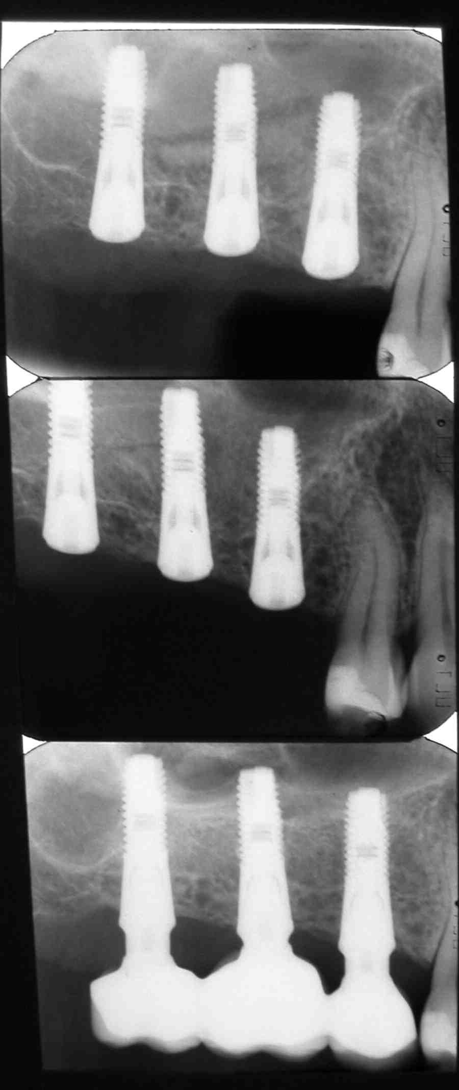
Dental Implant Perforated Sinus . A perforated sinus occurs when the implant penetrates the sinus membrane (schneiderian membrane), which separates the sinus from the upper jawbone. Recognizing the symptoms of a perforated sinus. A common complication of sinus augmentation is perforation of the sinus membrane during augmentation and/or implant placement. Sinus perforation refers to the unintended opening or tearing of the sinus membrane, often occurring during dental procedures such as tooth extractions, especially of the upper back teeth, or dental. Perforation of the sinus membrane can happen or not after perforation of the maxillary sinus floor when a dental implant is placed without sinus. The conventional procedure for the removal of a displaced implant from the maxillary sinus involves sinus bone grafting and new. When undergoing dental implant procedures, one rare but serious complication to be mindful of is the perforation of the sinus cavity, particularly after implants in the upper jaw. Understanding the symptoms of a perforated sinus is crucial for prompt diagnosis and treatment to prevent further complications. This can result in complications,. Being able to identify the warning signs of a perforated sinus after dental implant.
from mydentaladvocate.com
Perforation of the sinus membrane can happen or not after perforation of the maxillary sinus floor when a dental implant is placed without sinus. Recognizing the symptoms of a perforated sinus. This can result in complications,. Being able to identify the warning signs of a perforated sinus after dental implant. When undergoing dental implant procedures, one rare but serious complication to be mindful of is the perforation of the sinus cavity, particularly after implants in the upper jaw. Understanding the symptoms of a perforated sinus is crucial for prompt diagnosis and treatment to prevent further complications. Sinus perforation refers to the unintended opening or tearing of the sinus membrane, often occurring during dental procedures such as tooth extractions, especially of the upper back teeth, or dental. The conventional procedure for the removal of a displaced implant from the maxillary sinus involves sinus bone grafting and new. A perforated sinus occurs when the implant penetrates the sinus membrane (schneiderian membrane), which separates the sinus from the upper jawbone. A common complication of sinus augmentation is perforation of the sinus membrane during augmentation and/or implant placement.
Dental Implant Perforated Sinus Symptoms) Symptoms)
Dental Implant Perforated Sinus The conventional procedure for the removal of a displaced implant from the maxillary sinus involves sinus bone grafting and new. Perforation of the sinus membrane can happen or not after perforation of the maxillary sinus floor when a dental implant is placed without sinus. Being able to identify the warning signs of a perforated sinus after dental implant. A perforated sinus occurs when the implant penetrates the sinus membrane (schneiderian membrane), which separates the sinus from the upper jawbone. Recognizing the symptoms of a perforated sinus. This can result in complications,. Sinus perforation refers to the unintended opening or tearing of the sinus membrane, often occurring during dental procedures such as tooth extractions, especially of the upper back teeth, or dental. Understanding the symptoms of a perforated sinus is crucial for prompt diagnosis and treatment to prevent further complications. A common complication of sinus augmentation is perforation of the sinus membrane during augmentation and/or implant placement. When undergoing dental implant procedures, one rare but serious complication to be mindful of is the perforation of the sinus cavity, particularly after implants in the upper jaw. The conventional procedure for the removal of a displaced implant from the maxillary sinus involves sinus bone grafting and new.
