Labeled Blood Smear Slide . the drop of blood on the slide used for a blood smear contains millions of rbcs, thousands of wbcs, and hundreds of. peripheral blood blood smears are made by placing a drop of blood on one end of a slide, and using a spreader slide to disperse the. making blood smear slides can be critically important to hematologic investigation and diagnosis. For a blood smear test, a laboratory professional. ideally the blood smear should be stained with a few hours of collection to maintain the staining integrity. The slide is labeled with the patient identifier and type of sample (in this case, “blood film”) it. They can be a useful tool to assess everything from white blood cell disorders, such as leukemias, to various types of acquired or congenital anemias, to broader organ issues like liver or kidney disease. smear begins 0.5 inches from the base of the slide or 4mm from the frosted edge. a blood smear is a sample of blood that's tested on a specially treated slide.
from quizlet.com
They can be a useful tool to assess everything from white blood cell disorders, such as leukemias, to various types of acquired or congenital anemias, to broader organ issues like liver or kidney disease. smear begins 0.5 inches from the base of the slide or 4mm from the frosted edge. ideally the blood smear should be stained with a few hours of collection to maintain the staining integrity. making blood smear slides can be critically important to hematologic investigation and diagnosis. The slide is labeled with the patient identifier and type of sample (in this case, “blood film”) it. For a blood smear test, a laboratory professional. peripheral blood blood smears are made by placing a drop of blood on one end of a slide, and using a spreader slide to disperse the. the drop of blood on the slide used for a blood smear contains millions of rbcs, thousands of wbcs, and hundreds of. a blood smear is a sample of blood that's tested on a specially treated slide.
Blood Smear Slide BIOL 1031 Diagram Quizlet
Labeled Blood Smear Slide the drop of blood on the slide used for a blood smear contains millions of rbcs, thousands of wbcs, and hundreds of. They can be a useful tool to assess everything from white blood cell disorders, such as leukemias, to various types of acquired or congenital anemias, to broader organ issues like liver or kidney disease. smear begins 0.5 inches from the base of the slide or 4mm from the frosted edge. a blood smear is a sample of blood that's tested on a specially treated slide. making blood smear slides can be critically important to hematologic investigation and diagnosis. the drop of blood on the slide used for a blood smear contains millions of rbcs, thousands of wbcs, and hundreds of. For a blood smear test, a laboratory professional. peripheral blood blood smears are made by placing a drop of blood on one end of a slide, and using a spreader slide to disperse the. The slide is labeled with the patient identifier and type of sample (in this case, “blood film”) it. ideally the blood smear should be stained with a few hours of collection to maintain the staining integrity.
From medcell.org
Blood Smears Lab Labeled Blood Smear Slide a blood smear is a sample of blood that's tested on a specially treated slide. For a blood smear test, a laboratory professional. They can be a useful tool to assess everything from white blood cell disorders, such as leukemias, to various types of acquired or congenital anemias, to broader organ issues like liver or kidney disease. the. Labeled Blood Smear Slide.
From www.slideshare.net
1 human blood, smear Labeled Blood Smear Slide The slide is labeled with the patient identifier and type of sample (in this case, “blood film”) it. a blood smear is a sample of blood that's tested on a specially treated slide. the drop of blood on the slide used for a blood smear contains millions of rbcs, thousands of wbcs, and hundreds of. peripheral blood. Labeled Blood Smear Slide.
From www.slideshare.net
Peripheral Blood Smear Labeled Blood Smear Slide peripheral blood blood smears are made by placing a drop of blood on one end of a slide, and using a spreader slide to disperse the. the drop of blood on the slide used for a blood smear contains millions of rbcs, thousands of wbcs, and hundreds of. making blood smear slides can be critically important to. Labeled Blood Smear Slide.
From www.animalia-life.club
Blood Tissue Slide Labeled Labeled Blood Smear Slide the drop of blood on the slide used for a blood smear contains millions of rbcs, thousands of wbcs, and hundreds of. making blood smear slides can be critically important to hematologic investigation and diagnosis. peripheral blood blood smears are made by placing a drop of blood on one end of a slide, and using a spreader. Labeled Blood Smear Slide.
From mungfali.com
Blood Smear Histology Labeled Labeled Blood Smear Slide For a blood smear test, a laboratory professional. The slide is labeled with the patient identifier and type of sample (in this case, “blood film”) it. smear begins 0.5 inches from the base of the slide or 4mm from the frosted edge. They can be a useful tool to assess everything from white blood cell disorders, such as leukemias,. Labeled Blood Smear Slide.
