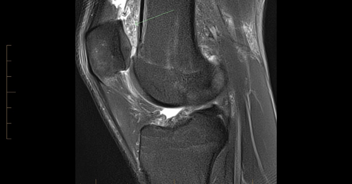
Knee Fat Pad Injury Symptoms . It is situated deep to the patella tendon below your knee cap area and will often swell. However, we should differentiate this condition from other causes like patellar tendonitis or patellofemoral arthritis. The fat pad is meant to slide and move as you bend and straighten your knee, but sometimes its movement gets restricted due to swelling or thickening or scar tissue, causing it to get pinched. ♦ overuse or repetitive stress: Activities that involve frequent bending or extending of the knee joint, such as. fat pad impingement is when your infrapatellar fat pad is pinched (impinged) between your kneecap and thigh bone or between your thigh bone and shin bone. the symptoms of hoffa’s fat pad impingement typically present with pain in the anterior (front) region of the knee. The pain is usually localised on either side of the kneecap, directly beneath it, or, occasionally, behind the patellar tendon. fat pad impingement of the knee, also called hoffa's syndrome, is a common cause of pain in the front of the knee. signs & symptoms. what are the common symptoms?
from casereports.bmj.com
It is situated deep to the patella tendon below your knee cap area and will often swell. However, we should differentiate this condition from other causes like patellar tendonitis or patellofemoral arthritis. The fat pad is meant to slide and move as you bend and straighten your knee, but sometimes its movement gets restricted due to swelling or thickening or scar tissue, causing it to get pinched. signs & symptoms. The pain is usually localised on either side of the kneecap, directly beneath it, or, occasionally, behind the patellar tendon. fat pad impingement is when your infrapatellar fat pad is pinched (impinged) between your kneecap and thigh bone or between your thigh bone and shin bone. ♦ overuse or repetitive stress: what are the common symptoms? fat pad impingement of the knee, also called hoffa's syndrome, is a common cause of pain in the front of the knee. Activities that involve frequent bending or extending of the knee joint, such as.
Quadriceps fatpad impingement syndrome MRI findings BMJ Case Reports
Knee Fat Pad Injury Symptoms The fat pad is meant to slide and move as you bend and straighten your knee, but sometimes its movement gets restricted due to swelling or thickening or scar tissue, causing it to get pinched. The fat pad is meant to slide and move as you bend and straighten your knee, but sometimes its movement gets restricted due to swelling or thickening or scar tissue, causing it to get pinched. ♦ overuse or repetitive stress: fat pad impingement of the knee, also called hoffa's syndrome, is a common cause of pain in the front of the knee. fat pad impingement is when your infrapatellar fat pad is pinched (impinged) between your kneecap and thigh bone or between your thigh bone and shin bone. However, we should differentiate this condition from other causes like patellar tendonitis or patellofemoral arthritis. signs & symptoms. The pain is usually localised on either side of the kneecap, directly beneath it, or, occasionally, behind the patellar tendon. It is situated deep to the patella tendon below your knee cap area and will often swell. Activities that involve frequent bending or extending of the knee joint, such as. the symptoms of hoffa’s fat pad impingement typically present with pain in the anterior (front) region of the knee. what are the common symptoms?
From www.cureus.com
Cureus Unusual Occurrence of Tenosynovial Giant Cell Tumor in Hoffa's Knee Fat Pad Injury Symptoms The fat pad is meant to slide and move as you bend and straighten your knee, but sometimes its movement gets restricted due to swelling or thickening or scar tissue, causing it to get pinched. the symptoms of hoffa’s fat pad impingement typically present with pain in the anterior (front) region of the knee. It is situated deep to. Knee Fat Pad Injury Symptoms.
From www.medicalnewstoday.com
Knee pain location chart Sites of different injuries Knee Fat Pad Injury Symptoms It is situated deep to the patella tendon below your knee cap area and will often swell. Activities that involve frequent bending or extending of the knee joint, such as. The fat pad is meant to slide and move as you bend and straighten your knee, but sometimes its movement gets restricted due to swelling or thickening or scar tissue,. Knee Fat Pad Injury Symptoms.
