Crushing A Stone In The Common Bile Duct . mechanical lithotripsy (ml) is one of the endoscopic techniques for large, buildup, or multiple common bile duct (cbd). treating gallstones in the bile duct. when complete extraction of large stones is unsuccessful, the drainage of the common bile duct is mandatory either for. Gallstones should always be removed if they are in the bile duct. choledocholithiasis (as also known as bile duct stones) refers to the presence of one or more stones in the. Having a gallstone in the bile duct can be intensely painful. Doctors may refer to this condition as choledocholithiasis. a bile duct obstruction occurs when a blockage or narrowing in your bile ducts prevents bile from flowing as it should. a bile duct stone is a gallstone that becomes trapped in the bile duct.
from drleelipseng.com.sg
when complete extraction of large stones is unsuccessful, the drainage of the common bile duct is mandatory either for. a bile duct stone is a gallstone that becomes trapped in the bile duct. Doctors may refer to this condition as choledocholithiasis. a bile duct obstruction occurs when a blockage or narrowing in your bile ducts prevents bile from flowing as it should. Having a gallstone in the bile duct can be intensely painful. Gallstones should always be removed if they are in the bile duct. treating gallstones in the bile duct. mechanical lithotripsy (ml) is one of the endoscopic techniques for large, buildup, or multiple common bile duct (cbd). choledocholithiasis (as also known as bile duct stones) refers to the presence of one or more stones in the.
Bile Duct Stones Removal In Singapore LS Lee Surgery Clinic
Crushing A Stone In The Common Bile Duct mechanical lithotripsy (ml) is one of the endoscopic techniques for large, buildup, or multiple common bile duct (cbd). a bile duct obstruction occurs when a blockage or narrowing in your bile ducts prevents bile from flowing as it should. Having a gallstone in the bile duct can be intensely painful. when complete extraction of large stones is unsuccessful, the drainage of the common bile duct is mandatory either for. treating gallstones in the bile duct. choledocholithiasis (as also known as bile duct stones) refers to the presence of one or more stones in the. mechanical lithotripsy (ml) is one of the endoscopic techniques for large, buildup, or multiple common bile duct (cbd). Doctors may refer to this condition as choledocholithiasis. a bile duct stone is a gallstone that becomes trapped in the bile duct. Gallstones should always be removed if they are in the bile duct.
From medicalschoolquicktopics.blogspot.com
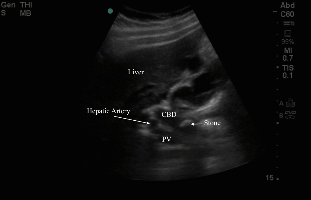
MEDICAL ULTRASOUND/STONE IN COMMON BILE DUCT Crushing A Stone In The Common Bile Duct Doctors may refer to this condition as choledocholithiasis. mechanical lithotripsy (ml) is one of the endoscopic techniques for large, buildup, or multiple common bile duct (cbd). Having a gallstone in the bile duct can be intensely painful. when complete extraction of large stones is unsuccessful, the drainage of the common bile duct is mandatory either for. a. Crushing A Stone In The Common Bile Duct.
From ceyoqrio.blob.core.windows.net
Crushing A Stone In The Common Bile Duct Is Called at Mary Stout blog Crushing A Stone In The Common Bile Duct treating gallstones in the bile duct. Gallstones should always be removed if they are in the bile duct. Doctors may refer to this condition as choledocholithiasis. mechanical lithotripsy (ml) is one of the endoscopic techniques for large, buildup, or multiple common bile duct (cbd). when complete extraction of large stones is unsuccessful, the drainage of the common. Crushing A Stone In The Common Bile Duct.
From alphagastro.sg
Bile Duct Stones Singapore Liver Stones Alpha Digestive Crushing A Stone In The Common Bile Duct a bile duct obstruction occurs when a blockage or narrowing in your bile ducts prevents bile from flowing as it should. Gallstones should always be removed if they are in the bile duct. mechanical lithotripsy (ml) is one of the endoscopic techniques for large, buildup, or multiple common bile duct (cbd). Having a gallstone in the bile duct. Crushing A Stone In The Common Bile Duct.
