Pleuritic Chest Pain Covid 19 . pericarditis should be considered in patients with chest pain, st elevation on ecg, a normal coronary. our patient subsequently developed a fever and shortness of breath and his nasopharyngeal swab performed. pleurisy is a painful lung condition that makes it hard to breathe.
from www.lecturio.com
our patient subsequently developed a fever and shortness of breath and his nasopharyngeal swab performed. pericarditis should be considered in patients with chest pain, st elevation on ecg, a normal coronary. pleurisy is a painful lung condition that makes it hard to breathe.
Dolor Torácico Concise Medical Knowledge
Pleuritic Chest Pain Covid 19 pericarditis should be considered in patients with chest pain, st elevation on ecg, a normal coronary. pericarditis should be considered in patients with chest pain, st elevation on ecg, a normal coronary. our patient subsequently developed a fever and shortness of breath and his nasopharyngeal swab performed. pleurisy is a painful lung condition that makes it hard to breathe.
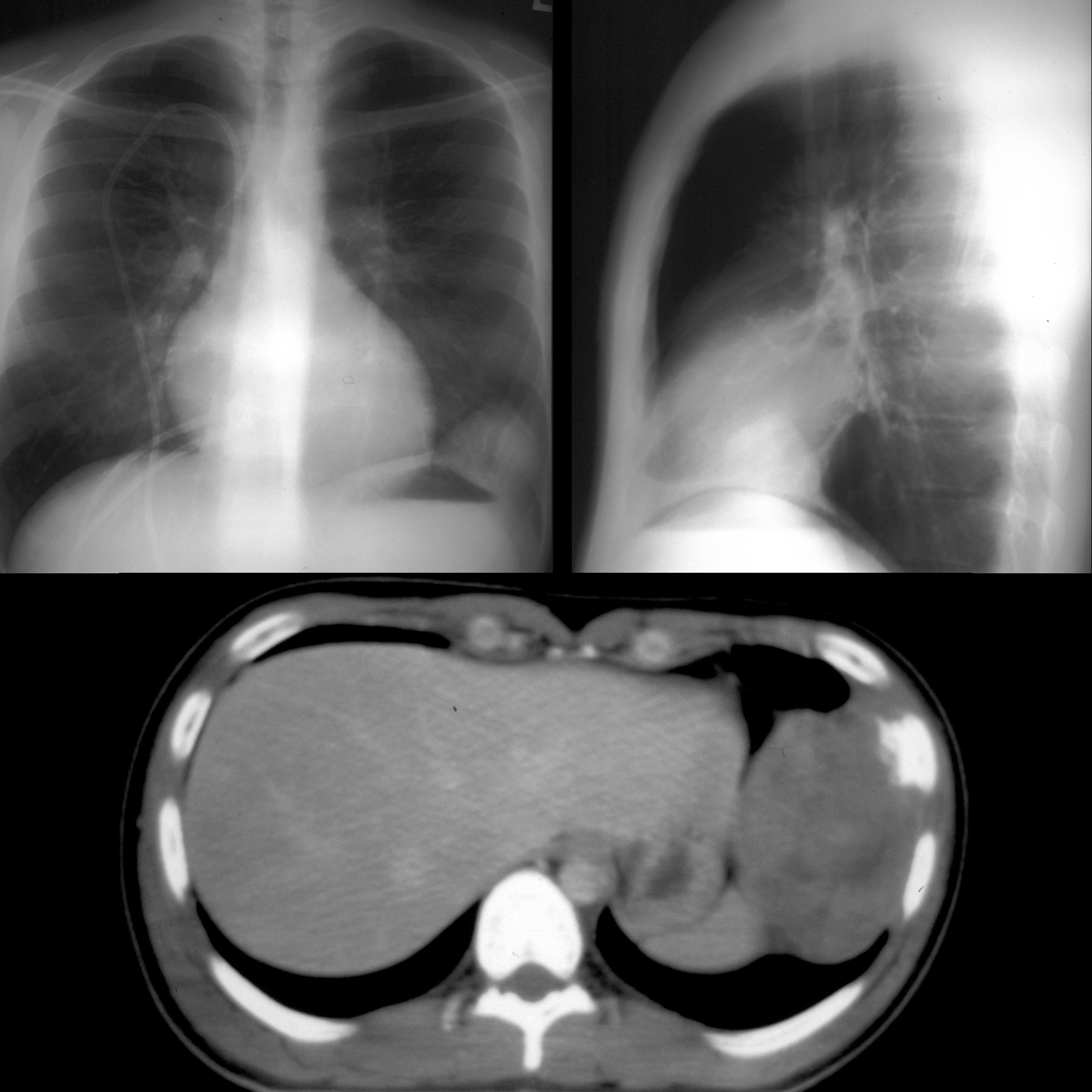
From www.pacehospital.com
Post COVID Complications, Long term effects of Coronavirus after recovery Pleuritic Chest Pain Covid 19 pericarditis should be considered in patients with chest pain, st elevation on ecg, a normal coronary. our patient subsequently developed a fever and shortness of breath and his nasopharyngeal swab performed. pleurisy is a painful lung condition that makes it hard to breathe. Pleuritic Chest Pain Covid 19.
From twitter.com
Manual Of Medicine on Twitter "37yearold man presents to the Pleuritic Chest Pain Covid 19 pericarditis should be considered in patients with chest pain, st elevation on ecg, a normal coronary. pleurisy is a painful lung condition that makes it hard to breathe. our patient subsequently developed a fever and shortness of breath and his nasopharyngeal swab performed. Pleuritic Chest Pain Covid 19.
From www.bbc.com
