What Does A Chest X Ray Look Like With Pneumonia . Blood tests , such as a complete blood count (cbc) see whether. Dense, patchy infiltrates or areas of opacity within the lung tissue. if you go to a health professional or the emergency room with chest pain, a chest injury or shortness of breath, you will typically get a chest x. pneumonia ranks 8th as a cause of death in the usa and is the most deadly of the infectious diseases.
from github.com
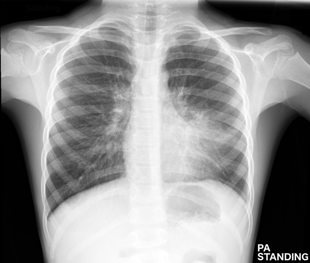
pneumonia ranks 8th as a cause of death in the usa and is the most deadly of the infectious diseases. Dense, patchy infiltrates or areas of opacity within the lung tissue. if you go to a health professional or the emergency room with chest pain, a chest injury or shortness of breath, you will typically get a chest x. Blood tests , such as a complete blood count (cbc) see whether.
ChestXRayImagesPneumonia/chestxrayimagespneumonia.ipynb at
What Does A Chest X Ray Look Like With Pneumonia pneumonia ranks 8th as a cause of death in the usa and is the most deadly of the infectious diseases. Blood tests , such as a complete blood count (cbc) see whether. if you go to a health professional or the emergency room with chest pain, a chest injury or shortness of breath, you will typically get a chest x. Dense, patchy infiltrates or areas of opacity within the lung tissue. pneumonia ranks 8th as a cause of death in the usa and is the most deadly of the infectious diseases.
From ar.inspiredpencil.com
Tuberculosis Vs Pneumonia X Ray What Does A Chest X Ray Look Like With Pneumonia Blood tests , such as a complete blood count (cbc) see whether. Dense, patchy infiltrates or areas of opacity within the lung tissue. pneumonia ranks 8th as a cause of death in the usa and is the most deadly of the infectious diseases. if you go to a health professional or the emergency room with chest pain, a. What Does A Chest X Ray Look Like With Pneumonia.
From javierosane.blogspot.com
Pneumonia Chest X Ray Aspiration pneumonia Radiology at St. Vincent What Does A Chest X Ray Look Like With Pneumonia Dense, patchy infiltrates or areas of opacity within the lung tissue. Blood tests , such as a complete blood count (cbc) see whether. if you go to a health professional or the emergency room with chest pain, a chest injury or shortness of breath, you will typically get a chest x. pneumonia ranks 8th as a cause of. What Does A Chest X Ray Look Like With Pneumonia.
From www.cureus.com
Cureus COVID19 vs. Influenza A Chest Xray Comparison What Does A Chest X Ray Look Like With Pneumonia pneumonia ranks 8th as a cause of death in the usa and is the most deadly of the infectious diseases. Blood tests , such as a complete blood count (cbc) see whether. Dense, patchy infiltrates or areas of opacity within the lung tissue. if you go to a health professional or the emergency room with chest pain, a. What Does A Chest X Ray Look Like With Pneumonia.
From litfl.com
Pneumonia Case 003 • LITFL • Ultrasound Library What Does A Chest X Ray Look Like With Pneumonia Dense, patchy infiltrates or areas of opacity within the lung tissue. Blood tests , such as a complete blood count (cbc) see whether. if you go to a health professional or the emergency room with chest pain, a chest injury or shortness of breath, you will typically get a chest x. pneumonia ranks 8th as a cause of. What Does A Chest X Ray Look Like With Pneumonia.
From www.bmj.com
The role of chest radiography in confirming covid19 pneumonia The BMJ What Does A Chest X Ray Look Like With Pneumonia if you go to a health professional or the emergency room with chest pain, a chest injury or shortness of breath, you will typically get a chest x. pneumonia ranks 8th as a cause of death in the usa and is the most deadly of the infectious diseases. Dense, patchy infiltrates or areas of opacity within the lung. What Does A Chest X Ray Look Like With Pneumonia.
From exyvmtclh.blob.core.windows.net
What Does An X Ray Of A Lung With Pneumonia Look Like at Neal Engen blog What Does A Chest X Ray Look Like With Pneumonia Blood tests , such as a complete blood count (cbc) see whether. if you go to a health professional or the emergency room with chest pain, a chest injury or shortness of breath, you will typically get a chest x. pneumonia ranks 8th as a cause of death in the usa and is the most deadly of the. What Does A Chest X Ray Look Like With Pneumonia.
