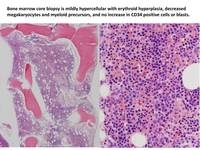
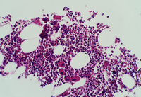
Still's Disease Bone Marrow Findings . The most frequent finding was granulocyte hyperplasia (12/12, 100%) and hypercellularity was observed in 75.0% (8/12). Adult onset still's disease (aosd) is a rare systemic inflammatory disorder of unknown aetiology that is responsible for a significant. We examined 12 bone marrow biopsy specimens. Hemophagocytic lymphohistiocytosis (hlh) is a rare hematological condition resulting from dysregulation of the. Here we show that mtorc1 (mechanistic target of rapamycin complex 1) underpins the pathology of still’s disease and. We performed this study to identify the bone marrow findings in patients asd. Still's disease is currently considered an uncommon systemic inflammatory disorder with uncertain pathogenesis.
from debuglies.com
Here we show that mtorc1 (mechanistic target of rapamycin complex 1) underpins the pathology of still’s disease and. Adult onset still's disease (aosd) is a rare systemic inflammatory disorder of unknown aetiology that is responsible for a significant. Hemophagocytic lymphohistiocytosis (hlh) is a rare hematological condition resulting from dysregulation of the. Still's disease is currently considered an uncommon systemic inflammatory disorder with uncertain pathogenesis. The most frequent finding was granulocyte hyperplasia (12/12, 100%) and hypercellularity was observed in 75.0% (8/12). We performed this study to identify the bone marrow findings in patients asd. We examined 12 bone marrow biopsy specimens.
Bone Marrow Failure Syndrome Spinal cord injuries cause stem cells in
Still's Disease Bone Marrow Findings We examined 12 bone marrow biopsy specimens. Adult onset still's disease (aosd) is a rare systemic inflammatory disorder of unknown aetiology that is responsible for a significant. We performed this study to identify the bone marrow findings in patients asd. We examined 12 bone marrow biopsy specimens. The most frequent finding was granulocyte hyperplasia (12/12, 100%) and hypercellularity was observed in 75.0% (8/12). Still's disease is currently considered an uncommon systemic inflammatory disorder with uncertain pathogenesis. Here we show that mtorc1 (mechanistic target of rapamycin complex 1) underpins the pathology of still’s disease and. Hemophagocytic lymphohistiocytosis (hlh) is a rare hematological condition resulting from dysregulation of the.
From www.cureus.com
NiemannPick Disease on Bone Marrow Trephine A Rare Manifestation Cureus Still's Disease Bone Marrow Findings The most frequent finding was granulocyte hyperplasia (12/12, 100%) and hypercellularity was observed in 75.0% (8/12). We performed this study to identify the bone marrow findings in patients asd. Still's disease is currently considered an uncommon systemic inflammatory disorder with uncertain pathogenesis. We examined 12 bone marrow biopsy specimens. Adult onset still's disease (aosd) is a rare systemic inflammatory disorder. Still's Disease Bone Marrow Findings.
From www.semanticscholar.org
[PDF] A Case of IgG4related Disease With Bone Marrow Involvement Bone Still's Disease Bone Marrow Findings We examined 12 bone marrow biopsy specimens. We performed this study to identify the bone marrow findings in patients asd. Hemophagocytic lymphohistiocytosis (hlh) is a rare hematological condition resulting from dysregulation of the. Still's disease is currently considered an uncommon systemic inflammatory disorder with uncertain pathogenesis. Here we show that mtorc1 (mechanistic target of rapamycin complex 1) underpins the pathology. Still's Disease Bone Marrow Findings.
From www.hematomorphology.info
Hemolytic anemia Hematomorphology, a databank / imagebank for Still's Disease Bone Marrow Findings Adult onset still's disease (aosd) is a rare systemic inflammatory disorder of unknown aetiology that is responsible for a significant. We performed this study to identify the bone marrow findings in patients asd. Hemophagocytic lymphohistiocytosis (hlh) is a rare hematological condition resulting from dysregulation of the. The most frequent finding was granulocyte hyperplasia (12/12, 100%) and hypercellularity was observed in. Still's Disease Bone Marrow Findings.
