Spindle Cell Lipoma Radiology . Spindle cell lipoma contains a varying mixture of mature adipocytes, bland spindle cells and ropy collagen fibers (cancer. To review the evaluation, diagnosis, and treatment of spindle cell lipoma (scl) with emphasis on the location of these. spindle cell lipoma (scl) is a benign adipocytic tumor that primarily occurs in the subcutis of the posterior. to review the evaluation, diagnosis, and treatment of spindle cell lipoma (scl) with emphasis on the location of these tumours and the. in this article, the typical and atypical imaging characteristics of a spindle cell lipoma (scl) will be reviewed. To review the evaluation, diagnosis, and treatment of spindle cell lipoma (scl) with emphasis on the location of these.
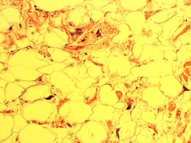
from librepathology.org
to review the evaluation, diagnosis, and treatment of spindle cell lipoma (scl) with emphasis on the location of these tumours and the. spindle cell lipoma (scl) is a benign adipocytic tumor that primarily occurs in the subcutis of the posterior. To review the evaluation, diagnosis, and treatment of spindle cell lipoma (scl) with emphasis on the location of these. Spindle cell lipoma contains a varying mixture of mature adipocytes, bland spindle cells and ropy collagen fibers (cancer. in this article, the typical and atypical imaging characteristics of a spindle cell lipoma (scl) will be reviewed. To review the evaluation, diagnosis, and treatment of spindle cell lipoma (scl) with emphasis on the location of these.
Spindle cell lipoma Libre Pathology
Spindle Cell Lipoma Radiology To review the evaluation, diagnosis, and treatment of spindle cell lipoma (scl) with emphasis on the location of these. Spindle cell lipoma contains a varying mixture of mature adipocytes, bland spindle cells and ropy collagen fibers (cancer. in this article, the typical and atypical imaging characteristics of a spindle cell lipoma (scl) will be reviewed. To review the evaluation, diagnosis, and treatment of spindle cell lipoma (scl) with emphasis on the location of these. spindle cell lipoma (scl) is a benign adipocytic tumor that primarily occurs in the subcutis of the posterior. To review the evaluation, diagnosis, and treatment of spindle cell lipoma (scl) with emphasis on the location of these. to review the evaluation, diagnosis, and treatment of spindle cell lipoma (scl) with emphasis on the location of these tumours and the.
From link.springer.com
Spindle cell lipoma of the head and neck CT and MR imaging findings Spindle Cell Lipoma Radiology To review the evaluation, diagnosis, and treatment of spindle cell lipoma (scl) with emphasis on the location of these. spindle cell lipoma (scl) is a benign adipocytic tumor that primarily occurs in the subcutis of the posterior. in this article, the typical and atypical imaging characteristics of a spindle cell lipoma (scl) will be reviewed. to review. Spindle Cell Lipoma Radiology.
From www.ajronline.org
Imaging Characteristics of Spindle Cell Lipoma AJR Spindle Cell Lipoma Radiology spindle cell lipoma (scl) is a benign adipocytic tumor that primarily occurs in the subcutis of the posterior. Spindle cell lipoma contains a varying mixture of mature adipocytes, bland spindle cells and ropy collagen fibers (cancer. To review the evaluation, diagnosis, and treatment of spindle cell lipoma (scl) with emphasis on the location of these. in this article,. Spindle Cell Lipoma Radiology.
From link.springer.com
MR imaging features of spindle cell lipoma SpringerLink Spindle Cell Lipoma Radiology To review the evaluation, diagnosis, and treatment of spindle cell lipoma (scl) with emphasis on the location of these. Spindle cell lipoma contains a varying mixture of mature adipocytes, bland spindle cells and ropy collagen fibers (cancer. To review the evaluation, diagnosis, and treatment of spindle cell lipoma (scl) with emphasis on the location of these. in this article,. Spindle Cell Lipoma Radiology.
From www.frontiersin.org
Frontiers Spindle Cell Lipoma of the Spermatic Cord A Case Spindle Cell Lipoma Radiology Spindle cell lipoma contains a varying mixture of mature adipocytes, bland spindle cells and ropy collagen fibers (cancer. spindle cell lipoma (scl) is a benign adipocytic tumor that primarily occurs in the subcutis of the posterior. to review the evaluation, diagnosis, and treatment of spindle cell lipoma (scl) with emphasis on the location of these tumours and the.. Spindle Cell Lipoma Radiology.
