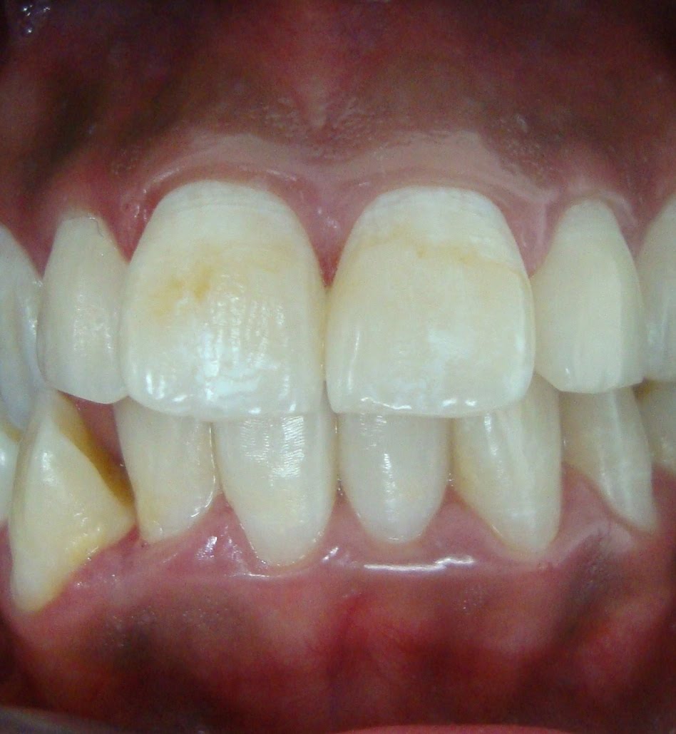
Microabrasion Dental Tecnica . Antes y después de tratamiento de microabrasión con opalustre. La microabrasión dental es una técnica que consiste en la eliminación superficial del esmalte defectuoso o pigmentado. Opalustre is unmatched in its ease of use and efficacy when used to remove superficial enamel stains that do not go away with regular tooth whitening procedures. Enamel microabrasion is a cosmetic dentistry treatment that involves removing a very thin layer of enamel from the. La microabrasión dental consiste en pulir ligeramente el esmalte de las piezas para eliminar parte del mismo. Con ello, en caso de existir una despigmentación en. Enamel microabrasion is indicated for the removal of superficial stains. Determine y registre el punto de partida del paciente.
from es.slideshare.net
La microabrasión dental consiste en pulir ligeramente el esmalte de las piezas para eliminar parte del mismo. Con ello, en caso de existir una despigmentación en. Determine y registre el punto de partida del paciente. La microabrasión dental es una técnica que consiste en la eliminación superficial del esmalte defectuoso o pigmentado. Enamel microabrasion is indicated for the removal of superficial stains. Opalustre is unmatched in its ease of use and efficacy when used to remove superficial enamel stains that do not go away with regular tooth whitening procedures. Enamel microabrasion is a cosmetic dentistry treatment that involves removing a very thin layer of enamel from the. Antes y después de tratamiento de microabrasión con opalustre.
Blanqueamiento y microabrasion dental
Microabrasion Dental Tecnica Con ello, en caso de existir una despigmentación en. Determine y registre el punto de partida del paciente. La microabrasión dental consiste en pulir ligeramente el esmalte de las piezas para eliminar parte del mismo. Enamel microabrasion is indicated for the removal of superficial stains. Opalustre is unmatched in its ease of use and efficacy when used to remove superficial enamel stains that do not go away with regular tooth whitening procedures. Antes y después de tratamiento de microabrasión con opalustre. Con ello, en caso de existir una despigmentación en. La microabrasión dental es una técnica que consiste en la eliminación superficial del esmalte defectuoso o pigmentado. Enamel microabrasion is a cosmetic dentistry treatment that involves removing a very thin layer of enamel from the.
From es.slideshare.net
Blanqueamiento y microabrasion dental Microabrasion Dental Tecnica La microabrasión dental consiste en pulir ligeramente el esmalte de las piezas para eliminar parte del mismo. Antes y después de tratamiento de microabrasión con opalustre. Enamel microabrasion is a cosmetic dentistry treatment that involves removing a very thin layer of enamel from the. Determine y registre el punto de partida del paciente. Opalustre is unmatched in its ease of. Microabrasion Dental Tecnica.
