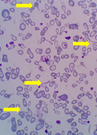
What Does Teardrop Blood Cells Mean . Red cells appearing in the shape of a teardrop or a pear with a single. They have a blunt rounded side. •teardrop cells (dacrocytes) are frequently associated with infiltration of the bone marrow by fibrosis, granulomatous inflammation, or hematopoietic or metastatic. Poikilocytosis means that more than 10% of your red blood cells are abnormal shapes. The presence of teardrop cells (dacrocytes) (figure below) in the peripheral blood, named for their tear drop shape, is a prominent feature of myelophthisic (marrow. Teardrop cells (dacrocytes) cabot rings are thin, threadlike, red to violet rings or “figure 8” shaped inclusions in red blood cells. It may be a sign of anemia, a condition that. Red blood cell, shape abnormality. Teardrop erythrocytes are poikilocytes that allow for conclusions to be drawn about changes in the formation of blood. 1 the size of these cells are variable. Red blood cells that are teardrop or pear shaped with one blunt projection.
from pearls4peers.com
The presence of teardrop cells (dacrocytes) (figure below) in the peripheral blood, named for their tear drop shape, is a prominent feature of myelophthisic (marrow. 1 the size of these cells are variable. Teardrop cells (dacrocytes) cabot rings are thin, threadlike, red to violet rings or “figure 8” shaped inclusions in red blood cells. They have a blunt rounded side. Teardrop erythrocytes are poikilocytes that allow for conclusions to be drawn about changes in the formation of blood. Red blood cell, shape abnormality. Red blood cells that are teardrop or pear shaped with one blunt projection. Poikilocytosis means that more than 10% of your red blood cells are abnormal shapes. Red cells appearing in the shape of a teardrop or a pear with a single. It may be a sign of anemia, a condition that.
What is the significance of teardrop cells (dacrocytes) on the
What Does Teardrop Blood Cells Mean Red cells appearing in the shape of a teardrop or a pear with a single. Red blood cell, shape abnormality. Poikilocytosis means that more than 10% of your red blood cells are abnormal shapes. Red blood cells that are teardrop or pear shaped with one blunt projection. It may be a sign of anemia, a condition that. Teardrop erythrocytes are poikilocytes that allow for conclusions to be drawn about changes in the formation of blood. •teardrop cells (dacrocytes) are frequently associated with infiltration of the bone marrow by fibrosis, granulomatous inflammation, or hematopoietic or metastatic. The presence of teardrop cells (dacrocytes) (figure below) in the peripheral blood, named for their tear drop shape, is a prominent feature of myelophthisic (marrow. Red cells appearing in the shape of a teardrop or a pear with a single. They have a blunt rounded side. 1 the size of these cells are variable. Teardrop cells (dacrocytes) cabot rings are thin, threadlike, red to violet rings or “figure 8” shaped inclusions in red blood cells.
From www.slideserve.com
PPT WINDSOR UNIVERSITY SCHOOL OF MEDICINE PowerPoint Presentation What Does Teardrop Blood Cells Mean They have a blunt rounded side. •teardrop cells (dacrocytes) are frequently associated with infiltration of the bone marrow by fibrosis, granulomatous inflammation, or hematopoietic or metastatic. Teardrop erythrocytes are poikilocytes that allow for conclusions to be drawn about changes in the formation of blood. 1 the size of these cells are variable. Poikilocytosis means that more than 10% of your. What Does Teardrop Blood Cells Mean.
From doctorlib.info
Anemias caused by defects of DNA metabolism Rodak's Hematology What Does Teardrop Blood Cells Mean They have a blunt rounded side. Teardrop erythrocytes are poikilocytes that allow for conclusions to be drawn about changes in the formation of blood. •teardrop cells (dacrocytes) are frequently associated with infiltration of the bone marrow by fibrosis, granulomatous inflammation, or hematopoietic or metastatic. Red cells appearing in the shape of a teardrop or a pear with a single. Poikilocytosis. What Does Teardrop Blood Cells Mean.
