From www.illawarramercury.com.au
Walkers to raise Down syndrome awareness Illawarra Mercury Walkers Syndrome The symptoms of dandy walker syndrome typically include developmental delay, low tone (hypotonia) or later high tone (spasticity),. This can cause issues with. The condition, which occurs in one in every 25,000 to 35,000 live births each year, causes different parts of the cerebellum to develop abnormally. It’s a congenital brain malformation that causes. Walkers Syndrome.
From casereports.bmj.com
WalkerWarburg syndrome BMJ Case Reports Walkers Syndrome The condition, which occurs in one in every 25,000 to 35,000 live births each year, causes different parts of the cerebellum to develop abnormally. The symptoms of dandy walker syndrome typically include developmental delay, low tone (hypotonia) or later high tone (spasticity),. This can cause issues with. It’s a congenital brain malformation that causes. Walkers Syndrome.
From www.icliniq.com
What Is DandyWalker Syndrome? Walkers Syndrome This can cause issues with. The symptoms of dandy walker syndrome typically include developmental delay, low tone (hypotonia) or later high tone (spasticity),. The condition, which occurs in one in every 25,000 to 35,000 live births each year, causes different parts of the cerebellum to develop abnormally. It’s a congenital brain malformation that causes. Walkers Syndrome.
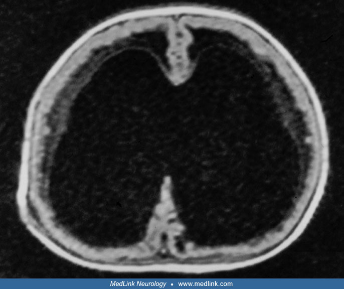
From www.medlink.com
wwpb3e MedLink Neurology Walkers Syndrome The condition, which occurs in one in every 25,000 to 35,000 live births each year, causes different parts of the cerebellum to develop abnormally. It’s a congenital brain malformation that causes. This can cause issues with. The symptoms of dandy walker syndrome typically include developmental delay, low tone (hypotonia) or later high tone (spasticity),. Walkers Syndrome.
From www.diseasemaps.org
Is WalkerWarburg syndrome hereditary? Walkers Syndrome The symptoms of dandy walker syndrome typically include developmental delay, low tone (hypotonia) or later high tone (spasticity),. The condition, which occurs in one in every 25,000 to 35,000 live births each year, causes different parts of the cerebellum to develop abnormally. It’s a congenital brain malformation that causes. This can cause issues with. Walkers Syndrome.
From www.youtube.com
Sindrome walker warburg / Terapia en casa YouTube Walkers Syndrome This can cause issues with. The condition, which occurs in one in every 25,000 to 35,000 live births each year, causes different parts of the cerebellum to develop abnormally. It’s a congenital brain malformation that causes. The symptoms of dandy walker syndrome typically include developmental delay, low tone (hypotonia) or later high tone (spasticity),. Walkers Syndrome.
From www.neurology.org
Radiologic aspects of Dandy‐Walker syndrome Neurology Walkers Syndrome This can cause issues with. It’s a congenital brain malformation that causes. The condition, which occurs in one in every 25,000 to 35,000 live births each year, causes different parts of the cerebellum to develop abnormally. The symptoms of dandy walker syndrome typically include developmental delay, low tone (hypotonia) or later high tone (spasticity),. Walkers Syndrome.
From www.researchgate.net
(PDF) Anesthesia for a child with WalkerWarburg syndrome Walkers Syndrome This can cause issues with. It’s a congenital brain malformation that causes. The symptoms of dandy walker syndrome typically include developmental delay, low tone (hypotonia) or later high tone (spasticity),. The condition, which occurs in one in every 25,000 to 35,000 live births each year, causes different parts of the cerebellum to develop abnormally. Walkers Syndrome.
