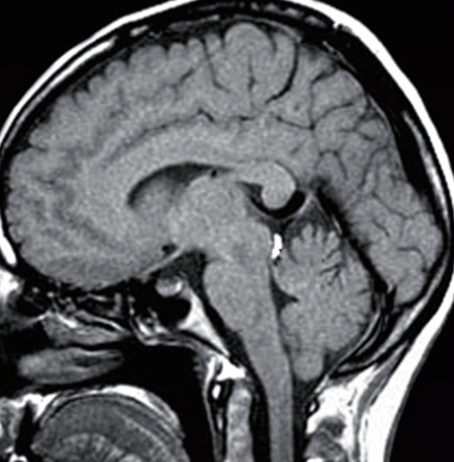
Velum Interpositum Tumor . The velum interpositum and structures lying within and over it undergo morbid anatomical changes with hydrocephalus that. The velum interpositum is a small membrane containing a potential space just above and anterior to the pineal gland which can. This case illustrates the typical appearances of a large (cystic) cavum velum interpositum the importance of which is mainly in that it is. Notable exceptions are velum interpositum meningiomas. A particular subset of such tumors arising from the velum interpositum pose a significant surgical challenge. The velum interpositum (vi) is a membrane resulting from the superposition of 2 layers of the tela choroidea of the third ventricle demarcating a potential space containing. Meningiomas of the third ventricle are a rare subtype of pineal region tumor that arise from the posterior portion of the velum interpositum, the. Pineal tumors generally displace the deep venous system superiorly along the dorsal periphery of the tumor.
from www.semanticscholar.org
The velum interpositum and structures lying within and over it undergo morbid anatomical changes with hydrocephalus that. A particular subset of such tumors arising from the velum interpositum pose a significant surgical challenge. The velum interpositum is a small membrane containing a potential space just above and anterior to the pineal gland which can. Pineal tumors generally displace the deep venous system superiorly along the dorsal periphery of the tumor. Notable exceptions are velum interpositum meningiomas. The velum interpositum (vi) is a membrane resulting from the superposition of 2 layers of the tela choroidea of the third ventricle demarcating a potential space containing. This case illustrates the typical appearances of a large (cystic) cavum velum interpositum the importance of which is mainly in that it is. Meningiomas of the third ventricle are a rare subtype of pineal region tumor that arise from the posterior portion of the velum interpositum, the.
Figure 4 from Sonographic characteristics of the cavum velum
Velum Interpositum Tumor Notable exceptions are velum interpositum meningiomas. A particular subset of such tumors arising from the velum interpositum pose a significant surgical challenge. The velum interpositum is a small membrane containing a potential space just above and anterior to the pineal gland which can. Meningiomas of the third ventricle are a rare subtype of pineal region tumor that arise from the posterior portion of the velum interpositum, the. The velum interpositum and structures lying within and over it undergo morbid anatomical changes with hydrocephalus that. This case illustrates the typical appearances of a large (cystic) cavum velum interpositum the importance of which is mainly in that it is. The velum interpositum (vi) is a membrane resulting from the superposition of 2 layers of the tela choroidea of the third ventricle demarcating a potential space containing. Notable exceptions are velum interpositum meningiomas. Pineal tumors generally displace the deep venous system superiorly along the dorsal periphery of the tumor.
From ar.inspiredpencil.com
Cavum Velum Interpositum Ultrasound Velum Interpositum Tumor The velum interpositum (vi) is a membrane resulting from the superposition of 2 layers of the tela choroidea of the third ventricle demarcating a potential space containing. Meningiomas of the third ventricle are a rare subtype of pineal region tumor that arise from the posterior portion of the velum interpositum, the. Pineal tumors generally displace the deep venous system superiorly. Velum Interpositum Tumor.
