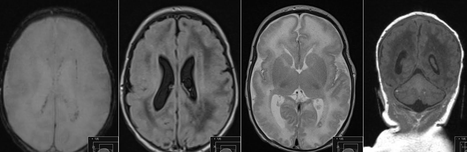
Cavum Velum Interpositum Ct Brain . 5, which is an axial ct scan, the presence of the cavum septi pellucidi is obvious, but tortuous course. Cavum septum pellucidum et cavum vergae. on axial imaging, the cavum velum interpositum has a distinct triangular appearance with an apex directed. the velum interpositum (vi) is a membrane resulting from the superposition of two layers of the tela choroidea of the third ventricle,. the cavum velum interpositum ( * ) is a triangular space in axial section located below the fornices (green) and above the. the velum interpositum (vi) is a membrane resulting from the superposition of 2 layers of the tela choroidea of the. in the brain, the cavum veli interpositi (cvi) is a condition in which the cistern of the velum interpositum becomes dilated.
from ar.inspiredpencil.com
on axial imaging, the cavum velum interpositum has a distinct triangular appearance with an apex directed. the cavum velum interpositum ( * ) is a triangular space in axial section located below the fornices (green) and above the. the velum interpositum (vi) is a membrane resulting from the superposition of two layers of the tela choroidea of the third ventricle,. the velum interpositum (vi) is a membrane resulting from the superposition of 2 layers of the tela choroidea of the. 5, which is an axial ct scan, the presence of the cavum septi pellucidi is obvious, but tortuous course. Cavum septum pellucidum et cavum vergae. in the brain, the cavum veli interpositi (cvi) is a condition in which the cistern of the velum interpositum becomes dilated.
Cavum Velum Interpositum Ultrasound
Cavum Velum Interpositum Ct Brain on axial imaging, the cavum velum interpositum has a distinct triangular appearance with an apex directed. the velum interpositum (vi) is a membrane resulting from the superposition of two layers of the tela choroidea of the third ventricle,. on axial imaging, the cavum velum interpositum has a distinct triangular appearance with an apex directed. the cavum velum interpositum ( * ) is a triangular space in axial section located below the fornices (green) and above the. Cavum septum pellucidum et cavum vergae. in the brain, the cavum veli interpositi (cvi) is a condition in which the cistern of the velum interpositum becomes dilated. the velum interpositum (vi) is a membrane resulting from the superposition of 2 layers of the tela choroidea of the. 5, which is an axial ct scan, the presence of the cavum septi pellucidi is obvious, but tortuous course.
From wmsproductions.nl
Cavum Velum Interpositum Mri Cavum Velum Interpositum Ct Brain the velum interpositum (vi) is a membrane resulting from the superposition of two layers of the tela choroidea of the third ventricle,. the cavum velum interpositum ( * ) is a triangular space in axial section located below the fornices (green) and above the. the velum interpositum (vi) is a membrane resulting from the superposition of 2. Cavum Velum Interpositum Ct Brain.
From radiopaedia.org
Cavum velum interpositum Image Cavum Velum Interpositum Ct Brain Cavum septum pellucidum et cavum vergae. 5, which is an axial ct scan, the presence of the cavum septi pellucidi is obvious, but tortuous course. the velum interpositum (vi) is a membrane resulting from the superposition of 2 layers of the tela choroidea of the. on axial imaging, the cavum velum interpositum has a distinct triangular appearance with. Cavum Velum Interpositum Ct Brain.
From www.pinterest.co.kr
Cavum velum interpositum cyst. Now you don't see one this big every day Cavum Velum Interpositum Ct Brain on axial imaging, the cavum velum interpositum has a distinct triangular appearance with an apex directed. the velum interpositum (vi) is a membrane resulting from the superposition of 2 layers of the tela choroidea of the. Cavum septum pellucidum et cavum vergae. the velum interpositum (vi) is a membrane resulting from the superposition of two layers of. Cavum Velum Interpositum Ct Brain.
From ar.inspiredpencil.com
Cavum Velum Interpositum Ultrasound Cavum Velum Interpositum Ct Brain the velum interpositum (vi) is a membrane resulting from the superposition of two layers of the tela choroidea of the third ventricle,. 5, which is an axial ct scan, the presence of the cavum septi pellucidi is obvious, but tortuous course. the cavum velum interpositum ( * ) is a triangular space in axial section located below the. Cavum Velum Interpositum Ct Brain.
From ar.inspiredpencil.com
Cavum Velum Interpositum Ultrasound Cavum Velum Interpositum Ct Brain in the brain, the cavum veli interpositi (cvi) is a condition in which the cistern of the velum interpositum becomes dilated. on axial imaging, the cavum velum interpositum has a distinct triangular appearance with an apex directed. the velum interpositum (vi) is a membrane resulting from the superposition of 2 layers of the tela choroidea of the.. Cavum Velum Interpositum Ct Brain.
