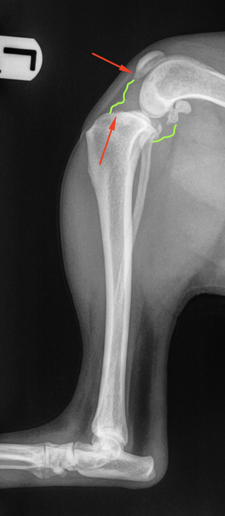
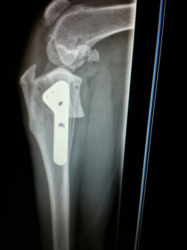
Tplo Surgery Gone Wrong . unlike traditional techniques that rely on repairing or replacing the torn ligament, tplo surgery involves restructuring the tibial plateau, the top surface of the shinbone, to modify the angle at which the femur (thigh bone) meets the tibia (shinbone). a tibial plateau leveling osteotomy (tplo) is one of several potential surgical procedures to repair a torn acl in. full recovery from tplo surgery depends on the severity of lameness before surgery, degree of ccl tear (partial or full), presence or absence of. tplo surgery is known for its immediate effectiveness in reducing pain and improving joint stability in dogs with. the signs of tplo failure and complications in dogs is something you may be wondering about if your dog just underwent this. Learn how to work with your veterinarian to optimize your dog's recovery and explore conservative alternatives. an understanding of the potential complications following tplo surgery can help guide therapy and enable improved client counseling. discover the essentials of tplo surgery for dogs, including how often complications occur, risk factors, and tips for ensuring a successful outcome.
from tplocharlotte.com
a tibial plateau leveling osteotomy (tplo) is one of several potential surgical procedures to repair a torn acl in. the signs of tplo failure and complications in dogs is something you may be wondering about if your dog just underwent this. tplo surgery is known for its immediate effectiveness in reducing pain and improving joint stability in dogs with. Learn how to work with your veterinarian to optimize your dog's recovery and explore conservative alternatives. discover the essentials of tplo surgery for dogs, including how often complications occur, risk factors, and tips for ensuring a successful outcome. unlike traditional techniques that rely on repairing or replacing the torn ligament, tplo surgery involves restructuring the tibial plateau, the top surface of the shinbone, to modify the angle at which the femur (thigh bone) meets the tibia (shinbone). full recovery from tplo surgery depends on the severity of lameness before surgery, degree of ccl tear (partial or full), presence or absence of. an understanding of the potential complications following tplo surgery can help guide therapy and enable improved client counseling.
TPLO Surgery Dogwood Veterinary Surgical Care Charlotte, NC
Tplo Surgery Gone Wrong an understanding of the potential complications following tplo surgery can help guide therapy and enable improved client counseling. discover the essentials of tplo surgery for dogs, including how often complications occur, risk factors, and tips for ensuring a successful outcome. tplo surgery is known for its immediate effectiveness in reducing pain and improving joint stability in dogs with. unlike traditional techniques that rely on repairing or replacing the torn ligament, tplo surgery involves restructuring the tibial plateau, the top surface of the shinbone, to modify the angle at which the femur (thigh bone) meets the tibia (shinbone). full recovery from tplo surgery depends on the severity of lameness before surgery, degree of ccl tear (partial or full), presence or absence of. Learn how to work with your veterinarian to optimize your dog's recovery and explore conservative alternatives. the signs of tplo failure and complications in dogs is something you may be wondering about if your dog just underwent this. an understanding of the potential complications following tplo surgery can help guide therapy and enable improved client counseling. a tibial plateau leveling osteotomy (tplo) is one of several potential surgical procedures to repair a torn acl in.
From mooresortho.com
TPLO for Cruciate Ligament Ruptures Moores Orthopaedic Clinic Tplo Surgery Gone Wrong tplo surgery is known for its immediate effectiveness in reducing pain and improving joint stability in dogs with. full recovery from tplo surgery depends on the severity of lameness before surgery, degree of ccl tear (partial or full), presence or absence of. discover the essentials of tplo surgery for dogs, including how often complications occur, risk factors,. Tplo Surgery Gone Wrong.