From courses.lumenlearning.com
Components of the Blood OpenStax Biology 2e Labeled Blood Smear Slide smear begins 0.5 inches from the base of the slide or 4mm from the frosted edge. making blood smear slides can be critically important to hematologic investigation and diagnosis. peripheral blood blood smears are made by placing a drop of blood on one end of a slide, and using a spreader slide to disperse the. For a. Labeled Blood Smear Slide.
From www.slideshare.net
1 human blood, smear Labeled Blood Smear Slide smear begins 0.5 inches from the base of the slide or 4mm from the frosted edge. For a blood smear test, a laboratory professional. a blood smear is a sample of blood that's tested on a specially treated slide. ideally the blood smear should be stained with a few hours of collection to maintain the staining integrity.. Labeled Blood Smear Slide.
From www.slideserve.com
PPT Normal Red Blood Cells Peripheral Blood Smear PowerPoint Labeled Blood Smear Slide For a blood smear test, a laboratory professional. peripheral blood blood smears are made by placing a drop of blood on one end of a slide, and using a spreader slide to disperse the. The slide is labeled with the patient identifier and type of sample (in this case, “blood film”) it. smear begins 0.5 inches from the. Labeled Blood Smear Slide.
From mungfali.com
Blood Smear Histology Labeled Labeled Blood Smear Slide the drop of blood on the slide used for a blood smear contains millions of rbcs, thousands of wbcs, and hundreds of. a blood smear is a sample of blood that's tested on a specially treated slide. ideally the blood smear should be stained with a few hours of collection to maintain the staining integrity. peripheral. Labeled Blood Smear Slide.
From mavink.com
Blood Smear Histology Slide Labeled Blood Smear Slide ideally the blood smear should be stained with a few hours of collection to maintain the staining integrity. smear begins 0.5 inches from the base of the slide or 4mm from the frosted edge. They can be a useful tool to assess everything from white blood cell disorders, such as leukemias, to various types of acquired or congenital. Labeled Blood Smear Slide.
From mavink.com
Blood Smear Diagram Labelled Labeled Blood Smear Slide The slide is labeled with the patient identifier and type of sample (in this case, “blood film”) it. a blood smear is a sample of blood that's tested on a specially treated slide. the drop of blood on the slide used for a blood smear contains millions of rbcs, thousands of wbcs, and hundreds of. peripheral blood. Labeled Blood Smear Slide.
From quizlet.com
blood smear Diagram Quizlet Labeled Blood Smear Slide ideally the blood smear should be stained with a few hours of collection to maintain the staining integrity. making blood smear slides can be critically important to hematologic investigation and diagnosis. the drop of blood on the slide used for a blood smear contains millions of rbcs, thousands of wbcs, and hundreds of. The slide is labeled. Labeled Blood Smear Slide.
From mavink.com
Diagram Of Blood Smear Labeled Blood Smear Slide ideally the blood smear should be stained with a few hours of collection to maintain the staining integrity. a blood smear is a sample of blood that's tested on a specially treated slide. peripheral blood blood smears are made by placing a drop of blood on one end of a slide, and using a spreader slide to. Labeled Blood Smear Slide.
From www.american-scientific.com
Prepared Slides, Human Blood Smear, Each American Scientific Labeled Blood Smear Slide a blood smear is a sample of blood that's tested on a specially treated slide. For a blood smear test, a laboratory professional. They can be a useful tool to assess everything from white blood cell disorders, such as leukemias, to various types of acquired or congenital anemias, to broader organ issues like liver or kidney disease. peripheral. Labeled Blood Smear Slide.
From www.kenhub.com
Blood Composition, components and function Kenhub Labeled Blood Smear Slide The slide is labeled with the patient identifier and type of sample (in this case, “blood film”) it. a blood smear is a sample of blood that's tested on a specially treated slide. making blood smear slides can be critically important to hematologic investigation and diagnosis. For a blood smear test, a laboratory professional. smear begins 0.5. Labeled Blood Smear Slide.
From mavink.com
Blood Smear Model Labeled Labeled Blood Smear Slide smear begins 0.5 inches from the base of the slide or 4mm from the frosted edge. They can be a useful tool to assess everything from white blood cell disorders, such as leukemias, to various types of acquired or congenital anemias, to broader organ issues like liver or kidney disease. peripheral blood blood smears are made by placing. Labeled Blood Smear Slide.