From debuglies.com
Bone Marrow Failure Syndrome Spinal cord injuries cause stem cells in Still's Disease Bone Marrow Findings Here we show that mtorc1 (mechanistic target of rapamycin complex 1) underpins the pathology of still’s disease and. Hemophagocytic lymphohistiocytosis (hlh) is a rare hematological condition resulting from dysregulation of the. The most frequent finding was granulocyte hyperplasia (12/12, 100%) and hypercellularity was observed in 75.0% (8/12). Adult onset still's disease (aosd) is a rare systemic inflammatory disorder of unknown. Still's Disease Bone Marrow Findings.
From www.thejh.org
Bone Marrow Findings of ImmuneMediated Pure Red Cell Aplasia Following Still's Disease Bone Marrow Findings Here we show that mtorc1 (mechanistic target of rapamycin complex 1) underpins the pathology of still’s disease and. We examined 12 bone marrow biopsy specimens. Still's disease is currently considered an uncommon systemic inflammatory disorder with uncertain pathogenesis. We performed this study to identify the bone marrow findings in patients asd. Adult onset still's disease (aosd) is a rare systemic. Still's Disease Bone Marrow Findings.
From wellcomecollection.org
Sickle cell disease bone marrow expansion Collection Still's Disease Bone Marrow Findings Hemophagocytic lymphohistiocytosis (hlh) is a rare hematological condition resulting from dysregulation of the. We examined 12 bone marrow biopsy specimens. The most frequent finding was granulocyte hyperplasia (12/12, 100%) and hypercellularity was observed in 75.0% (8/12). Still's disease is currently considered an uncommon systemic inflammatory disorder with uncertain pathogenesis. Here we show that mtorc1 (mechanistic target of rapamycin complex 1). Still's Disease Bone Marrow Findings.
From www.hematomorphology.info
Ewing Hematomorphology, a databank / imagebank for hematology Still's Disease Bone Marrow Findings Here we show that mtorc1 (mechanistic target of rapamycin complex 1) underpins the pathology of still’s disease and. Adult onset still's disease (aosd) is a rare systemic inflammatory disorder of unknown aetiology that is responsible for a significant. The most frequent finding was granulocyte hyperplasia (12/12, 100%) and hypercellularity was observed in 75.0% (8/12). We performed this study to identify. Still's Disease Bone Marrow Findings.
From www.slideshare.net
Bone marrow failure syndromes.ppt Still's Disease Bone Marrow Findings We examined 12 bone marrow biopsy specimens. Adult onset still's disease (aosd) is a rare systemic inflammatory disorder of unknown aetiology that is responsible for a significant. Hemophagocytic lymphohistiocytosis (hlh) is a rare hematological condition resulting from dysregulation of the. Here we show that mtorc1 (mechanistic target of rapamycin complex 1) underpins the pathology of still’s disease and. We performed. Still's Disease Bone Marrow Findings.
From www.semanticscholar.org
[PDF] Clinical Utility of Bone Marrow Study in Gaucher Disease A Case Still's Disease Bone Marrow Findings Still's disease is currently considered an uncommon systemic inflammatory disorder with uncertain pathogenesis. Hemophagocytic lymphohistiocytosis (hlh) is a rare hematological condition resulting from dysregulation of the. Adult onset still's disease (aosd) is a rare systemic inflammatory disorder of unknown aetiology that is responsible for a significant. The most frequent finding was granulocyte hyperplasia (12/12, 100%) and hypercellularity was observed in. Still's Disease Bone Marrow Findings.
From ar.inspiredpencil.com
Leukemia Cells In Bone Marrow Still's Disease Bone Marrow Findings We performed this study to identify the bone marrow findings in patients asd. The most frequent finding was granulocyte hyperplasia (12/12, 100%) and hypercellularity was observed in 75.0% (8/12). Here we show that mtorc1 (mechanistic target of rapamycin complex 1) underpins the pathology of still’s disease and. Adult onset still's disease (aosd) is a rare systemic inflammatory disorder of unknown. Still's Disease Bone Marrow Findings.
From healthjade.net
Adult Still's disease, causes, symptoms, diagnosis, prognosis & treatment Still's Disease Bone Marrow Findings Still's disease is currently considered an uncommon systemic inflammatory disorder with uncertain pathogenesis. Adult onset still's disease (aosd) is a rare systemic inflammatory disorder of unknown aetiology that is responsible for a significant. Here we show that mtorc1 (mechanistic target of rapamycin complex 1) underpins the pathology of still’s disease and. We examined 12 bone marrow biopsy specimens. The most. Still's Disease Bone Marrow Findings.
