from a benign brain tumour, which isn't. brain cancer can cause a variety of neurological symptoms, as well as systemic (whole body) effects. brain tumours can affect people of any age, including children, although they tend to be more common in older adults. If. Does Blood Work Show Brain Cancer.
From www.researchgate.net
Initial blood work of patient and followup blood work after 2 weeks Does Blood Work Show Brain Cancer a malignant brain tumour is a cancerous growth in the brain. It's different from a benign brain tumour, which isn't. when brain tumors happen in children, they're likely to be primary brain tumors. Blood tests can also help in assessing some types of brain tumors, and a lumbar puncture may help in diagnosing metastatic (aggressively spreading) tumors in. Does Blood Work Show Brain Cancer.
From jnm.snmjournals.org
Multimodality Assessment of Brain Tumors and Tumor Recurrence Journal Does Blood Work Show Brain Cancer Brain tumors originate from abnormal growth in brain cells and the tumor itself. a malignant brain tumour is a cancerous growth in the brain. A biopsy is a major procedure, and it is the most definitive test for brain tumor diagnosis. If the tumour is affecting your pituitary gland or. brain cancer can cause a variety of neurological. Does Blood Work Show Brain Cancer.
From www.scribd.com
How does blood work.docx PDF Does Blood Work Show Brain Cancer Brain tumors originate from abnormal growth in brain cells and the tumor itself. Brain cancer may develop gradually,. when brain tumors happen in children, they're likely to be primary brain tumors. In adults, brain tumors are more. A biopsy is a major procedure, and it is the most definitive test for brain tumor diagnosis. a malignant brain tumour. Does Blood Work Show Brain Cancer.
From clevertopics.com
Stages of Brain Cancer CleverTopic Does Blood Work Show Brain Cancer In adults, brain tumors are more. Brain tumors originate from abnormal growth in brain cells and the tumor itself. no, blood tests cannot confirm or detect the presence of a brain tumor. It's different from a benign brain tumour, which isn't. but some types of tumour release certain hormones or chemicals into the blood. Brain cancer may develop. Does Blood Work Show Brain Cancer.
From www.frontiersin.org
Frontiers BloodBrain Barrier, BloodBrain Tumor Barrier, and Does Blood Work Show Brain Cancer If the tumour is affecting your pituitary gland or. brain cancer can cause a variety of neurological symptoms, as well as systemic (whole body) effects. brain tumours can affect people of any age, including children, although they tend to be more common in older adults. when brain tumors happen in children, they're likely to be primary brain. Does Blood Work Show Brain Cancer.
From www.mayoclinic.org
Tumor cerebral Síntomas y causas Mayo Clinic Does Blood Work Show Brain Cancer no, blood tests cannot confirm or detect the presence of a brain tumor. It's different from a benign brain tumour, which isn't. but some types of tumour release certain hormones or chemicals into the blood. If the tumour is affecting your pituitary gland or. brain tumours can affect people of any age, including children, although they tend. Does Blood Work Show Brain Cancer.
From www.cancer.gov
Blood Test May Detect Changes in Brain Tumors National Cancer Does Blood Work Show Brain Cancer It's different from a benign brain tumour, which isn't. brain cancer can cause a variety of neurological symptoms, as well as systemic (whole body) effects. If the tumour is affecting your pituitary gland or. Brain cancer may develop gradually,. but some types of tumour release certain hormones or chemicals into the blood. Brain tumors originate from abnormal growth. Does Blood Work Show Brain Cancer.
From www.tffn.net
How Does Cancer Show Up in Blood Work Key Tests and Significance Does Blood Work Show Brain Cancer brain tumours can affect people of any age, including children, although they tend to be more common in older adults. In adults, brain tumors are more. but some types of tumour release certain hormones or chemicals into the blood. a malignant brain tumour is a cancerous growth in the brain. no, blood tests cannot confirm or. Does Blood Work Show Brain Cancer.
From www.dreamstime.com
MRI Brain Show Brain Tumor at Right Parietal Lobe Stock Image Image Does Blood Work Show Brain Cancer when brain tumors happen in children, they're likely to be primary brain tumors. If the tumour is affecting your pituitary gland or. In adults, brain tumors are more. brain tumours can affect people of any age, including children, although they tend to be more common in older adults. a malignant brain tumour is a cancerous growth in. Does Blood Work Show Brain Cancer.
From www.radtechonduty.com
Brain Tumor / Cancer MR Imaging of the Brain RadTechOnDuty Does Blood Work Show Brain Cancer no, blood tests cannot confirm or detect the presence of a brain tumor. Blood tests can also help in assessing some types of brain tumors, and a lumbar puncture may help in diagnosing metastatic (aggressively spreading) tumors in the brain. In adults, brain tumors are more. It's different from a benign brain tumour, which isn't. brain tumours can. Does Blood Work Show Brain Cancer.
