Pedal Fracture Definition . Pedal bone fracture the coffin bone, also known as the pedal bone, third phalanx, distal phalanx, and os pedis , is located in the horse's foot. Such injuries can happen as a result of horses kicking out against solid objects,. The coffin bone, also known as the pedal bone or distal phalanx, is a small bone within the horse’s hoof. Fractures of the distal phalanx (pedal bone) usually occur as a result of trauma such as kicking a solid object, standing on a stone or fast exercise on hard ground. Looking for online definition of pedal fracture in the medical dictionary? This bone, which is rough and pitted in texture, is surrounded by the. It is the anatomic equivalent of the bone that. Treatment can be nonoperative or operative. Diagnosis is made with plain radiographs of the ankle. Ankle fractures are very common injuries to the ankle which generally occur due to a twisting mechanism. Pedal bone fractures often occur as a result of a sudden traumatic injury to a horse’s foot.
from healthjade.net
This bone, which is rough and pitted in texture, is surrounded by the. It is the anatomic equivalent of the bone that. Pedal bone fractures often occur as a result of a sudden traumatic injury to a horse’s foot. Diagnosis is made with plain radiographs of the ankle. Treatment can be nonoperative or operative. Such injuries can happen as a result of horses kicking out against solid objects,. Fractures of the distal phalanx (pedal bone) usually occur as a result of trauma such as kicking a solid object, standing on a stone or fast exercise on hard ground. Pedal bone fracture the coffin bone, also known as the pedal bone, third phalanx, distal phalanx, and os pedis , is located in the horse's foot. Looking for online definition of pedal fracture in the medical dictionary? Ankle fractures are very common injuries to the ankle which generally occur due to a twisting mechanism.
Torus fracture definition, causes, diagnosis & torus fracture treatment
Pedal Fracture Definition Diagnosis is made with plain radiographs of the ankle. It is the anatomic equivalent of the bone that. Diagnosis is made with plain radiographs of the ankle. Treatment can be nonoperative or operative. Pedal bone fracture the coffin bone, also known as the pedal bone, third phalanx, distal phalanx, and os pedis , is located in the horse's foot. Looking for online definition of pedal fracture in the medical dictionary? Ankle fractures are very common injuries to the ankle which generally occur due to a twisting mechanism. The coffin bone, also known as the pedal bone or distal phalanx, is a small bone within the horse’s hoof. Fractures of the distal phalanx (pedal bone) usually occur as a result of trauma such as kicking a solid object, standing on a stone or fast exercise on hard ground. Such injuries can happen as a result of horses kicking out against solid objects,. This bone, which is rough and pitted in texture, is surrounded by the. Pedal bone fractures often occur as a result of a sudden traumatic injury to a horse’s foot.
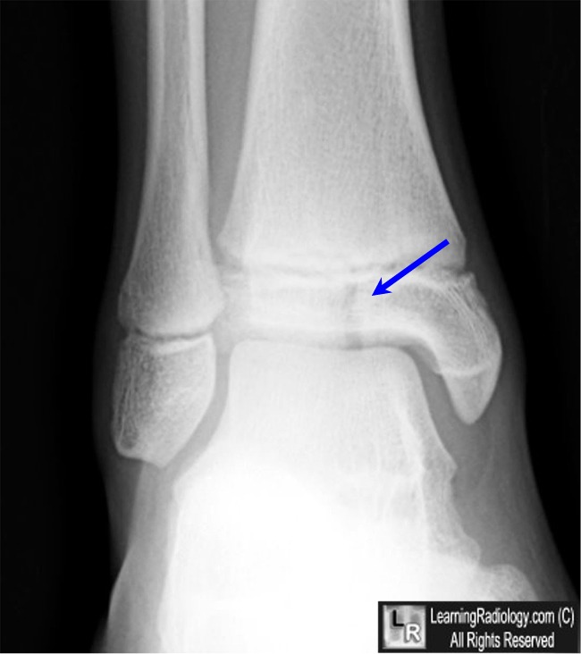
From www.learningradiology.com
LearningRadiology Pedal Fracture Definition Pedal bone fracture the coffin bone, also known as the pedal bone, third phalanx, distal phalanx, and os pedis , is located in the horse's foot. Looking for online definition of pedal fracture in the medical dictionary? Diagnosis is made with plain radiographs of the ankle. The coffin bone, also known as the pedal bone or distal phalanx, is a. Pedal Fracture Definition.