From www.pathologyoutlines.com
Pathology Outlines Spindle cell / pleomorphic lipoma Spindle Cell Lipoma Radiology Spindle cell lipoma contains a varying mixture of mature adipocytes, bland spindle cells and ropy collagen fibers (cancer. in this article, the typical and atypical imaging characteristics of a spindle cell lipoma (scl) will be reviewed. to review the evaluation, diagnosis, and treatment of spindle cell lipoma (scl) with emphasis on the location of these tumours and the.. Spindle Cell Lipoma Radiology.
From www.ajronline.org
Imaging Characteristics of Spindle Cell Lipoma AJR Spindle Cell Lipoma Radiology Spindle cell lipoma contains a varying mixture of mature adipocytes, bland spindle cells and ropy collagen fibers (cancer. spindle cell lipoma (scl) is a benign adipocytic tumor that primarily occurs in the subcutis of the posterior. To review the evaluation, diagnosis, and treatment of spindle cell lipoma (scl) with emphasis on the location of these. to review the. Spindle Cell Lipoma Radiology.
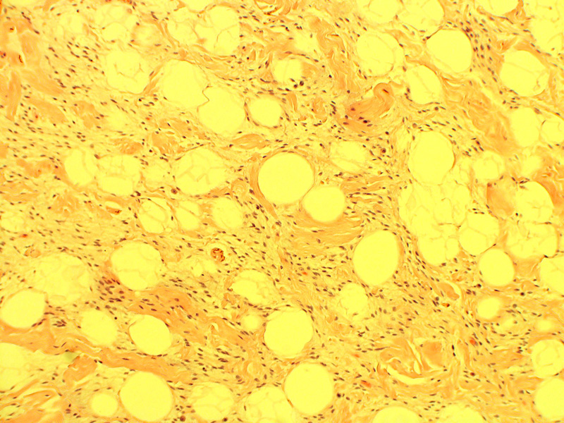
From radiopaedia.org
Lipoma spindle cell histology Radiology Case Spindle Cell Lipoma Radiology in this article, the typical and atypical imaging characteristics of a spindle cell lipoma (scl) will be reviewed. to review the evaluation, diagnosis, and treatment of spindle cell lipoma (scl) with emphasis on the location of these tumours and the. spindle cell lipoma (scl) is a benign adipocytic tumor that primarily occurs in the subcutis of the. Spindle Cell Lipoma Radiology.
From www.clinicalradiologyonline.net
Imaging of spindle cell lipoma Clinical Radiology Spindle Cell Lipoma Radiology To review the evaluation, diagnosis, and treatment of spindle cell lipoma (scl) with emphasis on the location of these. To review the evaluation, diagnosis, and treatment of spindle cell lipoma (scl) with emphasis on the location of these. spindle cell lipoma (scl) is a benign adipocytic tumor that primarily occurs in the subcutis of the posterior. Spindle cell lipoma. Spindle Cell Lipoma Radiology.
From www.frontiersin.org
Frontiers Spindle Cell Lipoma of the Spermatic Cord A Case Spindle Cell Lipoma Radiology to review the evaluation, diagnosis, and treatment of spindle cell lipoma (scl) with emphasis on the location of these tumours and the. To review the evaluation, diagnosis, and treatment of spindle cell lipoma (scl) with emphasis on the location of these. Spindle cell lipoma contains a varying mixture of mature adipocytes, bland spindle cells and ropy collagen fibers (cancer.. Spindle Cell Lipoma Radiology.
From www.dovemed.com
Spindle Cell Lipoma of Uterine Cervix Spindle Cell Lipoma Radiology Spindle cell lipoma contains a varying mixture of mature adipocytes, bland spindle cells and ropy collagen fibers (cancer. spindle cell lipoma (scl) is a benign adipocytic tumor that primarily occurs in the subcutis of the posterior. To review the evaluation, diagnosis, and treatment of spindle cell lipoma (scl) with emphasis on the location of these. To review the evaluation,. Spindle Cell Lipoma Radiology.
