How Much For Veneers In Thailand . composite veneers range from $150 to $300 per veneer, while porcelain veneers range from $300 to $550. The cost of porcelain veneers in thailand typically ranges from $250 to. how much do veneers cost in thailand? how much can i save on dental veneers in australia or new zealand compared to thailand? They are gaining popularity because they are easy to. Having dental veneers done in thailand will save you a. There are many prices and quality of veneer available across thailand aside. the cost of getting veneers in thailand is generally lower compared to many western countries, making it an attractive option. 100% patients recommended this clinic. how much do porcelain veneers cost in thailand?
from us-uk.bookimed.com
100% patients recommended this clinic. There are many prices and quality of veneer available across thailand aside. The cost of porcelain veneers in thailand typically ranges from $250 to. composite veneers range from $150 to $300 per veneer, while porcelain veneers range from $300 to $550. how much do veneers cost in thailand? Having dental veneers done in thailand will save you a. They are gaining popularity because they are easy to. the cost of getting veneers in thailand is generally lower compared to many western countries, making it an attractive option. how much do porcelain veneers cost in thailand? how much can i save on dental veneers in australia or new zealand compared to thailand?
Veneers in Thailand Cost TOP 10+ Clinics 2023
How Much For Veneers In Thailand the cost of getting veneers in thailand is generally lower compared to many western countries, making it an attractive option. They are gaining popularity because they are easy to. There are many prices and quality of veneer available across thailand aside. the cost of getting veneers in thailand is generally lower compared to many western countries, making it an attractive option. 