From exyvmtclh.blob.core.windows.net
What Does An X Ray Of A Lung With Pneumonia Look Like at Neal Engen blog What Does A Chest X Ray Look Like With Pneumonia Dense, patchy infiltrates or areas of opacity within the lung tissue. if you go to a health professional or the emergency room with chest pain, a chest injury or shortness of breath, you will typically get a chest x. pneumonia ranks 8th as a cause of death in the usa and is the most deadly of the infectious. What Does A Chest X Ray Look Like With Pneumonia.
From github.com
ChestXRayImagesPneumonia/chestxrayimagespneumonia.ipynb at What Does A Chest X Ray Look Like With Pneumonia Dense, patchy infiltrates or areas of opacity within the lung tissue. if you go to a health professional or the emergency room with chest pain, a chest injury or shortness of breath, you will typically get a chest x. Blood tests , such as a complete blood count (cbc) see whether. pneumonia ranks 8th as a cause of. What Does A Chest X Ray Look Like With Pneumonia.
From medschool.co
Pneumonia Chest XRay MedSchool What Does A Chest X Ray Look Like With Pneumonia pneumonia ranks 8th as a cause of death in the usa and is the most deadly of the infectious diseases. if you go to a health professional or the emergency room with chest pain, a chest injury or shortness of breath, you will typically get a chest x. Blood tests , such as a complete blood count (cbc). What Does A Chest X Ray Look Like With Pneumonia.
From s-imoni.medium.com
Detecting Pneumonia in Chest XRays Using Various Deep Neural Nets by What Does A Chest X Ray Look Like With Pneumonia Dense, patchy infiltrates or areas of opacity within the lung tissue. pneumonia ranks 8th as a cause of death in the usa and is the most deadly of the infectious diseases. if you go to a health professional or the emergency room with chest pain, a chest injury or shortness of breath, you will typically get a chest. What Does A Chest X Ray Look Like With Pneumonia.
From www.theayurveda.org
pneumonia x ray Theayurveda What Does A Chest X Ray Look Like With Pneumonia if you go to a health professional or the emergency room with chest pain, a chest injury or shortness of breath, you will typically get a chest x. Dense, patchy infiltrates or areas of opacity within the lung tissue. pneumonia ranks 8th as a cause of death in the usa and is the most deadly of the infectious. What Does A Chest X Ray Look Like With Pneumonia.
From www.bmj.com
The role of chest radiography in confirming covid19 pneumonia The BMJ What Does A Chest X Ray Look Like With Pneumonia Blood tests , such as a complete blood count (cbc) see whether. if you go to a health professional or the emergency room with chest pain, a chest injury or shortness of breath, you will typically get a chest x. Dense, patchy infiltrates or areas of opacity within the lung tissue. pneumonia ranks 8th as a cause of. What Does A Chest X Ray Look Like With Pneumonia.
From www.animalia-life.club
Walking Pneumonia X Ray What Does A Chest X Ray Look Like With Pneumonia if you go to a health professional or the emergency room with chest pain, a chest injury or shortness of breath, you will typically get a chest x. pneumonia ranks 8th as a cause of death in the usa and is the most deadly of the infectious diseases. Blood tests , such as a complete blood count (cbc). What Does A Chest X Ray Look Like With Pneumonia.
From www.e7health.com
What Do Chest XRays Show? What Does A Chest X Ray Look Like With Pneumonia if you go to a health professional or the emergency room with chest pain, a chest injury or shortness of breath, you will typically get a chest x. Blood tests , such as a complete blood count (cbc) see whether. pneumonia ranks 8th as a cause of death in the usa and is the most deadly of the. What Does A Chest X Ray Look Like With Pneumonia.
From radiologyassistant.nl
The Radiology Assistant Chest XRay Lung disease What Does A Chest X Ray Look Like With Pneumonia Blood tests , such as a complete blood count (cbc) see whether. if you go to a health professional or the emergency room with chest pain, a chest injury or shortness of breath, you will typically get a chest x. Dense, patchy infiltrates or areas of opacity within the lung tissue. pneumonia ranks 8th as a cause of. What Does A Chest X Ray Look Like With Pneumonia.
From www.researchgate.net
The lungs and chest Xrays showing inflammation leading to pneumonia What Does A Chest X Ray Look Like With Pneumonia Blood tests , such as a complete blood count (cbc) see whether. Dense, patchy infiltrates or areas of opacity within the lung tissue. if you go to a health professional or the emergency room with chest pain, a chest injury or shortness of breath, you will typically get a chest x. pneumonia ranks 8th as a cause of. What Does A Chest X Ray Look Like With Pneumonia.