Women urged not to ignore chest pain during coronavirus pandemic Pleuritic Chest Pain Covid 19 our patient subsequently developed a fever and shortness of breath and his nasopharyngeal swab performed. pericarditis should be considered in patients with chest pain, st elevation on ecg, a normal coronary. pleurisy is a painful lung condition that makes it hard to breathe. Pleuritic Chest Pain Covid 19.
From www.aafp.org
Pleuritic Chest Pain Sorting Through the Differential Diagnosis AAFP Pleuritic Chest Pain Covid 19 our patient subsequently developed a fever and shortness of breath and his nasopharyngeal swab performed. pleurisy is a painful lung condition that makes it hard to breathe. pericarditis should be considered in patients with chest pain, st elevation on ecg, a normal coronary. Pleuritic Chest Pain Covid 19.
From www.istockphoto.com
20+ Chest Pain Woman Icon Stock Illustrations, RoyaltyFree Vector Pleuritic Chest Pain Covid 19 pericarditis should be considered in patients with chest pain, st elevation on ecg, a normal coronary. pleurisy is a painful lung condition that makes it hard to breathe. our patient subsequently developed a fever and shortness of breath and his nasopharyngeal swab performed. Pleuritic Chest Pain Covid 19.
From www.findatopdoc.com
Pleurisy Symptoms, Causes, Treatment, and Diagnosis FindATopDoc Pleuritic Chest Pain Covid 19 pericarditis should be considered in patients with chest pain, st elevation on ecg, a normal coronary. our patient subsequently developed a fever and shortness of breath and his nasopharyngeal swab performed. pleurisy is a painful lung condition that makes it hard to breathe. Pleuritic Chest Pain Covid 19.
From www.elsevier.es
Dyspnea and pleuritic chest pain during the COVID19 pandemic Pleuritic Chest Pain Covid 19 our patient subsequently developed a fever and shortness of breath and his nasopharyngeal swab performed. pleurisy is a painful lung condition that makes it hard to breathe. pericarditis should be considered in patients with chest pain, st elevation on ecg, a normal coronary. Pleuritic Chest Pain Covid 19.
