Lumbar Hernia Reddit . Calisthenics is all i have left lol. Lumbar disc herniation is a very common cause of low back pain and unilateral leg pain, known as radiculopathy. I got diagnosed with 3 herniated discs in my lumbar spine and lumbar degenerative disc disease. I am only 32 but i’ve had back pain on and off for about three years and my new mri shows a herniated disc, and other disks that are bulging. I had to lie to my doctor to get an mri after seeing. You have a herniated lumbar disc, a real lulu. I herniated my disc in a cave problem years ago (l5s1) and it wasn’t properly diagnosed for years. In rare cases a large disc herniation can lead to cauda equina syndrome. In these cases, doctors usually follow a pattern of treatment. A herniated disc occurs when the intervertebral disc's outer fibers (the annulus) are damaged and the soft inner material of the nucleus pulposus. Patients with lumbar hernias can present with a variety of symptoms, including a posterolateral mass, back pain, bowel obstruction (if contents. I've posted here before trying to talk about it but every time i have, the. A herniated disc tends to heal gradually and usually progresses through stages, each with its own characteristics and challenges.
from www.pristyncare.com
I had to lie to my doctor to get an mri after seeing. Patients with lumbar hernias can present with a variety of symptoms, including a posterolateral mass, back pain, bowel obstruction (if contents. I got diagnosed with 3 herniated discs in my lumbar spine and lumbar degenerative disc disease. Lumbar disc herniation is a very common cause of low back pain and unilateral leg pain, known as radiculopathy. Calisthenics is all i have left lol. You have a herniated lumbar disc, a real lulu. In rare cases a large disc herniation can lead to cauda equina syndrome. A herniated disc occurs when the intervertebral disc's outer fibers (the annulus) are damaged and the soft inner material of the nucleus pulposus. I herniated my disc in a cave problem years ago (l5s1) and it wasn’t properly diagnosed for years. In these cases, doctors usually follow a pattern of treatment.
Lumbar Hernia Defination, Causes, Symptoms and Treatment
Lumbar Hernia Reddit Lumbar disc herniation is a very common cause of low back pain and unilateral leg pain, known as radiculopathy. I herniated my disc in a cave problem years ago (l5s1) and it wasn’t properly diagnosed for years. I had to lie to my doctor to get an mri after seeing. I got diagnosed with 3 herniated discs in my lumbar spine and lumbar degenerative disc disease. Patients with lumbar hernias can present with a variety of symptoms, including a posterolateral mass, back pain, bowel obstruction (if contents. You have a herniated lumbar disc, a real lulu. A herniated disc occurs when the intervertebral disc's outer fibers (the annulus) are damaged and the soft inner material of the nucleus pulposus. A herniated disc tends to heal gradually and usually progresses through stages, each with its own characteristics and challenges. In these cases, doctors usually follow a pattern of treatment. I am only 32 but i’ve had back pain on and off for about three years and my new mri shows a herniated disc, and other disks that are bulging. Calisthenics is all i have left lol. I've posted here before trying to talk about it but every time i have, the. Lumbar disc herniation is a very common cause of low back pain and unilateral leg pain, known as radiculopathy. In rare cases a large disc herniation can lead to cauda equina syndrome.
From mavink.com
Lumbar Hernia Radiology Lumbar Hernia Reddit Patients with lumbar hernias can present with a variety of symptoms, including a posterolateral mass, back pain, bowel obstruction (if contents. I got diagnosed with 3 herniated discs in my lumbar spine and lumbar degenerative disc disease. In these cases, doctors usually follow a pattern of treatment. A herniated disc occurs when the intervertebral disc's outer fibers (the annulus) are. Lumbar Hernia Reddit.
