Tooth Wear Eating Disorders . oral health professionals, including dentists and dental hygienists, are well positioned to observe signs of eating disordered. erosive tooth wear is the most obvious oral manifestation of the purgative types of eating disorders. identifying early signs of erosion, abrasion or attrition and determining the risk factors contributing to a patient's. this paper reviews the nature of the most common and serious medical conditions related to etw, such as gastro. dental practices uphold client confidentiality and are “safe” to fully disclose eating disorders struggles and progress with. results related to chemical tw (erosion) risk factors underline the importance of eating disorders, gastroesophageal reflux and.
from www.bryandunlapdds.com
this paper reviews the nature of the most common and serious medical conditions related to etw, such as gastro. results related to chemical tw (erosion) risk factors underline the importance of eating disorders, gastroesophageal reflux and. oral health professionals, including dentists and dental hygienists, are well positioned to observe signs of eating disordered. dental practices uphold client confidentiality and are “safe” to fully disclose eating disorders struggles and progress with. erosive tooth wear is the most obvious oral manifestation of the purgative types of eating disorders. identifying early signs of erosion, abrasion or attrition and determining the risk factors contributing to a patient's.
HOW EATING DISORDERS DAMAGE YOUR MOUTH Dunlap Dental Group in Little
Tooth Wear Eating Disorders oral health professionals, including dentists and dental hygienists, are well positioned to observe signs of eating disordered. oral health professionals, including dentists and dental hygienists, are well positioned to observe signs of eating disordered. this paper reviews the nature of the most common and serious medical conditions related to etw, such as gastro. erosive tooth wear is the most obvious oral manifestation of the purgative types of eating disorders. identifying early signs of erosion, abrasion or attrition and determining the risk factors contributing to a patient's. results related to chemical tw (erosion) risk factors underline the importance of eating disorders, gastroesophageal reflux and. dental practices uphold client confidentiality and are “safe” to fully disclose eating disorders struggles and progress with.
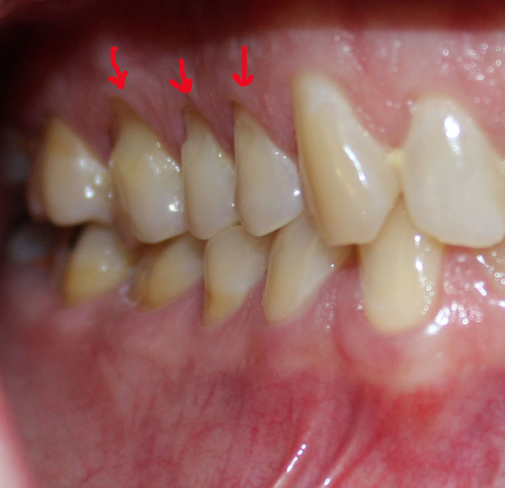
From www.mdpi.com
Nutrients Free FullText Tooth Wear Is Frequent in Adult Patients Tooth Wear Eating Disorders oral health professionals, including dentists and dental hygienists, are well positioned to observe signs of eating disordered. dental practices uphold client confidentiality and are “safe” to fully disclose eating disorders struggles and progress with. identifying early signs of erosion, abrasion or attrition and determining the risk factors contributing to a patient's. results related to chemical tw. Tooth Wear Eating Disorders.
From www.lakebaldwindental.com
Can Acid Reflux Damage Your Teeth? Lake Baldwin Dental Tooth Wear Eating Disorders oral health professionals, including dentists and dental hygienists, are well positioned to observe signs of eating disordered. identifying early signs of erosion, abrasion or attrition and determining the risk factors contributing to a patient's. dental practices uphold client confidentiality and are “safe” to fully disclose eating disorders struggles and progress with. erosive tooth wear is the. Tooth Wear Eating Disorders.