From certifiedfoot.com
There are different types of foot fractures, learn how to identify each Pedal Fracture Definition The coffin bone, also known as the pedal bone or distal phalanx, is a small bone within the horse’s hoof. Pedal bone fractures often occur as a result of a sudden traumatic injury to a horse’s foot. Fractures of the distal phalanx (pedal bone) usually occur as a result of trauma such as kicking a solid object, standing on a. Pedal Fracture Definition.
From kinedarbois.fr
Fibula Fracture Recovery Time (+Tips) Pedal Fracture Definition Ankle fractures are very common injuries to the ankle which generally occur due to a twisting mechanism. Looking for online definition of pedal fracture in the medical dictionary? Treatment can be nonoperative or operative. Diagnosis is made with plain radiographs of the ankle. Such injuries can happen as a result of horses kicking out against solid objects,. It is the. Pedal Fracture Definition.
From www.coursehero.com
Fractures Bone Repair Anatomy and Physiology I Course Hero Pedal Fracture Definition Treatment can be nonoperative or operative. Pedal bone fracture the coffin bone, also known as the pedal bone, third phalanx, distal phalanx, and os pedis , is located in the horse's foot. Such injuries can happen as a result of horses kicking out against solid objects,. The coffin bone, also known as the pedal bone or distal phalanx, is a. Pedal Fracture Definition.
From drmmanjra.co.za
7 Types Of Bone Fractures Orthopaedic Surgeon Durban Pedal Fracture Definition Diagnosis is made with plain radiographs of the ankle. It is the anatomic equivalent of the bone that. Looking for online definition of pedal fracture in the medical dictionary? Fractures of the distal phalanx (pedal bone) usually occur as a result of trauma such as kicking a solid object, standing on a stone or fast exercise on hard ground. The. Pedal Fracture Definition.
From mavink.com
What Are The Different Types Of Bone Fractures Pedal Fracture Definition Pedal bone fracture the coffin bone, also known as the pedal bone, third phalanx, distal phalanx, and os pedis , is located in the horse's foot. Fractures of the distal phalanx (pedal bone) usually occur as a result of trauma such as kicking a solid object, standing on a stone or fast exercise on hard ground. Pedal bone fractures often. Pedal Fracture Definition.
From drmmanjra.co.za
7 Types Of Bone Fractures Orthopaedic Surgeon Durban Pedal Fracture Definition This bone, which is rough and pitted in texture, is surrounded by the. Such injuries can happen as a result of horses kicking out against solid objects,. Pedal bone fractures often occur as a result of a sudden traumatic injury to a horse’s foot. Fractures of the distal phalanx (pedal bone) usually occur as a result of trauma such as. Pedal Fracture Definition.
From www.horseandhound.co.uk
Pedal bone fractureany experience? Pedal Fracture Definition Pedal bone fracture the coffin bone, also known as the pedal bone, third phalanx, distal phalanx, and os pedis , is located in the horse's foot. Diagnosis is made with plain radiographs of the ankle. Looking for online definition of pedal fracture in the medical dictionary? Treatment can be nonoperative or operative. The coffin bone, also known as the pedal. Pedal Fracture Definition.
From www.omicsonline.org
Supracondylar Fractures of the Humerus in Children Review of Pedal Fracture Definition This bone, which is rough and pitted in texture, is surrounded by the. It is the anatomic equivalent of the bone that. Pedal bone fracture the coffin bone, also known as the pedal bone, third phalanx, distal phalanx, and os pedis , is located in the horse's foot. Pedal bone fractures often occur as a result of a sudden traumatic. Pedal Fracture Definition.
