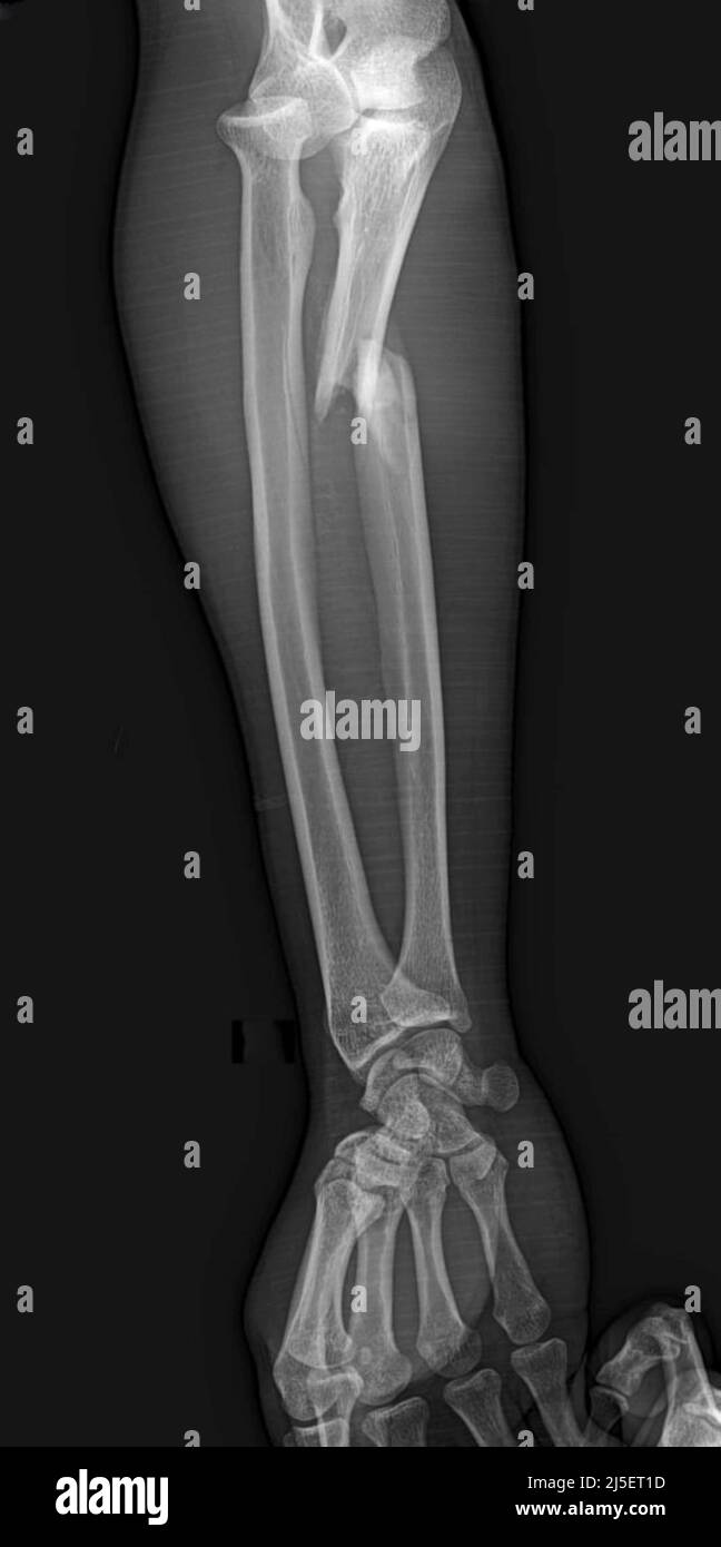
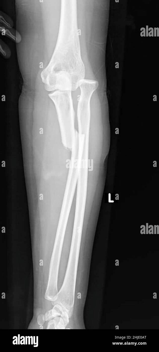
Monteggia Fracture X Ray . A monteggia fracture is defined as a proximal 1/3 ulna fracture with an associated radial head dislocation. The monteggia fracture is a fracture of the proximal ulna associated with dislocation of the radial head. Ap, lateral of elbow, forearm, wrist. Fractures involving coronoid, olecranon, and radial head. Diagnosis is made with forearm and elbow radiographs to check for. Monteggia involves fracture of the ulna with proximal radial dislocation. Proximal 1/3 ulna fracture + radial head dislocation (due to ulna. Galeazzi involves fracture of the radius with distal radioulnar. An examination starts with the visual inspection of the skin, soft tissue, visible bony deformity, skin lacerations, muscle contusion and.