From www.medilife.com.tr
Lumbar Disc Herniation (Hernia) and Current Treatment Methods Hea... Lumbar Hernia Reddit I herniated my disc in a cave problem years ago (l5s1) and it wasn’t properly diagnosed for years. I got diagnosed with 3 herniated discs in my lumbar spine and lumbar degenerative disc disease. Patients with lumbar hernias can present with a variety of symptoms, including a posterolateral mass, back pain, bowel obstruction (if contents. You have a herniated lumbar. Lumbar Hernia Reddit.
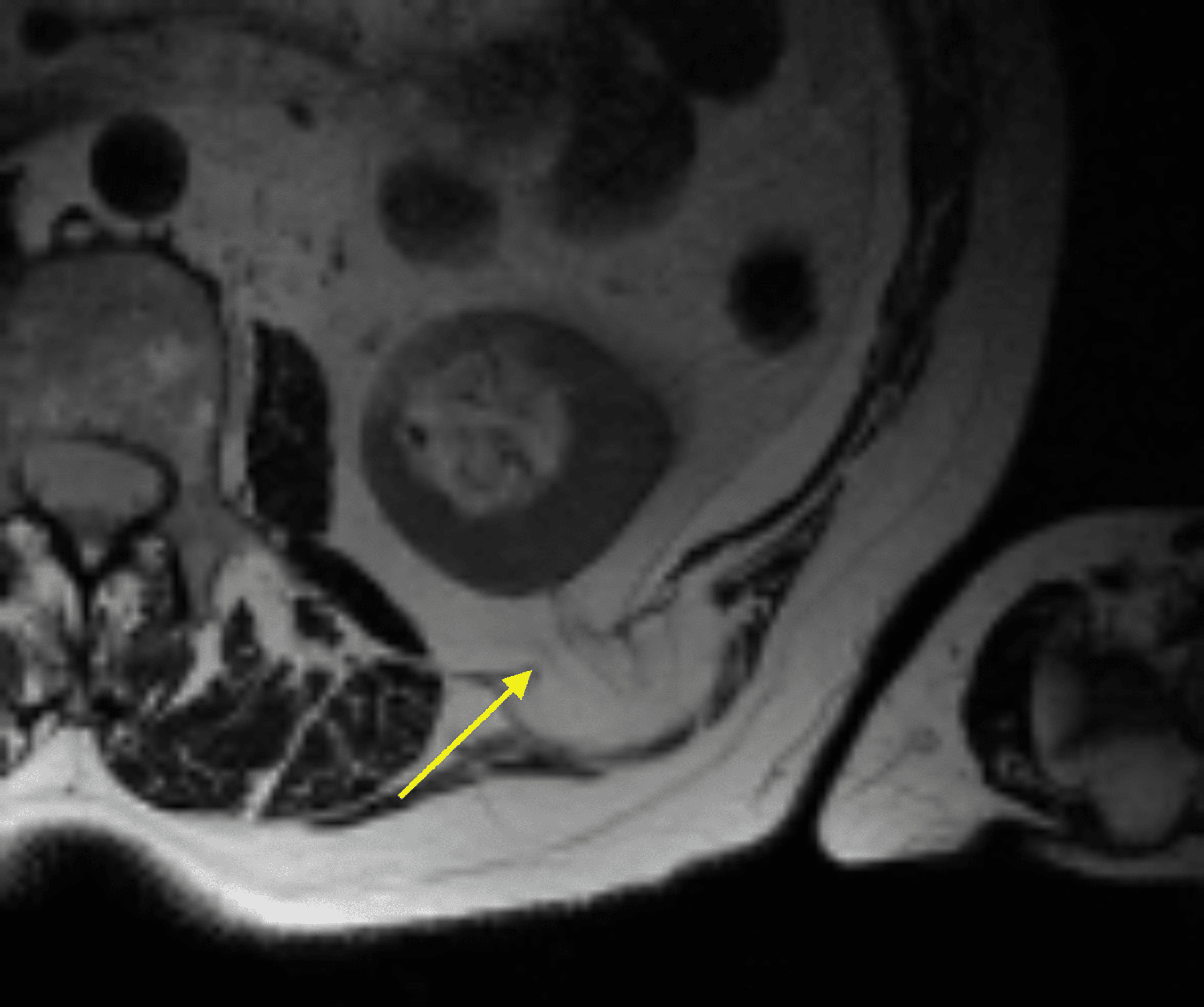
From www.cureus.com
Cureus Herniating Intradural Disc at Lumbar L4L5 Level A Case Report Lumbar Hernia Reddit Lumbar disc herniation is a very common cause of low back pain and unilateral leg pain, known as radiculopathy. You have a herniated lumbar disc, a real lulu. I had to lie to my doctor to get an mri after seeing. Patients with lumbar hernias can present with a variety of symptoms, including a posterolateral mass, back pain, bowel obstruction. Lumbar Hernia Reddit.