From www.vectorhealth.com.au
What is Pleurisy? Vector Health Pleuritic Chest Pain Covid 19 pleurisy is a painful lung condition that makes it hard to breathe. our patient subsequently developed a fever and shortness of breath and his nasopharyngeal swab performed. pericarditis should be considered in patients with chest pain, st elevation on ecg, a normal coronary. Pleuritic Chest Pain Covid 19.
From twitter.com
Keith Siau on Twitter "Causes of pleuritic chest pain (courtesy of Pleuritic Chest Pain Covid 19 pleurisy is a painful lung condition that makes it hard to breathe. pericarditis should be considered in patients with chest pain, st elevation on ecg, a normal coronary. our patient subsequently developed a fever and shortness of breath and his nasopharyngeal swab performed. Pleuritic Chest Pain Covid 19.
From www.verywellhealth.com
Pain in Chest Causes and Signs of a Medical Emergency Pleuritic Chest Pain Covid 19 our patient subsequently developed a fever and shortness of breath and his nasopharyngeal swab performed. pleurisy is a painful lung condition that makes it hard to breathe. pericarditis should be considered in patients with chest pain, st elevation on ecg, a normal coronary. Pleuritic Chest Pain Covid 19.
From www.aafp.org
Pleuritic Chest Pain Sorting Through the Differential Diagnosis AAFP Pleuritic Chest Pain Covid 19 pleurisy is a painful lung condition that makes it hard to breathe. pericarditis should be considered in patients with chest pain, st elevation on ecg, a normal coronary. our patient subsequently developed a fever and shortness of breath and his nasopharyngeal swab performed. Pleuritic Chest Pain Covid 19.
From www.osmosis.org
Pleurisy What Is It, Causes, Symptoms, and More Osmosis Pleuritic Chest Pain Covid 19 pleurisy is a painful lung condition that makes it hard to breathe. our patient subsequently developed a fever and shortness of breath and his nasopharyngeal swab performed. pericarditis should be considered in patients with chest pain, st elevation on ecg, a normal coronary. Pleuritic Chest Pain Covid 19.
From indianexpress.com
Over 2 million in England may have had long Covid, study finds Health Pleuritic Chest Pain Covid 19 our patient subsequently developed a fever and shortness of breath and his nasopharyngeal swab performed. pleurisy is a painful lung condition that makes it hard to breathe. pericarditis should be considered in patients with chest pain, st elevation on ecg, a normal coronary. Pleuritic Chest Pain Covid 19.
From www.bjanaesthesia.org.uk
Chronic pain after COVID19 implications for rehabilitation British Pleuritic Chest Pain Covid 19 pericarditis should be considered in patients with chest pain, st elevation on ecg, a normal coronary. pleurisy is a painful lung condition that makes it hard to breathe. our patient subsequently developed a fever and shortness of breath and his nasopharyngeal swab performed. Pleuritic Chest Pain Covid 19.
From www.cmaj.ca
Epipericardial fat necrosis an selflimiting cause of Pleuritic Chest Pain Covid 19 our patient subsequently developed a fever and shortness of breath and his nasopharyngeal swab performed. pleurisy is a painful lung condition that makes it hard to breathe. pericarditis should be considered in patients with chest pain, st elevation on ecg, a normal coronary. Pleuritic Chest Pain Covid 19.
From twitter.com
Pediatric Imaging on Twitter "Teen with fever+left pleuritic chest Pleuritic Chest Pain Covid 19 pleurisy is a painful lung condition that makes it hard to breathe. pericarditis should be considered in patients with chest pain, st elevation on ecg, a normal coronary. our patient subsequently developed a fever and shortness of breath and his nasopharyngeal swab performed. Pleuritic Chest Pain Covid 19.
