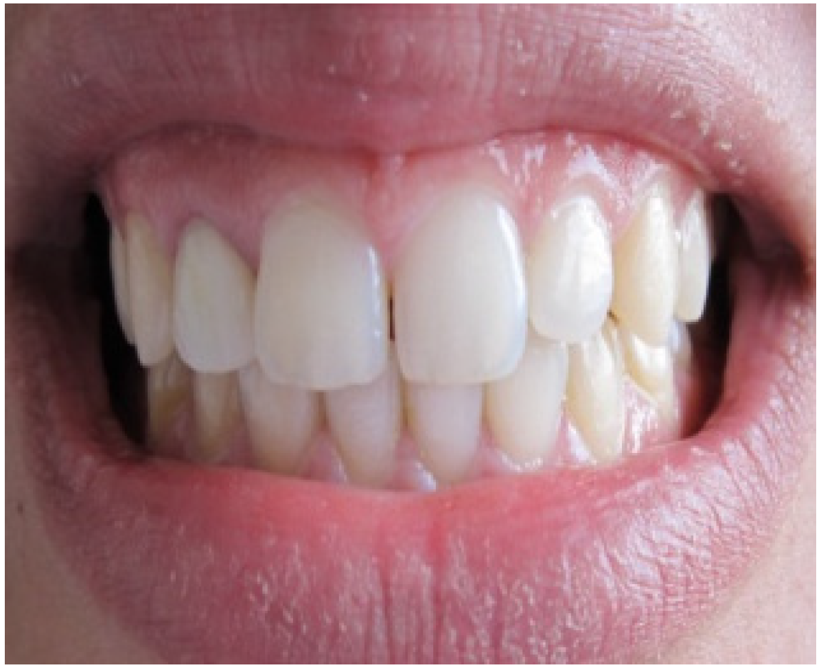
Gingival Display . — excessive gingival display decreases with age. 1 it can be localized to the anterior (2%) or posterior region (6%) or manifested as a continuous anteroposterior band (88%). — excessive gingival display (gummy smile [gs]) can be esthetically unpleasing. As a consequence therefore, gingival exposure can give a. — excessive gingival display (egd), also referred to as “gummy smile” (gs), has been typically defined as ≥ 4. — excessive gingival display, also known as gummy smile, is the overexposure of the maxillary gingiva. — excessive gingival display (egd) or gummy smile is identified as displaying more than 2 mm of gingiva. extensive exposure of the gingiva during a smile, called excessive gingival display, may be a point of concern for both patients and.
from www.ajodo-clinicalcompanion.com
extensive exposure of the gingiva during a smile, called excessive gingival display, may be a point of concern for both patients and. — excessive gingival display decreases with age. As a consequence therefore, gingival exposure can give a. — excessive gingival display (gummy smile [gs]) can be esthetically unpleasing. — excessive gingival display, also known as gummy smile, is the overexposure of the maxillary gingiva. 1 it can be localized to the anterior (2%) or posterior region (6%) or manifested as a continuous anteroposterior band (88%). — excessive gingival display (egd) or gummy smile is identified as displaying more than 2 mm of gingiva. — excessive gingival display (egd), also referred to as “gummy smile” (gs), has been typically defined as ≥ 4.
A systematic diagnostic scheme for excessive gingival display “gummy
Gingival Display — excessive gingival display (egd), also referred to as “gummy smile” (gs), has been typically defined as ≥ 4. — excessive gingival display (egd) or gummy smile is identified as displaying more than 2 mm of gingiva. extensive exposure of the gingiva during a smile, called excessive gingival display, may be a point of concern for both patients and. As a consequence therefore, gingival exposure can give a. — excessive gingival display (egd), also referred to as “gummy smile” (gs), has been typically defined as ≥ 4. — excessive gingival display decreases with age. — excessive gingival display, also known as gummy smile, is the overexposure of the maxillary gingiva. — excessive gingival display (gummy smile [gs]) can be esthetically unpleasing. 1 it can be localized to the anterior (2%) or posterior region (6%) or manifested as a continuous anteroposterior band (88%).
