Ebstein Anomaly . Ebstein’s anomaly is a malformed heart valve between the right upper and lower heart chambers that does not properly close to keep the blood flow moving in the right direction. The severity of the defect varies widely. The tricuspid valve is incorrectly formed. It affects the tricuspid valve in your heart and can cause an enlarged heart, irregular heartbeat and heart failure. Ebstein anomaly is a rare congenital heart disease characterized by apical. Ebstein anomaly is a rare congenital cardiac defect that consists of variable apical displacement from the annulus and dysplasia of the septal and. Ebstein anomaly is a rare heart problem present at birth. This means it's a congenital heart defect. Ebstein’s anomaly is a rare birth defect. Ebstein anomaly is an uncommon congenital cardiac anomaly, characterized by a variable developmental anomaly of the tricuspid.
from www.lecturio.com
Ebstein anomaly is an uncommon congenital cardiac anomaly, characterized by a variable developmental anomaly of the tricuspid. This means it's a congenital heart defect. Ebstein anomaly is a rare heart problem present at birth. The severity of the defect varies widely. Ebstein anomaly is a rare congenital heart disease characterized by apical. The tricuspid valve is incorrectly formed. It affects the tricuspid valve in your heart and can cause an enlarged heart, irregular heartbeat and heart failure. Ebstein anomaly is a rare congenital cardiac defect that consists of variable apical displacement from the annulus and dysplasia of the septal and. Ebstein’s anomaly is a rare birth defect. Ebstein’s anomaly is a malformed heart valve between the right upper and lower heart chambers that does not properly close to keep the blood flow moving in the right direction.
Most Important Heart Defects Overview Online Medical Library
Ebstein Anomaly The severity of the defect varies widely. Ebstein anomaly is a rare heart problem present at birth. The tricuspid valve is incorrectly formed. Ebstein’s anomaly is a malformed heart valve between the right upper and lower heart chambers that does not properly close to keep the blood flow moving in the right direction. Ebstein’s anomaly is a rare birth defect. Ebstein anomaly is an uncommon congenital cardiac anomaly, characterized by a variable developmental anomaly of the tricuspid. This means it's a congenital heart defect. It affects the tricuspid valve in your heart and can cause an enlarged heart, irregular heartbeat and heart failure. Ebstein anomaly is a rare congenital cardiac defect that consists of variable apical displacement from the annulus and dysplasia of the septal and. Ebstein anomaly is a rare congenital heart disease characterized by apical. The severity of the defect varies widely.
From my.clevelandclinic.org
Ebstein’s Anomaly Causes, Symptoms & Treatment Ebstein Anomaly Ebstein anomaly is a rare heart problem present at birth. Ebstein anomaly is a rare congenital cardiac defect that consists of variable apical displacement from the annulus and dysplasia of the septal and. Ebstein’s anomaly is a rare birth defect. It affects the tricuspid valve in your heart and can cause an enlarged heart, irregular heartbeat and heart failure. The. Ebstein Anomaly.
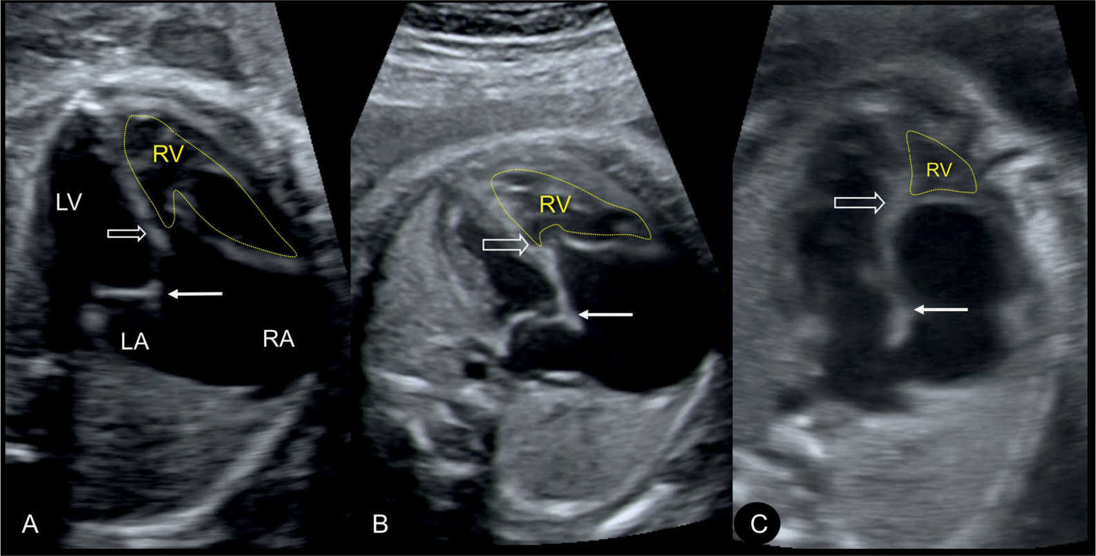
From www.mdpi.com
Cells Free FullText Integrated microRNA and mRNA Expression Ebstein Anomaly Ebstein anomaly is a rare heart problem present at birth. The tricuspid valve is incorrectly formed. The severity of the defect varies widely. This means it's a congenital heart defect. Ebstein anomaly is an uncommon congenital cardiac anomaly, characterized by a variable developmental anomaly of the tricuspid. Ebstein anomaly is a rare congenital cardiac defect that consists of variable apical. Ebstein Anomaly.