From www.nejm.org
A Complex Cause of Pleuritic Chest Pain NEJM Pleuritic Chest Pain Covid 19 pleurisy is a painful lung condition that makes it hard to breathe. our patient subsequently developed a fever and shortness of breath and his nasopharyngeal swab performed. pericarditis should be considered in patients with chest pain, st elevation on ecg, a normal coronary. Pleuritic Chest Pain Covid 19.
From my.clevelandclinic.org
Pleurisy Causes, Symptoms, Diagnosis, Treatment & Prevention Pleuritic Chest Pain Covid 19 our patient subsequently developed a fever and shortness of breath and his nasopharyngeal swab performed. pleurisy is a painful lung condition that makes it hard to breathe. pericarditis should be considered in patients with chest pain, st elevation on ecg, a normal coronary. Pleuritic Chest Pain Covid 19.
From www.scielo.br
SciELO Brasil Epipericardial fat necrosis as a differential Pleuritic Chest Pain Covid 19 pericarditis should be considered in patients with chest pain, st elevation on ecg, a normal coronary. our patient subsequently developed a fever and shortness of breath and his nasopharyngeal swab performed. pleurisy is a painful lung condition that makes it hard to breathe. Pleuritic Chest Pain Covid 19.
From doctorlib.info
CHEST PAIN CARDIAC OR NOT CARDIOVASCULAR DISEASE Tintinalli's Pleuritic Chest Pain Covid 19 pleurisy is a painful lung condition that makes it hard to breathe. pericarditis should be considered in patients with chest pain, st elevation on ecg, a normal coronary. our patient subsequently developed a fever and shortness of breath and his nasopharyngeal swab performed. Pleuritic Chest Pain Covid 19.
From www.verywellhealth.com
Pain With Deep Breathing Symptoms, Causes, and Diagnosis Pleuritic Chest Pain Covid 19 pleurisy is a painful lung condition that makes it hard to breathe. our patient subsequently developed a fever and shortness of breath and his nasopharyngeal swab performed. pericarditis should be considered in patients with chest pain, st elevation on ecg, a normal coronary. Pleuritic Chest Pain Covid 19.
From timesofindia.indiatimes.com
Coronavirus symptoms Is chest pain concerning when you have COVID19 Pleuritic Chest Pain Covid 19 pericarditis should be considered in patients with chest pain, st elevation on ecg, a normal coronary. our patient subsequently developed a fever and shortness of breath and his nasopharyngeal swab performed. pleurisy is a painful lung condition that makes it hard to breathe. Pleuritic Chest Pain Covid 19.
From www.racgp.org.au
RACGP An unusual cause of pleuritic pain Pleuritic Chest Pain Covid 19 pericarditis should be considered in patients with chest pain, st elevation on ecg, a normal coronary. our patient subsequently developed a fever and shortness of breath and his nasopharyngeal swab performed. pleurisy is a painful lung condition that makes it hard to breathe. Pleuritic Chest Pain Covid 19.
From docs.google.com
11 PQ ECG Man with pleuritic chest pain Google Docs Pleuritic Chest Pain Covid 19 pericarditis should be considered in patients with chest pain, st elevation on ecg, a normal coronary. pleurisy is a painful lung condition that makes it hard to breathe. our patient subsequently developed a fever and shortness of breath and his nasopharyngeal swab performed. Pleuritic Chest Pain Covid 19.
From www.jacc.org
EPICARDIAL FAT NECROSISA RARE DIFFERENTIAL DIAGNOSIS OF CHEST PAIN IN Pleuritic Chest Pain Covid 19 pleurisy is a painful lung condition that makes it hard to breathe. pericarditis should be considered in patients with chest pain, st elevation on ecg, a normal coronary. our patient subsequently developed a fever and shortness of breath and his nasopharyngeal swab performed. Pleuritic Chest Pain Covid 19.