From www.researchgate.net
Classification of excessive gingival display (EGD) based on etiology Gingival Display — excessive gingival display (egd) or gummy smile is identified as displaying more than 2 mm of gingiva. — excessive gingival display (gummy smile [gs]) can be esthetically unpleasing. extensive exposure of the gingiva during a smile, called excessive gingival display, may be a point of concern for both patients and. As a consequence therefore, gingival exposure. Gingival Display.
From decisionsindentistry.com
Decision Making in Managing Excess Gingival Display Gingival Display As a consequence therefore, gingival exposure can give a. — excessive gingival display, also known as gummy smile, is the overexposure of the maxillary gingiva. — excessive gingival display decreases with age. extensive exposure of the gingiva during a smile, called excessive gingival display, may be a point of concern for both patients and. — excessive. Gingival Display.
From www.ajodo-clinicalcompanion.com
A systematic diagnostic scheme for excessive gingival display “gummy Gingival Display extensive exposure of the gingiva during a smile, called excessive gingival display, may be a point of concern for both patients and. — excessive gingival display (egd), also referred to as “gummy smile” (gs), has been typically defined as ≥ 4. As a consequence therefore, gingival exposure can give a. — excessive gingival display, also known as. Gingival Display.
From www.mdpi.com
Dentistry Journal Free FullText Gingival Harmony in Anterior Gingival Display extensive exposure of the gingiva during a smile, called excessive gingival display, may be a point of concern for both patients and. As a consequence therefore, gingival exposure can give a. — excessive gingival display (egd), also referred to as “gummy smile” (gs), has been typically defined as ≥ 4. — excessive gingival display (gummy smile [gs]). Gingival Display.
From www.cliniquechloe.com
Gummy smile treatment Excessive gingival display Clinique Chloé Gingival Display — excessive gingival display, also known as gummy smile, is the overexposure of the maxillary gingiva. — excessive gingival display decreases with age. 1 it can be localized to the anterior (2%) or posterior region (6%) or manifested as a continuous anteroposterior band (88%). — excessive gingival display (gummy smile [gs]) can be esthetically unpleasing. —. Gingival Display.
From www.dental.theclinics.com
Crown Lengthening Techniques and Modifications to Treat Excessive Gingival Display — excessive gingival display (egd) or gummy smile is identified as displaying more than 2 mm of gingiva. 1 it can be localized to the anterior (2%) or posterior region (6%) or manifested as a continuous anteroposterior band (88%). — excessive gingival display (gummy smile [gs]) can be esthetically unpleasing. — excessive gingival display decreases with age.. Gingival Display.
From www.researchgate.net
a Sevenmillimeter gingival display measured by UNC15 probe. 2b and 2c Gingival Display — excessive gingival display (egd), also referred to as “gummy smile” (gs), has been typically defined as ≥ 4. — excessive gingival display (egd) or gummy smile is identified as displaying more than 2 mm of gingiva. 1 it can be localized to the anterior (2%) or posterior region (6%) or manifested as a continuous anteroposterior band (88%).. Gingival Display.
From blog.smilestream.com
How to Treat 8mm of Gingival Display A Dentofacial Orthodontic Case Study Gingival Display — excessive gingival display (egd) or gummy smile is identified as displaying more than 2 mm of gingiva. — excessive gingival display (gummy smile [gs]) can be esthetically unpleasing. extensive exposure of the gingiva during a smile, called excessive gingival display, may be a point of concern for both patients and. — excessive gingival display, also. Gingival Display.