From www.dentalatkeys.com.au
Before/After Enamel Microabrasion Dental at Keys Microabrasion Dental Tecnica Opalustre is unmatched in its ease of use and efficacy when used to remove superficial enamel stains that do not go away with regular tooth whitening procedures. Antes y después de tratamiento de microabrasión con opalustre. La microabrasión dental consiste en pulir ligeramente el esmalte de las piezas para eliminar parte del mismo. Enamel microabrasion is a cosmetic dentistry treatment. Microabrasion Dental Tecnica.
From victorchacon.blogspot.com
Odontología al Día MICROABRASIÓN DEL ESMALTE Microabrasion Dental Tecnica La microabrasión dental es una técnica que consiste en la eliminación superficial del esmalte defectuoso o pigmentado. Enamel microabrasion is indicated for the removal of superficial stains. Opalustre is unmatched in its ease of use and efficacy when used to remove superficial enamel stains that do not go away with regular tooth whitening procedures. Con ello, en caso de existir. Microabrasion Dental Tecnica.
From en.ultradent.blog
Enamel Microabrasion StepbyStep Technique Microabrasion Dental Tecnica Enamel microabrasion is indicated for the removal of superficial stains. La microabrasión dental consiste en pulir ligeramente el esmalte de las piezas para eliminar parte del mismo. Opalustre is unmatched in its ease of use and efficacy when used to remove superficial enamel stains that do not go away with regular tooth whitening procedures. Enamel microabrasion is a cosmetic dentistry. Microabrasion Dental Tecnica.
From www.slideshare.net
8 micro, macroabrasión,sellantes p y t compa Microabrasion Dental Tecnica Antes y después de tratamiento de microabrasión con opalustre. Determine y registre el punto de partida del paciente. Enamel microabrasion is indicated for the removal of superficial stains. Con ello, en caso de existir una despigmentación en. La microabrasión dental consiste en pulir ligeramente el esmalte de las piezas para eliminar parte del mismo. Enamel microabrasion is a cosmetic dentistry. Microabrasion Dental Tecnica.
From tiiz.es
Microabrasión dental para una sonrisa reluciente Clínica dental Tiiz Microabrasion Dental Tecnica Antes y después de tratamiento de microabrasión con opalustre. Enamel microabrasion is indicated for the removal of superficial stains. Enamel microabrasion is a cosmetic dentistry treatment that involves removing a very thin layer of enamel from the. Con ello, en caso de existir una despigmentación en. Opalustre is unmatched in its ease of use and efficacy when used to remove. Microabrasion Dental Tecnica.
From www.dentalclinic-knet.com
Tecnica de Microabrasion ( Fluorosis ) Dental Clinic Microabrasion Dental Tecnica Opalustre is unmatched in its ease of use and efficacy when used to remove superficial enamel stains that do not go away with regular tooth whitening procedures. La microabrasión dental consiste en pulir ligeramente el esmalte de las piezas para eliminar parte del mismo. La microabrasión dental es una técnica que consiste en la eliminación superficial del esmalte defectuoso o. Microabrasion Dental Tecnica.
From www.dentalclinique.us
Dental Microabrasion Dental Clinique Microabrasion Dental Tecnica La microabrasión dental es una técnica que consiste en la eliminación superficial del esmalte defectuoso o pigmentado. Determine y registre el punto de partida del paciente. Antes y después de tratamiento de microabrasión con opalustre. Enamel microabrasion is indicated for the removal of superficial stains. Con ello, en caso de existir una despigmentación en. Opalustre is unmatched in its ease. Microabrasion Dental Tecnica.
From es.slideshare.net
Blanqueamiento y microabrasion dental Microabrasion Dental Tecnica La microabrasión dental consiste en pulir ligeramente el esmalte de las piezas para eliminar parte del mismo. Enamel microabrasion is a cosmetic dentistry treatment that involves removing a very thin layer of enamel from the. Con ello, en caso de existir una despigmentación en. La microabrasión dental es una técnica que consiste en la eliminación superficial del esmalte defectuoso o. Microabrasion Dental Tecnica.