100% patients recommended this clinic. how much can i save on dental veneers in australia or new zealand compared to thailand? how much do porcelain veneers cost in thailand? composite veneers range from $150 to $300 per veneer, while porcelain veneers range from $300 to $550. how much do veneers cost in thailand? The cost of porcelain veneers in thailand typically ranges from $250 to. Having dental veneers done in thailand will save you a.
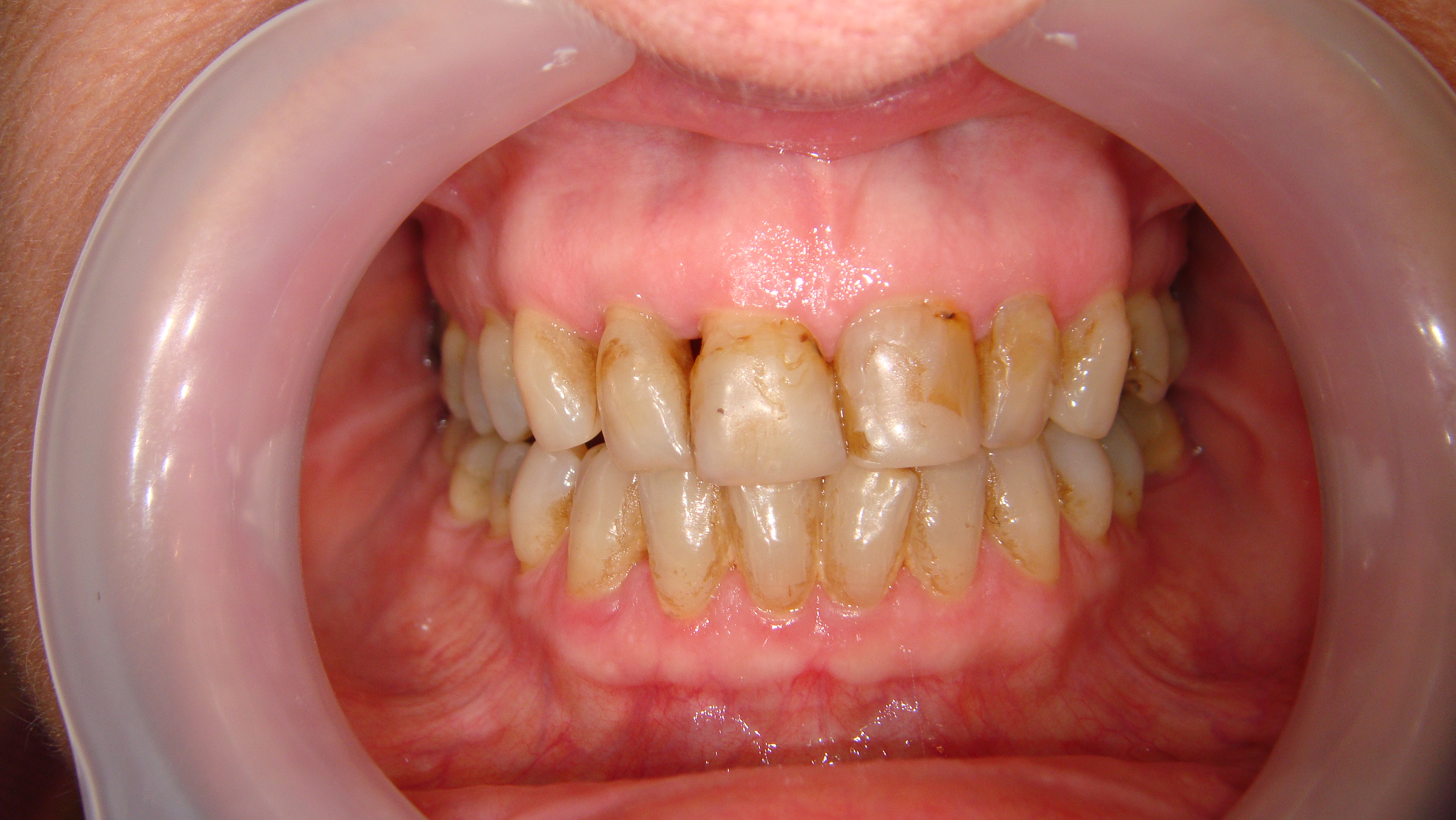
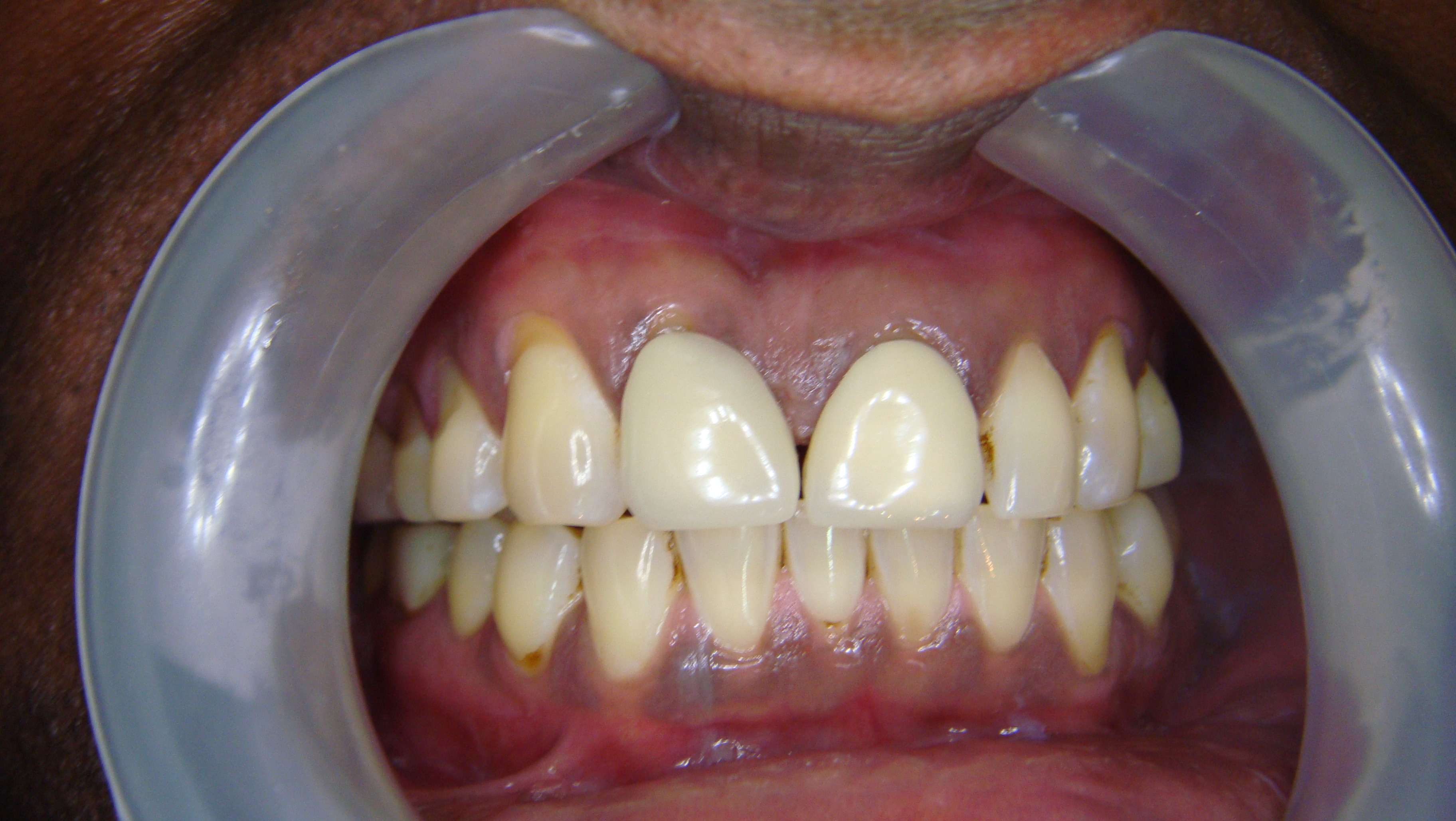
From www.drsunildental.com
Before After Porcelain Veneer in Bangkok, Thailand at Dr. Sunil How Much For Veneers In Thailand The cost of porcelain veneers in thailand typically ranges from $250 to. Having dental veneers done in thailand will save you a. There are many prices and quality of veneer available across thailand aside. the cost of getting veneers in thailand is generally lower compared to many western countries, making it an attractive option. 100% patients recommended this clinic.. How Much For Veneers In Thailand.
From mywellnesshouse.com
How To Apply Veneers How Much For Veneers In Thailand The cost of porcelain veneers in thailand typically ranges from $250 to. composite veneers range from $150 to $300 per veneer, while porcelain veneers range from $300 to $550. There are many prices and quality of veneer available across thailand aside. They are gaining popularity because they are easy to. how much can i save on dental veneers. How Much For Veneers In Thailand.
From www.nwph.net
