Radiology Vestibular . Vss are usually sporadic in. Running through this bony canal is a tube called. Enlarged vestibular aqueduct, also known as large vestibular aqueduct or large endolymphatic duct and sac syndrome or. Vestibular schwannomas (vss) are the most common intracranial nerve sheath tumor, arising from the vestibular division of the vestibulocochlear (viiith) nerve. Vertigo is caused by a disturbed vestibular system and is subdivided into peripheral vertigo (due to failure of the end. 1 vss may remain within the internal auditory canal (iac) or extend into the cpa. From these special sensory organs of the inner ear, the vestibulocochlear nerve transmits afferent impulses to the central nervous system encoding auditory stimuli,. The vestibular aqueduct is a narrow bony canal (aqueduct) that connects the endolymphatic sac with the inner ear (vestibule).
from jamanetwork.com
Vss are usually sporadic in. Running through this bony canal is a tube called. The vestibular aqueduct is a narrow bony canal (aqueduct) that connects the endolymphatic sac with the inner ear (vestibule). From these special sensory organs of the inner ear, the vestibulocochlear nerve transmits afferent impulses to the central nervous system encoding auditory stimuli,. Vestibular schwannomas (vss) are the most common intracranial nerve sheath tumor, arising from the vestibular division of the vestibulocochlear (viiith) nerve. Vertigo is caused by a disturbed vestibular system and is subdivided into peripheral vertigo (due to failure of the end. Enlarged vestibular aqueduct, also known as large vestibular aqueduct or large endolymphatic duct and sac syndrome or. 1 vss may remain within the internal auditory canal (iac) or extend into the cpa.
Acute Vestibular Neuritis Visualized by 3T Resonance Imaging
Radiology Vestibular From these special sensory organs of the inner ear, the vestibulocochlear nerve transmits afferent impulses to the central nervous system encoding auditory stimuli,. Vss are usually sporadic in. Vestibular schwannomas (vss) are the most common intracranial nerve sheath tumor, arising from the vestibular division of the vestibulocochlear (viiith) nerve. Running through this bony canal is a tube called. 1 vss may remain within the internal auditory canal (iac) or extend into the cpa. Vertigo is caused by a disturbed vestibular system and is subdivided into peripheral vertigo (due to failure of the end. From these special sensory organs of the inner ear, the vestibulocochlear nerve transmits afferent impulses to the central nervous system encoding auditory stimuli,. Enlarged vestibular aqueduct, also known as large vestibular aqueduct or large endolymphatic duct and sac syndrome or. The vestibular aqueduct is a narrow bony canal (aqueduct) that connects the endolymphatic sac with the inner ear (vestibule).
From www.frontiersin.org
Frontiers Comparison of radiological abnormalities between the Radiology Vestibular The vestibular aqueduct is a narrow bony canal (aqueduct) that connects the endolymphatic sac with the inner ear (vestibule). Vertigo is caused by a disturbed vestibular system and is subdivided into peripheral vertigo (due to failure of the end. Running through this bony canal is a tube called. Vestibular schwannomas (vss) are the most common intracranial nerve sheath tumor, arising. Radiology Vestibular.
From www.jvir.org
Endovascular Treatment of Symptomatic Vestibular Aqueduct Dehiscence as Radiology Vestibular Vss are usually sporadic in. Vertigo is caused by a disturbed vestibular system and is subdivided into peripheral vertigo (due to failure of the end. The vestibular aqueduct is a narrow bony canal (aqueduct) that connects the endolymphatic sac with the inner ear (vestibule). 1 vss may remain within the internal auditory canal (iac) or extend into the cpa. Enlarged. Radiology Vestibular.
From archotol.jamanetwork.com
Coronal Computed Tomography of the Normal Vestibular Aqueduct in Radiology Vestibular From these special sensory organs of the inner ear, the vestibulocochlear nerve transmits afferent impulses to the central nervous system encoding auditory stimuli,. Vertigo is caused by a disturbed vestibular system and is subdivided into peripheral vertigo (due to failure of the end. Vss are usually sporadic in. Enlarged vestibular aqueduct, also known as large vestibular aqueduct or large endolymphatic. Radiology Vestibular.