From imagebank.hematology.org
Paroxysmal nocturnal hemoglobinuria (PNH)Biopsy Still's Disease Bone Marrow Findings Hemophagocytic lymphohistiocytosis (hlh) is a rare hematological condition resulting from dysregulation of the. Still's disease is currently considered an uncommon systemic inflammatory disorder with uncertain pathogenesis. Here we show that mtorc1 (mechanistic target of rapamycin complex 1) underpins the pathology of still’s disease and. We performed this study to identify the bone marrow findings in patients asd. We examined 12. Still's Disease Bone Marrow Findings.
From www.mypathologyreport.ca
How to read your bone marrow report MyPathologyReport.ca Still's Disease Bone Marrow Findings We examined 12 bone marrow biopsy specimens. Still's disease is currently considered an uncommon systemic inflammatory disorder with uncertain pathogenesis. The most frequent finding was granulocyte hyperplasia (12/12, 100%) and hypercellularity was observed in 75.0% (8/12). Here we show that mtorc1 (mechanistic target of rapamycin complex 1) underpins the pathology of still’s disease and. We performed this study to identify. Still's Disease Bone Marrow Findings.
From twitter.com
Tony Breu on Twitter "15/ Before closing, full disclosure I had NO Still's Disease Bone Marrow Findings Here we show that mtorc1 (mechanistic target of rapamycin complex 1) underpins the pathology of still’s disease and. The most frequent finding was granulocyte hyperplasia (12/12, 100%) and hypercellularity was observed in 75.0% (8/12). We performed this study to identify the bone marrow findings in patients asd. Adult onset still's disease (aosd) is a rare systemic inflammatory disorder of unknown. Still's Disease Bone Marrow Findings.
From ar.inspiredpencil.com
Leukemia Cells In Bone Marrow Still's Disease Bone Marrow Findings We examined 12 bone marrow biopsy specimens. Adult onset still's disease (aosd) is a rare systemic inflammatory disorder of unknown aetiology that is responsible for a significant. We performed this study to identify the bone marrow findings in patients asd. Here we show that mtorc1 (mechanistic target of rapamycin complex 1) underpins the pathology of still’s disease and. The most. Still's Disease Bone Marrow Findings.
From www.mybiosource.com
Bone Marrow Neoplasm MyBioSource Learning Center Still's Disease Bone Marrow Findings We performed this study to identify the bone marrow findings in patients asd. The most frequent finding was granulocyte hyperplasia (12/12, 100%) and hypercellularity was observed in 75.0% (8/12). We examined 12 bone marrow biopsy specimens. Adult onset still's disease (aosd) is a rare systemic inflammatory disorder of unknown aetiology that is responsible for a significant. Still's disease is currently. Still's Disease Bone Marrow Findings.
From imagebank.hematology.org
Immune thrombocytopenic purpura (ITP) bone marrow biopsy view 1 Still's Disease Bone Marrow Findings We examined 12 bone marrow biopsy specimens. We performed this study to identify the bone marrow findings in patients asd. Here we show that mtorc1 (mechanistic target of rapamycin complex 1) underpins the pathology of still’s disease and. The most frequent finding was granulocyte hyperplasia (12/12, 100%) and hypercellularity was observed in 75.0% (8/12). Hemophagocytic lymphohistiocytosis (hlh) is a rare. Still's Disease Bone Marrow Findings.
From medicine.nus.edu.sg
Bone Marrow Normal Histology NUS Pathweb NUS Pathweb Still's Disease Bone Marrow Findings Adult onset still's disease (aosd) is a rare systemic inflammatory disorder of unknown aetiology that is responsible for a significant. Here we show that mtorc1 (mechanistic target of rapamycin complex 1) underpins the pathology of still’s disease and. Hemophagocytic lymphohistiocytosis (hlh) is a rare hematological condition resulting from dysregulation of the. Still's disease is currently considered an uncommon systemic inflammatory. Still's Disease Bone Marrow Findings.
From silverex.org
Vehicle genderspecific, est mature, additionally medium kind been Still's Disease Bone Marrow Findings The most frequent finding was granulocyte hyperplasia (12/12, 100%) and hypercellularity was observed in 75.0% (8/12). We examined 12 bone marrow biopsy specimens. We performed this study to identify the bone marrow findings in patients asd. Adult onset still's disease (aosd) is a rare systemic inflammatory disorder of unknown aetiology that is responsible for a significant. Hemophagocytic lymphohistiocytosis (hlh) is. Still's Disease Bone Marrow Findings.