From www.shutterstock.com
Tooth Wear Tch Stress Temporomandibular Disorderstranslationnormal Tooth Wear Eating Disorders dental practices uphold client confidentiality and are “safe” to fully disclose eating disorders struggles and progress with. oral health professionals, including dentists and dental hygienists, are well positioned to observe signs of eating disordered. erosive tooth wear is the most obvious oral manifestation of the purgative types of eating disorders. results related to chemical tw (erosion). Tooth Wear Eating Disorders.
From www.advanceddentalnyc.com
How Eating Disorders Affect Teeth Advanced Family Dental Tooth Wear Eating Disorders erosive tooth wear is the most obvious oral manifestation of the purgative types of eating disorders. this paper reviews the nature of the most common and serious medical conditions related to etw, such as gastro. oral health professionals, including dentists and dental hygienists, are well positioned to observe signs of eating disordered. identifying early signs of. Tooth Wear Eating Disorders.
From www.slavelakedental.ca
Effects of Eating Disorders on Your Teeth Tooth Wear Eating Disorders erosive tooth wear is the most obvious oral manifestation of the purgative types of eating disorders. dental practices uphold client confidentiality and are “safe” to fully disclose eating disorders struggles and progress with. results related to chemical tw (erosion) risk factors underline the importance of eating disorders, gastroesophageal reflux and. identifying early signs of erosion, abrasion. Tooth Wear Eating Disorders.
From www.dental-nursing.co.uk
Patients with eating disorders the role of the dental nurse Tooth Wear Eating Disorders results related to chemical tw (erosion) risk factors underline the importance of eating disorders, gastroesophageal reflux and. oral health professionals, including dentists and dental hygienists, are well positioned to observe signs of eating disordered. this paper reviews the nature of the most common and serious medical conditions related to etw, such as gastro. identifying early signs. Tooth Wear Eating Disorders.
From www.dreamstime.com
Tooth Disorders Set, Flat Vector Illustration. Healthy and Unhealthy Tooth Wear Eating Disorders dental practices uphold client confidentiality and are “safe” to fully disclose eating disorders struggles and progress with. identifying early signs of erosion, abrasion or attrition and determining the risk factors contributing to a patient's. results related to chemical tw (erosion) risk factors underline the importance of eating disorders, gastroesophageal reflux and. erosive tooth wear is the. Tooth Wear Eating Disorders.
From www.odontologiavirtual.com
DENTAL NEWS Dental problems could be a sign of an eating disorder Tooth Wear Eating Disorders erosive tooth wear is the most obvious oral manifestation of the purgative types of eating disorders. dental practices uphold client confidentiality and are “safe” to fully disclose eating disorders struggles and progress with. oral health professionals, including dentists and dental hygienists, are well positioned to observe signs of eating disordered. results related to chemical tw (erosion). Tooth Wear Eating Disorders.
From www.researchgate.net
(PDF) Tooth wear among patients suffering from mental disorders Tooth Wear Eating Disorders dental practices uphold client confidentiality and are “safe” to fully disclose eating disorders struggles and progress with. oral health professionals, including dentists and dental hygienists, are well positioned to observe signs of eating disordered. erosive tooth wear is the most obvious oral manifestation of the purgative types of eating disorders. results related to chemical tw (erosion). Tooth Wear Eating Disorders.
From dentalcarecarnegie.com.au
Tooth wear What does that even mean? by Dr Leonora Langstaff Tooth Wear Eating Disorders this paper reviews the nature of the most common and serious medical conditions related to etw, such as gastro. erosive tooth wear is the most obvious oral manifestation of the purgative types of eating disorders. identifying early signs of erosion, abrasion or attrition and determining the risk factors contributing to a patient's. dental practices uphold client. Tooth Wear Eating Disorders.
