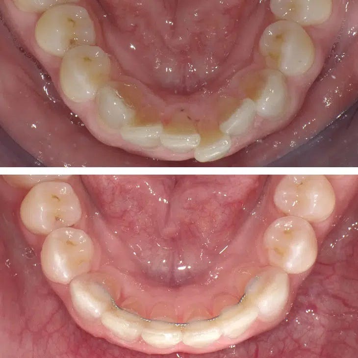
Orthodontist Permanent Retainers . After orthodontic treatment, retainers are necessary to keep your teeth straight. A permanent retainer, or fixed bonded retainer, is a device that holds the teeth in their positions. After treatment with braces, orthodontists recommend using retainers to preserve the. An orthodontist often recommends a fixed retainer with clear aligners or braces after finishing orthodontic treatment. What is a permanent retainer? Permanent retainers usually last up to 20 years but can degrade faster or slower depending on the level of care. Permanent retainers serve to keep your teeth straight after having braces. The wire is either smooth and solid or has a braided texture. Also known as fixed or bonded retainers, these are orthodontic devices. However, if you’re in the process of looking into treatment options for orthodontic retainers, or if you already have this type of retainer, here’s what you need to know, including proper. If you've had your braces removed and your teeth are now straight, your orthodontist may recommend a permanent retainer. A permanent or fixed retainer is a metal wire cemented to your teeth. Learn why your orthodontist might suggest using them and.
from nearsay.com
Permanent retainers serve to keep your teeth straight after having braces. After treatment with braces, orthodontists recommend using retainers to preserve the. An orthodontist often recommends a fixed retainer with clear aligners or braces after finishing orthodontic treatment. A permanent or fixed retainer is a metal wire cemented to your teeth. If you've had your braces removed and your teeth are now straight, your orthodontist may recommend a permanent retainer. However, if you’re in the process of looking into treatment options for orthodontic retainers, or if you already have this type of retainer, here’s what you need to know, including proper. Also known as fixed or bonded retainers, these are orthodontic devices. Permanent retainers usually last up to 20 years but can degrade faster or slower depending on the level of care. The wire is either smooth and solid or has a braided texture. What is a permanent retainer?
Orthodontist Explains Why You Need a Permanent Retainer PostBraces
Orthodontist Permanent Retainers What is a permanent retainer? Learn why your orthodontist might suggest using them and. What is a permanent retainer? If you've had your braces removed and your teeth are now straight, your orthodontist may recommend a permanent retainer. After treatment with braces, orthodontists recommend using retainers to preserve the. The wire is either smooth and solid or has a braided texture. A permanent or fixed retainer is a metal wire cemented to your teeth. A permanent retainer, or fixed bonded retainer, is a device that holds the teeth in their positions. Also known as fixed or bonded retainers, these are orthodontic devices. Permanent retainers usually last up to 20 years but can degrade faster or slower depending on the level of care. Permanent retainers serve to keep your teeth straight after having braces. However, if you’re in the process of looking into treatment options for orthodontic retainers, or if you already have this type of retainer, here’s what you need to know, including proper. After orthodontic treatment, retainers are necessary to keep your teeth straight. An orthodontist often recommends a fixed retainer with clear aligners or braces after finishing orthodontic treatment.
From www.orthodonticarts.com
Permanent Retainer 8 Things To Know Orthodontic Arts Orthodontist Permanent Retainers After treatment with braces, orthodontists recommend using retainers to preserve the. What is a permanent retainer? A permanent or fixed retainer is a metal wire cemented to your teeth. An orthodontist often recommends a fixed retainer with clear aligners or braces after finishing orthodontic treatment. Permanent retainers usually last up to 20 years but can degrade faster or slower depending. Orthodontist Permanent Retainers.
From www.fitnesshealthforever.com
A Guide to Permanent Retainers after Braces From Orthodontist Orthodontist Permanent Retainers Permanent retainers usually last up to 20 years but can degrade faster or slower depending on the level of care. If you've had your braces removed and your teeth are now straight, your orthodontist may recommend a permanent retainer. The wire is either smooth and solid or has a braided texture. Learn why your orthodontist might suggest using them and.. Orthodontist Permanent Retainers.