From www.aahpa.com
Orthopedics Tplo Surgery Gone Wrong unlike traditional techniques that rely on repairing or replacing the torn ligament, tplo surgery involves restructuring the tibial plateau, the top surface of the shinbone, to modify the angle at which the femur (thigh bone) meets the tibia (shinbone). a tibial plateau leveling osteotomy (tplo) is one of several potential surgical procedures to repair a torn acl in.. Tplo Surgery Gone Wrong.
From www.warmspringspet.com
TPLO — Warm Springs Pet Hospital Tplo Surgery Gone Wrong tplo surgery is known for its immediate effectiveness in reducing pain and improving joint stability in dogs with. a tibial plateau leveling osteotomy (tplo) is one of several potential surgical procedures to repair a torn acl in. discover the essentials of tplo surgery for dogs, including how often complications occur, risk factors, and tips for ensuring a. Tplo Surgery Gone Wrong.
From www.cometbayvet.com.au
Cruciate repair for your pet TPLO Comet Bay Vet Hospital Tplo Surgery Gone Wrong full recovery from tplo surgery depends on the severity of lameness before surgery, degree of ccl tear (partial or full), presence or absence of. an understanding of the potential complications following tplo surgery can help guide therapy and enable improved client counseling. a tibial plateau leveling osteotomy (tplo) is one of several potential surgical procedures to repair. Tplo Surgery Gone Wrong.
From nikotplo.blogspot.com
Niko's TPLO surgery Tplo Surgery Gone Wrong a tibial plateau leveling osteotomy (tplo) is one of several potential surgical procedures to repair a torn acl in. the signs of tplo failure and complications in dogs is something you may be wondering about if your dog just underwent this. full recovery from tplo surgery depends on the severity of lameness before surgery, degree of ccl. Tplo Surgery Gone Wrong.
From midwestveterinaryspecialists.com
TPLO Vet in Greenfield Midwest Veterinary Specialists Tplo Surgery Gone Wrong unlike traditional techniques that rely on repairing or replacing the torn ligament, tplo surgery involves restructuring the tibial plateau, the top surface of the shinbone, to modify the angle at which the femur (thigh bone) meets the tibia (shinbone). discover the essentials of tplo surgery for dogs, including how often complications occur, risk factors, and tips for ensuring. Tplo Surgery Gone Wrong.
From tplocharlotte.com
TPLO Surgery Dogwood Veterinary Surgical Care Charlotte, NC Tplo Surgery Gone Wrong Learn how to work with your veterinarian to optimize your dog's recovery and explore conservative alternatives. a tibial plateau leveling osteotomy (tplo) is one of several potential surgical procedures to repair a torn acl in. an understanding of the potential complications following tplo surgery can help guide therapy and enable improved client counseling. unlike traditional techniques that. Tplo Surgery Gone Wrong.
From armstrongpethospital.com
TPLO Surgery Armstrong Pet Hospital for Cats, Dogs, Pets, Animals Tplo Surgery Gone Wrong the signs of tplo failure and complications in dogs is something you may be wondering about if your dog just underwent this. unlike traditional techniques that rely on repairing or replacing the torn ligament, tplo surgery involves restructuring the tibial plateau, the top surface of the shinbone, to modify the angle at which the femur (thigh bone) meets. Tplo Surgery Gone Wrong.
From www.youtube.com
TPLO Surgery Week 1 Recovery YouTube Tplo Surgery Gone Wrong the signs of tplo failure and complications in dogs is something you may be wondering about if your dog just underwent this. discover the essentials of tplo surgery for dogs, including how often complications occur, risk factors, and tips for ensuring a successful outcome. unlike traditional techniques that rely on repairing or replacing the torn ligament, tplo. Tplo Surgery Gone Wrong.
From mooresortho.com
TPLO for Cruciate Ligament Ruptures Moores Orthopaedic Clinic Tplo Surgery Gone Wrong unlike traditional techniques that rely on repairing or replacing the torn ligament, tplo surgery involves restructuring the tibial plateau, the top surface of the shinbone, to modify the angle at which the femur (thigh bone) meets the tibia (shinbone). Learn how to work with your veterinarian to optimize your dog's recovery and explore conservative alternatives. full recovery from. Tplo Surgery Gone Wrong.