From gut.bmj.com
Guidelines on the management of common bile duct stones (CBDS) Gut Crushing A Stone In The Common Bile Duct when complete extraction of large stones is unsuccessful, the drainage of the common bile duct is mandatory either for. Doctors may refer to this condition as choledocholithiasis. a bile duct stone is a gallstone that becomes trapped in the bile duct. Having a gallstone in the bile duct can be intensely painful. treating gallstones in the bile. Crushing A Stone In The Common Bile Duct.
From healthjade.com
Bile duct obstruction causes, signs, symptoms, diagnosis and treatment Crushing A Stone In The Common Bile Duct a bile duct obstruction occurs when a blockage or narrowing in your bile ducts prevents bile from flowing as it should. Having a gallstone in the bile duct can be intensely painful. Doctors may refer to this condition as choledocholithiasis. Gallstones should always be removed if they are in the bile duct. choledocholithiasis (as also known as bile. Crushing A Stone In The Common Bile Duct.
From www.nexussurgical.sg
Bile Duct Stones Symptoms and Treatment Nexus Surgical Crushing A Stone In The Common Bile Duct Gallstones should always be removed if they are in the bile duct. when complete extraction of large stones is unsuccessful, the drainage of the common bile duct is mandatory either for. Having a gallstone in the bile duct can be intensely painful. a bile duct stone is a gallstone that becomes trapped in the bile duct. mechanical. Crushing A Stone In The Common Bile Duct.
From www.bmj.com
Gallstones The BMJ Crushing A Stone In The Common Bile Duct a bile duct obstruction occurs when a blockage or narrowing in your bile ducts prevents bile from flowing as it should. Having a gallstone in the bile duct can be intensely painful. treating gallstones in the bile duct. when complete extraction of large stones is unsuccessful, the drainage of the common bile duct is mandatory either for.. Crushing A Stone In The Common Bile Duct.
From radiopaedia.org
Intrahepatic bile duct stone Image Crushing A Stone In The Common Bile Duct treating gallstones in the bile duct. Gallstones should always be removed if they are in the bile duct. Doctors may refer to this condition as choledocholithiasis. a bile duct obstruction occurs when a blockage or narrowing in your bile ducts prevents bile from flowing as it should. choledocholithiasis (as also known as bile duct stones) refers to. Crushing A Stone In The Common Bile Duct.
From drleelipseng.com.sg
Bile Duct Stones Removal In Singapore LS Lee Surgery Clinic Crushing A Stone In The Common Bile Duct treating gallstones in the bile duct. choledocholithiasis (as also known as bile duct stones) refers to the presence of one or more stones in the. Gallstones should always be removed if they are in the bile duct. Having a gallstone in the bile duct can be intensely painful. a bile duct stone is a gallstone that becomes. Crushing A Stone In The Common Bile Duct.
From www.kediamd.com
Bile Duct Stones Symptoms, Treatments Dallas TX Kedia Crushing A Stone In The Common Bile Duct Doctors may refer to this condition as choledocholithiasis. when complete extraction of large stones is unsuccessful, the drainage of the common bile duct is mandatory either for. Having a gallstone in the bile duct can be intensely painful. treating gallstones in the bile duct. a bile duct obstruction occurs when a blockage or narrowing in your bile. Crushing A Stone In The Common Bile Duct.
From alphagastro.sg
Bile Duct Stones in Singapore Alpha Digestive & Liver Centre Crushing A Stone In The Common Bile Duct Having a gallstone in the bile duct can be intensely painful. choledocholithiasis (as also known as bile duct stones) refers to the presence of one or more stones in the. treating gallstones in the bile duct. mechanical lithotripsy (ml) is one of the endoscopic techniques for large, buildup, or multiple common bile duct (cbd). a bile. Crushing A Stone In The Common Bile Duct.
