Titanium Femur Rod Weight . Recovery was difficult and the best bend i ever attained was 102. They are also called intramedullary nails. The weight of a titanium femur rod will be different depending on the length and diameter of rod needed by the patient. The patient is positioned so that the side of the thigh is clearly visible to the. 2023 i had a total knee replacement. Rods and nails are long cylinders that are made of surgical grade metal (stainless steel or titanium). This surgical procedure stabilizes severe fractures of the femur by placing a metal rod into the center of the femur. They may be used in the femur (thigh bone) or tibia (shin bone), for example. Im rods are inserted into the bone marrow canal in the center of the long bones of the extremities. Intramedullary (im) rods are used to align and stabilize fractures. Here’s a reference table for steel rod weight based on diameter, with approximate weights per foot and meter. They are also called intramedullary (im) devices, as they go inside of the bone. Steel rods are commonly used. One of the main reasons a patient might need an artificial femur—called a “total femur” in the medical industry—isn’t a traumatic accident: These devices are inserted inside the marrow cavity of a long bone (tibia, femur, humerus, or forearm bones).
from www.semanticscholar.org
They are also called intramedullary nails. One of the main reasons a patient might need an artificial femur—called a “total femur” in the medical industry—isn’t a traumatic accident: 2023 i had a total knee replacement. They are also called intramedullary (im) devices, as they go inside of the bone. They may be used in the femur (thigh bone) or tibia (shin bone), for example. The weight of a titanium femur rod will be different depending on the length and diameter of rod needed by the patient. Rods and nails are long cylinders that are made of surgical grade metal (stainless steel or titanium). These devices are inserted inside the marrow cavity of a long bone (tibia, femur, humerus, or forearm bones). The patient is positioned so that the side of the thigh is clearly visible to the. Intramedullary (im) rods are used to align and stabilize fractures.
[PDF] Elastic stable intramedullary nailing of femoral shaft fractures
Titanium Femur Rod Weight Intramedullary (im) rods are used to align and stabilize fractures. Recovery was difficult and the best bend i ever attained was 102. They may be used in the femur (thigh bone) or tibia (shin bone), for example. Steel rods are commonly used. One of the main reasons a patient might need an artificial femur—called a “total femur” in the medical industry—isn’t a traumatic accident: Im rods are inserted into the bone marrow canal in the center of the long bones of the extremities. The weight of a titanium femur rod will be different depending on the length and diameter of rod needed by the patient. They are also called intramedullary (im) devices, as they go inside of the bone. Here’s a reference table for steel rod weight based on diameter, with approximate weights per foot and meter. 2023 i had a total knee replacement. These devices are inserted inside the marrow cavity of a long bone (tibia, femur, humerus, or forearm bones). The patient is positioned so that the side of the thigh is clearly visible to the. They are also called intramedullary nails. Rods and nails are long cylinders that are made of surgical grade metal (stainless steel or titanium). This surgical procedure stabilizes severe fractures of the femur by placing a metal rod into the center of the femur. Intramedullary (im) rods are used to align and stabilize fractures.
From www.ctisus.com
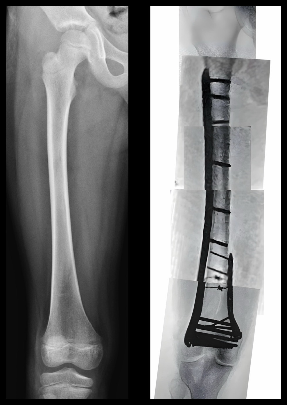
Femur Fracture with Rod in Place Musculoskeletal Case Studies Titanium Femur Rod Weight Im rods are inserted into the bone marrow canal in the center of the long bones of the extremities. This surgical procedure stabilizes severe fractures of the femur by placing a metal rod into the center of the femur. They are also called intramedullary nails. 2023 i had a total knee replacement. Here’s a reference table for steel rod weight. Titanium Femur Rod Weight.
From ar.inspiredpencil.com
Titanium Rod In Femur Titanium Femur Rod Weight The weight of a titanium femur rod will be different depending on the length and diameter of rod needed by the patient. This surgical procedure stabilizes severe fractures of the femur by placing a metal rod into the center of the femur. One of the main reasons a patient might need an artificial femur—called a “total femur” in the medical. Titanium Femur Rod Weight.
From www.orthopedicsurgeryinstrument.com
Medical Titanium Femur Locking Bone Plates Orthopedic Surgery Instrument Titanium Femur Rod Weight Here’s a reference table for steel rod weight based on diameter, with approximate weights per foot and meter. Steel rods are commonly used. Recovery was difficult and the best bend i ever attained was 102. They are also called intramedullary (im) devices, as they go inside of the bone. Im rods are inserted into the bone marrow canal in the. Titanium Femur Rod Weight.