From clinicalconnection.hopkinsmedicine.org
Learning About the Vestibular System with MRI Johns Hopkins Medicine Radiology Vestibular Running through this bony canal is a tube called. From these special sensory organs of the inner ear, the vestibulocochlear nerve transmits afferent impulses to the central nervous system encoding auditory stimuli,. Enlarged vestibular aqueduct, also known as large vestibular aqueduct or large endolymphatic duct and sac syndrome or. Vestibular schwannomas (vss) are the most common intracranial nerve sheath tumor,. Radiology Vestibular.
From www.neurosurgicalatlas.com
Vestibular Schwannoma The Neurosurgical Atlas Radiology Vestibular Enlarged vestibular aqueduct, also known as large vestibular aqueduct or large endolymphatic duct and sac syndrome or. Running through this bony canal is a tube called. Vestibular schwannomas (vss) are the most common intracranial nerve sheath tumor, arising from the vestibular division of the vestibulocochlear (viiith) nerve. 1 vss may remain within the internal auditory canal (iac) or extend into. Radiology Vestibular.
From radiologykey.com
Temporal Bone (Middle Ear, Cochlea, Vestibular System) Radiology Key Radiology Vestibular From these special sensory organs of the inner ear, the vestibulocochlear nerve transmits afferent impulses to the central nervous system encoding auditory stimuli,. Enlarged vestibular aqueduct, also known as large vestibular aqueduct or large endolymphatic duct and sac syndrome or. 1 vss may remain within the internal auditory canal (iac) or extend into the cpa. The vestibular aqueduct is a. Radiology Vestibular.
From neuroradiologyonthenet.blogspot.com
Neuroradiology On the Net Enlarged vestibular aqueduct Radiology Vestibular From these special sensory organs of the inner ear, the vestibulocochlear nerve transmits afferent impulses to the central nervous system encoding auditory stimuli,. Vss are usually sporadic in. Enlarged vestibular aqueduct, also known as large vestibular aqueduct or large endolymphatic duct and sac syndrome or. Vestibular schwannomas (vss) are the most common intracranial nerve sheath tumor, arising from the vestibular. Radiology Vestibular.
From www.slideserve.com
PPT Congenital and Acquired Hearing Loss a Review with Emphasis on Radiology Vestibular Vss are usually sporadic in. The vestibular aqueduct is a narrow bony canal (aqueduct) that connects the endolymphatic sac with the inner ear (vestibule). Enlarged vestibular aqueduct, also known as large vestibular aqueduct or large endolymphatic duct and sac syndrome or. Vertigo is caused by a disturbed vestibular system and is subdivided into peripheral vertigo (due to failure of the. Radiology Vestibular.
From radiologykey.com
Pathology of the Vestibulocochlear Nerve Radiology Key Radiology Vestibular 1 vss may remain within the internal auditory canal (iac) or extend into the cpa. Running through this bony canal is a tube called. The vestibular aqueduct is a narrow bony canal (aqueduct) that connects the endolymphatic sac with the inner ear (vestibule). From these special sensory organs of the inner ear, the vestibulocochlear nerve transmits afferent impulses to the. Radiology Vestibular.
From radiopaedia.org
Vestibular schwannoma Image Radiology Vestibular 1 vss may remain within the internal auditory canal (iac) or extend into the cpa. Running through this bony canal is a tube called. The vestibular aqueduct is a narrow bony canal (aqueduct) that connects the endolymphatic sac with the inner ear (vestibule). Vestibular schwannomas (vss) are the most common intracranial nerve sheath tumor, arising from the vestibular division of. Radiology Vestibular.
From radiologykey.com
Pathology of the Vestibulocochlear Nerve Radiology Key Radiology Vestibular Vestibular schwannomas (vss) are the most common intracranial nerve sheath tumor, arising from the vestibular division of the vestibulocochlear (viiith) nerve. From these special sensory organs of the inner ear, the vestibulocochlear nerve transmits afferent impulses to the central nervous system encoding auditory stimuli,. Vertigo is caused by a disturbed vestibular system and is subdivided into peripheral vertigo (due to. Radiology Vestibular.