From www.handtherapyacademy.com
Different types of distal radius fractures seen in the hand therapy clinic Pedal Fracture Definition Looking for online definition of pedal fracture in the medical dictionary? Such injuries can happen as a result of horses kicking out against solid objects,. Ankle fractures are very common injuries to the ankle which generally occur due to a twisting mechanism. The coffin bone, also known as the pedal bone or distal phalanx, is a small bone within the. Pedal Fracture Definition.
From universe.roboflow.com
Hip fracture detection Object Detection Dataset and PreTrained Model Pedal Fracture Definition It is the anatomic equivalent of the bone that. Pedal bone fracture the coffin bone, also known as the pedal bone, third phalanx, distal phalanx, and os pedis , is located in the horse's foot. Such injuries can happen as a result of horses kicking out against solid objects,. Pedal bone fractures often occur as a result of a sudden. Pedal Fracture Definition.
From coreem.net
Calcaneus Fractures Core EM Pedal Fracture Definition This bone, which is rough and pitted in texture, is surrounded by the. Fractures of the distal phalanx (pedal bone) usually occur as a result of trauma such as kicking a solid object, standing on a stone or fast exercise on hard ground. Treatment can be nonoperative or operative. Looking for online definition of pedal fracture in the medical dictionary?. Pedal Fracture Definition.
From www.researchgate.net
A trauma such as this pedal bone fracture can cause the horse to off Pedal Fracture Definition Such injuries can happen as a result of horses kicking out against solid objects,. The coffin bone, also known as the pedal bone or distal phalanx, is a small bone within the horse’s hoof. This bone, which is rough and pitted in texture, is surrounded by the. Pedal bone fracture the coffin bone, also known as the pedal bone, third. Pedal Fracture Definition.
From blog.clinicalmonster.com
Ankle problems Answer County EM Pedal Fracture Definition Looking for online definition of pedal fracture in the medical dictionary? Pedal bone fracture the coffin bone, also known as the pedal bone, third phalanx, distal phalanx, and os pedis , is located in the horse's foot. Diagnosis is made with plain radiographs of the ankle. Such injuries can happen as a result of horses kicking out against solid objects,.. Pedal Fracture Definition.
From www.tpsearchtool.com
Types Of Fractures Images Pedal Fracture Definition It is the anatomic equivalent of the bone that. Fractures of the distal phalanx (pedal bone) usually occur as a result of trauma such as kicking a solid object, standing on a stone or fast exercise on hard ground. The coffin bone, also known as the pedal bone or distal phalanx, is a small bone within the horse’s hoof. Looking. Pedal Fracture Definition.
From www.tevs.com.au
Fractured Pedal Bones — Tweedie Equine Vet Services Pedal Fracture Definition Treatment can be nonoperative or operative. Diagnosis is made with plain radiographs of the ankle. Looking for online definition of pedal fracture in the medical dictionary? The coffin bone, also known as the pedal bone or distal phalanx, is a small bone within the horse’s hoof. Pedal bone fracture the coffin bone, also known as the pedal bone, third phalanx,. Pedal Fracture Definition.
From drmmanjra.co.za
7 Types Of Bone Fractures Orthopaedic Surgeon Durban Pedal Fracture Definition Pedal bone fracture the coffin bone, also known as the pedal bone, third phalanx, distal phalanx, and os pedis , is located in the horse's foot. This bone, which is rough and pitted in texture, is surrounded by the. It is the anatomic equivalent of the bone that. The coffin bone, also known as the pedal bone or distal phalanx,. Pedal Fracture Definition.
From mavink.com
Complete Fracture Diagram Pedal Fracture Definition Diagnosis is made with plain radiographs of the ankle. Fractures of the distal phalanx (pedal bone) usually occur as a result of trauma such as kicking a solid object, standing on a stone or fast exercise on hard ground. The coffin bone, also known as the pedal bone or distal phalanx, is a small bone within the horse’s hoof. Ankle. Pedal Fracture Definition.