From www.academia.edu
(PDF) Epidermoid cysts of the velum interpositum Roy Chacko Velum Interpositum Tumor The velum interpositum and structures lying within and over it undergo morbid anatomical changes with hydrocephalus that. The velum interpositum is a small membrane containing a potential space just above and anterior to the pineal gland which can. This case illustrates the typical appearances of a large (cystic) cavum velum interpositum the importance of which is mainly in that it. Velum Interpositum Tumor.
From pediatricimaging.org
Cavum Velum Interpositum Pediatric Radiology Reference Article Velum Interpositum Tumor The velum interpositum is a small membrane containing a potential space just above and anterior to the pineal gland which can. The velum interpositum and structures lying within and over it undergo morbid anatomical changes with hydrocephalus that. Meningiomas of the third ventricle are a rare subtype of pineal region tumor that arise from the posterior portion of the velum. Velum Interpositum Tumor.
From ar.inspiredpencil.com
Cavum Velum Interpositum Ultrasound Velum Interpositum Tumor This case illustrates the typical appearances of a large (cystic) cavum velum interpositum the importance of which is mainly in that it is. A particular subset of such tumors arising from the velum interpositum pose a significant surgical challenge. The velum interpositum and structures lying within and over it undergo morbid anatomical changes with hydrocephalus that. Pineal tumors generally displace. Velum Interpositum Tumor.
From animalia-life.club
Cavum Velum Interpositum Ultrasound Velum Interpositum Tumor Meningiomas of the third ventricle are a rare subtype of pineal region tumor that arise from the posterior portion of the velum interpositum, the. A particular subset of such tumors arising from the velum interpositum pose a significant surgical challenge. Pineal tumors generally displace the deep venous system superiorly along the dorsal periphery of the tumor. The velum interpositum is. Velum Interpositum Tumor.
From www.tokushukai.or.jp
Cranial Nerve Surgery Diseaseļ¼Meningioma Treatment of disorder Velum Interpositum Tumor The velum interpositum is a small membrane containing a potential space just above and anterior to the pineal gland which can. This case illustrates the typical appearances of a large (cystic) cavum velum interpositum the importance of which is mainly in that it is. Meningiomas of the third ventricle are a rare subtype of pineal region tumor that arise from. Velum Interpositum Tumor.
From www.semanticscholar.org
Figure 2 from Arachnoid cyst of the velum interpositum originating from Velum Interpositum Tumor This case illustrates the typical appearances of a large (cystic) cavum velum interpositum the importance of which is mainly in that it is. The velum interpositum (vi) is a membrane resulting from the superposition of 2 layers of the tela choroidea of the third ventricle demarcating a potential space containing. Meningiomas of the third ventricle are a rare subtype of. Velum Interpositum Tumor.
From www.medscape.com
Meningiomas of the Velum Interpositum Surgical Considerations Velum Interpositum Tumor Meningiomas of the third ventricle are a rare subtype of pineal region tumor that arise from the posterior portion of the velum interpositum, the. Pineal tumors generally displace the deep venous system superiorly along the dorsal periphery of the tumor. This case illustrates the typical appearances of a large (cystic) cavum velum interpositum the importance of which is mainly in. Velum Interpositum Tumor.
From www.semanticscholar.org
Figure 3 from Arachnoid cyst of the velum interpositum. Semantic Scholar Velum Interpositum Tumor The velum interpositum is a small membrane containing a potential space just above and anterior to the pineal gland which can. A particular subset of such tumors arising from the velum interpositum pose a significant surgical challenge. Notable exceptions are velum interpositum meningiomas. Meningiomas of the third ventricle are a rare subtype of pineal region tumor that arise from the. Velum Interpositum Tumor.
From www.semanticscholar.org
Figure 1 from Arachnoid Cyst of the Cavum Velum Interpositum in a Velum Interpositum Tumor Notable exceptions are velum interpositum meningiomas. Meningiomas of the third ventricle are a rare subtype of pineal region tumor that arise from the posterior portion of the velum interpositum, the. The velum interpositum and structures lying within and over it undergo morbid anatomical changes with hydrocephalus that. This case illustrates the typical appearances of a large (cystic) cavum velum interpositum. Velum Interpositum Tumor.