From www.ajronline.org
Suprapatellar FatPad Mass Effect MRI Findings and Correlation With Knee Fat Pad Injury Symptoms It is situated deep to the patella tendon below your knee cap area and will often swell. fat pad impingement of the knee, also called hoffa's syndrome, is a common cause of pain in the front of the knee. The pain is usually localised on either side of the kneecap, directly beneath it, or, occasionally, behind the patellar tendon.. Knee Fat Pad Injury Symptoms.
From kneecapsurgeonlondon.com
Hoffa’s fat pad impingement Knee Cap Surgeon London Expert Knee Clinic Knee Fat Pad Injury Symptoms Activities that involve frequent bending or extending of the knee joint, such as. the symptoms of hoffa’s fat pad impingement typically present with pain in the anterior (front) region of the knee. ♦ overuse or repetitive stress: what are the common symptoms? The fat pad is meant to slide and move as you bend and straighten your. Knee Fat Pad Injury Symptoms.
From www.researchgate.net
Anteroposterior knee Xray showing osseous lesion in infrapatellar fat Knee Fat Pad Injury Symptoms fat pad impingement is when your infrapatellar fat pad is pinched (impinged) between your kneecap and thigh bone or between your thigh bone and shin bone. ♦ overuse or repetitive stress: The pain is usually localised on either side of the kneecap, directly beneath it, or, occasionally, behind the patellar tendon. signs & symptoms. the symptoms. Knee Fat Pad Injury Symptoms.
From www.nagato.cc
How To Get Rid Of Knee Fat Pads Knee Fat Pad Injury Symptoms Activities that involve frequent bending or extending of the knee joint, such as. However, we should differentiate this condition from other causes like patellar tendonitis or patellofemoral arthritis. signs & symptoms. what are the common symptoms? the symptoms of hoffa’s fat pad impingement typically present with pain in the anterior (front) region of the knee. The fat. Knee Fat Pad Injury Symptoms.
From mavink.com
Knee Fat Pad Syndrome Knee Fat Pad Injury Symptoms ♦ overuse or repetitive stress: The pain is usually localised on either side of the kneecap, directly beneath it, or, occasionally, behind the patellar tendon. signs & symptoms. It is situated deep to the patella tendon below your knee cap area and will often swell. Activities that involve frequent bending or extending of the knee joint, such as.. Knee Fat Pad Injury Symptoms.
From www.youtube.com
Hoffa's Test Infrapatellar Fat Pad Syndrome YouTube Knee Fat Pad Injury Symptoms what are the common symptoms? fat pad impingement of the knee, also called hoffa's syndrome, is a common cause of pain in the front of the knee. The pain is usually localised on either side of the kneecap, directly beneath it, or, occasionally, behind the patellar tendon. ♦ overuse or repetitive stress: fat pad impingement is. Knee Fat Pad Injury Symptoms.
From www.pinterest.com
Pin on Sports Injuries Knee Fat Pad Injury Symptoms The pain is usually localised on either side of the kneecap, directly beneath it, or, occasionally, behind the patellar tendon. ♦ overuse or repetitive stress: signs & symptoms. It is situated deep to the patella tendon below your knee cap area and will often swell. the symptoms of hoffa’s fat pad impingement typically present with pain in. Knee Fat Pad Injury Symptoms.
From sportdoctorlondon.com
Diagnosing Fat Pad Impingement Symptoms and Treatment Sport Doctor Knee Fat Pad Injury Symptoms Activities that involve frequent bending or extending of the knee joint, such as. However, we should differentiate this condition from other causes like patellar tendonitis or patellofemoral arthritis. The pain is usually localised on either side of the kneecap, directly beneath it, or, occasionally, behind the patellar tendon. what are the common symptoms? It is situated deep to the. Knee Fat Pad Injury Symptoms.