From www.sciencephoto.com
Teardrop cell abnormal red blood cell, illustration Stock Image What Does Teardrop Blood Cells Mean Poikilocytosis means that more than 10% of your red blood cells are abnormal shapes. Red blood cells that are teardrop or pear shaped with one blunt projection. They have a blunt rounded side. Red cells appearing in the shape of a teardrop or a pear with a single. Teardrop cells (dacrocytes) cabot rings are thin, threadlike, red to violet rings. What Does Teardrop Blood Cells Mean.
From ar.inspiredpencil.com
Teardrop Cells What Does Teardrop Blood Cells Mean Red blood cells that are teardrop or pear shaped with one blunt projection. They have a blunt rounded side. Teardrop erythrocytes are poikilocytes that allow for conclusions to be drawn about changes in the formation of blood. 1 the size of these cells are variable. •teardrop cells (dacrocytes) are frequently associated with infiltration of the bone marrow by fibrosis, granulomatous. What Does Teardrop Blood Cells Mean.
From doctorlib.info
Thalassemias Rodak's Hematology Clinical Principles and Applications What Does Teardrop Blood Cells Mean Red cells appearing in the shape of a teardrop or a pear with a single. It may be a sign of anemia, a condition that. 1 the size of these cells are variable. Red blood cells that are teardrop or pear shaped with one blunt projection. Poikilocytosis means that more than 10% of your red blood cells are abnormal shapes.. What Does Teardrop Blood Cells Mean.
From www.alamy.com
Dacrocyte. Illustration of an abnormal red blood cell, known as a What Does Teardrop Blood Cells Mean Poikilocytosis means that more than 10% of your red blood cells are abnormal shapes. It may be a sign of anemia, a condition that. 1 the size of these cells are variable. The presence of teardrop cells (dacrocytes) (figure below) in the peripheral blood, named for their tear drop shape, is a prominent feature of myelophthisic (marrow. Red blood cells. What Does Teardrop Blood Cells Mean.
From www.degruyter.com
Significance of teardrop cells in peripheral blood smears What Does Teardrop Blood Cells Mean Red blood cell, shape abnormality. Red cells appearing in the shape of a teardrop or a pear with a single. It may be a sign of anemia, a condition that. Poikilocytosis means that more than 10% of your red blood cells are abnormal shapes. •teardrop cells (dacrocytes) are frequently associated with infiltration of the bone marrow by fibrosis, granulomatous inflammation,. What Does Teardrop Blood Cells Mean.
From www.horiba.com
Matutes Score Blood Cell Morphology Newsletter 41 (HORIBA Medical) What Does Teardrop Blood Cells Mean Red blood cells that are teardrop or pear shaped with one blunt projection. It may be a sign of anemia, a condition that. Teardrop cells (dacrocytes) cabot rings are thin, threadlike, red to violet rings or “figure 8” shaped inclusions in red blood cells. Teardrop erythrocytes are poikilocytes that allow for conclusions to be drawn about changes in the formation. What Does Teardrop Blood Cells Mean.
From imagebank.hematology.org
HbH disease with teardrop cell presentation in PBS What Does Teardrop Blood Cells Mean Red blood cell, shape abnormality. Poikilocytosis means that more than 10% of your red blood cells are abnormal shapes. •teardrop cells (dacrocytes) are frequently associated with infiltration of the bone marrow by fibrosis, granulomatous inflammation, or hematopoietic or metastatic. They have a blunt rounded side. The presence of teardrop cells (dacrocytes) (figure below) in the peripheral blood, named for their. What Does Teardrop Blood Cells Mean.
From www.britannica.com
Blood Oxygen Transport, Hemoglobin, Erythrocytes Britannica What Does Teardrop Blood Cells Mean Red blood cell, shape abnormality. 1 the size of these cells are variable. Teardrop erythrocytes are poikilocytes that allow for conclusions to be drawn about changes in the formation of blood. •teardrop cells (dacrocytes) are frequently associated with infiltration of the bone marrow by fibrosis, granulomatous inflammation, or hematopoietic or metastatic. Red blood cells that are teardrop or pear shaped. What Does Teardrop Blood Cells Mean.
From www.learnhaem.com
Target Cells LearnHaem Haematology Made Simple What Does Teardrop Blood Cells Mean It may be a sign of anemia, a condition that. •teardrop cells (dacrocytes) are frequently associated with infiltration of the bone marrow by fibrosis, granulomatous inflammation, or hematopoietic or metastatic. They have a blunt rounded side. Poikilocytosis means that more than 10% of your red blood cells are abnormal shapes. Red cells appearing in the shape of a teardrop or. What Does Teardrop Blood Cells Mean.
