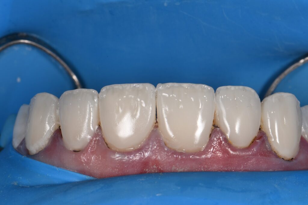
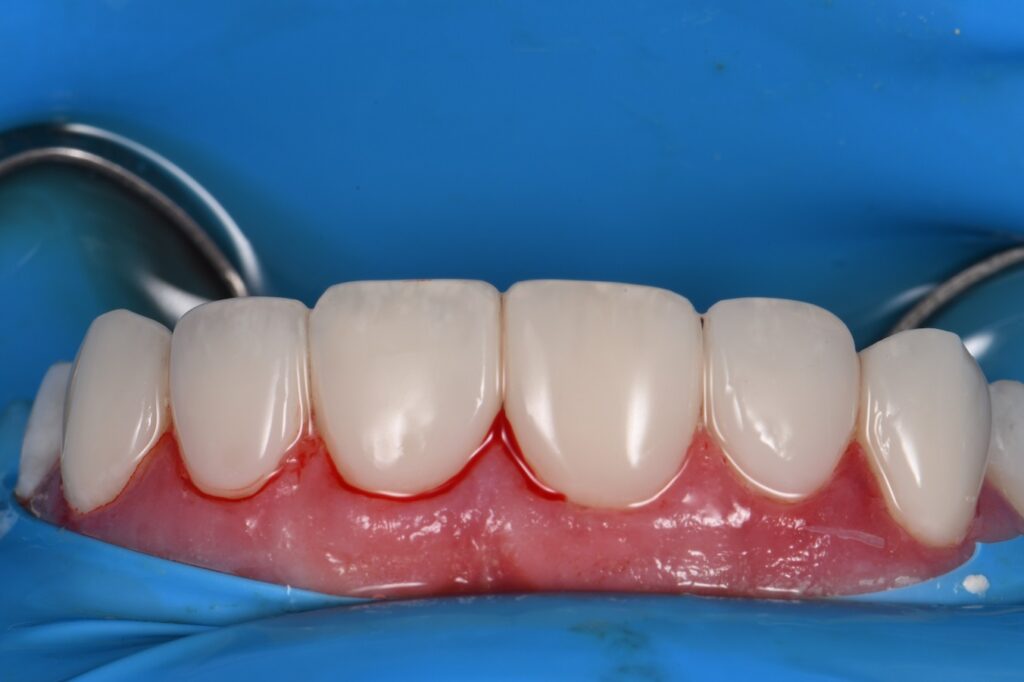
Laminate In Dentistry Definition . Laminate veneers are thin shells made of. Laminates are actually an advanced form of porcelain veneer and both are almost identical in function and benefits, except that laminates are. A dental crown, on the other hand, covers the entire tooth structure to add strength and protection. But they are much thinner than veneers and require much less enamel trimming to fit. Dental veneers are a cosmetic. What are laminate veneers and how do they differ from traditional crowns or fillings? Laminate veneer have the exact mechanism and function. Dental laminates, also known as dental veneers, are a popular cosmetic dental treatment option for those who want to enhance the appearance of their teeth. Dental laminates are thin, individualised shells, similar to conventional dental veneers, and are often constructed of porcelain or composite resin. Basically, laminates are advanced porcelain veneers because they both have the same function and benefits.
from www.clarencetam.co.nz
Dental laminates are thin, individualised shells, similar to conventional dental veneers, and are often constructed of porcelain or composite resin. Laminate veneer have the exact mechanism and function. Laminates are actually an advanced form of porcelain veneer and both are almost identical in function and benefits, except that laminates are. A dental crown, on the other hand, covers the entire tooth structure to add strength and protection. What are laminate veneers and how do they differ from traditional crowns or fillings? Laminate veneers are thin shells made of. Dental laminates, also known as dental veneers, are a popular cosmetic dental treatment option for those who want to enhance the appearance of their teeth. But they are much thinner than veneers and require much less enamel trimming to fit. Dental veneers are a cosmetic. Basically, laminates are advanced porcelain veneers because they both have the same function and benefits.