from www.ncbi.nlm.nih.gov
Monteggia involves fracture of the ulna with proximal radial dislocation. Diagnosis is made with forearm and elbow radiographs to check for. Galeazzi involves fracture of the radius with distal radioulnar. An examination starts with the visual inspection of the skin, soft tissue, visible bony deformity, skin lacerations, muscle contusion and. Ap, lateral of elbow, forearm, wrist. The monteggia fracture is a fracture of the proximal ulna associated with dislocation of the radial head. Proximal 1/3 ulna fracture + radial head dislocation (due to ulna. Fractures involving coronoid, olecranon, and radial head. A monteggia fracture is defined as a proximal 1/3 ulna fracture with an associated radial head dislocation.
[Figure, An xray of right forearm showing Monteggia fracture
Monteggia Fracture X Ray A monteggia fracture is defined as a proximal 1/3 ulna fracture with an associated radial head dislocation. Fractures involving coronoid, olecranon, and radial head. Monteggia involves fracture of the ulna with proximal radial dislocation. Proximal 1/3 ulna fracture + radial head dislocation (due to ulna. Diagnosis is made with forearm and elbow radiographs to check for. A monteggia fracture is defined as a proximal 1/3 ulna fracture with an associated radial head dislocation. The monteggia fracture is a fracture of the proximal ulna associated with dislocation of the radial head. Galeazzi involves fracture of the radius with distal radioulnar. Ap, lateral of elbow, forearm, wrist. An examination starts with the visual inspection of the skin, soft tissue, visible bony deformity, skin lacerations, muscle contusion and.
From ar.inspiredpencil.com
Monteggia Fracture X Ray Monteggia Fracture X Ray Monteggia involves fracture of the ulna with proximal radial dislocation. Galeazzi involves fracture of the radius with distal radioulnar. A monteggia fracture is defined as a proximal 1/3 ulna fracture with an associated radial head dislocation. An examination starts with the visual inspection of the skin, soft tissue, visible bony deformity, skin lacerations, muscle contusion and. Ap, lateral of elbow,. Monteggia Fracture X Ray.
From pch.health.wa.gov.au
Fractures Forearm Monteggia Fracture X Ray The monteggia fracture is a fracture of the proximal ulna associated with dislocation of the radial head. Galeazzi involves fracture of the radius with distal radioulnar. Monteggia involves fracture of the ulna with proximal radial dislocation. Fractures involving coronoid, olecranon, and radial head. Proximal 1/3 ulna fracture + radial head dislocation (due to ulna. An examination starts with the visual. Monteggia Fracture X Ray.
From healthjade.net
Monteggia fracture causes, types, symptoms, diagnosis, treatment Monteggia Fracture X Ray A monteggia fracture is defined as a proximal 1/3 ulna fracture with an associated radial head dislocation. Monteggia involves fracture of the ulna with proximal radial dislocation. Fractures involving coronoid, olecranon, and radial head. Proximal 1/3 ulna fracture + radial head dislocation (due to ulna. Diagnosis is made with forearm and elbow radiographs to check for. The monteggia fracture is. Monteggia Fracture X Ray.
From www.dreamstime.com
Xray Upper Extremity Fracture Monteggia Stock Photo Image of Monteggia Fracture X Ray Diagnosis is made with forearm and elbow radiographs to check for. Ap, lateral of elbow, forearm, wrist. Galeazzi involves fracture of the radius with distal radioulnar. Fractures involving coronoid, olecranon, and radial head. An examination starts with the visual inspection of the skin, soft tissue, visible bony deformity, skin lacerations, muscle contusion and. Proximal 1/3 ulna fracture + radial head. Monteggia Fracture X Ray.
