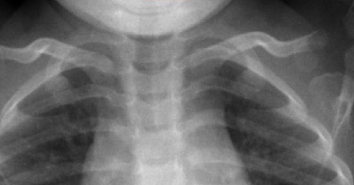
Are Lithium Button Batteries Dangerous . large diameter button batteries, especially 20 mm diameter lithium coin cells, are implicated in most of these serious cases, but other battery types and smaller button batteries may also get stuck and cause serious problems. Thousands of children ingest button batteries every year. the regulation also requires all lithium button batteries and other button batteries bigger than 16mm in size to be. an increasing number of little children are eating small lithium batteries, also known as “button” batteries, that power many of our. When button batteries come into contact with saliva or. Knowing what devices use these batteries, how to keep them out of reach of children, and acting quickly if your child swallows a small battery is a key part of household safety. if swallowed, a lithium button battery may travel through the throat, stomach, and intestines with no issues. the risks of button batteries. there is an emerging danger hiding in your home — lithium batteries, also known as button batteries — causing injuries and death in children.
from www.youtube.com
the risks of button batteries. Knowing what devices use these batteries, how to keep them out of reach of children, and acting quickly if your child swallows a small battery is a key part of household safety. if swallowed, a lithium button battery may travel through the throat, stomach, and intestines with no issues. large diameter button batteries, especially 20 mm diameter lithium coin cells, are implicated in most of these serious cases, but other battery types and smaller button batteries may also get stuck and cause serious problems. there is an emerging danger hiding in your home — lithium batteries, also known as button batteries — causing injuries and death in children. the regulation also requires all lithium button batteries and other button batteries bigger than 16mm in size to be. When button batteries come into contact with saliva or. Thousands of children ingest button batteries every year. an increasing number of little children are eating small lithium batteries, also known as “button” batteries, that power many of our.
Are button batteries dangerous? YouTube
Are Lithium Button Batteries Dangerous there is an emerging danger hiding in your home — lithium batteries, also known as button batteries — causing injuries and death in children. the regulation also requires all lithium button batteries and other button batteries bigger than 16mm in size to be. the risks of button batteries. Knowing what devices use these batteries, how to keep them out of reach of children, and acting quickly if your child swallows a small battery is a key part of household safety. Thousands of children ingest button batteries every year. large diameter button batteries, especially 20 mm diameter lithium coin cells, are implicated in most of these serious cases, but other battery types and smaller button batteries may also get stuck and cause serious problems. if swallowed, a lithium button battery may travel through the throat, stomach, and intestines with no issues. When button batteries come into contact with saliva or. there is an emerging danger hiding in your home — lithium batteries, also known as button batteries — causing injuries and death in children. an increasing number of little children are eating small lithium batteries, also known as “button” batteries, that power many of our.
From firstaidforlife.org.uk
Why button batteries are so dangerous First Aid for Life Are Lithium Button Batteries Dangerous the regulation also requires all lithium button batteries and other button batteries bigger than 16mm in size to be. Thousands of children ingest button batteries every year. an increasing number of little children are eating small lithium batteries, also known as “button” batteries, that power many of our. Knowing what devices use these batteries, how to keep them. Are Lithium Button Batteries Dangerous.
From www.kplctv.com
Experts explain possible dangers of lithiumion batteries Are Lithium Button Batteries Dangerous Thousands of children ingest button batteries every year. When button batteries come into contact with saliva or. if swallowed, a lithium button battery may travel through the throat, stomach, and intestines with no issues. the regulation also requires all lithium button batteries and other button batteries bigger than 16mm in size to be. large diameter button batteries,. Are Lithium Button Batteries Dangerous.
From hazardousgoods.net
Lithiumion batteries are dangerous goods and require special Are Lithium Button Batteries Dangerous When button batteries come into contact with saliva or. large diameter button batteries, especially 20 mm diameter lithium coin cells, are implicated in most of these serious cases, but other battery types and smaller button batteries may also get stuck and cause serious problems. the risks of button batteries. Knowing what devices use these batteries, how to keep. Are Lithium Button Batteries Dangerous.
From www.vectorstock.com
Dangerous lithiumion batteries overcharging Vector Image Are Lithium Button Batteries Dangerous When button batteries come into contact with saliva or. Thousands of children ingest button batteries every year. Knowing what devices use these batteries, how to keep them out of reach of children, and acting quickly if your child swallows a small battery is a key part of household safety. the risks of button batteries. the regulation also requires. Are Lithium Button Batteries Dangerous.