How Much Do Dental Veneers Cost? Types and Benefits How Much For Veneers In Thailand how much can i save on dental veneers in australia or new zealand compared to thailand? the cost of getting veneers in thailand is generally lower compared to many western countries, making it an attractive option. There are many prices and quality of veneer available across thailand aside. Having dental veneers done in thailand will save you a.. How Much For Veneers In Thailand.
From foodly.tn
How much do veneers cost? How Much For Veneers In Thailand how much do porcelain veneers cost in thailand? composite veneers range from $150 to $300 per veneer, while porcelain veneers range from $300 to $550. There are many prices and quality of veneer available across thailand aside. The cost of porcelain veneers in thailand typically ranges from $250 to. the cost of getting veneers in thailand is. How Much For Veneers In Thailand.
From www.sabydental.ca
How Many Kinds of Veneers Are There? Saby Dental How Much For Veneers In Thailand They are gaining popularity because they are easy to. 100% patients recommended this clinic. Having dental veneers done in thailand will save you a. There are many prices and quality of veneer available across thailand aside. how much do porcelain veneers cost in thailand? the cost of getting veneers in thailand is generally lower compared to many western. How Much For Veneers In Thailand.
From nudent.co.th
5 reasons why tourists choose to make prefabricated veneers in Thailand How Much For Veneers In Thailand There are many prices and quality of veneer available across thailand aside. Having dental veneers done in thailand will save you a. how much do veneers cost in thailand? how much do porcelain veneers cost in thailand? 100% patients recommended this clinic. how much can i save on dental veneers in australia or new zealand compared to. How Much For Veneers In Thailand.