From www.alamy.com
Monteggia fracture, Xray Stock Photo Alamy Monteggia Fracture X Ray A monteggia fracture is defined as a proximal 1/3 ulna fracture with an associated radial head dislocation. Galeazzi involves fracture of the radius with distal radioulnar. Proximal 1/3 ulna fracture + radial head dislocation (due to ulna. Fractures involving coronoid, olecranon, and radial head. The monteggia fracture is a fracture of the proximal ulna associated with dislocation of the radial. Monteggia Fracture X Ray.
From www.ncbi.nlm.nih.gov
[Figure, An xray of right forearm showing Monteggia fracture Monteggia Fracture X Ray A monteggia fracture is defined as a proximal 1/3 ulna fracture with an associated radial head dislocation. An examination starts with the visual inspection of the skin, soft tissue, visible bony deformity, skin lacerations, muscle contusion and. Fractures involving coronoid, olecranon, and radial head. Diagnosis is made with forearm and elbow radiographs to check for. The monteggia fracture is a. Monteggia Fracture X Ray.
From www.researchgate.net
Xrays at first visit. A Bado type III Monteggia fracture and fractures Monteggia Fracture X Ray Proximal 1/3 ulna fracture + radial head dislocation (due to ulna. Galeazzi involves fracture of the radius with distal radioulnar. Fractures involving coronoid, olecranon, and radial head. Diagnosis is made with forearm and elbow radiographs to check for. Monteggia involves fracture of the ulna with proximal radial dislocation. Ap, lateral of elbow, forearm, wrist. The monteggia fracture is a fracture. Monteggia Fracture X Ray.
From www.pinterest.com
Monteggia fracturedislocation Radiology Case Monteggia Fracture X Ray Monteggia involves fracture of the ulna with proximal radial dislocation. The monteggia fracture is a fracture of the proximal ulna associated with dislocation of the radial head. Diagnosis is made with forearm and elbow radiographs to check for. Ap, lateral of elbow, forearm, wrist. An examination starts with the visual inspection of the skin, soft tissue, visible bony deformity, skin. Monteggia Fracture X Ray.
From www.cureus.com
Cureus Floating Forearm Injury Monteggia Variant Fracture With an Monteggia Fracture X Ray Monteggia involves fracture of the ulna with proximal radial dislocation. A monteggia fracture is defined as a proximal 1/3 ulna fracture with an associated radial head dislocation. The monteggia fracture is a fracture of the proximal ulna associated with dislocation of the radial head. Galeazzi involves fracture of the radius with distal radioulnar. Ap, lateral of elbow, forearm, wrist. An. Monteggia Fracture X Ray.
From www.orthobullets.com
Monteggia Fracture Pediatric Pediatrics Orthobullets Monteggia Fracture X Ray An examination starts with the visual inspection of the skin, soft tissue, visible bony deformity, skin lacerations, muscle contusion and. A monteggia fracture is defined as a proximal 1/3 ulna fracture with an associated radial head dislocation. Fractures involving coronoid, olecranon, and radial head. The monteggia fracture is a fracture of the proximal ulna associated with dislocation of the radial. Monteggia Fracture X Ray.
From ar.inspiredpencil.com
Monteggia Fracture X Ray Monteggia Fracture X Ray A monteggia fracture is defined as a proximal 1/3 ulna fracture with an associated radial head dislocation. Ap, lateral of elbow, forearm, wrist. Monteggia involves fracture of the ulna with proximal radial dislocation. The monteggia fracture is a fracture of the proximal ulna associated with dislocation of the radial head. Proximal 1/3 ulna fracture + radial head dislocation (due to. Monteggia Fracture X Ray.
From orthopaedicprinciples.com
Monteggia Fractures of the Forearm — Monteggia Fracture X Ray Fractures involving coronoid, olecranon, and radial head. Diagnosis is made with forearm and elbow radiographs to check for. Galeazzi involves fracture of the radius with distal radioulnar. A monteggia fracture is defined as a proximal 1/3 ulna fracture with an associated radial head dislocation. Monteggia involves fracture of the ulna with proximal radial dislocation. Proximal 1/3 ulna fracture + radial. Monteggia Fracture X Ray.