From hawkesphysiotherapy.co.uk
Infrapatellar fat pad impingement also known as Hoffa's fat pad Knee Fat Pad Injury Symptoms signs & symptoms. It is situated deep to the patella tendon below your knee cap area and will often swell. The pain is usually localised on either side of the kneecap, directly beneath it, or, occasionally, behind the patellar tendon. The fat pad is meant to slide and move as you bend and straighten your knee, but sometimes its. Knee Fat Pad Injury Symptoms.
From fitnmeet.com
Knee Fat Pad Impingement & How to Reduce Inflammation FitnMeet Knee Fat Pad Injury Symptoms the symptoms of hoffa’s fat pad impingement typically present with pain in the anterior (front) region of the knee. ♦ overuse or repetitive stress: It is situated deep to the patella tendon below your knee cap area and will often swell. The fat pad is meant to slide and move as you bend and straighten your knee, but. Knee Fat Pad Injury Symptoms.
From dontforgetthebubbles.com
Knee Xrays Knee Fat Pad Injury Symptoms fat pad impingement of the knee, also called hoffa's syndrome, is a common cause of pain in the front of the knee. signs & symptoms. the symptoms of hoffa’s fat pad impingement typically present with pain in the anterior (front) region of the knee. It is situated deep to the patella tendon below your knee cap area. Knee Fat Pad Injury Symptoms.
From dxolyurbk.blob.core.windows.net
Pain In Middle Of Knee Below Kneecap at Charles Kraemer blog Knee Fat Pad Injury Symptoms signs & symptoms. However, we should differentiate this condition from other causes like patellar tendonitis or patellofemoral arthritis. It is situated deep to the patella tendon below your knee cap area and will often swell. the symptoms of hoffa’s fat pad impingement typically present with pain in the anterior (front) region of the knee. ♦ overuse or. Knee Fat Pad Injury Symptoms.
From radiologycases.blogspot.com
Radiology Cases Prefemoral Fat Pad Contusion from Direct Injury Knee Fat Pad Injury Symptoms fat pad impingement of the knee, also called hoffa's syndrome, is a common cause of pain in the front of the knee. what are the common symptoms? Activities that involve frequent bending or extending of the knee joint, such as. It is situated deep to the patella tendon below your knee cap area and will often swell. . Knee Fat Pad Injury Symptoms.
From www.youtube.com
Infrapatellar Fat Pad Syndrome Hoffa's Fat Pad YouTube Knee Fat Pad Injury Symptoms Activities that involve frequent bending or extending of the knee joint, such as. fat pad impingement of the knee, also called hoffa's syndrome, is a common cause of pain in the front of the knee. The fat pad is meant to slide and move as you bend and straighten your knee, but sometimes its movement gets restricted due to. Knee Fat Pad Injury Symptoms.
From casereports.bmj.com
Quadriceps fatpad impingement syndrome MRI findings BMJ Case Reports Knee Fat Pad Injury Symptoms Activities that involve frequent bending or extending of the knee joint, such as. The pain is usually localised on either side of the kneecap, directly beneath it, or, occasionally, behind the patellar tendon. fat pad impingement is when your infrapatellar fat pad is pinched (impinged) between your kneecap and thigh bone or between your thigh bone and shin bone.. Knee Fat Pad Injury Symptoms.
From cellaxys.com
Knee Fat Pad Impingement Potential Cause Of Knee Pain Cellaxys Knee Fat Pad Injury Symptoms fat pad impingement is when your infrapatellar fat pad is pinched (impinged) between your kneecap and thigh bone or between your thigh bone and shin bone. The pain is usually localised on either side of the kneecap, directly beneath it, or, occasionally, behind the patellar tendon. However, we should differentiate this condition from other causes like patellar tendonitis or. Knee Fat Pad Injury Symptoms.
From www.brisbanephysiotherapy.com
What Fat Pad Impingement in the Knee? Brisbane Physiotherapy Knee Fat Pad Injury Symptoms The pain is usually localised on either side of the kneecap, directly beneath it, or, occasionally, behind the patellar tendon. The fat pad is meant to slide and move as you bend and straighten your knee, but sometimes its movement gets restricted due to swelling or thickening or scar tissue, causing it to get pinched. the symptoms of hoffa’s. Knee Fat Pad Injury Symptoms.