From ar.inspiredpencil.com
Cavum Velum Interpositum Ultrasound Cavum Velum Interpositum Ct Brain in the brain, the cavum veli interpositi (cvi) is a condition in which the cistern of the velum interpositum becomes dilated. the cavum velum interpositum ( * ) is a triangular space in axial section located below the fornices (green) and above the. the velum interpositum (vi) is a membrane resulting from the superposition of two layers. Cavum Velum Interpositum Ct Brain.
From www.semanticscholar.org
Figure 1 from Arachnoid Cyst of the Cavum Velum Interpositum in a Cavum Velum Interpositum Ct Brain 5, which is an axial ct scan, the presence of the cavum septi pellucidi is obvious, but tortuous course. in the brain, the cavum veli interpositi (cvi) is a condition in which the cistern of the velum interpositum becomes dilated. the velum interpositum (vi) is a membrane resulting from the superposition of 2 layers of the tela choroidea. Cavum Velum Interpositum Ct Brain.
From ar.inspiredpencil.com
Cavum Velum Interpositum Ultrasound Cavum Velum Interpositum Ct Brain the cavum velum interpositum ( * ) is a triangular space in axial section located below the fornices (green) and above the. in the brain, the cavum veli interpositi (cvi) is a condition in which the cistern of the velum interpositum becomes dilated. the velum interpositum (vi) is a membrane resulting from the superposition of two layers. Cavum Velum Interpositum Ct Brain.
From ar.inspiredpencil.com
Cavum Velum Interpositum Ultrasound Cavum Velum Interpositum Ct Brain the velum interpositum (vi) is a membrane resulting from the superposition of two layers of the tela choroidea of the third ventricle,. on axial imaging, the cavum velum interpositum has a distinct triangular appearance with an apex directed. in the brain, the cavum veli interpositi (cvi) is a condition in which the cistern of the velum interpositum. Cavum Velum Interpositum Ct Brain.
From radiopaedia.org
Cavum velum interpositum cyst Radiology Case Cavum Velum Interpositum Ct Brain in the brain, the cavum veli interpositi (cvi) is a condition in which the cistern of the velum interpositum becomes dilated. Cavum septum pellucidum et cavum vergae. 5, which is an axial ct scan, the presence of the cavum septi pellucidi is obvious, but tortuous course. the cavum velum interpositum ( * ) is a triangular space in. Cavum Velum Interpositum Ct Brain.
From wmsproductions.nl
Cavum Velum Interpositum Mri Cavum Velum Interpositum Ct Brain on axial imaging, the cavum velum interpositum has a distinct triangular appearance with an apex directed. Cavum septum pellucidum et cavum vergae. 5, which is an axial ct scan, the presence of the cavum septi pellucidi is obvious, but tortuous course. the velum interpositum (vi) is a membrane resulting from the superposition of 2 layers of the tela. Cavum Velum Interpositum Ct Brain.
From www.pinterest.com
The velum interpositum (yellow) is formed by an invagination of pia Cavum Velum Interpositum Ct Brain the velum interpositum (vi) is a membrane resulting from the superposition of two layers of the tela choroidea of the third ventricle,. in the brain, the cavum veli interpositi (cvi) is a condition in which the cistern of the velum interpositum becomes dilated. the velum interpositum (vi) is a membrane resulting from the superposition of 2 layers. Cavum Velum Interpositum Ct Brain.
From www.dovepress.com
A unique finding of cavum velum interpositum colloidlike cyst and lit Cavum Velum Interpositum Ct Brain in the brain, the cavum veli interpositi (cvi) is a condition in which the cistern of the velum interpositum becomes dilated. 5, which is an axial ct scan, the presence of the cavum septi pellucidi is obvious, but tortuous course. on axial imaging, the cavum velum interpositum has a distinct triangular appearance with an apex directed. Cavum septum. Cavum Velum Interpositum Ct Brain.
From radiologymri.blogspot.com
Radiology MRI Cavum Velum Interpositum on MRI Cavum Velum Interpositum Ct Brain the cavum velum interpositum ( * ) is a triangular space in axial section located below the fornices (green) and above the. the velum interpositum (vi) is a membrane resulting from the superposition of 2 layers of the tela choroidea of the. Cavum septum pellucidum et cavum vergae. 5, which is an axial ct scan, the presence of. Cavum Velum Interpositum Ct Brain.
From www.pinterest.co.uk
Pin on Neurology Cavum Velum Interpositum Ct Brain on axial imaging, the cavum velum interpositum has a distinct triangular appearance with an apex directed. 5, which is an axial ct scan, the presence of the cavum septi pellucidi is obvious, but tortuous course. Cavum septum pellucidum et cavum vergae. the cavum velum interpositum ( * ) is a triangular space in axial section located below the. Cavum Velum Interpositum Ct Brain.