From www.istockphoto.com
Monteggia Fracture Proximal Ulna Fracture With Radial Head Dislocation Monteggia Fracture X Ray Monteggia involves fracture of the ulna with proximal radial dislocation. Diagnosis is made with forearm and elbow radiographs to check for. An examination starts with the visual inspection of the skin, soft tissue, visible bony deformity, skin lacerations, muscle contusion and. Ap, lateral of elbow, forearm, wrist. Fractures involving coronoid, olecranon, and radial head. Galeazzi involves fracture of the radius. Monteggia Fracture X Ray.
From radiopaedia.org
Monteggia fracturedislocation Image Monteggia Fracture X Ray Proximal 1/3 ulna fracture + radial head dislocation (due to ulna. An examination starts with the visual inspection of the skin, soft tissue, visible bony deformity, skin lacerations, muscle contusion and. The monteggia fracture is a fracture of the proximal ulna associated with dislocation of the radial head. Diagnosis is made with forearm and elbow radiographs to check for. Fractures. Monteggia Fracture X Ray.
From es.dreamstime.com
Monteggia De La Fractura De La Extremidad Superior De La Radiografía Monteggia Fracture X Ray Fractures involving coronoid, olecranon, and radial head. A monteggia fracture is defined as a proximal 1/3 ulna fracture with an associated radial head dislocation. Diagnosis is made with forearm and elbow radiographs to check for. An examination starts with the visual inspection of the skin, soft tissue, visible bony deformity, skin lacerations, muscle contusion and. The monteggia fracture is a. Monteggia Fracture X Ray.
From www.istockphoto.com
Monteggia Fractureproximal Ulna Fracture With Radial Head Dislocation X Monteggia Fracture X Ray Ap, lateral of elbow, forearm, wrist. Galeazzi involves fracture of the radius with distal radioulnar. A monteggia fracture is defined as a proximal 1/3 ulna fracture with an associated radial head dislocation. Fractures involving coronoid, olecranon, and radial head. Monteggia involves fracture of the ulna with proximal radial dislocation. Proximal 1/3 ulna fracture + radial head dislocation (due to ulna.. Monteggia Fracture X Ray.
From radiopaedia.org
Monteggia fracturedislocation ulnar plastic deformity Image Monteggia Fracture X Ray An examination starts with the visual inspection of the skin, soft tissue, visible bony deformity, skin lacerations, muscle contusion and. Monteggia involves fracture of the ulna with proximal radial dislocation. The monteggia fracture is a fracture of the proximal ulna associated with dislocation of the radial head. Diagnosis is made with forearm and elbow radiographs to check for. Ap, lateral. Monteggia Fracture X Ray.
From www.orthobullets.com
Monteggia Fractures Trauma Orthobullets Monteggia Fracture X Ray An examination starts with the visual inspection of the skin, soft tissue, visible bony deformity, skin lacerations, muscle contusion and. Monteggia involves fracture of the ulna with proximal radial dislocation. Ap, lateral of elbow, forearm, wrist. Fractures involving coronoid, olecranon, and radial head. Galeazzi involves fracture of the radius with distal radioulnar. Proximal 1/3 ulna fracture + radial head dislocation. Monteggia Fracture X Ray.
From med-edu.blogspot.com
Orthopaedic Surgery CME XRay of the Day Monteggia Fracture Dislocation Monteggia Fracture X Ray Proximal 1/3 ulna fracture + radial head dislocation (due to ulna. Diagnosis is made with forearm and elbow radiographs to check for. Monteggia involves fracture of the ulna with proximal radial dislocation. The monteggia fracture is a fracture of the proximal ulna associated with dislocation of the radial head. Fractures involving coronoid, olecranon, and radial head. An examination starts with. Monteggia Fracture X Ray.