Resin Laminates Composite Veneers Auckland
Laminate In Dentistry Definition What are laminate veneers and how do they differ from traditional crowns or fillings? Basically, laminates are advanced porcelain veneers because they both have the same function and benefits. A dental crown, on the other hand, covers the entire tooth structure to add strength and protection. What are laminate veneers and how do they differ from traditional crowns or fillings? Dental laminates, also known as dental veneers, are a popular cosmetic dental treatment option for those who want to enhance the appearance of their teeth. Laminates are actually an advanced form of porcelain veneer and both are almost identical in function and benefits, except that laminates are. Dental laminates are thin, individualised shells, similar to conventional dental veneers, and are often constructed of porcelain or composite resin. Laminate veneers are thin shells made of. But they are much thinner than veneers and require much less enamel trimming to fit. Dental veneers are a cosmetic. Laminate veneer have the exact mechanism and function.
From www.bestdentalsmilestudio.com
Laminate Best Dental Laminate In Dentistry Definition Laminate veneer have the exact mechanism and function. Dental laminates are thin, individualised shells, similar to conventional dental veneers, and are often constructed of porcelain or composite resin. Laminates are actually an advanced form of porcelain veneer and both are almost identical in function and benefits, except that laminates are. Dental laminates, also known as dental veneers, are a popular. Laminate In Dentistry Definition.
From sundentalclinic.com
Laminates Laminate In Dentistry Definition Dental veneers are a cosmetic. Dental laminates are thin, individualised shells, similar to conventional dental veneers, and are often constructed of porcelain or composite resin. Laminate veneer have the exact mechanism and function. A dental crown, on the other hand, covers the entire tooth structure to add strength and protection. Laminate veneers are thin shells made of. Laminates are actually. Laminate In Dentistry Definition.
From www.slideshare.net
Porcelain laminate veneers (Dentistry) Laminate In Dentistry Definition Dental veneers are a cosmetic. Dental laminates, also known as dental veneers, are a popular cosmetic dental treatment option for those who want to enhance the appearance of their teeth. Basically, laminates are advanced porcelain veneers because they both have the same function and benefits. What are laminate veneers and how do they differ from traditional crowns or fillings? A. Laminate In Dentistry Definition.
From www.slideshare.net
Porcelain laminates the Future of Esthetic Dentistry Laminate In Dentistry Definition A dental crown, on the other hand, covers the entire tooth structure to add strength and protection. Dental laminates are thin, individualised shells, similar to conventional dental veneers, and are often constructed of porcelain or composite resin. Laminate veneer have the exact mechanism and function. What are laminate veneers and how do they differ from traditional crowns or fillings? Dental. Laminate In Dentistry Definition.
From www.oxnardgentledentistry.com
How to choose dental laminate according to the shape of the face Laminate In Dentistry Definition Dental laminates, also known as dental veneers, are a popular cosmetic dental treatment option for those who want to enhance the appearance of their teeth. A dental crown, on the other hand, covers the entire tooth structure to add strength and protection. Dental veneers are a cosmetic. But they are much thinner than veneers and require much less enamel trimming. Laminate In Dentistry Definition.
From www.rdsdental.com
DENTAL VENEERS AND LAMINATES RDS Dental Center Laminate In Dentistry Definition Laminate veneer have the exact mechanism and function. Laminates are actually an advanced form of porcelain veneer and both are almost identical in function and benefits, except that laminates are. Laminate veneers are thin shells made of. A dental crown, on the other hand, covers the entire tooth structure to add strength and protection. Dental laminates, also known as dental. Laminate In Dentistry Definition.
From dentalexcellenceturkey.com
Laminate Veneer Dental Excellence Turkey Dental Clinic in Antalya Laminate In Dentistry Definition Laminate veneers are thin shells made of. A dental crown, on the other hand, covers the entire tooth structure to add strength and protection. Dental veneers are a cosmetic. Dental laminates, also known as dental veneers, are a popular cosmetic dental treatment option for those who want to enhance the appearance of their teeth. Dental laminates are thin, individualised shells,. Laminate In Dentistry Definition.