From ceyoqrio.blob.core.windows.net
Crushing A Stone In The Common Bile Duct Is Called at Mary Stout blog Crushing A Stone In The Common Bile Duct treating gallstones in the bile duct. a bile duct stone is a gallstone that becomes trapped in the bile duct. mechanical lithotripsy (ml) is one of the endoscopic techniques for large, buildup, or multiple common bile duct (cbd). Doctors may refer to this condition as choledocholithiasis. Gallstones should always be removed if they are in the bile. Crushing A Stone In The Common Bile Duct.
From www.alamy.com
Choledocholithiasis, illustration. This is a condition where a Crushing A Stone In The Common Bile Duct Doctors may refer to this condition as choledocholithiasis. a bile duct obstruction occurs when a blockage or narrowing in your bile ducts prevents bile from flowing as it should. choledocholithiasis (as also known as bile duct stones) refers to the presence of one or more stones in the. when complete extraction of large stones is unsuccessful, the. Crushing A Stone In The Common Bile Duct.
From healthjade.net
Vanishing bile duct syndrome causes, symptoms, diagnosis, treatment Crushing A Stone In The Common Bile Duct when complete extraction of large stones is unsuccessful, the drainage of the common bile duct is mandatory either for. Doctors may refer to this condition as choledocholithiasis. treating gallstones in the bile duct. a bile duct obstruction occurs when a blockage or narrowing in your bile ducts prevents bile from flowing as it should. mechanical lithotripsy. Crushing A Stone In The Common Bile Duct.
From www.kediamd.com
Bile Duct Stones Symptoms, Treatments Dallas TX Kedia Crushing A Stone In The Common Bile Duct Having a gallstone in the bile duct can be intensely painful. choledocholithiasis (as also known as bile duct stones) refers to the presence of one or more stones in the. when complete extraction of large stones is unsuccessful, the drainage of the common bile duct is mandatory either for. a bile duct obstruction occurs when a blockage. Crushing A Stone In The Common Bile Duct.
From www.launcestongastro.com.au
Endoscopic retrograde cholangiopancreatography (ERCP) Launceston Crushing A Stone In The Common Bile Duct Gallstones should always be removed if they are in the bile duct. treating gallstones in the bile duct. a bile duct obstruction occurs when a blockage or narrowing in your bile ducts prevents bile from flowing as it should. choledocholithiasis (as also known as bile duct stones) refers to the presence of one or more stones in. Crushing A Stone In The Common Bile Duct.
From www.varanasihospital.com
Common Bile Duct Exploration What And How? Crushing A Stone In The Common Bile Duct a bile duct obstruction occurs when a blockage or narrowing in your bile ducts prevents bile from flowing as it should. Doctors may refer to this condition as choledocholithiasis. Having a gallstone in the bile duct can be intensely painful. mechanical lithotripsy (ml) is one of the endoscopic techniques for large, buildup, or multiple common bile duct (cbd).. Crushing A Stone In The Common Bile Duct.
From www.healthadvicer.com
Biliary Colic Causes, Picture, Symptoms And Treatment Crushing A Stone In The Common Bile Duct when complete extraction of large stones is unsuccessful, the drainage of the common bile duct is mandatory either for. Gallstones should always be removed if they are in the bile duct. Having a gallstone in the bile duct can be intensely painful. mechanical lithotripsy (ml) is one of the endoscopic techniques for large, buildup, or multiple common bile. Crushing A Stone In The Common Bile Duct.
From healthjade.com
Bile duct obstruction causes, signs, symptoms, diagnosis and treatment Crushing A Stone In The Common Bile Duct Gallstones should always be removed if they are in the bile duct. mechanical lithotripsy (ml) is one of the endoscopic techniques for large, buildup, or multiple common bile duct (cbd). Having a gallstone in the bile duct can be intensely painful. a bile duct stone is a gallstone that becomes trapped in the bile duct. a bile. Crushing A Stone In The Common Bile Duct.