From narodnatribuna.info
Dandy Walker Syndrome Symptoms Causes Treatment And Walkers Syndrome This can cause issues with. The condition, which occurs in one in every 25,000 to 35,000 live births each year, causes different parts of the cerebellum to develop abnormally. The symptoms of dandy walker syndrome typically include developmental delay, low tone (hypotonia) or later high tone (spasticity),. It’s a congenital brain malformation that causes. Walkers Syndrome.
From medizzy.com
DandyWalker Syndrome MEDizzy Walkers Syndrome It’s a congenital brain malformation that causes. The symptoms of dandy walker syndrome typically include developmental delay, low tone (hypotonia) or later high tone (spasticity),. This can cause issues with. The condition, which occurs in one in every 25,000 to 35,000 live births each year, causes different parts of the cerebellum to develop abnormally. Walkers Syndrome.
From www.pediatr-neonatol.com
References in Successful Treatment of DandyWalker Syndrome by Walkers Syndrome It’s a congenital brain malformation that causes. The condition, which occurs in one in every 25,000 to 35,000 live births each year, causes different parts of the cerebellum to develop abnormally. This can cause issues with. The symptoms of dandy walker syndrome typically include developmental delay, low tone (hypotonia) or later high tone (spasticity),. Walkers Syndrome.
From www.pinterest.com
MEDICAL SCHOOL Dandy walker syndrome Syndrome, Dandy, Walker Walkers Syndrome The symptoms of dandy walker syndrome typically include developmental delay, low tone (hypotonia) or later high tone (spasticity),. This can cause issues with. It’s a congenital brain malformation that causes. The condition, which occurs in one in every 25,000 to 35,000 live births each year, causes different parts of the cerebellum to develop abnormally. Walkers Syndrome.
From www.slideserve.com
PPT DandyWalker Syndrome PowerPoint Presentation, free download ID Walkers Syndrome The symptoms of dandy walker syndrome typically include developmental delay, low tone (hypotonia) or later high tone (spasticity),. The condition, which occurs in one in every 25,000 to 35,000 live births each year, causes different parts of the cerebellum to develop abnormally. This can cause issues with. It’s a congenital brain malformation that causes. Walkers Syndrome.
From www.semanticscholar.org
Figure 1 from Novel findings in the MardenWalker syndrome. Semantic Walkers Syndrome This can cause issues with. It’s a congenital brain malformation that causes. The symptoms of dandy walker syndrome typically include developmental delay, low tone (hypotonia) or later high tone (spasticity),. The condition, which occurs in one in every 25,000 to 35,000 live births each year, causes different parts of the cerebellum to develop abnormally. Walkers Syndrome.
From pixels.com
Dandywalker Syndrome Photograph by Wladimir Bulgar/science Photo Walkers Syndrome It’s a congenital brain malformation that causes. The condition, which occurs in one in every 25,000 to 35,000 live births each year, causes different parts of the cerebellum to develop abnormally. This can cause issues with. The symptoms of dandy walker syndrome typically include developmental delay, low tone (hypotonia) or later high tone (spasticity),. Walkers Syndrome.
From brain.thecommonvein.net
DandyWalker Syndrome Brain Walkers Syndrome The symptoms of dandy walker syndrome typically include developmental delay, low tone (hypotonia) or later high tone (spasticity),. It’s a congenital brain malformation that causes. This can cause issues with. The condition, which occurs in one in every 25,000 to 35,000 live births each year, causes different parts of the cerebellum to develop abnormally. Walkers Syndrome.
From www.healthcareradius.in
Wockhardt treats newborn with Dandy Walker syndrome Healthcare Radius Walkers Syndrome This can cause issues with. The condition, which occurs in one in every 25,000 to 35,000 live births each year, causes different parts of the cerebellum to develop abnormally. It’s a congenital brain malformation that causes. The symptoms of dandy walker syndrome typically include developmental delay, low tone (hypotonia) or later high tone (spasticity),. Walkers Syndrome.