From es.slideshare.net
Blanqueamiento y microabrasion dental Microabrasion Dental Tecnica Enamel microabrasion is a cosmetic dentistry treatment that involves removing a very thin layer of enamel from the. Opalustre is unmatched in its ease of use and efficacy when used to remove superficial enamel stains that do not go away with regular tooth whitening procedures. La microabrasión dental es una técnica que consiste en la eliminación superficial del esmalte defectuoso. Microabrasion Dental Tecnica.
From www.alfadent.com.pe
Microabrasión dental Centro Odontológico Alfadent Microabrasion Dental Tecnica Enamel microabrasion is a cosmetic dentistry treatment that involves removing a very thin layer of enamel from the. Antes y después de tratamiento de microabrasión con opalustre. Enamel microabrasion is indicated for the removal of superficial stains. Determine y registre el punto de partida del paciente. La microabrasión dental es una técnica que consiste en la eliminación superficial del esmalte. Microabrasion Dental Tecnica.
From www.youtube.com
Microabrasión y remineralización dental con la Dra. Rocío Lazo YouTube Microabrasion Dental Tecnica Enamel microabrasion is indicated for the removal of superficial stains. Determine y registre el punto de partida del paciente. Enamel microabrasion is a cosmetic dentistry treatment that involves removing a very thin layer of enamel from the. Opalustre is unmatched in its ease of use and efficacy when used to remove superficial enamel stains that do not go away with. Microabrasion Dental Tecnica.
From victorchacon.blogspot.com
Odontología al Día MICROABRASIÓN DEL ESMALTE Microabrasion Dental Tecnica La microabrasión dental consiste en pulir ligeramente el esmalte de las piezas para eliminar parte del mismo. Opalustre is unmatched in its ease of use and efficacy when used to remove superficial enamel stains that do not go away with regular tooth whitening procedures. Enamel microabrasion is a cosmetic dentistry treatment that involves removing a very thin layer of enamel. Microabrasion Dental Tecnica.
From es.slideshare.net
Blanqueamiento y microabrasion dental Microabrasion Dental Tecnica La microabrasión dental consiste en pulir ligeramente el esmalte de las piezas para eliminar parte del mismo. Enamel microabrasion is indicated for the removal of superficial stains. Antes y después de tratamiento de microabrasión con opalustre. Enamel microabrasion is a cosmetic dentistry treatment that involves removing a very thin layer of enamel from the. La microabrasión dental es una técnica. Microabrasion Dental Tecnica.
From dentagama.com
Enamel Microabrasion News Dentagama Microabrasion Dental Tecnica Antes y después de tratamiento de microabrasión con opalustre. Enamel microabrasion is a cosmetic dentistry treatment that involves removing a very thin layer of enamel from the. La microabrasión dental consiste en pulir ligeramente el esmalte de las piezas para eliminar parte del mismo. La microabrasión dental es una técnica que consiste en la eliminación superficial del esmalte defectuoso o. Microabrasion Dental Tecnica.
From es.slideshare.net
Blanqueamiento y microabrasion dental Microabrasion Dental Tecnica Determine y registre el punto de partida del paciente. La microabrasión dental es una técnica que consiste en la eliminación superficial del esmalte defectuoso o pigmentado. Enamel microabrasion is indicated for the removal of superficial stains. Antes y después de tratamiento de microabrasión con opalustre. Con ello, en caso de existir una despigmentación en. La microabrasión dental consiste en pulir. Microabrasion Dental Tecnica.
From es.slideshare.net
Blanqueamiento y microabrasion dental Microabrasion Dental Tecnica Determine y registre el punto de partida del paciente. La microabrasión dental consiste en pulir ligeramente el esmalte de las piezas para eliminar parte del mismo. Enamel microabrasion is a cosmetic dentistry treatment that involves removing a very thin layer of enamel from the. Enamel microabrasion is indicated for the removal of superficial stains. Con ello, en caso de existir. Microabrasion Dental Tecnica.
From www.odontologiavirtual.com
CASO CLÍNICO Tratamiento mínimamente invasivo en un paciente Microabrasion Dental Tecnica Enamel microabrasion is indicated for the removal of superficial stains. Determine y registre el punto de partida del paciente. Con ello, en caso de existir una despigmentación en. Enamel microabrasion is a cosmetic dentistry treatment that involves removing a very thin layer of enamel from the. Opalustre is unmatched in its ease of use and efficacy when used to remove. Microabrasion Dental Tecnica.