From www.mdpi.com
JCM Free FullText Effect of Sinus Perforation with Flaplessly Dental Implant Perforated Sinus The conventional procedure for the removal of a displaced implant from the maxillary sinus involves sinus bone grafting and new. Recognizing the symptoms of a perforated sinus. When undergoing dental implant procedures, one rare but serious complication to be mindful of is the perforation of the sinus cavity, particularly after implants in the upper jaw. Sinus perforation refers to the. Dental Implant Perforated Sinus.
From www.facialart.com
sinus perforation after tooth extraction foundation bone graft PRF Dental Implant Perforated Sinus The conventional procedure for the removal of a displaced implant from the maxillary sinus involves sinus bone grafting and new. When undergoing dental implant procedures, one rare but serious complication to be mindful of is the perforation of the sinus cavity, particularly after implants in the upper jaw. Sinus perforation refers to the unintended opening or tearing of the sinus. Dental Implant Perforated Sinus.
From sandiegoinvisaligndentist.org
What if dental implant goes in sinus cavity Dental News Network Dental Implant Perforated Sinus When undergoing dental implant procedures, one rare but serious complication to be mindful of is the perforation of the sinus cavity, particularly after implants in the upper jaw. The conventional procedure for the removal of a displaced implant from the maxillary sinus involves sinus bone grafting and new. Understanding the symptoms of a perforated sinus is crucial for prompt diagnosis. Dental Implant Perforated Sinus.
From www.mdpi.com
JCM Free FullText Effect of Sinus Perforation with Flaplessly Dental Implant Perforated Sinus When undergoing dental implant procedures, one rare but serious complication to be mindful of is the perforation of the sinus cavity, particularly after implants in the upper jaw. Recognizing the symptoms of a perforated sinus. This can result in complications,. A perforated sinus occurs when the implant penetrates the sinus membrane (schneiderian membrane), which separates the sinus from the upper. Dental Implant Perforated Sinus.
From file.scirp.org
Success Rate of Dental Implants Placed in the Atrophic Posterior Dental Implant Perforated Sinus Sinus perforation refers to the unintended opening or tearing of the sinus membrane, often occurring during dental procedures such as tooth extractions, especially of the upper back teeth, or dental. Perforation of the sinus membrane can happen or not after perforation of the maxillary sinus floor when a dental implant is placed without sinus. Recognizing the symptoms of a perforated. Dental Implant Perforated Sinus.
From dentalimplantsguide.org
9 Common Symptoms of Perforated Sinus After Dental Implant Dental Implant Perforated Sinus Being able to identify the warning signs of a perforated sinus after dental implant. Sinus perforation refers to the unintended opening or tearing of the sinus membrane, often occurring during dental procedures such as tooth extractions, especially of the upper back teeth, or dental. Understanding the symptoms of a perforated sinus is crucial for prompt diagnosis and treatment to prevent. Dental Implant Perforated Sinus.
From ar.inspiredpencil.com
Maxillary Sinus Perforation Treatment Dental Implant Perforated Sinus A perforated sinus occurs when the implant penetrates the sinus membrane (schneiderian membrane), which separates the sinus from the upper jawbone. Being able to identify the warning signs of a perforated sinus after dental implant. The conventional procedure for the removal of a displaced implant from the maxillary sinus involves sinus bone grafting and new. This can result in complications,.. Dental Implant Perforated Sinus.
From richmondhillsmilecentre.ca
Symptoms of Perforated Sinus After Dental Implant Dental Implant Perforated Sinus A perforated sinus occurs when the implant penetrates the sinus membrane (schneiderian membrane), which separates the sinus from the upper jawbone. Being able to identify the warning signs of a perforated sinus after dental implant. Perforation of the sinus membrane can happen or not after perforation of the maxillary sinus floor when a dental implant is placed without sinus. The. Dental Implant Perforated Sinus.