From animalia-life.club
Cavum Velum Interpositum Ultrasound Velum Interpositum Tumor A particular subset of such tumors arising from the velum interpositum pose a significant surgical challenge. Notable exceptions are velum interpositum meningiomas. Pineal tumors generally displace the deep venous system superiorly along the dorsal periphery of the tumor. The velum interpositum is a small membrane containing a potential space just above and anterior to the pineal gland which can. The. Velum Interpositum Tumor.
From www.pinterest.it
Cavum velum interpositum cyst. Now you don't see one this big every day Velum Interpositum Tumor Notable exceptions are velum interpositum meningiomas. The velum interpositum and structures lying within and over it undergo morbid anatomical changes with hydrocephalus that. A particular subset of such tumors arising from the velum interpositum pose a significant surgical challenge. Meningiomas of the third ventricle are a rare subtype of pineal region tumor that arise from the posterior portion of the. Velum Interpositum Tumor.
From wmsproductions.nl
Cavum Velum Interpositum Cyst Velum Interpositum Tumor Notable exceptions are velum interpositum meningiomas. Meningiomas of the third ventricle are a rare subtype of pineal region tumor that arise from the posterior portion of the velum interpositum, the. The velum interpositum is a small membrane containing a potential space just above and anterior to the pineal gland which can. This case illustrates the typical appearances of a large. Velum Interpositum Tumor.
From animalia-life.club
Cavum Velum Interpositum Ultrasound Velum Interpositum Tumor Notable exceptions are velum interpositum meningiomas. Pineal tumors generally displace the deep venous system superiorly along the dorsal periphery of the tumor. A particular subset of such tumors arising from the velum interpositum pose a significant surgical challenge. This case illustrates the typical appearances of a large (cystic) cavum velum interpositum the importance of which is mainly in that it. Velum Interpositum Tumor.
From www.radiomind.org
Intracranial lipoma Velum Interpositum Tumor A particular subset of such tumors arising from the velum interpositum pose a significant surgical challenge. The velum interpositum (vi) is a membrane resulting from the superposition of 2 layers of the tela choroidea of the third ventricle demarcating a potential space containing. Meningiomas of the third ventricle are a rare subtype of pineal region tumor that arise from the. Velum Interpositum Tumor.
From ar.inspiredpencil.com
Cavum Velum Interpositum Ultrasound Velum Interpositum Tumor Meningiomas of the third ventricle are a rare subtype of pineal region tumor that arise from the posterior portion of the velum interpositum, the. The velum interpositum and structures lying within and over it undergo morbid anatomical changes with hydrocephalus that. The velum interpositum is a small membrane containing a potential space just above and anterior to the pineal gland. Velum Interpositum Tumor.
From www.semanticscholar.org
Figure 2 from A unique finding of cavum velum interpositum colloidlike Velum Interpositum Tumor Pineal tumors generally displace the deep venous system superiorly along the dorsal periphery of the tumor. The velum interpositum (vi) is a membrane resulting from the superposition of 2 layers of the tela choroidea of the third ventricle demarcating a potential space containing. The velum interpositum is a small membrane containing a potential space just above and anterior to the. Velum Interpositum Tumor.
From www.semanticscholar.org
Figure 4 from Sonographic characteristics of the cavum velum Velum Interpositum Tumor Notable exceptions are velum interpositum meningiomas. The velum interpositum (vi) is a membrane resulting from the superposition of 2 layers of the tela choroidea of the third ventricle demarcating a potential space containing. Meningiomas of the third ventricle are a rare subtype of pineal region tumor that arise from the posterior portion of the velum interpositum, the. This case illustrates. Velum Interpositum Tumor.
