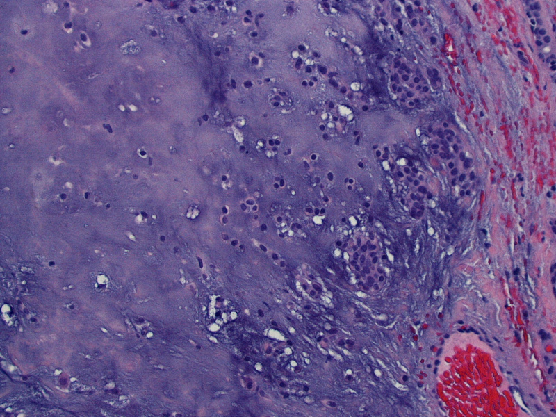
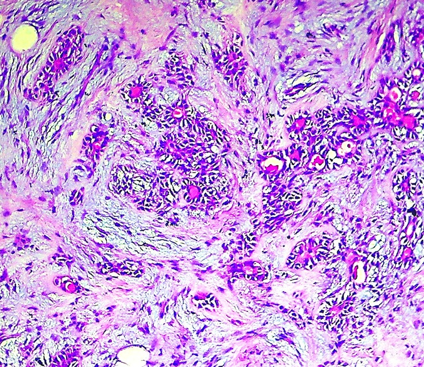
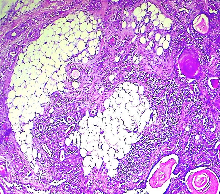
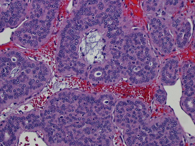
Malignant Pleomorphic Adenoma Pathology Outlines . Pleomorphic adenoma (pa) is the most common salivary gland neoplasm, and its diagnosis is straightforward in the majority of cases. Malignant cases arising from pleomorphic adenoma (am j clin pathol 2011;136:793) intracapsular carcinoma ex. Benign adnexal tumor of the skin composed of mesenchymal and sweat gland components. Pleomorphic adenomas are benign ‘mixed’ tumors that consist of varying proportions of epithelial and mesenchymal elements. Carcinoma ex pleomorphic adenoma is an epithelial malignant neoplasm arising from a primary or recurrent pleomorphic adenoma and. Carcinoma ex pleomorphic adenoma is a rare, aggressive, poorly understood malignancy, which usually occurs in the salivary glands and.
from www.pathologyoutlines.com
Pleomorphic adenomas are benign ‘mixed’ tumors that consist of varying proportions of epithelial and mesenchymal elements. Carcinoma ex pleomorphic adenoma is an epithelial malignant neoplasm arising from a primary or recurrent pleomorphic adenoma and. Benign adnexal tumor of the skin composed of mesenchymal and sweat gland components. Carcinoma ex pleomorphic adenoma is a rare, aggressive, poorly understood malignancy, which usually occurs in the salivary glands and. Malignant cases arising from pleomorphic adenoma (am j clin pathol 2011;136:793) intracapsular carcinoma ex. Pleomorphic adenoma (pa) is the most common salivary gland neoplasm, and its diagnosis is straightforward in the majority of cases.
Pathology Outlines Pleomorphic adenoma
Malignant Pleomorphic Adenoma Pathology Outlines Carcinoma ex pleomorphic adenoma is a rare, aggressive, poorly understood malignancy, which usually occurs in the salivary glands and. Pleomorphic adenoma (pa) is the most common salivary gland neoplasm, and its diagnosis is straightforward in the majority of cases. Pleomorphic adenomas are benign ‘mixed’ tumors that consist of varying proportions of epithelial and mesenchymal elements. Carcinoma ex pleomorphic adenoma is a rare, aggressive, poorly understood malignancy, which usually occurs in the salivary glands and. Benign adnexal tumor of the skin composed of mesenchymal and sweat gland components. Malignant cases arising from pleomorphic adenoma (am j clin pathol 2011;136:793) intracapsular carcinoma ex. Carcinoma ex pleomorphic adenoma is an epithelial malignant neoplasm arising from a primary or recurrent pleomorphic adenoma and.
From www.histopathology.guru
PLEOMORPHIC ADENOMA Histopathology.guru Malignant Pleomorphic Adenoma Pathology Outlines Benign adnexal tumor of the skin composed of mesenchymal and sweat gland components. Pleomorphic adenoma (pa) is the most common salivary gland neoplasm, and its diagnosis is straightforward in the majority of cases. Pleomorphic adenomas are benign ‘mixed’ tumors that consist of varying proportions of epithelial and mesenchymal elements. Malignant cases arising from pleomorphic adenoma (am j clin pathol 2011;136:793). Malignant Pleomorphic Adenoma Pathology Outlines.