From northlandprosthodontics.co.nz
Tooth Grinding and Joint Disorders Northland Prosthodontics Tooth Wear Eating Disorders this paper reviews the nature of the most common and serious medical conditions related to etw, such as gastro. results related to chemical tw (erosion) risk factors underline the importance of eating disorders, gastroesophageal reflux and. erosive tooth wear is the most obvious oral manifestation of the purgative types of eating disorders. identifying early signs of. Tooth Wear Eating Disorders.
From www.pinterest.com
Some disorders, including celiac disease can affect teeth health. In Tooth Wear Eating Disorders oral health professionals, including dentists and dental hygienists, are well positioned to observe signs of eating disordered. this paper reviews the nature of the most common and serious medical conditions related to etw, such as gastro. results related to chemical tw (erosion) risk factors underline the importance of eating disorders, gastroesophageal reflux and. erosive tooth wear. Tooth Wear Eating Disorders.
From www.pinterest.com.au
Disorders of Teeth and Jaw anatomy poster illustrates periodontal Tooth Wear Eating Disorders dental practices uphold client confidentiality and are “safe” to fully disclose eating disorders struggles and progress with. oral health professionals, including dentists and dental hygienists, are well positioned to observe signs of eating disordered. results related to chemical tw (erosion) risk factors underline the importance of eating disorders, gastroesophageal reflux and. erosive tooth wear is the. Tooth Wear Eating Disorders.
From www.charlottedentalcare.com
Porter Dental Group Is Stress Wearing You Down? Your Teeth May Be Ta... Tooth Wear Eating Disorders erosive tooth wear is the most obvious oral manifestation of the purgative types of eating disorders. this paper reviews the nature of the most common and serious medical conditions related to etw, such as gastro. identifying early signs of erosion, abrasion or attrition and determining the risk factors contributing to a patient's. oral health professionals, including. Tooth Wear Eating Disorders.
From ddschoology.com
TOOTH WEAR with minimally invasive protocols Didier DIETSCHI Tooth Wear Eating Disorders oral health professionals, including dentists and dental hygienists, are well positioned to observe signs of eating disordered. this paper reviews the nature of the most common and serious medical conditions related to etw, such as gastro. erosive tooth wear is the most obvious oral manifestation of the purgative types of eating disorders. dental practices uphold client. Tooth Wear Eating Disorders.
From dentistry.co.uk
Prosthodontips diagnosing and treating toothwear Dentistry Online Tooth Wear Eating Disorders identifying early signs of erosion, abrasion or attrition and determining the risk factors contributing to a patient's. oral health professionals, including dentists and dental hygienists, are well positioned to observe signs of eating disordered. results related to chemical tw (erosion) risk factors underline the importance of eating disorders, gastroesophageal reflux and. erosive tooth wear is the. Tooth Wear Eating Disorders.
From bondidental.com.au
How Eating Disorders Affect Your Oral Health Bondi Dental Tooth Wear Eating Disorders erosive tooth wear is the most obvious oral manifestation of the purgative types of eating disorders. oral health professionals, including dentists and dental hygienists, are well positioned to observe signs of eating disordered. dental practices uphold client confidentiality and are “safe” to fully disclose eating disorders struggles and progress with. this paper reviews the nature of. Tooth Wear Eating Disorders.
From laneendsdental.co.uk
Tooth Wear Treatment Dental Bonding Lancashire Cosmetic Dentists Tooth Wear Eating Disorders identifying early signs of erosion, abrasion or attrition and determining the risk factors contributing to a patient's. this paper reviews the nature of the most common and serious medical conditions related to etw, such as gastro. erosive tooth wear is the most obvious oral manifestation of the purgative types of eating disorders. results related to chemical. Tooth Wear Eating Disorders.
From www.researchgate.net
(PDF) Relationships between tooth wear, bruxism and temporomandibular Tooth Wear Eating Disorders results related to chemical tw (erosion) risk factors underline the importance of eating disorders, gastroesophageal reflux and. identifying early signs of erosion, abrasion or attrition and determining the risk factors contributing to a patient's. dental practices uphold client confidentiality and are “safe” to fully disclose eating disorders struggles and progress with. erosive tooth wear is the. Tooth Wear Eating Disorders.