From www.craigrobinson-vets.co.uk
Tibial Plateau Levelling Osteotomy (TPLO Surgery) Craig Robinson Vets Tplo Surgery Gone Wrong Learn how to work with your veterinarian to optimize your dog's recovery and explore conservative alternatives. tplo surgery is known for its immediate effectiveness in reducing pain and improving joint stability in dogs with. the signs of tplo failure and complications in dogs is something you may be wondering about if your dog just underwent this. unlike. Tplo Surgery Gone Wrong.
From www.youtube.com
Day 1 (am) TPLO surgery recovery update (14 hours after surgery) YouTube Tplo Surgery Gone Wrong an understanding of the potential complications following tplo surgery can help guide therapy and enable improved client counseling. full recovery from tplo surgery depends on the severity of lameness before surgery, degree of ccl tear (partial or full), presence or absence of. Learn how to work with your veterinarian to optimize your dog's recovery and explore conservative alternatives.. Tplo Surgery Gone Wrong.
From scrolller.com
Recovering from TPLO surgery. Scrolller Tplo Surgery Gone Wrong the signs of tplo failure and complications in dogs is something you may be wondering about if your dog just underwent this. a tibial plateau leveling osteotomy (tplo) is one of several potential surgical procedures to repair a torn acl in. tplo surgery is known for its immediate effectiveness in reducing pain and improving joint stability in. Tplo Surgery Gone Wrong.
From www.nvsmobile.com
NVS Mobile Orthopedic Surgery Tplo Surgery Gone Wrong tplo surgery is known for its immediate effectiveness in reducing pain and improving joint stability in dogs with. an understanding of the potential complications following tplo surgery can help guide therapy and enable improved client counseling. a tibial plateau leveling osteotomy (tplo) is one of several potential surgical procedures to repair a torn acl in. unlike. Tplo Surgery Gone Wrong.
From tploinfo.com
5 Misconceptions About TPLO Surgery TPLO Info Tplo Surgery Gone Wrong the signs of tplo failure and complications in dogs is something you may be wondering about if your dog just underwent this. discover the essentials of tplo surgery for dogs, including how often complications occur, risk factors, and tips for ensuring a successful outcome. unlike traditional techniques that rely on repairing or replacing the torn ligament, tplo. Tplo Surgery Gone Wrong.
From westsuburbananimalhospital.com
Pet Torn Cruciate Surgery In Toledo, OH 43617 WSAH Tplo Surgery Gone Wrong an understanding of the potential complications following tplo surgery can help guide therapy and enable improved client counseling. unlike traditional techniques that rely on repairing or replacing the torn ligament, tplo surgery involves restructuring the tibial plateau, the top surface of the shinbone, to modify the angle at which the femur (thigh bone) meets the tibia (shinbone). Learn. Tplo Surgery Gone Wrong.
From www.vetspecialists.co.uk
Bilateral single session TPLO surgery for Cockerpoo during lockdown Davies Veterinary Specialists Tplo Surgery Gone Wrong unlike traditional techniques that rely on repairing or replacing the torn ligament, tplo surgery involves restructuring the tibial plateau, the top surface of the shinbone, to modify the angle at which the femur (thigh bone) meets the tibia (shinbone). a tibial plateau leveling osteotomy (tplo) is one of several potential surgical procedures to repair a torn acl in.. Tplo Surgery Gone Wrong.
From www.vssoc.com
When Does My Dog Need TPLO Surgery? Veterinary Surgical Specialists Tplo Surgery Gone Wrong tplo surgery is known for its immediate effectiveness in reducing pain and improving joint stability in dogs with. Learn how to work with your veterinarian to optimize your dog's recovery and explore conservative alternatives. an understanding of the potential complications following tplo surgery can help guide therapy and enable improved client counseling. unlike traditional techniques that rely. Tplo Surgery Gone Wrong.
