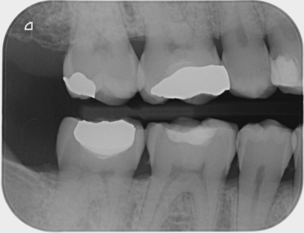
Do Bitewing X Rays Show Wisdom Teeth . Acquire more information about jaw issues and missing or extra teeth; Looks like you need a bite wing as opposed to pieces of a pano film, because the distal of #31 looks highly suspicious of having a cavity because of the position of the wisdom tooth #32 and. The patient bites down on a little tab or wing that holds the. However, they are not taken for that. They are the best tool to use for detecting cavities that are in between. Help identify abscesses, cysts, and tumors;. Bitewings can also show areas of bone loss around teeth — a sign of periodontal disease;
from metzgerdentistry.com
Looks like you need a bite wing as opposed to pieces of a pano film, because the distal of #31 looks highly suspicious of having a cavity because of the position of the wisdom tooth #32 and. The patient bites down on a little tab or wing that holds the. However, they are not taken for that. Help identify abscesses, cysts, and tumors;. Acquire more information about jaw issues and missing or extra teeth; They are the best tool to use for detecting cavities that are in between. Bitewings can also show areas of bone loss around teeth — a sign of periodontal disease;
Digital XRays Metzger Dentistry
Do Bitewing X Rays Show Wisdom Teeth Bitewings can also show areas of bone loss around teeth — a sign of periodontal disease; Help identify abscesses, cysts, and tumors;. Acquire more information about jaw issues and missing or extra teeth; The patient bites down on a little tab or wing that holds the. Bitewings can also show areas of bone loss around teeth — a sign of periodontal disease; However, they are not taken for that. They are the best tool to use for detecting cavities that are in between. Looks like you need a bite wing as opposed to pieces of a pano film, because the distal of #31 looks highly suspicious of having a cavity because of the position of the wisdom tooth #32 and.
From www.slideshare.net
radiologybitewingtechnique Do Bitewing X Rays Show Wisdom Teeth Bitewings can also show areas of bone loss around teeth — a sign of periodontal disease; Looks like you need a bite wing as opposed to pieces of a pano film, because the distal of #31 looks highly suspicious of having a cavity because of the position of the wisdom tooth #32 and. Acquire more information about jaw issues and. Do Bitewing X Rays Show Wisdom Teeth.
From www.youtube.com
Bitewing Xray Intraoral Dental Radiograph YouTube Do Bitewing X Rays Show Wisdom Teeth Bitewings can also show areas of bone loss around teeth — a sign of periodontal disease; Acquire more information about jaw issues and missing or extra teeth; However, they are not taken for that. The patient bites down on a little tab or wing that holds the. Help identify abscesses, cysts, and tumors;. They are the best tool to use. Do Bitewing X Rays Show Wisdom Teeth.
From ar.inspiredpencil.com
Taking Bitewing Dental X Rays Do Bitewing X Rays Show Wisdom Teeth However, they are not taken for that. Help identify abscesses, cysts, and tumors;. Bitewings can also show areas of bone loss around teeth — a sign of periodontal disease; The patient bites down on a little tab or wing that holds the. Acquire more information about jaw issues and missing or extra teeth; Looks like you need a bite wing. Do Bitewing X Rays Show Wisdom Teeth.
From www.slideshare.net
radiologybitewingtechnique Do Bitewing X Rays Show Wisdom Teeth The patient bites down on a little tab or wing that holds the. However, they are not taken for that. Help identify abscesses, cysts, and tumors;. They are the best tool to use for detecting cavities that are in between. Bitewings can also show areas of bone loss around teeth — a sign of periodontal disease; Acquire more information about. Do Bitewing X Rays Show Wisdom Teeth.
From www.alamy.com
Bitewing xrays show the crowns of the posterior teeth and the height of the alveolar bone and Do Bitewing X Rays Show Wisdom Teeth The patient bites down on a little tab or wing that holds the. Acquire more information about jaw issues and missing or extra teeth; Help identify abscesses, cysts, and tumors;. Looks like you need a bite wing as opposed to pieces of a pano film, because the distal of #31 looks highly suspicious of having a cavity because of the. Do Bitewing X Rays Show Wisdom Teeth.
From dent.umich.edu
Dental xrays University of Michigan School of Dentistry Do Bitewing X Rays Show Wisdom Teeth Looks like you need a bite wing as opposed to pieces of a pano film, because the distal of #31 looks highly suspicious of having a cavity because of the position of the wisdom tooth #32 and. However, they are not taken for that. Bitewings can also show areas of bone loss around teeth — a sign of periodontal disease;. Do Bitewing X Rays Show Wisdom Teeth.