From james-mccormack.com
Hoffa's Fat Pad Symptoms, Diagnosis and Treatment Knee Fat Pad Injury Symptoms The fat pad is meant to slide and move as you bend and straighten your knee, but sometimes its movement gets restricted due to swelling or thickening or scar tissue, causing it to get pinched. The pain is usually localised on either side of the kneecap, directly beneath it, or, occasionally, behind the patellar tendon. ♦ overuse or repetitive. Knee Fat Pad Injury Symptoms.
From james-mccormack.com
Hoffa's Fat Pad Symptoms, Diagnosis and Treatment Knee Fat Pad Injury Symptoms the symptoms of hoffa’s fat pad impingement typically present with pain in the anterior (front) region of the knee. It is situated deep to the patella tendon below your knee cap area and will often swell. The fat pad is meant to slide and move as you bend and straighten your knee, but sometimes its movement gets restricted due. Knee Fat Pad Injury Symptoms.
From www.head2toeosteopathy.com
Fat pad impingement of the knee Knee Fat Pad Injury Symptoms what are the common symptoms? fat pad impingement is when your infrapatellar fat pad is pinched (impinged) between your kneecap and thigh bone or between your thigh bone and shin bone. fat pad impingement of the knee, also called hoffa's syndrome, is a common cause of pain in the front of the knee. the symptoms of. Knee Fat Pad Injury Symptoms.
From www.sexizpix.com
Fat Pad Impingement Syndromes Of The Knee Radiology Reference Article Knee Fat Pad Injury Symptoms the symptoms of hoffa’s fat pad impingement typically present with pain in the anterior (front) region of the knee. It is situated deep to the patella tendon below your knee cap area and will often swell. fat pad impingement is when your infrapatellar fat pad is pinched (impinged) between your kneecap and thigh bone or between your thigh. Knee Fat Pad Injury Symptoms.
From www.youtube.com
ANTERIOR KNEE PAIN!? Use this TAPE! What to do if you have Hoffa's fat Knee Fat Pad Injury Symptoms It is situated deep to the patella tendon below your knee cap area and will often swell. However, we should differentiate this condition from other causes like patellar tendonitis or patellofemoral arthritis. what are the common symptoms? fat pad impingement is when your infrapatellar fat pad is pinched (impinged) between your kneecap and thigh bone or between your. Knee Fat Pad Injury Symptoms.
From www.verywellhealth.com
Knee Pain Causes, Diagnosis, and Treatment Knee Fat Pad Injury Symptoms The pain is usually localised on either side of the kneecap, directly beneath it, or, occasionally, behind the patellar tendon. fat pad impingement of the knee, also called hoffa's syndrome, is a common cause of pain in the front of the knee. ♦ overuse or repetitive stress: signs & symptoms. what are the common symptoms? However,. Knee Fat Pad Injury Symptoms.
From pivotalmotion.physio
Knee Fat Pad Impingement Pivotal Motion Physiotherapy Knee Fat Pad Injury Symptoms signs & symptoms. Activities that involve frequent bending or extending of the knee joint, such as. fat pad impingement is when your infrapatellar fat pad is pinched (impinged) between your kneecap and thigh bone or between your thigh bone and shin bone. fat pad impingement of the knee, also called hoffa's syndrome, is a common cause of. Knee Fat Pad Injury Symptoms.
From james-mccormack.com
Knee Pain Location Chart Learn the Pain Location of Knee Injuries Knee Fat Pad Injury Symptoms the symptoms of hoffa’s fat pad impingement typically present with pain in the anterior (front) region of the knee. However, we should differentiate this condition from other causes like patellar tendonitis or patellofemoral arthritis. ♦ overuse or repetitive stress: fat pad impingement of the knee, also called hoffa's syndrome, is a common cause of pain in the. Knee Fat Pad Injury Symptoms.