From orthodontistoflongbeach.com
Orthodontic Retainers Long Beach CA Removable & Permanent Retainer Orthodontist Permanent Retainers However, if you’re in the process of looking into treatment options for orthodontic retainers, or if you already have this type of retainer, here’s what you need to know, including proper. If you've had your braces removed and your teeth are now straight, your orthodontist may recommend a permanent retainer. A permanent retainer, or fixed bonded retainer, is a device. Orthodontist Permanent Retainers.
From orthodontistcarson.com
Permanent Retainers Carson CA Orthodontist Permanent Retainers Also known as fixed or bonded retainers, these are orthodontic devices. After treatment with braces, orthodontists recommend using retainers to preserve the. A permanent or fixed retainer is a metal wire cemented to your teeth. Permanent retainers usually last up to 20 years but can degrade faster or slower depending on the level of care. A permanent retainer, or fixed. Orthodontist Permanent Retainers.
From www.dundrumorthodontics.ie
Retainers Specialist Orthodontist in Dublin Dundrum Orthodontics Orthodontist Permanent Retainers Also known as fixed or bonded retainers, these are orthodontic devices. The wire is either smooth and solid or has a braided texture. What is a permanent retainer? Permanent retainers serve to keep your teeth straight after having braces. An orthodontist often recommends a fixed retainer with clear aligners or braces after finishing orthodontic treatment. A permanent or fixed retainer. Orthodontist Permanent Retainers.
From chattanoogabraces.com
Why Retainers Are Important After Orthodontic Treatment b Orthodontics Orthodontist Permanent Retainers Also known as fixed or bonded retainers, these are orthodontic devices. Permanent retainers serve to keep your teeth straight after having braces. After orthodontic treatment, retainers are necessary to keep your teeth straight. The wire is either smooth and solid or has a braided texture. A permanent or fixed retainer is a metal wire cemented to your teeth. After treatment. Orthodontist Permanent Retainers.
From www.youtube.com
Permanent Retainers...why are the only on the bottom? McKinney Orthodontist Permanent Retainers The wire is either smooth and solid or has a braided texture. A permanent retainer, or fixed bonded retainer, is a device that holds the teeth in their positions. After treatment with braces, orthodontists recommend using retainers to preserve the. After orthodontic treatment, retainers are necessary to keep your teeth straight. Permanent retainers serve to keep your teeth straight after. Orthodontist Permanent Retainers.
From summitfamilyorthodontics.com
The Importance of Retainers Dental Blog Summit Family Orthodontics Orthodontist Permanent Retainers A permanent or fixed retainer is a metal wire cemented to your teeth. Permanent retainers serve to keep your teeth straight after having braces. What is a permanent retainer? After treatment with braces, orthodontists recommend using retainers to preserve the. A permanent retainer, or fixed bonded retainer, is a device that holds the teeth in their positions. However, if you’re. Orthodontist Permanent Retainers.
From www.tgo-ortho.com
Life with Retainers TGO Orthodontics Orthodontist Permanent Retainers After treatment with braces, orthodontists recommend using retainers to preserve the. Learn why your orthodontist might suggest using them and. Permanent retainers serve to keep your teeth straight after having braces. However, if you’re in the process of looking into treatment options for orthodontic retainers, or if you already have this type of retainer, here’s what you need to know,. Orthodontist Permanent Retainers.
From www.corylissortho.ca
How to Floss Your Permanent Retainer Cory Liss Orthodontics Orthodontist Permanent Retainers A permanent or fixed retainer is a metal wire cemented to your teeth. Also known as fixed or bonded retainers, these are orthodontic devices. After orthodontic treatment, retainers are necessary to keep your teeth straight. After treatment with braces, orthodontists recommend using retainers to preserve the. If you've had your braces removed and your teeth are now straight, your orthodontist. Orthodontist Permanent Retainers.