From www.horseandhound.co.uk
Pedal bone fractures in horses all you need to know Horse & Hound Pedal Fracture Definition Ankle fractures are very common injuries to the ankle which generally occur due to a twisting mechanism. Treatment can be nonoperative or operative. Such injuries can happen as a result of horses kicking out against solid objects,. Pedal bone fracture the coffin bone, also known as the pedal bone, third phalanx, distal phalanx, and os pedis , is located in. Pedal Fracture Definition.
From www.academia.edu
(PDF) Proximal femoral fracture in a man resulting from modern clipless Pedal Fracture Definition Such injuries can happen as a result of horses kicking out against solid objects,. Treatment can be nonoperative or operative. Pedal bone fractures often occur as a result of a sudden traumatic injury to a horse’s foot. Looking for online definition of pedal fracture in the medical dictionary? Ankle fractures are very common injuries to the ankle which generally occur. Pedal Fracture Definition.
From www.researchgate.net
A trauma such as this pedal bone fracture can cause the horse to off Pedal Fracture Definition Such injuries can happen as a result of horses kicking out against solid objects,. Diagnosis is made with plain radiographs of the ankle. This bone, which is rough and pitted in texture, is surrounded by the. Pedal bone fracture the coffin bone, also known as the pedal bone, third phalanx, distal phalanx, and os pedis , is located in the. Pedal Fracture Definition.
From nursing.unboundmedicine.com
fracture Taber's Medical Dictionary Pedal Fracture Definition Ankle fractures are very common injuries to the ankle which generally occur due to a twisting mechanism. Looking for online definition of pedal fracture in the medical dictionary? The coffin bone, also known as the pedal bone or distal phalanx, is a small bone within the horse’s hoof. This bone, which is rough and pitted in texture, is surrounded by. Pedal Fracture Definition.
From exyecxscx.blob.core.windows.net
What Is A Common Fracture at Jay Vaughan blog Pedal Fracture Definition Diagnosis is made with plain radiographs of the ankle. Treatment can be nonoperative or operative. Such injuries can happen as a result of horses kicking out against solid objects,. It is the anatomic equivalent of the bone that. Pedal bone fracture the coffin bone, also known as the pedal bone, third phalanx, distal phalanx, and os pedis , is located. Pedal Fracture Definition.
From www.slideserve.com
PPT Orthopedic Emergencies 2 PowerPoint Presentation, free download Pedal Fracture Definition Pedal bone fractures often occur as a result of a sudden traumatic injury to a horse’s foot. Treatment can be nonoperative or operative. The coffin bone, also known as the pedal bone or distal phalanx, is a small bone within the horse’s hoof. Looking for online definition of pedal fracture in the medical dictionary? This bone, which is rough and. Pedal Fracture Definition.
From www.studypool.com
SOLUTION 02 fracture types complications and management Studypool Pedal Fracture Definition Such injuries can happen as a result of horses kicking out against solid objects,. Fractures of the distal phalanx (pedal bone) usually occur as a result of trauma such as kicking a solid object, standing on a stone or fast exercise on hard ground. Looking for online definition of pedal fracture in the medical dictionary? Pedal bone fracture the coffin. Pedal Fracture Definition.
From www.lybrate.com
Fracture Causes, Symptoms, Treatment and Cost Pedal Fracture Definition The coffin bone, also known as the pedal bone or distal phalanx, is a small bone within the horse’s hoof. Fractures of the distal phalanx (pedal bone) usually occur as a result of trauma such as kicking a solid object, standing on a stone or fast exercise on hard ground. Looking for online definition of pedal fracture in the medical. Pedal Fracture Definition.
From www.centrallakesequine.co.nz
Pedal Bone Fractures — Central Lakes Equine Pedal Fracture Definition It is the anatomic equivalent of the bone that. This bone, which is rough and pitted in texture, is surrounded by the. Ankle fractures are very common injuries to the ankle which generally occur due to a twisting mechanism. Treatment can be nonoperative or operative. Looking for online definition of pedal fracture in the medical dictionary? Diagnosis is made with. Pedal Fracture Definition.