From cahal.nl
Ebstein’s anomalie CAHAL Ebstein Anomaly Ebstein anomaly is a rare congenital cardiac defect that consists of variable apical displacement from the annulus and dysplasia of the septal and. The severity of the defect varies widely. The tricuspid valve is incorrectly formed. Ebstein anomaly is an uncommon congenital cardiac anomaly, characterized by a variable developmental anomaly of the tricuspid. Ebstein anomaly is a rare heart problem. Ebstein Anomaly.
From www.jacc.org
Ebstein’s Anomaly Review of Arrhythmia Types and Morphogenesis of the Ebstein Anomaly Ebstein anomaly is an uncommon congenital cardiac anomaly, characterized by a variable developmental anomaly of the tricuspid. The severity of the defect varies widely. Ebstein’s anomaly is a rare birth defect. Ebstein’s anomaly is a malformed heart valve between the right upper and lower heart chambers that does not properly close to keep the blood flow moving in the right. Ebstein Anomaly.
From www.goldbamboo.com
Ebstein's anomaly Pictures Ebstein Anomaly Ebstein anomaly is an uncommon congenital cardiac anomaly, characterized by a variable developmental anomaly of the tricuspid. Ebstein’s anomaly is a rare birth defect. Ebstein anomaly is a rare heart problem present at birth. It affects the tricuspid valve in your heart and can cause an enlarged heart, irregular heartbeat and heart failure. This means it's a congenital heart defect.. Ebstein Anomaly.
From ecg.uness.fr
Anomalie d’Ebstein — uness wiki ecg Ebstein Anomaly Ebstein’s anomaly is a rare birth defect. Ebstein anomaly is a rare heart problem present at birth. Ebstein anomaly is an uncommon congenital cardiac anomaly, characterized by a variable developmental anomaly of the tricuspid. The tricuspid valve is incorrectly formed. This means it's a congenital heart defect. Ebstein anomaly is a rare congenital cardiac defect that consists of variable apical. Ebstein Anomaly.
From obgynkey.com
Ebstein Anomaly, Tricuspid Valve Dysplasia, and Tricuspid Regurgitation Ebstein Anomaly It affects the tricuspid valve in your heart and can cause an enlarged heart, irregular heartbeat and heart failure. Ebstein anomaly is a rare congenital cardiac defect that consists of variable apical displacement from the annulus and dysplasia of the septal and. This means it's a congenital heart defect. The severity of the defect varies widely. The tricuspid valve is. Ebstein Anomaly.
From www.chop.edu
Ebstein’s Anomaly of the Tricuspid Valve Children's Hospital of Ebstein Anomaly Ebstein anomaly is a rare heart problem present at birth. Ebstein anomaly is a rare congenital heart disease characterized by apical. This means it's a congenital heart defect. Ebstein’s anomaly is a malformed heart valve between the right upper and lower heart chambers that does not properly close to keep the blood flow moving in the right direction. Ebstein’s anomaly. Ebstein Anomaly.