From www.dreamstime.com
Gaucher Disease in Bone Marrow. Stock Image Image of clinical, rare Still's Disease Bone Marrow Findings We examined 12 bone marrow biopsy specimens. Hemophagocytic lymphohistiocytosis (hlh) is a rare hematological condition resulting from dysregulation of the. We performed this study to identify the bone marrow findings in patients asd. Adult onset still's disease (aosd) is a rare systemic inflammatory disorder of unknown aetiology that is responsible for a significant. Here we show that mtorc1 (mechanistic target. Still's Disease Bone Marrow Findings.
From www.lotushaematology.com
MULTIPLE MYELOMA Multiple myeloma is a cancer that forms in a type of Still's Disease Bone Marrow Findings We performed this study to identify the bone marrow findings in patients asd. Hemophagocytic lymphohistiocytosis (hlh) is a rare hematological condition resulting from dysregulation of the. Here we show that mtorc1 (mechanistic target of rapamycin complex 1) underpins the pathology of still’s disease and. Adult onset still's disease (aosd) is a rare systemic inflammatory disorder of unknown aetiology that is. Still's Disease Bone Marrow Findings.
From checkrare.com
Still's Disease (Adult Onset) CheckRare Still's Disease Bone Marrow Findings We performed this study to identify the bone marrow findings in patients asd. We examined 12 bone marrow biopsy specimens. Hemophagocytic lymphohistiocytosis (hlh) is a rare hematological condition resulting from dysregulation of the. Here we show that mtorc1 (mechanistic target of rapamycin complex 1) underpins the pathology of still’s disease and. Adult onset still's disease (aosd) is a rare systemic. Still's Disease Bone Marrow Findings.
From imagebank.hematology.org
GAUCHER'S CELLS IN BONE MARROW ASPIRATE SMEARS Still's Disease Bone Marrow Findings Hemophagocytic lymphohistiocytosis (hlh) is a rare hematological condition resulting from dysregulation of the. We performed this study to identify the bone marrow findings in patients asd. Here we show that mtorc1 (mechanistic target of rapamycin complex 1) underpins the pathology of still’s disease and. The most frequent finding was granulocyte hyperplasia (12/12, 100%) and hypercellularity was observed in 75.0% (8/12).. Still's Disease Bone Marrow Findings.
From www.pathologyoutlines.com
Pathology Outlines Gaucher disease Still's Disease Bone Marrow Findings Adult onset still's disease (aosd) is a rare systemic inflammatory disorder of unknown aetiology that is responsible for a significant. We performed this study to identify the bone marrow findings in patients asd. The most frequent finding was granulocyte hyperplasia (12/12, 100%) and hypercellularity was observed in 75.0% (8/12). We examined 12 bone marrow biopsy specimens. Hemophagocytic lymphohistiocytosis (hlh) is. Still's Disease Bone Marrow Findings.
From www.frontiersin.org
Frontiers Hemophagocytic lymphohistiocytosis as an etiology of bone Still's Disease Bone Marrow Findings Here we show that mtorc1 (mechanistic target of rapamycin complex 1) underpins the pathology of still’s disease and. Adult onset still's disease (aosd) is a rare systemic inflammatory disorder of unknown aetiology that is responsible for a significant. We performed this study to identify the bone marrow findings in patients asd. The most frequent finding was granulocyte hyperplasia (12/12, 100%). Still's Disease Bone Marrow Findings.
From www.researchgate.net
a Bone marrow aspirate smear showing myeloid hyperplasia. b Bone marrow Still's Disease Bone Marrow Findings We performed this study to identify the bone marrow findings in patients asd. Still's disease is currently considered an uncommon systemic inflammatory disorder with uncertain pathogenesis. Hemophagocytic lymphohistiocytosis (hlh) is a rare hematological condition resulting from dysregulation of the. Adult onset still's disease (aosd) is a rare systemic inflammatory disorder of unknown aetiology that is responsible for a significant. We. Still's Disease Bone Marrow Findings.
From www.researchgate.net
Bone marrow smear Gaucher cell. The characteristic cytoplasm with Still's Disease Bone Marrow Findings We examined 12 bone marrow biopsy specimens. Here we show that mtorc1 (mechanistic target of rapamycin complex 1) underpins the pathology of still’s disease and. Still's disease is currently considered an uncommon systemic inflammatory disorder with uncertain pathogenesis. The most frequent finding was granulocyte hyperplasia (12/12, 100%) and hypercellularity was observed in 75.0% (8/12). We performed this study to identify. Still's Disease Bone Marrow Findings.
