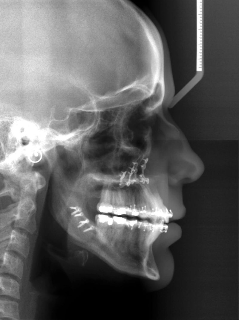
Orthodontics And Orthognathic Jaw Surgery . Orthognathic surgery may be necessary when the jaws don’t. A guide for patients considering orthodontics and jaw surgery (orthognathic treatment). It’s also referred to as orthognathic surgery. If your jaws don’t line. When consulting with a specialist for jaw surgery, you may hear some medical terms. Jaw surgery can readjust or realign the jaw. They may include orthognathic, which refers to the causes and treatment of bones. Orthognathic surgery is the surgical repositioning of the upper jaw, lower jaw or both. Jaw surgery, also called orthognathic surgery, is surgery that helps align your upper jaw (maxilla) and lower jaw (mandible). It’s performed by oral or maxillofacial. The length of your actual surgery is approximately two to three hours per jaw. You will likely recover from the anesthesia in.
from statenislandoralsurgery.us
Jaw surgery can readjust or realign the jaw. They may include orthognathic, which refers to the causes and treatment of bones. Jaw surgery, also called orthognathic surgery, is surgery that helps align your upper jaw (maxilla) and lower jaw (mandible). You will likely recover from the anesthesia in. When consulting with a specialist for jaw surgery, you may hear some medical terms. If your jaws don’t line. Orthognathic surgery may be necessary when the jaws don’t. The length of your actual surgery is approximately two to three hours per jaw. It’s also referred to as orthognathic surgery. Orthognathic surgery is the surgical repositioning of the upper jaw, lower jaw or both.
Orthognathic Jaw Surgery Staten Island Oral Surgery
Orthodontics And Orthognathic Jaw Surgery Jaw surgery, also called orthognathic surgery, is surgery that helps align your upper jaw (maxilla) and lower jaw (mandible). A guide for patients considering orthodontics and jaw surgery (orthognathic treatment). It’s performed by oral or maxillofacial. It’s also referred to as orthognathic surgery. Orthognathic surgery may be necessary when the jaws don’t. You will likely recover from the anesthesia in. The length of your actual surgery is approximately two to three hours per jaw. Jaw surgery, also called orthognathic surgery, is surgery that helps align your upper jaw (maxilla) and lower jaw (mandible). They may include orthognathic, which refers to the causes and treatment of bones. If your jaws don’t line. Jaw surgery can readjust or realign the jaw. When consulting with a specialist for jaw surgery, you may hear some medical terms. Orthognathic surgery is the surgical repositioning of the upper jaw, lower jaw or both.
From www.oralmaxsurgery.theclinics.com
Orthognathic Surgery and Orthodontics Oral and Maxillofacial Surgery Orthodontics And Orthognathic Jaw Surgery A guide for patients considering orthodontics and jaw surgery (orthognathic treatment). It’s also referred to as orthognathic surgery. It’s performed by oral or maxillofacial. Jaw surgery can readjust or realign the jaw. Jaw surgery, also called orthognathic surgery, is surgery that helps align your upper jaw (maxilla) and lower jaw (mandible). Orthognathic surgery is the surgical repositioning of the upper. Orthodontics And Orthognathic Jaw Surgery.
From yangorthodontics.com
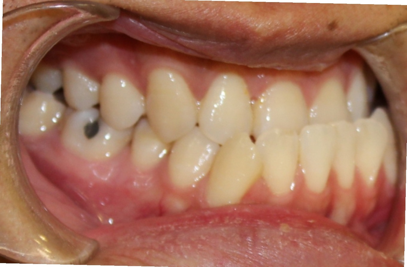
One of our patients at Yang Orthodontics had a severe underbite Orthodontics And Orthognathic Jaw Surgery The length of your actual surgery is approximately two to three hours per jaw. Jaw surgery, also called orthognathic surgery, is surgery that helps align your upper jaw (maxilla) and lower jaw (mandible). A guide for patients considering orthodontics and jaw surgery (orthognathic treatment). They may include orthognathic, which refers to the causes and treatment of bones. Orthognathic surgery is. Orthodontics And Orthognathic Jaw Surgery.