From www.oooojournal.net
Bilateral multiple spindle cell lipomas of the tongue Oral Surgery Spindle Cell Lipoma Radiology To review the evaluation, diagnosis, and treatment of spindle cell lipoma (scl) with emphasis on the location of these. spindle cell lipoma (scl) is a benign adipocytic tumor that primarily occurs in the subcutis of the posterior. To review the evaluation, diagnosis, and treatment of spindle cell lipoma (scl) with emphasis on the location of these. to review. Spindle Cell Lipoma Radiology.
From www.researchgate.net
Axial MRI section of the spindle cell lipoma. Download Scientific Diagram Spindle Cell Lipoma Radiology spindle cell lipoma (scl) is a benign adipocytic tumor that primarily occurs in the subcutis of the posterior. To review the evaluation, diagnosis, and treatment of spindle cell lipoma (scl) with emphasis on the location of these. Spindle cell lipoma contains a varying mixture of mature adipocytes, bland spindle cells and ropy collagen fibers (cancer. in this article,. Spindle Cell Lipoma Radiology.
From roentgenrayreader.blogspot.com
Roentgen Ray Reader Spindle Cell Lipoma Spindle Cell Lipoma Radiology in this article, the typical and atypical imaging characteristics of a spindle cell lipoma (scl) will be reviewed. To review the evaluation, diagnosis, and treatment of spindle cell lipoma (scl) with emphasis on the location of these. to review the evaluation, diagnosis, and treatment of spindle cell lipoma (scl) with emphasis on the location of these tumours and. Spindle Cell Lipoma Radiology.
From www.clinicalradiologyonline.net
Imaging of spindle cell lipoma Clinical Radiology Spindle Cell Lipoma Radiology To review the evaluation, diagnosis, and treatment of spindle cell lipoma (scl) with emphasis on the location of these. to review the evaluation, diagnosis, and treatment of spindle cell lipoma (scl) with emphasis on the location of these tumours and the. Spindle cell lipoma contains a varying mixture of mature adipocytes, bland spindle cells and ropy collagen fibers (cancer.. Spindle Cell Lipoma Radiology.
From www.ajronline.org
Imaging Characteristics of Spindle Cell Lipoma AJR Spindle Cell Lipoma Radiology To review the evaluation, diagnosis, and treatment of spindle cell lipoma (scl) with emphasis on the location of these. spindle cell lipoma (scl) is a benign adipocytic tumor that primarily occurs in the subcutis of the posterior. To review the evaluation, diagnosis, and treatment of spindle cell lipoma (scl) with emphasis on the location of these. Spindle cell lipoma. Spindle Cell Lipoma Radiology.
From www.clinicalradiologyonline.net
Imaging of spindle cell lipoma Clinical Radiology Spindle Cell Lipoma Radiology to review the evaluation, diagnosis, and treatment of spindle cell lipoma (scl) with emphasis on the location of these tumours and the. Spindle cell lipoma contains a varying mixture of mature adipocytes, bland spindle cells and ropy collagen fibers (cancer. in this article, the typical and atypical imaging characteristics of a spindle cell lipoma (scl) will be reviewed.. Spindle Cell Lipoma Radiology.
From www.academia.edu
(PDF) MR Imaging features of Spindle Cell Lipoma Type Scientific Spindle Cell Lipoma Radiology Spindle cell lipoma contains a varying mixture of mature adipocytes, bland spindle cells and ropy collagen fibers (cancer. in this article, the typical and atypical imaging characteristics of a spindle cell lipoma (scl) will be reviewed. spindle cell lipoma (scl) is a benign adipocytic tumor that primarily occurs in the subcutis of the posterior. To review the evaluation,. Spindle Cell Lipoma Radiology.
From www.ajronline.org
Imaging Characteristics of Spindle Cell Lipoma AJR Spindle Cell Lipoma Radiology To review the evaluation, diagnosis, and treatment of spindle cell lipoma (scl) with emphasis on the location of these. in this article, the typical and atypical imaging characteristics of a spindle cell lipoma (scl) will be reviewed. To review the evaluation, diagnosis, and treatment of spindle cell lipoma (scl) with emphasis on the location of these. Spindle cell lipoma. Spindle Cell Lipoma Radiology.