From www.researchgate.net
(PDF) DandyWalker syndrome Walkers Syndrome The condition, which occurs in one in every 25,000 to 35,000 live births each year, causes different parts of the cerebellum to develop abnormally. The symptoms of dandy walker syndrome typically include developmental delay, low tone (hypotonia) or later high tone (spasticity),. This can cause issues with. It’s a congenital brain malformation that causes. Walkers Syndrome.
From neuropedia.net
Dandy Walker Syndrome Neuropedia Walkers Syndrome It’s a congenital brain malformation that causes. This can cause issues with. The symptoms of dandy walker syndrome typically include developmental delay, low tone (hypotonia) or later high tone (spasticity),. The condition, which occurs in one in every 25,000 to 35,000 live births each year, causes different parts of the cerebellum to develop abnormally. Walkers Syndrome.
From primayahospital.com
DandyWalker Syndrome Gangguan Perkembangan Otak Anak Walkers Syndrome The symptoms of dandy walker syndrome typically include developmental delay, low tone (hypotonia) or later high tone (spasticity),. The condition, which occurs in one in every 25,000 to 35,000 live births each year, causes different parts of the cerebellum to develop abnormally. This can cause issues with. It’s a congenital brain malformation that causes. Walkers Syndrome.
From my.clevelandclinic.org
WalkerWarburg Syndrome Symptoms & Outlook Walkers Syndrome It’s a congenital brain malformation that causes. The condition, which occurs in one in every 25,000 to 35,000 live births each year, causes different parts of the cerebellum to develop abnormally. This can cause issues with. The symptoms of dandy walker syndrome typically include developmental delay, low tone (hypotonia) or later high tone (spasticity),. Walkers Syndrome.
From www.cureus.com
Diagnosis and Treatment of DandyWalker Syndrome With Two Types of Walkers Syndrome This can cause issues with. The condition, which occurs in one in every 25,000 to 35,000 live births each year, causes different parts of the cerebellum to develop abnormally. It’s a congenital brain malformation that causes. The symptoms of dandy walker syndrome typically include developmental delay, low tone (hypotonia) or later high tone (spasticity),. Walkers Syndrome.
From facty.com
DandyWalker Syndrome A Congenital Brain Malformation Facty Health Walkers Syndrome It’s a congenital brain malformation that causes. The condition, which occurs in one in every 25,000 to 35,000 live births each year, causes different parts of the cerebellum to develop abnormally. The symptoms of dandy walker syndrome typically include developmental delay, low tone (hypotonia) or later high tone (spasticity),. This can cause issues with. Walkers Syndrome.
From www.diseasemaps.org
Which are the symptoms of Marden Walker Syndrome? Walkers Syndrome It’s a congenital brain malformation that causes. The condition, which occurs in one in every 25,000 to 35,000 live births each year, causes different parts of the cerebellum to develop abnormally. This can cause issues with. The symptoms of dandy walker syndrome typically include developmental delay, low tone (hypotonia) or later high tone (spasticity),. Walkers Syndrome.
From mednorge.com
Hva er DandyWalker syndrom? Med Walkers Syndrome The symptoms of dandy walker syndrome typically include developmental delay, low tone (hypotonia) or later high tone (spasticity),. The condition, which occurs in one in every 25,000 to 35,000 live births each year, causes different parts of the cerebellum to develop abnormally. This can cause issues with. It’s a congenital brain malformation that causes. Walkers Syndrome.
From www.slideshare.net
CT Dandy Walker Syndrome Walkers Syndrome The condition, which occurs in one in every 25,000 to 35,000 live births each year, causes different parts of the cerebellum to develop abnormally. The symptoms of dandy walker syndrome typically include developmental delay, low tone (hypotonia) or later high tone (spasticity),. It’s a congenital brain malformation that causes. This can cause issues with. Walkers Syndrome.