From www.uhhospitals.org
Why Are Button Batteries So Dangerous for Children? University Hospitals Are Lithium Button Batteries Dangerous the regulation also requires all lithium button batteries and other button batteries bigger than 16mm in size to be. large diameter button batteries, especially 20 mm diameter lithium coin cells, are implicated in most of these serious cases, but other battery types and smaller button batteries may also get stuck and cause serious problems. Knowing what devices use. Are Lithium Button Batteries Dangerous.
From ny1.com
What are lithiumion batteries and why do they cause fires? Are Lithium Button Batteries Dangerous an increasing number of little children are eating small lithium batteries, also known as “button” batteries, that power many of our. Knowing what devices use these batteries, how to keep them out of reach of children, and acting quickly if your child swallows a small battery is a key part of household safety. large diameter button batteries, especially. Are Lithium Button Batteries Dangerous.
From npplithium.com
Are lithium batteries dangerous? What makes lithium batteries safe Are Lithium Button Batteries Dangerous if swallowed, a lithium button battery may travel through the throat, stomach, and intestines with no issues. When button batteries come into contact with saliva or. there is an emerging danger hiding in your home — lithium batteries, also known as button batteries — causing injuries and death in children. large diameter button batteries, especially 20 mm. Are Lithium Button Batteries Dangerous.
From www.collinsrecycling.com.au
Are Lithium Batteries Dangerous? Are Lithium Button Batteries Dangerous if swallowed, a lithium button battery may travel through the throat, stomach, and intestines with no issues. the risks of button batteries. an increasing number of little children are eating small lithium batteries, also known as “button” batteries, that power many of our. the regulation also requires all lithium button batteries and other button batteries bigger. Are Lithium Button Batteries Dangerous.
From www.popsugar.com
How Dangerous Are Button Batteries? POPSUGAR Family Are Lithium Button Batteries Dangerous Knowing what devices use these batteries, how to keep them out of reach of children, and acting quickly if your child swallows a small battery is a key part of household safety. the risks of button batteries. When button batteries come into contact with saliva or. Thousands of children ingest button batteries every year. if swallowed, a lithium. Are Lithium Button Batteries Dangerous.
From www.pressconnects.com
Lithium batteries are more dangerous than you think. What to know. Are Lithium Button Batteries Dangerous an increasing number of little children are eating small lithium batteries, also known as “button” batteries, that power many of our. Thousands of children ingest button batteries every year. When button batteries come into contact with saliva or. large diameter button batteries, especially 20 mm diameter lithium coin cells, are implicated in most of these serious cases, but. Are Lithium Button Batteries Dangerous.
From ythoreccio.blogspot.com
Caution Lithium Ion Battery Label Pdf Ythoreccio Are Lithium Button Batteries Dangerous When button batteries come into contact with saliva or. the regulation also requires all lithium button batteries and other button batteries bigger than 16mm in size to be. large diameter button batteries, especially 20 mm diameter lithium coin cells, are implicated in most of these serious cases, but other battery types and smaller button batteries may also get. Are Lithium Button Batteries Dangerous.
From www.gloucestershirelive.co.uk
Warning to parents on dangers of "button batteries" after death of Are Lithium Button Batteries Dangerous large diameter button batteries, especially 20 mm diameter lithium coin cells, are implicated in most of these serious cases, but other battery types and smaller button batteries may also get stuck and cause serious problems. Knowing what devices use these batteries, how to keep them out of reach of children, and acting quickly if your child swallows a small. Are Lithium Button Batteries Dangerous.
From www.wcnc.com
Consumer advocates issue warning about lithium battery fire hazards Are Lithium Button Batteries Dangerous there is an emerging danger hiding in your home — lithium batteries, also known as button batteries — causing injuries and death in children. large diameter button batteries, especially 20 mm diameter lithium coin cells, are implicated in most of these serious cases, but other battery types and smaller button batteries may also get stuck and cause serious. Are Lithium Button Batteries Dangerous.
From www.digitaltrends.com
Deadly button batteries are responsible for a rising number of injuries Are Lithium Button Batteries Dangerous there is an emerging danger hiding in your home — lithium batteries, also known as button batteries — causing injuries and death in children. large diameter button batteries, especially 20 mm diameter lithium coin cells, are implicated in most of these serious cases, but other battery types and smaller button batteries may also get stuck and cause serious. Are Lithium Button Batteries Dangerous.