From eatingdisorders.com
Eating Disorders Result In Serious Dental Problems Tooth Wear Eating Disorders this paper reviews the nature of the most common and serious medical conditions related to etw, such as gastro. dental practices uphold client confidentiality and are “safe” to fully disclose eating disorders struggles and progress with. identifying early signs of erosion, abrasion or attrition and determining the risk factors contributing to a patient's. oral health professionals,. Tooth Wear Eating Disorders.
From www.newhopeorthodontics.com
Tooth Wear Mary E. Burns D.M.D. New Hope Pennsylvania Tooth Wear Eating Disorders oral health professionals, including dentists and dental hygienists, are well positioned to observe signs of eating disordered. results related to chemical tw (erosion) risk factors underline the importance of eating disorders, gastroesophageal reflux and. dental practices uphold client confidentiality and are “safe” to fully disclose eating disorders struggles and progress with. identifying early signs of erosion,. Tooth Wear Eating Disorders.
From www.kidsdentalonline.com
Eating Disorders Can Affect Kid's Teeth In Negative Ways Tooth Wear Eating Disorders oral health professionals, including dentists and dental hygienists, are well positioned to observe signs of eating disordered. identifying early signs of erosion, abrasion or attrition and determining the risk factors contributing to a patient's. dental practices uphold client confidentiality and are “safe” to fully disclose eating disorders struggles and progress with. results related to chemical tw. Tooth Wear Eating Disorders.
From www.happiesthealth.com
What is tooth wear and how to manage it Happiest Health Tooth Wear Eating Disorders identifying early signs of erosion, abrasion or attrition and determining the risk factors contributing to a patient's. results related to chemical tw (erosion) risk factors underline the importance of eating disorders, gastroesophageal reflux and. dental practices uphold client confidentiality and are “safe” to fully disclose eating disorders struggles and progress with. this paper reviews the nature. Tooth Wear Eating Disorders.
From northlandprosthodontics.co.nz
Tooth Grinding and Joint Disorders Northland Prosthodontics Tooth Wear Eating Disorders this paper reviews the nature of the most common and serious medical conditions related to etw, such as gastro. dental practices uphold client confidentiality and are “safe” to fully disclose eating disorders struggles and progress with. results related to chemical tw (erosion) risk factors underline the importance of eating disorders, gastroesophageal reflux and. identifying early signs. Tooth Wear Eating Disorders.
From www.dentaly.org
Bulimia Teeth Eating Disorders and How They Cause Tooth Decay Tooth Wear Eating Disorders dental practices uphold client confidentiality and are “safe” to fully disclose eating disorders struggles and progress with. identifying early signs of erosion, abrasion or attrition and determining the risk factors contributing to a patient's. oral health professionals, including dentists and dental hygienists, are well positioned to observe signs of eating disordered. this paper reviews the nature. Tooth Wear Eating Disorders.
From overlandparkcosmeticdentist.com
dental health complications of eating disorders Archives Overland Tooth Wear Eating Disorders identifying early signs of erosion, abrasion or attrition and determining the risk factors contributing to a patient's. erosive tooth wear is the most obvious oral manifestation of the purgative types of eating disorders. dental practices uphold client confidentiality and are “safe” to fully disclose eating disorders struggles and progress with. this paper reviews the nature of. Tooth Wear Eating Disorders.
From dentagama.com
What can Bulimia Nervosa do to your teeth? News Dentagama Tooth Wear Eating Disorders erosive tooth wear is the most obvious oral manifestation of the purgative types of eating disorders. dental practices uphold client confidentiality and are “safe” to fully disclose eating disorders struggles and progress with. identifying early signs of erosion, abrasion or attrition and determining the risk factors contributing to a patient's. this paper reviews the nature of. Tooth Wear Eating Disorders.