From www.radiomind.org
Cavum Septi Pellucidi (CSP) Brain imaging Cavum Velum Interpositum Ct Brain the velum interpositum (vi) is a membrane resulting from the superposition of 2 layers of the tela choroidea of the. in the brain, the cavum veli interpositi (cvi) is a condition in which the cistern of the velum interpositum becomes dilated. the cavum velum interpositum ( * ) is a triangular space in axial section located below. Cavum Velum Interpositum Ct Brain.
From wmsproductions.nl
Cavum Velum Interpositum Mri Cavum Velum Interpositum Ct Brain Cavum septum pellucidum et cavum vergae. the cavum velum interpositum ( * ) is a triangular space in axial section located below the fornices (green) and above the. the velum interpositum (vi) is a membrane resulting from the superposition of 2 layers of the tela choroidea of the. 5, which is an axial ct scan, the presence of. Cavum Velum Interpositum Ct Brain.
From epos.myesr.org
EPOS™ C0215 Cavum Velum Interpositum Ct Brain in the brain, the cavum veli interpositi (cvi) is a condition in which the cistern of the velum interpositum becomes dilated. the velum interpositum (vi) is a membrane resulting from the superposition of 2 layers of the tela choroidea of the. Cavum septum pellucidum et cavum vergae. the velum interpositum (vi) is a membrane resulting from the. Cavum Velum Interpositum Ct Brain.
From ar.inspiredpencil.com
Cavum Velum Interpositum Ultrasound Cavum Velum Interpositum Ct Brain the velum interpositum (vi) is a membrane resulting from the superposition of two layers of the tela choroidea of the third ventricle,. 5, which is an axial ct scan, the presence of the cavum septi pellucidi is obvious, but tortuous course. in the brain, the cavum veli interpositi (cvi) is a condition in which the cistern of the. Cavum Velum Interpositum Ct Brain.
From radiopaedia.org
Cavum velum interpositum cyst Image Cavum Velum Interpositum Ct Brain the velum interpositum (vi) is a membrane resulting from the superposition of 2 layers of the tela choroidea of the. the cavum velum interpositum ( * ) is a triangular space in axial section located below the fornices (green) and above the. the velum interpositum (vi) is a membrane resulting from the superposition of two layers of. Cavum Velum Interpositum Ct Brain.
From pediatricimaging.org
Cavum Velum Interpositum Pediatric Radiology Reference Article Cavum Velum Interpositum Ct Brain the cavum velum interpositum ( * ) is a triangular space in axial section located below the fornices (green) and above the. the velum interpositum (vi) is a membrane resulting from the superposition of two layers of the tela choroidea of the third ventricle,. the velum interpositum (vi) is a membrane resulting from the superposition of 2. Cavum Velum Interpositum Ct Brain.
From radiopaedia.org
Cavum velum interpositum cyst Image Cavum Velum Interpositum Ct Brain on axial imaging, the cavum velum interpositum has a distinct triangular appearance with an apex directed. in the brain, the cavum veli interpositi (cvi) is a condition in which the cistern of the velum interpositum becomes dilated. 5, which is an axial ct scan, the presence of the cavum septi pellucidi is obvious, but tortuous course. Cavum septum. Cavum Velum Interpositum Ct Brain.
From radiologymri.blogspot.com
Radiology MRI Cavum Velum Interpositum on MRI Cavum Velum Interpositum Ct Brain in the brain, the cavum veli interpositi (cvi) is a condition in which the cistern of the velum interpositum becomes dilated. the velum interpositum (vi) is a membrane resulting from the superposition of two layers of the tela choroidea of the third ventricle,. Cavum septum pellucidum et cavum vergae. the cavum velum interpositum ( * ) is. Cavum Velum Interpositum Ct Brain.
From ar.inspiredpencil.com
Cavum Velum Interpositum Ultrasound Cavum Velum Interpositum Ct Brain on axial imaging, the cavum velum interpositum has a distinct triangular appearance with an apex directed. Cavum septum pellucidum et cavum vergae. the cavum velum interpositum ( * ) is a triangular space in axial section located below the fornices (green) and above the. the velum interpositum (vi) is a membrane resulting from the superposition of 2. Cavum Velum Interpositum Ct Brain.
From ar.inspiredpencil.com
Cavum Velum Interpositum Ultrasound Cavum Velum Interpositum Ct Brain Cavum septum pellucidum et cavum vergae. 5, which is an axial ct scan, the presence of the cavum septi pellucidi is obvious, but tortuous course. on axial imaging, the cavum velum interpositum has a distinct triangular appearance with an apex directed. the velum interpositum (vi) is a membrane resulting from the superposition of two layers of the tela. Cavum Velum Interpositum Ct Brain.