From thetoothbank.org
FMX/ Bitewing Tips 3/11/2021 The Tooth Bank Do Bitewing X Rays Show Wisdom Teeth Bitewings can also show areas of bone loss around teeth — a sign of periodontal disease; Help identify abscesses, cysts, and tumors;. However, they are not taken for that. Acquire more information about jaw issues and missing or extra teeth; Looks like you need a bite wing as opposed to pieces of a pano film, because the distal of #31. Do Bitewing X Rays Show Wisdom Teeth.
From downtownmontrealdentistry.com
Dental XRays, Do I Really Need Them? Clinique DMD Do Bitewing X Rays Show Wisdom Teeth The patient bites down on a little tab or wing that holds the. Bitewings can also show areas of bone loss around teeth — a sign of periodontal disease; Acquire more information about jaw issues and missing or extra teeth; Help identify abscesses, cysts, and tumors;. Looks like you need a bite wing as opposed to pieces of a pano. Do Bitewing X Rays Show Wisdom Teeth.
From www.reddit.com
Can any dentist comment on my OPG & Bitewing Xrays Due to have bottom wisdom teeth removed in Do Bitewing X Rays Show Wisdom Teeth The patient bites down on a little tab or wing that holds the. Bitewings can also show areas of bone loss around teeth — a sign of periodontal disease; Help identify abscesses, cysts, and tumors;. Acquire more information about jaw issues and missing or extra teeth; Looks like you need a bite wing as opposed to pieces of a pano. Do Bitewing X Rays Show Wisdom Teeth.
From www.facialart.com
How Dental Infections and Oral Pathology can be Missed on Bitewing Xrays! How Dental Do Bitewing X Rays Show Wisdom Teeth Help identify abscesses, cysts, and tumors;. Looks like you need a bite wing as opposed to pieces of a pano film, because the distal of #31 looks highly suspicious of having a cavity because of the position of the wisdom tooth #32 and. However, they are not taken for that. They are the best tool to use for detecting cavities. Do Bitewing X Rays Show Wisdom Teeth.
From www.twinkledental.com.sg
Decay on bitewing Twinkle Family Dentalcare Do Bitewing X Rays Show Wisdom Teeth They are the best tool to use for detecting cavities that are in between. Bitewings can also show areas of bone loss around teeth — a sign of periodontal disease; However, they are not taken for that. Looks like you need a bite wing as opposed to pieces of a pano film, because the distal of #31 looks highly suspicious. Do Bitewing X Rays Show Wisdom Teeth.
From www.palmsdentist.co.nz
Bitewing xray with cavities 2 Palms Dentist, Shirley Christchurch Dentists Do Bitewing X Rays Show Wisdom Teeth The patient bites down on a little tab or wing that holds the. Acquire more information about jaw issues and missing or extra teeth; They are the best tool to use for detecting cavities that are in between. However, they are not taken for that. Help identify abscesses, cysts, and tumors;. Bitewings can also show areas of bone loss around. Do Bitewing X Rays Show Wisdom Teeth.
From www.facialart.com
dental xrays periapical panorex bitewing cone beam CT scan CBCT kazemi oral surgery dental x Do Bitewing X Rays Show Wisdom Teeth They are the best tool to use for detecting cavities that are in between. However, they are not taken for that. The patient bites down on a little tab or wing that holds the. Bitewings can also show areas of bone loss around teeth — a sign of periodontal disease; Acquire more information about jaw issues and missing or extra. Do Bitewing X Rays Show Wisdom Teeth.
From www.youtube.com
Premolar bitewing positioning tips for dental xrays YouTube Do Bitewing X Rays Show Wisdom Teeth Help identify abscesses, cysts, and tumors;. Looks like you need a bite wing as opposed to pieces of a pano film, because the distal of #31 looks highly suspicious of having a cavity because of the position of the wisdom tooth #32 and. The patient bites down on a little tab or wing that holds the. However, they are not. Do Bitewing X Rays Show Wisdom Teeth.
From www.alamy.com
Wisdom teeth x ray hires stock photography and images Alamy Do Bitewing X Rays Show Wisdom Teeth However, they are not taken for that. Acquire more information about jaw issues and missing or extra teeth; They are the best tool to use for detecting cavities that are in between. Bitewings can also show areas of bone loss around teeth — a sign of periodontal disease; The patient bites down on a little tab or wing that holds. Do Bitewing X Rays Show Wisdom Teeth.