From www.osmosis.org
Pleurisy Nursing Osmosis Video Library Pleuritic Chest Pain Covid 19 our patient subsequently developed a fever and shortness of breath and his nasopharyngeal swab performed. pericarditis should be considered in patients with chest pain, st elevation on ecg, a normal coronary. pleurisy is a painful lung condition that makes it hard to breathe. Pleuritic Chest Pain Covid 19.
From www.lecturio.com
Dolor Torácico Concise Medical Knowledge Pleuritic Chest Pain Covid 19 our patient subsequently developed a fever and shortness of breath and his nasopharyngeal swab performed. pericarditis should be considered in patients with chest pain, st elevation on ecg, a normal coronary. pleurisy is a painful lung condition that makes it hard to breathe. Pleuritic Chest Pain Covid 19.
From www.thelancet.com
Pleuritic chest pain The Lancet Pleuritic Chest Pain Covid 19 pericarditis should be considered in patients with chest pain, st elevation on ecg, a normal coronary. pleurisy is a painful lung condition that makes it hard to breathe. our patient subsequently developed a fever and shortness of breath and his nasopharyngeal swab performed. Pleuritic Chest Pain Covid 19.
From www.heartlandcardiology.com
Chest Pain COVID19 or Anxiety? Heartland Cardiology Pleuritic Chest Pain Covid 19 pleurisy is a painful lung condition that makes it hard to breathe. our patient subsequently developed a fever and shortness of breath and his nasopharyngeal swab performed. pericarditis should be considered in patients with chest pain, st elevation on ecg, a normal coronary. Pleuritic Chest Pain Covid 19.
From www.qualitycare-er.com
Noncardiac Causes of Chest Pain Pleuritic Chest Pain Covid 19 pericarditis should be considered in patients with chest pain, st elevation on ecg, a normal coronary. pleurisy is a painful lung condition that makes it hard to breathe. our patient subsequently developed a fever and shortness of breath and his nasopharyngeal swab performed. Pleuritic Chest Pain Covid 19.
From www.osmosis.org
Anatomy clinical correlates Pleura and lungs Video Osmosis Pleuritic Chest Pain Covid 19 pericarditis should be considered in patients with chest pain, st elevation on ecg, a normal coronary. pleurisy is a painful lung condition that makes it hard to breathe. our patient subsequently developed a fever and shortness of breath and his nasopharyngeal swab performed. Pleuritic Chest Pain Covid 19.
From www.aafp.org
Pleuritic Chest Pain Sorting Through the Differential Diagnosis AAFP Pleuritic Chest Pain Covid 19 our patient subsequently developed a fever and shortness of breath and his nasopharyngeal swab performed. pleurisy is a painful lung condition that makes it hard to breathe. pericarditis should be considered in patients with chest pain, st elevation on ecg, a normal coronary. Pleuritic Chest Pain Covid 19.
From edren.org
Chest pain Pleuritic Chest Pain Covid 19 pleurisy is a painful lung condition that makes it hard to breathe. our patient subsequently developed a fever and shortness of breath and his nasopharyngeal swab performed. pericarditis should be considered in patients with chest pain, st elevation on ecg, a normal coronary. Pleuritic Chest Pain Covid 19.
From www.medicalnewstoday.com
Chest pain after COVID19 Causes, symptoms, and more Pleuritic Chest Pain Covid 19 pleurisy is a painful lung condition that makes it hard to breathe. pericarditis should be considered in patients with chest pain, st elevation on ecg, a normal coronary. our patient subsequently developed a fever and shortness of breath and his nasopharyngeal swab performed. Pleuritic Chest Pain Covid 19.
From www.aafp.org
Pleuritic Chest Pain Sorting Through the Differential Diagnosis AAFP Pleuritic Chest Pain Covid 19 our patient subsequently developed a fever and shortness of breath and his nasopharyngeal swab performed. pericarditis should be considered in patients with chest pain, st elevation on ecg, a normal coronary. pleurisy is a painful lung condition that makes it hard to breathe. Pleuritic Chest Pain Covid 19.