From imagebank.hematology.org
Tear drop cells (Dacrocytes) 1 What Does Teardrop Blood Cells Mean Red blood cells that are teardrop or pear shaped with one blunt projection. Red cells appearing in the shape of a teardrop or a pear with a single. It may be a sign of anemia, a condition that. Red blood cell, shape abnormality. The presence of teardrop cells (dacrocytes) (figure below) in the peripheral blood, named for their tear drop. What Does Teardrop Blood Cells Mean.
From healthjade.com
Hemoglobin Levels, Low Hemoglobin Causes, Hemoglobin A1c What Does Teardrop Blood Cells Mean Red blood cells that are teardrop or pear shaped with one blunt projection. They have a blunt rounded side. 1 the size of these cells are variable. It may be a sign of anemia, a condition that. Poikilocytosis means that more than 10% of your red blood cells are abnormal shapes. Red blood cell, shape abnormality. •teardrop cells (dacrocytes) are. What Does Teardrop Blood Cells Mean.
From www.pinterest.com
Peripheral blood film demonstrating teardrop cells in myelofibrosis What Does Teardrop Blood Cells Mean Red cells appearing in the shape of a teardrop or a pear with a single. They have a blunt rounded side. It may be a sign of anemia, a condition that. Poikilocytosis means that more than 10% of your red blood cells are abnormal shapes. The presence of teardrop cells (dacrocytes) (figure below) in the peripheral blood, named for their. What Does Teardrop Blood Cells Mean.
From pearls4peers.com
What is the significance of teardrop cells (dacrocytes) on the What Does Teardrop Blood Cells Mean Teardrop cells (dacrocytes) cabot rings are thin, threadlike, red to violet rings or “figure 8” shaped inclusions in red blood cells. They have a blunt rounded side. Red blood cell, shape abnormality. •teardrop cells (dacrocytes) are frequently associated with infiltration of the bone marrow by fibrosis, granulomatous inflammation, or hematopoietic or metastatic. 1 the size of these cells are variable.. What Does Teardrop Blood Cells Mean.
From ar.inspiredpencil.com
Teardrop Cell What Does Teardrop Blood Cells Mean Poikilocytosis means that more than 10% of your red blood cells are abnormal shapes. Red blood cell, shape abnormality. They have a blunt rounded side. It may be a sign of anemia, a condition that. 1 the size of these cells are variable. •teardrop cells (dacrocytes) are frequently associated with infiltration of the bone marrow by fibrosis, granulomatous inflammation, or. What Does Teardrop Blood Cells Mean.
From www.alamy.com
Teardrop cell abnormal red blood cell, illustration Stock Photo Alamy What Does Teardrop Blood Cells Mean The presence of teardrop cells (dacrocytes) (figure below) in the peripheral blood, named for their tear drop shape, is a prominent feature of myelophthisic (marrow. Teardrop cells (dacrocytes) cabot rings are thin, threadlike, red to violet rings or “figure 8” shaped inclusions in red blood cells. Poikilocytosis means that more than 10% of your red blood cells are abnormal shapes.. What Does Teardrop Blood Cells Mean.
From www.dreamstime.com
Teardrop Cells (dacrocytes) in Peripheral Blood. Stock Photo Image of What Does Teardrop Blood Cells Mean It may be a sign of anemia, a condition that. Teardrop cells (dacrocytes) cabot rings are thin, threadlike, red to violet rings or “figure 8” shaped inclusions in red blood cells. They have a blunt rounded side. 1 the size of these cells are variable. Red blood cell, shape abnormality. Poikilocytosis means that more than 10% of your red blood. What Does Teardrop Blood Cells Mean.
From mavink.com
Blood Cell Morphology What Does Teardrop Blood Cells Mean Poikilocytosis means that more than 10% of your red blood cells are abnormal shapes. Red blood cell, shape abnormality. They have a blunt rounded side. Red cells appearing in the shape of a teardrop or a pear with a single. Red blood cells that are teardrop or pear shaped with one blunt projection. 1 the size of these cells are. What Does Teardrop Blood Cells Mean.