From dentistry.com
Bitewing Xrays Do Bitewing X Rays Show Wisdom Teeth Acquire more information about jaw issues and missing or extra teeth; Help identify abscesses, cysts, and tumors;. However, they are not taken for that. Bitewings can also show areas of bone loss around teeth — a sign of periodontal disease; Looks like you need a bite wing as opposed to pieces of a pano film, because the distal of #31. Do Bitewing X Rays Show Wisdom Teeth.
From www.pinterest.com
Bitewing xrays The Illustrated Dentist Dental hygenist, Patient education, Dentis Do Bitewing X Rays Show Wisdom Teeth However, they are not taken for that. Looks like you need a bite wing as opposed to pieces of a pano film, because the distal of #31 looks highly suspicious of having a cavity because of the position of the wisdom tooth #32 and. They are the best tool to use for detecting cavities that are in between. Bitewings can. Do Bitewing X Rays Show Wisdom Teeth.
From www.facialart.com
How Dental Infections and Oral Pathology can be Missed on Bitewing Xrays! How Dental Do Bitewing X Rays Show Wisdom Teeth The patient bites down on a little tab or wing that holds the. Looks like you need a bite wing as opposed to pieces of a pano film, because the distal of #31 looks highly suspicious of having a cavity because of the position of the wisdom tooth #32 and. Help identify abscesses, cysts, and tumors;. However, they are not. Do Bitewing X Rays Show Wisdom Teeth.
From dentagama.com
Bitewing dental xrays News Dentagama Do Bitewing X Rays Show Wisdom Teeth Help identify abscesses, cysts, and tumors;. They are the best tool to use for detecting cavities that are in between. The patient bites down on a little tab or wing that holds the. Acquire more information about jaw issues and missing or extra teeth; Looks like you need a bite wing as opposed to pieces of a pano film, because. Do Bitewing X Rays Show Wisdom Teeth.
From www.barkerdentalcare.co.uk
Importance of Dental Xrays Barker Dental Care Do Bitewing X Rays Show Wisdom Teeth Help identify abscesses, cysts, and tumors;. However, they are not taken for that. Looks like you need a bite wing as opposed to pieces of a pano film, because the distal of #31 looks highly suspicious of having a cavity because of the position of the wisdom tooth #32 and. Acquire more information about jaw issues and missing or extra. Do Bitewing X Rays Show Wisdom Teeth.
From metzgerdentistry.com
Digital XRays Metzger Dentistry Do Bitewing X Rays Show Wisdom Teeth Help identify abscesses, cysts, and tumors;. The patient bites down on a little tab or wing that holds the. Acquire more information about jaw issues and missing or extra teeth; However, they are not taken for that. Bitewings can also show areas of bone loss around teeth — a sign of periodontal disease; Looks like you need a bite wing. Do Bitewing X Rays Show Wisdom Teeth.
From singletonhappytooth.com.au
Types of dental xrays Bitewing The Happy Tooth Singleton Do Bitewing X Rays Show Wisdom Teeth Looks like you need a bite wing as opposed to pieces of a pano film, because the distal of #31 looks highly suspicious of having a cavity because of the position of the wisdom tooth #32 and. However, they are not taken for that. Help identify abscesses, cysts, and tumors;. Acquire more information about jaw issues and missing or extra. Do Bitewing X Rays Show Wisdom Teeth.
From www.slideshare.net
radiologybitewingtechnique Do Bitewing X Rays Show Wisdom Teeth They are the best tool to use for detecting cavities that are in between. The patient bites down on a little tab or wing that holds the. Looks like you need a bite wing as opposed to pieces of a pano film, because the distal of #31 looks highly suspicious of having a cavity because of the position of the. Do Bitewing X Rays Show Wisdom Teeth.
From dentagama.com
Bitewing dental xrays News Dentagama Do Bitewing X Rays Show Wisdom Teeth Acquire more information about jaw issues and missing or extra teeth; The patient bites down on a little tab or wing that holds the. Bitewings can also show areas of bone loss around teeth — a sign of periodontal disease; Looks like you need a bite wing as opposed to pieces of a pano film, because the distal of #31. Do Bitewing X Rays Show Wisdom Teeth.
From www.youtube.com
Bitewing radiographs Bitewing technique Mounting Bitewing Xrays Dental x ray YouTube Do Bitewing X Rays Show Wisdom Teeth Acquire more information about jaw issues and missing or extra teeth; However, they are not taken for that. Bitewings can also show areas of bone loss around teeth — a sign of periodontal disease; The patient bites down on a little tab or wing that holds the. Looks like you need a bite wing as opposed to pieces of a. Do Bitewing X Rays Show Wisdom Teeth.