From www.slideserve.com
PPT Dentistry definition PowerPoint Presentation, free download ID Laminate In Dentistry Definition What are laminate veneers and how do they differ from traditional crowns or fillings? Dental laminates, also known as dental veneers, are a popular cosmetic dental treatment option for those who want to enhance the appearance of their teeth. Dental veneers are a cosmetic. Laminates are actually an advanced form of porcelain veneer and both are almost identical in function. Laminate In Dentistry Definition.
From www.youtube.com
Dental laminate veneer YouTube Laminate In Dentistry Definition What are laminate veneers and how do they differ from traditional crowns or fillings? Laminate veneers are thin shells made of. But they are much thinner than veneers and require much less enamel trimming to fit. Dental veneers are a cosmetic. A dental crown, on the other hand, covers the entire tooth structure to add strength and protection. Dental laminates. Laminate In Dentistry Definition.
From www.yavuzeker.com
What is laminate teeth? Dt. Yavuz Eker Laminate In Dentistry Definition But they are much thinner than veneers and require much less enamel trimming to fit. Dental veneers are a cosmetic. Dental laminates are thin, individualised shells, similar to conventional dental veneers, and are often constructed of porcelain or composite resin. A dental crown, on the other hand, covers the entire tooth structure to add strength and protection. Laminates are actually. Laminate In Dentistry Definition.
From pocketdentistry.com
36 Preparation for porcelain laminate veneers Pocket Dentistry Laminate In Dentistry Definition What are laminate veneers and how do they differ from traditional crowns or fillings? Laminates are actually an advanced form of porcelain veneer and both are almost identical in function and benefits, except that laminates are. Basically, laminates are advanced porcelain veneers because they both have the same function and benefits. Dental laminates are thin, individualised shells, similar to conventional. Laminate In Dentistry Definition.
From asnanportal.com
Esthetic Rehabilitation of Anterior Teeth with Porcelain Laminates and Laminate In Dentistry Definition Dental laminates are thin, individualised shells, similar to conventional dental veneers, and are often constructed of porcelain or composite resin. Basically, laminates are advanced porcelain veneers because they both have the same function and benefits. Laminate veneers are thin shells made of. Dental laminates, also known as dental veneers, are a popular cosmetic dental treatment option for those who want. Laminate In Dentistry Definition.
From dentabode.com
Laminates Veneers Dentabode Laminate In Dentistry Definition Laminate veneers are thin shells made of. But they are much thinner than veneers and require much less enamel trimming to fit. What are laminate veneers and how do they differ from traditional crowns or fillings? Laminates are actually an advanced form of porcelain veneer and both are almost identical in function and benefits, except that laminates are. A dental. Laminate In Dentistry Definition.
From www.dorrclinic.com
What is dental Laminate? Can dental laminate ruin your teeth? Laminate In Dentistry Definition Dental laminates, also known as dental veneers, are a popular cosmetic dental treatment option for those who want to enhance the appearance of their teeth. Basically, laminates are advanced porcelain veneers because they both have the same function and benefits. Dental laminates are thin, individualised shells, similar to conventional dental veneers, and are often constructed of porcelain or composite resin.. Laminate In Dentistry Definition.
From www.slideshare.net
Laminate /dental courses Laminate In Dentistry Definition Laminate veneers are thin shells made of. What are laminate veneers and how do they differ from traditional crowns or fillings? Laminate veneer have the exact mechanism and function. Laminates are actually an advanced form of porcelain veneer and both are almost identical in function and benefits, except that laminates are. Dental laminates are thin, individualised shells, similar to conventional. Laminate In Dentistry Definition.
From www.myzerodonto.com
Direct composite restoration. A step by step guide for different Laminate In Dentistry Definition Dental laminates are thin, individualised shells, similar to conventional dental veneers, and are often constructed of porcelain or composite resin. What are laminate veneers and how do they differ from traditional crowns or fillings? Basically, laminates are advanced porcelain veneers because they both have the same function and benefits. Dental laminates, also known as dental veneers, are a popular cosmetic. Laminate In Dentistry Definition.
From sundentalclinic.com
Laminates Laminate In Dentistry Definition Laminates are actually an advanced form of porcelain veneer and both are almost identical in function and benefits, except that laminates are. A dental crown, on the other hand, covers the entire tooth structure to add strength and protection. Dental laminates, also known as dental veneers, are a popular cosmetic dental treatment option for those who want to enhance the. Laminate In Dentistry Definition.