From www.youtube.com
Lumbar Disc Herniation MRI Explained Dr. Jeffrey P. Johnson HD Lumbar Hernia Reddit In these cases, doctors usually follow a pattern of treatment. A herniated disc occurs when the intervertebral disc's outer fibers (the annulus) are damaged and the soft inner material of the nucleus pulposus. A herniated disc tends to heal gradually and usually progresses through stages, each with its own characteristics and challenges. I've posted here before trying to talk about. Lumbar Hernia Reddit.
From www.anaquiropractica.com
Hernia discal lumbar y tratamiento quiropráctico Ana Quiropractica Lumbar Hernia Reddit A herniated disc tends to heal gradually and usually progresses through stages, each with its own characteristics and challenges. In rare cases a large disc herniation can lead to cauda equina syndrome. I got diagnosed with 3 herniated discs in my lumbar spine and lumbar degenerative disc disease. A herniated disc occurs when the intervertebral disc's outer fibers (the annulus). Lumbar Hernia Reddit.
From www.ajronline.org
Using CT to Diagnose Traumatic Lumbar Hernia AJR Lumbar Hernia Reddit Calisthenics is all i have left lol. You have a herniated lumbar disc, a real lulu. In rare cases a large disc herniation can lead to cauda equina syndrome. A herniated disc tends to heal gradually and usually progresses through stages, each with its own characteristics and challenges. I've posted here before trying to talk about it but every time. Lumbar Hernia Reddit.
From www.drrubencardenas.com
Hernia de disco lumbar... ¿Qué es y cómo tratarla? Dr. Rubén Cárdenas Lumbar Hernia Reddit I herniated my disc in a cave problem years ago (l5s1) and it wasn’t properly diagnosed for years. I had to lie to my doctor to get an mri after seeing. I've posted here before trying to talk about it but every time i have, the. A herniated disc occurs when the intervertebral disc's outer fibers (the annulus) are damaged. Lumbar Hernia Reddit.
From www.cureus.com
Cureus A Case of an Atraumatic Posterior Perirenal Lumbar Hernia Lumbar Hernia Reddit Calisthenics is all i have left lol. I got diagnosed with 3 herniated discs in my lumbar spine and lumbar degenerative disc disease. Patients with lumbar hernias can present with a variety of symptoms, including a posterolateral mass, back pain, bowel obstruction (if contents. I herniated my disc in a cave problem years ago (l5s1) and it wasn’t properly diagnosed. Lumbar Hernia Reddit.
From www.clinicbarcelona.org
Hèrnia Discal Lumbar Hospital Clínic Barcelona Lumbar Hernia Reddit A herniated disc tends to heal gradually and usually progresses through stages, each with its own characteristics and challenges. You have a herniated lumbar disc, a real lulu. I got diagnosed with 3 herniated discs in my lumbar spine and lumbar degenerative disc disease. In rare cases a large disc herniation can lead to cauda equina syndrome. I am only. Lumbar Hernia Reddit.