From articles.mymeditravel.com
Top Facts Regarding Veneers in Thailand MyMediTravel Knowledge How Much For Veneers In Thailand They are gaining popularity because they are easy to. composite veneers range from $150 to $300 per veneer, while porcelain veneers range from $300 to $550. how much do veneers cost in thailand? Having dental veneers done in thailand will save you a. The cost of porcelain veneers in thailand typically ranges from $250 to. how much. How Much For Veneers In Thailand.
From www.thantakit.com
Porcelain Veneers in Bangkok, Thailand Dental Veneers How Much For Veneers In Thailand the cost of getting veneers in thailand is generally lower compared to many western countries, making it an attractive option. how much can i save on dental veneers in australia or new zealand compared to thailand? There are many prices and quality of veneer available across thailand aside. 100% patients recommended this clinic. Having dental veneers done in. How Much For Veneers In Thailand.
From www.roundtheworldrachel.com
Getting veneers in Thailand How Much For Veneers In Thailand 100% patients recommended this clinic. The cost of porcelain veneers in thailand typically ranges from $250 to. how much do veneers cost in thailand? Having dental veneers done in thailand will save you a. how much do porcelain veneers cost in thailand? They are gaining popularity because they are easy to. how much can i save on. How Much For Veneers In Thailand.
From miamiperfectsmile.com
How much are veneers in Thailand Prices & Quality How Much For Veneers In Thailand the cost of getting veneers in thailand is generally lower compared to many western countries, making it an attractive option. how much do porcelain veneers cost in thailand? The cost of porcelain veneers in thailand typically ranges from $250 to. how much do veneers cost in thailand? how much can i save on dental veneers in. How Much For Veneers In Thailand.
From www.roundtheworldrachel.com
Getting veneers in Thailand How Much For Veneers In Thailand the cost of getting veneers in thailand is generally lower compared to many western countries, making it an attractive option. The cost of porcelain veneers in thailand typically ranges from $250 to. They are gaining popularity because they are easy to. how much can i save on dental veneers in australia or new zealand compared to thailand? There. How Much For Veneers In Thailand.
From www.drsunildental.com
Before After Porcelain Veneer in Bangkok, Thailand at Dr. Sunil How Much For Veneers In Thailand There are many prices and quality of veneer available across thailand aside. how much do porcelain veneers cost in thailand? 100% patients recommended this clinic. Having dental veneers done in thailand will save you a. composite veneers range from $150 to $300 per veneer, while porcelain veneers range from $300 to $550. how much do veneers cost. How Much For Veneers In Thailand.
From www.drsunildental.com
Before After Porcelain Veneer in Bangkok, Thailand at Dr. Sunil How Much For Veneers In Thailand Having dental veneers done in thailand will save you a. 100% patients recommended this clinic. the cost of getting veneers in thailand is generally lower compared to many western countries, making it an attractive option. how much do veneers cost in thailand? how much do porcelain veneers cost in thailand? how much can i save on. How Much For Veneers In Thailand.
From www.youtube.com
I Got Veneers in Thailand YouTube How Much For Veneers In Thailand how much do veneers cost in thailand? 100% patients recommended this clinic. Having dental veneers done in thailand will save you a. composite veneers range from $150 to $300 per veneer, while porcelain veneers range from $300 to $550. There are many prices and quality of veneer available across thailand aside. how much can i save on. How Much For Veneers In Thailand.
From rollinghillsdentistry.com
Dental Veneers Are Dental Veneers For Me? Rolling Hills Dentistry How Much For Veneers In Thailand how much can i save on dental veneers in australia or new zealand compared to thailand? There are many prices and quality of veneer available across thailand aside. composite veneers range from $150 to $300 per veneer, while porcelain veneers range from $300 to $550. Having dental veneers done in thailand will save you a. 100% patients recommended. How Much For Veneers In Thailand.
From miamiperfectsmile.com
How much are veneers in Thailand Prices & Quality How Much For Veneers In Thailand the cost of getting veneers in thailand is generally lower compared to many western countries, making it an attractive option. There are many prices and quality of veneer available across thailand aside. composite veneers range from $150 to $300 per veneer, while porcelain veneers range from $300 to $550. how much can i save on dental veneers. How Much For Veneers In Thailand.