From www.pathologyoutlines.com
Pathology Outlines Carcinoma ex pleomorphic adenoma Malignant Pleomorphic Adenoma Pathology Outlines Pleomorphic adenomas are benign ‘mixed’ tumors that consist of varying proportions of epithelial and mesenchymal elements. Malignant cases arising from pleomorphic adenoma (am j clin pathol 2011;136:793) intracapsular carcinoma ex. Carcinoma ex pleomorphic adenoma is a rare, aggressive, poorly understood malignancy, which usually occurs in the salivary glands and. Pleomorphic adenoma (pa) is the most common salivary gland neoplasm, and. Malignant Pleomorphic Adenoma Pathology Outlines.
From www.pathologyoutlines.com
Pathology Outlines Carcinoma ex pleomorphic adenoma Malignant Pleomorphic Adenoma Pathology Outlines Carcinoma ex pleomorphic adenoma is an epithelial malignant neoplasm arising from a primary or recurrent pleomorphic adenoma and. Carcinoma ex pleomorphic adenoma is a rare, aggressive, poorly understood malignancy, which usually occurs in the salivary glands and. Pleomorphic adenoma (pa) is the most common salivary gland neoplasm, and its diagnosis is straightforward in the majority of cases. Pleomorphic adenomas are. Malignant Pleomorphic Adenoma Pathology Outlines.
From www.pathologyoutlines.com
Pathology Outlines Pleomorphic adenoma Malignant Pleomorphic Adenoma Pathology Outlines Pleomorphic adenomas are benign ‘mixed’ tumors that consist of varying proportions of epithelial and mesenchymal elements. Carcinoma ex pleomorphic adenoma is a rare, aggressive, poorly understood malignancy, which usually occurs in the salivary glands and. Carcinoma ex pleomorphic adenoma is an epithelial malignant neoplasm arising from a primary or recurrent pleomorphic adenoma and. Benign adnexal tumor of the skin composed. Malignant Pleomorphic Adenoma Pathology Outlines.
From www.pathologyoutlines.com
Pathology Outlines Pleomorphic adenoma Malignant Pleomorphic Adenoma Pathology Outlines Carcinoma ex pleomorphic adenoma is a rare, aggressive, poorly understood malignancy, which usually occurs in the salivary glands and. Carcinoma ex pleomorphic adenoma is an epithelial malignant neoplasm arising from a primary or recurrent pleomorphic adenoma and. Benign adnexal tumor of the skin composed of mesenchymal and sweat gland components. Malignant cases arising from pleomorphic adenoma (am j clin pathol. Malignant Pleomorphic Adenoma Pathology Outlines.
From www.pathologyoutlines.com
Pathology Outlines Pleomorphic adenoma Malignant Pleomorphic Adenoma Pathology Outlines Pleomorphic adenomas are benign ‘mixed’ tumors that consist of varying proportions of epithelial and mesenchymal elements. Benign adnexal tumor of the skin composed of mesenchymal and sweat gland components. Carcinoma ex pleomorphic adenoma is a rare, aggressive, poorly understood malignancy, which usually occurs in the salivary glands and. Pleomorphic adenoma (pa) is the most common salivary gland neoplasm, and its. Malignant Pleomorphic Adenoma Pathology Outlines.
From www.pathologyoutlines.com
Pathology Outlines Pleomorphic adenoma Malignant Pleomorphic Adenoma Pathology Outlines Pleomorphic adenomas are benign ‘mixed’ tumors that consist of varying proportions of epithelial and mesenchymal elements. Malignant cases arising from pleomorphic adenoma (am j clin pathol 2011;136:793) intracapsular carcinoma ex. Pleomorphic adenoma (pa) is the most common salivary gland neoplasm, and its diagnosis is straightforward in the majority of cases. Carcinoma ex pleomorphic adenoma is a rare, aggressive, poorly understood. Malignant Pleomorphic Adenoma Pathology Outlines.
From www.pathologyoutlines.com
Pathology Outlines pleomorphic Malignant Pleomorphic Adenoma Pathology Outlines Malignant cases arising from pleomorphic adenoma (am j clin pathol 2011;136:793) intracapsular carcinoma ex. Carcinoma ex pleomorphic adenoma is an epithelial malignant neoplasm arising from a primary or recurrent pleomorphic adenoma and. Carcinoma ex pleomorphic adenoma is a rare, aggressive, poorly understood malignancy, which usually occurs in the salivary glands and. Benign adnexal tumor of the skin composed of mesenchymal. Malignant Pleomorphic Adenoma Pathology Outlines.