From www.xraymedicalgroup.com
Brain Tumors XRay Medical Group Grossmont Imaging La Mesa, Santee CA Does Blood Work Show Brain Cancer Brain tumors originate from abnormal growth in brain cells and the tumor itself. A biopsy is a major procedure, and it is the most definitive test for brain tumor diagnosis. but some types of tumour release certain hormones or chemicals into the blood. In adults, brain tumors are more. when brain tumors happen in children, they're likely to. Does Blood Work Show Brain Cancer.
From www.alamy.com
MRI brain show brain tumor at right parietal lobe of cerebrum Stock Does Blood Work Show Brain Cancer a malignant brain tumour is a cancerous growth in the brain. If the tumour is affecting your pituitary gland or. Blood tests can also help in assessing some types of brain tumors, and a lumbar puncture may help in diagnosing metastatic (aggressively spreading) tumors in the brain. brain tumours can affect people of any age, including children, although. Does Blood Work Show Brain Cancer.
From www.youtube.com
Treating Brain Tumors with Intraoperative MRI (iMRI) Highlights from Does Blood Work Show Brain Cancer In adults, brain tumors are more. brain cancer can cause a variety of neurological symptoms, as well as systemic (whole body) effects. brain tumours can affect people of any age, including children, although they tend to be more common in older adults. Brain tumors originate from abnormal growth in brain cells and the tumor itself. It's different from. Does Blood Work Show Brain Cancer.
From www.mrhc.org
What Does Blood Work Show? Magnolia Regional Health Center Does Blood Work Show Brain Cancer brain cancer can cause a variety of neurological symptoms, as well as systemic (whole body) effects. Blood tests can also help in assessing some types of brain tumors, and a lumbar puncture may help in diagnosing metastatic (aggressively spreading) tumors in the brain. In adults, brain tumors are more. brain tumours can affect people of any age, including. Does Blood Work Show Brain Cancer.
From medizzy.com
Brain tumor & its symptoms MEDizzy Does Blood Work Show Brain Cancer but some types of tumour release certain hormones or chemicals into the blood. brain cancer can cause a variety of neurological symptoms, as well as systemic (whole body) effects. brain tumours can affect people of any age, including children, although they tend to be more common in older adults. If the tumour is affecting your pituitary gland. Does Blood Work Show Brain Cancer.
From exoulcirc.blob.core.windows.net
What Markers In The Blood Indicate Cancer at Otis Wilson blog Does Blood Work Show Brain Cancer Brain tumors originate from abnormal growth in brain cells and the tumor itself. but some types of tumour release certain hormones or chemicals into the blood. Brain cancer may develop gradually,. It's different from a benign brain tumour, which isn't. Blood tests can also help in assessing some types of brain tumors, and a lumbar puncture may help in. Does Blood Work Show Brain Cancer.
From lifeboat.com
New research rethinks the bloodtumor barrier and identifies novel path Does Blood Work Show Brain Cancer It's different from a benign brain tumour, which isn't. a malignant brain tumour is a cancerous growth in the brain. Brain cancer may develop gradually,. In adults, brain tumors are more. brain cancer can cause a variety of neurological symptoms, as well as systemic (whole body) effects. If the tumour is affecting your pituitary gland or. but. Does Blood Work Show Brain Cancer.
From fineartamerica.com
Brain Cancer, Mri Scan Photograph by Science Photo Library Does Blood Work Show Brain Cancer A biopsy is a major procedure, and it is the most definitive test for brain tumor diagnosis. a malignant brain tumour is a cancerous growth in the brain. Brain cancer may develop gradually,. but some types of tumour release certain hormones or chemicals into the blood. It's different from a benign brain tumour, which isn't. brain tumours. Does Blood Work Show Brain Cancer.
From www.health.harvard.edu
Brain Tumor Overview Harvard Health Does Blood Work Show Brain Cancer when brain tumors happen in children, they're likely to be primary brain tumors. brain cancer can cause a variety of neurological symptoms, as well as systemic (whole body) effects. If the tumour is affecting your pituitary gland or. a malignant brain tumour is a cancerous growth in the brain. A biopsy is a major procedure, and it. Does Blood Work Show Brain Cancer.
From www.technologynetworks.com
A Blood Test Can Predict Brain Cancer Prognosis Technology Networks Does Blood Work Show Brain Cancer If the tumour is affecting your pituitary gland or. A biopsy is a major procedure, and it is the most definitive test for brain tumor diagnosis. a malignant brain tumour is a cancerous growth in the brain. Blood tests can also help in assessing some types of brain tumors, and a lumbar puncture may help in diagnosing metastatic (aggressively. Does Blood Work Show Brain Cancer.
From cancer.newlifeoutlook.com
Brain Cancer Types What Are the Most Common Forms of Brain Cancer? Does Blood Work Show Brain Cancer a malignant brain tumour is a cancerous growth in the brain. A biopsy is a major procedure, and it is the most definitive test for brain tumor diagnosis. It's different from a benign brain tumour, which isn't. but some types of tumour release certain hormones or chemicals into the blood. If the tumour is affecting your pituitary gland. Does Blood Work Show Brain Cancer.