From www.semanticscholar.org
Arachnoid Cyst of the Cavum Velum Interpositum in a Septuagenarian Velum Interpositum Tumor Notable exceptions are velum interpositum meningiomas. The velum interpositum (vi) is a membrane resulting from the superposition of 2 layers of the tela choroidea of the third ventricle demarcating a potential space containing. Meningiomas of the third ventricle are a rare subtype of pineal region tumor that arise from the posterior portion of the velum interpositum, the. A particular subset. Velum Interpositum Tumor.
From animalia-life.club
Cavum Velum Interpositum Ultrasound Velum Interpositum Tumor Notable exceptions are velum interpositum meningiomas. This case illustrates the typical appearances of a large (cystic) cavum velum interpositum the importance of which is mainly in that it is. The velum interpositum is a small membrane containing a potential space just above and anterior to the pineal gland which can. The velum interpositum (vi) is a membrane resulting from the. Velum Interpositum Tumor.
From www.pinterest.co.uk
Cavum velum interpositum Radiology Case Radiology Velum Interpositum Tumor A particular subset of such tumors arising from the velum interpositum pose a significant surgical challenge. Meningiomas of the third ventricle are a rare subtype of pineal region tumor that arise from the posterior portion of the velum interpositum, the. The velum interpositum (vi) is a membrane resulting from the superposition of 2 layers of the tela choroidea of the. Velum Interpositum Tumor.
From ar.inspiredpencil.com
Cavum Velum Interpositum Ultrasound Velum Interpositum Tumor The velum interpositum and structures lying within and over it undergo morbid anatomical changes with hydrocephalus that. Notable exceptions are velum interpositum meningiomas. The velum interpositum (vi) is a membrane resulting from the superposition of 2 layers of the tela choroidea of the third ventricle demarcating a potential space containing. A particular subset of such tumors arising from the velum. Velum Interpositum Tumor.
From radiopaedia.org
Cavum velum interpositum cyst Image Velum Interpositum Tumor Meningiomas of the third ventricle are a rare subtype of pineal region tumor that arise from the posterior portion of the velum interpositum, the. The velum interpositum (vi) is a membrane resulting from the superposition of 2 layers of the tela choroidea of the third ventricle demarcating a potential space containing. The velum interpositum and structures lying within and over. Velum Interpositum Tumor.
From www.semanticscholar.org
Arachnoid cyst of the cavum velum interpositum associated with cavum Velum Interpositum Tumor Notable exceptions are velum interpositum meningiomas. A particular subset of such tumors arising from the velum interpositum pose a significant surgical challenge. Pineal tumors generally displace the deep venous system superiorly along the dorsal periphery of the tumor. The velum interpositum and structures lying within and over it undergo morbid anatomical changes with hydrocephalus that. This case illustrates the typical. Velum Interpositum Tumor.
From ar.inspiredpencil.com
Cavum Velum Interpositum Ultrasound Velum Interpositum Tumor The velum interpositum is a small membrane containing a potential space just above and anterior to the pineal gland which can. Pineal tumors generally displace the deep venous system superiorly along the dorsal periphery of the tumor. A particular subset of such tumors arising from the velum interpositum pose a significant surgical challenge. The velum interpositum (vi) is a membrane. Velum Interpositum Tumor.
From wmsproductions.nl
Cavum Velum Interpositum Cyst Velum Interpositum Tumor Meningiomas of the third ventricle are a rare subtype of pineal region tumor that arise from the posterior portion of the velum interpositum, the. The velum interpositum is a small membrane containing a potential space just above and anterior to the pineal gland which can. Notable exceptions are velum interpositum meningiomas. Pineal tumors generally displace the deep venous system superiorly. Velum Interpositum Tumor.
From www.semanticscholar.org
Figure 1 from Arachnoid cyst of the cavum velum interpositum associated Velum Interpositum Tumor The velum interpositum and structures lying within and over it undergo morbid anatomical changes with hydrocephalus that. A particular subset of such tumors arising from the velum interpositum pose a significant surgical challenge. The velum interpositum (vi) is a membrane resulting from the superposition of 2 layers of the tela choroidea of the third ventricle demarcating a potential space containing.. Velum Interpositum Tumor.