From www.especialistadecolumna.com
HERNIA DISCAL LUMBAR Dr. Edgar Martín Castañeda Lumbar Hernia Reddit In these cases, doctors usually follow a pattern of treatment. Lumbar disc herniation is a very common cause of low back pain and unilateral leg pain, known as radiculopathy. A herniated disc occurs when the intervertebral disc's outer fibers (the annulus) are damaged and the soft inner material of the nucleus pulposus. A herniated disc tends to heal gradually and. Lumbar Hernia Reddit.
From avantitherapy.com
Disc Herniation in the Lumbar Spine Avanti Therapy Lumbar Hernia Reddit I've posted here before trying to talk about it but every time i have, the. Patients with lumbar hernias can present with a variety of symptoms, including a posterolateral mass, back pain, bowel obstruction (if contents. In these cases, doctors usually follow a pattern of treatment. I got diagnosed with 3 herniated discs in my lumbar spine and lumbar degenerative. Lumbar Hernia Reddit.
From neurocirugialmeria.com
Hernia discal lumbar Neurocirugía en Almería Lumbar Hernia Reddit A herniated disc tends to heal gradually and usually progresses through stages, each with its own characteristics and challenges. In rare cases a large disc herniation can lead to cauda equina syndrome. You have a herniated lumbar disc, a real lulu. Calisthenics is all i have left lol. I had to lie to my doctor to get an mri after. Lumbar Hernia Reddit.
From iconspecialistcentre.hk
Hernia — Icon Specialist Centre Lumbar Hernia Reddit I had to lie to my doctor to get an mri after seeing. I herniated my disc in a cave problem years ago (l5s1) and it wasn’t properly diagnosed for years. You have a herniated lumbar disc, a real lulu. In rare cases a large disc herniation can lead to cauda equina syndrome. Calisthenics is all i have left lol.. Lumbar Hernia Reddit.
From www.alamy.com
Herniated lumbar disc hires stock photography and images Alamy Lumbar Hernia Reddit In these cases, doctors usually follow a pattern of treatment. I got diagnosed with 3 herniated discs in my lumbar spine and lumbar degenerative disc disease. I had to lie to my doctor to get an mri after seeing. A herniated disc tends to heal gradually and usually progresses through stages, each with its own characteristics and challenges. I herniated. Lumbar Hernia Reddit.
From lnpuk.com
Lumbar disc herniation London Neurosurgery Spine Lumbar Hernia Reddit A herniated disc occurs when the intervertebral disc's outer fibers (the annulus) are damaged and the soft inner material of the nucleus pulposus. Patients with lumbar hernias can present with a variety of symptoms, including a posterolateral mass, back pain, bowel obstruction (if contents. In these cases, doctors usually follow a pattern of treatment. Lumbar disc herniation is a very. Lumbar Hernia Reddit.
From www.deperu.com
Tipos y etapas de hernia discal lumbar, hernia discal, hernia nuclear Lumbar Hernia Reddit Calisthenics is all i have left lol. I've posted here before trying to talk about it but every time i have, the. I got diagnosed with 3 herniated discs in my lumbar spine and lumbar degenerative disc disease. A herniated disc occurs when the intervertebral disc's outer fibers (the annulus) are damaged and the soft inner material of the nucleus. Lumbar Hernia Reddit.
From www.wikidoc.org
Lumbar hernia wikidoc Lumbar Hernia Reddit I had to lie to my doctor to get an mri after seeing. I am only 32 but i’ve had back pain on and off for about three years and my new mri shows a herniated disc, and other disks that are bulging. You have a herniated lumbar disc, a real lulu. Lumbar disc herniation is a very common cause. Lumbar Hernia Reddit.
From cecoten.com
Hernia discal lumbar ¿Cuándo es motivo suficiente para operarse? Lumbar Hernia Reddit I herniated my disc in a cave problem years ago (l5s1) and it wasn’t properly diagnosed for years. I've posted here before trying to talk about it but every time i have, the. A herniated disc occurs when the intervertebral disc's outer fibers (the annulus) are damaged and the soft inner material of the nucleus pulposus. You have a herniated. Lumbar Hernia Reddit.
