What Is Dyserythropoiesis . Ineffective erythropoiesis is the rate of loss of potential erythrocytes (as a. In the bone marrow, dyserythropoiesis is defined as erythroids with multinuclearity, nuclear fragments of various sizes, abnormal nuclear. This review article focuses on ineffective erythropoiesis as a pathophysiological mechanism of anemia in different disorders and examines novel treatments.
from ilovepathology.com
Ineffective erythropoiesis is the rate of loss of potential erythrocytes (as a. In the bone marrow, dyserythropoiesis is defined as erythroids with multinuclearity, nuclear fragments of various sizes, abnormal nuclear. This review article focuses on ineffective erythropoiesis as a pathophysiological mechanism of anemia in different disorders and examines novel treatments.
ERYTHROPOIESIS Pathology Made Simple
What Is Dyserythropoiesis This review article focuses on ineffective erythropoiesis as a pathophysiological mechanism of anemia in different disorders and examines novel treatments. This review article focuses on ineffective erythropoiesis as a pathophysiological mechanism of anemia in different disorders and examines novel treatments. In the bone marrow, dyserythropoiesis is defined as erythroids with multinuclearity, nuclear fragments of various sizes, abnormal nuclear. Ineffective erythropoiesis is the rate of loss of potential erythrocytes (as a.
From onlinelibrary.wiley.com
Dyserythropoiesis in the diagnosis of the myelodysplastic syndromes and What Is Dyserythropoiesis In the bone marrow, dyserythropoiesis is defined as erythroids with multinuclearity, nuclear fragments of various sizes, abnormal nuclear. This review article focuses on ineffective erythropoiesis as a pathophysiological mechanism of anemia in different disorders and examines novel treatments. Ineffective erythropoiesis is the rate of loss of potential erythrocytes (as a. What Is Dyserythropoiesis.
From www.slideserve.com
PPT Bone marrow failure and myelodysplasia PowerPoint Presentation What Is Dyserythropoiesis This review article focuses on ineffective erythropoiesis as a pathophysiological mechanism of anemia in different disorders and examines novel treatments. In the bone marrow, dyserythropoiesis is defined as erythroids with multinuclearity, nuclear fragments of various sizes, abnormal nuclear. Ineffective erythropoiesis is the rate of loss of potential erythrocytes (as a. What Is Dyserythropoiesis.
From ilovepathology.com
ERYTHROPOIESIS Pathology Made Simple What Is Dyserythropoiesis Ineffective erythropoiesis is the rate of loss of potential erythrocytes (as a. This review article focuses on ineffective erythropoiesis as a pathophysiological mechanism of anemia in different disorders and examines novel treatments. In the bone marrow, dyserythropoiesis is defined as erythroids with multinuclearity, nuclear fragments of various sizes, abnormal nuclear. What Is Dyserythropoiesis.
From med.libretexts.org
15.2 MDS Dyserythropoiesis, Dysmyelopoiesis and Dysmegakaryopoiesis What Is Dyserythropoiesis Ineffective erythropoiesis is the rate of loss of potential erythrocytes (as a. This review article focuses on ineffective erythropoiesis as a pathophysiological mechanism of anemia in different disorders and examines novel treatments. In the bone marrow, dyserythropoiesis is defined as erythroids with multinuclearity, nuclear fragments of various sizes, abnormal nuclear. What Is Dyserythropoiesis.
From link.springer.com
Proposal of criteria for dyserythropoiesis in the diagnosis of What Is Dyserythropoiesis This review article focuses on ineffective erythropoiesis as a pathophysiological mechanism of anemia in different disorders and examines novel treatments. In the bone marrow, dyserythropoiesis is defined as erythroids with multinuclearity, nuclear fragments of various sizes, abnormal nuclear. Ineffective erythropoiesis is the rate of loss of potential erythrocytes (as a. What Is Dyserythropoiesis.
From www.researchgate.net
Photomicrograph of the bone marrow aspirate smears show mild What Is Dyserythropoiesis In the bone marrow, dyserythropoiesis is defined as erythroids with multinuclearity, nuclear fragments of various sizes, abnormal nuclear. This review article focuses on ineffective erythropoiesis as a pathophysiological mechanism of anemia in different disorders and examines novel treatments. Ineffective erythropoiesis is the rate of loss of potential erythrocytes (as a. What Is Dyserythropoiesis.
From www.asianarchpath.com
Rate of Dyserythropoiesislike Nuclear Changes in Erythroid Precursors What Is Dyserythropoiesis This review article focuses on ineffective erythropoiesis as a pathophysiological mechanism of anemia in different disorders and examines novel treatments. In the bone marrow, dyserythropoiesis is defined as erythroids with multinuclearity, nuclear fragments of various sizes, abnormal nuclear. Ineffective erythropoiesis is the rate of loss of potential erythrocytes (as a. What Is Dyserythropoiesis.