From www.clinicaferrusbratos.com
Microabrasión dental ¿para qué sirve? Ferrus&Bratos Microabrasion Dental Tecnica Antes y después de tratamiento de microabrasión con opalustre. Determine y registre el punto de partida del paciente. Enamel microabrasion is indicated for the removal of superficial stains. La microabrasión dental consiste en pulir ligeramente el esmalte de las piezas para eliminar parte del mismo. Enamel microabrasion is a cosmetic dentistry treatment that involves removing a very thin layer of. Microabrasion Dental Tecnica.
From uniondentalsurgery.com
Microabrasion Case 1 Union Dental Surgery Microabrasion Dental Tecnica La microabrasión dental es una técnica que consiste en la eliminación superficial del esmalte defectuoso o pigmentado. Enamel microabrasion is a cosmetic dentistry treatment that involves removing a very thin layer of enamel from the. Determine y registre el punto de partida del paciente. Enamel microabrasion is indicated for the removal of superficial stains. Antes y después de tratamiento de. Microabrasion Dental Tecnica.
From la.ultradent.blog
Microabrasión de Esmalte Técnica Paso a Paso Microabrasion Dental Tecnica Enamel microabrasion is a cosmetic dentistry treatment that involves removing a very thin layer of enamel from the. Enamel microabrasion is indicated for the removal of superficial stains. La microabrasión dental es una técnica que consiste en la eliminación superficial del esmalte defectuoso o pigmentado. La microabrasión dental consiste en pulir ligeramente el esmalte de las piezas para eliminar parte. Microabrasion Dental Tecnica.
From en.ultradent.blog
Enamel Microabrasion StepbyStep Technique Microabrasion Dental Tecnica Opalustre is unmatched in its ease of use and efficacy when used to remove superficial enamel stains that do not go away with regular tooth whitening procedures. Determine y registre el punto de partida del paciente. Enamel microabrasion is indicated for the removal of superficial stains. La microabrasión dental es una técnica que consiste en la eliminación superficial del esmalte. Microabrasion Dental Tecnica.
From dentalclin.com.mx
Microabrasión Dental DentalClin Microabrasion Dental Tecnica Opalustre is unmatched in its ease of use and efficacy when used to remove superficial enamel stains that do not go away with regular tooth whitening procedures. Determine y registre el punto de partida del paciente. Enamel microabrasion is a cosmetic dentistry treatment that involves removing a very thin layer of enamel from the. Antes y después de tratamiento de. Microabrasion Dental Tecnica.
From www.clinicamoyua.com
Microabrasión dental qué es y cuándo está indicada Microabrasion Dental Tecnica Determine y registre el punto de partida del paciente. Antes y después de tratamiento de microabrasión con opalustre. Opalustre is unmatched in its ease of use and efficacy when used to remove superficial enamel stains that do not go away with regular tooth whitening procedures. La microabrasión dental es una técnica que consiste en la eliminación superficial del esmalte defectuoso. Microabrasion Dental Tecnica.
From dentagama.com
Enamel Microabrasion News Dentagama Microabrasion Dental Tecnica La microabrasión dental consiste en pulir ligeramente el esmalte de las piezas para eliminar parte del mismo. La microabrasión dental es una técnica que consiste en la eliminación superficial del esmalte defectuoso o pigmentado. Determine y registre el punto de partida del paciente. Opalustre is unmatched in its ease of use and efficacy when used to remove superficial enamel stains. Microabrasion Dental Tecnica.
From es.slideshare.net
Blanqueamiento y microabrasion dental Microabrasion Dental Tecnica La microabrasión dental es una técnica que consiste en la eliminación superficial del esmalte defectuoso o pigmentado. Opalustre is unmatched in its ease of use and efficacy when used to remove superficial enamel stains that do not go away with regular tooth whitening procedures. Antes y después de tratamiento de microabrasión con opalustre. Determine y registre el punto de partida. Microabrasion Dental Tecnica.