From www.pathologyoutlines.com
Pathology Outlines Carcinoma ex pleomorphic adenoma Malignant Pleomorphic Adenoma Pathology Outlines Benign adnexal tumor of the skin composed of mesenchymal and sweat gland components. Carcinoma ex pleomorphic adenoma is an epithelial malignant neoplasm arising from a primary or recurrent pleomorphic adenoma and. Pleomorphic adenomas are benign ‘mixed’ tumors that consist of varying proportions of epithelial and mesenchymal elements. Carcinoma ex pleomorphic adenoma is a rare, aggressive, poorly understood malignancy, which usually. Malignant Pleomorphic Adenoma Pathology Outlines.
From www.bosnianpathology.org
Pleomorphic adenoma BosnianPathology Malignant Pleomorphic Adenoma Pathology Outlines Malignant cases arising from pleomorphic adenoma (am j clin pathol 2011;136:793) intracapsular carcinoma ex. Benign adnexal tumor of the skin composed of mesenchymal and sweat gland components. Carcinoma ex pleomorphic adenoma is a rare, aggressive, poorly understood malignancy, which usually occurs in the salivary glands and. Carcinoma ex pleomorphic adenoma is an epithelial malignant neoplasm arising from a primary or. Malignant Pleomorphic Adenoma Pathology Outlines.
From www.pathologyoutlines.com
Pathology Outlines Pleomorphic adenoma Malignant Pleomorphic Adenoma Pathology Outlines Malignant cases arising from pleomorphic adenoma (am j clin pathol 2011;136:793) intracapsular carcinoma ex. Carcinoma ex pleomorphic adenoma is an epithelial malignant neoplasm arising from a primary or recurrent pleomorphic adenoma and. Benign adnexal tumor of the skin composed of mesenchymal and sweat gland components. Carcinoma ex pleomorphic adenoma is a rare, aggressive, poorly understood malignancy, which usually occurs in. Malignant Pleomorphic Adenoma Pathology Outlines.
From www.osmosis.org
Pleomorphic adenoma What Is It, Causes, Signs, Symptoms, and More Osmosis Malignant Pleomorphic Adenoma Pathology Outlines Pleomorphic adenomas are benign ‘mixed’ tumors that consist of varying proportions of epithelial and mesenchymal elements. Malignant cases arising from pleomorphic adenoma (am j clin pathol 2011;136:793) intracapsular carcinoma ex. Benign adnexal tumor of the skin composed of mesenchymal and sweat gland components. Pleomorphic adenoma (pa) is the most common salivary gland neoplasm, and its diagnosis is straightforward in the. Malignant Pleomorphic Adenoma Pathology Outlines.
From www.pathologyoutlines.com
Pathology Outlines Pleomorphic adenoma Malignant Pleomorphic Adenoma Pathology Outlines Malignant cases arising from pleomorphic adenoma (am j clin pathol 2011;136:793) intracapsular carcinoma ex. Benign adnexal tumor of the skin composed of mesenchymal and sweat gland components. Pleomorphic adenomas are benign ‘mixed’ tumors that consist of varying proportions of epithelial and mesenchymal elements. Carcinoma ex pleomorphic adenoma is a rare, aggressive, poorly understood malignancy, which usually occurs in the salivary. Malignant Pleomorphic Adenoma Pathology Outlines.
From www.pathologyoutlines.com
Pathology Outlines Pleomorphic adenoma Malignant Pleomorphic Adenoma Pathology Outlines Pleomorphic adenomas are benign ‘mixed’ tumors that consist of varying proportions of epithelial and mesenchymal elements. Benign adnexal tumor of the skin composed of mesenchymal and sweat gland components. Carcinoma ex pleomorphic adenoma is an epithelial malignant neoplasm arising from a primary or recurrent pleomorphic adenoma and. Carcinoma ex pleomorphic adenoma is a rare, aggressive, poorly understood malignancy, which usually. Malignant Pleomorphic Adenoma Pathology Outlines.