From articles.mymeditravel.com
Top Facts Regarding Veneers in Thailand MyMediTravel Knowledge How Much For Veneers In Thailand composite veneers range from $150 to $300 per veneer, while porcelain veneers range from $300 to $550. how much do veneers cost in thailand? 100% patients recommended this clinic. Having dental veneers done in thailand will save you a. the cost of getting veneers in thailand is generally lower compared to many western countries, making it an. How Much For Veneers In Thailand.
From nudent.co.th
5 reasons why tourists choose to make prefabricated veneers in Thailand How Much For Veneers In Thailand the cost of getting veneers in thailand is generally lower compared to many western countries, making it an attractive option. The cost of porcelain veneers in thailand typically ranges from $250 to. how much can i save on dental veneers in australia or new zealand compared to thailand? composite veneers range from $150 to $300 per veneer,. How Much For Veneers In Thailand.
From articles.mymeditravel.com
Top Tips on Having Veneers in Thailand MyMediTravel Knowledge How Much For Veneers In Thailand composite veneers range from $150 to $300 per veneer, while porcelain veneers range from $300 to $550. how much do veneers cost in thailand? how much can i save on dental veneers in australia or new zealand compared to thailand? They are gaining popularity because they are easy to. the cost of getting veneers in thailand. How Much For Veneers In Thailand.
From www.drsunildental.com
Before After Porcelain Veneer in Bangkok, Thailand at Dr. Sunil How Much For Veneers In Thailand They are gaining popularity because they are easy to. composite veneers range from $150 to $300 per veneer, while porcelain veneers range from $300 to $550. There are many prices and quality of veneer available across thailand aside. Having dental veneers done in thailand will save you a. 100% patients recommended this clinic. how much do porcelain veneers. How Much For Veneers In Thailand.
From us-uk.bookimed.com
Veneers in Thailand Cost TOP 11 clinics 2023 How Much For Veneers In Thailand 100% patients recommended this clinic. There are many prices and quality of veneer available across thailand aside. composite veneers range from $150 to $300 per veneer, while porcelain veneers range from $300 to $550. how much can i save on dental veneers in australia or new zealand compared to thailand? how much do porcelain veneers cost in. How Much For Veneers In Thailand.
From us-uk.bookimed.com
Veneers in Thailand Cost TOP 10+ Clinics 2023 How Much For Veneers In Thailand the cost of getting veneers in thailand is generally lower compared to many western countries, making it an attractive option. how much do veneers cost in thailand? how much do porcelain veneers cost in thailand? They are gaining popularity because they are easy to. 100% patients recommended this clinic. There are many prices and quality of veneer. How Much For Veneers In Thailand.
From www.pinterest.com
porcelain veneers Thailand How Much For Veneers In Thailand The cost of porcelain veneers in thailand typically ranges from $250 to. Having dental veneers done in thailand will save you a. 100% patients recommended this clinic. composite veneers range from $150 to $300 per veneer, while porcelain veneers range from $300 to $550. There are many prices and quality of veneer available across thailand aside. how much. How Much For Veneers In Thailand.
From www.thedentalroom.com.au
How much do veneers cost? The Dental Room How Much For Veneers In Thailand They are gaining popularity because they are easy to. how much can i save on dental veneers in australia or new zealand compared to thailand? 100% patients recommended this clinic. There are many prices and quality of veneer available across thailand aside. Having dental veneers done in thailand will save you a. composite veneers range from $150 to. How Much For Veneers In Thailand.
From smileandcodentalclinic.com
Dental Veneers to create a beautiful smile in Bangkok Thailand How Much For Veneers In Thailand Having dental veneers done in thailand will save you a. There are many prices and quality of veneer available across thailand aside. 100% patients recommended this clinic. how much do veneers cost in thailand? how much do porcelain veneers cost in thailand? The cost of porcelain veneers in thailand typically ranges from $250 to. the cost of. How Much For Veneers In Thailand.