From www.medrxiv.org
Intelligent Pneumonia Identification from Chest XRays A Systematic What Does A Chest X Ray Look Like With Pneumonia Dense, patchy infiltrates or areas of opacity within the lung tissue. if you go to a health professional or the emergency room with chest pain, a chest injury or shortness of breath, you will typically get a chest x. Blood tests , such as a complete blood count (cbc) see whether. pneumonia ranks 8th as a cause of. What Does A Chest X Ray Look Like With Pneumonia.
From www.bmj.com
The role of chest radiography in confirming covid19 pneumonia The BMJ What Does A Chest X Ray Look Like With Pneumonia Dense, patchy infiltrates or areas of opacity within the lung tissue. Blood tests , such as a complete blood count (cbc) see whether. pneumonia ranks 8th as a cause of death in the usa and is the most deadly of the infectious diseases. if you go to a health professional or the emergency room with chest pain, a. What Does A Chest X Ray Look Like With Pneumonia.
From www.youtube.com
Chest XRay Lung Normal Vs Abnormal Image Appearances Part 1 TB What Does A Chest X Ray Look Like With Pneumonia if you go to a health professional or the emergency room with chest pain, a chest injury or shortness of breath, you will typically get a chest x. Dense, patchy infiltrates or areas of opacity within the lung tissue. pneumonia ranks 8th as a cause of death in the usa and is the most deadly of the infectious. What Does A Chest X Ray Look Like With Pneumonia.
From www.dreamstime.com
X Ray of Patient with Pneumonia and Left Plural Effusion Stock Image What Does A Chest X Ray Look Like With Pneumonia Blood tests , such as a complete blood count (cbc) see whether. pneumonia ranks 8th as a cause of death in the usa and is the most deadly of the infectious diseases. Dense, patchy infiltrates or areas of opacity within the lung tissue. if you go to a health professional or the emergency room with chest pain, a. What Does A Chest X Ray Look Like With Pneumonia.
From www.sciencephoto.com
Tuberculosis pneumonia, Xray Stock Image M270/0337 Science Photo What Does A Chest X Ray Look Like With Pneumonia if you go to a health professional or the emergency room with chest pain, a chest injury or shortness of breath, you will typically get a chest x. pneumonia ranks 8th as a cause of death in the usa and is the most deadly of the infectious diseases. Dense, patchy infiltrates or areas of opacity within the lung. What Does A Chest X Ray Look Like With Pneumonia.
From www.researchgate.net
The lungs and chest Xrays showing inflammation leading to pneumonia What Does A Chest X Ray Look Like With Pneumonia pneumonia ranks 8th as a cause of death in the usa and is the most deadly of the infectious diseases. if you go to a health professional or the emergency room with chest pain, a chest injury or shortness of breath, you will typically get a chest x. Dense, patchy infiltrates or areas of opacity within the lung. What Does A Chest X Ray Look Like With Pneumonia.
From gioqqywxi.blob.core.windows.net
Does A Chest X Ray Show Myocarditis at Karin Robertson blog What Does A Chest X Ray Look Like With Pneumonia pneumonia ranks 8th as a cause of death in the usa and is the most deadly of the infectious diseases. Blood tests , such as a complete blood count (cbc) see whether. Dense, patchy infiltrates or areas of opacity within the lung tissue. if you go to a health professional or the emergency room with chest pain, a. What Does A Chest X Ray Look Like With Pneumonia.
From www.ehealthstar.com
How serious is bilateral (double) pneumonia? eHealthStar What Does A Chest X Ray Look Like With Pneumonia Dense, patchy infiltrates or areas of opacity within the lung tissue. if you go to a health professional or the emergency room with chest pain, a chest injury or shortness of breath, you will typically get a chest x. pneumonia ranks 8th as a cause of death in the usa and is the most deadly of the infectious. What Does A Chest X Ray Look Like With Pneumonia.
From oceania.org
Machine learning framework classifies pneumonia on chest Xrays What Does A Chest X Ray Look Like With Pneumonia if you go to a health professional or the emergency room with chest pain, a chest injury or shortness of breath, you will typically get a chest x. Dense, patchy infiltrates or areas of opacity within the lung tissue. Blood tests , such as a complete blood count (cbc) see whether. pneumonia ranks 8th as a cause of. What Does A Chest X Ray Look Like With Pneumonia.