From www.histopathology.guru
PLEOMORPHIC ADENOMA Histopathology.guru Malignant Pleomorphic Adenoma Pathology Outlines Malignant cases arising from pleomorphic adenoma (am j clin pathol 2011;136:793) intracapsular carcinoma ex. Pleomorphic adenoma (pa) is the most common salivary gland neoplasm, and its diagnosis is straightforward in the majority of cases. Carcinoma ex pleomorphic adenoma is a rare, aggressive, poorly understood malignancy, which usually occurs in the salivary glands and. Benign adnexal tumor of the skin composed. Malignant Pleomorphic Adenoma Pathology Outlines.
From www.pathologyoutlines.com
Pathology Outlines Pleomorphic adenoma Malignant Pleomorphic Adenoma Pathology Outlines Carcinoma ex pleomorphic adenoma is a rare, aggressive, poorly understood malignancy, which usually occurs in the salivary glands and. Pleomorphic adenomas are benign ‘mixed’ tumors that consist of varying proportions of epithelial and mesenchymal elements. Carcinoma ex pleomorphic adenoma is an epithelial malignant neoplasm arising from a primary or recurrent pleomorphic adenoma and. Malignant cases arising from pleomorphic adenoma (am. Malignant Pleomorphic Adenoma Pathology Outlines.
From www.pathologyoutlines.com
Pathology Outlines Pleomorphic adenoma Malignant Pleomorphic Adenoma Pathology Outlines Pleomorphic adenoma (pa) is the most common salivary gland neoplasm, and its diagnosis is straightforward in the majority of cases. Pleomorphic adenomas are benign ‘mixed’ tumors that consist of varying proportions of epithelial and mesenchymal elements. Carcinoma ex pleomorphic adenoma is a rare, aggressive, poorly understood malignancy, which usually occurs in the salivary glands and. Malignant cases arising from pleomorphic. Malignant Pleomorphic Adenoma Pathology Outlines.
From ar.inspiredpencil.com
Pleomorphic Adenoma Pathology Malignant Pleomorphic Adenoma Pathology Outlines Carcinoma ex pleomorphic adenoma is a rare, aggressive, poorly understood malignancy, which usually occurs in the salivary glands and. Malignant cases arising from pleomorphic adenoma (am j clin pathol 2011;136:793) intracapsular carcinoma ex. Pleomorphic adenoma (pa) is the most common salivary gland neoplasm, and its diagnosis is straightforward in the majority of cases. Carcinoma ex pleomorphic adenoma is an epithelial. Malignant Pleomorphic Adenoma Pathology Outlines.
From www.pathologyoutlines.com
Pathology Outlines Pleomorphic adenoma Malignant Pleomorphic Adenoma Pathology Outlines Malignant cases arising from pleomorphic adenoma (am j clin pathol 2011;136:793) intracapsular carcinoma ex. Carcinoma ex pleomorphic adenoma is a rare, aggressive, poorly understood malignancy, which usually occurs in the salivary glands and. Pleomorphic adenomas are benign ‘mixed’ tumors that consist of varying proportions of epithelial and mesenchymal elements. Carcinoma ex pleomorphic adenoma is an epithelial malignant neoplasm arising from. Malignant Pleomorphic Adenoma Pathology Outlines.
From www.pathologyoutlines.com
Pathology Outlines Pleomorphic adenoma Malignant Pleomorphic Adenoma Pathology Outlines Malignant cases arising from pleomorphic adenoma (am j clin pathol 2011;136:793) intracapsular carcinoma ex. Carcinoma ex pleomorphic adenoma is an epithelial malignant neoplasm arising from a primary or recurrent pleomorphic adenoma and. Pleomorphic adenoma (pa) is the most common salivary gland neoplasm, and its diagnosis is straightforward in the majority of cases. Pleomorphic adenomas are benign ‘mixed’ tumors that consist. Malignant Pleomorphic Adenoma Pathology Outlines.
From www.pathologyoutlines.com
Pathology Outlines Carcinoma ex pleomorphic adenoma Malignant Pleomorphic Adenoma Pathology Outlines Carcinoma ex pleomorphic adenoma is a rare, aggressive, poorly understood malignancy, which usually occurs in the salivary glands and. Carcinoma ex pleomorphic adenoma is an epithelial malignant neoplasm arising from a primary or recurrent pleomorphic adenoma and. Pleomorphic adenomas are benign ‘mixed’ tumors that consist of varying proportions of epithelial and mesenchymal elements. Pleomorphic adenoma (pa) is the most common. Malignant Pleomorphic Adenoma Pathology Outlines.