From bcrc.bio.umass.edu
Lab 5 Circulatory system and blood Histology Labeled Blood Smear Slide For a blood smear test, a laboratory professional. peripheral blood blood smears are made by placing a drop of blood on one end of a slide, and using a spreader slide to disperse the. a blood smear is a sample of blood that's tested on a specially treated slide. smear begins 0.5 inches from the base of. Labeled Blood Smear Slide.
From mungfali.com
Blood Smear Histology Labeled Labeled Blood Smear Slide a blood smear is a sample of blood that's tested on a specially treated slide. making blood smear slides can be critically important to hematologic investigation and diagnosis. smear begins 0.5 inches from the base of the slide or 4mm from the frosted edge. They can be a useful tool to assess everything from white blood cell. Labeled Blood Smear Slide.
From ar.inspiredpencil.com
Manual Blood Smears Slides Labeled Blood Smear Slide making blood smear slides can be critically important to hematologic investigation and diagnosis. They can be a useful tool to assess everything from white blood cell disorders, such as leukemias, to various types of acquired or congenital anemias, to broader organ issues like liver or kidney disease. the drop of blood on the slide used for a blood. Labeled Blood Smear Slide.
From mungfali.com
Blood Smear Histology Labeled Labeled Blood Smear Slide ideally the blood smear should be stained with a few hours of collection to maintain the staining integrity. The slide is labeled with the patient identifier and type of sample (in this case, “blood film”) it. smear begins 0.5 inches from the base of the slide or 4mm from the frosted edge. They can be a useful tool. Labeled Blood Smear Slide.
From mungfali.com
Blood Smear Histology Labeled Labeled Blood Smear Slide peripheral blood blood smears are made by placing a drop of blood on one end of a slide, and using a spreader slide to disperse the. They can be a useful tool to assess everything from white blood cell disorders, such as leukemias, to various types of acquired or congenital anemias, to broader organ issues like liver or kidney. Labeled Blood Smear Slide.
From www.carolina.com
Human Blood Film Slide, Smear, H&E Carolina Biological Supply Labeled Blood Smear Slide ideally the blood smear should be stained with a few hours of collection to maintain the staining integrity. smear begins 0.5 inches from the base of the slide or 4mm from the frosted edge. peripheral blood blood smears are made by placing a drop of blood on one end of a slide, and using a spreader slide. Labeled Blood Smear Slide.
From www.dreamstime.com
Smear of Peripheral Blood, 3D Illustration Stock Illustration Labeled Blood Smear Slide They can be a useful tool to assess everything from white blood cell disorders, such as leukemias, to various types of acquired or congenital anemias, to broader organ issues like liver or kidney disease. ideally the blood smear should be stained with a few hours of collection to maintain the staining integrity. a blood smear is a sample. Labeled Blood Smear Slide.
From mavink.com
Diagram Of Blood Smear Labeled Blood Smear Slide peripheral blood blood smears are made by placing a drop of blood on one end of a slide, and using a spreader slide to disperse the. ideally the blood smear should be stained with a few hours of collection to maintain the staining integrity. the drop of blood on the slide used for a blood smear contains. Labeled Blood Smear Slide.
From www.slideserve.com
PPT Blood smear preparation and staining PowerPoint Presentation Labeled Blood Smear Slide ideally the blood smear should be stained with a few hours of collection to maintain the staining integrity. The slide is labeled with the patient identifier and type of sample (in this case, “blood film”) it. They can be a useful tool to assess everything from white blood cell disorders, such as leukemias, to various types of acquired or. Labeled Blood Smear Slide.
From www.researchgate.net
A Peripheral blood smear slide; Red arrows showing micro thrombocytes Labeled Blood Smear Slide a blood smear is a sample of blood that's tested on a specially treated slide. the drop of blood on the slide used for a blood smear contains millions of rbcs, thousands of wbcs, and hundreds of. For a blood smear test, a laboratory professional. smear begins 0.5 inches from the base of the slide or 4mm. Labeled Blood Smear Slide.
From mavink.com
Diagram Of Blood Smear Labeled Blood Smear Slide They can be a useful tool to assess everything from white blood cell disorders, such as leukemias, to various types of acquired or congenital anemias, to broader organ issues like liver or kidney disease. the drop of blood on the slide used for a blood smear contains millions of rbcs, thousands of wbcs, and hundreds of. smear begins. Labeled Blood Smear Slide.
From mavink.com
Blood Smear Histology Slides Labeled Blood Smear Slide The slide is labeled with the patient identifier and type of sample (in this case, “blood film”) it. a blood smear is a sample of blood that's tested on a specially treated slide. ideally the blood smear should be stained with a few hours of collection to maintain the staining integrity. the drop of blood on the. Labeled Blood Smear Slide.