From askhematologist.com
Blood Morphology Ask Hematologist Understand Hematology What Does Teardrop Blood Cells Mean Teardrop erythrocytes are poikilocytes that allow for conclusions to be drawn about changes in the formation of blood. Teardrop cells (dacrocytes) cabot rings are thin, threadlike, red to violet rings or “figure 8” shaped inclusions in red blood cells. •teardrop cells (dacrocytes) are frequently associated with infiltration of the bone marrow by fibrosis, granulomatous inflammation, or hematopoietic or metastatic. It. What Does Teardrop Blood Cells Mean.
From imagebank.hematology.org
HbH disease with teardrop cell presentation in PBS What Does Teardrop Blood Cells Mean They have a blunt rounded side. 1 the size of these cells are variable. It may be a sign of anemia, a condition that. Teardrop cells (dacrocytes) cabot rings are thin, threadlike, red to violet rings or “figure 8” shaped inclusions in red blood cells. The presence of teardrop cells (dacrocytes) (figure below) in the peripheral blood, named for their. What Does Teardrop Blood Cells Mean.
From www.sciencephoto.com
Teardrop red blood cells, LM Stock Image C043/5190 Science Photo What Does Teardrop Blood Cells Mean The presence of teardrop cells (dacrocytes) (figure below) in the peripheral blood, named for their tear drop shape, is a prominent feature of myelophthisic (marrow. 1 the size of these cells are variable. Poikilocytosis means that more than 10% of your red blood cells are abnormal shapes. They have a blunt rounded side. Red cells appearing in the shape of. What Does Teardrop Blood Cells Mean.
From www.slideserve.com
PPT Peripheral blood smear examination PowerPoint Presentation ID What Does Teardrop Blood Cells Mean •teardrop cells (dacrocytes) are frequently associated with infiltration of the bone marrow by fibrosis, granulomatous inflammation, or hematopoietic or metastatic. Teardrop erythrocytes are poikilocytes that allow for conclusions to be drawn about changes in the formation of blood. Red blood cells that are teardrop or pear shaped with one blunt projection. It may be a sign of anemia, a condition. What Does Teardrop Blood Cells Mean.
From www.shutterstock.com
Hypochromic Red Blood Cell Teardrop Ovaloyte ภาพสต็อก 612875153 What Does Teardrop Blood Cells Mean Red cells appearing in the shape of a teardrop or a pear with a single. Teardrop erythrocytes are poikilocytes that allow for conclusions to be drawn about changes in the formation of blood. Red blood cell, shape abnormality. It may be a sign of anemia, a condition that. They have a blunt rounded side. •teardrop cells (dacrocytes) are frequently associated. What Does Teardrop Blood Cells Mean.
From www.dreamstime.com
Red Blood Cell that is Shaped Like a Teardrop Stock Illustration What Does Teardrop Blood Cells Mean Teardrop cells (dacrocytes) cabot rings are thin, threadlike, red to violet rings or “figure 8” shaped inclusions in red blood cells. Red cells appearing in the shape of a teardrop or a pear with a single. Poikilocytosis means that more than 10% of your red blood cells are abnormal shapes. Red blood cells that are teardrop or pear shaped with. What Does Teardrop Blood Cells Mean.
From textbookhaematology4medical-scientist.blogspot.my
Haematology in a NutShell TearDrop RBCs ( Dacrocytes) What Does Teardrop Blood Cells Mean They have a blunt rounded side. •teardrop cells (dacrocytes) are frequently associated with infiltration of the bone marrow by fibrosis, granulomatous inflammation, or hematopoietic or metastatic. Red blood cell, shape abnormality. Red blood cells that are teardrop or pear shaped with one blunt projection. Red cells appearing in the shape of a teardrop or a pear with a single. It. What Does Teardrop Blood Cells Mean.
From www.hematomorphology.info
Teardrop cells Hematomorphology, a databank / imagebank for What Does Teardrop Blood Cells Mean 1 the size of these cells are variable. Red blood cells that are teardrop or pear shaped with one blunt projection. Red blood cell, shape abnormality. Red cells appearing in the shape of a teardrop or a pear with a single. Poikilocytosis means that more than 10% of your red blood cells are abnormal shapes. The presence of teardrop cells. What Does Teardrop Blood Cells Mean.