From www.semanticscholar.org
[PDF] Elastic stable intramedullary nailing of femoral shaft fractures Titanium Femur Rod Weight They are also called intramedullary nails. Rods and nails are long cylinders that are made of surgical grade metal (stainless steel or titanium). The patient is positioned so that the side of the thigh is clearly visible to the. The weight of a titanium femur rod will be different depending on the length and diameter of rod needed by the. Titanium Femur Rod Weight.
From www.alibaba.com
Hot Sell Medical Titanium Bar Femur Titanium Rod In Leg Price Buy Titanium Femur Rod Weight Im rods are inserted into the bone marrow canal in the center of the long bones of the extremities. The patient is positioned so that the side of the thigh is clearly visible to the. This surgical procedure stabilizes severe fractures of the femur by placing a metal rod into the center of the femur. Here’s a reference table for. Titanium Femur Rod Weight.
From aorth1.en.made-in-china.com
China Expert Femoral Interlocking Nail, Orthopedic Implant Titanium Titanium Femur Rod Weight Steel rods are commonly used. The patient is positioned so that the side of the thigh is clearly visible to the. The weight of a titanium femur rod will be different depending on the length and diameter of rod needed by the patient. 2023 i had a total knee replacement. Here’s a reference table for steel rod weight based on. Titanium Femur Rod Weight.
From ar.inspiredpencil.com
Titanium Rod In Femur Titanium Femur Rod Weight The weight of a titanium femur rod will be different depending on the length and diameter of rod needed by the patient. One of the main reasons a patient might need an artificial femur—called a “total femur” in the medical industry—isn’t a traumatic accident: They may be used in the femur (thigh bone) or tibia (shin bone), for example. This. Titanium Femur Rod Weight.
From ar.inspiredpencil.com
Titanium Rod In Femur Titanium Femur Rod Weight The weight of a titanium femur rod will be different depending on the length and diameter of rod needed by the patient. This surgical procedure stabilizes severe fractures of the femur by placing a metal rod into the center of the femur. They are also called intramedullary (im) devices, as they go inside of the bone. The patient is positioned. Titanium Femur Rod Weight.
From 365project.org
Someone’s good femur. My titanium femur. by John Falconer · 365 Project Titanium Femur Rod Weight They are also called intramedullary nails. These devices are inserted inside the marrow cavity of a long bone (tibia, femur, humerus, or forearm bones). Steel rods are commonly used. The patient is positioned so that the side of the thigh is clearly visible to the. Rods and nails are long cylinders that are made of surgical grade metal (stainless steel. Titanium Femur Rod Weight.
From szjmryl.en.made-in-china.com
Pfna Proximal Femoral Interlocking Nail, Titanium Femur Pfn Titanium Femur Rod Weight One of the main reasons a patient might need an artificial femur—called a “total femur” in the medical industry—isn’t a traumatic accident: Recovery was difficult and the best bend i ever attained was 102. They are also called intramedullary (im) devices, as they go inside of the bone. Steel rods are commonly used. 2023 i had a total knee replacement.. Titanium Femur Rod Weight.
From www.researchgate.net
Properties of titanium and human femur bone [15] Download Scientific Titanium Femur Rod Weight Here’s a reference table for steel rod weight based on diameter, with approximate weights per foot and meter. The patient is positioned so that the side of the thigh is clearly visible to the. Intramedullary (im) rods are used to align and stabilize fractures. They may be used in the femur (thigh bone) or tibia (shin bone), for example. One. Titanium Femur Rod Weight.
From www.canwell.com.cn
Canwell traumatology and orthopedics Titanium DCS Plate 95 degrees with Titanium Femur Rod Weight They may be used in the femur (thigh bone) or tibia (shin bone), for example. The patient is positioned so that the side of the thigh is clearly visible to the. They are also called intramedullary (im) devices, as they go inside of the bone. These devices are inserted inside the marrow cavity of a long bone (tibia, femur, humerus,. Titanium Femur Rod Weight.
From ar.inspiredpencil.com
Titanium Rod In Femur Titanium Femur Rod Weight Steel rods are commonly used. They are also called intramedullary (im) devices, as they go inside of the bone. They are also called intramedullary nails. 2023 i had a total knee replacement. The patient is positioned so that the side of the thigh is clearly visible to the. The weight of a titanium femur rod will be different depending on. Titanium Femur Rod Weight.
From www.alamy.com
Pinned femur fracture. Xray of a titanium metal rod and screw (white Titanium Femur Rod Weight 2023 i had a total knee replacement. They are also called intramedullary (im) devices, as they go inside of the bone. The patient is positioned so that the side of the thigh is clearly visible to the. Intramedullary (im) rods are used to align and stabilize fractures. Here’s a reference table for steel rod weight based on diameter, with approximate. Titanium Femur Rod Weight.