From healthjade.net
Torus fracture definition, causes, diagnosis & torus fracture treatment Pedal Fracture Definition Pedal bone fractures often occur as a result of a sudden traumatic injury to a horse’s foot. This bone, which is rough and pitted in texture, is surrounded by the. Looking for online definition of pedal fracture in the medical dictionary? Diagnosis is made with plain radiographs of the ankle. Treatment can be nonoperative or operative. Fractures of the distal. Pedal Fracture Definition.
From www.bakermcveigh.com
Pedal Bone Fracture — Baker McVeigh International Pedal Fracture Definition Pedal bone fractures often occur as a result of a sudden traumatic injury to a horse’s foot. This bone, which is rough and pitted in texture, is surrounded by the. Treatment can be nonoperative or operative. Fractures of the distal phalanx (pedal bone) usually occur as a result of trauma such as kicking a solid object, standing on a stone. Pedal Fracture Definition.
From gavinmoodyfarriers.com
Fractured hind pedal bone. Gavin Moody Farriers Pedal Fracture Definition Looking for online definition of pedal fracture in the medical dictionary? Pedal bone fractures often occur as a result of a sudden traumatic injury to a horse’s foot. Pedal bone fracture the coffin bone, also known as the pedal bone, third phalanx, distal phalanx, and os pedis , is located in the horse's foot. Ankle fractures are very common injuries. Pedal Fracture Definition.
From www.youtube.com
FRACTURE DISPLACEMENT TYPES. ANGULATED/SHORTENED/ROTATED/DISPLACED Pedal Fracture Definition The coffin bone, also known as the pedal bone or distal phalanx, is a small bone within the horse’s hoof. This bone, which is rough and pitted in texture, is surrounded by the. Looking for online definition of pedal fracture in the medical dictionary? Fractures of the distal phalanx (pedal bone) usually occur as a result of trauma such as. Pedal Fracture Definition.
From www.horsedvm.com
Pedal Bone Fracture HorseDVM Diseases AZ Pedal Fracture Definition Pedal bone fractures often occur as a result of a sudden traumatic injury to a horse’s foot. This bone, which is rough and pitted in texture, is surrounded by the. Diagnosis is made with plain radiographs of the ankle. Pedal bone fracture the coffin bone, also known as the pedal bone, third phalanx, distal phalanx, and os pedis , is. Pedal Fracture Definition.
From healthpathy.com
Classification of Fracture definition, sign and symptom medical notes Pedal Fracture Definition Such injuries can happen as a result of horses kicking out against solid objects,. Pedal bone fractures often occur as a result of a sudden traumatic injury to a horse’s foot. Ankle fractures are very common injuries to the ankle which generally occur due to a twisting mechanism. Pedal bone fracture the coffin bone, also known as the pedal bone,. Pedal Fracture Definition.
From www.emdocs.net
Emergency Medicine EducationPelvic fractures ED Pedal Fracture Definition Diagnosis is made with plain radiographs of the ankle. This bone, which is rough and pitted in texture, is surrounded by the. The coffin bone, also known as the pedal bone or distal phalanx, is a small bone within the horse’s hoof. Fractures of the distal phalanx (pedal bone) usually occur as a result of trauma such as kicking a. Pedal Fracture Definition.
From slidetodoc.com
MUSCULOSKELETAL BLOCK Pathology Lecture 1 Fracture and bone Pedal Fracture Definition Treatment can be nonoperative or operative. Diagnosis is made with plain radiographs of the ankle. Pedal bone fracture the coffin bone, also known as the pedal bone, third phalanx, distal phalanx, and os pedis , is located in the horse's foot. Looking for online definition of pedal fracture in the medical dictionary? The coffin bone, also known as the pedal. Pedal Fracture Definition.