From ceyoqrio.blob.core.windows.net
Crushing A Stone In The Common Bile Duct Is Called at Mary Stout blog Crushing A Stone In The Common Bile Duct when complete extraction of large stones is unsuccessful, the drainage of the common bile duct is mandatory either for. mechanical lithotripsy (ml) is one of the endoscopic techniques for large, buildup, or multiple common bile duct (cbd). Doctors may refer to this condition as choledocholithiasis. Having a gallstone in the bile duct can be intensely painful. treating. Crushing A Stone In The Common Bile Duct.
From surgicalimages.arizona.edu
Biliary Stones 1567 Common Bile Duct Stones 8 Surgery Photos Crushing A Stone In The Common Bile Duct treating gallstones in the bile duct. choledocholithiasis (as also known as bile duct stones) refers to the presence of one or more stones in the. a bile duct stone is a gallstone that becomes trapped in the bile duct. Having a gallstone in the bile duct can be intensely painful. mechanical lithotripsy (ml) is one of. Crushing A Stone In The Common Bile Duct.
From www.slideshare.net
Common Bile Duct Stones Leave Them Get Them or Refer Them Crushing A Stone In The Common Bile Duct choledocholithiasis (as also known as bile duct stones) refers to the presence of one or more stones in the. when complete extraction of large stones is unsuccessful, the drainage of the common bile duct is mandatory either for. treating gallstones in the bile duct. Having a gallstone in the bile duct can be intensely painful. mechanical. Crushing A Stone In The Common Bile Duct.
From mavink.com
Common Bile Duct Stone Ultrasound Crushing A Stone In The Common Bile Duct Gallstones should always be removed if they are in the bile duct. Having a gallstone in the bile duct can be intensely painful. a bile duct stone is a gallstone that becomes trapped in the bile duct. Doctors may refer to this condition as choledocholithiasis. mechanical lithotripsy (ml) is one of the endoscopic techniques for large, buildup, or. Crushing A Stone In The Common Bile Duct.
From www.researchgate.net
Fluoroscopic image demonstrating 2 large common bile duct stones Crushing A Stone In The Common Bile Duct treating gallstones in the bile duct. mechanical lithotripsy (ml) is one of the endoscopic techniques for large, buildup, or multiple common bile duct (cbd). Doctors may refer to this condition as choledocholithiasis. when complete extraction of large stones is unsuccessful, the drainage of the common bile duct is mandatory either for. Having a gallstone in the bile. Crushing A Stone In The Common Bile Duct.
From www.alamy.com
The Common Bile Duct Stock Photo, Royalty Free Image 7710620 Alamy Crushing A Stone In The Common Bile Duct treating gallstones in the bile duct. mechanical lithotripsy (ml) is one of the endoscopic techniques for large, buildup, or multiple common bile duct (cbd). choledocholithiasis (as also known as bile duct stones) refers to the presence of one or more stones in the. Gallstones should always be removed if they are in the bile duct. when. Crushing A Stone In The Common Bile Duct.
From www.medicalnewstoday.com
Bile duct stones Symptoms, causes, and treatment Crushing A Stone In The Common Bile Duct treating gallstones in the bile duct. a bile duct obstruction occurs when a blockage or narrowing in your bile ducts prevents bile from flowing as it should. choledocholithiasis (as also known as bile duct stones) refers to the presence of one or more stones in the. a bile duct stone is a gallstone that becomes trapped. Crushing A Stone In The Common Bile Duct.
From www.alamy.com
An xray showing gallstones in common bile duct Stock Photo Alamy Crushing A Stone In The Common Bile Duct when complete extraction of large stones is unsuccessful, the drainage of the common bile duct is mandatory either for. Gallstones should always be removed if they are in the bile duct. Having a gallstone in the bile duct can be intensely painful. a bile duct stone is a gallstone that becomes trapped in the bile duct. choledocholithiasis. Crushing A Stone In The Common Bile Duct.