From ar.inspiredpencil.com
Titanium Rod In Femur Titanium Femur Rod Weight The weight of a titanium femur rod will be different depending on the length and diameter of rod needed by the patient. They may be used in the femur (thigh bone) or tibia (shin bone), for example. This surgical procedure stabilizes severe fractures of the femur by placing a metal rod into the center of the femur. The patient is. Titanium Femur Rod Weight.
From es.made-in-china.com
Titanium Femur Orthopedic Implants 5.0mm Distal Lateral Condyle Femoral Titanium Femur Rod Weight The patient is positioned so that the side of the thigh is clearly visible to the. Steel rods are commonly used. They may be used in the femur (thigh bone) or tibia (shin bone), for example. 2023 i had a total knee replacement. Intramedullary (im) rods are used to align and stabilize fractures. The weight of a titanium femur rod. Titanium Femur Rod Weight.
From www.alibaba.com
Hot Sell Medical Titanium Bar Femur Titanium Rod In Leg Price Buy Titanium Femur Rod Weight Intramedullary (im) rods are used to align and stabilize fractures. Here’s a reference table for steel rod weight based on diameter, with approximate weights per foot and meter. Recovery was difficult and the best bend i ever attained was 102. They are also called intramedullary (im) devices, as they go inside of the bone. Im rods are inserted into the. Titanium Femur Rod Weight.
From tianyunorthopedic.en.made-in-china.com
Titanium Femoral Interlocking Standard Surgical Intramedullary Nail Titanium Femur Rod Weight One of the main reasons a patient might need an artificial femur—called a “total femur” in the medical industry—isn’t a traumatic accident: They may be used in the femur (thigh bone) or tibia (shin bone), for example. The patient is positioned so that the side of the thigh is clearly visible to the. Im rods are inserted into the bone. Titanium Femur Rod Weight.
From proper-cooking.info
Femur Repair With Titanium Rod Titanium Femur Rod Weight Here’s a reference table for steel rod weight based on diameter, with approximate weights per foot and meter. Intramedullary (im) rods are used to align and stabilize fractures. They may be used in the femur (thigh bone) or tibia (shin bone), for example. They are also called intramedullary nails. These devices are inserted inside the marrow cavity of a long. Titanium Femur Rod Weight.
From www.alibaba.com
Price Of Titanium Rod Femur Buy Price Of Titanium Rod Femur,Femur Titanium Femur Rod Weight Rods and nails are long cylinders that are made of surgical grade metal (stainless steel or titanium). Recovery was difficult and the best bend i ever attained was 102. The patient is positioned so that the side of the thigh is clearly visible to the. Steel rods are commonly used. They are also called intramedullary nails. Intramedullary (im) rods are. Titanium Femur Rod Weight.
From www.mdpi.com
JCM Free FullText Use of a PlasmaSprayed TitaniumHydroxyapatite Titanium Femur Rod Weight Recovery was difficult and the best bend i ever attained was 102. This surgical procedure stabilizes severe fractures of the femur by placing a metal rod into the center of the femur. These devices are inserted inside the marrow cavity of a long bone (tibia, femur, humerus, or forearm bones). They are also called intramedullary nails. One of the main. Titanium Femur Rod Weight.
From www.arthroplastytoday.org
Tapered modular fluted titanium stems for femoral fixation in revision Titanium Femur Rod Weight Steel rods are commonly used. Intramedullary (im) rods are used to align and stabilize fractures. Rods and nails are long cylinders that are made of surgical grade metal (stainless steel or titanium). Recovery was difficult and the best bend i ever attained was 102. They may be used in the femur (thigh bone) or tibia (shin bone), for example. This. Titanium Femur Rod Weight.
From www.freelance-veterinary.co.uk
Biomedtrix BFX Femoral Stem Titanium Titanium Femur Rod Weight Im rods are inserted into the bone marrow canal in the center of the long bones of the extremities. Recovery was difficult and the best bend i ever attained was 102. The weight of a titanium femur rod will be different depending on the length and diameter of rod needed by the patient. Rods and nails are long cylinders that. Titanium Femur Rod Weight.
From dxoixqnfu.blob.core.windows.net
Can I Get An Mri With A Titanium Rod In My Leg at Gregory Warner blog Titanium Femur Rod Weight They are also called intramedullary (im) devices, as they go inside of the bone. They are also called intramedullary nails. The patient is positioned so that the side of the thigh is clearly visible to the. Recovery was difficult and the best bend i ever attained was 102. This surgical procedure stabilizes severe fractures of the femur by placing a. Titanium Femur Rod Weight.
From www.researchgate.net
Photograph showing the Short Modular Femoral stem (SMF™) (Smith Titanium Femur Rod Weight They are also called intramedullary (im) devices, as they go inside of the bone. Steel rods are commonly used. Im rods are inserted into the bone marrow canal in the center of the long bones of the extremities. Here’s a reference table for steel rod weight based on diameter, with approximate weights per foot and meter. The patient is positioned. Titanium Femur Rod Weight.