From www.youtube.com
LAMINATE TECHNIQUE OF IMPRESSION AGAR ALGINATE COMBINATION TECHNIQUE Laminate In Dentistry Definition Dental laminates, also known as dental veneers, are a popular cosmetic dental treatment option for those who want to enhance the appearance of their teeth. Laminates are actually an advanced form of porcelain veneer and both are almost identical in function and benefits, except that laminates are. Dental veneers are a cosmetic. A dental crown, on the other hand, covers. Laminate In Dentistry Definition.
From sundentalclinic.com
Laminates Laminate In Dentistry Definition Laminates are actually an advanced form of porcelain veneer and both are almost identical in function and benefits, except that laminates are. Laminate veneer have the exact mechanism and function. A dental crown, on the other hand, covers the entire tooth structure to add strength and protection. Laminate veneers are thin shells made of. Dental veneers are a cosmetic. Basically,. Laminate In Dentistry Definition.
From medvika.com
Dental laminate in the best cosmetic dentistry in Iran Laminate In Dentistry Definition Dental veneers are a cosmetic. But they are much thinner than veneers and require much less enamel trimming to fit. A dental crown, on the other hand, covers the entire tooth structure to add strength and protection. Laminate veneers are thin shells made of. Laminates are actually an advanced form of porcelain veneer and both are almost identical in function. Laminate In Dentistry Definition.
From sundentalclinic.com
Laminates Laminate In Dentistry Definition Dental laminates, also known as dental veneers, are a popular cosmetic dental treatment option for those who want to enhance the appearance of their teeth. Laminate veneer have the exact mechanism and function. Laminates are actually an advanced form of porcelain veneer and both are almost identical in function and benefits, except that laminates are. What are laminate veneers and. Laminate In Dentistry Definition.
From sundentalclinic.com
Laminates Laminate In Dentistry Definition Dental veneers are a cosmetic. Laminates are actually an advanced form of porcelain veneer and both are almost identical in function and benefits, except that laminates are. A dental crown, on the other hand, covers the entire tooth structure to add strength and protection. Laminate veneer have the exact mechanism and function. What are laminate veneers and how do they. Laminate In Dentistry Definition.
From www.clarencetam.co.nz
Resin Laminates Composite Veneers Auckland Laminate In Dentistry Definition But they are much thinner than veneers and require much less enamel trimming to fit. What are laminate veneers and how do they differ from traditional crowns or fillings? Laminate veneers are thin shells made of. Dental veneers are a cosmetic. Dental laminates, also known as dental veneers, are a popular cosmetic dental treatment option for those who want to. Laminate In Dentistry Definition.
From www.youtube.com
Tooth development part 1 (dental lamina, vestibular lamina) Orban’s Laminate In Dentistry Definition Dental laminates, also known as dental veneers, are a popular cosmetic dental treatment option for those who want to enhance the appearance of their teeth. Laminate veneer have the exact mechanism and function. Laminate veneers are thin shells made of. A dental crown, on the other hand, covers the entire tooth structure to add strength and protection. Dental laminates are. Laminate In Dentistry Definition.
From www.clarencetam.co.nz
Resin Laminates Composite Veneers Auckland Laminate In Dentistry Definition Dental laminates, also known as dental veneers, are a popular cosmetic dental treatment option for those who want to enhance the appearance of their teeth. Laminate veneers are thin shells made of. Dental veneers are a cosmetic. But they are much thinner than veneers and require much less enamel trimming to fit. Basically, laminates are advanced porcelain veneers because they. Laminate In Dentistry Definition.
From www.clarencetam.co.nz
Resin Laminates Composite Veneers Auckland Laminate In Dentistry Definition Dental veneers are a cosmetic. Dental laminates are thin, individualised shells, similar to conventional dental veneers, and are often constructed of porcelain or composite resin. What are laminate veneers and how do they differ from traditional crowns or fillings? A dental crown, on the other hand, covers the entire tooth structure to add strength and protection. Basically, laminates are advanced. Laminate In Dentistry Definition.