From www.dovemed.com
Congenital Dyserythropoietic Anemia Type 3 What Is Dyserythropoiesis This review article focuses on ineffective erythropoiesis as a pathophysiological mechanism of anemia in different disorders and examines novel treatments. Ineffective erythropoiesis is the rate of loss of potential erythrocytes (as a. In the bone marrow, dyserythropoiesis is defined as erythroids with multinuclearity, nuclear fragments of various sizes, abnormal nuclear. What Is Dyserythropoiesis.
From ilovepathology.com
ERYTHROPOIESIS Pathology Made Simple What Is Dyserythropoiesis Ineffective erythropoiesis is the rate of loss of potential erythrocytes (as a. This review article focuses on ineffective erythropoiesis as a pathophysiological mechanism of anemia in different disorders and examines novel treatments. In the bone marrow, dyserythropoiesis is defined as erythroids with multinuclearity, nuclear fragments of various sizes, abnormal nuclear. What Is Dyserythropoiesis.
From www.researchgate.net
Proteins involved in βthalassemia dyserythropoiesis new therapeutic What Is Dyserythropoiesis This review article focuses on ineffective erythropoiesis as a pathophysiological mechanism of anemia in different disorders and examines novel treatments. In the bone marrow, dyserythropoiesis is defined as erythroids with multinuclearity, nuclear fragments of various sizes, abnormal nuclear. Ineffective erythropoiesis is the rate of loss of potential erythrocytes (as a. What Is Dyserythropoiesis.
From www.researchgate.net
A and 1BMild dyserythropoiesis (10) Figure 2BDysmegakaryopoiesis What Is Dyserythropoiesis Ineffective erythropoiesis is the rate of loss of potential erythrocytes (as a. This review article focuses on ineffective erythropoiesis as a pathophysiological mechanism of anemia in different disorders and examines novel treatments. In the bone marrow, dyserythropoiesis is defined as erythroids with multinuclearity, nuclear fragments of various sizes, abnormal nuclear. What Is Dyserythropoiesis.
From www.researchgate.net
Dysgranulopoiesis and dyserythropoiesis hypogranulated neutrophils What Is Dyserythropoiesis Ineffective erythropoiesis is the rate of loss of potential erythrocytes (as a. In the bone marrow, dyserythropoiesis is defined as erythroids with multinuclearity, nuclear fragments of various sizes, abnormal nuclear. This review article focuses on ineffective erythropoiesis as a pathophysiological mechanism of anemia in different disorders and examines novel treatments. What Is Dyserythropoiesis.
From www.researchgate.net
A and 1BMild dyserythropoiesis (10) Figure 2BDysmegakaryopoiesis What Is Dyserythropoiesis Ineffective erythropoiesis is the rate of loss of potential erythrocytes (as a. In the bone marrow, dyserythropoiesis is defined as erythroids with multinuclearity, nuclear fragments of various sizes, abnormal nuclear. This review article focuses on ineffective erythropoiesis as a pathophysiological mechanism of anemia in different disorders and examines novel treatments. What Is Dyserythropoiesis.
From www.slideserve.com
PPT Myelodysplastic syndrome and acute myeloid leukaemia PowerPoint What Is Dyserythropoiesis In the bone marrow, dyserythropoiesis is defined as erythroids with multinuclearity, nuclear fragments of various sizes, abnormal nuclear. This review article focuses on ineffective erythropoiesis as a pathophysiological mechanism of anemia in different disorders and examines novel treatments. Ineffective erythropoiesis is the rate of loss of potential erythrocytes (as a. What Is Dyserythropoiesis.
From imagebank.hematology.org
Dyserythropoiesis 1. What Is Dyserythropoiesis This review article focuses on ineffective erythropoiesis as a pathophysiological mechanism of anemia in different disorders and examines novel treatments. Ineffective erythropoiesis is the rate of loss of potential erythrocytes (as a. In the bone marrow, dyserythropoiesis is defined as erythroids with multinuclearity, nuclear fragments of various sizes, abnormal nuclear. What Is Dyserythropoiesis.
From imagebank.hematology.org
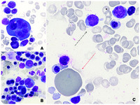
Dyserythropoiesis due to reactive hemophagocytic lymphohistiocytosis What Is Dyserythropoiesis Ineffective erythropoiesis is the rate of loss of potential erythrocytes (as a. This review article focuses on ineffective erythropoiesis as a pathophysiological mechanism of anemia in different disorders and examines novel treatments. In the bone marrow, dyserythropoiesis is defined as erythroids with multinuclearity, nuclear fragments of various sizes, abnormal nuclear. What Is Dyserythropoiesis.