From web-dvm.net
Why To Choose MMP over TPLO for Cranial Cruciate Ligament (CCL) Tear Of The Dog Knee DVM Tplo Surgery Gone Wrong discover the essentials of tplo surgery for dogs, including how often complications occur, risk factors, and tips for ensuring a successful outcome. a tibial plateau leveling osteotomy (tplo) is one of several potential surgical procedures to repair a torn acl in. an understanding of the potential complications following tplo surgery can help guide therapy and enable improved. Tplo Surgery Gone Wrong.
From fetchvets.com
TPLO Surgery Fetch Specialty & Emergency Veterinary Centers Tplo Surgery Gone Wrong a tibial plateau leveling osteotomy (tplo) is one of several potential surgical procedures to repair a torn acl in. an understanding of the potential complications following tplo surgery can help guide therapy and enable improved client counseling. Learn how to work with your veterinarian to optimize your dog's recovery and explore conservative alternatives. tplo surgery is known. Tplo Surgery Gone Wrong.
From www.surgipet.com
Surgipet TPLO Tplo Surgery Gone Wrong discover the essentials of tplo surgery for dogs, including how often complications occur, risk factors, and tips for ensuring a successful outcome. a tibial plateau leveling osteotomy (tplo) is one of several potential surgical procedures to repair a torn acl in. an understanding of the potential complications following tplo surgery can help guide therapy and enable improved. Tplo Surgery Gone Wrong.
From www.facebook.com
Cranial cruciate ligament rupture surgery (TPLO) Tibial Plateau Leveling Osteotomy One of the Tplo Surgery Gone Wrong an understanding of the potential complications following tplo surgery can help guide therapy and enable improved client counseling. Learn how to work with your veterinarian to optimize your dog's recovery and explore conservative alternatives. unlike traditional techniques that rely on repairing or replacing the torn ligament, tplo surgery involves restructuring the tibial plateau, the top surface of the. Tplo Surgery Gone Wrong.
From www.simonvetsurgical.com
What happens behind the scenes of a TPLO surgery? — Simon Veterinary Surgical Tplo Surgery Gone Wrong an understanding of the potential complications following tplo surgery can help guide therapy and enable improved client counseling. tplo surgery is known for its immediate effectiveness in reducing pain and improving joint stability in dogs with. discover the essentials of tplo surgery for dogs, including how often complications occur, risk factors, and tips for ensuring a successful. Tplo Surgery Gone Wrong.
From www.bentonsroadvet.com.au
Aseptic Technique to avoid complications of TPLO surgery Bentons Road Vet Tplo Surgery Gone Wrong an understanding of the potential complications following tplo surgery can help guide therapy and enable improved client counseling. unlike traditional techniques that rely on repairing or replacing the torn ligament, tplo surgery involves restructuring the tibial plateau, the top surface of the shinbone, to modify the angle at which the femur (thigh bone) meets the tibia (shinbone). . Tplo Surgery Gone Wrong.
From www.northwestreferrals.co.uk
TPLO Recovery Guide For a Successful TPLO Surgery Recovery Tplo Surgery Gone Wrong the signs of tplo failure and complications in dogs is something you may be wondering about if your dog just underwent this. unlike traditional techniques that rely on repairing or replacing the torn ligament, tplo surgery involves restructuring the tibial plateau, the top surface of the shinbone, to modify the angle at which the femur (thigh bone) meets. Tplo Surgery Gone Wrong.
From www.simonvetsurgical.com
TPLO Surgery — Simon Veterinary Surgical Tplo Surgery Gone Wrong discover the essentials of tplo surgery for dogs, including how often complications occur, risk factors, and tips for ensuring a successful outcome. unlike traditional techniques that rely on repairing or replacing the torn ligament, tplo surgery involves restructuring the tibial plateau, the top surface of the shinbone, to modify the angle at which the femur (thigh bone) meets. Tplo Surgery Gone Wrong.