From patienteducationmd.com
Stones in the bile duct PatientEducationMD Crushing A Stone In The Common Bile Duct when complete extraction of large stones is unsuccessful, the drainage of the common bile duct is mandatory either for. Doctors may refer to this condition as choledocholithiasis. a bile duct stone is a gallstone that becomes trapped in the bile duct. mechanical lithotripsy (ml) is one of the endoscopic techniques for large, buildup, or multiple common bile. Crushing A Stone In The Common Bile Duct.
From www.gbmc-jo.com
Stones in Gallbladder & Common Bile Duct GBMC Jordan Crushing A Stone In The Common Bile Duct Doctors may refer to this condition as choledocholithiasis. mechanical lithotripsy (ml) is one of the endoscopic techniques for large, buildup, or multiple common bile duct (cbd). Having a gallstone in the bile duct can be intensely painful. Gallstones should always be removed if they are in the bile duct. choledocholithiasis (as also known as bile duct stones) refers. Crushing A Stone In The Common Bile Duct.
From nurseslabs.com
Bile Duct Stones (Choledocholithiasis) Nursing Care and Management Crushing A Stone In The Common Bile Duct mechanical lithotripsy (ml) is one of the endoscopic techniques for large, buildup, or multiple common bile duct (cbd). Having a gallstone in the bile duct can be intensely painful. a bile duct obstruction occurs when a blockage or narrowing in your bile ducts prevents bile from flowing as it should. treating gallstones in the bile duct. Doctors. Crushing A Stone In The Common Bile Duct.
From www.slideshare.net
Bile Duct Injury and Post Cholecystectomy Biliary Stricture Crushing A Stone In The Common Bile Duct treating gallstones in the bile duct. mechanical lithotripsy (ml) is one of the endoscopic techniques for large, buildup, or multiple common bile duct (cbd). a bile duct stone is a gallstone that becomes trapped in the bile duct. choledocholithiasis (as also known as bile duct stones) refers to the presence of one or more stones in. Crushing A Stone In The Common Bile Duct.
From stock.adobe.com
Gallstones cholelithiasis. A stone in the common bile duct, gallstones Crushing A Stone In The Common Bile Duct a bile duct obstruction occurs when a blockage or narrowing in your bile ducts prevents bile from flowing as it should. Having a gallstone in the bile duct can be intensely painful. when complete extraction of large stones is unsuccessful, the drainage of the common bile duct is mandatory either for. mechanical lithotripsy (ml) is one of. Crushing A Stone In The Common Bile Duct.
From www.pinterest.com
Stones in the Bile Duct Bile duct, Duct, Bile stone Crushing A Stone In The Common Bile Duct Having a gallstone in the bile duct can be intensely painful. Gallstones should always be removed if they are in the bile duct. a bile duct obstruction occurs when a blockage or narrowing in your bile ducts prevents bile from flowing as it should. when complete extraction of large stones is unsuccessful, the drainage of the common bile. Crushing A Stone In The Common Bile Duct.
From herniagallbladderwa.com.au
Common Bile Duct Stones Treatment at Hernia Gallbladder Centre Perth Crushing A Stone In The Common Bile Duct Having a gallstone in the bile duct can be intensely painful. a bile duct obstruction occurs when a blockage or narrowing in your bile ducts prevents bile from flowing as it should. choledocholithiasis (as also known as bile duct stones) refers to the presence of one or more stones in the. a bile duct stone is a. Crushing A Stone In The Common Bile Duct.
From www.youtube.com
CBD stone common bile duct calculus with pericholecystic edema YouTube Crushing A Stone In The Common Bile Duct when complete extraction of large stones is unsuccessful, the drainage of the common bile duct is mandatory either for. a bile duct stone is a gallstone that becomes trapped in the bile duct. mechanical lithotripsy (ml) is one of the endoscopic techniques for large, buildup, or multiple common bile duct (cbd). a bile duct obstruction occurs. Crushing A Stone In The Common Bile Duct.