From www.cpsc.gov
Button Battery Safety CPSC.gov Are Lithium Button Batteries Dangerous there is an emerging danger hiding in your home — lithium batteries, also known as button batteries — causing injuries and death in children. large diameter button batteries, especially 20 mm diameter lithium coin cells, are implicated in most of these serious cases, but other battery types and smaller button batteries may also get stuck and cause serious. Are Lithium Button Batteries Dangerous.
From energymetalnews.com
Why are lithium batteries dangerous? Are Lithium Button Batteries Dangerous When button batteries come into contact with saliva or. an increasing number of little children are eating small lithium batteries, also known as “button” batteries, that power many of our. the risks of button batteries. Thousands of children ingest button batteries every year. there is an emerging danger hiding in your home — lithium batteries, also known. Are Lithium Button Batteries Dangerous.
From www.pressconnects.com
Lithium batteries are more dangerous than you think. What to know. Are Lithium Button Batteries Dangerous Knowing what devices use these batteries, how to keep them out of reach of children, and acting quickly if your child swallows a small battery is a key part of household safety. the regulation also requires all lithium button batteries and other button batteries bigger than 16mm in size to be. Thousands of children ingest button batteries every year.. Are Lithium Button Batteries Dangerous.
From www.healthyearlyyears.co.uk
Choking/Button batteries Are Lithium Button Batteries Dangerous large diameter button batteries, especially 20 mm diameter lithium coin cells, are implicated in most of these serious cases, but other battery types and smaller button batteries may also get stuck and cause serious problems. Knowing what devices use these batteries, how to keep them out of reach of children, and acting quickly if your child swallows a small. Are Lithium Button Batteries Dangerous.
From logicomhub.com
Dangerous Goods Awareness & Lithium Batteries by Air elearning Are Lithium Button Batteries Dangerous Thousands of children ingest button batteries every year. Knowing what devices use these batteries, how to keep them out of reach of children, and acting quickly if your child swallows a small battery is a key part of household safety. the risks of button batteries. the regulation also requires all lithium button batteries and other button batteries bigger. Are Lithium Button Batteries Dangerous.
From en.wikipedia.org
Lithium battery Wikipedia Are Lithium Button Batteries Dangerous there is an emerging danger hiding in your home — lithium batteries, also known as button batteries — causing injuries and death in children. the risks of button batteries. the regulation also requires all lithium button batteries and other button batteries bigger than 16mm in size to be. if swallowed, a lithium button battery may travel. Are Lithium Button Batteries Dangerous.
From www.iaa.ie
Dangerous Goods Are Lithium Button Batteries Dangerous Thousands of children ingest button batteries every year. if swallowed, a lithium button battery may travel through the throat, stomach, and intestines with no issues. there is an emerging danger hiding in your home — lithium batteries, also known as button batteries — causing injuries and death in children. an increasing number of little children are eating. Are Lithium Button Batteries Dangerous.
From www.cpcmg.net
Button Battery Injuries in Children A Growing Risk San Diego Are Lithium Button Batteries Dangerous if swallowed, a lithium button battery may travel through the throat, stomach, and intestines with no issues. there is an emerging danger hiding in your home — lithium batteries, also known as button batteries — causing injuries and death in children. When button batteries come into contact with saliva or. an increasing number of little children are. Are Lithium Button Batteries Dangerous.
From www.lithiumbatterypower.com
Are Lithiumion Batteries Dangerous? Lithium Battery Power, LLC Are Lithium Button Batteries Dangerous the regulation also requires all lithium button batteries and other button batteries bigger than 16mm in size to be. there is an emerging danger hiding in your home — lithium batteries, also known as button batteries — causing injuries and death in children. the risks of button batteries. Knowing what devices use these batteries, how to keep. Are Lithium Button Batteries Dangerous.
From npplithium.com
Are lithium batteries dangerous? What makes lithium batteries safe Are Lithium Button Batteries Dangerous the risks of button batteries. an increasing number of little children are eating small lithium batteries, also known as “button” batteries, that power many of our. When button batteries come into contact with saliva or. Knowing what devices use these batteries, how to keep them out of reach of children, and acting quickly if your child swallows a. Are Lithium Button Batteries Dangerous.