From www.marketresearchfuture.com
Ebstein’s Anomaly Market is expected to observe the highest 11.20 CAGR Ebstein Anomaly Ebstein anomaly is a rare congenital cardiac defect that consists of variable apical displacement from the annulus and dysplasia of the septal and. It affects the tricuspid valve in your heart and can cause an enlarged heart, irregular heartbeat and heart failure. Ebstein’s anomaly is a malformed heart valve between the right upper and lower heart chambers that does not. Ebstein Anomaly.
From congenitalheartcentre.ie
Ebstein Anomaly treatment by the Irish Congenital Heart Centre Ebstein Anomaly This means it's a congenital heart defect. The tricuspid valve is incorrectly formed. The severity of the defect varies widely. Ebstein anomaly is a rare congenital heart disease characterized by apical. Ebstein’s anomaly is a malformed heart valve between the right upper and lower heart chambers that does not properly close to keep the blood flow moving in the right. Ebstein Anomaly.
From mindthegraph.com
Ebstein anomaly heart Ebstein Anomaly The severity of the defect varies widely. Ebstein anomaly is a rare congenital cardiac defect that consists of variable apical displacement from the annulus and dysplasia of the septal and. This means it's a congenital heart defect. Ebstein anomaly is an uncommon congenital cardiac anomaly, characterized by a variable developmental anomaly of the tricuspid. Ebstein anomaly is a rare heart. Ebstein Anomaly.
From rk.md
Ebstein Anomaly RK.MD Ebstein Anomaly The tricuspid valve is incorrectly formed. Ebstein anomaly is a rare heart problem present at birth. It affects the tricuspid valve in your heart and can cause an enlarged heart, irregular heartbeat and heart failure. Ebstein’s anomaly is a malformed heart valve between the right upper and lower heart chambers that does not properly close to keep the blood flow. Ebstein Anomaly.
From www.tinytickers.org
Ebstein's Anomaly Tiny Tickers Ebstein Anomaly Ebstein’s anomaly is a rare birth defect. Ebstein anomaly is a rare congenital cardiac defect that consists of variable apical displacement from the annulus and dysplasia of the septal and. Ebstein anomaly is a rare congenital heart disease characterized by apical. This means it's a congenital heart defect. Ebstein’s anomaly is a malformed heart valve between the right upper and. Ebstein Anomaly.
From www.herzkinder.at
Herzkinder Herzfehler von A Z Ebstein Anomaly Ebstein’s anomaly is a malformed heart valve between the right upper and lower heart chambers that does not properly close to keep the blood flow moving in the right direction. Ebstein anomaly is a rare heart problem present at birth. It affects the tricuspid valve in your heart and can cause an enlarged heart, irregular heartbeat and heart failure. Ebstein’s. Ebstein Anomaly.
From www.lecturio.com
Most Important Heart Defects Overview Online Medical Library Ebstein Anomaly Ebstein’s anomaly is a rare birth defect. This means it's a congenital heart defect. Ebstein anomaly is a rare heart problem present at birth. Ebstein’s anomaly is a malformed heart valve between the right upper and lower heart chambers that does not properly close to keep the blood flow moving in the right direction. Ebstein anomaly is a rare congenital. Ebstein Anomaly.
From medicaretipsonline.blogspot.com
medicare Ebstein Anomaly Ebstein Anomaly Ebstein anomaly is a rare congenital heart disease characterized by apical. Ebstein anomaly is an uncommon congenital cardiac anomaly, characterized by a variable developmental anomaly of the tricuspid. Ebstein anomaly is a rare congenital cardiac defect that consists of variable apical displacement from the annulus and dysplasia of the septal and. Ebstein’s anomaly is a malformed heart valve between the. Ebstein Anomaly.
From obimages.net
OB Images Ebstein Anomaly This means it's a congenital heart defect. It affects the tricuspid valve in your heart and can cause an enlarged heart, irregular heartbeat and heart failure. The severity of the defect varies widely. The tricuspid valve is incorrectly formed. Ebstein’s anomaly is a rare birth defect. Ebstein anomaly is a rare heart problem present at birth. Ebstein anomaly is a. Ebstein Anomaly.
From www.verywellhealth.com
Ebstein's Anomaly Symptoms, Causes, and Treatments Ebstein Anomaly Ebstein anomaly is a rare heart problem present at birth. The tricuspid valve is incorrectly formed. Ebstein’s anomaly is a rare birth defect. This means it's a congenital heart defect. It affects the tricuspid valve in your heart and can cause an enlarged heart, irregular heartbeat and heart failure. The severity of the defect varies widely. Ebstein anomaly is a. Ebstein Anomaly.