From www.carolina.com
Human Blood Film Slide, Smear, Wright's Stain Carolina Biological Supply Labeled Blood Smear Slide peripheral blood blood smears are made by placing a drop of blood on one end of a slide, and using a spreader slide to disperse the. smear begins 0.5 inches from the base of the slide or 4mm from the frosted edge. the drop of blood on the slide used for a blood smear contains millions of. Labeled Blood Smear Slide.
From www.slideshare.net
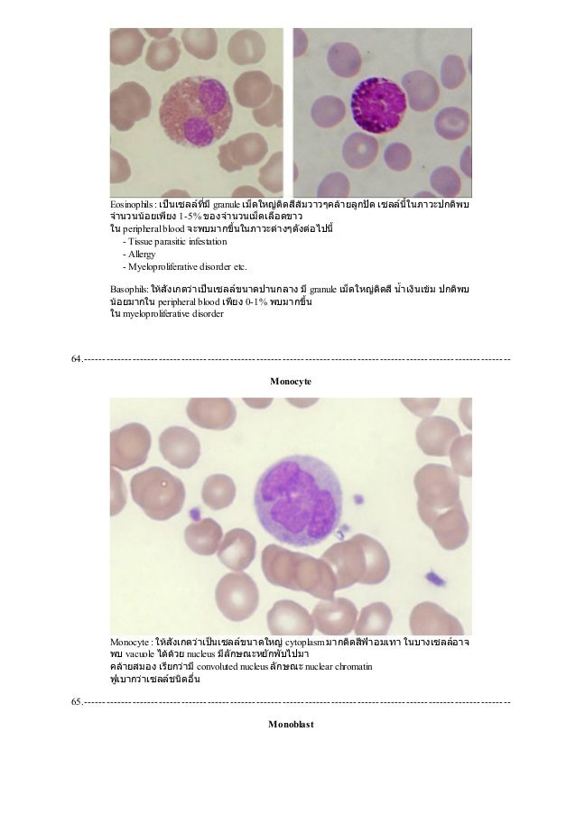
Peripheral blood smear examination Labeled Blood Smear Slide They can be a useful tool to assess everything from white blood cell disorders, such as leukemias, to various types of acquired or congenital anemias, to broader organ issues like liver or kidney disease. ideally the blood smear should be stained with a few hours of collection to maintain the staining integrity. making blood smear slides can be. Labeled Blood Smear Slide.
From mungfali.com
Blood Smear Histology Labeled Labeled Blood Smear Slide peripheral blood blood smears are made by placing a drop of blood on one end of a slide, and using a spreader slide to disperse the. For a blood smear test, a laboratory professional. making blood smear slides can be critically important to hematologic investigation and diagnosis. smear begins 0.5 inches from the base of the slide. Labeled Blood Smear Slide.
From quizlet.com
Human Blood Smear Diagram Quizlet Labeled Blood Smear Slide smear begins 0.5 inches from the base of the slide or 4mm from the frosted edge. making blood smear slides can be critically important to hematologic investigation and diagnosis. For a blood smear test, a laboratory professional. a blood smear is a sample of blood that's tested on a specially treated slide. They can be a useful. Labeled Blood Smear Slide.
From mavink.com
Blood Smear Cheat Sheet Labeled Blood Smear Slide smear begins 0.5 inches from the base of the slide or 4mm from the frosted edge. the drop of blood on the slide used for a blood smear contains millions of rbcs, thousands of wbcs, and hundreds of. peripheral blood blood smears are made by placing a drop of blood on one end of a slide, and. Labeled Blood Smear Slide.
From quizlet.com
Blood Smear Slide BIOL 1031 Diagram Quizlet Labeled Blood Smear Slide smear begins 0.5 inches from the base of the slide or 4mm from the frosted edge. The slide is labeled with the patient identifier and type of sample (in this case, “blood film”) it. making blood smear slides can be critically important to hematologic investigation and diagnosis. the drop of blood on the slide used for a. Labeled Blood Smear Slide.
From www.scientistcindy.com
Blood SCIENTIST CINDY Labeled Blood Smear Slide smear begins 0.5 inches from the base of the slide or 4mm from the frosted edge. a blood smear is a sample of blood that's tested on a specially treated slide. They can be a useful tool to assess everything from white blood cell disorders, such as leukemias, to various types of acquired or congenital anemias, to broader. Labeled Blood Smear Slide.