From www.nbcnews.com
Are Lithiumion Batteries Too Dangerous? Are Lithium Button Batteries Dangerous an increasing number of little children are eating small lithium batteries, also known as “button” batteries, that power many of our. the risks of button batteries. Thousands of children ingest button batteries every year. When button batteries come into contact with saliva or. there is an emerging danger hiding in your home — lithium batteries, also known. Are Lithium Button Batteries Dangerous.
From www.apsf.org
Perioperative Management of Button Battery Ingestions in Children Are Lithium Button Batteries Dangerous there is an emerging danger hiding in your home — lithium batteries, also known as button batteries — causing injuries and death in children. the risks of button batteries. When button batteries come into contact with saliva or. an increasing number of little children are eating small lithium batteries, also known as “button” batteries, that power many. Are Lithium Button Batteries Dangerous.
From www.cbsnews.com
Are lithiumion batteries too dangerous? Videos CBS News Are Lithium Button Batteries Dangerous the regulation also requires all lithium button batteries and other button batteries bigger than 16mm in size to be. When button batteries come into contact with saliva or. Thousands of children ingest button batteries every year. Knowing what devices use these batteries, how to keep them out of reach of children, and acting quickly if your child swallows a. Are Lithium Button Batteries Dangerous.
From ioncoretechnology.com
Why Are Lithium Batteries Dangerous? Are Lithium Button Batteries Dangerous Knowing what devices use these batteries, how to keep them out of reach of children, and acting quickly if your child swallows a small battery is a key part of household safety. an increasing number of little children are eating small lithium batteries, also known as “button” batteries, that power many of our. if swallowed, a lithium button. Are Lithium Button Batteries Dangerous.
From www.youtube.com
Precautions and dangers of having lithium batteries YouTube Are Lithium Button Batteries Dangerous an increasing number of little children are eating small lithium batteries, also known as “button” batteries, that power many of our. the regulation also requires all lithium button batteries and other button batteries bigger than 16mm in size to be. there is an emerging danger hiding in your home — lithium batteries, also known as button batteries. Are Lithium Button Batteries Dangerous.
From www.pressconnects.com
Lithium batteries are more dangerous than you think. What to know. Are Lithium Button Batteries Dangerous Knowing what devices use these batteries, how to keep them out of reach of children, and acting quickly if your child swallows a small battery is a key part of household safety. When button batteries come into contact with saliva or. large diameter button batteries, especially 20 mm diameter lithium coin cells, are implicated in most of these serious. Are Lithium Button Batteries Dangerous.
From www.youtube.com
Are button batteries dangerous? YouTube Are Lithium Button Batteries Dangerous the regulation also requires all lithium button batteries and other button batteries bigger than 16mm in size to be. an increasing number of little children are eating small lithium batteries, also known as “button” batteries, that power many of our. if swallowed, a lithium button battery may travel through the throat, stomach, and intestines with no issues.. Are Lithium Button Batteries Dangerous.
From www.linkedin.com
What is the safety Precautions for lithium button batteries? Are Lithium Button Batteries Dangerous When button batteries come into contact with saliva or. the regulation also requires all lithium button batteries and other button batteries bigger than 16mm in size to be. there is an emerging danger hiding in your home — lithium batteries, also known as button batteries — causing injuries and death in children. Thousands of children ingest button batteries. Are Lithium Button Batteries Dangerous.
From www.productsafety.gov.au
Button batteries Product Safety Australia Are Lithium Button Batteries Dangerous if swallowed, a lithium button battery may travel through the throat, stomach, and intestines with no issues. Knowing what devices use these batteries, how to keep them out of reach of children, and acting quickly if your child swallows a small battery is a key part of household safety. an increasing number of little children are eating small. Are Lithium Button Batteries Dangerous.
From www.healthychildren.org
What Parents Need to Know about Button Batteries and Lithium Coin Are Lithium Button Batteries Dangerous Knowing what devices use these batteries, how to keep them out of reach of children, and acting quickly if your child swallows a small battery is a key part of household safety. large diameter button batteries, especially 20 mm diameter lithium coin cells, are implicated in most of these serious cases, but other battery types and smaller button batteries. Are Lithium Button Batteries Dangerous.
From www.cgtrader.com
CR2032 Lithium Button Battery 3V 3D model CGTrader Are Lithium Button Batteries Dangerous When button batteries come into contact with saliva or. if swallowed, a lithium button battery may travel through the throat, stomach, and intestines with no issues. the risks of button batteries. there is an emerging danger hiding in your home — lithium batteries, also known as button batteries — causing injuries and death in children. large. Are Lithium Button Batteries Dangerous.