From mavink.com
Knee Fat Pad Anatomy Knee Fat Pad Injury Symptoms It is situated deep to the patella tendon below your knee cap area and will often swell. ♦ overuse or repetitive stress: signs & symptoms. fat pad impingement is when your infrapatellar fat pad is pinched (impinged) between your kneecap and thigh bone or between your thigh bone and shin bone. The fat pad is meant to. Knee Fat Pad Injury Symptoms.
From www.dublinsportsinjuryclinic.com
Knee Fat Pad (Hoffa's Syndrome) Dublin Sports Injury Clinic Knee Fat Pad Injury Symptoms fat pad impingement is when your infrapatellar fat pad is pinched (impinged) between your kneecap and thigh bone or between your thigh bone and shin bone. fat pad impingement of the knee, also called hoffa's syndrome, is a common cause of pain in the front of the knee. the symptoms of hoffa’s fat pad impingement typically present. Knee Fat Pad Injury Symptoms.
From sumerdoc.blogspot.com
Superolateral Hoffa’s Fat Pad Edema Patellofemoral Impingement Sumer Knee Fat Pad Injury Symptoms However, we should differentiate this condition from other causes like patellar tendonitis or patellofemoral arthritis. Activities that involve frequent bending or extending of the knee joint, such as. ♦ overuse or repetitive stress: fat pad impingement of the knee, also called hoffa's syndrome, is a common cause of pain in the front of the knee. The pain is. Knee Fat Pad Injury Symptoms.
From www.ajronline.org
Suprapatellar FatPad Mass Effect MRI Findings and Correlation With Knee Fat Pad Injury Symptoms fat pad impingement is when your infrapatellar fat pad is pinched (impinged) between your kneecap and thigh bone or between your thigh bone and shin bone. It is situated deep to the patella tendon below your knee cap area and will often swell. The pain is usually localised on either side of the kneecap, directly beneath it, or, occasionally,. Knee Fat Pad Injury Symptoms.
From www.youtube.com
Are you struggling from Anterior Knee Pain (Fat Pad Impingement) YouTube Knee Fat Pad Injury Symptoms fat pad impingement of the knee, also called hoffa's syndrome, is a common cause of pain in the front of the knee. what are the common symptoms? ♦ overuse or repetitive stress: The pain is usually localised on either side of the kneecap, directly beneath it, or, occasionally, behind the patellar tendon. It is situated deep to. Knee Fat Pad Injury Symptoms.
From www.physio.co.uk
Fat Pad Impingement Patella Conditions Knee Conditions Knee Fat Pad Injury Symptoms fat pad impingement is when your infrapatellar fat pad is pinched (impinged) between your kneecap and thigh bone or between your thigh bone and shin bone. Activities that involve frequent bending or extending of the knee joint, such as. ♦ overuse or repetitive stress: The fat pad is meant to slide and move as you bend and straighten. Knee Fat Pad Injury Symptoms.
From radedasia.com
KNEE MRI FAT PAD IMPINGEMENT WHERE TO LOOK & WHAT TO LOOK FOR Radedasia Knee Fat Pad Injury Symptoms It is situated deep to the patella tendon below your knee cap area and will often swell. fat pad impingement is when your infrapatellar fat pad is pinched (impinged) between your kneecap and thigh bone or between your thigh bone and shin bone. what are the common symptoms? Activities that involve frequent bending or extending of the knee. Knee Fat Pad Injury Symptoms.
From ultimate-radiology.blogspot.com
Ultimate Radiology Hoffa's Fat Pad Impingement Syndrome Knee Fat Pad Injury Symptoms Activities that involve frequent bending or extending of the knee joint, such as. what are the common symptoms? signs & symptoms. the symptoms of hoffa’s fat pad impingement typically present with pain in the anterior (front) region of the knee. fat pad impingement of the knee, also called hoffa's syndrome, is a common cause of pain. Knee Fat Pad Injury Symptoms.