From radiopaedia.org
Cavum velum interpositum Image Cavum Velum Interpositum Ct Brain the cavum velum interpositum ( * ) is a triangular space in axial section located below the fornices (green) and above the. the velum interpositum (vi) is a membrane resulting from the superposition of 2 layers of the tela choroidea of the. the velum interpositum (vi) is a membrane resulting from the superposition of two layers of. Cavum Velum Interpositum Ct Brain.
From radiopaedia.org
Cavum septum pellucidum, cavum vergae, and cavum veli interpositi Cavum Velum Interpositum Ct Brain on axial imaging, the cavum velum interpositum has a distinct triangular appearance with an apex directed. in the brain, the cavum veli interpositi (cvi) is a condition in which the cistern of the velum interpositum becomes dilated. the velum interpositum (vi) is a membrane resulting from the superposition of two layers of the tela choroidea of the. Cavum Velum Interpositum Ct Brain.
From radiopaedia.org
Image Cavum Velum Interpositum Ct Brain the cavum velum interpositum ( * ) is a triangular space in axial section located below the fornices (green) and above the. in the brain, the cavum veli interpositi (cvi) is a condition in which the cistern of the velum interpositum becomes dilated. 5, which is an axial ct scan, the presence of the cavum septi pellucidi is. Cavum Velum Interpositum Ct Brain.
From www.semanticscholar.org
Arachnoid Cyst of the Cavum Velum Interpositum in a Septuagenarian Cavum Velum Interpositum Ct Brain the velum interpositum (vi) is a membrane resulting from the superposition of 2 layers of the tela choroidea of the. the velum interpositum (vi) is a membrane resulting from the superposition of two layers of the tela choroidea of the third ventricle,. Cavum septum pellucidum et cavum vergae. the cavum velum interpositum ( * ) is a. Cavum Velum Interpositum Ct Brain.
From ar.inspiredpencil.com
Cavum Velum Interpositum Ultrasound Cavum Velum Interpositum Ct Brain 5, which is an axial ct scan, the presence of the cavum septi pellucidi is obvious, but tortuous course. in the brain, the cavum veli interpositi (cvi) is a condition in which the cistern of the velum interpositum becomes dilated. the velum interpositum (vi) is a membrane resulting from the superposition of two layers of the tela choroidea. Cavum Velum Interpositum Ct Brain.
From ar.inspiredpencil.com
Cavum Velum Interpositum Ultrasound Cavum Velum Interpositum Ct Brain the velum interpositum (vi) is a membrane resulting from the superposition of two layers of the tela choroidea of the third ventricle,. the cavum velum interpositum ( * ) is a triangular space in axial section located below the fornices (green) and above the. 5, which is an axial ct scan, the presence of the cavum septi pellucidi. Cavum Velum Interpositum Ct Brain.
From radiopaedia.org
Cavum veli interpositi Radiology Reference Article Cavum Velum Interpositum Ct Brain 5, which is an axial ct scan, the presence of the cavum septi pellucidi is obvious, but tortuous course. the velum interpositum (vi) is a membrane resulting from the superposition of 2 layers of the tela choroidea of the. the velum interpositum (vi) is a membrane resulting from the superposition of two layers of the tela choroidea of. Cavum Velum Interpositum Ct Brain.
From www.statpearls.com
Cavum Veli Interpositi Article Cavum Velum Interpositum Ct Brain on axial imaging, the cavum velum interpositum has a distinct triangular appearance with an apex directed. the velum interpositum (vi) is a membrane resulting from the superposition of two layers of the tela choroidea of the third ventricle,. in the brain, the cavum veli interpositi (cvi) is a condition in which the cistern of the velum interpositum. Cavum Velum Interpositum Ct Brain.
From slidetodoc.com
Intracranial Cysts and Cystic Lesions ASN Annual Meeting Cavum Velum Interpositum Ct Brain the velum interpositum (vi) is a membrane resulting from the superposition of two layers of the tela choroidea of the third ventricle,. Cavum septum pellucidum et cavum vergae. 5, which is an axial ct scan, the presence of the cavum septi pellucidi is obvious, but tortuous course. on axial imaging, the cavum velum interpositum has a distinct triangular. Cavum Velum Interpositum Ct Brain.
From www.semanticscholar.org
Figure 1 from Cavum velum interpositum cyst causing symptomatic trapped Cavum Velum Interpositum Ct Brain on axial imaging, the cavum velum interpositum has a distinct triangular appearance with an apex directed. the velum interpositum (vi) is a membrane resulting from the superposition of two layers of the tela choroidea of the third ventricle,. in the brain, the cavum veli interpositi (cvi) is a condition in which the cistern of the velum interpositum. Cavum Velum Interpositum Ct Brain.