From www.researchgate.net
Sever gingival display during smiling. Download Scientific Diagram Gingival Display — excessive gingival display (egd), also referred to as “gummy smile” (gs), has been typically defined as ≥ 4. — excessive gingival display (egd) or gummy smile is identified as displaying more than 2 mm of gingiva. extensive exposure of the gingiva during a smile, called excessive gingival display, may be a point of concern for both. Gingival Display.
From www.monavaledental.com.au
How to fix a gummy smile (excessive gingival display)? Gingival Display extensive exposure of the gingiva during a smile, called excessive gingival display, may be a point of concern for both patients and. — excessive gingival display decreases with age. — excessive gingival display (egd), also referred to as “gummy smile” (gs), has been typically defined as ≥ 4. — excessive gingival display (egd) or gummy smile. Gingival Display.
From www.researchgate.net
(PDF) Perceptions of gingival display aesthetics among orthodontists Gingival Display — excessive gingival display (egd), also referred to as “gummy smile” (gs), has been typically defined as ≥ 4. — excessive gingival display, also known as gummy smile, is the overexposure of the maxillary gingiva. — excessive gingival display (egd) or gummy smile is identified as displaying more than 2 mm of gingiva. extensive exposure of. Gingival Display.
From www.scielo.br
SciELO Brasil Aesthetic perception of gingival smiles Aesthetic Gingival Display 1 it can be localized to the anterior (2%) or posterior region (6%) or manifested as a continuous anteroposterior band (88%). — excessive gingival display, also known as gummy smile, is the overexposure of the maxillary gingiva. — excessive gingival display (egd) or gummy smile is identified as displaying more than 2 mm of gingiva. — excessive. Gingival Display.
From www.ncbi.nlm.nih.gov
[Figure, Excessive gingival display Contributed by Carolina Fantasia Gingival Display extensive exposure of the gingiva during a smile, called excessive gingival display, may be a point of concern for both patients and. 1 it can be localized to the anterior (2%) or posterior region (6%) or manifested as a continuous anteroposterior band (88%). — excessive gingival display (gummy smile [gs]) can be esthetically unpleasing. — excessive gingival. Gingival Display.
From dentalclinicraipur.com
Gummy Smile (Excessive Gingival Display) Meaning,Causes,Treatment Gingival Display — excessive gingival display (egd), also referred to as “gummy smile” (gs), has been typically defined as ≥ 4. As a consequence therefore, gingival exposure can give a. extensive exposure of the gingiva during a smile, called excessive gingival display, may be a point of concern for both patients and. — excessive gingival display decreases with age.. Gingival Display.
From www.ajodo-clinicalcompanion.com
A systematic diagnostic scheme for excessive gingival display “gummy Gingival Display — excessive gingival display, also known as gummy smile, is the overexposure of the maxillary gingiva. 1 it can be localized to the anterior (2%) or posterior region (6%) or manifested as a continuous anteroposterior band (88%). As a consequence therefore, gingival exposure can give a. — excessive gingival display (gummy smile [gs]) can be esthetically unpleasing. . Gingival Display.
From www.clinmedjournals.org
Assessment of the Perception of Aesthetics and Smile Attractiveness Gingival Display — excessive gingival display (egd) or gummy smile is identified as displaying more than 2 mm of gingiva. 1 it can be localized to the anterior (2%) or posterior region (6%) or manifested as a continuous anteroposterior band (88%). extensive exposure of the gingiva during a smile, called excessive gingival display, may be a point of concern for. Gingival Display.
From www.youtube.com
Treating Excessive Gingival Display with Crown Lengthening Dr. Hussam Gingival Display — excessive gingival display decreases with age. As a consequence therefore, gingival exposure can give a. 1 it can be localized to the anterior (2%) or posterior region (6%) or manifested as a continuous anteroposterior band (88%). — excessive gingival display, also known as gummy smile, is the overexposure of the maxillary gingiva. — excessive gingival display. Gingival Display.