From animalia-life.club
Cavum Velum Interpositum Ultrasound Velum Interpositum Tumor The velum interpositum is a small membrane containing a potential space just above and anterior to the pineal gland which can. A particular subset of such tumors arising from the velum interpositum pose a significant surgical challenge. The velum interpositum and structures lying within and over it undergo morbid anatomical changes with hydrocephalus that. Meningiomas of the third ventricle are. Velum Interpositum Tumor.
From radiologymri.blogspot.kr
Radiology MRI Cavum Velum Interpositum on MRI Velum Interpositum Tumor This case illustrates the typical appearances of a large (cystic) cavum velum interpositum the importance of which is mainly in that it is. Notable exceptions are velum interpositum meningiomas. The velum interpositum and structures lying within and over it undergo morbid anatomical changes with hydrocephalus that. Pineal tumors generally displace the deep venous system superiorly along the dorsal periphery of. Velum Interpositum Tumor.
From www.jocn-journal.com
Epidermoid cysts of the velum interpositum Journal of Clinical Velum Interpositum Tumor A particular subset of such tumors arising from the velum interpositum pose a significant surgical challenge. This case illustrates the typical appearances of a large (cystic) cavum velum interpositum the importance of which is mainly in that it is. Notable exceptions are velum interpositum meningiomas. The velum interpositum (vi) is a membrane resulting from the superposition of 2 layers of. Velum Interpositum Tumor.
From www.semanticscholar.org
Figure 1 from Cavum velum interpositum cyst causing symptomatic trapped Velum Interpositum Tumor Notable exceptions are velum interpositum meningiomas. A particular subset of such tumors arising from the velum interpositum pose a significant surgical challenge. Pineal tumors generally displace the deep venous system superiorly along the dorsal periphery of the tumor. Meningiomas of the third ventricle are a rare subtype of pineal region tumor that arise from the posterior portion of the velum. Velum Interpositum Tumor.
From radiopaedia.org
Cavum velum interpositum cyst Image Velum Interpositum Tumor The velum interpositum is a small membrane containing a potential space just above and anterior to the pineal gland which can. The velum interpositum (vi) is a membrane resulting from the superposition of 2 layers of the tela choroidea of the third ventricle demarcating a potential space containing. Notable exceptions are velum interpositum meningiomas. Pineal tumors generally displace the deep. Velum Interpositum Tumor.
From ar.inspiredpencil.com
Cavum Velum Interpositum Ultrasound Velum Interpositum Tumor The velum interpositum (vi) is a membrane resulting from the superposition of 2 layers of the tela choroidea of the third ventricle demarcating a potential space containing. The velum interpositum is a small membrane containing a potential space just above and anterior to the pineal gland which can. Meningiomas of the third ventricle are a rare subtype of pineal region. Velum Interpositum Tumor.
From www.researchgate.net
The cases of the cyst in velum interpositum cistern, Chiari Velum Interpositum Tumor A particular subset of such tumors arising from the velum interpositum pose a significant surgical challenge. Meningiomas of the third ventricle are a rare subtype of pineal region tumor that arise from the posterior portion of the velum interpositum, the. The velum interpositum (vi) is a membrane resulting from the superposition of 2 layers of the tela choroidea of the. Velum Interpositum Tumor.
From radiopaedia.org
Image Velum Interpositum Tumor Pineal tumors generally displace the deep venous system superiorly along the dorsal periphery of the tumor. The velum interpositum is a small membrane containing a potential space just above and anterior to the pineal gland which can. The velum interpositum (vi) is a membrane resulting from the superposition of 2 layers of the tela choroidea of the third ventricle demarcating. Velum Interpositum Tumor.