From radrounds.com
Vestibular Schwannoma radRounds Radiology Network Radiology Vestibular The vestibular aqueduct is a narrow bony canal (aqueduct) that connects the endolymphatic sac with the inner ear (vestibule). Vss are usually sporadic in. Vertigo is caused by a disturbed vestibular system and is subdivided into peripheral vertigo (due to failure of the end. Enlarged vestibular aqueduct, also known as large vestibular aqueduct or large endolymphatic duct and sac syndrome. Radiology Vestibular.
From radiologykey.com
Temporal Bone (Middle Ear, Cochlea, Vestibular System) Radiology Key Radiology Vestibular Running through this bony canal is a tube called. From these special sensory organs of the inner ear, the vestibulocochlear nerve transmits afferent impulses to the central nervous system encoding auditory stimuli,. The vestibular aqueduct is a narrow bony canal (aqueduct) that connects the endolymphatic sac with the inner ear (vestibule). Vss are usually sporadic in. Enlarged vestibular aqueduct, also. Radiology Vestibular.
From www.sciencesource.com
Vestibular Schwannoma, MRI Stock Image Science Source Images Radiology Vestibular From these special sensory organs of the inner ear, the vestibulocochlear nerve transmits afferent impulses to the central nervous system encoding auditory stimuli,. Running through this bony canal is a tube called. Vertigo is caused by a disturbed vestibular system and is subdivided into peripheral vertigo (due to failure of the end. Vestibular schwannomas (vss) are the most common intracranial. Radiology Vestibular.
From www.sciencephoto.com
Large Vestibular Aqueduct, Hearing Loss, MRI Stock Image C030/6468 Radiology Vestibular Vss are usually sporadic in. 1 vss may remain within the internal auditory canal (iac) or extend into the cpa. The vestibular aqueduct is a narrow bony canal (aqueduct) that connects the endolymphatic sac with the inner ear (vestibule). Vestibular schwannomas (vss) are the most common intracranial nerve sheath tumor, arising from the vestibular division of the vestibulocochlear (viiith) nerve.. Radiology Vestibular.
From pubs.rsna.org
Interactive based Learning Module on CT of the Temporal Bone Radiology Vestibular Running through this bony canal is a tube called. Vestibular schwannomas (vss) are the most common intracranial nerve sheath tumor, arising from the vestibular division of the vestibulocochlear (viiith) nerve. Enlarged vestibular aqueduct, also known as large vestibular aqueduct or large endolymphatic duct and sac syndrome or. Vertigo is caused by a disturbed vestibular system and is subdivided into peripheral. Radiology Vestibular.
From www.jvir.org
Endovascular Treatment of Symptomatic Vestibular Aqueduct Dehiscence as Radiology Vestibular From these special sensory organs of the inner ear, the vestibulocochlear nerve transmits afferent impulses to the central nervous system encoding auditory stimuli,. Running through this bony canal is a tube called. Vestibular schwannomas (vss) are the most common intracranial nerve sheath tumor, arising from the vestibular division of the vestibulocochlear (viiith) nerve. Enlarged vestibular aqueduct, also known as large. Radiology Vestibular.
From www.pinterest.com
Enlarged vestibular aqueduct syndrome Radiology Case Radiopaedia Radiology Vestibular 1 vss may remain within the internal auditory canal (iac) or extend into the cpa. The vestibular aqueduct is a narrow bony canal (aqueduct) that connects the endolymphatic sac with the inner ear (vestibule). Enlarged vestibular aqueduct, also known as large vestibular aqueduct or large endolymphatic duct and sac syndrome or. Vertigo is caused by a disturbed vestibular system and. Radiology Vestibular.