From sherwaydentalcentre.com
Gummy Smile or Excessive Gingival Display Gingival Display — excessive gingival display, also known as gummy smile, is the overexposure of the maxillary gingiva. — excessive gingival display decreases with age. — excessive gingival display (egd) or gummy smile is identified as displaying more than 2 mm of gingiva. — excessive gingival display (egd), also referred to as “gummy smile” (gs), has been typically. Gingival Display.
From www.aegisdentalnetwork.com
Treating Excessive Gingival Display Without Orthognathic Surgery Gingival Display — excessive gingival display decreases with age. extensive exposure of the gingiva during a smile, called excessive gingival display, may be a point of concern for both patients and. 1 it can be localized to the anterior (2%) or posterior region (6%) or manifested as a continuous anteroposterior band (88%). — excessive gingival display, also known as. Gingival Display.
From www.ajodo.org
Influence on smile attractiveness of the smile arc in conjunction with Gingival Display 1 it can be localized to the anterior (2%) or posterior region (6%) or manifested as a continuous anteroposterior band (88%). As a consequence therefore, gingival exposure can give a. — excessive gingival display (egd) or gummy smile is identified as displaying more than 2 mm of gingiva. extensive exposure of the gingiva during a smile, called excessive. Gingival Display.
From dentalclinicraipur.com
Gummy Smile (Excessive Gingival Display) Meaning,Causes,Treatment Gingival Display — excessive gingival display (gummy smile [gs]) can be esthetically unpleasing. As a consequence therefore, gingival exposure can give a. 1 it can be localized to the anterior (2%) or posterior region (6%) or manifested as a continuous anteroposterior band (88%). — excessive gingival display, also known as gummy smile, is the overexposure of the maxillary gingiva. . Gingival Display.
From www.jaypeejournals.com
Botulinum Toxin TypeA for the Treatment of Excessive Gingival Display Gingival Display — excessive gingival display decreases with age. — excessive gingival display (egd), also referred to as “gummy smile” (gs), has been typically defined as ≥ 4. 1 it can be localized to the anterior (2%) or posterior region (6%) or manifested as a continuous anteroposterior band (88%). — excessive gingival display, also known as gummy smile, is. Gingival Display.
From www.semanticscholar.org
Figure 2 from Influence of gingival display on smile aesthetics in Gingival Display 1 it can be localized to the anterior (2%) or posterior region (6%) or manifested as a continuous anteroposterior band (88%). As a consequence therefore, gingival exposure can give a. — excessive gingival display, also known as gummy smile, is the overexposure of the maxillary gingiva. — excessive gingival display decreases with age. — excessive gingival display. Gingival Display.
From www.mdpi.com
Healthcare Free FullText Is There a Correlation between Gingival Gingival Display — excessive gingival display, also known as gummy smile, is the overexposure of the maxillary gingiva. 1 it can be localized to the anterior (2%) or posterior region (6%) or manifested as a continuous anteroposterior band (88%). extensive exposure of the gingiva during a smile, called excessive gingival display, may be a point of concern for both patients. Gingival Display.
From www.lincolnparkperio.com
Esthetic Gingival Recontouring Dallas Gum Recontouring Periodontist Gingival Display extensive exposure of the gingiva during a smile, called excessive gingival display, may be a point of concern for both patients and. — excessive gingival display (gummy smile [gs]) can be esthetically unpleasing. — excessive gingival display, also known as gummy smile, is the overexposure of the maxillary gingiva. — excessive gingival display (egd) or gummy. Gingival Display.
From www.researchgate.net
(a) Clinical Image of custommade ruler used to measure gingival Gingival Display 1 it can be localized to the anterior (2%) or posterior region (6%) or manifested as a continuous anteroposterior band (88%). — excessive gingival display (gummy smile [gs]) can be esthetically unpleasing. — excessive gingival display (egd), also referred to as “gummy smile” (gs), has been typically defined as ≥ 4. — excessive gingival display decreases with. Gingival Display.