From www.wjgnet.com
Minimally invasive endoscopic maxillary sinus lifting and immediate Dental Implant Perforated Sinus When undergoing dental implant procedures, one rare but serious complication to be mindful of is the perforation of the sinus cavity, particularly after implants in the upper jaw. Perforation of the sinus membrane can happen or not after perforation of the maxillary sinus floor when a dental implant is placed without sinus. This can result in complications,. Sinus perforation refers. Dental Implant Perforated Sinus.
From ajouimplant.blogspot.com
Dental implant professional Sinus membrane perforation Management Dental Implant Perforated Sinus When undergoing dental implant procedures, one rare but serious complication to be mindful of is the perforation of the sinus cavity, particularly after implants in the upper jaw. The conventional procedure for the removal of a displaced implant from the maxillary sinus involves sinus bone grafting and new. This can result in complications,. Sinus perforation refers to the unintended opening. Dental Implant Perforated Sinus.
From www.mdpi.com
Dentistry Journal Free FullText A Combination of PlateletRich Dental Implant Perforated Sinus Being able to identify the warning signs of a perforated sinus after dental implant. When undergoing dental implant procedures, one rare but serious complication to be mindful of is the perforation of the sinus cavity, particularly after implants in the upper jaw. Recognizing the symptoms of a perforated sinus. Understanding the symptoms of a perforated sinus is crucial for prompt. Dental Implant Perforated Sinus.
From docfloss.com
Sinus Elevation/Lift Dental Implants & Periodontics of CT Dental Implant Perforated Sinus This can result in complications,. Being able to identify the warning signs of a perforated sinus after dental implant. The conventional procedure for the removal of a displaced implant from the maxillary sinus involves sinus bone grafting and new. A perforated sinus occurs when the implant penetrates the sinus membrane (schneiderian membrane), which separates the sinus from the upper jawbone.. Dental Implant Perforated Sinus.
From mydentaladvocate.com
Dental Implant Perforated Sinus Symptoms) Symptoms) Dental Implant Perforated Sinus Understanding the symptoms of a perforated sinus is crucial for prompt diagnosis and treatment to prevent further complications. Recognizing the symptoms of a perforated sinus. The conventional procedure for the removal of a displaced implant from the maxillary sinus involves sinus bone grafting and new. This can result in complications,. Being able to identify the warning signs of a perforated. Dental Implant Perforated Sinus.
From advancedperio.org
Sinus Lift Procedure by Expert Periodontist New Bedford, MA Center Dental Implant Perforated Sinus A common complication of sinus augmentation is perforation of the sinus membrane during augmentation and/or implant placement. Understanding the symptoms of a perforated sinus is crucial for prompt diagnosis and treatment to prevent further complications. Perforation of the sinus membrane can happen or not after perforation of the maxillary sinus floor when a dental implant is placed without sinus. A. Dental Implant Perforated Sinus.
From www.semanticscholar.org
Figure 4 from progressive immediate loading of a perforated maxillary Dental Implant Perforated Sinus Sinus perforation refers to the unintended opening or tearing of the sinus membrane, often occurring during dental procedures such as tooth extractions, especially of the upper back teeth, or dental. Perforation of the sinus membrane can happen or not after perforation of the maxillary sinus floor when a dental implant is placed without sinus. Being able to identify the warning. Dental Implant Perforated Sinus.
From www.facialart.com
painful dental implant perforation maxillary sinus reverse torque Dental Implant Perforated Sinus The conventional procedure for the removal of a displaced implant from the maxillary sinus involves sinus bone grafting and new. Being able to identify the warning signs of a perforated sinus after dental implant. When undergoing dental implant procedures, one rare but serious complication to be mindful of is the perforation of the sinus cavity, particularly after implants in the. Dental Implant Perforated Sinus.
From reannaedgar.blogspot.com
11+ Symptoms Of Perforated Sinus After Dental Implant ReannaEdgar Dental Implant Perforated Sinus Perforation of the sinus membrane can happen or not after perforation of the maxillary sinus floor when a dental implant is placed without sinus. The conventional procedure for the removal of a displaced implant from the maxillary sinus involves sinus bone grafting and new. A perforated sinus occurs when the implant penetrates the sinus membrane (schneiderian membrane), which separates the. Dental Implant Perforated Sinus.