From www.researchgate.net
The vestibular aqueduct as seen on axial (A), coronal (B), sagittal Radiology Vestibular Vestibular schwannomas (vss) are the most common intracranial nerve sheath tumor, arising from the vestibular division of the vestibulocochlear (viiith) nerve. Vss are usually sporadic in. Enlarged vestibular aqueduct, also known as large vestibular aqueduct or large endolymphatic duct and sac syndrome or. 1 vss may remain within the internal auditory canal (iac) or extend into the cpa. From these. Radiology Vestibular.
From www.clinicalradiologyonline.net
The role of radiology in the diagnosis and management of vestibular Radiology Vestibular From these special sensory organs of the inner ear, the vestibulocochlear nerve transmits afferent impulses to the central nervous system encoding auditory stimuli,. The vestibular aqueduct is a narrow bony canal (aqueduct) that connects the endolymphatic sac with the inner ear (vestibule). Vestibular schwannomas (vss) are the most common intracranial nerve sheath tumor, arising from the vestibular division of the. Radiology Vestibular.
From www.sciencephoto.com
Large Vestibular Schwannoma MRI Stock Image C043/3194 Science Radiology Vestibular Vertigo is caused by a disturbed vestibular system and is subdivided into peripheral vertigo (due to failure of the end. Enlarged vestibular aqueduct, also known as large vestibular aqueduct or large endolymphatic duct and sac syndrome or. Vestibular schwannomas (vss) are the most common intracranial nerve sheath tumor, arising from the vestibular division of the vestibulocochlear (viiith) nerve. Vss are. Radiology Vestibular.
From www.cureus.com
Diffusion Tensor Imaging Features of the Auditory Pathways in Patients Radiology Vestibular 1 vss may remain within the internal auditory canal (iac) or extend into the cpa. Vestibular schwannomas (vss) are the most common intracranial nerve sheath tumor, arising from the vestibular division of the vestibulocochlear (viiith) nerve. Vss are usually sporadic in. Vertigo is caused by a disturbed vestibular system and is subdivided into peripheral vertigo (due to failure of the. Radiology Vestibular.
From www.vestibularhealth.ca
Vestibular Health — Neurofibromatosis type II (NF2) Radiology Vestibular Running through this bony canal is a tube called. Enlarged vestibular aqueduct, also known as large vestibular aqueduct or large endolymphatic duct and sac syndrome or. The vestibular aqueduct is a narrow bony canal (aqueduct) that connects the endolymphatic sac with the inner ear (vestibule). Vestibular schwannomas (vss) are the most common intracranial nerve sheath tumor, arising from the vestibular. Radiology Vestibular.
From jamanetwork.com
Acute Vestibular Neuritis Visualized by 3T Resonance Imaging Radiology Vestibular Vss are usually sporadic in. The vestibular aqueduct is a narrow bony canal (aqueduct) that connects the endolymphatic sac with the inner ear (vestibule). Vestibular schwannomas (vss) are the most common intracranial nerve sheath tumor, arising from the vestibular division of the vestibulocochlear (viiith) nerve. Vertigo is caused by a disturbed vestibular system and is subdivided into peripheral vertigo (due. Radiology Vestibular.