From www.childrenshospital.org
Ebstein's Anomaly Boston Children's Hospital Ebstein Anomaly This means it's a congenital heart defect. Ebstein’s anomaly is a rare birth defect. Ebstein anomaly is an uncommon congenital cardiac anomaly, characterized by a variable developmental anomaly of the tricuspid. The severity of the defect varies widely. Ebstein anomaly is a rare congenital heart disease characterized by apical. Ebstein’s anomaly is a malformed heart valve between the right upper. Ebstein Anomaly.
From www.youtube.com
Ebstein's Anomaly YouTube Ebstein Anomaly Ebstein’s anomaly is a malformed heart valve between the right upper and lower heart chambers that does not properly close to keep the blood flow moving in the right direction. Ebstein anomaly is an uncommon congenital cardiac anomaly, characterized by a variable developmental anomaly of the tricuspid. Ebstein anomaly is a rare heart problem present at birth. The severity of. Ebstein Anomaly.
From www.pinterest.com
Ebstein’s Anomaly Ventricular septal defect, Congenital heart Ebstein Anomaly The tricuspid valve is incorrectly formed. It affects the tricuspid valve in your heart and can cause an enlarged heart, irregular heartbeat and heart failure. This means it's a congenital heart defect. Ebstein anomaly is an uncommon congenital cardiac anomaly, characterized by a variable developmental anomaly of the tricuspid. Ebstein anomaly is a rare congenital heart disease characterized by apical.. Ebstein Anomaly.
From www.pinterest.de
Pin on Heart Ebstein Anomaly The severity of the defect varies widely. Ebstein’s anomaly is a malformed heart valve between the right upper and lower heart chambers that does not properly close to keep the blood flow moving in the right direction. Ebstein anomaly is a rare congenital cardiac defect that consists of variable apical displacement from the annulus and dysplasia of the septal and.. Ebstein Anomaly.
From www.micoope.com.gt
Cardiac Implantable Electronic Devices In Ebstein Anomaly, 58 OFF Ebstein Anomaly It affects the tricuspid valve in your heart and can cause an enlarged heart, irregular heartbeat and heart failure. Ebstein anomaly is a rare congenital cardiac defect that consists of variable apical displacement from the annulus and dysplasia of the septal and. The tricuspid valve is incorrectly formed. Ebstein anomaly is an uncommon congenital cardiac anomaly, characterized by a variable. Ebstein Anomaly.
From costamedic.com
Ebstein anomaly epidemiology, signs, symptoms, treatment Costamedic Ebstein Anomaly It affects the tricuspid valve in your heart and can cause an enlarged heart, irregular heartbeat and heart failure. Ebstein anomaly is a rare heart problem present at birth. The severity of the defect varies widely. Ebstein anomaly is a rare congenital cardiac defect that consists of variable apical displacement from the annulus and dysplasia of the septal and. This. Ebstein Anomaly.
From www.utmb.edu
Pediatric Cardiology Part 1 Ebstein Anomaly Ebstein anomaly is a rare heart problem present at birth. It affects the tricuspid valve in your heart and can cause an enlarged heart, irregular heartbeat and heart failure. Ebstein’s anomaly is a rare birth defect. Ebstein anomaly is an uncommon congenital cardiac anomaly, characterized by a variable developmental anomaly of the tricuspid. Ebstein anomaly is a rare congenital cardiac. Ebstein Anomaly.
From www.mayoclinic.org
Cone reconstruction for Ebstein anomaly Mayo Clinic Ebstein Anomaly The severity of the defect varies widely. Ebstein anomaly is a rare congenital heart disease characterized by apical. Ebstein’s anomaly is a malformed heart valve between the right upper and lower heart chambers that does not properly close to keep the blood flow moving in the right direction. The tricuspid valve is incorrectly formed. Ebstein anomaly is a rare heart. Ebstein Anomaly.