From www.orasurgedentalclinic.com
VENEERS/ LAMINATES AND SMILE DESIGNING Orasurge dental clinic Laminate In Dentistry Definition Dental laminates are thin, individualised shells, similar to conventional dental veneers, and are often constructed of porcelain or composite resin. Basically, laminates are advanced porcelain veneers because they both have the same function and benefits. Laminate veneers are thin shells made of. Laminate veneer have the exact mechanism and function. A dental crown, on the other hand, covers the entire. Laminate In Dentistry Definition.
From www.pinterest.com
Laminate Veneers Smile dental, Dental, Cosmetic dentistry Laminate In Dentistry Definition Laminate veneers are thin shells made of. Laminates are actually an advanced form of porcelain veneer and both are almost identical in function and benefits, except that laminates are. Basically, laminates are advanced porcelain veneers because they both have the same function and benefits. Dental laminates, also known as dental veneers, are a popular cosmetic dental treatment option for those. Laminate In Dentistry Definition.
From www.slideshare.net
Laminate veneers by student at faculty of oral and dental medcine Ahr… Laminate In Dentistry Definition Basically, laminates are advanced porcelain veneers because they both have the same function and benefits. Laminates are actually an advanced form of porcelain veneer and both are almost identical in function and benefits, except that laminates are. A dental crown, on the other hand, covers the entire tooth structure to add strength and protection. Dental laminates are thin, individualised shells,. Laminate In Dentistry Definition.
From www.drdaltondds.com
Dental Laminates Pros and Cons Dental Laminates Bedford Laminate In Dentistry Definition A dental crown, on the other hand, covers the entire tooth structure to add strength and protection. Dental laminates are thin, individualised shells, similar to conventional dental veneers, and are often constructed of porcelain or composite resin. Laminates are actually an advanced form of porcelain veneer and both are almost identical in function and benefits, except that laminates are. Laminate. Laminate In Dentistry Definition.
From www.clarencetam.co.nz
Resin Laminates Composite Veneers Auckland Laminate In Dentistry Definition A dental crown, on the other hand, covers the entire tooth structure to add strength and protection. What are laminate veneers and how do they differ from traditional crowns or fillings? Dental laminates are thin, individualised shells, similar to conventional dental veneers, and are often constructed of porcelain or composite resin. Dental veneers are a cosmetic. But they are much. Laminate In Dentistry Definition.
From www.xlsmiles.com
laminates1 XL Smiles Dental Clinic Laminate In Dentistry Definition Dental veneers are a cosmetic. Basically, laminates are advanced porcelain veneers because they both have the same function and benefits. Dental laminates are thin, individualised shells, similar to conventional dental veneers, and are often constructed of porcelain or composite resin. Laminate veneer have the exact mechanism and function. Laminate veneers are thin shells made of. Dental laminates, also known as. Laminate In Dentistry Definition.
From www.youtube.com
try in and bonding protocol of dental laminate veneer in 30 seconds Laminate In Dentistry Definition Dental veneers are a cosmetic. Laminate veneer have the exact mechanism and function. A dental crown, on the other hand, covers the entire tooth structure to add strength and protection. What are laminate veneers and how do they differ from traditional crowns or fillings? Basically, laminates are advanced porcelain veneers because they both have the same function and benefits. Dental. Laminate In Dentistry Definition.
From www.drrobertbakerdentistry.com
Dental Veneers and Dental Laminates in Mesa, AZ Robert Baker Laminate In Dentistry Definition A dental crown, on the other hand, covers the entire tooth structure to add strength and protection. Dental laminates, also known as dental veneers, are a popular cosmetic dental treatment option for those who want to enhance the appearance of their teeth. Dental laminates are thin, individualised shells, similar to conventional dental veneers, and are often constructed of porcelain or. Laminate In Dentistry Definition.
From doctorinpocket.com
How to do laminate without shaving teeth Doctor in Pocket Laminate In Dentistry Definition Basically, laminates are advanced porcelain veneers because they both have the same function and benefits. A dental crown, on the other hand, covers the entire tooth structure to add strength and protection. What are laminate veneers and how do they differ from traditional crowns or fillings? Laminate veneer have the exact mechanism and function. Dental laminates, also known as dental. Laminate In Dentistry Definition.