From www.bracesworks.com
Orthognathic Jaw Surgery in Allen TX Suncreek Orthodontics in Allen Orthodontics And Orthognathic Jaw Surgery They may include orthognathic, which refers to the causes and treatment of bones. If your jaws don’t line. Orthognathic surgery may be necessary when the jaws don’t. It’s also referred to as orthognathic surgery. Jaw surgery, also called orthognathic surgery, is surgery that helps align your upper jaw (maxilla) and lower jaw (mandible). When consulting with a specialist for jaw. Orthodontics And Orthognathic Jaw Surgery.
From berkeleybraces.com
Surgical Orthodontics North Berkeley South Berkeley CA Robert H Orthodontics And Orthognathic Jaw Surgery The length of your actual surgery is approximately two to three hours per jaw. Orthognathic surgery is the surgical repositioning of the upper jaw, lower jaw or both. When consulting with a specialist for jaw surgery, you may hear some medical terms. If your jaws don’t line. It’s performed by oral or maxillofacial. They may include orthognathic, which refers to. Orthodontics And Orthognathic Jaw Surgery.
From www.njoralsurgery.com
What are the Benefits of Orthognathic Surgery? NJ Oral Surgery Orthodontics And Orthognathic Jaw Surgery A guide for patients considering orthodontics and jaw surgery (orthognathic treatment). It’s also referred to as orthognathic surgery. The length of your actual surgery is approximately two to three hours per jaw. Jaw surgery, also called orthognathic surgery, is surgery that helps align your upper jaw (maxilla) and lower jaw (mandible). If your jaws don’t line. They may include orthognathic,. Orthodontics And Orthognathic Jaw Surgery.
From montvilleoralsurgery.com
Orthognathic Surgery Montville Oral Surgery Orthodontics And Orthognathic Jaw Surgery When consulting with a specialist for jaw surgery, you may hear some medical terms. It’s performed by oral or maxillofacial. The length of your actual surgery is approximately two to three hours per jaw. Orthognathic surgery may be necessary when the jaws don’t. If your jaws don’t line. You will likely recover from the anesthesia in. They may include orthognathic,. Orthodontics And Orthognathic Jaw Surgery.
From www.sunsetoralsurgery.com
Orthognathic Surgery West Hollywood Jaw Correction Surgery CA Orthodontics And Orthognathic Jaw Surgery A guide for patients considering orthodontics and jaw surgery (orthognathic treatment). If your jaws don’t line. They may include orthognathic, which refers to the causes and treatment of bones. Jaw surgery can readjust or realign the jaw. The length of your actual surgery is approximately two to three hours per jaw. It’s performed by oral or maxillofacial. When consulting with. Orthodontics And Orthognathic Jaw Surgery.
From statenislandoralsurgery.us
Orthognathic Jaw Surgery Staten Island Oral Surgery Orthodontics And Orthognathic Jaw Surgery When consulting with a specialist for jaw surgery, you may hear some medical terms. A guide for patients considering orthodontics and jaw surgery (orthognathic treatment). Jaw surgery can readjust or realign the jaw. Orthognathic surgery is the surgical repositioning of the upper jaw, lower jaw or both. They may include orthognathic, which refers to the causes and treatment of bones.. Orthodontics And Orthognathic Jaw Surgery.
From desertmaxillofacial.com
Corrective Jaw Surgery Orthognathic Surgery Misaligned Jaws Orthodontics And Orthognathic Jaw Surgery It’s performed by oral or maxillofacial. When consulting with a specialist for jaw surgery, you may hear some medical terms. Jaw surgery can readjust or realign the jaw. Jaw surgery, also called orthognathic surgery, is surgery that helps align your upper jaw (maxilla) and lower jaw (mandible). The length of your actual surgery is approximately two to three hours per. Orthodontics And Orthognathic Jaw Surgery.
From www.drantipov.com
Double Jaw Orthognathic Surgery Corrective Jaw Surgery Dr. Antipov Orthodontics And Orthognathic Jaw Surgery Jaw surgery, also called orthognathic surgery, is surgery that helps align your upper jaw (maxilla) and lower jaw (mandible). A guide for patients considering orthodontics and jaw surgery (orthognathic treatment). Jaw surgery can readjust or realign the jaw. You will likely recover from the anesthesia in. It’s also referred to as orthognathic surgery. It’s performed by oral or maxillofacial. If. Orthodontics And Orthognathic Jaw Surgery.
From www.bracesworks.com
Orthognathic Jaw Surgery in Allen TX Suncreek Orthodontics in Allen Orthodontics And Orthognathic Jaw Surgery It’s performed by oral or maxillofacial. When consulting with a specialist for jaw surgery, you may hear some medical terms. If your jaws don’t line. You will likely recover from the anesthesia in. Orthognathic surgery is the surgical repositioning of the upper jaw, lower jaw or both. They may include orthognathic, which refers to the causes and treatment of bones.. Orthodontics And Orthognathic Jaw Surgery.