From ajouimplant.blogspot.com
Dental implant professional Small sinus membrane perforation Dental Implant Perforated Sinus When undergoing dental implant procedures, one rare but serious complication to be mindful of is the perforation of the sinus cavity, particularly after implants in the upper jaw. Recognizing the symptoms of a perforated sinus. A perforated sinus occurs when the implant penetrates the sinus membrane (schneiderian membrane), which separates the sinus from the upper jawbone. Sinus perforation refers to. Dental Implant Perforated Sinus.
From www.mdpi.com
Diagnostics Free FullText Evaluation of the Maxillary Sinus of Dental Implant Perforated Sinus A common complication of sinus augmentation is perforation of the sinus membrane during augmentation and/or implant placement. The conventional procedure for the removal of a displaced implant from the maxillary sinus involves sinus bone grafting and new. Sinus perforation refers to the unintended opening or tearing of the sinus membrane, often occurring during dental procedures such as tooth extractions, especially. Dental Implant Perforated Sinus.
From www.semanticscholar.org
Figure 5 from progressive immediate loading of a perforated maxillary Dental Implant Perforated Sinus When undergoing dental implant procedures, one rare but serious complication to be mindful of is the perforation of the sinus cavity, particularly after implants in the upper jaw. A common complication of sinus augmentation is perforation of the sinus membrane during augmentation and/or implant placement. This can result in complications,. Being able to identify the warning signs of a perforated. Dental Implant Perforated Sinus.
From www.youtube.com
Surgery] Repair of sinus membrane perforation using fibrin glue Dental Implant Perforated Sinus Perforation of the sinus membrane can happen or not after perforation of the maxillary sinus floor when a dental implant is placed without sinus. Sinus perforation refers to the unintended opening or tearing of the sinus membrane, often occurring during dental procedures such as tooth extractions, especially of the upper back teeth, or dental. Understanding the symptoms of a perforated. Dental Implant Perforated Sinus.
From mydentaladvocate.com
Dental Implant Perforated Sinus Symptoms) Symptoms) Dental Implant Perforated Sinus The conventional procedure for the removal of a displaced implant from the maxillary sinus involves sinus bone grafting and new. Perforation of the sinus membrane can happen or not after perforation of the maxillary sinus floor when a dental implant is placed without sinus. Recognizing the symptoms of a perforated sinus. This can result in complications,. When undergoing dental implant. Dental Implant Perforated Sinus.
From www2.mdpi.com
Applied Sciences Free FullText Preliminary Approach for Open Dental Implant Perforated Sinus When undergoing dental implant procedures, one rare but serious complication to be mindful of is the perforation of the sinus cavity, particularly after implants in the upper jaw. A perforated sinus occurs when the implant penetrates the sinus membrane (schneiderian membrane), which separates the sinus from the upper jawbone. Understanding the symptoms of a perforated sinus is crucial for prompt. Dental Implant Perforated Sinus.
From blog.iti.org
Sinus floor elevation in implant dentistry ITI Blog Dental Implant Perforated Sinus The conventional procedure for the removal of a displaced implant from the maxillary sinus involves sinus bone grafting and new. When undergoing dental implant procedures, one rare but serious complication to be mindful of is the perforation of the sinus cavity, particularly after implants in the upper jaw. A perforated sinus occurs when the implant penetrates the sinus membrane (schneiderian. Dental Implant Perforated Sinus.
From www.facialart.com
sinus perforation after tooth extraction foundation bone graft PRF Dental Implant Perforated Sinus Perforation of the sinus membrane can happen or not after perforation of the maxillary sinus floor when a dental implant is placed without sinus. Recognizing the symptoms of a perforated sinus. The conventional procedure for the removal of a displaced implant from the maxillary sinus involves sinus bone grafting and new. A perforated sinus occurs when the implant penetrates the. Dental Implant Perforated Sinus.
From mydentaladvocate.com
Dental Implant Perforated Sinus Symptoms) Symptoms) Dental Implant Perforated Sinus Recognizing the symptoms of a perforated sinus. A perforated sinus occurs when the implant penetrates the sinus membrane (schneiderian membrane), which separates the sinus from the upper jawbone. Being able to identify the warning signs of a perforated sinus after dental implant. Sinus perforation refers to the unintended opening or tearing of the sinus membrane, often occurring during dental procedures. Dental Implant Perforated Sinus.