From www.findatopdoc.com
Everything You Need to Know About Disc Herniation Lumbar Hernia Reddit You have a herniated lumbar disc, a real lulu. Lumbar disc herniation is a very common cause of low back pain and unilateral leg pain, known as radiculopathy. I am only 32 but i’ve had back pain on and off for about three years and my new mri shows a herniated disc, and other disks that are bulging. In rare. Lumbar Hernia Reddit.
From www.dreamstime.com
Lumbar Intervertebral Spine Hernia, Man with Back Pain at Home, Spinal Lumbar Hernia Reddit I've posted here before trying to talk about it but every time i have, the. In rare cases a large disc herniation can lead to cauda equina syndrome. A herniated disc occurs when the intervertebral disc's outer fibers (the annulus) are damaged and the soft inner material of the nucleus pulposus. I had to lie to my doctor to get. Lumbar Hernia Reddit.
From www.reddit.com
Herniated Disc...what say you? r/Radiology Lumbar Hernia Reddit I herniated my disc in a cave problem years ago (l5s1) and it wasn’t properly diagnosed for years. In these cases, doctors usually follow a pattern of treatment. In rare cases a large disc herniation can lead to cauda equina syndrome. I got diagnosed with 3 herniated discs in my lumbar spine and lumbar degenerative disc disease. A herniated disc. Lumbar Hernia Reddit.
From orthopedicinstitutesf.com
Lumbar Disc Herniation Orthopedic Institute of Sioux Falls Lumbar Hernia Reddit You have a herniated lumbar disc, a real lulu. Patients with lumbar hernias can present with a variety of symptoms, including a posterolateral mass, back pain, bowel obstruction (if contents. Calisthenics is all i have left lol. In rare cases a large disc herniation can lead to cauda equina syndrome. I had to lie to my doctor to get an. Lumbar Hernia Reddit.
From elitesnschiropractic.com
5 Common Symptoms of Lumbar Disc Herniations Elite Sports and Spine Lumbar Hernia Reddit I got diagnosed with 3 herniated discs in my lumbar spine and lumbar degenerative disc disease. You have a herniated lumbar disc, a real lulu. In rare cases a large disc herniation can lead to cauda equina syndrome. Calisthenics is all i have left lol. I am only 32 but i’ve had back pain on and off for about three. Lumbar Hernia Reddit.
From www.dreamstime.com
Lumbar Hernia Model with Intervertebral Hernia on White Background Lumbar Hernia Reddit You have a herniated lumbar disc, a real lulu. Calisthenics is all i have left lol. I got diagnosed with 3 herniated discs in my lumbar spine and lumbar degenerative disc disease. I herniated my disc in a cave problem years ago (l5s1) and it wasn’t properly diagnosed for years. Lumbar disc herniation is a very common cause of low. Lumbar Hernia Reddit.
From vitalclinic.es
Hernias lumbares causas, síntomas y tratamientos eficaces Lumbar Hernia Reddit I am only 32 but i’ve had back pain on and off for about three years and my new mri shows a herniated disc, and other disks that are bulging. In rare cases a large disc herniation can lead to cauda equina syndrome. I've posted here before trying to talk about it but every time i have, the. I had. Lumbar Hernia Reddit.
From drpablosomoza.es
Hernia Discal Lumbar Diagnóstico y Cirugía Dr. Pablo Somoza Lumbar Hernia Reddit A herniated disc tends to heal gradually and usually progresses through stages, each with its own characteristics and challenges. I am only 32 but i’ve had back pain on and off for about three years and my new mri shows a herniated disc, and other disks that are bulging. In these cases, doctors usually follow a pattern of treatment. In. Lumbar Hernia Reddit.
From ambulatoria.ua
Causes of herniation of the lumbar spine Lumbar Hernia Reddit A herniated disc tends to heal gradually and usually progresses through stages, each with its own characteristics and challenges. Lumbar disc herniation is a very common cause of low back pain and unilateral leg pain, known as radiculopathy. A herniated disc occurs when the intervertebral disc's outer fibers (the annulus) are damaged and the soft inner material of the nucleus. Lumbar Hernia Reddit.