From drlarrywolford.com
Orthognathic Surgery Dr. Larry M. Wolford, DMD Orthodontics And Orthognathic Jaw Surgery Orthognathic surgery may be necessary when the jaws don’t. They may include orthognathic, which refers to the causes and treatment of bones. Jaw surgery can readjust or realign the jaw. You will likely recover from the anesthesia in. If your jaws don’t line. The length of your actual surgery is approximately two to three hours per jaw. When consulting with. Orthodontics And Orthognathic Jaw Surgery.
From www.queensgateorthodontics.co.uk
Orthognathic Surgery London & Jaw Surgery London Queens Gate Orthodo Orthodontics And Orthognathic Jaw Surgery Jaw surgery can readjust or realign the jaw. You will likely recover from the anesthesia in. Orthognathic surgery is the surgical repositioning of the upper jaw, lower jaw or both. Jaw surgery, also called orthognathic surgery, is surgery that helps align your upper jaw (maxilla) and lower jaw (mandible). They may include orthognathic, which refers to the causes and treatment. Orthodontics And Orthognathic Jaw Surgery.
From www.youtube.com
Introduction to orthognathic Jaw Surgery Jaw Distraction overbite Orthodontics And Orthognathic Jaw Surgery A guide for patients considering orthodontics and jaw surgery (orthognathic treatment). It’s performed by oral or maxillofacial. Orthognathic surgery is the surgical repositioning of the upper jaw, lower jaw or both. Orthognathic surgery may be necessary when the jaws don’t. It’s also referred to as orthognathic surgery. If your jaws don’t line. When consulting with a specialist for jaw surgery,. Orthodontics And Orthognathic Jaw Surgery.
From clearorthodonticstudio.com.au
Jaw alignment braces + surgery Perth Clear Orthodontic Studio Orthodontics And Orthognathic Jaw Surgery You will likely recover from the anesthesia in. Jaw surgery can readjust or realign the jaw. The length of your actual surgery is approximately two to three hours per jaw. When consulting with a specialist for jaw surgery, you may hear some medical terms. A guide for patients considering orthodontics and jaw surgery (orthognathic treatment). Orthognathic surgery may be necessary. Orthodontics And Orthognathic Jaw Surgery.
From www.artofit.org
Corrective and orthognathic jaw surgery dr richard w joseph Artofit Orthodontics And Orthognathic Jaw Surgery You will likely recover from the anesthesia in. If your jaws don’t line. A guide for patients considering orthodontics and jaw surgery (orthognathic treatment). It’s performed by oral or maxillofacial. Jaw surgery, also called orthognathic surgery, is surgery that helps align your upper jaw (maxilla) and lower jaw (mandible). Orthognathic surgery is the surgical repositioning of the upper jaw, lower. Orthodontics And Orthognathic Jaw Surgery.
From www.manchesterorthodontics.co.uk
Jaw Surgery Orthognathic Treatment Manchester Orthodontics Orthodontics And Orthognathic Jaw Surgery Jaw surgery, also called orthognathic surgery, is surgery that helps align your upper jaw (maxilla) and lower jaw (mandible). When consulting with a specialist for jaw surgery, you may hear some medical terms. Orthognathic surgery may be necessary when the jaws don’t. It’s also referred to as orthognathic surgery. You will likely recover from the anesthesia in. They may include. Orthodontics And Orthognathic Jaw Surgery.
From drrichardjoseph.com
Corrective and Orthognathic Jaw Surgery Dr. Richard W. Joseph Orthodontics And Orthognathic Jaw Surgery Orthognathic surgery is the surgical repositioning of the upper jaw, lower jaw or both. Jaw surgery, also called orthognathic surgery, is surgery that helps align your upper jaw (maxilla) and lower jaw (mandible). The length of your actual surgery is approximately two to three hours per jaw. When consulting with a specialist for jaw surgery, you may hear some medical. Orthodontics And Orthognathic Jaw Surgery.
From www.drthomasarayathinal.com
Orthognathic Jaw Surgery Dr. Thomas Arayathinal Orthodontics And Orthognathic Jaw Surgery When consulting with a specialist for jaw surgery, you may hear some medical terms. Jaw surgery, also called orthognathic surgery, is surgery that helps align your upper jaw (maxilla) and lower jaw (mandible). Orthognathic surgery is the surgical repositioning of the upper jaw, lower jaw or both. Orthognathic surgery may be necessary when the jaws don’t. A guide for patients. Orthodontics And Orthognathic Jaw Surgery.