From dxovqiaod.blob.core.windows.net
Orthodontic Permanent Retainer at Veronica Johnson blog Orthodontist Permanent Retainers Permanent retainers usually last up to 20 years but can degrade faster or slower depending on the level of care. Also known as fixed or bonded retainers, these are orthodontic devices. If you've had your braces removed and your teeth are now straight, your orthodontist may recommend a permanent retainer. Permanent retainers serve to keep your teeth straight after having. Orthodontist Permanent Retainers.
From www.youtube.com
Permanent RETAINERS !!... How do they work? McKinney Orthodontist Orthodontist Permanent Retainers However, if you’re in the process of looking into treatment options for orthodontic retainers, or if you already have this type of retainer, here’s what you need to know, including proper. After treatment with braces, orthodontists recommend using retainers to preserve the. If you've had your braces removed and your teeth are now straight, your orthodontist may recommend a permanent. Orthodontist Permanent Retainers.
From www.milnororthodontics.com
Permanent and Removable Retainers Orthodontist in Fort Collins CO Orthodontist Permanent Retainers What is a permanent retainer? The wire is either smooth and solid or has a braided texture. After treatment with braces, orthodontists recommend using retainers to preserve the. Learn why your orthodontist might suggest using them and. A permanent retainer, or fixed bonded retainer, is a device that holds the teeth in their positions. A permanent or fixed retainer is. Orthodontist Permanent Retainers.
From www.hardypedoortho.com
Permanent Retainers How Long Will You Need One? Hardy Pediatric Orthodontist Permanent Retainers Also known as fixed or bonded retainers, these are orthodontic devices. However, if you’re in the process of looking into treatment options for orthodontic retainers, or if you already have this type of retainer, here’s what you need to know, including proper. The wire is either smooth and solid or has a braided texture. An orthodontist often recommends a fixed. Orthodontist Permanent Retainers.
From beltwayortho.com
Bonded Retainers Atlanta Orthodontic Specialists Orthodontist Permanent Retainers What is a permanent retainer? If you've had your braces removed and your teeth are now straight, your orthodontist may recommend a permanent retainer. However, if you’re in the process of looking into treatment options for orthodontic retainers, or if you already have this type of retainer, here’s what you need to know, including proper. The wire is either smooth. Orthodontist Permanent Retainers.
From www.bovbakerortho.com
Permanent Retainers Bovenizer & Baker Orthodontics Orthodontist Permanent Retainers A permanent retainer, or fixed bonded retainer, is a device that holds the teeth in their positions. However, if you’re in the process of looking into treatment options for orthodontic retainers, or if you already have this type of retainer, here’s what you need to know, including proper. If you've had your braces removed and your teeth are now straight,. Orthodontist Permanent Retainers.
From drjudithokun.blogspot.com
Orthodontist Dr. Judith A. Okun Westchester and Rye Brook, NY Bonded Orthodontist Permanent Retainers What is a permanent retainer? An orthodontist often recommends a fixed retainer with clear aligners or braces after finishing orthodontic treatment. Also known as fixed or bonded retainers, these are orthodontic devices. Learn why your orthodontist might suggest using them and. However, if you’re in the process of looking into treatment options for orthodontic retainers, or if you already have. Orthodontist Permanent Retainers.
From www.pinterest.com
use a permanent retainer Retainers, Permanent retainer Orthodontist Permanent Retainers A permanent retainer, or fixed bonded retainer, is a device that holds the teeth in their positions. An orthodontist often recommends a fixed retainer with clear aligners or braces after finishing orthodontic treatment. A permanent or fixed retainer is a metal wire cemented to your teeth. Learn why your orthodontist might suggest using them and. Permanent retainers usually last up. Orthodontist Permanent Retainers.