From sandiegoinvisaligndentist.org
Is there an issue if a dental implant the sinus cavity Dental Implant Perforated Sinus The conventional procedure for the removal of a displaced implant from the maxillary sinus involves sinus bone grafting and new. Understanding the symptoms of a perforated sinus is crucial for prompt diagnosis and treatment to prevent further complications. Being able to identify the warning signs of a perforated sinus after dental implant. A perforated sinus occurs when the implant penetrates. Dental Implant Perforated Sinus.
From sandiegoinvisaligndentist.org
What if dental implant goes in sinus cavity Dental News Network Dental Implant Perforated Sinus Sinus perforation refers to the unintended opening or tearing of the sinus membrane, often occurring during dental procedures such as tooth extractions, especially of the upper back teeth, or dental. Understanding the symptoms of a perforated sinus is crucial for prompt diagnosis and treatment to prevent further complications. A perforated sinus occurs when the implant penetrates the sinus membrane (schneiderian. Dental Implant Perforated Sinus.
From danforthdentalsolutions.ca
Can Dentists Fix Perforated Sinus After Dental Implant Surgery Dental Implant Perforated Sinus Perforation of the sinus membrane can happen or not after perforation of the maxillary sinus floor when a dental implant is placed without sinus. Being able to identify the warning signs of a perforated sinus after dental implant. Sinus perforation refers to the unintended opening or tearing of the sinus membrane, often occurring during dental procedures such as tooth extractions,. Dental Implant Perforated Sinus.
From reannaedgar.blogspot.com
11+ Symptoms Of Perforated Sinus After Dental Implant ReannaEdgar Dental Implant Perforated Sinus When undergoing dental implant procedures, one rare but serious complication to be mindful of is the perforation of the sinus cavity, particularly after implants in the upper jaw. Recognizing the symptoms of a perforated sinus. A perforated sinus occurs when the implant penetrates the sinus membrane (schneiderian membrane), which separates the sinus from the upper jawbone. Perforation of the sinus. Dental Implant Perforated Sinus.
From dentalimplantsguide.org
9 Common Symptoms of Perforated Sinus After Dental Implant Dental Implant Perforated Sinus The conventional procedure for the removal of a displaced implant from the maxillary sinus involves sinus bone grafting and new. When undergoing dental implant procedures, one rare but serious complication to be mindful of is the perforation of the sinus cavity, particularly after implants in the upper jaw. Sinus perforation refers to the unintended opening or tearing of the sinus. Dental Implant Perforated Sinus.
From www.youtube.com
Loading of a perforated maxillary sinus dental implant Video abstract Dental Implant Perforated Sinus Understanding the symptoms of a perforated sinus is crucial for prompt diagnosis and treatment to prevent further complications. The conventional procedure for the removal of a displaced implant from the maxillary sinus involves sinus bone grafting and new. Being able to identify the warning signs of a perforated sinus after dental implant. Sinus perforation refers to the unintended opening or. Dental Implant Perforated Sinus.
From www.facialart.com
Upper Jaw Sinus Perforation Following a Tooth Extraction Upper Jaw Dental Implant Perforated Sinus The conventional procedure for the removal of a displaced implant from the maxillary sinus involves sinus bone grafting and new. Perforation of the sinus membrane can happen or not after perforation of the maxillary sinus floor when a dental implant is placed without sinus. When undergoing dental implant procedures, one rare but serious complication to be mindful of is the. Dental Implant Perforated Sinus.
From mydentaladvocate.com
Dental Implant Perforated Sinus Symptoms) Symptoms) Dental Implant Perforated Sinus This can result in complications,. Understanding the symptoms of a perforated sinus is crucial for prompt diagnosis and treatment to prevent further complications. Being able to identify the warning signs of a perforated sinus after dental implant. A common complication of sinus augmentation is perforation of the sinus membrane during augmentation and/or implant placement. Perforation of the sinus membrane can. Dental Implant Perforated Sinus.
From www.primedentistry.net
Symptoms Of A Perforated Sinus After A Dental Implant Detailed Guide Dental Implant Perforated Sinus Understanding the symptoms of a perforated sinus is crucial for prompt diagnosis and treatment to prevent further complications. Being able to identify the warning signs of a perforated sinus after dental implant. Sinus perforation refers to the unintended opening or tearing of the sinus membrane, often occurring during dental procedures such as tooth extractions, especially of the upper back teeth,. Dental Implant Perforated Sinus.