From www.allalaskaoralcraniofacialsurgery.com
Orthognathic Surgery All Alaska Oral Craniofacial Surgery Orthodontics And Orthognathic Jaw Surgery Jaw surgery can readjust or realign the jaw. You will likely recover from the anesthesia in. Jaw surgery, also called orthognathic surgery, is surgery that helps align your upper jaw (maxilla) and lower jaw (mandible). When consulting with a specialist for jaw surgery, you may hear some medical terms. Orthognathic surgery is the surgical repositioning of the upper jaw, lower. Orthodontics And Orthognathic Jaw Surgery.
From www.gladesvilleorthodontics.com.au
ORTHOGNATHIC SURGERY Gladesville Orthodontics Orthodontics And Orthognathic Jaw Surgery A guide for patients considering orthodontics and jaw surgery (orthognathic treatment). You will likely recover from the anesthesia in. Orthognathic surgery is the surgical repositioning of the upper jaw, lower jaw or both. They may include orthognathic, which refers to the causes and treatment of bones. It’s performed by oral or maxillofacial. Orthognathic surgery may be necessary when the jaws. Orthodontics And Orthognathic Jaw Surgery.
From thelookortho.com.au
The Look Orthodontics Guide to Orthognathic Surgery The Look Orthodontics Orthodontics And Orthognathic Jaw Surgery They may include orthognathic, which refers to the causes and treatment of bones. It’s performed by oral or maxillofacial. Jaw surgery, also called orthognathic surgery, is surgery that helps align your upper jaw (maxilla) and lower jaw (mandible). Orthognathic surgery may be necessary when the jaws don’t. The length of your actual surgery is approximately two to three hours per. Orthodontics And Orthognathic Jaw Surgery.
From www.aperfectsmile.com
Orthognathic Surgery Kalaskey Orthodontics Charleston West Virginia Orthodontics And Orthognathic Jaw Surgery Orthognathic surgery is the surgical repositioning of the upper jaw, lower jaw or both. A guide for patients considering orthodontics and jaw surgery (orthognathic treatment). The length of your actual surgery is approximately two to three hours per jaw. If your jaws don’t line. Jaw surgery can readjust or realign the jaw. They may include orthognathic, which refers to the. Orthodontics And Orthognathic Jaw Surgery.
From www.manchesterorthodontics.co.uk
Jaw Surgery Orthognathic Treatment Manchester Orthodontics Orthodontics And Orthognathic Jaw Surgery Orthognathic surgery is the surgical repositioning of the upper jaw, lower jaw or both. They may include orthognathic, which refers to the causes and treatment of bones. Jaw surgery, also called orthognathic surgery, is surgery that helps align your upper jaw (maxilla) and lower jaw (mandible). The length of your actual surgery is approximately two to three hours per jaw.. Orthodontics And Orthognathic Jaw Surgery.
From www.drantipov.com
Double Jaw Orthognathic Surgery Corrective Jaw Surgery Dr. Antipov Orthodontics And Orthognathic Jaw Surgery A guide for patients considering orthodontics and jaw surgery (orthognathic treatment). When consulting with a specialist for jaw surgery, you may hear some medical terms. It’s performed by oral or maxillofacial. If your jaws don’t line. They may include orthognathic, which refers to the causes and treatment of bones. The length of your actual surgery is approximately two to three. Orthodontics And Orthognathic Jaw Surgery.
From www.youtube.com
What is Orthognathic Surgery? [Jaw Surgery with Braces Explained] YouTube Orthodontics And Orthognathic Jaw Surgery Jaw surgery, also called orthognathic surgery, is surgery that helps align your upper jaw (maxilla) and lower jaw (mandible). A guide for patients considering orthodontics and jaw surgery (orthognathic treatment). Orthognathic surgery is the surgical repositioning of the upper jaw, lower jaw or both. It’s performed by oral or maxillofacial. Orthognathic surgery may be necessary when the jaws don’t. They. Orthodontics And Orthognathic Jaw Surgery.
From girlycopyrightxo.blogspot.com
Bottom Jaw Surgery Before And After Girlycop Orthodontics And Orthognathic Jaw Surgery When consulting with a specialist for jaw surgery, you may hear some medical terms. If your jaws don’t line. Jaw surgery can readjust or realign the jaw. They may include orthognathic, which refers to the causes and treatment of bones. It’s also referred to as orthognathic surgery. A guide for patients considering orthodontics and jaw surgery (orthognathic treatment). It’s performed. Orthodontics And Orthognathic Jaw Surgery.