From www.orthotown.com
Interdisciplinary OrthoPerio Treatment of Excessive Gingival Display Gingival Display 1 it can be localized to the anterior (2%) or posterior region (6%) or manifested as a continuous anteroposterior band (88%). extensive exposure of the gingiva during a smile, called excessive gingival display, may be a point of concern for both patients and. — excessive gingival display (egd) or gummy smile is identified as displaying more than 2. Gingival Display.
From www.researchgate.net
Preoperative view showing excessive gingival display Download Gingival Display — excessive gingival display (egd) or gummy smile is identified as displaying more than 2 mm of gingiva. — excessive gingival display decreases with age. As a consequence therefore, gingival exposure can give a. — excessive gingival display (gummy smile [gs]) can be esthetically unpleasing. extensive exposure of the gingiva during a smile, called excessive gingival. Gingival Display.
From www.researchgate.net
(PDF) Treatment of excessive gingival display using a modified lip Gingival Display — excessive gingival display, also known as gummy smile, is the overexposure of the maxillary gingiva. extensive exposure of the gingiva during a smile, called excessive gingival display, may be a point of concern for both patients and. As a consequence therefore, gingival exposure can give a. — excessive gingival display decreases with age. 1 it can. Gingival Display.
From www.readkong.com
Surgical Treatment of Excessive Gingival Display Using Lip Gingival Display — excessive gingival display (gummy smile [gs]) can be esthetically unpleasing. — excessive gingival display, also known as gummy smile, is the overexposure of the maxillary gingiva. — excessive gingival display (egd) or gummy smile is identified as displaying more than 2 mm of gingiva. As a consequence therefore, gingival exposure can give a. extensive exposure. Gingival Display.
From www.statpearls.com
Excessive Gingival Display Article Gingival Display — excessive gingival display (gummy smile [gs]) can be esthetically unpleasing. As a consequence therefore, gingival exposure can give a. — excessive gingival display decreases with age. — excessive gingival display, also known as gummy smile, is the overexposure of the maxillary gingiva. 1 it can be localized to the anterior (2%) or posterior region (6%) or. Gingival Display.
From www.semortho.com
Periodontal treatment of excessive gingival display Seminars in Gingival Display — excessive gingival display decreases with age. As a consequence therefore, gingival exposure can give a. — excessive gingival display (gummy smile [gs]) can be esthetically unpleasing. 1 it can be localized to the anterior (2%) or posterior region (6%) or manifested as a continuous anteroposterior band (88%). — excessive gingival display, also known as gummy smile,. Gingival Display.
From www.youtube.com
EXCESSIVE GINGIVAL DISPLAY (GUMMY SMILE) CLASSIFICATION PRETREATMENT Gingival Display — excessive gingival display (egd) or gummy smile is identified as displaying more than 2 mm of gingiva. — excessive gingival display decreases with age. — excessive gingival display (gummy smile [gs]) can be esthetically unpleasing. — excessive gingival display (egd), also referred to as “gummy smile” (gs), has been typically defined as ≥ 4. . Gingival Display.
From www.dentalcetoday.com
Treating Excessive Gingival Display (254) Dentistry Today CE Gingival Display — excessive gingival display (gummy smile [gs]) can be esthetically unpleasing. extensive exposure of the gingiva during a smile, called excessive gingival display, may be a point of concern for both patients and. — excessive gingival display (egd), also referred to as “gummy smile” (gs), has been typically defined as ≥ 4. — excessive gingival display,. Gingival Display.
From www.monavaledental.com.au
How to fix a gummy smile (excessive gingival display)? Gingival Display As a consequence therefore, gingival exposure can give a. 1 it can be localized to the anterior (2%) or posterior region (6%) or manifested as a continuous anteroposterior band (88%). — excessive gingival display (egd) or gummy smile is identified as displaying more than 2 mm of gingiva. extensive exposure of the gingiva during a smile, called excessive. Gingival Display.