From www.researchgate.net
Upper femur with simulated intramedullary rod insert fabricated from Titanium Femur Rod Weight These devices are inserted inside the marrow cavity of a long bone (tibia, femur, humerus, or forearm bones). Intramedullary (im) rods are used to align and stabilize fractures. They are also called intramedullary nails. They are also called intramedullary (im) devices, as they go inside of the bone. Steel rods are commonly used. This surgical procedure stabilizes severe fractures of. Titanium Femur Rod Weight.
From www.whruijin.com
Factory Titanium Gamma Proximal Femoral Removal Orthopedic Implant Titanium Femur Rod Weight They are also called intramedullary (im) devices, as they go inside of the bone. Recovery was difficult and the best bend i ever attained was 102. The patient is positioned so that the side of the thigh is clearly visible to the. Intramedullary (im) rods are used to align and stabilize fractures. Rods and nails are long cylinders that are. Titanium Femur Rod Weight.
From www.alibaba.com
Multiaxial 5.0mm Distal Femur Titanium Locking Plate Orthopedic Titanium Femur Rod Weight This surgical procedure stabilizes severe fractures of the femur by placing a metal rod into the center of the femur. Im rods are inserted into the bone marrow canal in the center of the long bones of the extremities. Steel rods are commonly used. They are also called intramedullary (im) devices, as they go inside of the bone. One of. Titanium Femur Rod Weight.
From www.exportersindia.com
Titanium Stainless Steel Distal Femur Plate, Size 12mm Biomed Titanium Femur Rod Weight 2023 i had a total knee replacement. They may be used in the femur (thigh bone) or tibia (shin bone), for example. Rods and nails are long cylinders that are made of surgical grade metal (stainless steel or titanium). The patient is positioned so that the side of the thigh is clearly visible to the. One of the main reasons. Titanium Femur Rod Weight.
From www.indiamart.com
Titanium Distal Femur Plates, 2.0mm at Rs 3000 in Bhilwara ID Titanium Femur Rod Weight One of the main reasons a patient might need an artificial femur—called a “total femur” in the medical industry—isn’t a traumatic accident: Im rods are inserted into the bone marrow canal in the center of the long bones of the extremities. 2023 i had a total knee replacement. They are also called intramedullary nails. They may be used in the. Titanium Femur Rod Weight.
From collection.sciencemuseum.org.uk
Titanium femur replacement, England, 1981 Science Museum Group Collection Titanium Femur Rod Weight They are also called intramedullary (im) devices, as they go inside of the bone. Intramedullary (im) rods are used to align and stabilize fractures. The weight of a titanium femur rod will be different depending on the length and diameter of rod needed by the patient. Rods and nails are long cylinders that are made of surgical grade metal (stainless. Titanium Femur Rod Weight.
From www.orthopedicsurgeryinstrument.com
Medical Titanium Femur Locking Bone Plates Orthopedic Surgery Instrument Titanium Femur Rod Weight The weight of a titanium femur rod will be different depending on the length and diameter of rod needed by the patient. Im rods are inserted into the bone marrow canal in the center of the long bones of the extremities. 2023 i had a total knee replacement. They may be used in the femur (thigh bone) or tibia (shin. Titanium Femur Rod Weight.
From www.greatfallstribune.com
device helps Fort Belknap teen reach new height Titanium Femur Rod Weight These devices are inserted inside the marrow cavity of a long bone (tibia, femur, humerus, or forearm bones). Rods and nails are long cylinders that are made of surgical grade metal (stainless steel or titanium). One of the main reasons a patient might need an artificial femur—called a “total femur” in the medical industry—isn’t a traumatic accident: Recovery was difficult. Titanium Femur Rod Weight.
From www.alibaba.com
Hot Sell Medical Titanium Bar Femur Titanium Rod In Leg Price Buy Titanium Femur Rod Weight 2023 i had a total knee replacement. Recovery was difficult and the best bend i ever attained was 102. One of the main reasons a patient might need an artificial femur—called a “total femur” in the medical industry—isn’t a traumatic accident: These devices are inserted inside the marrow cavity of a long bone (tibia, femur, humerus, or forearm bones). Im. Titanium Femur Rod Weight.
From tianyunorthopedic.en.made-in-china.com
Orthopedic Implant Titanium Femur Neck Fracture Plate Trauma Implant Titanium Femur Rod Weight They are also called intramedullary (im) devices, as they go inside of the bone. One of the main reasons a patient might need an artificial femur—called a “total femur” in the medical industry—isn’t a traumatic accident: They are also called intramedullary nails. Here’s a reference table for steel rod weight based on diameter, with approximate weights per foot and meter.. Titanium Femur Rod Weight.