From www.mdpi.com
Diagnostics Free FullText Longitudinal Chest Xray Scores and What Does A Chest X Ray Look Like With Pneumonia Dense, patchy infiltrates or areas of opacity within the lung tissue. if you go to a health professional or the emergency room with chest pain, a chest injury or shortness of breath, you will typically get a chest x. pneumonia ranks 8th as a cause of death in the usa and is the most deadly of the infectious. What Does A Chest X Ray Look Like With Pneumonia.
From malayelly.blogspot.com
Lobar Pneumonia Chest X Ray Findings malayelly What Does A Chest X Ray Look Like With Pneumonia if you go to a health professional or the emergency room with chest pain, a chest injury or shortness of breath, you will typically get a chest x. Dense, patchy infiltrates or areas of opacity within the lung tissue. Blood tests , such as a complete blood count (cbc) see whether. pneumonia ranks 8th as a cause of. What Does A Chest X Ray Look Like With Pneumonia.
From mavink.com
Patofisiologi Pneumonia What Does A Chest X Ray Look Like With Pneumonia Dense, patchy infiltrates or areas of opacity within the lung tissue. pneumonia ranks 8th as a cause of death in the usa and is the most deadly of the infectious diseases. if you go to a health professional or the emergency room with chest pain, a chest injury or shortness of breath, you will typically get a chest. What Does A Chest X Ray Look Like With Pneumonia.
From www.verywellhealth.com
Chest XRay for the Diagnosis of Lung Cancer What Does A Chest X Ray Look Like With Pneumonia if you go to a health professional or the emergency room with chest pain, a chest injury or shortness of breath, you will typically get a chest x. Blood tests , such as a complete blood count (cbc) see whether. pneumonia ranks 8th as a cause of death in the usa and is the most deadly of the. What Does A Chest X Ray Look Like With Pneumonia.
From giohicloz.blob.core.windows.net
Chest X Ray Aspiration Pneumonia at Milton Spicer blog What Does A Chest X Ray Look Like With Pneumonia if you go to a health professional or the emergency room with chest pain, a chest injury or shortness of breath, you will typically get a chest x. Blood tests , such as a complete blood count (cbc) see whether. Dense, patchy infiltrates or areas of opacity within the lung tissue. pneumonia ranks 8th as a cause of. What Does A Chest X Ray Look Like With Pneumonia.
From maryland.ccproject.com
Clinical Case Pneumonia University of Maryland What Does A Chest X Ray Look Like With Pneumonia Blood tests , such as a complete blood count (cbc) see whether. pneumonia ranks 8th as a cause of death in the usa and is the most deadly of the infectious diseases. if you go to a health professional or the emergency room with chest pain, a chest injury or shortness of breath, you will typically get a. What Does A Chest X Ray Look Like With Pneumonia.
From exydhtmoc.blob.core.windows.net
What Does A Copd Lung X Ray Look Like at Mary Richardson blog What Does A Chest X Ray Look Like With Pneumonia Dense, patchy infiltrates or areas of opacity within the lung tissue. if you go to a health professional or the emergency room with chest pain, a chest injury or shortness of breath, you will typically get a chest x. pneumonia ranks 8th as a cause of death in the usa and is the most deadly of the infectious. What Does A Chest X Ray Look Like With Pneumonia.
From ar.inspiredpencil.com
Chest X Ray Pneumonia What Does A Chest X Ray Look Like With Pneumonia Blood tests , such as a complete blood count (cbc) see whether. Dense, patchy infiltrates or areas of opacity within the lung tissue. pneumonia ranks 8th as a cause of death in the usa and is the most deadly of the infectious diseases. if you go to a health professional or the emergency room with chest pain, a. What Does A Chest X Ray Look Like With Pneumonia.
From www.kaggle.com
Pneumonia Chest X ray Kaggle What Does A Chest X Ray Look Like With Pneumonia if you go to a health professional or the emergency room with chest pain, a chest injury or shortness of breath, you will typically get a chest x. pneumonia ranks 8th as a cause of death in the usa and is the most deadly of the infectious diseases. Dense, patchy infiltrates or areas of opacity within the lung. What Does A Chest X Ray Look Like With Pneumonia.
From exyvmtclh.blob.core.windows.net
What Does An X Ray Of A Lung With Pneumonia Look Like at Neal Engen blog What Does A Chest X Ray Look Like With Pneumonia Blood tests , such as a complete blood count (cbc) see whether. pneumonia ranks 8th as a cause of death in the usa and is the most deadly of the infectious diseases. if you go to a health professional or the emergency room with chest pain, a chest injury or shortness of breath, you will typically get a. What Does A Chest X Ray Look Like With Pneumonia.