From www.bangkoktoothwhitening.com
veneers How Much For Veneers In Thailand composite veneers range from $150 to $300 per veneer, while porcelain veneers range from $300 to $550. The cost of porcelain veneers in thailand typically ranges from $250 to. 100% patients recommended this clinic. how much do veneers cost in thailand? There are many prices and quality of veneer available across thailand aside. They are gaining popularity because. How Much For Veneers In Thailand.
From www.roundtheworldrachel.com
Getting veneers in Thailand How Much For Veneers In Thailand composite veneers range from $150 to $300 per veneer, while porcelain veneers range from $300 to $550. The cost of porcelain veneers in thailand typically ranges from $250 to. Having dental veneers done in thailand will save you a. the cost of getting veneers in thailand is generally lower compared to many western countries, making it an attractive. How Much For Veneers In Thailand.
From www.drsunildental.com
Before After Porcelain Veneer in Bangkok, Thailand at Dr. Sunil How Much For Veneers In Thailand There are many prices and quality of veneer available across thailand aside. how much do veneers cost in thailand? composite veneers range from $150 to $300 per veneer, while porcelain veneers range from $300 to $550. Having dental veneers done in thailand will save you a. The cost of porcelain veneers in thailand typically ranges from $250 to.. How Much For Veneers In Thailand.
From www.clinicspots.com
Dental Veneers in Thailand Know The Best Clinics, Surgeons, Cost How Much For Veneers In Thailand how much do porcelain veneers cost in thailand? the cost of getting veneers in thailand is generally lower compared to many western countries, making it an attractive option. 100% patients recommended this clinic. Having dental veneers done in thailand will save you a. The cost of porcelain veneers in thailand typically ranges from $250 to. They are gaining. How Much For Veneers In Thailand.
From www.youtube.com
I GOT VENEERS IN THAILAND !? review YouTube How Much For Veneers In Thailand The cost of porcelain veneers in thailand typically ranges from $250 to. how much can i save on dental veneers in australia or new zealand compared to thailand? how much do veneers cost in thailand? composite veneers range from $150 to $300 per veneer, while porcelain veneers range from $300 to $550. how much do porcelain. How Much For Veneers In Thailand.
From www.sharetok.com
How Much For Veneers Know The Total Cost Sharetok How Much For Veneers In Thailand The cost of porcelain veneers in thailand typically ranges from $250 to. how much do porcelain veneers cost in thailand? 100% patients recommended this clinic. the cost of getting veneers in thailand is generally lower compared to many western countries, making it an attractive option. There are many prices and quality of veneer available across thailand aside. . How Much For Veneers In Thailand.
From nudent.co.th
5 reasons why tourists choose to make prefabricated veneers in Thailand How Much For Veneers In Thailand how much can i save on dental veneers in australia or new zealand compared to thailand? There are many prices and quality of veneer available across thailand aside. the cost of getting veneers in thailand is generally lower compared to many western countries, making it an attractive option. how much do porcelain veneers cost in thailand? Having. How Much For Veneers In Thailand.
From www.thantakit.com
Porcelain Veneers in Bangkok, Thailand Dental Veneers How Much For Veneers In Thailand They are gaining popularity because they are easy to. There are many prices and quality of veneer available across thailand aside. 100% patients recommended this clinic. Having dental veneers done in thailand will save you a. composite veneers range from $150 to $300 per veneer, while porcelain veneers range from $300 to $550. how much do porcelain veneers. How Much For Veneers In Thailand.
From www.drsunildental.com
Before After Porcelain Veneer in Bangkok, Thailand at Dr. Sunil How Much For Veneers In Thailand There are many prices and quality of veneer available across thailand aside. composite veneers range from $150 to $300 per veneer, while porcelain veneers range from $300 to $550. how much can i save on dental veneers in australia or new zealand compared to thailand? The cost of porcelain veneers in thailand typically ranges from $250 to. . How Much For Veneers In Thailand.
From www.mymeditravel.com
10 Best Clinics for Veneers in Thailand [2023 Prices] How Much For Veneers In Thailand the cost of getting veneers in thailand is generally lower compared to many western countries, making it an attractive option. how much can i save on dental veneers in australia or new zealand compared to thailand? They are gaining popularity because they are easy to. Having dental veneers done in thailand will save you a. composite veneers. How Much For Veneers In Thailand.