From www.biziondo.com
Hernia discal lumbar Síntomas, causas y tratamientos seguros. Lumbar Hernia Reddit I've posted here before trying to talk about it but every time i have, the. A herniated disc occurs when the intervertebral disc's outer fibers (the annulus) are damaged and the soft inner material of the nucleus pulposus. In rare cases a large disc herniation can lead to cauda equina syndrome. In these cases, doctors usually follow a pattern of. Lumbar Hernia Reddit.
From www.pristyncare.com
Lumbar Hernia Defination, Causes, Symptoms and Treatment Lumbar Hernia Reddit You have a herniated lumbar disc, a real lulu. I've posted here before trying to talk about it but every time i have, the. Patients with lumbar hernias can present with a variety of symptoms, including a posterolateral mass, back pain, bowel obstruction (if contents. A herniated disc tends to heal gradually and usually progresses through stages, each with its. Lumbar Hernia Reddit.
From ar.inspiredpencil.com
Lumbar Hernia Lumbar Hernia Reddit I herniated my disc in a cave problem years ago (l5s1) and it wasn’t properly diagnosed for years. Lumbar disc herniation is a very common cause of low back pain and unilateral leg pain, known as radiculopathy. A herniated disc occurs when the intervertebral disc's outer fibers (the annulus) are damaged and the soft inner material of the nucleus pulposus.. Lumbar Hernia Reddit.
From www.spinegroupbeverlyhills.com
Warning Signs You Have a Herniated Disc John Regan, MD Orthopedic Lumbar Hernia Reddit You have a herniated lumbar disc, a real lulu. I am only 32 but i’ve had back pain on and off for about three years and my new mri shows a herniated disc, and other disks that are bulging. A herniated disc occurs when the intervertebral disc's outer fibers (the annulus) are damaged and the soft inner material of the. Lumbar Hernia Reddit.
From www.neurocirugiabarcelona.com
Hernia Discal Lumbar Causas y tratamiento Neurocirugía Barcelona Lumbar Hernia Reddit Lumbar disc herniation is a very common cause of low back pain and unilateral leg pain, known as radiculopathy. A herniated disc tends to heal gradually and usually progresses through stages, each with its own characteristics and challenges. In rare cases a large disc herniation can lead to cauda equina syndrome. I am only 32 but i’ve had back pain. Lumbar Hernia Reddit.
From www.fisioterapia-online.com
Hernia discal lumbar Operación quirúrgica o cirugía Lumbar Hernia Reddit I herniated my disc in a cave problem years ago (l5s1) and it wasn’t properly diagnosed for years. In rare cases a large disc herniation can lead to cauda equina syndrome. A herniated disc occurs when the intervertebral disc's outer fibers (the annulus) are damaged and the soft inner material of the nucleus pulposus. Calisthenics is all i have left. Lumbar Hernia Reddit.
From www.raynersmale.com
Lumbar disc herniation with radiculopathy a case study — Rayner & Smale Lumbar Hernia Reddit Patients with lumbar hernias can present with a variety of symptoms, including a posterolateral mass, back pain, bowel obstruction (if contents. In rare cases a large disc herniation can lead to cauda equina syndrome. I am only 32 but i’ve had back pain on and off for about three years and my new mri shows a herniated disc, and other. Lumbar Hernia Reddit.
From msmassalud.com.mx
Hernia Lumbar — MS Más Salud Lumbar Hernia Reddit You have a herniated lumbar disc, a real lulu. Patients with lumbar hernias can present with a variety of symptoms, including a posterolateral mass, back pain, bowel obstruction (if contents. Calisthenics is all i have left lol. I got diagnosed with 3 herniated discs in my lumbar spine and lumbar degenerative disc disease. Lumbar disc herniation is a very common. Lumbar Hernia Reddit.