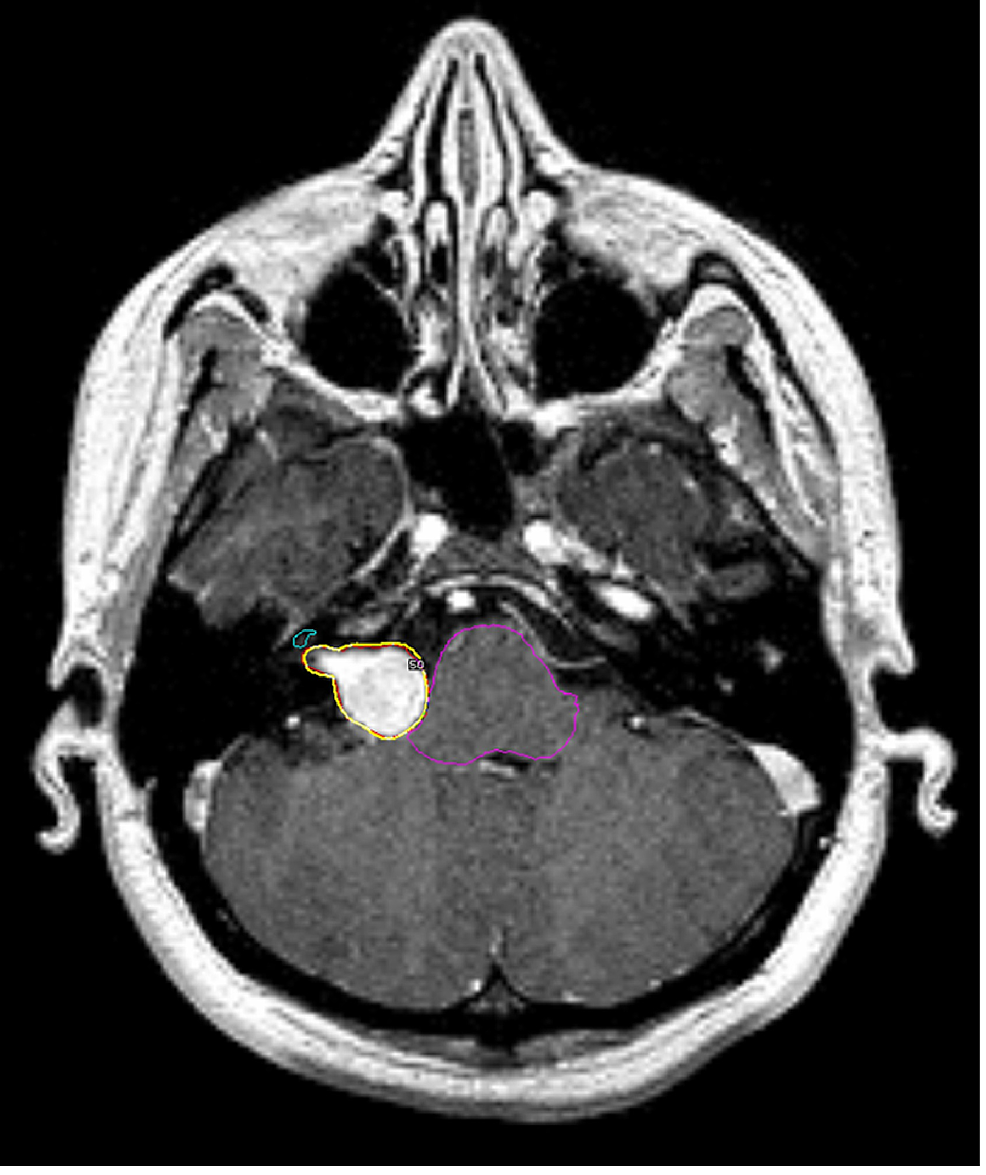
From wiki.cancerimagingarchive.net
Segmentation of Vestibular Schwannoma from Resonance Imaging Radiology Vestibular Running through this bony canal is a tube called. 1 vss may remain within the internal auditory canal (iac) or extend into the cpa. From these special sensory organs of the inner ear, the vestibulocochlear nerve transmits afferent impulses to the central nervous system encoding auditory stimuli,. Vertigo is caused by a disturbed vestibular system and is subdivided into peripheral. Radiology Vestibular.
From mavink.com
Vestibular Nerve Mri Radiology Vestibular Running through this bony canal is a tube called. Vss are usually sporadic in. Vestibular schwannomas (vss) are the most common intracranial nerve sheath tumor, arising from the vestibular division of the vestibulocochlear (viiith) nerve. Vertigo is caused by a disturbed vestibular system and is subdivided into peripheral vertigo (due to failure of the end. From these special sensory organs. Radiology Vestibular.
From radiologykey.com
Temporal Bone (Middle Ear, Cochlea, Vestibular System) Radiology Key Radiology Vestibular The vestibular aqueduct is a narrow bony canal (aqueduct) that connects the endolymphatic sac with the inner ear (vestibule). Running through this bony canal is a tube called. From these special sensory organs of the inner ear, the vestibulocochlear nerve transmits afferent impulses to the central nervous system encoding auditory stimuli,. Enlarged vestibular aqueduct, also known as large vestibular aqueduct. Radiology Vestibular.