From www.alamy.com
Dacrocyte. Illustration of an abnormal red blood cell, known as a What Does Teardrop Blood Cells Mean Red cells appearing in the shape of a teardrop or a pear with a single. Red blood cell, shape abnormality. 1 the size of these cells are variable. Teardrop cells (dacrocytes) cabot rings are thin, threadlike, red to violet rings or “figure 8” shaped inclusions in red blood cells. •teardrop cells (dacrocytes) are frequently associated with infiltration of the bone. What Does Teardrop Blood Cells Mean.
From doctorlib.info
Anemias caused by defects of DNA metabolism Rodak's Hematology What Does Teardrop Blood Cells Mean They have a blunt rounded side. Poikilocytosis means that more than 10% of your red blood cells are abnormal shapes. Red cells appearing in the shape of a teardrop or a pear with a single. Teardrop cells (dacrocytes) cabot rings are thin, threadlike, red to violet rings or “figure 8” shaped inclusions in red blood cells. Red blood cell, shape. What Does Teardrop Blood Cells Mean.
From www.pathologystudent.com
Teardrop red cells What Does Teardrop Blood Cells Mean Poikilocytosis means that more than 10% of your red blood cells are abnormal shapes. The presence of teardrop cells (dacrocytes) (figure below) in the peripheral blood, named for their tear drop shape, is a prominent feature of myelophthisic (marrow. Red blood cells that are teardrop or pear shaped with one blunt projection. It may be a sign of anemia, a. What Does Teardrop Blood Cells Mean.
From www.researchgate.net
Marked anisopoikilocytosis with microcytosis. Teardrop cells, target What Does Teardrop Blood Cells Mean The presence of teardrop cells (dacrocytes) (figure below) in the peripheral blood, named for their tear drop shape, is a prominent feature of myelophthisic (marrow. Red blood cells that are teardrop or pear shaped with one blunt projection. •teardrop cells (dacrocytes) are frequently associated with infiltration of the bone marrow by fibrosis, granulomatous inflammation, or hematopoietic or metastatic. Red blood. What Does Teardrop Blood Cells Mean.
From ar.inspiredpencil.com
Teardrop Cell What Does Teardrop Blood Cells Mean •teardrop cells (dacrocytes) are frequently associated with infiltration of the bone marrow by fibrosis, granulomatous inflammation, or hematopoietic or metastatic. Poikilocytosis means that more than 10% of your red blood cells are abnormal shapes. Red blood cell, shape abnormality. Teardrop cells (dacrocytes) cabot rings are thin, threadlike, red to violet rings or “figure 8” shaped inclusions in red blood cells.. What Does Teardrop Blood Cells Mean.
From medicallabnotes.com
Atlas of Blood Cells in Hematology Introduction, List of Content What Does Teardrop Blood Cells Mean Teardrop erythrocytes are poikilocytes that allow for conclusions to be drawn about changes in the formation of blood. Teardrop cells (dacrocytes) cabot rings are thin, threadlike, red to violet rings or “figure 8” shaped inclusions in red blood cells. They have a blunt rounded side. Red cells appearing in the shape of a teardrop or a pear with a single.. What Does Teardrop Blood Cells Mean.
From www.lecturio.com
Primary Myelofibrosis Concise Medical Knowledge What Does Teardrop Blood Cells Mean Red blood cells that are teardrop or pear shaped with one blunt projection. It may be a sign of anemia, a condition that. Red cells appearing in the shape of a teardrop or a pear with a single. Teardrop erythrocytes are poikilocytes that allow for conclusions to be drawn about changes in the formation of blood. The presence of teardrop. What Does Teardrop Blood Cells Mean.
From www.hematomorphology.info
Teardrop cells Hematomorphology, a databank / imagebank for What Does Teardrop Blood Cells Mean Teardrop cells (dacrocytes) cabot rings are thin, threadlike, red to violet rings or “figure 8” shaped inclusions in red blood cells. •teardrop cells (dacrocytes) are frequently associated with infiltration of the bone marrow by fibrosis, granulomatous inflammation, or hematopoietic or metastatic. Red cells appearing in the shape of a teardrop or a pear with a single. It may be a. What Does Teardrop Blood Cells Mean.