From dxothsbdr.blob.core.windows.net
How Long Do Retainers Last After Braces at Scott Guarino blog Orthodontist Permanent Retainers After treatment with braces, orthodontists recommend using retainers to preserve the. Permanent retainers serve to keep your teeth straight after having braces. After orthodontic treatment, retainers are necessary to keep your teeth straight. What is a permanent retainer? An orthodontist often recommends a fixed retainer with clear aligners or braces after finishing orthodontic treatment. A permanent or fixed retainer is. Orthodontist Permanent Retainers.
From www.dundrumorthodontics.ie
Retainers Specialist Orthodontist in Dublin Dundrum Orthodontics Orthodontist Permanent Retainers What is a permanent retainer? Permanent retainers serve to keep your teeth straight after having braces. Also known as fixed or bonded retainers, these are orthodontic devices. After treatment with braces, orthodontists recommend using retainers to preserve the. Permanent retainers usually last up to 20 years but can degrade faster or slower depending on the level of care. The wire. Orthodontist Permanent Retainers.
From www.orthodonticarts.com
Everything To Know About Permanent Retainers Orthodontic Arts Orthodontist Permanent Retainers Learn why your orthodontist might suggest using them and. Permanent retainers serve to keep your teeth straight after having braces. An orthodontist often recommends a fixed retainer with clear aligners or braces after finishing orthodontic treatment. What is a permanent retainer? A permanent retainer, or fixed bonded retainer, is a device that holds the teeth in their positions. If you've. Orthodontist Permanent Retainers.
From www.pinterest.com
Types Of Permanent Retainer in 2023 Permanent retainer, Retainers Orthodontist Permanent Retainers A permanent retainer, or fixed bonded retainer, is a device that holds the teeth in their positions. The wire is either smooth and solid or has a braided texture. What is a permanent retainer? After treatment with braces, orthodontists recommend using retainers to preserve the. An orthodontist often recommends a fixed retainer with clear aligners or braces after finishing orthodontic. Orthodontist Permanent Retainers.
From www.suffolkbraces.com
Retainer Instructions Smile Suffolk Braces Suffolk, VA Orthodontist Orthodontist Permanent Retainers What is a permanent retainer? An orthodontist often recommends a fixed retainer with clear aligners or braces after finishing orthodontic treatment. After orthodontic treatment, retainers are necessary to keep your teeth straight. Learn why your orthodontist might suggest using them and. After treatment with braces, orthodontists recommend using retainers to preserve the. If you've had your braces removed and your. Orthodontist Permanent Retainers.
From nearsay.com
Orthodontist Explains Why You Need a Permanent Retainer PostBraces Orthodontist Permanent Retainers What is a permanent retainer? After orthodontic treatment, retainers are necessary to keep your teeth straight. Learn why your orthodontist might suggest using them and. An orthodontist often recommends a fixed retainer with clear aligners or braces after finishing orthodontic treatment. After treatment with braces, orthodontists recommend using retainers to preserve the. Permanent retainers serve to keep your teeth straight. Orthodontist Permanent Retainers.
From www.youtube.com
Permanent Retainers After Braces How do they work? McKinney Orthodontist Permanent Retainers However, if you’re in the process of looking into treatment options for orthodontic retainers, or if you already have this type of retainer, here’s what you need to know, including proper. Also known as fixed or bonded retainers, these are orthodontic devices. If you've had your braces removed and your teeth are now straight, your orthodontist may recommend a permanent. Orthodontist Permanent Retainers.
From www.orthodonticarts.com
Everything To Know About Permanent Retainers Orthodontic Arts Orthodontist Permanent Retainers The wire is either smooth and solid or has a braided texture. If you've had your braces removed and your teeth are now straight, your orthodontist may recommend a permanent retainer. A permanent or fixed retainer is a metal wire cemented to your teeth. After treatment with braces, orthodontists recommend using retainers to preserve the. Permanent retainers serve to keep. Orthodontist Permanent Retainers.
From orthostudio.ca
Permanent Retainers A Lifelong Solution for a Perfect Smile Orthodontist Permanent Retainers A permanent or fixed retainer is a metal wire cemented to your teeth. Also known as fixed or bonded retainers, these are orthodontic devices. However, if you’re in the process of looking into treatment options for orthodontic retainers, or if you already have this type of retainer, here’s what you need to know, including proper. Learn why your orthodontist might. Orthodontist Permanent Retainers.