From www.orthobullets.com
Monteggia Fractures Trauma Orthobullets Monteggia Fracture X Ray Ap, lateral of elbow, forearm, wrist. Galeazzi involves fracture of the radius with distal radioulnar. Proximal 1/3 ulna fracture + radial head dislocation (due to ulna. An examination starts with the visual inspection of the skin, soft tissue, visible bony deformity, skin lacerations, muscle contusion and. A monteggia fracture is defined as a proximal 1/3 ulna fracture with an associated. Monteggia Fracture X Ray.
From www.alamy.com
Monteggia fracture, Xray Stock Photo Alamy Monteggia Fracture X Ray Ap, lateral of elbow, forearm, wrist. Monteggia involves fracture of the ulna with proximal radial dislocation. An examination starts with the visual inspection of the skin, soft tissue, visible bony deformity, skin lacerations, muscle contusion and. A monteggia fracture is defined as a proximal 1/3 ulna fracture with an associated radial head dislocation. Galeazzi involves fracture of the radius with. Monteggia Fracture X Ray.
From www.alamy.com
Monteggia fracture, Xray Stock Photo Alamy Monteggia Fracture X Ray Ap, lateral of elbow, forearm, wrist. Proximal 1/3 ulna fracture + radial head dislocation (due to ulna. Fractures involving coronoid, olecranon, and radial head. The monteggia fracture is a fracture of the proximal ulna associated with dislocation of the radial head. Diagnosis is made with forearm and elbow radiographs to check for. Galeazzi involves fracture of the radius with distal. Monteggia Fracture X Ray.
From meds.queensu.ca
Monteggia fracture Monteggia Fracture X Ray Monteggia involves fracture of the ulna with proximal radial dislocation. Fractures involving coronoid, olecranon, and radial head. Proximal 1/3 ulna fracture + radial head dislocation (due to ulna. An examination starts with the visual inspection of the skin, soft tissue, visible bony deformity, skin lacerations, muscle contusion and. Diagnosis is made with forearm and elbow radiographs to check for. The. Monteggia Fracture X Ray.
From www.researchgate.net
Adult Monteggia Fracture Dislocation, Bado Type I. Right arm Monteggia Fracture X Ray Proximal 1/3 ulna fracture + radial head dislocation (due to ulna. An examination starts with the visual inspection of the skin, soft tissue, visible bony deformity, skin lacerations, muscle contusion and. Galeazzi involves fracture of the radius with distal radioulnar. A monteggia fracture is defined as a proximal 1/3 ulna fracture with an associated radial head dislocation. Monteggia involves fracture. Monteggia Fracture X Ray.
From www.orthobullets.com
Monteggia Fractures Trauma Orthobullets Monteggia Fracture X Ray The monteggia fracture is a fracture of the proximal ulna associated with dislocation of the radial head. A monteggia fracture is defined as a proximal 1/3 ulna fracture with an associated radial head dislocation. Diagnosis is made with forearm and elbow radiographs to check for. Monteggia involves fracture of the ulna with proximal radial dislocation. Ap, lateral of elbow, forearm,. Monteggia Fracture X Ray.
From ar.inspiredpencil.com
Monteggia Fracture X Ray Monteggia Fracture X Ray An examination starts with the visual inspection of the skin, soft tissue, visible bony deformity, skin lacerations, muscle contusion and. Monteggia involves fracture of the ulna with proximal radial dislocation. Diagnosis is made with forearm and elbow radiographs to check for. A monteggia fracture is defined as a proximal 1/3 ulna fracture with an associated radial head dislocation. Ap, lateral. Monteggia Fracture X Ray.
From journals.sagepub.com
Stepcut osteotomy in neglected Monteggia fracture dislocation in Monteggia Fracture X Ray Galeazzi involves fracture of the radius with distal radioulnar. The monteggia fracture is a fracture of the proximal ulna associated with dislocation of the radial head. A monteggia fracture is defined as a proximal 1/3 ulna fracture with an associated radial head dislocation. Fractures involving coronoid, olecranon, and radial head. Ap, lateral of elbow, forearm, wrist. Monteggia involves fracture of. Monteggia Fracture X Ray.