From statenislandoralsurgery.us
Orthognathic Jaw Surgery Staten Island Oral Surgery Orthodontics And Orthognathic Jaw Surgery They may include orthognathic, which refers to the causes and treatment of bones. Jaw surgery, also called orthognathic surgery, is surgery that helps align your upper jaw (maxilla) and lower jaw (mandible). When consulting with a specialist for jaw surgery, you may hear some medical terms. It’s also referred to as orthognathic surgery. A guide for patients considering orthodontics and. Orthodontics And Orthognathic Jaw Surgery.
From beforeandafter.netlify.app
Jaw Surgery Before And After Orthodontics And Orthognathic Jaw Surgery Orthognathic surgery may be necessary when the jaws don’t. Orthognathic surgery is the surgical repositioning of the upper jaw, lower jaw or both. A guide for patients considering orthodontics and jaw surgery (orthognathic treatment). You will likely recover from the anesthesia in. If your jaws don’t line. Jaw surgery, also called orthognathic surgery, is surgery that helps align your upper. Orthodontics And Orthognathic Jaw Surgery.
From www.allalaskaoralcraniofacialsurgery.com
Orthognathic Surgery All Alaska Oral Craniofacial Surgery Orthodontics And Orthognathic Jaw Surgery A guide for patients considering orthodontics and jaw surgery (orthognathic treatment). Jaw surgery, also called orthognathic surgery, is surgery that helps align your upper jaw (maxilla) and lower jaw (mandible). When consulting with a specialist for jaw surgery, you may hear some medical terms. If your jaws don’t line. Jaw surgery can readjust or realign the jaw. You will likely. Orthodontics And Orthognathic Jaw Surgery.
From sageplasticsurgery.com
Jaw Surgery Before & After Photos Sage Plastic Surgery Orthodontics And Orthognathic Jaw Surgery Orthognathic surgery is the surgical repositioning of the upper jaw, lower jaw or both. Jaw surgery can readjust or realign the jaw. Orthognathic surgery may be necessary when the jaws don’t. They may include orthognathic, which refers to the causes and treatment of bones. A guide for patients considering orthodontics and jaw surgery (orthognathic treatment). When consulting with a specialist. Orthodontics And Orthognathic Jaw Surgery.
From www.jorgensenorthodontics.com
What Is Orthognathic Surgery and Who Needs It? Orthodontics Orthodontics And Orthognathic Jaw Surgery You will likely recover from the anesthesia in. Orthognathic surgery may be necessary when the jaws don’t. When consulting with a specialist for jaw surgery, you may hear some medical terms. It’s performed by oral or maxillofacial. It’s also referred to as orthognathic surgery. A guide for patients considering orthodontics and jaw surgery (orthognathic treatment). The length of your actual. Orthodontics And Orthognathic Jaw Surgery.
From www.doctoremma.com
Orthognathic Jaw Surgery Before and After Doctor Emma Orthodontics And Orthognathic Jaw Surgery Orthognathic surgery is the surgical repositioning of the upper jaw, lower jaw or both. It’s also referred to as orthognathic surgery. You will likely recover from the anesthesia in. When consulting with a specialist for jaw surgery, you may hear some medical terms. Jaw surgery can readjust or realign the jaw. A guide for patients considering orthodontics and jaw surgery. Orthodontics And Orthognathic Jaw Surgery.
From akesosurgery.com
Orthognathic Surgery Akeso Oral, Facial & Dental Implant Surgery Orthodontics And Orthognathic Jaw Surgery It’s also referred to as orthognathic surgery. It’s performed by oral or maxillofacial. If your jaws don’t line. Jaw surgery can readjust or realign the jaw. You will likely recover from the anesthesia in. The length of your actual surgery is approximately two to three hours per jaw. They may include orthognathic, which refers to the causes and treatment of. Orthodontics And Orthognathic Jaw Surgery.
From www.youtube.com
Corrective Jaw (Orthognathic) Surgery, Animation. YouTube Orthodontics And Orthognathic Jaw Surgery If your jaws don’t line. A guide for patients considering orthodontics and jaw surgery (orthognathic treatment). Orthognathic surgery may be necessary when the jaws don’t. The length of your actual surgery is approximately two to three hours per jaw. It’s also referred to as orthognathic surgery. Orthognathic surgery is the surgical repositioning of the upper jaw, lower jaw or both.. Orthodontics And Orthognathic Jaw Surgery.