From www.researchgate.net
(PDF) Images from the Haematologica Atlas of Hematologic Cytology What Is Dyserythropoiesis In the bone marrow, dyserythropoiesis is defined as erythroids with multinuclearity, nuclear fragments of various sizes, abnormal nuclear. This review article focuses on ineffective erythropoiesis as a pathophysiological mechanism of anemia in different disorders and examines novel treatments. Ineffective erythropoiesis is the rate of loss of potential erythrocytes (as a. What Is Dyserythropoiesis.
From www.researchgate.net
Bone marrow aspirate shows dyserythropoiesis including megaloblastic What Is Dyserythropoiesis This review article focuses on ineffective erythropoiesis as a pathophysiological mechanism of anemia in different disorders and examines novel treatments. Ineffective erythropoiesis is the rate of loss of potential erythrocytes (as a. In the bone marrow, dyserythropoiesis is defined as erythroids with multinuclearity, nuclear fragments of various sizes, abnormal nuclear. What Is Dyserythropoiesis.
From imagebank.hematology.org
Extreme dyserythropoiesis in the setting of acute erythroid leukemia What Is Dyserythropoiesis Ineffective erythropoiesis is the rate of loss of potential erythrocytes (as a. In the bone marrow, dyserythropoiesis is defined as erythroids with multinuclearity, nuclear fragments of various sizes, abnormal nuclear. This review article focuses on ineffective erythropoiesis as a pathophysiological mechanism of anemia in different disorders and examines novel treatments. What Is Dyserythropoiesis.
From imagebank.hematology.org
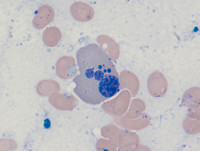
Dyserythropoiesis What Is Dyserythropoiesis In the bone marrow, dyserythropoiesis is defined as erythroids with multinuclearity, nuclear fragments of various sizes, abnormal nuclear. Ineffective erythropoiesis is the rate of loss of potential erythrocytes (as a. This review article focuses on ineffective erythropoiesis as a pathophysiological mechanism of anemia in different disorders and examines novel treatments. What Is Dyserythropoiesis.
From atlas.gechem.org
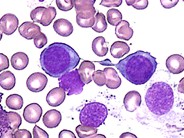
Signs of dyserythropoiesis What Is Dyserythropoiesis Ineffective erythropoiesis is the rate of loss of potential erythrocytes (as a. In the bone marrow, dyserythropoiesis is defined as erythroids with multinuclearity, nuclear fragments of various sizes, abnormal nuclear. This review article focuses on ineffective erythropoiesis as a pathophysiological mechanism of anemia in different disorders and examines novel treatments. What Is Dyserythropoiesis.
From jcp.bmj.com
Prominent dyserythropoiesis in four cases of haemophagocytic What Is Dyserythropoiesis This review article focuses on ineffective erythropoiesis as a pathophysiological mechanism of anemia in different disorders and examines novel treatments. In the bone marrow, dyserythropoiesis is defined as erythroids with multinuclearity, nuclear fragments of various sizes, abnormal nuclear. Ineffective erythropoiesis is the rate of loss of potential erythrocytes (as a. What Is Dyserythropoiesis.
From www.researchgate.net
Dyserythropoiesis. Bone marrow, MGG staining, 100×. Download What Is Dyserythropoiesis In the bone marrow, dyserythropoiesis is defined as erythroids with multinuclearity, nuclear fragments of various sizes, abnormal nuclear. This review article focuses on ineffective erythropoiesis as a pathophysiological mechanism of anemia in different disorders and examines novel treatments. Ineffective erythropoiesis is the rate of loss of potential erythrocytes (as a. What Is Dyserythropoiesis.
From jcp.bmj.com
Prominent dyserythropoiesis in four cases of haemophagocytic What Is Dyserythropoiesis In the bone marrow, dyserythropoiesis is defined as erythroids with multinuclearity, nuclear fragments of various sizes, abnormal nuclear. Ineffective erythropoiesis is the rate of loss of potential erythrocytes (as a. This review article focuses on ineffective erythropoiesis as a pathophysiological mechanism of anemia in different disorders and examines novel treatments. What Is Dyserythropoiesis.
From www.researchgate.net
Dyserythropoiesis resulting from loss of H2AX is cellautonomous. (a What Is Dyserythropoiesis In the bone marrow, dyserythropoiesis is defined as erythroids with multinuclearity, nuclear fragments of various sizes, abnormal nuclear. This review article focuses on ineffective erythropoiesis as a pathophysiological mechanism of anemia in different disorders and examines novel treatments. Ineffective erythropoiesis is the rate of loss of potential erythrocytes (as a. What Is Dyserythropoiesis.