From www.pathologyoutlines.com
Pathology Outlines Pleomorphic adenoma Malignant Pleomorphic Adenoma Pathology Outlines Carcinoma ex pleomorphic adenoma is a rare, aggressive, poorly understood malignancy, which usually occurs in the salivary glands and. Carcinoma ex pleomorphic adenoma is an epithelial malignant neoplasm arising from a primary or recurrent pleomorphic adenoma and. Pleomorphic adenoma (pa) is the most common salivary gland neoplasm, and its diagnosis is straightforward in the majority of cases. Pleomorphic adenomas are. Malignant Pleomorphic Adenoma Pathology Outlines.
From www.pathologyoutlines.com
Pathology Outlines Pleomorphic adenoma Malignant Pleomorphic Adenoma Pathology Outlines Malignant cases arising from pleomorphic adenoma (am j clin pathol 2011;136:793) intracapsular carcinoma ex. Pleomorphic adenomas are benign ‘mixed’ tumors that consist of varying proportions of epithelial and mesenchymal elements. Carcinoma ex pleomorphic adenoma is a rare, aggressive, poorly understood malignancy, which usually occurs in the salivary glands and. Pleomorphic adenoma (pa) is the most common salivary gland neoplasm, and. Malignant Pleomorphic Adenoma Pathology Outlines.
From www.pathologyoutlines.com
Pathology Outlines Pleomorphic adenoma Malignant Pleomorphic Adenoma Pathology Outlines Carcinoma ex pleomorphic adenoma is a rare, aggressive, poorly understood malignancy, which usually occurs in the salivary glands and. Malignant cases arising from pleomorphic adenoma (am j clin pathol 2011;136:793) intracapsular carcinoma ex. Benign adnexal tumor of the skin composed of mesenchymal and sweat gland components. Pleomorphic adenoma (pa) is the most common salivary gland neoplasm, and its diagnosis is. Malignant Pleomorphic Adenoma Pathology Outlines.
From ilovepathology.com
Pathology of Pleomorphic Adenoma Pathology Made Simple Malignant Pleomorphic Adenoma Pathology Outlines Benign adnexal tumor of the skin composed of mesenchymal and sweat gland components. Carcinoma ex pleomorphic adenoma is an epithelial malignant neoplasm arising from a primary or recurrent pleomorphic adenoma and. Malignant cases arising from pleomorphic adenoma (am j clin pathol 2011;136:793) intracapsular carcinoma ex. Pleomorphic adenoma (pa) is the most common salivary gland neoplasm, and its diagnosis is straightforward. Malignant Pleomorphic Adenoma Pathology Outlines.
From www.pathologyoutlines.com
Pathology Outlines Pleomorphic adenoma Malignant Pleomorphic Adenoma Pathology Outlines Malignant cases arising from pleomorphic adenoma (am j clin pathol 2011;136:793) intracapsular carcinoma ex. Benign adnexal tumor of the skin composed of mesenchymal and sweat gland components. Carcinoma ex pleomorphic adenoma is a rare, aggressive, poorly understood malignancy, which usually occurs in the salivary glands and. Pleomorphic adenomas are benign ‘mixed’ tumors that consist of varying proportions of epithelial and. Malignant Pleomorphic Adenoma Pathology Outlines.
From www.pathologyoutlines.com
Pathology Outlines Pleomorphic adenoma Malignant Pleomorphic Adenoma Pathology Outlines Pleomorphic adenoma (pa) is the most common salivary gland neoplasm, and its diagnosis is straightforward in the majority of cases. Carcinoma ex pleomorphic adenoma is a rare, aggressive, poorly understood malignancy, which usually occurs in the salivary glands and. Benign adnexal tumor of the skin composed of mesenchymal and sweat gland components. Carcinoma ex pleomorphic adenoma is an epithelial malignant. Malignant Pleomorphic Adenoma Pathology Outlines.
From www.pathologyoutlines.com
Pathology Outlines Pleomorphic adenoma Malignant Pleomorphic Adenoma Pathology Outlines Malignant cases arising from pleomorphic adenoma (am j clin pathol 2011;136:793) intracapsular carcinoma ex. Pleomorphic adenoma (pa) is the most common salivary gland neoplasm, and its diagnosis is straightforward in the majority of cases. Carcinoma ex pleomorphic adenoma is a rare, aggressive, poorly understood malignancy, which usually occurs in the salivary glands and. Carcinoma ex pleomorphic adenoma is an epithelial. Malignant Pleomorphic Adenoma Pathology Outlines.