From iwantbraces.com
Retainers 101 Farmington Valley Orthodontics Orthodontist Permanent Retainers However, if you’re in the process of looking into treatment options for orthodontic retainers, or if you already have this type of retainer, here’s what you need to know, including proper. What is a permanent retainer? A permanent retainer, or fixed bonded retainer, is a device that holds the teeth in their positions. Permanent retainers usually last up to 20. Orthodontist Permanent Retainers.
From www.3dental.ie
The Ultimate Guide to Orthodontic Retainers Clear Dental Retainers Orthodontist Permanent Retainers What is a permanent retainer? A permanent retainer, or fixed bonded retainer, is a device that holds the teeth in their positions. A permanent or fixed retainer is a metal wire cemented to your teeth. Permanent retainers serve to keep your teeth straight after having braces. After treatment with braces, orthodontists recommend using retainers to preserve the. After orthodontic treatment,. Orthodontist Permanent Retainers.
From www.baileyorthodontics.com
Why Retainers Are Important Bailey Orthodontics Orthodontist Permanent Retainers After treatment with braces, orthodontists recommend using retainers to preserve the. An orthodontist often recommends a fixed retainer with clear aligners or braces after finishing orthodontic treatment. After orthodontic treatment, retainers are necessary to keep your teeth straight. Permanent retainers usually last up to 20 years but can degrade faster or slower depending on the level of care. A permanent. Orthodontist Permanent Retainers.
From bandandwire.com
Retainers Vivera, Permanent, Removable, Spring Band & Wire Orthodontist Permanent Retainers After orthodontic treatment, retainers are necessary to keep your teeth straight. Permanent retainers usually last up to 20 years but can degrade faster or slower depending on the level of care. The wire is either smooth and solid or has a braided texture. A permanent or fixed retainer is a metal wire cemented to your teeth. Learn why your orthodontist. Orthodontist Permanent Retainers.
From www.orthodonticassoc.com
Types of Retainers Orthodontic Associates Orthodontist Permanent Retainers The wire is either smooth and solid or has a braided texture. Also known as fixed or bonded retainers, these are orthodontic devices. After orthodontic treatment, retainers are necessary to keep your teeth straight. After treatment with braces, orthodontists recommend using retainers to preserve the. Permanent retainers serve to keep your teeth straight after having braces. Learn why your orthodontist. Orthodontist Permanent Retainers.
From www.hinterlandviewdental.com.au
Orthodontic Retainers Your Caring Sunshine Coast Dentist Hinterland Orthodontist Permanent Retainers Learn why your orthodontist might suggest using them and. After orthodontic treatment, retainers are necessary to keep your teeth straight. After treatment with braces, orthodontists recommend using retainers to preserve the. A permanent retainer, or fixed bonded retainer, is a device that holds the teeth in their positions. However, if you’re in the process of looking into treatment options for. Orthodontist Permanent Retainers.
From ooliortho.com
Removable vs. Permanent Retainers Which Is Right for You? Orthodontist Permanent Retainers Also known as fixed or bonded retainers, these are orthodontic devices. The wire is either smooth and solid or has a braided texture. An orthodontist often recommends a fixed retainer with clear aligners or braces after finishing orthodontic treatment. If you've had your braces removed and your teeth are now straight, your orthodontist may recommend a permanent retainer. Permanent retainers. Orthodontist Permanent Retainers.
From medium.com
Permanent retainers. Congratulations! You made it through… by Gibbs Orthodontist Permanent Retainers After orthodontic treatment, retainers are necessary to keep your teeth straight. If you've had your braces removed and your teeth are now straight, your orthodontist may recommend a permanent retainer. However, if you’re in the process of looking into treatment options for orthodontic retainers, or if you already have this type of retainer, here’s what you need to know, including. Orthodontist Permanent Retainers.