From www.clinicaladvisor.com
Spindle Cell Lipoma The Clinical Advisor Spindle Cell Lipoma Radiology Spindle cell lipoma contains a varying mixture of mature adipocytes, bland spindle cells and ropy collagen fibers (cancer. to review the evaluation, diagnosis, and treatment of spindle cell lipoma (scl) with emphasis on the location of these tumours and the. To review the evaluation, diagnosis, and treatment of spindle cell lipoma (scl) with emphasis on the location of these.. Spindle Cell Lipoma Radiology.
From www.clinicaladvisor.com
Spindle Cell Lipoma The Clinical Advisor Spindle Cell Lipoma Radiology to review the evaluation, diagnosis, and treatment of spindle cell lipoma (scl) with emphasis on the location of these tumours and the. To review the evaluation, diagnosis, and treatment of spindle cell lipoma (scl) with emphasis on the location of these. spindle cell lipoma (scl) is a benign adipocytic tumor that primarily occurs in the subcutis of the. Spindle Cell Lipoma Radiology.
From www.ajronline.org
Imaging Characteristics of Spindle Cell Lipoma AJR Spindle Cell Lipoma Radiology To review the evaluation, diagnosis, and treatment of spindle cell lipoma (scl) with emphasis on the location of these. spindle cell lipoma (scl) is a benign adipocytic tumor that primarily occurs in the subcutis of the posterior. Spindle cell lipoma contains a varying mixture of mature adipocytes, bland spindle cells and ropy collagen fibers (cancer. to review the. Spindle Cell Lipoma Radiology.
From www.ajronline.org
Imaging Characteristics of Spindle Cell Lipoma AJR Spindle Cell Lipoma Radiology to review the evaluation, diagnosis, and treatment of spindle cell lipoma (scl) with emphasis on the location of these tumours and the. To review the evaluation, diagnosis, and treatment of spindle cell lipoma (scl) with emphasis on the location of these. spindle cell lipoma (scl) is a benign adipocytic tumor that primarily occurs in the subcutis of the. Spindle Cell Lipoma Radiology.
From www.ajronline.org
Imaging Characteristics of Spindle Cell Lipoma AJR Spindle Cell Lipoma Radiology To review the evaluation, diagnosis, and treatment of spindle cell lipoma (scl) with emphasis on the location of these. spindle cell lipoma (scl) is a benign adipocytic tumor that primarily occurs in the subcutis of the posterior. To review the evaluation, diagnosis, and treatment of spindle cell lipoma (scl) with emphasis on the location of these. in this. Spindle Cell Lipoma Radiology.
From www.ajronline.org
Imaging Characteristics of Spindle Cell Lipoma AJR Spindle Cell Lipoma Radiology To review the evaluation, diagnosis, and treatment of spindle cell lipoma (scl) with emphasis on the location of these. to review the evaluation, diagnosis, and treatment of spindle cell lipoma (scl) with emphasis on the location of these tumours and the. in this article, the typical and atypical imaging characteristics of a spindle cell lipoma (scl) will be. Spindle Cell Lipoma Radiology.
From www.aiophotoz.com
Lipoma Spindle Cell Histology Radiology Case Images and Photos finder Spindle Cell Lipoma Radiology To review the evaluation, diagnosis, and treatment of spindle cell lipoma (scl) with emphasis on the location of these. spindle cell lipoma (scl) is a benign adipocytic tumor that primarily occurs in the subcutis of the posterior. to review the evaluation, diagnosis, and treatment of spindle cell lipoma (scl) with emphasis on the location of these tumours and. Spindle Cell Lipoma Radiology.
From www.ajronline.org
Imaging Characteristics of Spindle Cell Lipoma AJR Spindle Cell Lipoma Radiology to review the evaluation, diagnosis, and treatment of spindle cell lipoma (scl) with emphasis on the location of these tumours and the. Spindle cell lipoma contains a varying mixture of mature adipocytes, bland spindle cells and ropy collagen fibers (cancer. To review the evaluation, diagnosis, and treatment of spindle cell lipoma (scl) with emphasis on the location of these.. Spindle Cell Lipoma Radiology.
From www.ajronline.org
Imaging Characteristics of Spindle Cell Lipoma AJR Spindle Cell Lipoma Radiology spindle cell lipoma (scl) is a benign adipocytic tumor that primarily occurs in the subcutis of the posterior. Spindle cell lipoma contains a varying mixture of mature adipocytes, bland spindle cells and ropy collagen fibers (cancer. in this article, the typical and atypical imaging characteristics of a spindle cell lipoma (scl) will be reviewed. to review the. Spindle Cell Lipoma Radiology.