From www.pathologyoutlines.com
Pathology Outlines Pleomorphic adenoma Malignant Pleomorphic Adenoma Pathology Outlines Carcinoma ex pleomorphic adenoma is an epithelial malignant neoplasm arising from a primary or recurrent pleomorphic adenoma and. Benign adnexal tumor of the skin composed of mesenchymal and sweat gland components. Pleomorphic adenomas are benign ‘mixed’ tumors that consist of varying proportions of epithelial and mesenchymal elements. Pleomorphic adenoma (pa) is the most common salivary gland neoplasm, and its diagnosis. Malignant Pleomorphic Adenoma Pathology Outlines.
From www.pathologyoutlines.com
Pathology Outlines Pleomorphic adenoma Malignant Pleomorphic Adenoma Pathology Outlines Carcinoma ex pleomorphic adenoma is an epithelial malignant neoplasm arising from a primary or recurrent pleomorphic adenoma and. Pleomorphic adenomas are benign ‘mixed’ tumors that consist of varying proportions of epithelial and mesenchymal elements. Benign adnexal tumor of the skin composed of mesenchymal and sweat gland components. Malignant cases arising from pleomorphic adenoma (am j clin pathol 2011;136:793) intracapsular carcinoma. Malignant Pleomorphic Adenoma Pathology Outlines.
From www.pathologyoutlines.com
Pathology Outlines Pleomorphic adenoma Malignant Pleomorphic Adenoma Pathology Outlines Malignant cases arising from pleomorphic adenoma (am j clin pathol 2011;136:793) intracapsular carcinoma ex. Benign adnexal tumor of the skin composed of mesenchymal and sweat gland components. Pleomorphic adenoma (pa) is the most common salivary gland neoplasm, and its diagnosis is straightforward in the majority of cases. Carcinoma ex pleomorphic adenoma is a rare, aggressive, poorly understood malignancy, which usually. Malignant Pleomorphic Adenoma Pathology Outlines.
From www.histopathology.guru
PLEOMORPHIC ADENOMA Histopathology.guru Malignant Pleomorphic Adenoma Pathology Outlines Benign adnexal tumor of the skin composed of mesenchymal and sweat gland components. Carcinoma ex pleomorphic adenoma is an epithelial malignant neoplasm arising from a primary or recurrent pleomorphic adenoma and. Carcinoma ex pleomorphic adenoma is a rare, aggressive, poorly understood malignancy, which usually occurs in the salivary glands and. Pleomorphic adenoma (pa) is the most common salivary gland neoplasm,. Malignant Pleomorphic Adenoma Pathology Outlines.
From www.pathologyoutlines.com
Pathology Outlines Pleomorphic adenoma Malignant Pleomorphic Adenoma Pathology Outlines Pleomorphic adenomas are benign ‘mixed’ tumors that consist of varying proportions of epithelial and mesenchymal elements. Benign adnexal tumor of the skin composed of mesenchymal and sweat gland components. Carcinoma ex pleomorphic adenoma is an epithelial malignant neoplasm arising from a primary or recurrent pleomorphic adenoma and. Malignant cases arising from pleomorphic adenoma (am j clin pathol 2011;136:793) intracapsular carcinoma. Malignant Pleomorphic Adenoma Pathology Outlines.
From ilovepathology.com
Pathology of Pleomorphic Adenoma Pathology Made Simple Malignant Pleomorphic Adenoma Pathology Outlines Carcinoma ex pleomorphic adenoma is an epithelial malignant neoplasm arising from a primary or recurrent pleomorphic adenoma and. Pleomorphic adenomas are benign ‘mixed’ tumors that consist of varying proportions of epithelial and mesenchymal elements. Pleomorphic adenoma (pa) is the most common salivary gland neoplasm, and its diagnosis is straightforward in the majority of cases. Malignant cases arising from pleomorphic adenoma. Malignant Pleomorphic Adenoma Pathology Outlines.
From ilovepathology.com
Pathology of Pleomorphic Adenoma Pathology Made Simple Malignant Pleomorphic Adenoma Pathology Outlines Benign adnexal tumor of the skin composed of mesenchymal and sweat gland components. Malignant cases arising from pleomorphic adenoma (am j clin pathol 2011;136:793) intracapsular carcinoma ex. Pleomorphic adenoma (pa) is the most common salivary gland neoplasm, and its diagnosis is straightforward in the majority of cases. Carcinoma ex pleomorphic adenoma is an epithelial malignant neoplasm arising from a primary. Malignant Pleomorphic Adenoma Pathology Outlines.