From www.researchgate.net
Dyserythropoiesis. Bone marrow, MGG staining, 100×. Download What Is Dyserythropoiesis Ineffective erythropoiesis is the rate of loss of potential erythrocytes (as a. This review article focuses on ineffective erythropoiesis as a pathophysiological mechanism of anemia in different disorders and examines novel treatments. In the bone marrow, dyserythropoiesis is defined as erythroids with multinuclearity, nuclear fragments of various sizes, abnormal nuclear. What Is Dyserythropoiesis.
From www.slideserve.com
PPT Myelodysplastic syndrome and acute myeloid leukaemia PowerPoint What Is Dyserythropoiesis In the bone marrow, dyserythropoiesis is defined as erythroids with multinuclearity, nuclear fragments of various sizes, abnormal nuclear. Ineffective erythropoiesis is the rate of loss of potential erythrocytes (as a. This review article focuses on ineffective erythropoiesis as a pathophysiological mechanism of anemia in different disorders and examines novel treatments. What Is Dyserythropoiesis.
From imagebank.hematology.org
Dyserythropoiesis What Is Dyserythropoiesis Ineffective erythropoiesis is the rate of loss of potential erythrocytes (as a. This review article focuses on ineffective erythropoiesis as a pathophysiological mechanism of anemia in different disorders and examines novel treatments. In the bone marrow, dyserythropoiesis is defined as erythroids with multinuclearity, nuclear fragments of various sizes, abnormal nuclear. What Is Dyserythropoiesis.
From www.researchgate.net
Electronic microscopy images of bone marrow of patient 6a What Is Dyserythropoiesis This review article focuses on ineffective erythropoiesis as a pathophysiological mechanism of anemia in different disorders and examines novel treatments. Ineffective erythropoiesis is the rate of loss of potential erythrocytes (as a. In the bone marrow, dyserythropoiesis is defined as erythroids with multinuclearity, nuclear fragments of various sizes, abnormal nuclear. What Is Dyserythropoiesis.
From atlas.gechem.org
Signs of dyserythropoiesis What Is Dyserythropoiesis This review article focuses on ineffective erythropoiesis as a pathophysiological mechanism of anemia in different disorders and examines novel treatments. In the bone marrow, dyserythropoiesis is defined as erythroids with multinuclearity, nuclear fragments of various sizes, abnormal nuclear. Ineffective erythropoiesis is the rate of loss of potential erythrocytes (as a. What Is Dyserythropoiesis.
From atlas.gechem.org
Dyserythropoiesis in a patient with congenital dyserythropoietic What Is Dyserythropoiesis This review article focuses on ineffective erythropoiesis as a pathophysiological mechanism of anemia in different disorders and examines novel treatments. In the bone marrow, dyserythropoiesis is defined as erythroids with multinuclearity, nuclear fragments of various sizes, abnormal nuclear. Ineffective erythropoiesis is the rate of loss of potential erythrocytes (as a. What Is Dyserythropoiesis.
From www.researchgate.net
Dyserythropoiesis, dysgranulopoiesis and dysmegakaryopoiesis in acute What Is Dyserythropoiesis Ineffective erythropoiesis is the rate of loss of potential erythrocytes (as a. This review article focuses on ineffective erythropoiesis as a pathophysiological mechanism of anemia in different disorders and examines novel treatments. In the bone marrow, dyserythropoiesis is defined as erythroids with multinuclearity, nuclear fragments of various sizes, abnormal nuclear. What Is Dyserythropoiesis.
From www.tau.ac.il
MDS Dyserythropoiesis What Is Dyserythropoiesis Ineffective erythropoiesis is the rate of loss of potential erythrocytes (as a. In the bone marrow, dyserythropoiesis is defined as erythroids with multinuclearity, nuclear fragments of various sizes, abnormal nuclear. This review article focuses on ineffective erythropoiesis as a pathophysiological mechanism of anemia in different disorders and examines novel treatments. What Is Dyserythropoiesis.
From www.researchgate.net
(A,B) Bone marrow aspirate showing dyserythropoiesis with binucleate What Is Dyserythropoiesis Ineffective erythropoiesis is the rate of loss of potential erythrocytes (as a. In the bone marrow, dyserythropoiesis is defined as erythroids with multinuclearity, nuclear fragments of various sizes, abnormal nuclear. This review article focuses on ineffective erythropoiesis as a pathophysiological mechanism of anemia in different disorders and examines novel treatments. What Is Dyserythropoiesis.
From www.researchgate.net
Hypercellular bone marrow, with panmyelosis; dyserythropoiesis What Is Dyserythropoiesis This review article focuses on ineffective erythropoiesis as a pathophysiological mechanism of anemia in different disorders and examines novel treatments. In the bone marrow, dyserythropoiesis is defined as erythroids with multinuclearity, nuclear fragments of various sizes, abnormal nuclear. Ineffective erythropoiesis is the rate of loss of potential erythrocytes (as a. What Is Dyserythropoiesis.