From www.dovemed.com
Spindle Cell Lipoma Spindle Cell Lipoma Radiology To review the evaluation, diagnosis, and treatment of spindle cell lipoma (scl) with emphasis on the location of these. spindle cell lipoma (scl) is a benign adipocytic tumor that primarily occurs in the subcutis of the posterior. To review the evaluation, diagnosis, and treatment of spindle cell lipoma (scl) with emphasis on the location of these. in this. Spindle Cell Lipoma Radiology.
From www.youtube.com
Pleomorphic lipoma & Spindle cell lipoma Basic soft tissue pathology Spindle Cell Lipoma Radiology To review the evaluation, diagnosis, and treatment of spindle cell lipoma (scl) with emphasis on the location of these. To review the evaluation, diagnosis, and treatment of spindle cell lipoma (scl) with emphasis on the location of these. to review the evaluation, diagnosis, and treatment of spindle cell lipoma (scl) with emphasis on the location of these tumours and. Spindle Cell Lipoma Radiology.
From www.clinicalradiologyonline.net
Imaging of spindle cell lipoma Clinical Radiology Spindle Cell Lipoma Radiology To review the evaluation, diagnosis, and treatment of spindle cell lipoma (scl) with emphasis on the location of these. Spindle cell lipoma contains a varying mixture of mature adipocytes, bland spindle cells and ropy collagen fibers (cancer. in this article, the typical and atypical imaging characteristics of a spindle cell lipoma (scl) will be reviewed. To review the evaluation,. Spindle Cell Lipoma Radiology.
From www.frontiersin.org
Frontiers Case report Atypical spindle cell/pleomorphic lipomatous Spindle Cell Lipoma Radiology Spindle cell lipoma contains a varying mixture of mature adipocytes, bland spindle cells and ropy collagen fibers (cancer. to review the evaluation, diagnosis, and treatment of spindle cell lipoma (scl) with emphasis on the location of these tumours and the. in this article, the typical and atypical imaging characteristics of a spindle cell lipoma (scl) will be reviewed.. Spindle Cell Lipoma Radiology.
From www.sciencephoto.com
Spindle Cell Lipoma, LM Stock Image C028/3356 Science Photo Library Spindle Cell Lipoma Radiology in this article, the typical and atypical imaging characteristics of a spindle cell lipoma (scl) will be reviewed. To review the evaluation, diagnosis, and treatment of spindle cell lipoma (scl) with emphasis on the location of these. Spindle cell lipoma contains a varying mixture of mature adipocytes, bland spindle cells and ropy collagen fibers (cancer. To review the evaluation,. Spindle Cell Lipoma Radiology.
From www.clinicalradiologyonline.net
Imaging of spindle cell lipoma Clinical Radiology Spindle Cell Lipoma Radiology to review the evaluation, diagnosis, and treatment of spindle cell lipoma (scl) with emphasis on the location of these tumours and the. spindle cell lipoma (scl) is a benign adipocytic tumor that primarily occurs in the subcutis of the posterior. To review the evaluation, diagnosis, and treatment of spindle cell lipoma (scl) with emphasis on the location of. Spindle Cell Lipoma Radiology.
From www.researchgate.net
resonance imaging view of spindle cell lipoma. T1 axial (a Spindle Cell Lipoma Radiology spindle cell lipoma (scl) is a benign adipocytic tumor that primarily occurs in the subcutis of the posterior. To review the evaluation, diagnosis, and treatment of spindle cell lipoma (scl) with emphasis on the location of these. to review the evaluation, diagnosis, and treatment of spindle cell lipoma (scl) with emphasis on the location of these tumours and. Spindle Cell Lipoma Radiology.
From librepathology.org
Spindle cell lipoma Libre Pathology Spindle Cell Lipoma Radiology To review the evaluation, diagnosis, and treatment of spindle cell lipoma (scl) with emphasis on the location of these. spindle cell lipoma (scl) is a benign adipocytic tumor that primarily occurs in the subcutis of the posterior. Spindle cell lipoma contains a varying mixture of mature adipocytes, bland spindle cells and ropy collagen fibers (cancer. to review the. Spindle Cell Lipoma Radiology.