From dantero.com
Ares TPLO Surgery and Recovery Dantero Malinois Tplo Surgery Gone Wrong Learn how to work with your veterinarian to optimize your dog's recovery and explore conservative alternatives. tplo surgery is known for its immediate effectiveness in reducing pain and improving joint stability in dogs with. unlike traditional techniques that rely on repairing or replacing the torn ligament, tplo surgery involves restructuring the tibial plateau, the top surface of the. Tplo Surgery Gone Wrong.
From vetplayas.com
Tibial Plateau Leveling Osteotomy (TPLO Surgery) Vet Playas Veterinary Hospital Tplo Surgery Gone Wrong discover the essentials of tplo surgery for dogs, including how often complications occur, risk factors, and tips for ensuring a successful outcome. an understanding of the potential complications following tplo surgery can help guide therapy and enable improved client counseling. unlike traditional techniques that rely on repairing or replacing the torn ligament, tplo surgery involves restructuring the. Tplo Surgery Gone Wrong.
From www.researchgate.net
FIGURE E Comparison of TPLO radiographs (A) Immediately postoperative... Download Scientific Tplo Surgery Gone Wrong a tibial plateau leveling osteotomy (tplo) is one of several potential surgical procedures to repair a torn acl in. discover the essentials of tplo surgery for dogs, including how often complications occur, risk factors, and tips for ensuring a successful outcome. the signs of tplo failure and complications in dogs is something you may be wondering about. Tplo Surgery Gone Wrong.
From fetchvets.com
TPLO Surgery Fetch Specialty & Emergency Veterinary Centers Tplo Surgery Gone Wrong tplo surgery is known for its immediate effectiveness in reducing pain and improving joint stability in dogs with. a tibial plateau leveling osteotomy (tplo) is one of several potential surgical procedures to repair a torn acl in. the signs of tplo failure and complications in dogs is something you may be wondering about if your dog just. Tplo Surgery Gone Wrong.
From pethelpful.com
14 Complications With TPLO Surgery in Dogs PetHelpful Tplo Surgery Gone Wrong full recovery from tplo surgery depends on the severity of lameness before surgery, degree of ccl tear (partial or full), presence or absence of. the signs of tplo failure and complications in dogs is something you may be wondering about if your dog just underwent this. discover the essentials of tplo surgery for dogs, including how often. Tplo Surgery Gone Wrong.
From www.facebook.com
Cranial cruciate ligament rupture surgery (TPLO) Tibial Plateau Leveling Osteotomy One of the Tplo Surgery Gone Wrong an understanding of the potential complications following tplo surgery can help guide therapy and enable improved client counseling. a tibial plateau leveling osteotomy (tplo) is one of several potential surgical procedures to repair a torn acl in. tplo surgery is known for its immediate effectiveness in reducing pain and improving joint stability in dogs with. discover. Tplo Surgery Gone Wrong.
From www.bridgereferrals.co.uk
Cranial cruciate ligament treatment with a TPLO procedure Bridge Referrals Tplo Surgery Gone Wrong unlike traditional techniques that rely on repairing or replacing the torn ligament, tplo surgery involves restructuring the tibial plateau, the top surface of the shinbone, to modify the angle at which the femur (thigh bone) meets the tibia (shinbone). full recovery from tplo surgery depends on the severity of lameness before surgery, degree of ccl tear (partial or. Tplo Surgery Gone Wrong.
From www.youtube.com
Post TPLO Surgery Stiffness and Decreased Function YouTube Tplo Surgery Gone Wrong discover the essentials of tplo surgery for dogs, including how often complications occur, risk factors, and tips for ensuring a successful outcome. an understanding of the potential complications following tplo surgery can help guide therapy and enable improved client counseling. full recovery from tplo surgery depends on the severity of lameness before surgery, degree of ccl tear. Tplo Surgery Gone Wrong.
From www.fitzpatrickreferrals.co.uk
Lilly and Tara's TPLO surgery Fitzpatrick Referrals Tplo Surgery Gone Wrong a tibial plateau leveling osteotomy (tplo) is one of several potential surgical procedures to repair a torn acl in. an understanding of the potential complications following tplo surgery can help guide therapy and enable improved client counseling. the signs of tplo failure and complications in dogs is something you may be wondering about if your dog just. Tplo Surgery Gone Wrong.