From www.researchgate.net
A 30yearold female with Bado type III Monteggia fracture of the right Monteggia Fracture X Ray Monteggia involves fracture of the ulna with proximal radial dislocation. Fractures involving coronoid, olecranon, and radial head. An examination starts with the visual inspection of the skin, soft tissue, visible bony deformity, skin lacerations, muscle contusion and. A monteggia fracture is defined as a proximal 1/3 ulna fracture with an associated radial head dislocation. Proximal 1/3 ulna fracture + radial. Monteggia Fracture X Ray.
From www.researchgate.net
Appearance and radiography of the typical case of chronic Monteggia Monteggia Fracture X Ray Monteggia involves fracture of the ulna with proximal radial dislocation. Ap, lateral of elbow, forearm, wrist. Diagnosis is made with forearm and elbow radiographs to check for. A monteggia fracture is defined as a proximal 1/3 ulna fracture with an associated radial head dislocation. Fractures involving coronoid, olecranon, and radial head. The monteggia fracture is a fracture of the proximal. Monteggia Fracture X Ray.
From pacs.de
Monteggia fracturedislocation pacs Monteggia Fracture X Ray The monteggia fracture is a fracture of the proximal ulna associated with dislocation of the radial head. A monteggia fracture is defined as a proximal 1/3 ulna fracture with an associated radial head dislocation. Monteggia involves fracture of the ulna with proximal radial dislocation. Proximal 1/3 ulna fracture + radial head dislocation (due to ulna. Ap, lateral of elbow, forearm,. Monteggia Fracture X Ray.
From www.dreamstime.com
Xray Upper Extremity Fracture Monteggia Stock Photo Image of Monteggia Fracture X Ray Monteggia involves fracture of the ulna with proximal radial dislocation. Fractures involving coronoid, olecranon, and radial head. A monteggia fracture is defined as a proximal 1/3 ulna fracture with an associated radial head dislocation. Ap, lateral of elbow, forearm, wrist. Diagnosis is made with forearm and elbow radiographs to check for. Proximal 1/3 ulna fracture + radial head dislocation (due. Monteggia Fracture X Ray.
From www.wikidoc.org
Monteggia fracture wikidoc Monteggia Fracture X Ray Proximal 1/3 ulna fracture + radial head dislocation (due to ulna. The monteggia fracture is a fracture of the proximal ulna associated with dislocation of the radial head. A monteggia fracture is defined as a proximal 1/3 ulna fracture with an associated radial head dislocation. Fractures involving coronoid, olecranon, and radial head. An examination starts with the visual inspection of. Monteggia Fracture X Ray.
From www.orthopedic.theclinics.com
Monteggia Fractures Orthopedic Clinics Monteggia Fracture X Ray Proximal 1/3 ulna fracture + radial head dislocation (due to ulna. Monteggia involves fracture of the ulna with proximal radial dislocation. The monteggia fracture is a fracture of the proximal ulna associated with dislocation of the radial head. An examination starts with the visual inspection of the skin, soft tissue, visible bony deformity, skin lacerations, muscle contusion and. A monteggia. Monteggia Fracture X Ray.
From faculty.washington.edu
Bado Classification of Monteggia fractures UW Emergency Radiology Monteggia Fracture X Ray Ap, lateral of elbow, forearm, wrist. A monteggia fracture is defined as a proximal 1/3 ulna fracture with an associated radial head dislocation. Proximal 1/3 ulna fracture + radial head dislocation (due to ulna. Galeazzi involves fracture of the radius with distal radioulnar. Monteggia involves fracture of the ulna with proximal radial dislocation. Fractures involving coronoid, olecranon, and radial head.. Monteggia Fracture X Ray.
From radiopaedia.org
Monteggia fracturedislocation ulnar plastic deformity Image Monteggia Fracture X Ray Ap, lateral of elbow, forearm, wrist. The monteggia fracture is a fracture of the proximal ulna associated with dislocation of the radial head. Galeazzi involves fracture of the radius with distal radioulnar. Proximal 1/3 ulna fracture + radial head dislocation (due to ulna. Diagnosis is made with forearm and elbow radiographs to check for. A monteggia fracture is defined as. Monteggia Fracture X Ray.