From www.heightspedoortho.com
What are "bitewing" xrays and why do we take them? — Heights Pediatric Dentistry & Orthodontics Do Bitewing X Rays Show Wisdom Teeth Acquire more information about jaw issues and missing or extra teeth; Looks like you need a bite wing as opposed to pieces of a pano film, because the distal of #31 looks highly suspicious of having a cavity because of the position of the wisdom tooth #32 and. Bitewings can also show areas of bone loss around teeth — a. Do Bitewing X Rays Show Wisdom Teeth.
From newsnext.co.uk
Advancements in Bitewing XRay Technology A Breakthrough for Dental News Next Today Do Bitewing X Rays Show Wisdom Teeth However, they are not taken for that. Looks like you need a bite wing as opposed to pieces of a pano film, because the distal of #31 looks highly suspicious of having a cavity because of the position of the wisdom tooth #32 and. Acquire more information about jaw issues and missing or extra teeth; They are the best tool. Do Bitewing X Rays Show Wisdom Teeth.
From fountainhillsdentist.com
Panoramic xray image of teeth and mouth with wisdom teeth Parkview Dentistry of AZ Do Bitewing X Rays Show Wisdom Teeth However, they are not taken for that. The patient bites down on a little tab or wing that holds the. They are the best tool to use for detecting cavities that are in between. Bitewings can also show areas of bone loss around teeth — a sign of periodontal disease; Looks like you need a bite wing as opposed to. Do Bitewing X Rays Show Wisdom Teeth.
From www.bluewaterdentists.com
Digital Dental Xrays Blue Water Dental Langley Dentist Do Bitewing X Rays Show Wisdom Teeth However, they are not taken for that. Acquire more information about jaw issues and missing or extra teeth; The patient bites down on a little tab or wing that holds the. Bitewings can also show areas of bone loss around teeth — a sign of periodontal disease; They are the best tool to use for detecting cavities that are in. Do Bitewing X Rays Show Wisdom Teeth.
From revealdiagnostics.com
Wisdom Teeth XRays Why They’re So Important Reveal Diagnostics Do Bitewing X Rays Show Wisdom Teeth The patient bites down on a little tab or wing that holds the. Help identify abscesses, cysts, and tumors;. Acquire more information about jaw issues and missing or extra teeth; Bitewings can also show areas of bone loss around teeth — a sign of periodontal disease; Looks like you need a bite wing as opposed to pieces of a pano. Do Bitewing X Rays Show Wisdom Teeth.
From www.youtube.com
Premolar Bitewing Positioning Tips For Dental XRays Dentsply Sirona YouTube Do Bitewing X Rays Show Wisdom Teeth However, they are not taken for that. The patient bites down on a little tab or wing that holds the. Looks like you need a bite wing as opposed to pieces of a pano film, because the distal of #31 looks highly suspicious of having a cavity because of the position of the wisdom tooth #32 and. Acquire more information. Do Bitewing X Rays Show Wisdom Teeth.
From webdmd.org
Wisdom Teeth XRays What to Expect DMD Do Bitewing X Rays Show Wisdom Teeth However, they are not taken for that. Bitewings can also show areas of bone loss around teeth — a sign of periodontal disease; The patient bites down on a little tab or wing that holds the. They are the best tool to use for detecting cavities that are in between. Looks like you need a bite wing as opposed to. Do Bitewing X Rays Show Wisdom Teeth.
From ar.inspiredpencil.com
Taking Bitewing Dental X Rays Do Bitewing X Rays Show Wisdom Teeth Looks like you need a bite wing as opposed to pieces of a pano film, because the distal of #31 looks highly suspicious of having a cavity because of the position of the wisdom tooth #32 and. Bitewings can also show areas of bone loss around teeth — a sign of periodontal disease; They are the best tool to use. Do Bitewing X Rays Show Wisdom Teeth.
From mavink.com
Bitewing Radiograph Do Bitewing X Rays Show Wisdom Teeth However, they are not taken for that. Acquire more information about jaw issues and missing or extra teeth; They are the best tool to use for detecting cavities that are in between. Bitewings can also show areas of bone loss around teeth — a sign of periodontal disease; The patient bites down on a little tab or wing that holds. Do Bitewing X Rays Show Wisdom Teeth.
From www.youtube.com
How to take perfect Bitewing Xrays while keeping your patient comfortable YouTube Do Bitewing X Rays Show Wisdom Teeth The patient bites down on a little tab or wing that holds the. Acquire more information about jaw issues and missing or extra teeth; However, they are not taken for that. They are the best tool to use for detecting cavities that are in between. Bitewings can also show areas of bone loss around teeth — a sign of periodontal. Do Bitewing X Rays Show Wisdom Teeth.