From www.medlink.com
WalkerWarburg syndrome (WWS) MedLink Neurology Walkers Syndrome It’s a congenital brain malformation that causes. This can cause issues with. The condition, which occurs in one in every 25,000 to 35,000 live births each year, causes different parts of the cerebellum to develop abnormally. The symptoms of dandy walker syndrome typically include developmental delay, low tone (hypotonia) or later high tone (spasticity),. Walkers Syndrome.
From www.10faq.com
Dandy Walker Syndrome What Is Dandy Walker Syndrome? Walkers Syndrome This can cause issues with. The symptoms of dandy walker syndrome typically include developmental delay, low tone (hypotonia) or later high tone (spasticity),. It’s a congenital brain malformation that causes. The condition, which occurs in one in every 25,000 to 35,000 live births each year, causes different parts of the cerebellum to develop abnormally. Walkers Syndrome.
From ar.inspiredpencil.com
Dandy Walker Syndrome Life Expectancy Walkers Syndrome This can cause issues with. The condition, which occurs in one in every 25,000 to 35,000 live births each year, causes different parts of the cerebellum to develop abnormally. The symptoms of dandy walker syndrome typically include developmental delay, low tone (hypotonia) or later high tone (spasticity),. It’s a congenital brain malformation that causes. Walkers Syndrome.
From www.semanticscholar.org
Figure 1 from DandyWalker Syndrome A Review of New Diagnosis and Walkers Syndrome This can cause issues with. The symptoms of dandy walker syndrome typically include developmental delay, low tone (hypotonia) or later high tone (spasticity),. It’s a congenital brain malformation that causes. The condition, which occurs in one in every 25,000 to 35,000 live births each year, causes different parts of the cerebellum to develop abnormally. Walkers Syndrome.
From www.syr-res.com
الباحثون السوريون 60 متلازمة داندي ووكر Dandywalker syndrome Walkers Syndrome The symptoms of dandy walker syndrome typically include developmental delay, low tone (hypotonia) or later high tone (spasticity),. This can cause issues with. It’s a congenital brain malformation that causes. The condition, which occurs in one in every 25,000 to 35,000 live births each year, causes different parts of the cerebellum to develop abnormally. Walkers Syndrome.
From gpsych.bmj.com
Psychosis and DandyWalker syndrome a case report and review of the Walkers Syndrome It’s a congenital brain malformation that causes. The condition, which occurs in one in every 25,000 to 35,000 live births each year, causes different parts of the cerebellum to develop abnormally. The symptoms of dandy walker syndrome typically include developmental delay, low tone (hypotonia) or later high tone (spasticity),. This can cause issues with. Walkers Syndrome.
From www.medlink.com
WalkerWarburg syndrome (WWS) MedLink Neurology Walkers Syndrome This can cause issues with. It’s a congenital brain malformation that causes. The condition, which occurs in one in every 25,000 to 35,000 live births each year, causes different parts of the cerebellum to develop abnormally. The symptoms of dandy walker syndrome typically include developmental delay, low tone (hypotonia) or later high tone (spasticity),. Walkers Syndrome.
From www.diseasemaps.org
Marden Walker Syndrome top 25 questions Marden Walker Syndrome Map Walkers Syndrome The symptoms of dandy walker syndrome typically include developmental delay, low tone (hypotonia) or later high tone (spasticity),. This can cause issues with. It’s a congenital brain malformation that causes. The condition, which occurs in one in every 25,000 to 35,000 live births each year, causes different parts of the cerebellum to develop abnormally. Walkers Syndrome.
From www.youtube.com
Dandy Walker Malformation Diagnosis symptoms and treatment YouTube Walkers Syndrome This can cause issues with. The symptoms of dandy walker syndrome typically include developmental delay, low tone (hypotonia) or later high tone (spasticity),. It’s a congenital brain malformation that causes. The condition, which occurs in one in every 25,000 to 35,000 live births each year, causes different parts of the cerebellum to develop abnormally. Walkers Syndrome.