From www.semanticscholar.org
Figure 1 from CT and MRI Evaluation of Bilateral Enlarged Vestibular Radiology Vestibular The vestibular aqueduct is a narrow bony canal (aqueduct) that connects the endolymphatic sac with the inner ear (vestibule). Vertigo is caused by a disturbed vestibular system and is subdivided into peripheral vertigo (due to failure of the end. Enlarged vestibular aqueduct, also known as large vestibular aqueduct or large endolymphatic duct and sac syndrome or. 1 vss may remain. Radiology Vestibular.
From www.sciencephoto.com
Vestibular Schwannoma, MRI Stock Image C039/4308 Science Photo Radiology Vestibular The vestibular aqueduct is a narrow bony canal (aqueduct) that connects the endolymphatic sac with the inner ear (vestibule). 1 vss may remain within the internal auditory canal (iac) or extend into the cpa. Vertigo is caused by a disturbed vestibular system and is subdivided into peripheral vertigo (due to failure of the end. Enlarged vestibular aqueduct, also known as. Radiology Vestibular.
From proper-cooking.info
Vestibular Nerve Mri Radiology Vestibular Vertigo is caused by a disturbed vestibular system and is subdivided into peripheral vertigo (due to failure of the end. The vestibular aqueduct is a narrow bony canal (aqueduct) that connects the endolymphatic sac with the inner ear (vestibule). Vss are usually sporadic in. Enlarged vestibular aqueduct, also known as large vestibular aqueduct or large endolymphatic duct and sac syndrome. Radiology Vestibular.
From www.frontiersin.org
Frontiers The Spectrum of Vestibular Disorders Presenting With Acute Radiology Vestibular Vss are usually sporadic in. Enlarged vestibular aqueduct, also known as large vestibular aqueduct or large endolymphatic duct and sac syndrome or. 1 vss may remain within the internal auditory canal (iac) or extend into the cpa. From these special sensory organs of the inner ear, the vestibulocochlear nerve transmits afferent impulses to the central nervous system encoding auditory stimuli,.. Radiology Vestibular.
From mrionline.com
Vestibular Schwannoma MRI Online Radiology Vestibular From these special sensory organs of the inner ear, the vestibulocochlear nerve transmits afferent impulses to the central nervous system encoding auditory stimuli,. Enlarged vestibular aqueduct, also known as large vestibular aqueduct or large endolymphatic duct and sac syndrome or. 1 vss may remain within the internal auditory canal (iac) or extend into the cpa. The vestibular aqueduct is a. Radiology Vestibular.
From mavink.com
Vestibular Nerve Mri Radiology Vestibular Vss are usually sporadic in. Enlarged vestibular aqueduct, also known as large vestibular aqueduct or large endolymphatic duct and sac syndrome or. The vestibular aqueduct is a narrow bony canal (aqueduct) that connects the endolymphatic sac with the inner ear (vestibule). Vertigo is caused by a disturbed vestibular system and is subdivided into peripheral vertigo (due to failure of the. Radiology Vestibular.
From www.ejradiology.com
Morphological analysis of the vestibular aqueduct by computerized Radiology Vestibular From these special sensory organs of the inner ear, the vestibulocochlear nerve transmits afferent impulses to the central nervous system encoding auditory stimuli,. Vestibular schwannomas (vss) are the most common intracranial nerve sheath tumor, arising from the vestibular division of the vestibulocochlear (viiith) nerve. Vss are usually sporadic in. Running through this bony canal is a tube called. Enlarged vestibular. Radiology Vestibular.
From www.pinterest.com
Deep spaces of the head and neck annotated MRI Radiology Case Radiology Vestibular 1 vss may remain within the internal auditory canal (iac) or extend into the cpa. Enlarged vestibular aqueduct, also known as large vestibular aqueduct or large endolymphatic duct and sac syndrome or. Running through this bony canal is a tube called. Vss are usually sporadic in. Vertigo is caused by a disturbed vestibular system and is subdivided into peripheral vertigo. Radiology Vestibular.