From www.ahajournals.org
Ebstein’s Anomaly Circulation Ebstein Anomaly Ebstein anomaly is a rare heart problem present at birth. Ebstein anomaly is a rare congenital cardiac defect that consists of variable apical displacement from the annulus and dysplasia of the septal and. The tricuspid valve is incorrectly formed. Ebstein anomaly is a rare congenital heart disease characterized by apical. Ebstein’s anomaly is a rare birth defect. Ebstein’s anomaly is. Ebstein Anomaly.
From obgynkey.com
Ebstein Anomaly, Tricuspid Valve Dysplasia, and Tricuspid Regurgitation Ebstein Anomaly Ebstein’s anomaly is a rare birth defect. This means it's a congenital heart defect. The severity of the defect varies widely. Ebstein anomaly is a rare congenital heart disease characterized by apical. It affects the tricuspid valve in your heart and can cause an enlarged heart, irregular heartbeat and heart failure. The tricuspid valve is incorrectly formed. Ebstein anomaly is. Ebstein Anomaly.
From healthjade.net
Ebstein's Anomaly Causes, Life Expectancy, Symptoms, Treatment Ebstein Anomaly Ebstein’s anomaly is a malformed heart valve between the right upper and lower heart chambers that does not properly close to keep the blood flow moving in the right direction. It affects the tricuspid valve in your heart and can cause an enlarged heart, irregular heartbeat and heart failure. The tricuspid valve is incorrectly formed. Ebstein’s anomaly is a rare. Ebstein Anomaly.
From www.chla.org
From Severe Ebstein Anomaly to a Normal Heart Children's Hospital Los Ebstein Anomaly Ebstein’s anomaly is a malformed heart valve between the right upper and lower heart chambers that does not properly close to keep the blood flow moving in the right direction. Ebstein anomaly is a rare heart problem present at birth. The tricuspid valve is incorrectly formed. It affects the tricuspid valve in your heart and can cause an enlarged heart,. Ebstein Anomaly.
From www.lecturio.com
Ebstein's Anomaly Concise Medical Knowledge Ebstein Anomaly Ebstein anomaly is a rare congenital cardiac defect that consists of variable apical displacement from the annulus and dysplasia of the septal and. Ebstein anomaly is a rare heart problem present at birth. The severity of the defect varies widely. This means it's a congenital heart defect. The tricuspid valve is incorrectly formed. Ebstein anomaly is a rare congenital heart. Ebstein Anomaly.
From obgynkey.com
Ebstein Anomaly, Tricuspid Valve Dysplasia, and Tricuspid Regurgitation Ebstein Anomaly It affects the tricuspid valve in your heart and can cause an enlarged heart, irregular heartbeat and heart failure. The severity of the defect varies widely. This means it's a congenital heart defect. Ebstein’s anomaly is a rare birth defect. Ebstein anomaly is a rare congenital cardiac defect that consists of variable apical displacement from the annulus and dysplasia of. Ebstein Anomaly.
From obgynkey.com
Ebstein Anomaly, Tricuspid Valve Dysplasia, and Tricuspid Regurgitation Ebstein Anomaly Ebstein anomaly is a rare congenital heart disease characterized by apical. Ebstein anomaly is a rare heart problem present at birth. The severity of the defect varies widely. Ebstein anomaly is an uncommon congenital cardiac anomaly, characterized by a variable developmental anomaly of the tricuspid. The tricuspid valve is incorrectly formed. This means it's a congenital heart defect. Ebstein anomaly. Ebstein Anomaly.
From www.leading-medicine-guide.com
EbsteinAnomalie Spezialist finden & Infos Ebstein Anomaly This means it's a congenital heart defect. Ebstein anomaly is a rare congenital cardiac defect that consists of variable apical displacement from the annulus and dysplasia of the septal and. Ebstein anomaly is a rare congenital heart disease characterized by apical. Ebstein anomaly is a rare heart problem present at birth. Ebstein’s anomaly is a malformed heart valve between the. Ebstein Anomaly.
From www.jacc.org
IS EBSTEIN ANOMALY JUST A RIGHT HEART DISEASE? Journal of the Ebstein Anomaly Ebstein’s anomaly is a rare birth defect. The tricuspid valve is incorrectly formed. The severity of the defect varies widely. Ebstein anomaly is a rare heart problem present at birth. Ebstein’s anomaly is a malformed heart valve between the right upper and lower heart chambers that does not properly close to keep the blood flow moving in the right direction.. Ebstein Anomaly.