From q1dental.com.au
Melbourne Dentist Trivia How Eating Disorders Affect Your Oral Health Tooth Wear Eating Disorders this paper reviews the nature of the most common and serious medical conditions related to etw, such as gastro. erosive tooth wear is the most obvious oral manifestation of the purgative types of eating disorders. dental practices uphold client confidentiality and are “safe” to fully disclose eating disorders struggles and progress with. identifying early signs of. Tooth Wear Eating Disorders.
From www.hudginsortho.com
Stress and Oral Habits Joseph Hudgins Orthodontics Carbondale Illinois Tooth Wear Eating Disorders erosive tooth wear is the most obvious oral manifestation of the purgative types of eating disorders. this paper reviews the nature of the most common and serious medical conditions related to etw, such as gastro. results related to chemical tw (erosion) risk factors underline the importance of eating disorders, gastroesophageal reflux and. identifying early signs of. Tooth Wear Eating Disorders.
From northlandprosthodontics.co.nz
Tooth Grinding and Joint Disorders Northland Prosthodontics Tooth Wear Eating Disorders identifying early signs of erosion, abrasion or attrition and determining the risk factors contributing to a patient's. oral health professionals, including dentists and dental hygienists, are well positioned to observe signs of eating disordered. results related to chemical tw (erosion) risk factors underline the importance of eating disorders, gastroesophageal reflux and. this paper reviews the nature. Tooth Wear Eating Disorders.
From www.bryandunlapdds.com
HOW EATING DISORDERS DAMAGE YOUR MOUTH Dunlap Dental Group in Little Tooth Wear Eating Disorders dental practices uphold client confidentiality and are “safe” to fully disclose eating disorders struggles and progress with. erosive tooth wear is the most obvious oral manifestation of the purgative types of eating disorders. oral health professionals, including dentists and dental hygienists, are well positioned to observe signs of eating disordered. results related to chemical tw (erosion). Tooth Wear Eating Disorders.
From www.drlufidrleah.com
FACT SHEET TEETH GRINDING/BRUXISM Tooth Wear Eating Disorders dental practices uphold client confidentiality and are “safe” to fully disclose eating disorders struggles and progress with. this paper reviews the nature of the most common and serious medical conditions related to etw, such as gastro. oral health professionals, including dentists and dental hygienists, are well positioned to observe signs of eating disordered. results related to. Tooth Wear Eating Disorders.
From eating-disorders.org.uk
Bulimia Caring For Your Teeth National Centre for Eating Disorders Tooth Wear Eating Disorders dental practices uphold client confidentiality and are “safe” to fully disclose eating disorders struggles and progress with. oral health professionals, including dentists and dental hygienists, are well positioned to observe signs of eating disordered. results related to chemical tw (erosion) risk factors underline the importance of eating disorders, gastroesophageal reflux and. identifying early signs of erosion,. Tooth Wear Eating Disorders.
From www.happiesthealth.com
What is tooth wear and how to manage it Happiest Health Tooth Wear Eating Disorders identifying early signs of erosion, abrasion or attrition and determining the risk factors contributing to a patient's. this paper reviews the nature of the most common and serious medical conditions related to etw, such as gastro. results related to chemical tw (erosion) risk factors underline the importance of eating disorders, gastroesophageal reflux and. oral health professionals,. Tooth Wear Eating Disorders.
From northlandprosthodontics.co.nz
Tooth Grinding and TMJ Joint Disorders Northland Prosthodontics Tooth Wear Eating Disorders identifying early signs of erosion, abrasion or attrition and determining the risk factors contributing to a patient's. erosive tooth wear is the most obvious oral manifestation of the purgative types of eating disorders. results related to chemical tw (erosion) risk factors underline the importance of eating disorders, gastroesophageal reflux and. dental practices uphold client confidentiality and. Tooth Wear Eating Disorders.