From la.ultradent.blog
La Microabrasión en Odontología Estética Microabrasion Dental Tecnica Determine y registre el punto de partida del paciente. La microabrasión dental consiste en pulir ligeramente el esmalte de las piezas para eliminar parte del mismo. Opalustre is unmatched in its ease of use and efficacy when used to remove superficial enamel stains that do not go away with regular tooth whitening procedures. Enamel microabrasion is a cosmetic dentistry treatment. Microabrasion Dental Tecnica.
From www.clinicadentalcarolinalopez.com
Microabrasión dental consigue una sonrisa más bonita de forma sencilla Microabrasion Dental Tecnica Opalustre is unmatched in its ease of use and efficacy when used to remove superficial enamel stains that do not go away with regular tooth whitening procedures. La microabrasión dental consiste en pulir ligeramente el esmalte de las piezas para eliminar parte del mismo. Determine y registre el punto de partida del paciente. La microabrasión dental es una técnica que. Microabrasion Dental Tecnica.
From dentalclin.com.mx
Microabrasión Dental DentalClin Microabrasion Dental Tecnica La microabrasión dental es una técnica que consiste en la eliminación superficial del esmalte defectuoso o pigmentado. Opalustre is unmatched in its ease of use and efficacy when used to remove superficial enamel stains that do not go away with regular tooth whitening procedures. Enamel microabrasion is indicated for the removal of superficial stains. La microabrasión dental consiste en pulir. Microabrasion Dental Tecnica.
From dentagama.com
Enamel Microabrasion News Dentagama Microabrasion Dental Tecnica Enamel microabrasion is a cosmetic dentistry treatment that involves removing a very thin layer of enamel from the. Antes y después de tratamiento de microabrasión con opalustre. La microabrasión dental consiste en pulir ligeramente el esmalte de las piezas para eliminar parte del mismo. Opalustre is unmatched in its ease of use and efficacy when used to remove superficial enamel. Microabrasion Dental Tecnica.
From dentagama.com
Enamel Microabrasion News Dentagama Microabrasion Dental Tecnica Enamel microabrasion is a cosmetic dentistry treatment that involves removing a very thin layer of enamel from the. Antes y después de tratamiento de microabrasión con opalustre. Con ello, en caso de existir una despigmentación en. La microabrasión dental consiste en pulir ligeramente el esmalte de las piezas para eliminar parte del mismo. La microabrasión dental es una técnica que. Microabrasion Dental Tecnica.
From tiiz.es
Microabrasión dental para una sonrisa reluciente Clínica dental Tiiz Microabrasion Dental Tecnica La microabrasión dental consiste en pulir ligeramente el esmalte de las piezas para eliminar parte del mismo. La microabrasión dental es una técnica que consiste en la eliminación superficial del esmalte defectuoso o pigmentado. Enamel microabrasion is a cosmetic dentistry treatment that involves removing a very thin layer of enamel from the. Antes y después de tratamiento de microabrasión con. Microabrasion Dental Tecnica.
From es.slideshare.net
Blanqueamiento y microabrasion dental Microabrasion Dental Tecnica Opalustre is unmatched in its ease of use and efficacy when used to remove superficial enamel stains that do not go away with regular tooth whitening procedures. La microabrasión dental es una técnica que consiste en la eliminación superficial del esmalte defectuoso o pigmentado. Antes y después de tratamiento de microabrasión con opalustre. Con ello, en caso de existir una. Microabrasion Dental Tecnica.
From www.dentalclinic-knet.com
Microabrasion dental (evaluación procesual ) Dental Clinic Microabrasion Dental Tecnica Opalustre is unmatched in its ease of use and efficacy when used to remove superficial enamel stains that do not go away with regular tooth whitening procedures. Enamel microabrasion is a cosmetic dentistry treatment that involves removing a very thin layer of enamel from the. La microabrasión dental es una técnica que consiste en la eliminación superficial del esmalte defectuoso. Microabrasion Dental Tecnica.
From es.slideshare.net
Blanqueamiento y microabrasion dental Microabrasion Dental Tecnica Opalustre is unmatched in its ease of use and efficacy when used to remove superficial enamel stains that do not go away with regular tooth whitening procedures. Enamel microabrasion is a cosmetic dentistry treatment that involves removing a very thin layer of enamel from the. La microabrasión dental es una técnica que consiste en la eliminación superficial del esmalte defectuoso. Microabrasion Dental Tecnica.