From www.researchgate.net
Figure2.The histopathological findings of the bone marrow specimen. (A Still's Disease Bone Marrow Findings Adult onset still's disease (aosd) is a rare systemic inflammatory disorder of unknown aetiology that is responsible for a significant. Hemophagocytic lymphohistiocytosis (hlh) is a rare hematological condition resulting from dysregulation of the. The most frequent finding was granulocyte hyperplasia (12/12, 100%) and hypercellularity was observed in 75.0% (8/12). We performed this study to identify the bone marrow findings in. Still's Disease Bone Marrow Findings.
From www.cureus.com
Thrombotic Thrombocytopenic Purpura Associated with Myelodysplastic Still's Disease Bone Marrow Findings The most frequent finding was granulocyte hyperplasia (12/12, 100%) and hypercellularity was observed in 75.0% (8/12). We examined 12 bone marrow biopsy specimens. We performed this study to identify the bone marrow findings in patients asd. Adult onset still's disease (aosd) is a rare systemic inflammatory disorder of unknown aetiology that is responsible for a significant. Still's disease is currently. Still's Disease Bone Marrow Findings.
From www.researchgate.net
Bone marrow biopsy showing acute myeloid leukemia. The bone marrow Still's Disease Bone Marrow Findings We examined 12 bone marrow biopsy specimens. Here we show that mtorc1 (mechanistic target of rapamycin complex 1) underpins the pathology of still’s disease and. We performed this study to identify the bone marrow findings in patients asd. The most frequent finding was granulocyte hyperplasia (12/12, 100%) and hypercellularity was observed in 75.0% (8/12). Still's disease is currently considered an. Still's Disease Bone Marrow Findings.
From touchoncology.com
Finding and Treating Gaucher Disease Type 1 The Role of the Still's Disease Bone Marrow Findings Here we show that mtorc1 (mechanistic target of rapamycin complex 1) underpins the pathology of still’s disease and. Hemophagocytic lymphohistiocytosis (hlh) is a rare hematological condition resulting from dysregulation of the. Adult onset still's disease (aosd) is a rare systemic inflammatory disorder of unknown aetiology that is responsible for a significant. We performed this study to identify the bone marrow. Still's Disease Bone Marrow Findings.
From ksvdl.org
Demystifying Bone Marrow Evaluation Still's Disease Bone Marrow Findings We performed this study to identify the bone marrow findings in patients asd. The most frequent finding was granulocyte hyperplasia (12/12, 100%) and hypercellularity was observed in 75.0% (8/12). Adult onset still's disease (aosd) is a rare systemic inflammatory disorder of unknown aetiology that is responsible for a significant. We examined 12 bone marrow biopsy specimens. Still's disease is currently. Still's Disease Bone Marrow Findings.
From imagebank.hematology.org
Bone marrow involvement in Niemann Pick disease 5. Still's Disease Bone Marrow Findings Here we show that mtorc1 (mechanistic target of rapamycin complex 1) underpins the pathology of still’s disease and. The most frequent finding was granulocyte hyperplasia (12/12, 100%) and hypercellularity was observed in 75.0% (8/12). We performed this study to identify the bone marrow findings in patients asd. We examined 12 bone marrow biopsy specimens. Hemophagocytic lymphohistiocytosis (hlh) is a rare. Still's Disease Bone Marrow Findings.
From www.researchgate.net
Bone marrow biopsy showing focal evidence of hemophagocytosis (arrow Still's Disease Bone Marrow Findings Adult onset still's disease (aosd) is a rare systemic inflammatory disorder of unknown aetiology that is responsible for a significant. Hemophagocytic lymphohistiocytosis (hlh) is a rare hematological condition resulting from dysregulation of the. The most frequent finding was granulocyte hyperplasia (12/12, 100%) and hypercellularity was observed in 75.0% (8/12). Still's disease is currently considered an uncommon systemic inflammatory disorder with. Still's Disease Bone Marrow Findings.
From www.osmosis.org
Pernicious Anemia What It Is, Causes, Signs, Symptoms, and More Osmosis Still's Disease Bone Marrow Findings We performed this study to identify the bone marrow findings in patients asd. Adult onset still's disease (aosd) is a rare systemic inflammatory disorder of unknown aetiology that is responsible for a significant. Still's disease is currently considered an uncommon systemic inflammatory disorder with uncertain pathogenesis. Here we show that mtorc1 (mechanistic target of rapamycin complex 1) underpins the pathology. Still's Disease Bone Marrow Findings.